Loading...
 
PDF Print

Nuclear medicine

21. Nuclear Medicine

Author: Tamás Györke

Semmelweis University Department of Radiology and Oncotherapy, Budapest

 

Aim of the chapter:

The aim of this chapter is to present nuclear medicine as an independent medical field summarizing its methods to those studying medicine. It aims to help students learn about the examination techniques, which modalities should be used in specific diseases, what their indications are and what kinds of information we can obtain from isotope studies. Having read this chapter, students should become competent in using radioisotope studies in diagnostic algorithms properly.

21.1. Introducion

Nuclear medicine is an independent medical specialty that uses unsealed radioactive isotopes (radionuclides) for diagnostic or therapeutic purposes. The basic concepts of nuclear medicine use were laid down by a Hungarian descendant scientist, György Hevesy (1885-1966) who was awarded the Nobel Price for the invention of tracer and radioisotope labeling methods with which very small amounts and concentrations of matter can be tracked.

21.1.1. Methods in nuclear medicine

In the diagnostic use (isotope studies) we differentiate in vitro and in vivo examinations.
In vitro diagnostics mean that samples of the patient (blood, body fluids, tissues) are analyzed for various materials (e.g.: tumor markers, hormone and medicine concentrations) with radio-isotopic laboratory methods such as radioimmunoassay (RIA). (In vitro methods with the emergence of non-isotopic laboratory examinations have lost much of their significance nowadays.)
During in vivo examinations radiopharmaceuticals (radiotracers) are delivered to the patient’s body in various ways. Administration is usually done intravenously, sometimes orally, at other times with inhalation or with direct injection to the tissues. The radiotracers are made of an organ-, tissue-, or function specific compound combined with the radioactive isotope. The latter is regarded as a tracer and its radioactive radiation is detected from outside while it shows different distribution patterns in the human body.
For the treatment of some pathologic processes it is possible to use tracers that accumulate in tissues over a longer period of time. Therefore, the attached radionuclides can be delivered to a targeted location and therapeutic radiation can take place locally with the preservation or with minimal impact on surrounding organs (isotope therapy).
The majority of in vivo examinations are imaging methods (scintigraphies). Since the dynamics of radiopharmaceutical enrichment and excretion are always related to some type of biochemical process and function, isotope examinations – as opposed to the other, so called morphological, structural imaging methods (X-ray, US, CT and to some extent MRI) – inherently provide functional information. Therefore they are often referred to as functional imaging techniques and they provide complementary data to radiological procedures. On the other hand, nuclear medicine techniques can also be regarded as emission methods, since they rely on the detection of radiation emitted from the patient.
Of the radioactive radiation types, electromagnetic radiations (gamma radiation - including the gamma photons produced at the annihilation process of positron decay - and characteristic X-ray radiation) can be used for diagnostic imaging, because their great penetration capacity allows them to be emitted from the patient’s body. Meanwhile, the corpuscular radiation of beta and alpha particles has a very little penetration ability and is absorbed after a short travel within the tissues. Therefore, isotopes that show beta and alpha decay are useful for therapeutic purposes.

21.1.2. Imaging in isotope diagnostics

The imaging equipment of nuclear medicine are gamma camera (also called Anger-, or scintillation camera) and positron emission tomography (PET) scanner. Scintigraphy detects single photon radionuclides, while PET is able to detect the positron emission of certain isotopes.
Gamma camera can produce two dimensional, planar images, while in case of SPECT (Single Photon Emission Computed Tomography) acquisition operates in a way that tomographic slices can be obtained with it. With SPECT the distribution of radiotracers can be visualized in a 3D volume. PET is a modality with which only tomographic images (and their 3D reconstructions) can be produced, while it is incapable of creating planar images. For non-imaging examinations, with the use of properly adjusted, collimated scintigraphic detectors radioactivity over a specific organ (e.g.: iodine transport of the thyroid gland, intraoperative radionuclide detection with gamma probe in certain surgical procedures) can also be measured.
Gamma camera can cover a limited area of the patient’s body (field of view) to produce planar images. If the patient is moved along the longitudinal axis of the detector, it can obtain a so called whole-body image in one picture. In SPECT mode the detector(s) are rotated around the body and tomographic images can be made of certain body parts (their size is consistent with the camera’s field of view). Beside general purpose gamma cameras, specially optimized, organ dedicated cameras can also be used (thyroid camera, brain or heart dedicated SPCET cameras). Pinhole collimators differ from the regularly used parallel hole collimators, because they are able to produce magnified, high resolution and highly detailed images even of smaller organs or lesions (e.g.: thyroid gland, infant hip). The camera in the PET machine can visualize a 20 cm long segment of the body at once, and if the table is moved along the longitudinal direction to make images in several sections, it is also capable of making whole-body examinations.

