Loading...
 
PDF Print

Pediatric radiology

18. The fundamentals of pediatric radiology

Author: Éva Kis

Semmelweis University 1st Department of Pediatrics, Budapest

 

Aim of the chapter

To teach the students, that children are not small adults. Children and adolescents suffer from another types of illnesses than adults do, and that’s why the imaging methods differ too. Diagnostic strategies are different, although the imaging tools are the same or at least similar to those we use for adults. The sequence of modality choice, some of the technical parameters and the follow-up protocols are different in pediatric radiology.
In pediatric radiology it is highly important to reduce the number of examinations with ionizing radiation, or even to avoid them. It means on one hand the strict control of indications, and on the other hand, to possibly use examination without radiation exposure, such as US or MRI instead of X-ray and CT.

18.1. Differences between pediatric and adult radiology

The child is not a small adult – it might seem as a cliché, but in fact it is the basic truth. Children and adolescent suffer from different diseases than adults and require different therapies as well as altered imaging approaches.
The strategies for diagnostic imaging are different, although the modalities are the same or similar to those used in adult radiology. The sequence of modality choice, some of the technical parameters and the follow-up protocols are different in pediatric radiology.
The number one difference is radiation safety. Children are especially sensitive to ionizing radiation. Immature tissues are extremely sensitive to radiation and there is no minimal safety dosage that is considered absolutely harmless. Tissues in growth and the red bone marrow – that takes up most of the bone marrow tissue – at this age group are especially sensitive to radiation. Because of the smaller body size, the gonads are closer to the irradiated zones. Moreover, because of the longer life expectancy in children, the cumulative dose of natural and artificial radiation mean higher risk for the development of malignant diseases. The best protection is to minimize or to completely avoid the use of ionizing radiation in children. This, on one hand means strict control and supervision of the indications of X-ray and CT examinations, on the other hand, when possible, the use of non-ionizing examinations such as ultrasound or MRI are preferred. The other perspective of radiation safety is to decrease the number of X-ray expositions to the bare minimum, meaning that unnecessary repetitions, comparative or multi-angular examinations should be avoided. CT examinations should only be performed if they are absolutely necessary and if so with the use of special, low-dose protocols.
The so called ALARA acronym stands for – As Low As Reasonably Achievable -, therefore it means that one should use the lowest dosage of radiation possible. This point of view can never be neglected in pediatric radiology.
This chapter is meant to introduce the most important radiologic modalities in children and adolescent care differing from the adult radiology, as well as to give an overview of the most common diseases in a short and basic manner.

18.2. Radiologic diagnostics of the chest

18.2.1. The normal newborn chest

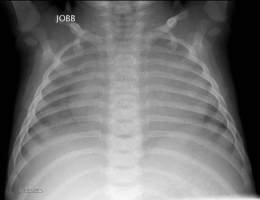
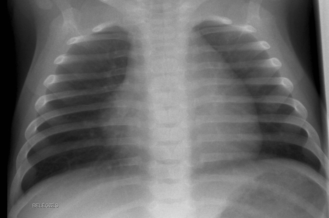
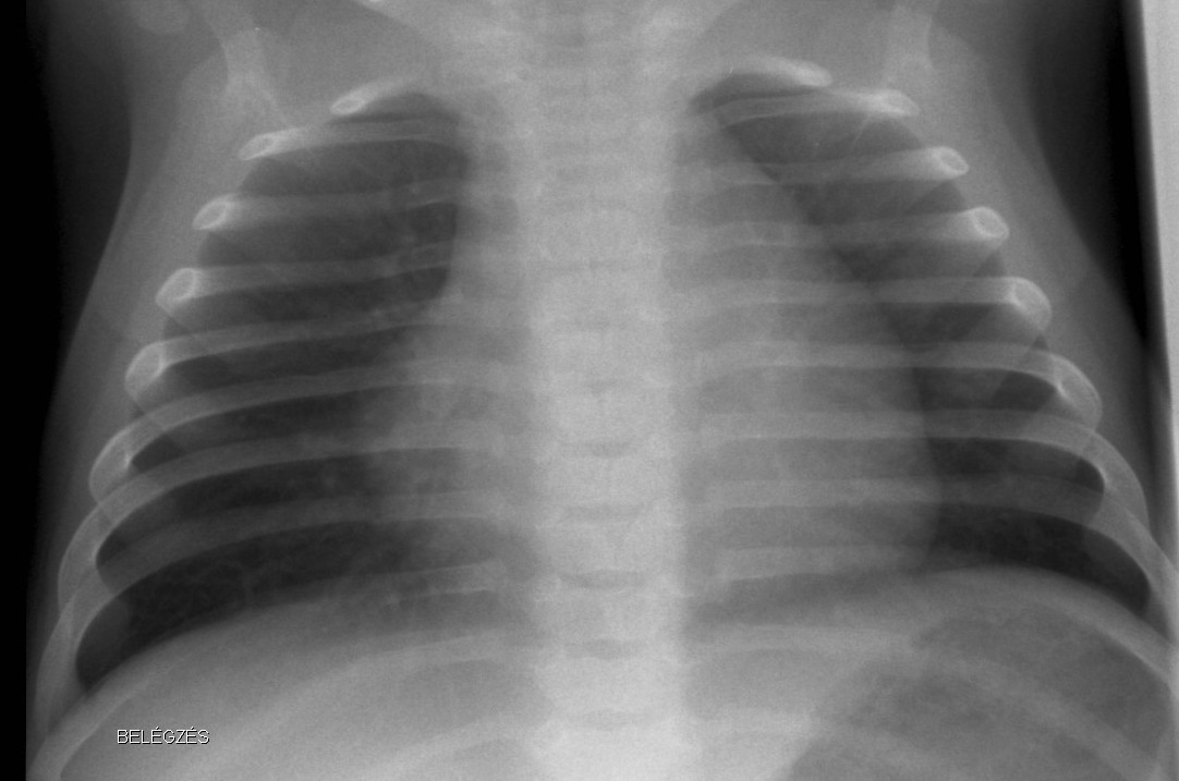
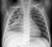
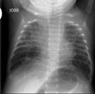
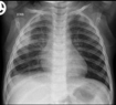
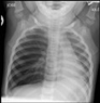
Normal newborn lungs: a newborn’s chest goes through some fundamental changes during the first days of extra-uterine life. The heart is relatively rounded, characterized by the dominance of the right side. The cardio-thoracic index taken in a mid-inspiratory state is between 0.55-0.62. Expiratory state can lead to diagnostic mistakes.
Thymus: is usually made up of two asymmetrical lobes, situated in the anterior-superior mediastinum and shows a great variability of both size and shape. It does not cause any compression on the neighboring organs. On ultrasound examination it appears as a homogenous solid tissue, relatively more hypo-echoic than the thyroid gland. The diaphragm is a bit more elevated in mid-inspiratory state its arch is between the 8-9th rib on the back and at the 6th rib in the front.
Bony thorax: the ribs are horizontal and the sagittal and horizontal diameters of the chest are very close to each other.

Image
1. a. Expiratory state: the transparency of the lung is diffusely decreased.
Image
1.b. Inspiratory state, the lung is transparent, the heart is normal sized. Ribs run horizontally in infants.
Image
2. Thymus has a contour on both sides. Healthy newborn.

 

18.2.2. A few diseases of the newborns

Wet lung, transitoricus tachypnoe. Fetal liquids in the lung are not properly drained by the venous and lymphatic vessels; the newborn will show signs of dyspnea and tachypnea. On X-ray, the chest appears hyperinflated, with decreased transparency and with a relative cardiomegaly. These signs usually disappear within 72 hours.
IRDS (Idiopathic respiratory distress syndrome). Preterm infants, younger than 34 weeks, have immature lungs with surfactant shortage that leads to alveolar insufficiency. The breathing disorder progresses with time as tachypnea, dyspnea, cyanosis and grunting occur. On X-ray images the respiratory volume will regress and a diffuse reticular-nodular pattern can be observed, also wide air-bronchograms will appear running to the peripheries. The contours of the heart will be blurred or even a complete loss of transparency is visible (stages I-IV). Surfactant administered in time will result in improved radiologic picture.
Meconium aspiration syndrome (MAS). It is frequently the disease of term and post-term newborns. The fetus defecates meconium to the amniotic fluid that is aspirated at birth, and it causes chemical pneumonitis. On the radiograph this is depicted with coarse patchy and streaky alveolar shadows.
Bronchopulmonary dysplasia (BPD). It is the pulmonary damage that occurs in immature newborns due to prolonged perspiration. Its radiologic picture depends on the stage of the disease, early signs of BPD are undistinguishable form IRDS. In later stages, the lung is hyperexpanded with pronounced central reticular pattern. Atelectasis is a frequent complication that promotes the appearance of infectious diseases.

Image
3.“White” lung. IRDS.IV.
Image
4. A snowstorm like nodular-patchy infiltrate on both sided of the lung. Meconium aspiration.
Image
5. The basal lobes of the lung are inflated, on both sides there is an irregular reticular pattern. BPD.
Image
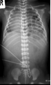
6. Intestinal shadows in the left side of the chest, the midline is dislocated to the right. Left sided diaphragm hernia.

 
Congenital diaphragm hernias. It is the result of abnormal diaphragm development. Its radiologic picture is influenced by its severity, localization, and time of duration. Left sided hernias are more frequent (also called Bochdalek hernias). The newborn suffers from respiratory insufficiency, intestinal and dislocated heart sounds can be heard above the chest, the abdomen is collapsed. The right sided diaphragm hernia is also called the hernia of Morgagni and causes a less severe clinical picture, many times discovered accidentally on the X-ray. On ultrasound the missing diaphragm and a herniated portion of the liver is seen.

