The clinical importance of diagnostic modalities: MR
5. Magnetic Resonance Imaging
Author: Kinga Karlinger
5.1. The educational goal of the chapter:
The goal of this chapter is to provide familiarity in the field of magnetic resonance imaging (MRI) to the 4th year medical students at the University of General Medicine. With this knowledge they are expected, upon finishing as general practitioners, to properly understand the physical properties of MR imaging, in order to correctly refer patients for examination, to avoid dangers of contraindications and to understand the fundamental characteristics of images. Thus, when receiving a definitive diagnosis / patient report, they are ready to guide their patients’ examinations and route.
5.2. Shortly about the phenomenon:
Magnetic resonance imaging (MRI) is based on the detection of various behavior of the protons in hydrogen atoms in the human body, when placed within magnetic field.
Hydrogen is vastly abundant in our body (mostly in water which makes up more than 70% of our body, but proteins and fat also contain hydrogen) When paced in a strong external magnetic field, the unpaired nucleons (=1 proton) of these precessing hydrogen atoms arrange themselves parallel to the external magnetic field force. They behave like little dipole magnets, but their precessing phase remains different. When triggered by a specific radio frequency wave they resonate with them (excitation) and upon finishing these RF pulses they radiate (emit) energy (relaxation).
During relaxation the hydrogen protons, on one hand, tend to align in a specific direction, determined by the magnetic field (spin-magnet = longitudinal = T1 relaxation). On the other hand, their RF impulse generated uniform phase deteriorates (spin-spin = transversal=T2 relaxation, or also called phase decay).
The two processes occur independently from one another and they can be detected separately. The radio waves emitted by the hydrogen protons are registered by a radio receiver (antenna), and a sophisticated computer records and analyses the signals coming from each point of the examined field. This set of data is then transformed into an image by complicated mathematical algorithms (Fourier transformation).
The applied external magnetic field varies in between 0.3-3 Tesla field strengths. The radio frequency pulses used for excitation also varies based on the strengths of the magnetic field, can either be 8 – 64 – 128 MHz.
Therefore, the image acquired, is basically a hydrogen- or “proton map” (= areas where there is only a small amount of hydrogen, or none at all, little or no signal is registered: e.g.: air or cortical plate of the bone.)
According to our current knowledge, the energy and the magnetic environment is considered harmless or without any bio-negative effect on the human body: it is repeatable and has not proven direct effect on the fetus either. (The magnetic field strength is measured in units of Tesla (T), the diagnostically accepted limit is up to 3T.)
5.3. Basic concepts in MRI:
5.3.1. Magnets used for MRI examination
To achieve the phenomenon of nuclear magnetic resonance and to carry out the examination the magnet is required to have a sufficiently strong magnetic field, and has to have an opening big enough to house the inserted body part.
Types of magnets
- Permanent or stable magnet (like a huge horseshoe magnet, or its tow magnetic poles)
- Electromagnet (two types):
Resistive magnet (huge energy consumption, used infrequently)
Superconductive magnet (its internal metallic spiral is an excellent conductor, but it has an external cooling system (liquid helium), which also provides (additional) superconductivity)
5.3.2. Coils or radiofrequency antennas
They radiate the radiofrequency pulses for excitation and they also receive the signals emitted by the examined material (patient).
These two functions can also occur separately, for instance, a body coil works as the transmitter, and a superficial antenna as the receiver. The latter is used in imaging smaller anatomic regions in greater resolution.
5.3.3. Signal localization, the production of the MR image
The external magnetic field must be slightly adjusted by additional magnets. These magnets need to tune the magnetic field gradually, so that protons in adjacent slices become distinguishable from one another, based on their resonance sequence differences. If we perform this “fine tuning” in all the three planes of space (x, y and z plane) then we can localize the position of protons.