In nuclear medicine one can also distinguish static and dynamic examinations.
In static examinations the injected radiotracer can be accumulated in normal tissues, pathologic lesions or in some distribution spaces of the patient. If adequate incorporation time is allowed, an equilibrium state occurs in the dispersion of the radiotracer. Images taken at this point reflect the regional distribution of radiotracers and therefore a tissue/organ’s regional activity.
Dynamic examinations, on the other hand, are not only able to produce images of spatial activity, but they can follow the course of certain processes over time. For instance, urine excretion in the kidney can be followed dynamically if appropriate time adjustments are made for the imaging. Even if some functional processes are faster than the time resolution of the image acquisition, they can be adjusted with gated methods (ECG, breathing gated imaging) to allow a chance to capture processes. However, it has to be noted, that in static isotope examinations, in order to minimize radiation dosage to the patient and to achieve the best signal-to-noise ratio, acquisition usually takes up to several minutes.
Gamma cameras with multiple detectors are more favorable, because they can produce better quality images and/or faster imaging without needing to increase the necessary radiation dosage.
A special feature of the isotope examination and image production is that both gamma cameras and the PET machine produce better quality images of regions closer to the detectors. This is because gamma photons that are emitted further from the detector suffer a greater absorption rate in the patient’s body than the ones emitted closer to it.

This is the reason why bone scans have to be made from at least an anterior and a posterior direction, while the kidneys are typically imaged from the posterior direction. When abnormalities are detected, for a more precise spatial localization, lateral or oblique images are acquired or in distinguished cases (for instance a more complex anatomic structure) SPECT examination might be required.

21.1.3. Radionuclides and radiotracers

Radioisotopes used for diagnostic purposes preferably have a reasonably short half-life, a pure gamma or X-ray radiation and a chemically simple way to bind various pharmaceuticals. They should not be too expensive to produce and be widely available. For single photon examinations, 99mTc isotope is a match for all the above mentioned requirements; it can be locally produced at the nuclear medicine department with an isotope generator, has a 6 hours long half-life, and solely emits gamma rays. 99mTc is used in most of the gamma camera examinations as a radioactive tracer.

The characteristics of the pharmaceutical will determine what function and what clinical question can be investigated with it. Pharmaceuticals are available in their unlabeled form in vials before they are mixed together with the isotope. After they are mixed and a certain incubation time passes, their resulting product, the radiotracer is ready to be used. Besides 99mTc other tracer isotopes, such as 123I, 131I, 111In, 67Ga and 201Tl, are also used.

During more expensive PET examinations positron emitting isotopes are used. When these decay they produce a pair of high energy gamma photons, detected at tomographic image acquisition.

The development of PET examination method relies on the fact that the building blocks of organic materials (carbon, nitrogen and oxygen) only have positron emitting radioactive isotopes (11C, 13N, 15O). With the use of these isotopes labeled tracing compounds can be produced that are chemically identical to the naturally occurring molecules. Thus, with the help of PET, various physiologic/pathologic biochemical and metabolic processes can be analyzed in an in vivo, completely noninvasive way. A major drawback of these isotopes limiting their use is that their half-life is extremely short (2-20 minutes), and they require a cyclotron available at the site for their production. Nevertheless, these isotopes have an invaluable role in research.
For routine clinical PET examinations, an isotope with longer half-life is necessary, one that allows it to be transported within a few hundred kilometers. The 18F isotope and especially the fluorine labeled glucose analogue 18F-Fluoro-Dezoxi-Glucose (FDG) has become the widespread radiotracer of PET examinations with a relatively long, 110 minutes half-life. Another characteristic of FDG making it more favorable for use, is the phenomenon of “metabolic trapping”. This means that processes involving intense glucose metabolism show higher enrichment, therefore on single static images local metabolic levels can be represented. This happens in a way that FDG competes for glucose transporting channels with glucose molecules to get inside the cells. Intracellularly a hexokinase transforms it into FDG-6 phosphate, however as opposed to simple glucose, this molecule will not be a substrate of the following enzyme in the chain (glucose 6 phosphatase) and does not participate in further metabolic steps. Hence, FDG levels accumulate inside the cells over time. Equilibrium will eventually occur and if PET image production is adjusted to this (usually 60 minutes after iv. injection) the locally detectable FDG levels will represent the intensity of glucose metabolism proportionately.

