Loading...
 
PDF Print

Radiation Therapy

24. Radiation Therapy

Authors:

Zoltán Vígváry

Semmelweis University Department of Radiology and Oncotherapy, Budapest

Pál Zaránd

Budapest University of Technology and Economics Institute of Nuclear Technique

Csilla Pesznyák

Budapest University of Technology and Economics Institute of Nuclear Technique

 

24.1. Introdutcion

 
Radiation therapy is applied to destroy the malignant tissue, so the damage of the healthy parts (like the skin) should to be minimized. We can ensure that with the physical and geometric properties of the beam. The most important of these are the crossfire-technique, the selection of energy, the utilization of the build-up region, the well-defined range of charged particles (and the Bragg-Gray peak), and the use of inverse-square law. The use of these possibilities (or a part of them) is guaranteed by the radiation sources below.
In radiotherapy, the sources can be grouped in many ways. The properties of the source (radioactive isotope, Bremsstrahlung radiation, charged particles, etc.), dose rate, the type of the irradiation facility (60Co unit, linear accelerator, afterloading, etc.), the source-surface distance (teletherapy, brachytherapy) can be the basis of grouping. In this chapter, the last grouping is used. Because of space limits obsolete devices, which are no longer or only rarely used, are only mentioned but not discussed in detail.
The most important devices are: teletherapy equipments, brachytherapy units, special imaging devices and treatment planning systems.

 

24.2. Teletherapy equipment

 
X-ray therapy . In the order of invention, the first device was the therapeutic X-ray machine. The high voltage is between 10 and 300 kV (can be changed), the tube current is variable between 6 - 25 mA, or fixed. This depends on the type of the device and the application. The 10 -50 kV range is used in soft X-ray therapy, with Be-window (beryllium) tubes, using usually fixed high voltage-filter combinations and constant current.
Another special X-ray device used in Europe is the Chaoul. It works with special anode, constant high voltage and tube current, fixed filtration and 1,5 - 5 cm focus-skin distance. The machines operated in 50-300 kV range with different filtering are called orthovoltage or deep X-ray therapy units (focus-skin distance: 30-50 cm). Their importance is strongly reduced in nowadays.

Image
Figure 1.: X-ray therapy units used in surface and deep therapy
Image
Figure 2.: Longitudinal section of the cobalt unit

Cobalt unit. Almost for 40 years the most important external beam radiotherapy device of tumour therapy was the cobalt unit. It’s true, that the Cs-137 source seemd hopeful, but that’s proved to be a dead end.
A suitable artificial radioactive source should be relatively small having a γ-energy above 1 MeV (skin sparing effect), and a sufficiently long half-time. The average energy of the two γ-lines of a Co-60 source is 1,25 MeV, it has a 5,28 year half-life, a source can be made with 1-2 cm diameter and 3-400 TBq activity, which can result in about 3Gy/min dose rate at 80 cm source-surface distance. It’s enough to replace the source in 5-8 year intervals, depending on patient’s number.
The unit consists of a stand, a moving C-arm with the head, and a (at least rotating and moving in 3 axis) treatment couch. Because of the head’s heavy weight, it’s advisable to apply a counterweight on the opposite end of the C-arm. The head contains the source, the field-limiting system and the field projection system. The machine is operated from an external operator room. The modern heads can be moving also around the long axis of the head.
The source is stored usually in the head, when it is in beam off position. The source movement from beam on to beam off (storage) position can be done with mechanic devices (pushing rod, sliding clutch, etc.), pneumatic way, or the source isn’t moving, only the beam is broken by a metallic block. The machine is supplemented with many latches to improve the safety of the staff and the patient.
Linear accelerator. Accelerating electrons is theoretically easy, but in practice, it became only available when high-power (above 2 MW), high frequency devices were developed. During the Second World War in Europe the high-power high frequency oscillator, the magnetron has been developed, and in the USA, the klystron invented, which is suitable for high-frequency amplifying. Both were a military secret, so until the end of the war, the medical application was out of question. The medical accelerators are working on 2,97GHz.
In the magnetron the central cylindrical cathode is surrounded by the anode block made of copper, with a cylindrical cavity between them. In the anode block, the resonant cavities have a circular layout. The magnetron is placed in a homogenous magnetic field, perpendicular to the plane of the figure. The electrons, emitted from the central hot cathode, are moving to the anode on a complex way by the effect of DC pulses and the magnetic field. In case of resonance, high power, high frequency oscillation created, which can be coupled to the accelerator tube through the waveguide with the appropriate antenna. Usually a few hundred 2-5 \mu s wide pulses/second are created.