18.2.3. Pneumonia.

In case of characteristic clinical, auditory and percussion examination results (crepitation, bronchial breathing sounds, dullness at percussion) a radiologic examination is not even necessary.
Radiography: for the majority of pneumonias a single PA chest X-ray is enough for the diagnosis. The initial examination within the first 24 hours of onset is generally negative, if its clinically necessary, control exam is to be performed. However, if the treatment for bronchopneumonia improves the clinical symptoms X-ray can be neglected. The final confirmation that the infiltrate has been resolved is always documented on a radiograph. In case of pleuro-pneumonias ultrasonography is capable to control, to analyze and to follow the course of the pleural effusion. Therefore, many control X-ray exams can be substituted with US.
X-ray in general is not appropriate to fully determine the etiology of pneumonia, but can be indicative in some cases.
Streptococcus B pneumonia: . is an acquired infection after birth of mature newborns and it can mimic IRDS. The difference to IRDS is the coarser reticular-nodular appearance accompanied by pleural effusion at many times. Sometimes scattered or confluent perihilar pattern can be recognized.
Staphylococcus aureus pneumonia: is a common bacterial pneumonia in small babies. Its clinical picture on X-ray is accompanied by coarse nodular or confluent infiltrations, with frequent pleural effusions. The pneumonic nodules consolidate fast and form pneumatoceles that can grow further and persist for a longer time. Healing usually lasts for months.
Round pneumonia: is a characteristic pediatric disease. The round shaped infiltration mimics a tumor on the X-ray image (neuroblastoma, bronchogenic cyst). Acute development, a feverish state, and air-bronchogram appearance within the infiltrate help with the differentiation, as well as the regression of the infiltrate by the end of the therapy. The most common bacterium is Streptococcus pneumoniae. Further imaging (CT) is rarely necessary.

Image
7. Pneumatoceles in the right upper lobe.
Image
8. Almost complete resolution within one month.
Image
9.a At expiration the right side is expanded.
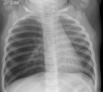
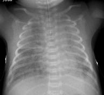
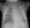
Image
9.b. At inspiration the midline is shifted to the right. Holzknecht sign: foreign body in the right bronchus

 

18.2.4. Airway foreign body

Children put anything in their mouth and, therefore from time to time accidental aspirations tend to occur. The symptoms of acute aspiration are very apparent. A pneumonia recurring at certain localization is highly suggestive of chronic aspiration of a foreign body. Hence, the role of radiology is more important in chronic cases of aspiration, where patient history does not necessarily indicate foreign body aspiration.
X-ray examination: aspirated foreign bodies are rarely X-ray absorbing, and therefore rarely appear on the radiographs. A negative inspiratory chest X-ray does not exclude the possibility of a FB aspiration. Most FBs cause occlusion on the level of the bronchi, which means that in inspiration air can get further than the FB but at expiration it will block the airway. Thus, on expiratory chest X-ray, the affected lung segment will be pneumatic; the diaphragm will be pushed lower on the ipsilateral side, while at inhalation the midline will be shifted towards the affected side (Holzknecht sign). In suspicion of FB aspiration (even if chest radiograph is negative) bronchoscopy is compulsory.

18.3. Gastrointestinal (GI) tract

18.3.1. Examination methods:

Preparation: When performing a passage examination in newborns or small infants the last feeding is skipped. A starting abdominal plain film radiograph is mandatory before each passage examination (to identify the distribution of intestinal gas, to rule out free abdominal air, or intestinal wall pneumatization and to locate the level of obstruction.) Plain abdominal x-ray is in many cases informative, whether contrast administration is really necessary, and if an immediate surgery is unavoidable (e.g.: free abdominal air, or in case of a proximal atresia in newborns). In cases of contrast examinations (passage exam or colon enema) the preferred contras agent has a low osmolality and is absorbable.