Since most of PET examinations are connected to the glucose metabolic activity of the organism, they are best used for organs that already have a high level of glucose activity (heart, brain) and the changes in glucose metabolism indicate a high diagnostic relevance. In most of the malignant tissues, a high increase of metabolic activity can be observed; this is the reason why PET studies have earned such a high significance in oncology. The above mentioned characteristics determine that FDG radiotracers are used in most cases (85%) with oncologic indications world-wide. Neuropsychiatric and cardiac indications constitute only a smaller part of FDG use (10% and 5% respectively). FDG is also useful in inflammatory diseases, since it accumulates in activated macrophages.

Needless to say, there are other radiopharmaceuticals available in PET diagnostics - both in research and in clinical practice - that can be used to depict other specific biological functions beside glucose metabolism.

21.1.4. Hybrid imaging

Functional imaging examinations are lagging behind in terms of structural and anatomic representation ability compared to the morphologic modalities. However, there is an obvious need for the precise localization of functional abnormalities both for diagnostic and therapeutic purposes.
Therefore, it is important that results of functional and morphologic imaging are made available for comparison. Comparison is either possible directly (images from one modality are analyzed with the other next to it) or with software guided image registration (the fusion of image sets of two independently and separately performed examinations). Spatial registration means the process with which the imaging results of two modalities, or two separate examinations of the same modality are, after appropriate transformation, registered in a common 3 dimensional coordinate system. This way, two examinations can be fused with one another. The resulting fusion image is a real-time superimposition of the previously registered data sets of these modalities.

The greatest precision of image registration is achievable if the patient experiences minimal motion differences (the patient lies in the same position and imaging takes place almost at the same time) during both examinations. These requirements are met in hybrid imaging methods, with the implementation of the so called hardware registration. PET-CT, SPECT-CT or the newly emerging PET-MR examinations are all able to utilize hardware registration. The integrated PET/SPECT-CT method represents the latest technical developments of both PET and CT scanners, combined in one machine. It is capable to represent structural and metabolic information simultaneously and identically. The machine’s PET/SPECT and CT components are aligned along the common axial axis, and as the patient table moves along their longitudinal axis, the two examinations are carried out only minutes apart from each other, minimizing any movement or change in the patient’s position. During evaluation the identical slices of CT and PET can be matched with each other and they can be analyzed independently or represented in a fusion image. (Figure 1.)

Test iframe Test iframe

1. Fusion images; FDG PET-CT, transversal and coronal planes. The dominance of certain components (transparency) can be constantly adjusted on the fused image.

Another advantage of hybrid imaging is that CT can be used for the attenuation correction (AC) of the PET images. Photons arriving from deeper lying tissues have a smaller chance of reaching the detector, due to greater scattering and absorption. The decrease in signal intensity is directly proportional with the local tissue densities. Thus, the activity-maps detected by PET and SPECT cameras do not represent real tissue dependent radiopharmaceutical distributions. Real activity distribution maps are only detectable with the knowledge of tissue densities that are calculated from the attenuation corrected maps, registered during the CT examination. For anatomic localization and attenuation correction, it is sufficient to take a non-diagnostic quality, low-dose CT scan.

21.1.5. The general characteristics of isotope examinations

Among the general characteristics of isotope examinations, besides the ability to gain functional information, it is important to mention that – derived from the tracer principle – the examinations are highly sensitive, so the pathological processes can be detected at an early stage. SPECT is able to detect nano-molar radiotracer concentrations, while PET picks up signals coming from pico-molar radiopharmaceutical quantities. The higher sensitivity is due to the fact that functional alterations of metabolism usually precede detectable morphological changes of the tissues, thus functional studies allow earlier and more precise diagnostics. Another aspect of higher sensitivity is that in an optimal scenario, the biologic contrast between normal and pathologic function is very high. Therefore, signal intensity of a normal tissue process will be much lower than that of a pathologic one, making them easily distinguishable on the image. (Figure 2.)