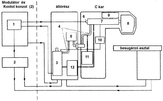
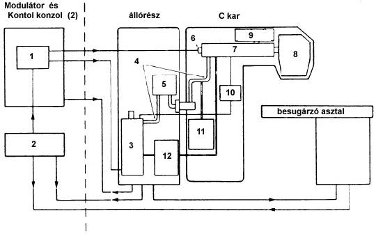
FIGURE 3: Section of Magnetron (a) and klystron(b) )(Figure 4: Block diagram of Linac

The klystron is not a high frequency generator, it is a microwave amplifier. It has two cavities (buncher and catcher) connected by a tube. The low level microwave to be amplified enters on the cathode side, and it modulates the electron beam velocity, so the electrons arrive to the second cavity sorted in compact bunches. In the second cavity the electron bunches are decelerated resulting in a high-power microwave, which has the same frequency as the input signal. 5-30 MW power can be reached with this unit.
In radiotherapy linear accelerators requiring lower power, operated only at 6 MV or below, exclusively magnetrons are used, and above 15 MV, almost all companies are using a klystron.
The most important units of the linear accelerator are illustrated on the block diagram: 1. pulsed power supply, 2. control console, 3. klystron, 4. wave guide, 5. circulator, 6. electron gun, 7.accelerator structure, 8. magnet and treatment head, 9. vacuum system, 10. automatic frequency control (AFC) system, 11. pressure system, 12. cooling water system (upper left modulator = modulator cabinet; middle: állórész = stand; right: C kar = gantry). The injection system is the source of electrons (electron gun) and the accelerated electrons are drifting through the anode into the accelerating wave guide. The electrons arrive in bunches in the proper time, and accelerated in the waveguide by the transmission of RF power. The length of the waveguide depends on the technique of acceleration. In the travelling wave devices, an electric field parallel to the waveguide is used. The slow bunches only take a short way in unit time, and the cavities close to the electron gun are relatively short. Later as the bunches are accelerating practically to the speed of light, longer cavities are required. At the end of the tube, the energy has to be absorbed or fed back to the input end of the waveguide. The well-defined electron beam energy is the advantage of this system. The disadvantages are the long waveguide, which makes the keeping of the bunch’s convergence more complicated, and only rotating drum suspension available.
Modern radiotherapy accelerators are usually standing-wave type (except one manufacturer’s devices) equipments. In these machines, the accelerator guide is about 1.7 times shorter than in the moving wave types. Further significant decreasing of length was possible by moving of the non-accelerating coupling cavities to side. To these, only a little more decreasing factor is the energy attached form the side in the wave guide. The result is a short accelerating tube (with the electron source), which can be directed to the isocenter using 6 MV, and a bending magnet is not necessary, in the 10-25 MV range it fits into a C-arm. The disadvantage is a wider electron spectrum.
The direction of the electron beam (as it exits the window of the accelerator tube) to the isocenter (if necessary) is possible in two ways. In moving-wave devices several magnets required to use the “slalom technique”. The electron beam is “slaloming” in the field of the first two magnets while the third one, which is hardly more than 90° bending magnet (the 90° magnet is not for focusing the beam, but spreading it), is directing the properly focused beam to the isocenter. In standing-wave machines achromatic, 270° magnet is applied, which has an appropriate magnetic field and it can focus and direct also a wider spectrum to the isocenter.
The beam can be used in two ways. If we want to apply it in an electron therapy, than the narrow beam is usually spread by two scattering foils. If bremsstrahlung radiation is required, then suitable target (e.g. tungsten target) is used. The target is not designed to produce a homogenous irradiation on the body surface, but at a depth of 10 cm and in a large (40x40 cm²) field. On the surface we observe the effect of the “overflattening” filter.
The accelerator is supported with a very complex latch system. Besides the direct safety latches, this is controlling the stability of the accelerator’s physical parameters. The ionisation chamber system is the most important of these. This controls not only the beam’s symmetry, homogeneity, dose rate, but also the dose delivery. The collimator system is added to form the proper field size.
The field shape can be modified with shielding materials (e.g. blocks), and the dose distribution can be changed with wedges. The latter is replaced in modern accelerators by a software: the collimator is moving (dynamic wedge), or an appropriate combination of 60° wedged field and an open field are resulting in the required wedged field. The following figure shows an X-ray unit (with EPID) combined with a linac.