The signal intensity measured in one voxel (the basic volumetric element) is determined by various factors, such as the number of protons in it, the type of chemical bonds they form and their environmental relations with other molecules. These effects sum up the net signal intensity and are projected to a pixel (image element defined by line/ column coordinates), which in turn represents the signal information of the whole depth (slice thickness) of the voxel.
More image elements and thinner slice thickness gives a better spatial resolution, but also decreases the signal/noise (S/N) ratio. More acquisition can enhance S/N ratio, but it increases examination time. With direct 3D acquisitions this problem can be solved.
5.4. Concepts used in MRI
T1 relaxation: is the rebuild of the original longitudinal magnetization due to the direct effect of the external magnetic field after the radiofrequency pulse is turned off. This occurs along an exponentially growing (build-up) curve.
T2 relaxation: is the disintegration of the phase synchronizing effect of the radiofrequency pulse (phase decay). It is described by an exponentially decreasing curve. (It happens faster by one order of magnitude than the T1 relaxation time.)
These two processes happen independently from each other.
The technical concepts of MR measurement
TR or repetition time: is the time interval between radiofrequency pulse repetitions.
TE or echo time: is the point in time at which the signal is registered during T2 relaxation. In a spin echo sequence it is the interval between two echo.
Base sequences:
Spin echo sequences:
T1 weighted (T1W) image: TR and TE are short. (TR = 700 ms, TE = 20 ms). Characteristic signal intensities: water is mild, fat is very intense, muscle is medium intense, flowing blood has no signal (black).
T2 weighted (T2W) image: TR and TE are long. (TR = 2000 ms, TE = 80 ms). Characteristic signal intensities: fat is mild, water is very intense, the signal intensity of other tissues is determined by their water content, flowing blood is still signal free.
Proton density (PD): TR is long, TE is short. (TR = 2000 ms, TE = 30 ms). The signal intensity is determined by the number (the density) of the protons in each tissue. Due to tissue characteristics there is a rather small difference between the proton amount in them, so intensities of various tissues all appear in shades of grey. Bound water has a stronger signal than free water. Flowing blood is still signal free.
|
Certain tissues with strong, sometimes inconvenient signal intensity can be suppressed explicitly:
Fat suppression is achievable with STIR (Shot T1 Inversion Recovery) DIXON, FatSat and fat suppression gradient echo sequences.
Specific suppression of free water is also possible (e.g.: cerebrospinal fluid) with FLAIR (Fluid-Attenuatited Inversion Recovery) sequence.
| |||
The so-called fast sequences are used to decrease acquisition time (= imaging time for a certain sequence).
The knowledge of certain tissue signal intensity characteristics is essential in MR image “interpretation” and differential diagnostics.
Signal Hyperintense tissues on T1 weighted imaging are: fat, high protein content (cysts), certain hemorrhages (subacute or chronic (intra- or extracellular methemoglobin), melanin (in tumor tissues); slow, turbulent and peripheral blood flow phenomenon, paramagnetic metallic deposits (iron, copper, manganese – Wilson’s disease), certain cases of dystrophic calcifications, paramagnetic contrast material (Gadolinium).
The different stages of hemoglobin decomposition have such characteristic signal intensities on T1 and T2 weighted images, that old and fresh hemorrhage can be separated and re-bleeding in an old hemorrhage can be detected. Old hemorrhages can also be detected by the susceptibility artifact (of the magnetic field) caused by the sediment decay product (iron) with T2* ( haemo-epi sequence) or SWI (susceptibility weighted imaging)
5.5 Specific MRI examinations:
MR angiography (MRA)
Flow void phenomenon: flowing blood, within the cross sectioned vessels in the examination slice, will be signal free. This happens because blood that gets excited by the RF pulses will move out of the imaging slice at signal registration, and it will be replaced by non-excited blood. Therefore, blood vessels in Spin Echo sequences will be highly distinguishable due to this signal void.