Test iframe

2. FDG PET Maximum Intensity Projection (MIP) image. There is a large biological contrast between the normal and the pathologic tissues. Right sided breast cancer, ipsilateral metastatic lymph nodes and multiplex metastases in the lung. Physiologically elevated FDG uptake is seen in the brain, salivary glands, tonsils, liver and the spleen as well as in the bone marrow and at certain segments of the intestines. Also, there is increased FDG activity in the kidneys and the urinary bladder due to excretion.

When a radiopharmaceutical accumulates in a pathologic process (tumor, inflammation, receptor) the examination allows for specific, non-invasive tissue characterization. If radiotracers that display normal function are used, then pathologic processes will appear different from normal ones (either as an increase or a decrease in activity) independent of the pathology. Consequently, these examinations will be non-specific in nature (e.g.: thyroid gland-, bone/marrow-, liver- or renal scintigraphy).

A further advantage of isotope examinations is their non-invasive nature. The amounts of administered chemical material are so low that they usually do not have any side effects or complications. Allergic reactions are very rare, however the use of certain protein products (e.g.: monoclonal antibodies) is contraindicated in known cases of hypersensitivity.

Many of the isotope diagnostic methods provide quantitative, numerical data. Regional functional participation of the organs can be determined as percentage ratios. Dynamic processes can be represented with time-activity curves. PET is capable to produce results with absolute quantification, which is usually necessary in scientific studies.

In routine clinical PET diagnostics tissue radiotracer distribution can also be quantified by the so called standardized uptake value (SUV). To determine the SUV of a region, local radiopharmaceutical activity concentration needs to be divided with total activity of the injected radiopharmaceutical and the patient’s weight. SUV values gained by this equation represent how many times a region’s tracer concentration exceeds the value we would get, if the injected material were equally distributed in the whole body weight of the patient.

The disadvantage of isotope examination compared to morphologic examinations is that they have a lower spatial resolution. Characteristically, a planar examination’s resolution is from 1-several cm, while SPECT has a 7-8 mm resolution, and PET can discriminate lesions of the size of 5-6 mm. However, one has to remember, that detectability is also influenced by the state of local activity–uptake values; if a lesion in question is very intensive in radiotracer uptake and the surrounding tissue is very limited, even smaller lesions can be detected than the ones indicated above.

Nuclear medicine examinations all exert a radiation burden on the patient of usually low doses. Even in case of technetium and PET exams the effective doses are not greater than 10mSv. Due to the radiation burden, most isotope exams are contraindicated in pregnancy and have to be indicated with care in lactating women and children.

Concerning patient radiation burden, it is important to know that most of the radiopharmaceuticals are excreted through the kidneys, therefore this non-participating, useless activity can be faster eliminated if the patient is well hydrated and micturates frequently.

21.2. Musculoskeletal system and bone scintigraphy

21.2.1. Diagnostic methods

The most important and most commonly used isotope examination of the musculoskeletal system is bone scintigraphy. During the examination the natural component of bone- pyrophosphate analogues, technetium labeled diphosphonate radiopharmaceuticals are used. Following intravenous injection, the radiotracer binds to the hydroxyapatite crystals of the bone. Its uptake in the bones is influenced by blood supply and osteoblast activity. The unnecessary, unbound radiotracers are excreted through the kidneys after about 2-3 hours, scintigraphy is performed during this late metabolic phase. This method consistently depicts bone structure and areas where increased or decreased metabolic activity persist. Usually, whole-body planar images are obtained from an anterior and a posterior direction and additional, optional lateral and oblique measurements can also be performed of targeted lesions if necessary. (Figure 3.)