18.3.2. A few important diseases

Esophageal atresia: is commonly located at the level of the upper/middle esophageal border and is sometimes associated with tracheo-esophageal fistulas. Newborns are unable to swallow their saliva and the diagnostic tube gets stuck in the esophagus. The most common form is atresia with a lower fistula. In 50% of the cases other abnormalities are present; as part of the so called VACTERL syndrome (vertebral, anal, cardiac, tracheo-esophageal fistula, renal and limb) various additional abnormalities can be observed.
X-ray examination: an X-ray absorbent tube is visible in the obstructed diverticula of the esophagus. In cases of a lower fistula, the intestines are aerated, the accompanying costal and vertebral abnormalities can also be observed.
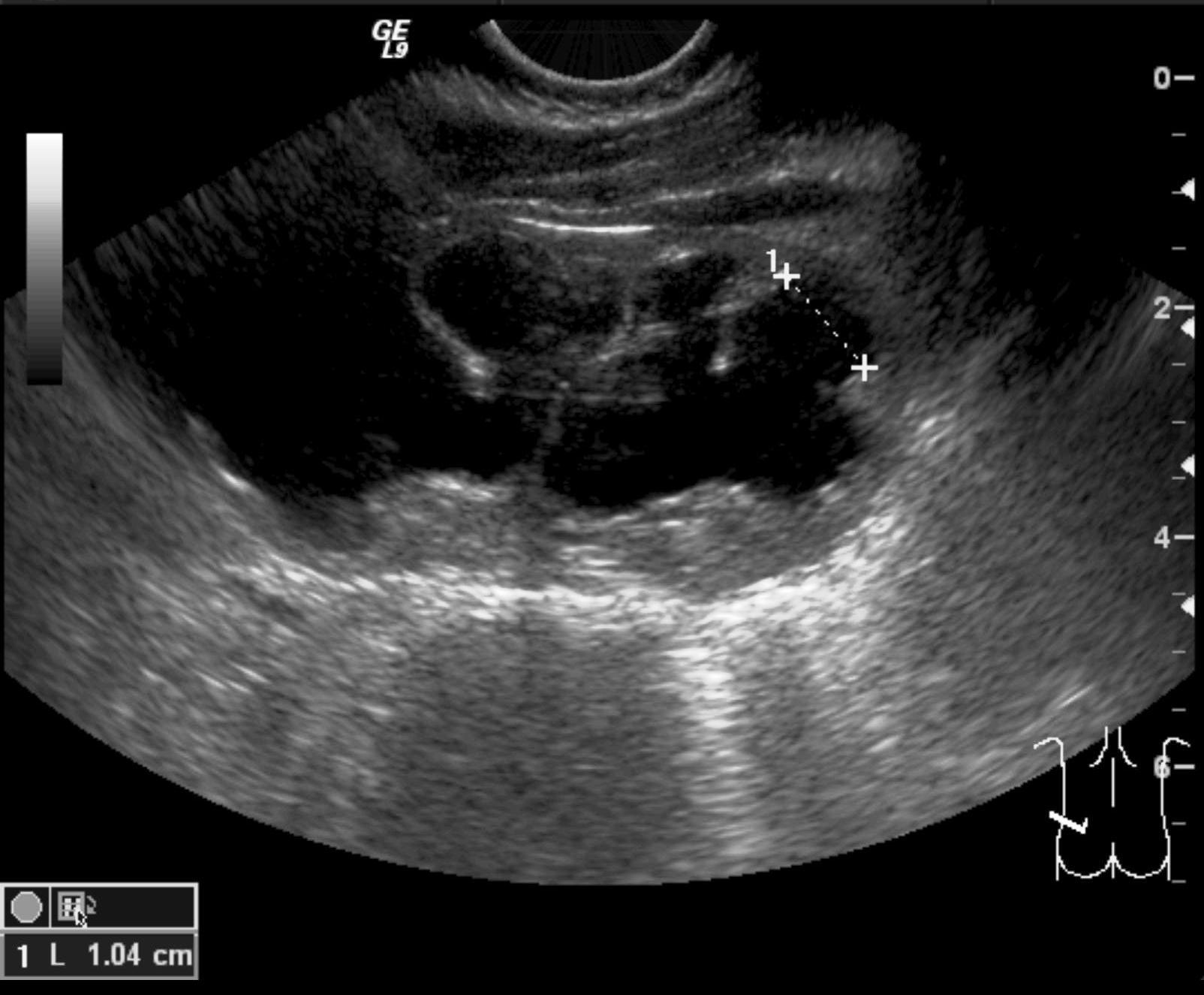
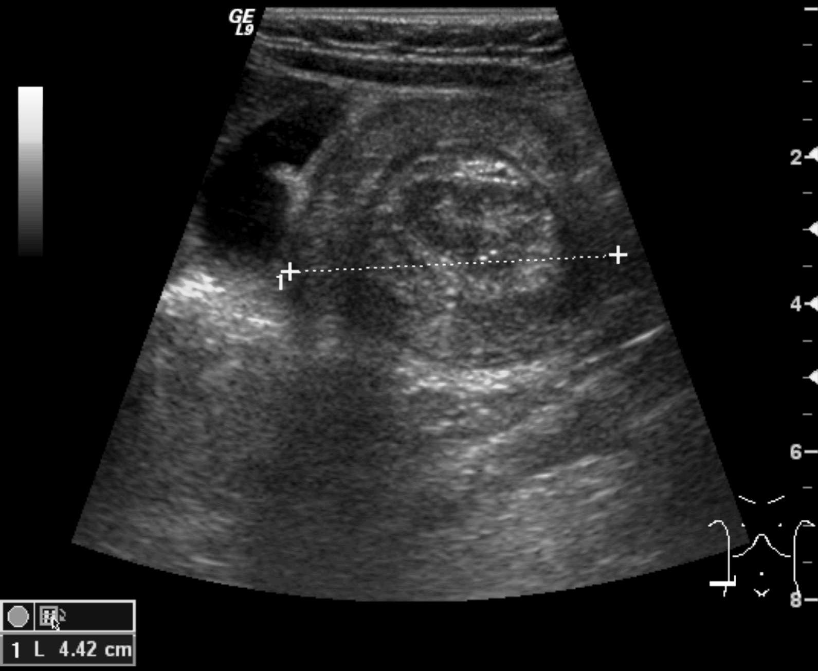
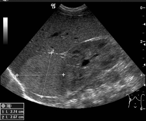
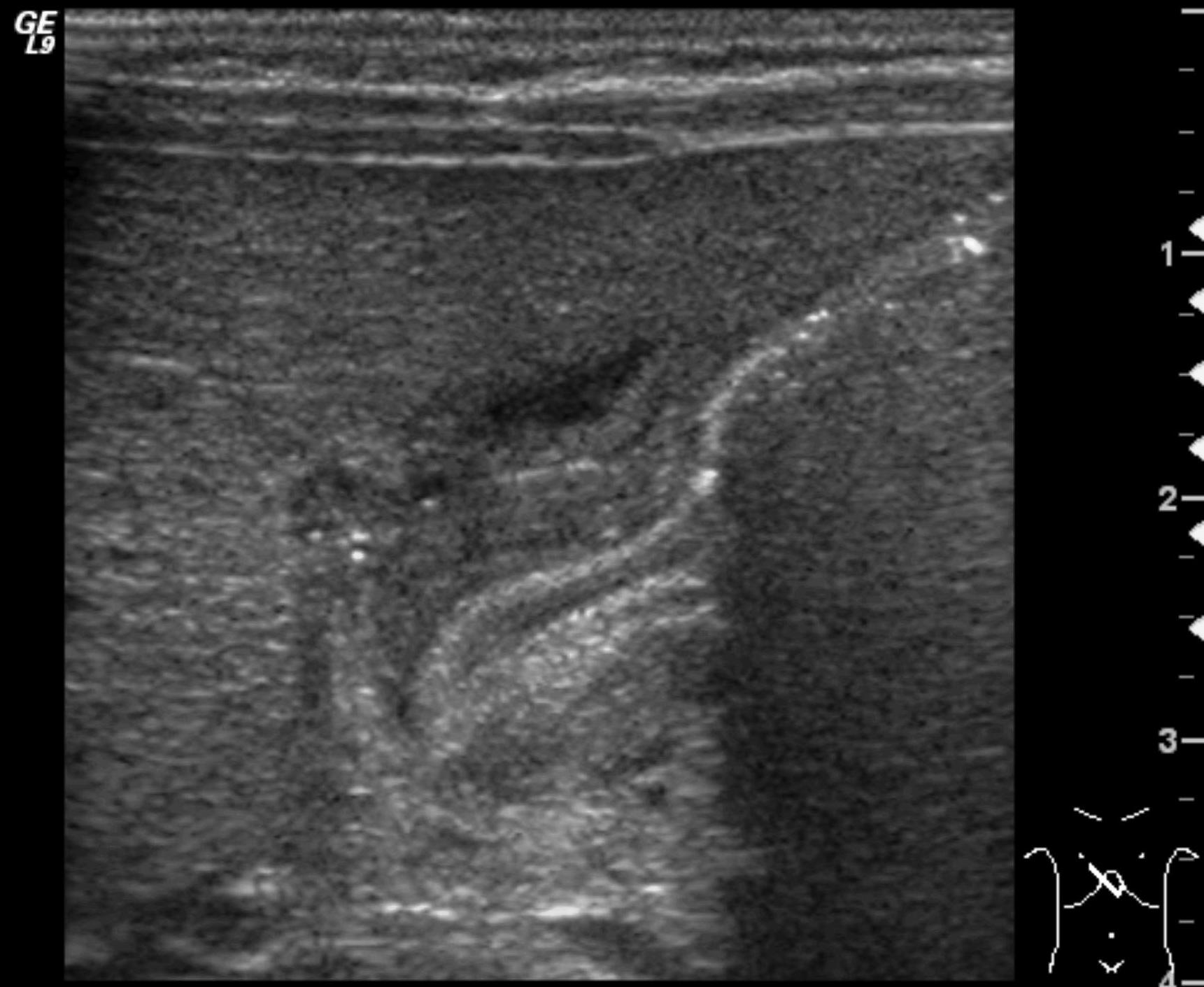
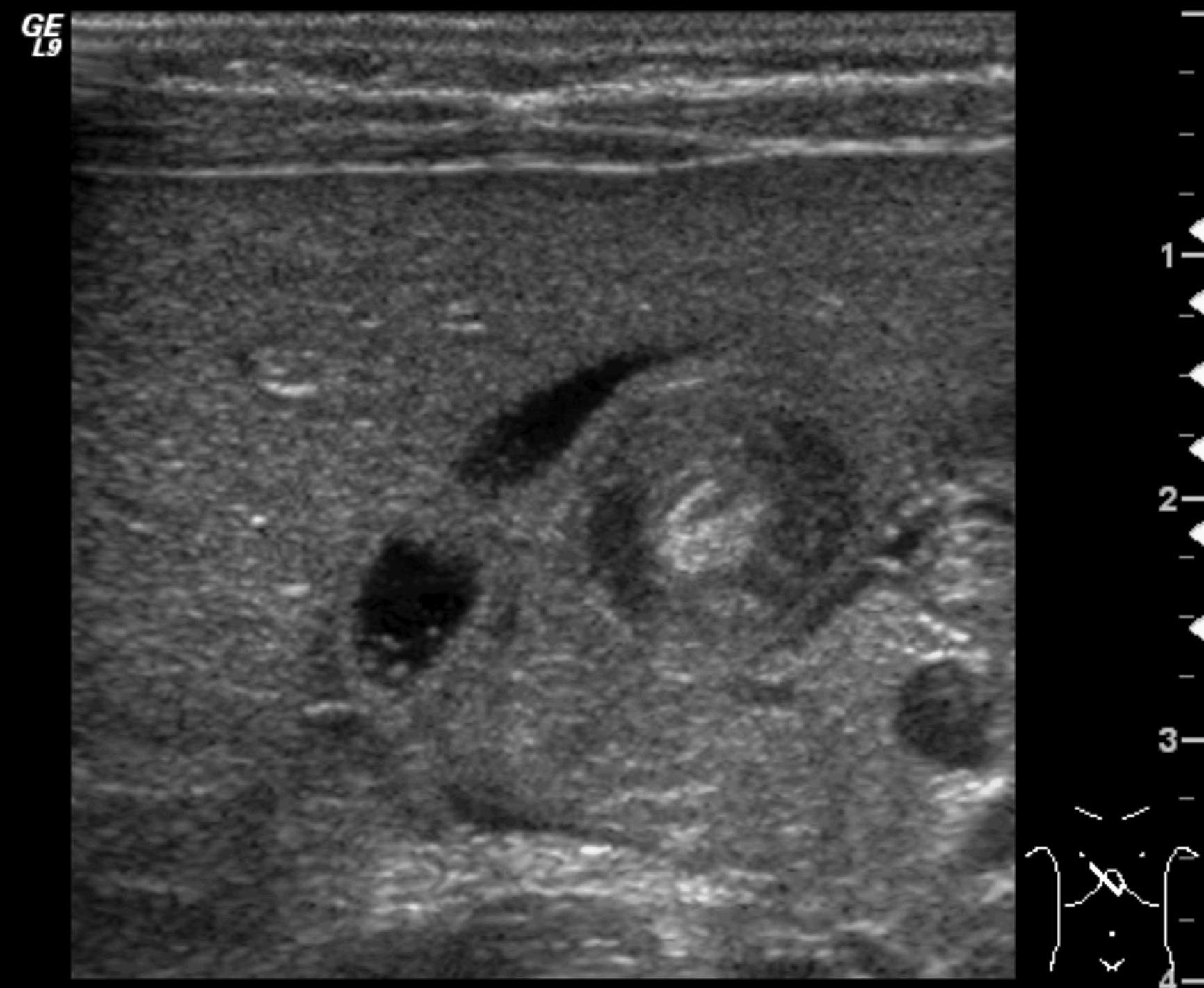
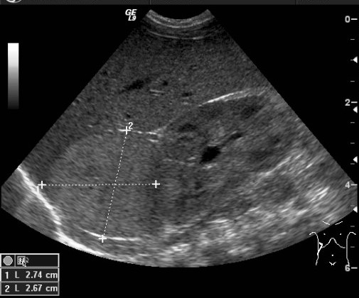
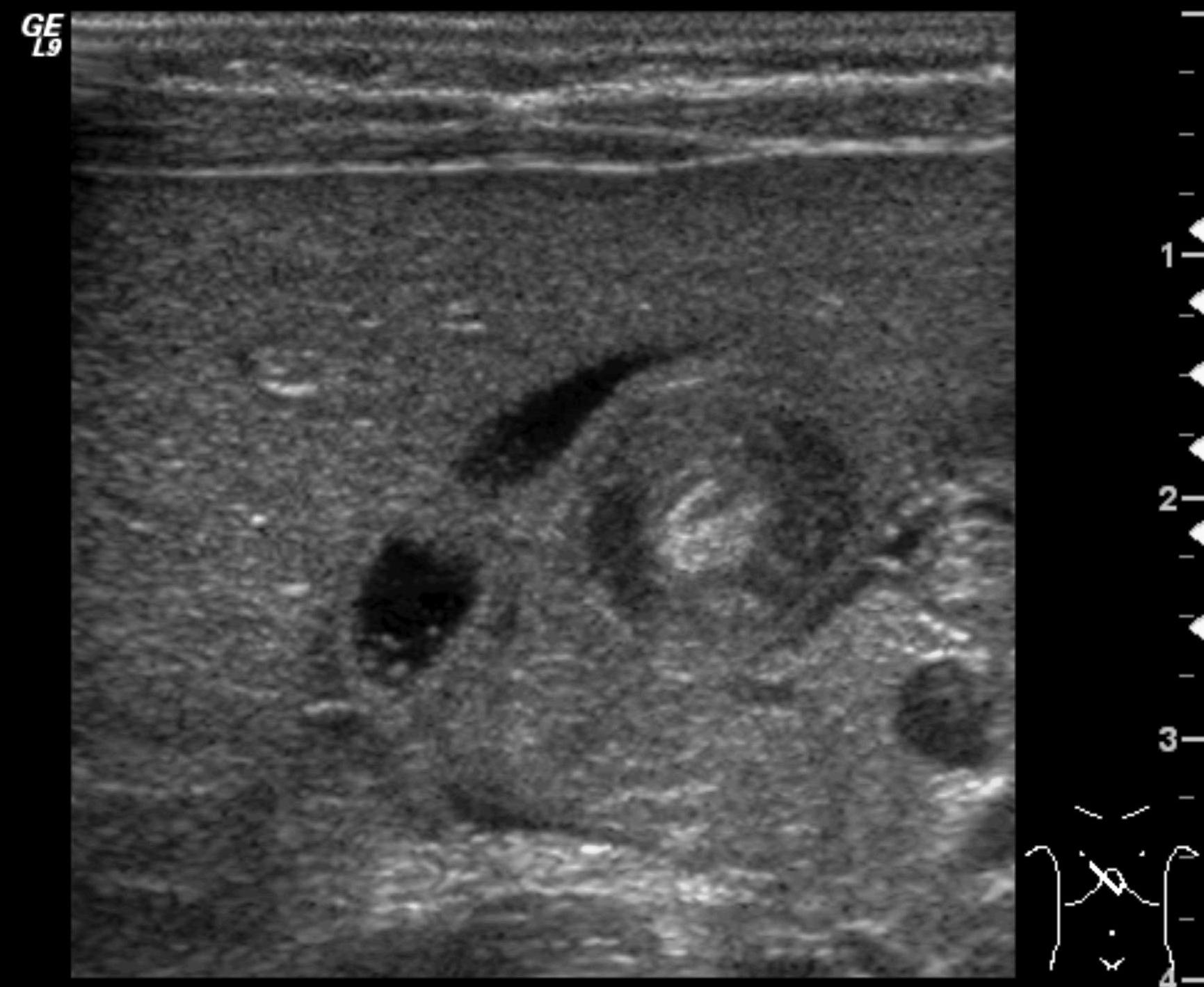
Hypertrophic pyloric stenosis (HPS). As a result of the hypertrophy and hyperplasia of the pyloric musculature a secondary stenosis can occur, that usually leads to symptomatic states in 3-6 weeks old infants. It primarily occurs in boys as frequent, progressive, nonbilious, projectile vomiting. On ultrasonography an enlarged (15mm or more), thick walled (3mm or more) pylorus can be seen in both longitudinal and in axial cross section.