Angiographic techniques:
Time of Flight (TOF) is the time it takes for flowing blood to pass through a slice. With the use of very short repetition time, blood vessels will show very high signal intensity (it needs a fast acquisition like Gradient Echo sequence - GRE).
| |||
Phase contrast technique (PC) relies on the fact that the flowing spins (the moving protons) lose their phase (desynchronize) faster than stationary tissues. Its advantage is that it can measure flow velocity as well, and it is independent from the direction of the flow.
Magnetic resonance cholangiopancreatography (MRCP)
With the use of fast sequences (strongly T2 weighted images), all intra- and extrahepatic biliary tracts and pancreatic ducts can be depicted within one breath hold of time, due to their relative stationary fluid content. It is extremely useful to visualize stenotic lesions, caused by tumors, in a non-invasive fashion, together with their environmental state (hepatic infiltration, lymph node metastases).
MR Lymphography
With the help of an iron-oxide containing nanoparticle sized contrast material, USPIO (<50nm), it is (would be) possible to distinguish metastatic lesions in lymph nodes. On T2* weighted images, normal lymph nodes have no signal intensity (because macrophages in normal conditions phagocyte iron deposits.) Whereas metastatic lymph nodes on T2* weighted images appear hyperintense, due to their high water content (necrosis) and because they do not enhance this contrast material. (Unfortunately this contrast material is extremely expensive at the moment.)
A DWI (diffusion weighted imaging) MRI measures water mobility/diffusion (Brown movement of molecules) and the restriction of it (which is a sensitive method used for the early detection of cytotoxic edema.) It can also be called stroke sequences because it depicts brain damage earlier than any other sequence when neurological symptom occurs (time is brain!). Increased cell density (in hypercellular tumors) can also restrict diffusion of water. Movement direction of the water molecules can also be visualized (displaying neuron tracts – fiber tracking).
The BOLD (Blood Oxygen Level Dependence) sequence can distinguish signal intensity from oxygenated and deoxygenated blood (functional exams). It can display active regions of the brain color coded. It can assess normal and pathologic tissue status, therefore characterizing metabolic abnormalities, already pushing the boundaries of molecular imaging.
Magnetic Resonance Spectroscopy (MRS)
It is able to identify certain metabolites in tissues, in the living tissue(in-vivo.) MRS is especially valuable in the differential diagnostics of tumor and inflamed tissues (brain: N-acetyl aspartate – metabolite of the normal brain tissue, choline – increasing in tumor, lipid ratio – glioma vs. abscess) and for the differentiation of tumor residue / recurrence vs. scar tissue (prostate tumor – citrate/ choline).
5.6. Artefacts
Their occurrence should be considered when indicating MRI examinations, informing our patients and when producing or evaluating MRI exams.
Most common and most important artefacts:
Metallic artefacts: various clothing, implanted metals, metallic clips used at laparoscopic cholecystectomy, adrenal surgery (proximity of the inferior cave vein!), even cutaneous ferromagnetic materials (tattoos) can distort the magnetic field and decrease or even damage image quality to a state that they are impossible to interpret. Loose magnetic metallic objects (clips) can heat up or move/fly from their places endangering the patient.
Motion artefacts: Voluntary or involuntary motion also cause artifact. Some motion artefacts (periodic or rhythmic movements) can be foreseen to occur, and if considered upon the examination, they can be avoided or reduced.
There are several other types of artefacts such as susceptibility, flow, chemical shift and aliasing artefacts. Truncation-, burn out artefacts or ones caused by static electricity and even crossed excitation can occur and distort image quality.
5.7. The avoidance/ elimination of artefacts
5.7.1. Cardiac motion artefacts avoided by ECG gating.
The ECG electrodes must be made from special metallic alloys and the wires need to be placed in an order that they do not create induction loops. At regular cardiac rhythm, the radiofrequency pulses can be synchronized with the ECG “R” waves.
Turning (MR compatible) pace makers temporarily off can only be done in the presence of a cardiologist.