3. Whole body bone scintigraphy, anterior (a) and posterior (b) acquisitions. Normal findings.

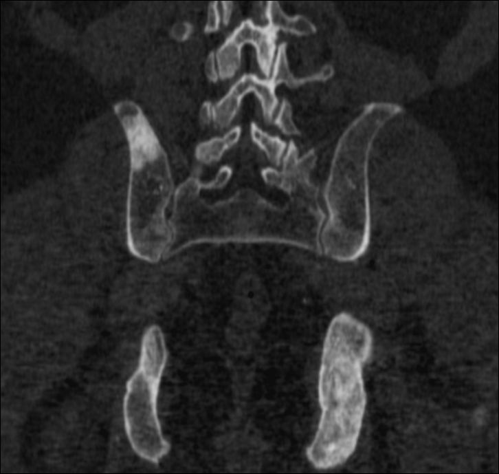
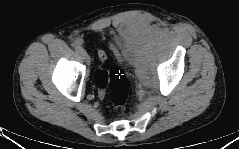
More complex anatomic structures (spine, the base of the skull, facial and hip bones) can be imaged more confidently with SPECT scans. On one hand, they provide a more accurate spatial localization and on the other, with their superior contrast resolution, they are able to differentiate lesions even if planar exams are negative or uncertain. SPECT-CT can characterize the CT morphology of the lesions with pathologic uptake. Thus, it is capable to provide a definitive diagnosis. (Figure 4.)

Image
a
Image
b

Image
c
Image
d

Image
e

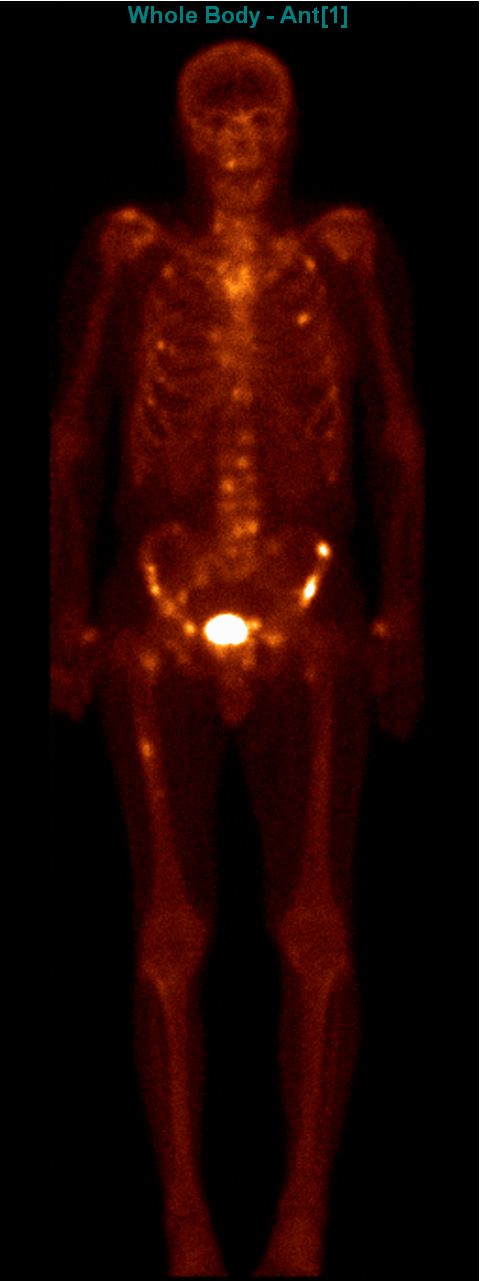
4. Bone scintigraphy, prostate cancer. The image set shows the characterization of multiplex increased activity uptake. Posterior whole body scan (a). SPECT-CT coronal fusion images (b,d), CT examination (c,e). Sclerotic lesions in the pelvic bones are suggestive of osteoplastic metastases (b,c), small joint arthrosis at LIII-IV segments, more expressed on the left side (b,c), spondylosis on the right side at LIV-V segments (d,e). (The increased activity spot on the whole body scan, at the left cubital region, is correspondent to the paravasation of the iv. radiopharmaceutical.)

With the use of pinhole collimators more detailed or magnified images can be acquired of smaller structures (hip bones of small infants or children, the bones of the hands and the feet).
In case of localized complaints or known bone lesions a three phase scan needs be obtained. The three phase exam begins with a usually one minute long scan at the time of the injection of the isotope (first or perfusion phase). It is acquired in dynamic imaging mode and is used to analyze the blood perfusion of the lesion. The second, (early blood content) phase shows tissue perfusion. Here scanning is performed right after the end of the first phase and after 5-10 minutes of injection. Images are made of either the region of interest or a whole body scan is performed. The third, late phase scan, even in cases of targeted regional examination has to be performed as part of the whole body scan, in order to rule out multiplicity.