Image
10.The tube inserted in the esophagus turns back in the height of the 4th Thoracic vertebra, the intestines are filled with gas. Esophagus atresia with lower fistula.
Image
11 The tube inserted in the esophagus turns back in the height of the 2nd Thoracic vertebra. The abdomen is gasless. Esophageal atresia without fistula.
Image
12a: Abdominal US: the pyloric canal is extended, its wall is thickened. Pylorus stenosis, longitudinal view.
Image
12.b. Axial cross section.

 
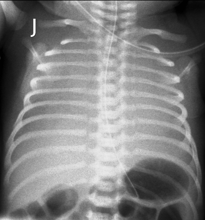
Duodenal obstruction. The cause of proximal obstruction is primarily duodenal atresia or stenosis. Usually US is able to depict the distended stomach and duodenum during intrauterine US examination as a cystic mass, while other intestines are completely free of fluids. Vomiting occurs in the first hours of extra-uterine life. Plain abdominal radiograph in cases of atresia will reveal the so called “double bubble” sign, where the stomach and the duodenum are distended but on distal segments, the intestines are gas free. In cases of stenosis, the distal intestinal loops will also show some air content. Other examinations are unnecessary and air can be used as a negative contrast material.
Malrotation-volvulus. During the normal development of the intestinal tract, the intestinal loops make three 90 degree clock-wise rotations around the mesenteric superior artery (MSA.) If this rotation only partially occurs during the embryonic development the intestines remain in a non-rotational or malrotational position, the mesenteric root will be shorter and the cecum will be weakly attached. This anatomic positioning can be symptom free throughout a lifetime, but it predisposes for volvulus. Volvulus can occur at any age, but it is most frequent in the first months of life, when it abruptly occurs with acute bilious vomiting. In this state the intestines around the mesenteric root twist, end up in a complete obstruction that can lead to a rapid death of the intestines. Ultrasonography can depict the mesenteric superior vein (MSV) coiled up around the MSA, so called “whirlpool”-sign.
During X-ray examination the contrast material does not progress to the jejunal loops or it shows a “corkscrew” sign on the right side of the vertebrae as it piles up in the twisted intestinal loops.

Image
13. Distended stomach and duodenal bulbus, “Double bubble” sign. Duodenal atresia.
Image
14. “Whirlpool” sign The mesentery and the superior mesenteric vein, as it coils around the superior mesenteric artery. Volvulus. US exam.
Image
15. Contrast material empties the stomach slowly, small intestines are found on the right side of the abdomen. Malrotation-volvulus.
Image
16. “Non-used”, narrow colon. Newborn, meconium ileus

 
Meconium ileus occurs in 10% of children with cystic fibrosis (CF), and almost all of meconium ileus cases are a result of CF disease. It is characterized by vomiting and abdominal distention, as the meconium cannot be defecated. On plain abdominal radiograph the intestines are distended without any air-fluid levels due to the adhesive nature of meconium. Colon enema examination with water soluble contrast material will show a micro-colon in which the meconium will cause contrast filling defects resembling small pearls. Contrast material that reaches the terminal ileum, and the repetition of the enemas can sometimes solve the ileus.
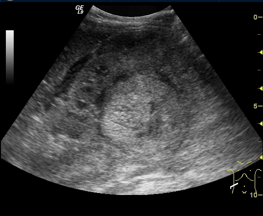
Invagination. A distal intestinal loop invaginating to a proximal intestinal loop can result in a mechanical intestinal obstruction, and cause ischemic damage. It most frequently occurs in infants (3-24 months) with recurring, colic-like complaints, distended intestines, a palpable mass and with frequent vomiting and bloody stool. Invagination requires immediate diagnosis and desinvagination. US exam reveals the invaginated intestines as a “target” sign in axial cross section and looks like a “pseudokidney” in longitudinal cross section. The therapy is hydrostatic or pneumatic desinvagination. Perforation and/or peritonitis are absolute contraindications to these procedures. Hydrostatic desinvagination can be performed under fluoroscopy or with US guidance and is considered successful if air or the contrast material appears in the terminal ileum and the invaginated loop disappears. If these efforts do not succeed, surgical desinvagination is needed.

Image
17. “Target” sign. Invagination. .
Image
18.a-b-c-Desinvagination with air.
Image
18. b. Arrow: invaginated segment.
Image
18. c. Successful desinvagination

 
Necrotizing enterocolitis (NEC). It is a severe intestinal necrotizing disease of the newborns. It usually occurs as early as the first 10 days of life, but can happen in the first few months after birth. Vomiting, distended intestines, bloody stool, acidosis, peritonitis and perforation are frequent findings. Plain abdominal X-ray can be non-informative in the early stages of the disease; later distension indicates the separation of loops due to wall thickening. Often, air bubbles appear in the intestinal subserosal or submocosal layers, as characteristic signs of “intestinal pneumatosis”. The intramural air can diffuse to the mesenteric veins and appear in the portal circulation in the projection of the liver. Free abdominal air is indicative of perforation and requires surgical intervention. US examination can reveal these characteristics of the disease before X-ray is indicative. US can depict thickened intestinal wall, portal and intramural air, abdominal free fluid or abscesses.
Hirschsprung-disease. In this disease the ganglions of the distal colon are missing. The lack of innervation of the colonic smooth muscle results in spastic functional obstruction. The symptoms can appear right after birth with the lack of meconium defecation and signs of obstruction. On plain abdominal X-ray the proximal intestines are distended with or without air-fluid levels, the distal loops are gas free. With contrast enema the distal, irregular, spastic, non-innervated segments and the proximal prestenotic dilatation of the colon can be visualized.

Image
19. Distended bowel loops. Air is seen in the intestinal wall, intestinal pneumatosis. Necrotizing enterocolitis.
Image
20. NEC, US examination. Free abdominal fluid, with dense inner echos. Air bullbles in the intestinal wall: “zebra” sign (arrow).
Image
21. The distal segment of the colon is narrow, irregular (aganglionar segment). Transitional zone (arrow) and compensatory prestenotic dilatation. Hirschsprung-disease.