Image
Figure 5: Linac + on board imager (OBI)
Image
Figure 6: MLC

Developing the Multi Leaf Collimator (MLC) was a significant improvement. With this, a conformal shaping can be provided. The MLC can be an independent beam limiting device, or it replaces one of the collimator pairs. On modern accelerators two types of MLC are used. One type is used in the conventional radiotherapy (52-120 leaves, large fields, up to 40 cm), and the other type is the γMLC, used in fields below 10 cm, but in fine steps (stereotactic irradiation). The MLC is an essential device of conformal irradiation and intensity-modulated radiotherapy (IMRT).
Other types of accelerators. In the following section, some other machines are presented. They are used only for treating a few percent of patients. We don’t pay attention to machines no longer used (betatron, e.g.), or not expected to be important in the future.

Image
Figure 7: Cyberknife
Image
Figure 8: Microtron’s principle of operation

Cyberknife. Practically, it’s a combination of a linac and a robotic arm, the system being supported by imaging devices. The doubled frequency compared to standard linacs leads to the size reduction of resonating cavities and the waveguide.
Microtron. The microtron is a circular accelerator with only one resonating cavity. Electrons passing through this cavity are forced to an orbit in a homogenous magnetic field, and they are passing through the cavity repeatedly. The radius of the orbit is increasing with the speed of the electrons, and if appropriate energy is reached, the beam extracted by using a deflection tube. The beam can be used as electron beam with appropriate energy, or with appropriate target (Bremsstrahlung) an X-ray beam is produced. The improved version uses a multiple cavity system (race track microtron), with the same principles of operation. Its significance can be best characterized with the figures: while about 500 linacs are installed, only 1-2 microtrons are produced in a year.

Figure 10: Chinese cyber knife
Figure 9: Tomotherapy device and binary MLC

Tomotherapy: The principle of operation is the same as that of the spiral-CT; the radiation source is a low energy linear accelerator. It is adjusted with a binary MLC.
Gamma knife. Several number of Co-60 sources are applied on a spherical heavy metal segment containing radial boring for each source thereby collimating the individual beams (Leksell) or a limited number of radial collimated sources are mounted on a movable arch (Chinese solution). Both systems permit the exact irradiation of small volumes.
Ciklotron. In medical practice the most important circular accelerators are the cyclotrons. They are used for the production of radioisotopes with short half-life (used in nuclear medicine, positron emission tomography, PET) and in radiation therapy (proton therapy and neutron therapy). For the latter purpose nuclear reactions of accelerated heavy ionizing particles (proton, deuteron, α) are used.
The device contains two semicircular direct current magnets, and a short metallic cylinder divided in two sections (high frequency field connected between them). The particles injected from a source in the device’s centre, are accelerated by the electric field only between the magnets, and the magnetic field is forcing them onto a circular orbit. In the gap, they will receive again an increment of energy, and so on. The particles radius increases with the speed, and after an appropriate energy reached, the particles are deflected. If neutrons are required, then deuterons are accelerated to 15-50 MeV, and collided to some type of a low atomic number target, for example, beryllium. The peak of the energy-spectrum of neutrons generated in a nuclear reaction is between 6-20 MeV, depending on the energy of the colliding deuterium. The beam’s depth-dose curve looks like that of the cobalt sources. The only radiobiological advantage of neutrons is the oxygen effect is practically missing. (See in the radiobiology chapter).
The mono-energy particles’ depth-dose curve seems to be very attractive: Near to the surface only quarter of the maximum value, and (depending on energy) it increases suddenly at a greater depth (Bragg peak), and it falls to zero immediately. The problem is that the peak’s FWHM (full-width half-max) is 2-3 cm, so in clinical practice, it’s significantly less than the linear size of the irradiating area. So several beams have to be superimposed to raise the Bragg peak (e.g. replacing human tissue with filters), and with this, the benefits of the low surface dose can be completely lost.