The examination does not require any special preparation. Within 2-3 hours of injection 50% of the injected activity is excreted through the kidneys. Excretion of the unnecessary radiation can be enhanced with increased fluid intake and frequent micturations, thus reducing unnecessary exposure of the bladder and the gonads. Bone scintigraphy depicts changes in metabolic activity, hence it is very sensitive. Compared to X-ray imaging it predicts pathologic processes at an earlier stage and provides information of the whole skeletal system. Most of the pathologic bone lesions, independent of their etiology, are associated with increased osteoblast activity, therefore scintigraphy is aspecific. Usually, even in lesions that appear lytic radiologically, an increased activity can be observed by scintigraphy. This is due to the fact that around the lytic zone, a neighboring reparative process (increased osteoblast activity) is also occurring at the same time.

A three phase examination however, is still relevant for the final diagnosis because malignant processes and inflammations are also positive in the first phase of the exam. Moreover, in the early phase some relevant information can be gained about the accompanying soft-tissue lesions and about the soft-tissue abnormalities occurring independently of the bone lesions. On a normal bone scintigraphy, the bony structure is well visible, and activity uptake intensity is basically proportional to the volume of the bones. Symmetric bones show identical activity uptake levels. Soft tissues show only small levels of activity uptake, the kidneys and the bladder are distinguishable from other organs. In children, active growth zones both in long tubular bones and in the apophyseal region of flat or irregular bones show an increased activity content. In cases of inflammatory disorders specific, inflammation sensitive radiotracers can also be used (e.g.: gallium scintigraphy, or labeled leukocyte scintigraphy).
In neoplastic diseases, direct identification of the lesion is possible with the use of tumor specific radiopharmaceuticals and methods (e.g.: FDG-PET, or PET-CT, MIBG scintigraphy.)

21.2.2. Bone metastasis

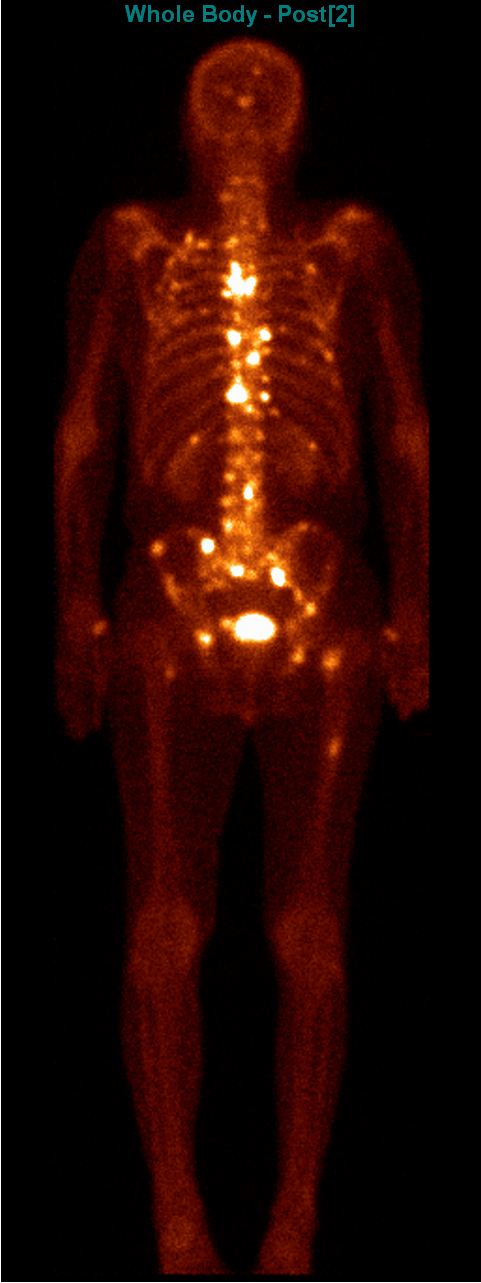
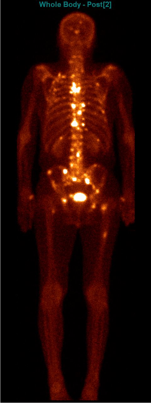
The most common indication of bone scintigraphy is the evaluation of bone metastasis. (Figure 5.)

Image
a
Image
b
Image
c
Image
d

5. Multiplex bone metastases. Bone scintigraphy, anterior (a) and posterior (b) whole body scans. SPECT-CT sagittal plane, fusion image (c) and CT image (d). Obvious bone structural changes cannot be identified on the CT scan yet.