 

18.4. Urogenital system

18.4.1. Diagnostic methods

Ultrasound is the method of choice, provides detailed information of the morphology of the kidneys and the urinary tract. Prenatal examinations can readily diagnose most of the lesions at the intrauterine age.
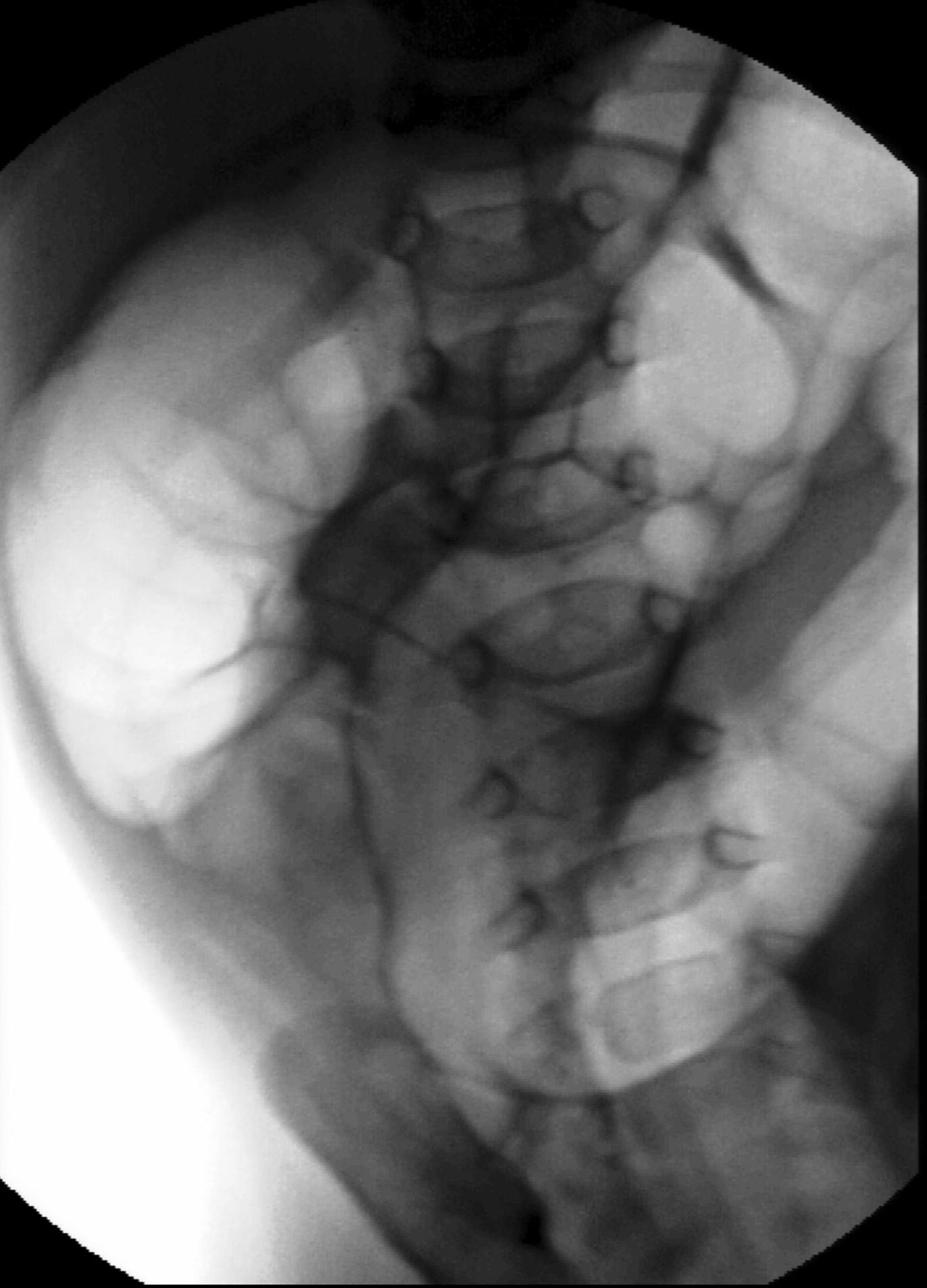
Miction cystourethrography (MCU). Is the gold standard for the imaging of the bladder and the distal urinary tracts as well as the investigation of vesico-uretral reflux. A urinary catheter is inserted and contrast agent is administered with fluoroscopic control.
Sonocystography. Ultrasonographic contrast material is administered to the bladder through a catheter. The contrast material increases the echogenity of the urine (fluid) and in cases of reflux this change can be detected in the ureter and the pyelon. This method in most cases can substitute MCU, however, the urinary catheter still remains an invasive step of the examination.
Nuclear medicine examinations (see there)
MR urography (see there)

18.4.2. Some important diseases

Congenital obstructive uropathies. Congenital abnormalities of kidney development can occur at any level of the urinary tract. Its most common sing is urinary tract dilatation. The role of imaging is in: diagnosing the cause, the level and the stage of dilatation and differentiating the obstructive cases form non-obstructive ones.
Uretropelvic obstruction (UPO). Uretropelvic junction stenosis can be an acquired or an innate state, with different degrees that lead to the dysfunction of excretion of urine from the pyelon to the proximal ureter. It is the most frequent form of obstructive uropathy. US examination even at prenatal states can diagnose the urinary tract dilatation that can be uni- or bilateral, always without ureter dilatation.
Isotope examination: the isotope (Tc-99m-MAG3) injected with diuretics can be used to analyze renal function.
Distal urethral valve (subvesical obstruction). It is the most severe form of obstructive uropathy. In newborn boys the valve dysfunction can lead to bilateral obstruction with hydronephrosis and hydroureter. Urination can only occur intermittently. The bladder wall is thickened, trabecular and reflux is frequent. The proximal urethra is distended as well.

Image
22.The calices and the pyelon of the kidney are markedly dilated, the parenchyma is thinner. Severe hydronephrosis. The ureter is not visible. Pyelouretral stenosis.
Image
23. Miction cystourethrography. A small diverticula is seen on the right side, the proximal urethra is dilated, beneath is a filling defect. Subvesical obstruction, dorsal urethral valve.

 
Vesicouretral (VU) reflux. Reflux stands for the reentry of urine from the bladder to the ureter and the collecting system of the kidneys due to the insufficiency of the uretrovesical valve. This can lead to a transient or a permanent dilatation of the urinary tracts. US can only raise suspicion for UV reflux through indirect signs such as thickened pyelon wall, small kidney, thinner and blurry cortico medullary junction, uneven parenchyma, thickened bladder wall. Reflux can be depicted with MCU or sonocystogrphy. Reflux is internationally categorized in 5 levels (I-V). Its special form is the intrarenal reflux that appears in the upper or lower pole of the kidney.

Image
24.a.
Image
24.b.
Image
24.c.
Image
24.d.
Image
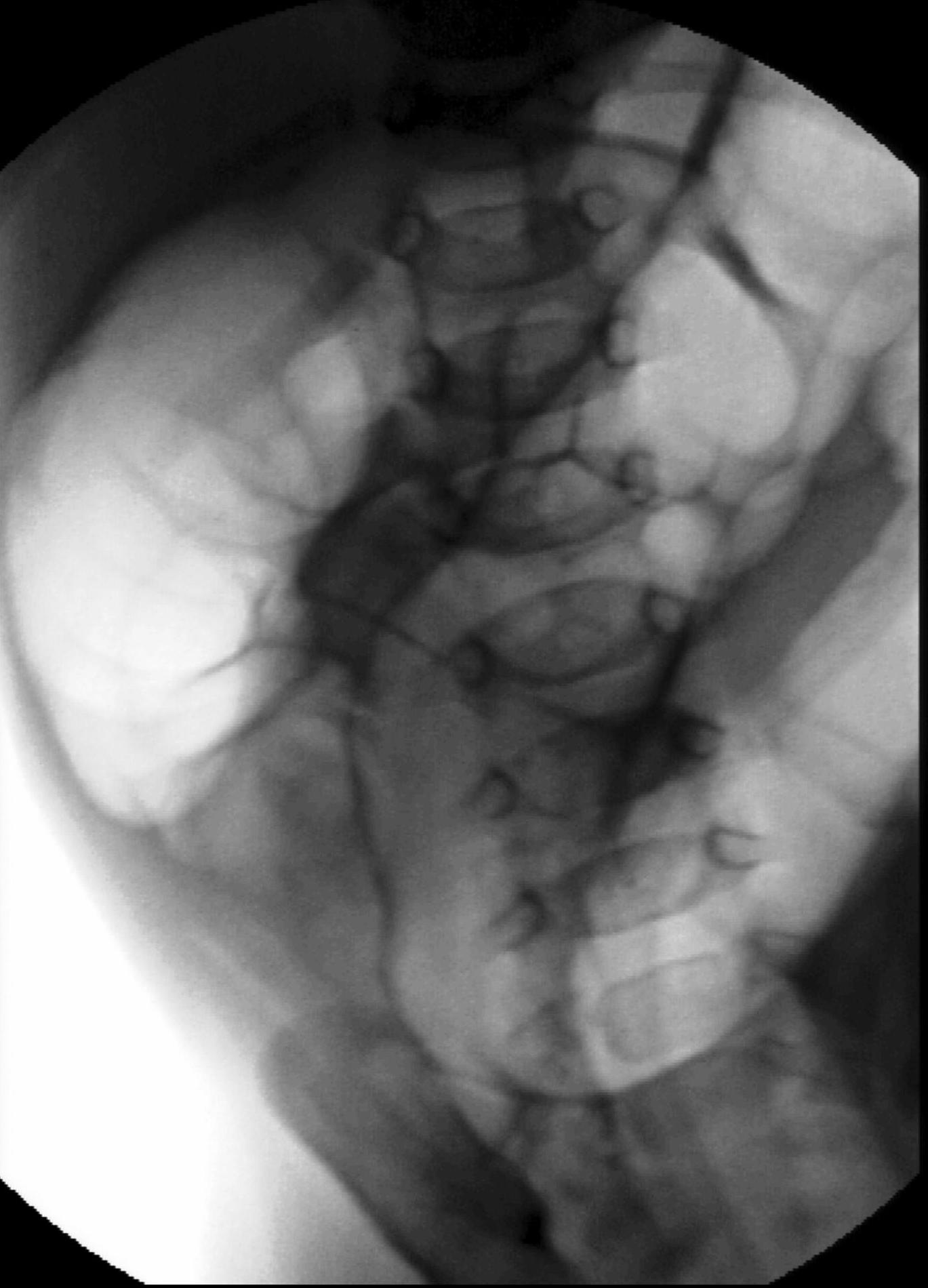
24.e.
Miction cystourethrography. a. Reflux in the left normal diameter ureter.VUR l.s. Gr.I. b. Both ureters have a normal diameter as they refill with the contrast material refluxing from the bladder. VUR l.u. Gr.II. c. There is a slightly dilated right ureter and collecting system in the right kidney, the calices are widened. VUR l.s. Gr.III. d. Dilated ureter and collecting system can be seen on the left side. VUR l.s. Gr. IV. e. The right ureter is markedly dilated and elongated the pelvicalyceal system is also markedly dilated, the calices are rounded, contrast material appears in the tubules as well. VUR l.d. Gr.5. with intra-renal reflux.