24.3 Radiation sources and devices in brachytherapy

 
The radiation sources in bracytherapy are also classified by the isotope’s type, half-life, the application’s aim, repeatability or by the devices using the isotopes. In this chapter, we discuss only the closed sources, not talking about the former, reusable sources developed to manual treatment, or the 226Ra, which is no longer used. The table below summarizes the parameters of some sources used in brachytherapy. The data are only informatory, because depending on the material of the case, fluorescent X-ray is also formed, but the unnecessary electrons and low energy photons are absorbed by the case.

Table. Isotopes for brachytherapy
Isotope
T1/2
Eav
:Application
Comment::
60Co
5,28 year
1,25 MeV
afterloading
192Ir
74,2 day
0,38 MeV
afterloading, interstitial
125I
60,2 day
35,5 keV
interstitial
patient remains consider: permanent
103Pd
17 day
20,8 keV
interstitial
patient remains consider: permanent
106Ru
374 day
354 keV
\beta-, ophthalmology

Permanent brachytherapy, or seed implantation. The sources left in the patient, called seeds, exactly about 0.8-1 mm diameter, 4-5 mm long rods, and their build are diverse, depending by the isotope type, and the application. For example, the 125I is placed on a carrier in a thin Ti case, because of the low energy. The 103Pd source isn’t seen in the X-ray, that’s why a lead marker put in the centre of the seed, etc. The seeds can inserted to the target place with a special tool, through the puncture channel.
Manual Afterloading. The essence of this method is in its name. Inactive devices, lead wires, hollow needles, templates punctured in the patient properly to the treatment plan, to decrease the staff’s radiation exposure. After the setting of this complex setup, which proved appropriate in inactive phase, the sources are placed manually into it. The usually 192Ir wire could be made from Ir-Pt alloy, what can be cut to proper size with special, radiation protected tools. The other usual process is to put 3 mm size 192Ir sources with 1 cm distance into a plastic tube, and the necessary length is reached by cutting the inactive part to the appropriate size.
Afterloading. In this method, first the inactive applicators placed into the patient’s body and after the fitting setup controlled by imaging, the required dose rate reached with moving only one point source.

Image
Figure 11: Afterloading and treatment table
Image
Figure 12: Conventional simulator

The main parts of the afterloading machines are: The source-moving device, the channel selector, source container, source-leading tubes and applicators and the computerized controlling device. The installed system, in addition to locking mechanisms, is completed by security devices. The inactive (dummy) source is also a part of the modern afterloading machine’s security system, which is used to verify all sources moving before the irradiation. Moving the point source, arbitrary source can be created, only the stepping times have to planned by an irradiation planning program. The common source is 192Ir and 60Co (less common). The Iridium source’s initial activity is usually 370GBq, that of the cobalt source is 37 GBq. Greater specific activity can be reached with iridium, and therefore it can used with many types of applicators including needles. The disadvantage of this type is that in an institution with larger patient throughput a source replacement required in every 3 months. Because of the cobalt source’s lower specific activity, the charge’s size is bigger, that’s why it is not suitable to prickling, but it is suitable for intracavitary therapies (oesophagus, rectum, gynaecological treatment) The frequency of the charge’s replacement is only specified by the quality of the fixation on the mover cables.