5.7.2. Breathing artefacts avoided by respiratory synchronization
To avoid breathing related motion artefacts, respiratory gating can be applied. Measurements, taken at the same breathing phase (end-expiratory), assures the minimalization of breathing related artifacts and provides reproducibility. It is a reliable technique, although this method considerably increases acquisition time.
5.8. The biological effects of MRI examination:
During an MRI examination a patient is exposed to 3 types of radiation:
- static magnetic field (external magnet)
- non-static (changing) magnetic field (gradient coils can induce electricity in the body)
- radiofrequency radiation (“microwave” effect, the body heats up during the examination) Radiofrequency energy doses are automatically measured by the machine giving warning when a limit dose is reached.
It should be considered that the lens of the eye and the testicles are less resistant to heat effects. It is also well-known that in sedated patients (especially children) warming up is greater, therefore more attention should be paid to the energy absorbed.
It must be assured that certain organ temperatures remain under certain temperature:
- Head 38 0C
- Trunk 39 0C
- Extremities 40 0C
5.9. Contraindications
The knowledge of absolute and relative contraindications is essential for the ordering physician; the neglect of these can have worse consequences than in other examinations.
It is FORBIDDEN to even approach the proximity of an MRI machine for patients with (non-MRI compatible) pacemaker. The examination can disrupt or damage the integrity and the functionality of any electronic, metallic or mechanically operated machines built in the body (including implanted pacemakers, heart defibrillators, hearing devices, implanted bone growth inducing machines, implanted drug releasing devices, neuro-stimulators and similar products).
The dangers for pacemaker: displacement, turning on or off, reprogramming, desynchronization, electromagnetic interference, induction of (Eddy) current in the electrodes can all occur because of the magnetic field. It is important be aware that even retained electrode from a pacemaker is capable to cause fibrillation or burning effects.
Implants: if they are made from ferromagnetic materials they can heat up, electricity can be induced within them or in their surroundings. They can displace, electric arches can occur between them producing metallic artefacts. Aneurysm-, vessel clips, orthopedic or traumatology metallic objects, filters in veins, intrauterine devices, and certain artificial heart valves can be considered as such implants. Stents are usually MRI compatible.
The above-mentioned dangers are also influenced by the strength of the magnetic field, the gradients used in the MRI machine and by certain characteristics of the implants (composition, ferromagnetic properties, shape, place, orientation, and time passed since the implantation).
Metallic foreign bodies: patients often are not even aware or forget to mention that they have ferromagnetic material in their body (blast injuries in molding or metallic polishing workers). These are usually dangerous if localized intraorbitally, intraocularly or when placed close to the spine. In these situations a quick CT examination for orientation is usually the way to go, before MRI. (We do have to remember, that x-ray images are not sensitive enough in cases of small metallic objects or ones close to bony structures.)
Tattoos (important because of frequent occurrence): if the paint used contains metallic particles, it does not just cause metallic artefact, but it can heat up (even sparkle) which can cause burns.
MRI examination during pregnancy
During early fetal life, physical effects are more likely to cause harm in cell division, therefore in early stages of pregnancy (1st trimester) MRI is not advised (although, direct fetal damaging effect, has not yet been proven), unless unavoidable. At later stages (2nd and 3rd trimester), it is suspected that noise from the MRI machine can cause auditory damage and the conductive cooling of the amniotic fluid is not a match against the heating effects of MRI.
5.10. MRI contrast materials:
They help in the differentiation of normal and pathologic tissues.
Differences between tissue signals can be pronounced in a way, that signal intensity change of an enhancing tissue results in the increase of tissue contrast. It is either done by increasing tissue signal intensity or by suppressing the detectable signal of another tissue.
Specificity levels are different for contrast materials. We differentiate organ-, tissue-, cell- or receptor specific contrast agents.
Contrast materials used in MRI are fundamentally different in their physical nature than contrast agents used in other imaging modalities.
The MRI contrast agent selectively alters the inner magnetic properties of the protons of the enhancing tissue compared to its surroundings. Its tissue-specific distribution in healthy and pathologic tissues creates a concentration gradient that further increases these differences.