 

18. 5. Abdominal masses

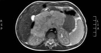
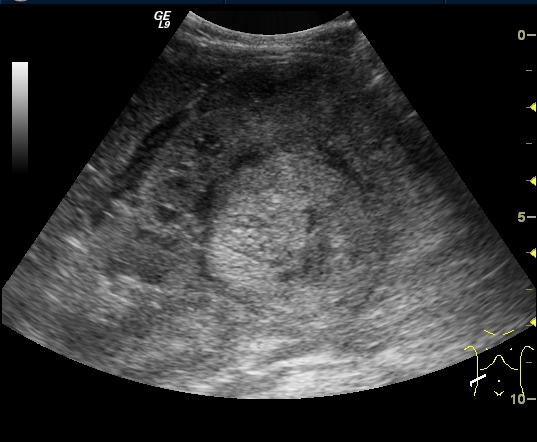
Neuroblastoma. is a tumor that develops at any part of the sympathetic nervous system. Therefore, in over 90% of the cases the urinary catecholamine levels are elevated. It is the most frequent extra cranial, solid tumor in children and has its highest malignancy rate within the first year. It is most common in children aged 1-5 years, appears as a palpable abdominal mass, with fever, hypertension, and anemia; in cases of bone metastases, bone pain and limping are common. US examination reveals a well circumscribed, echogenic mass usually crossing the midline, dislocating the kidney; it is frequently calcified, highly vascular, surrounding and compressing the abdominal vessels. In progressive cases liver and nodal metastases can be found. The tumor can also be solid, homogenous and with a smooth margin. The adrenal region in newborns is well visualizeable with US, but at older ages only major lesions can be depicted. CT/MRI examination: can depict a large sized, irregular shaped, extrarenal mass, with frequent necrosis, hemorrhage and calcifications. The lesions show a heterogeneous contrast enhancement.
Nuclear medicine examination: MIBG scintigraphy is basically a 100% specific but its sensitivity is lower, because non-MIBG uptaking tumors exist as well.

Image
25. US examination, longitudinal view. Above the right kidney, in the adrenal region a solid, slightly inhomogeneous mass can be seen. Neuroblastoma.
Image
26. MRI examination, axial T2 weighted image. Irregular, large solid, inhomogeneous retroperitoneal tumor is seen. Neuroblastoma. (with the courtesy of Dr. Gábor Rudas)

 
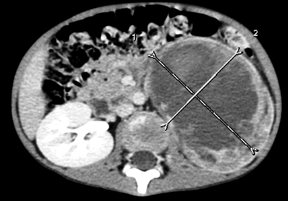
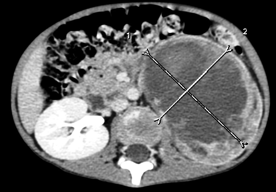
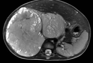
Wilms tumor. It is the most common kidney tumor in childhood that appears between 2-5 years of age. It is usually only noted when the tumor is palpable as an abdominal mass. Hematuria, hypertension, vomiting and abdominal pain are also part of the clinical picture. US examination is a basic method in both the diagnostics and the follow-up of the tumor. The tumor is normally seen as a homogenous or an inhomogeneous mass, dislocating the pyelon and the surrounding retroperitoneal blood vessels. It is important to rule out any lesion in the other kidney. MRI examination: gives a picture of the entire abdomen, kidneys included. Nodal metastases, tumor thrombus are well depictable. CT-examination: is to be chosen if MRI is not available. The tumor shows an inhomogeneous contrast enhancement and pulmonary metastases (invisible to x-ray examination) are also depictable.

Image
27. A solid, echogenic mass arising from the right kidney. Wilms tumor. Abdominal US.
Image
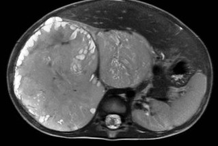
28. MRI examination axial, T2weighted sequence. A solid mass arising from the right kidney and filling out the right side of the abdomen, with peripheral follicular cystic components. Wilms tumor. (with the courtesy of Dr. Gábor Rudas)
Image
29. CT-examination after iv. contrast administration. Mostly hypodense mass arising from the left kidney. Wilms tumor. (with the courtesy of Dr. Z. Karádi)

 

18.6. Central nervous system (CNS)

Due to the vastness of this field, in this segment we can only consider some fundamentally different diagnostic methods and a few CNS diseases typical to newborns and infants.
The most important diagnostic method of the CNS of infants and children is MRI. (see there)

18.6.1. Special imaging methods of newborns and infants

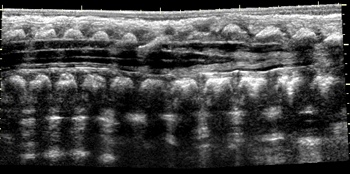
Cranial ultrasonography: is the first method of choice in brain parenchyma examinations. It can only be performed until the closure of the fontanelles (8-10months) (anterior and posterior fonatnelles, mastoidal and temporal region). Examinations require a high frequency convex transducer as well as a linear one. Vertebral ultrasound: can only be performed in the first 2-3 months of life until the closure of the vertebral arch, with a linear transducer.

Image
30.a.
Image
30.b.
Image
30.c.
Image
30.d.
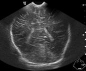
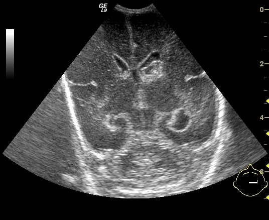
30. a-d) Cranial ultrasound. Normal newborn brain. a-b. Coronal, c-d. Sagittal views.

 
US examination is also capable of diagnosing and following-up cerebral complications of premature infants e.g.: germinal matrix hemorrhage, periventricular leukomalacia (PVL), hydrocephalus and for the screening of certain developmental disorders (corpus callosum agenesis, Galeni vein aneurysm, Dandy-Walker syndrome). However, we have to remember that US is not sensitive to all abnormalities or more sophisticated lesions. Metabolic diseases and some hemorrhages etc. are not always detectable with US. It is a very useful method but its limitations have to be kept in mind and when necessary MRI is to be used.

Image
31. Normal spinal US, longitudinal view (long arrow: medullar cone, small arrow vertebral body.) Newborn.
Image
32. US examination, sagittal view. Radial pattern of the gyri. Corpus callosum agenesis

 

Image
33.a.US examination, coronal view. On the right temporal lobe a small echogenic area can be seen.
Image
33.b. MRI, axial view, diffusion sequence. Right sided, 3.5 cm area with restricted diffusion. Acute infarct in the parieto-temporal region. (SE, MRKK, with the courtesy of dr. György Várallyai).
33 a-b. Cerebral infarct, newborn.

 

18.6.2. Some diseases of preterm infants

Germinal matrix hemorrhage. It is a hemorrhage typically occurring in premature infants. There are 4 stages distinguished (subependymal bleeding, ventricular hemorrhage, ventricular bleeding with hydrocephalus, and the latter + parenchyma bleeding).
Hydrocephalus can be a frequent complication after germinal matrix hemorrhage, but at about half of the cases it resolves spontaneously. US examination is a method for its diagnostics and also for its follow-up.
Periventricular leukomalacia (PVL). It is usually a bilateral porenchephalic cystic disease in the periventricular white matter that develops due to ischemic damage in preterm infants.

Image
34. Cranial US, coronal view. Moderate ventricular dilatation with inhomogeneous bleeding in the ventral horn of the right lateral ventricle. Grade III. hemorrhage.
Image
35. Cranial US, coronal view. The posterior horns are dilated, hemorrhage is present in all ventricles. Left sided periventricular parenchyma bleeding. Grade IV. hemorrhage.
Image
36.Cranial US, sagittal view. Dilated ventricle, periventricular cysts. PVI.

 

18.6.3. Mature newborns

Hypoxic-ischemic encephalopathy (HIE). Hypoxic ischemia, or perinatal asphyxia is the most common cause for severe neurologic abnormalities of the newborns. The role of imaging is to determine the grade and extent of the damage and to monitor the damaged lesion as early as possible. Ultrasonography: in some cases in the acute stages of the disease can visualize focal or diffuse hyper-echogenic periventricular or basal ganglia lesions. In chronic stages periventricular cysts, encephalopathy, hydrocephalus and widened subarachnoid space can be detected. MRI-examination is the most sensitive method, as it can depict changes undetectable by US. In the acute stage MR spectroscopy is very sensitive to the damage that is indicated by lactate peak and a decrease in other metabolites. Diffusion weighed imaging is the most sensitive way to detect cytotoxic edema right after the ischemic insult.

18.6.4. Developmental disorders of the CNS

They are amongst the most common developmental disorders (1:100 births). The spectrum is broad, covering small, focal cortical dysplasia as well as complex syndromes. The early detection of these developmental diseases helps in determining the degree of the lesion and might help in the therapy, as well as in the prognostics. It plays a fundamental role in the planning of future pregnancies. US examination is only good for partial diagnostics; MRI is the best choice for the detection of cortical malformations, migrational anomalies and myelination disorders.