23.4. Special imaging devices

 
Simulator. The simulator is a machine that emulates the geometry and the movements of the treatment unit but diagnostic quality x-rays instead of high-energy treatment rays.
CT-simulator. The CT-simulator is a dedicated CT scanner for use in radiotherapy treatment simulation and planning. The CT scanner has large bore (opening up to 85 cm), room lasers, including a movable sagittal laser for patient positioning and marking and flat table top and special software for virtual simulation.

24.5. Treatment planning in teletherapy

 
The whole process begins with patient positioning and body fixation and the creation of individualized 3D digital data sets of patient tumours and normal adjacent anatomy in CT. These data sets are then used to generate 3D computer images. Radiation oncologists make a contouring for tumour and organs of risks. Sometimes it is necessary to fusion the images, combining of MRI and PET-images into CT slices. The next steps are dose planning with a treatment planning system, acceptance of treatment plan and transporting of information into the treatment and simulating equipment through a computer network. After that the patient is placed on the simulator table and the final treatment position of the patient is verified using the fluoroscopic capabilities of the simulator. The images from simulator are compared with digitally reconstructed radiographs (DRRs) from treatment planning system. The clinical aspects of treatment simulation, be it with a conventional or CT simulator, rely on the positioning and immobilization of the patient as well as on the data acquisition and beam geometry determination. Treatment evaluation consists of verifying the treatment portals (through port films or on-line portal imaging methods) and comparing these with simulator radiographs or DRRs and/or performing in vivo dosimetry through the use of diodes, thermoluminescent dosimeters (TLDs) and other detectors.

Workflow in teletherapy:

  • a. patient fixation using the different type of devices
  • b. acquisition of CT data for treatment planning
  • c. definition of the critical structures
  • d. definition of the target volumes
  • e. treatment planning (determination of field geometry and shielding, dose calculation)
  • f. dosimetric control of the dose distribution for the treatment plan
  • g. analyse the dose distribution a point of view to planning target volume and region of interest
  • h. treatment simulation (conventional or CT-simulator)
  • i. treatment verification with portal imaging or cone-beam CT.
Figure 13, 14, 15: Patient fixation
Figure: 16, 17: Contouring
Figure 18, 19: Treatment planning

Three different types of calculation algorithms are used for treatment planning systems:
1. Measurement based algorithm (i.e. Clarkson).
2. Model based algorithms which use a pencil beam convolution model and primarily equivalent path length corrections to account for inhomogeneities. Changes in lateral electron and photon transport are not modelled (no lateral transport).
3. Model based algorithms which primarily use a point kernel convolution/superposition model and account for density variations in 3D. Changes in lateral electron and photon transport are approximately modelled (with lateral transport).

All of the systems are commercially available and it is assumed that all of the TPSs and algorithms have been previously evaluated and commissioned for clinical use.

Recommended literature for further reading:
1. Emerald Consortium: Image Database Vol. 1: Physics of X-ray Diagnostic Radiology ISBN 1 870722 03 5, Vol. 3: Physics of Radiotherapy ISBN 1 870722 09 4. Emerald Consortium, 1999.
2. Johns, H. E. Cunningham, J. R.: The Physics of Radiology (Fourth Edition) Charles C. Thomas Publisher, Springfield, Illinois, USA 1983. pp. 796
3. Kahn, F. M.: The Physics of Radiation Therapy. 2nd ed. Williams & Wilkins, Baltimore, 1994. pp. 542
4. Perez, C. A., Brady, L. W.: Principles and Practice of Radiation Oncology. 3rd ed. on CD-

 
Translated by János Norbert Gyebnár


Site Language: English

Log in as…