Contrast materials do not contain hydrogen atomic nucleus, they affect the nuclei of hydrogen atoms found in their surroundings. They can either have paramagnetic (T1 relaxation shortening) or superparamagnetic as well as ferromagnetic (T2 relaxation shortening) properties.
The viscosity of contrast agents must be regulated so it can be tolerated when injected.
The bio-distribution of contrast agents are defined by distribution, clearance and excretion.
5.10.1. Paramagnetic contrast agents:
In practice Gadolinium Gd3+ (and Manganese, Mn2+) based contrast material is generally used, where the metallic ion is bound to a chelate frame. They induce small local magnetic field changes in tissues decreasing their relaxation times (T1 and T2). The T1 relaxation shortening effect is used for contrast enhancement.
Gadolinium is a rare earth metal. After intravenous administration it distributes in the blood evenly and stays in the extracellular space in the organs for a certain amount of time, then excreted through the kidneys. In pathologic tissues, (inflamed, tumorous) their concentration increases, causing a hyperintense T1 signal. It is unable to cross the intact blood-brain barrier. There has been several occasions though when contrast agents were observed crossing the blood-brain barrier so in Europe (EMA) only macrocyclic Gadolinium agents are advised /can be used . In the USA (FDA) the regulation differs from the European.
Recent studies observed the accumulation of Gadolinium in the central nervous system, in the basal ganglia and in the medulla although no harming effect was proven.
5.10.2. Superparamagnetic and ferromagnetic contrast materials:
Iron (SPIO = Superparamagnetic Iron Oxide and USPIO = Ultrasmall Superparamagnetic Iron Oxide) and the isotope of O17, strongly decreases T2 relaxation times by creating a local magnetic field inhomogeneity at the tissue (while minimally affecting T1 relaxation), producing strong SI (signal intensity) decrease on T2 weighted images. In the intact tissue they accumulate intracellularly (RES – reticuloendothelial system cells). Focal spleen lesions, diffuse spleen lymphoma, lymphatic metastases, hepatic tumors and -metastases (taken up by the Kupffer cells) can be visualized by these contrast agents.
5.10.3. Organ specific contrast agents:
Organ specificity is a logical requirement. Intensive research is ongoing to produce even more organ specific contrast materials. Organ- and tissue specificity of paramagnetic contrast materials depend on their carrier agents.
5.11. Take home message::
MRI does not radiation effects, it can distinguish very specifically normal and pathologic tissues from one another with its remarkable tissue characterization properties, which can be further enhanced using contrast materials. Furthermore, highly sophisticated examinations (MRS, fMRI) are also available. In order to correctly ask for MR examination, the clinical practitioner must be fully aware of its advantages as well as the limits and the contraindications of this examination as well as its pace in the diagnostic algorithm.
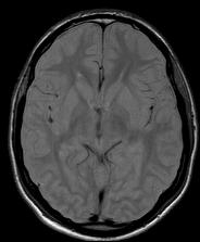
- T1W image: (brain, sagitta slice, arachnid cyst)
- T1W image + iv. contrast material (enhancement is seen in the right ponto-cerebellar angle: Schwannoma.)
- Metal artefact
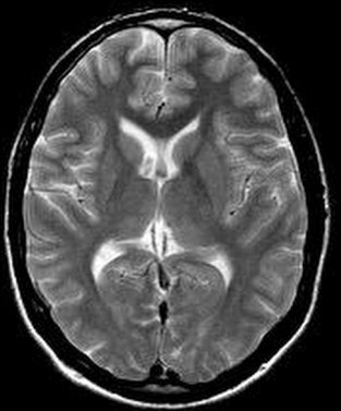
- Proton density, SM
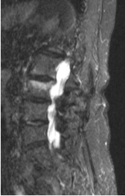
- T2 subacut infarction
Translated by Balázs Futácsi and Sükösd Hunor