18.6.5. Supra- and infratentorial brain tumors in children

Brain neoplasms are the second most common tumors in children, after leukemia.
Their symptoms differ from the ones of adulthood, on one hand because we encounter different types of tumors in children and on the other because the bony sutures are still not closed in this age group. Brain tumors below the age of 2 tend to be primarily supratentorial in localization, while in ages between 2 and 10 years they are mostly infratentorial. Above 10 years of age the supra- and infratentorial tumor ratio is basically the same. Before brain surgery MRI examination is performed with various sequences and iv. contrast administration, moreover functional MRI exams might be used as complementary techniques to help the correct diagnosis and surgical decision making. Early phase (24hours) postoperative MRI is capable to show residual tumors. US examination is of limited value, it can be used in the follow-up of consequential hydrocephalus.

18.7. Musculoskeletal system

 

18.7.1. Diagnostic methods (see there)

 

18.7.2. Some important disorders.

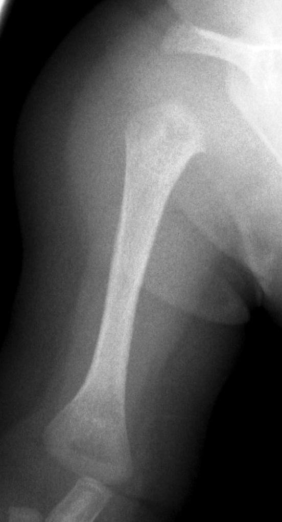
Osteomyelitis. Osteomyelitis stands for the inflammation of the bone and the bone marrow. Its most important symptoms are fever, pain, erythema, swelling and elevated inflammatory lab parameters.
In newborns and preterm infants it is often symptom free and multifocal. Early diagnostics and therapy are extremely crucial, since the developing bones might suffer a permanent damage. Under 1 year of age the epi- and metaphysis are rich in blood vessel anastomoses that provide a spreading route for the inflammation towards the epiphysis or even to the joints or the adjacent bone. After 1 year of age the anastomotic connections disappear and the disease is characteristically metaphyseal. Rarely, but primary diaphyseal and epiphyseal osteomyelitis can also occur.
X-ray: does not show any changes within the first 7-14 days. The first sign is focal, uneven porosis. In further stages soft tissue swelling, bony destruction, osteolysis, bone necrosis can occur and even later, sequestration and periosteal reaction takes place. Radiologic healing takes months. Ultrahasonography: detects early signs before X-ray examination does. It can quickly depict soft tissue edema, periosteal reaction and subperiosteal fluids.
Nuclear medicine: offers a method with a 90% and up sensitivity and specificity to osteomyelitis, however within the first 6 months of life is only partially reliable in the diagnostics. It shows a characteristic activity increase in all 3 stages of the examination.
MRI: can detect osteomyelitis in early stages, and with great reliability. Its rate for identification and the detection of the extent of the disease is between 88-100%. MRI is able to provide a good picture of the physis, epiphysis and the relation of the inflammation to the joint as well (edema, exudates, abscess).

Image
37.a.
Image
37.b.
Image
37.c.
Image
37.d.
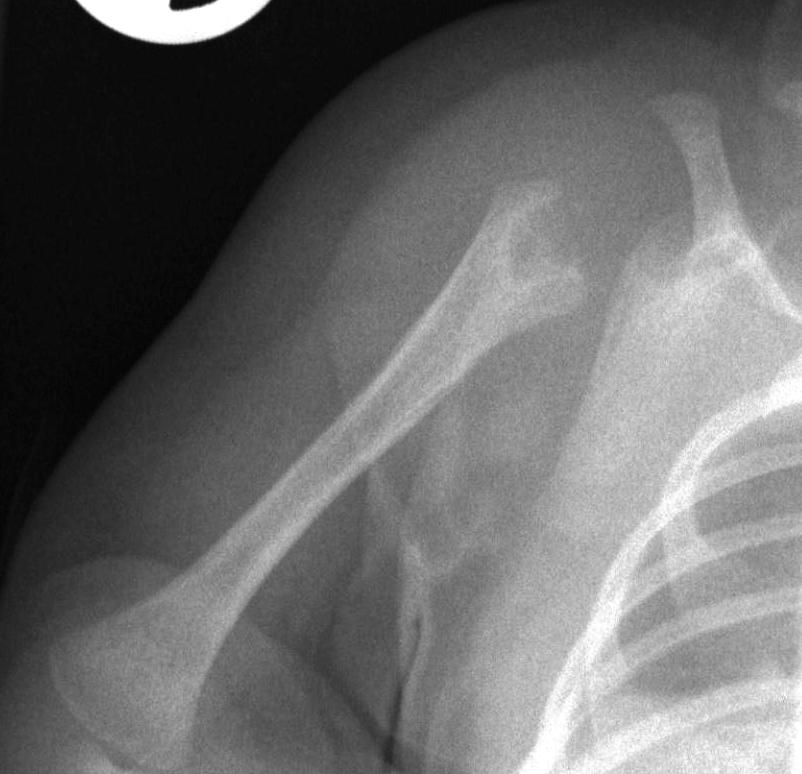
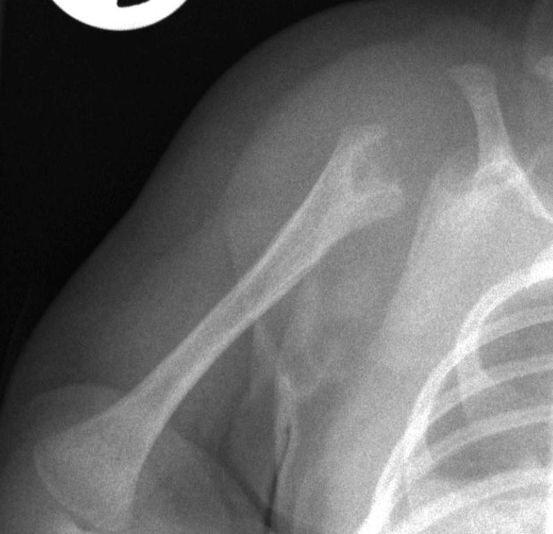
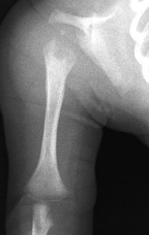
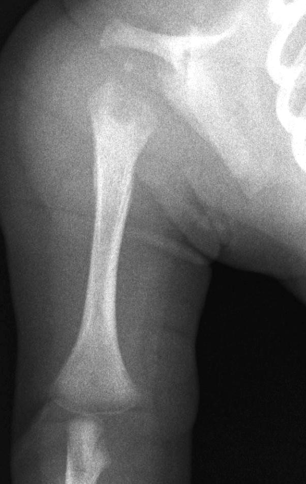
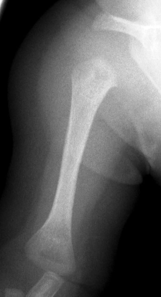
37. a-d) X-ray of the right humerus. a. Rarefaction in the proximal-medial part of metaphysis of the right humerus – early osteomyelitis. b. Two weeks after the lytic area has grown. c. 1 month later sclerotic regeneration has begun. d. 4 months after almost complete healing. Osteomyelitis, infant.

 

Image
38. US, longitudinal. On the proximal part of the right femur, the periosteal soft tissue is hypoechoic, the flow is increased. Osteomyelitis
Image
39.a.
Image
39.b.
39. a-b.MRI, T2 weighted and T1 weighted, postcontrast axial images. Signal intensity increase and increased contrast enhancement in the bone marrow of the left femoral neck,. 2 years old child, osteomyelitis. (with the courtesy of dr. Gábor Rudas).

 
Transitory coxitis. It is a transitional inflammatory disease of the hip joint that causes pain and limping. The pain is many times localized elsewhere; on the limb or the knee, leaving limping as an only symptom. US examination: can depict small amounts of fluid. Either a 4 mm wide fluid collection or 2 mm difference compared to the other leg are indicative of inflammation. The synovium is often thickened.

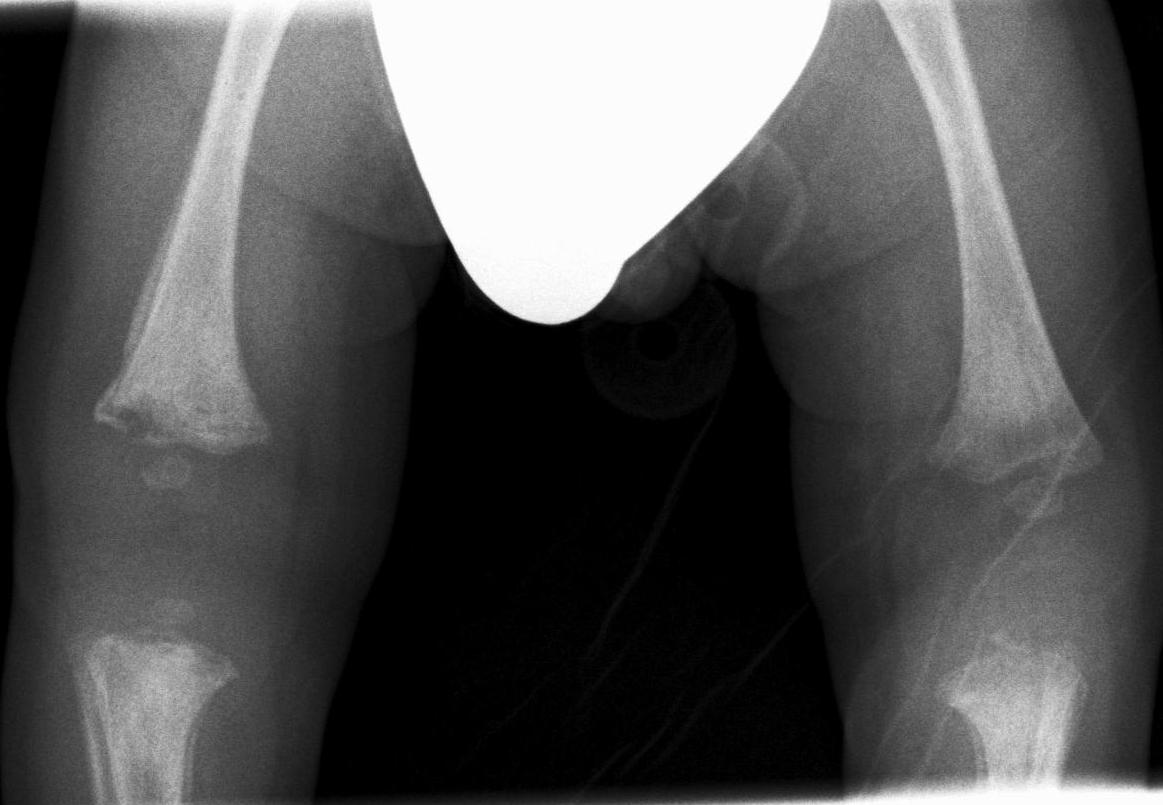
Rachitis. Rachitis can be caused by insufficient vitamin D alimentation, a decrease in mineral uptake (e.g.: premature infants) and vitamin D shortage due to malabsorption (coeliakia, cystic fibrosis) or a disorder in vitamin D production process. Its clinical symptoms are very characteristic: the wrist is swollen, a palpable mass or strain is often found on the anterior ach of the ribs, the skull is compressible like a ping-pong ball. X-ray examination: the typical signs of rachitis can always be found in the transitional ossification zone. On wrist radiograph the distal metaphysis of the ulna and the radius have an irregular contour, they are hollowed, the distance between the bone and the epiphyseal core is widened.
Röntgenfelvétel: a csipődysplasia a csontos femurfej magjának megjelenéséig csak indirekt jelekből diagnosztizálható.

Image
40. Wrist X-ray. The distance of the wrist bones and radial/ulnar epiphysis is widened, uneven and hollowed, at parts the bone density is decreased. Rachitis
Image
41. US examination, hip, longitudinal view. The left hip’s articular space is widened, with echo free fluid in it. Transitory coxitis.
Image
42. US examination. Normal newborn hip (arrow: hip bone.)

 

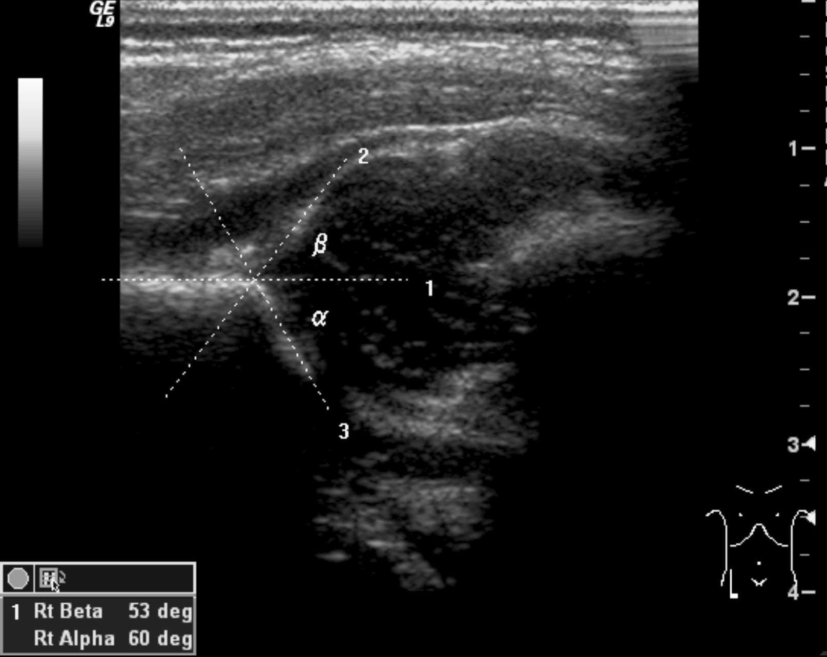
Hip dysplasia. Congenital hip dysplasia is a multifactorial disease that occurs more in girls (1:9) and causes the dislocation of the head of the femur. Acetabular rim development and configuration abnormalities, ligament looseness, muscle contracture, family history of hip dysplasia, or intrauterine breech position have all been mentioned as possible factors causing hip dysplasia. US examination is capable to diagnose infant hip dysplasia. It is indicated if the clinical examination raises suspicion or if risk factors (breech position, twin pregnancy, family history, oligohydramnion, deformed limb, neuromuscular disease) persist. US can be used as a screening tool. Due to the physiologic looseness of the ligaments before 4 weeks of age the hip is immature, therefore screening exam should take place after 4 weeks and can be performed until 4-6 months. X-ray exam: can only detect indirect signs of hip dysplasia until the appearance of the ossification centers of the femoral head.
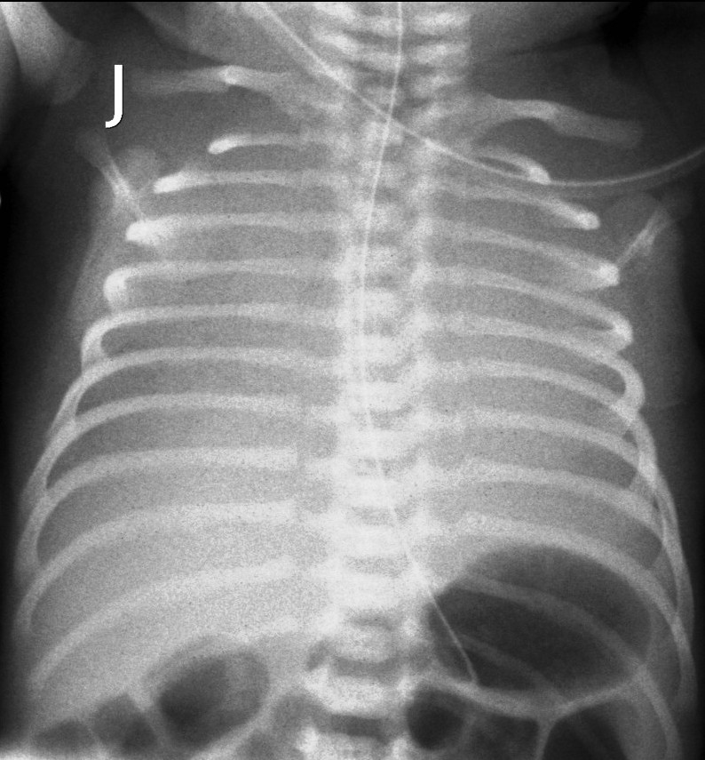
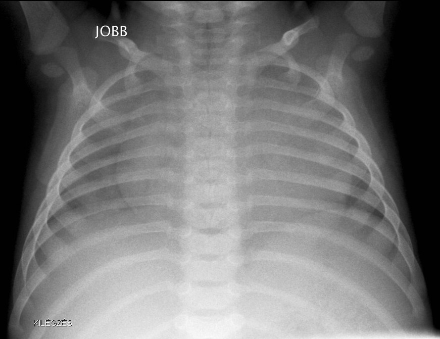
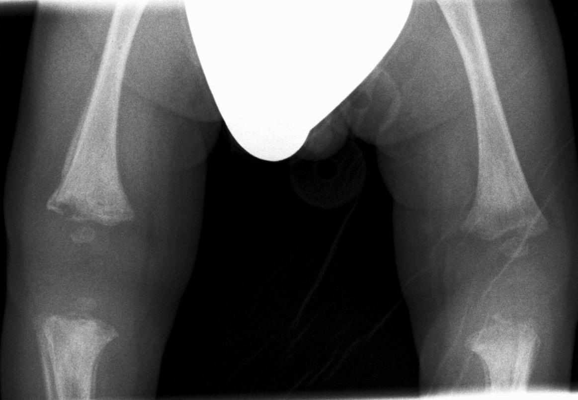
Battered child, child abuse, shaken baby syndrome, non-accidental injury. These are all synonyms describing the syndrome of child abuse (usually of newborns and infants). At many times only the radiologist can identify these cases. There are some characteristic injuries that are not in relation with the story the parents tell. Fractures of multiple numbers, or in various healing stages are indicative of child abuse. Complex skull fractures are rare in simple cases of falling. The most characteristic sings are metaphyseal or corner fractures on the metaphises of the tubular bones.
Violent shaking causes rib fractures and the to-and fro motion of the head leads to subdural hematomas, hypoxi-edematous contusion. X-ray examination: chest, bidirectional skull, vertebral and limb radiographs are necessary. US examination: both cranial and abdominal US are performed in infants. CT-examination can be required if the abdominal or the vertebral injuries are severe. MRI is unavoidable if neurologic symptoms persist.

Image
43. Comparison Radiograph of the knees. On the distal-lateral epiphysis of the right femur “corner” fracture is seen, lytic area, periosteal reaction. Both proximal tibia, on the visible part of the picture show periosteal reaction. Battered child.

 

Summary

 
1. ALARA – As Low As Reasonably Achievable -, a term for the use of as low radiation dose as possible. It is a fundamental and primary point of view in pediatric radiology.
2. Diseases of the chest can most commonly be diagnosed with X-ray, and complementary US examinations. CT/MRI is rarely necessary.
3. Air in the imaging of gastrointestinal developmental disease can often be used as a negative contrast material on plain abdominal x-rays, and is sufficient for diagnosis.
4. The investigation of the GI tract of the newborns is carried out by low osmolality, absorbable contrast materials. US examinations are important part of the diagnostic toolkit.
5. US, miction cystourethrography, nuclear medicine and rarely MRI are needed in the diagnostics of urinary tract disorders.
6. Cranial and vertebral US examinations have some limitations, but are useful diagnostic methods while the fontanellas and the vertebral arch are open. If the US examination is not satisfactory the CNS should be examined with MRI.

Translated by Balázs Futácsi


Site Language: English

Log in as…