The examination is appropriate for staging a malignant process and following-up bone metastases. It is clinically most suitable for lesions that frequently present bone metastasis, primarily in case of prostate-, breast-, lung cancer and neuroblastoma. It is, however only indicated in cases where the soft tissue involvement of the tumor is big enough to suggest a higher incidence of bone metastasis; before radical surgeries and for the selection of patients who would benefit form a palliative radionuclide therapy. Otherwise, scintigraphy is advisable in case of any primary tumor, if the suspicion for metastasis is raised, e.g.: bone pain, pathologic radiological or lab results (elevated serum ALP and tumor marker levels). Bone metastases in most cases are located in bones that contain red bone marrow (skull, vertebrae, ribs, sternum, pelvic bones and the proximal bone segments of the limb) and usually show a multiplex appearance. Activity increase can be seen typically, metastases that cause activity decrease are rare; they could occur in cases of thyroid gland tumor, renal carcinoma, lymphoma and multiple myeloma. Solitary lesions or a few lesions only, due to the aspecific nature of the examination, cause a differential diagnostic problem in many cases, for example vertebral degenerative processes can mimic metastatic activity. Equivocal lesions usually require further, targeted radiological investigations. A negative X-ray examination does not rule out the possibility of a metastatic lesion, since the isotope scan is more sensitive. Therefore, it is possible that it could already be detecting an existing metastasis, while X-ray is still insensitive and unable to show the lesion. (Figure 5.)

SPECT examination of the spine can help in the precise lesion localization within a single vertebra. It is especially useful, since the different pathologic bone processes occur in different predilection sites of the vertebral bone. Bone metastases are commonly located in the dorsal aspect of the vertebral body. Degenerative processes involve mostly the vertebral edge as in the case of spondylophytes in spondylosis. Finally, spondolyathrosis is usually located at the intervertebral facet joints.
In cases of diffuse metastatic lesions of the bone marrow (most common in prostate cancer) a so called superscan can be observed. This means that the bone structure can accumulate in such an intensive manner, that the background activity, the renal uptake is completely inhibited.

21.2.3. Primary bone tumors

In cases of primary bone tumors, three phase scintigraphy can help to determine the dignity of equivocal bone lesions. Benign lesions do not show typically increased activity in the early phases, and even if there is a detectable late phase activity, it is moderate (except for osteoid osteoma, osteoblastoma, fibrotic dysplasia and aggressively growing bone cysts, or lesions that are associated with pathologic fractures.) Malignant tumors (osteosarcoma, Ewing sarcoma) as opposed to benign tumors, have an increased blood supply and a more intense osteoblast activity. (Figure 6.)

6. Osteosarcoma in the right femur. Three phase bone scintigraphy, planar anterior images. Perfusion phase acquisitions (a), summation (b), early blood pool phase (c), late phase (d), whole body scan (e).

Scintigraphy is also helpful in determining any skip lesions and bone metastases that are normally associated with malignant tumors. It is also useful in monitoring preoperative chemotherapy, and tumor recurrence. In osteosarcoma, because of the tumor’s osteoid production, it is also possible to detect soft-tissue metastases (e.g.: lung metastases). Tumor-specific nuclear medicine examinations, such as FDG-PET are useful for the staging and re-staging of the tumors and in monitoring chemotherapy. Uncertain processes can be differentiated by FDG-PET, since low grade sarcomas have no or minimal glucose metabolism, while high grade sarcomas have high glucose metabolism. Concerning benign tumors, scintigraphy is basically 100% sensitive for osteoid osteoma. Its nidus shows an intensive, dot-like activity increase in all three phases of the examination. Since the activity accumulation in osteoid osteoma is so intense, isotopic methods (intraoperative scintigraphy or gamma probe) can be used as a guiding tool during surgery.

21.2.4. Inflammatory and degenerative bone and joint diseases

Scintigraphy is helpful in the early diagnosis of osteomyelitis. Both the sensitivity and specificity of the exam are above 90%. The scans are positive within 24-72 hours after initial symptoms occur. A characteristic, well circumscribed increased uptake is detectable in all three phases of the examination, however, sometimes, especially in infants, decreased activity might be observed (cold osteomyelitis). This phenomenon is due to regional ischemic changes. If there is a strong clinical suspicion but the scintigraphy is negative or there are other preexisting bone lesions (and the scan cannot differentiate osteomyelitis from the preexisting bone lesion), as an alternate we can use isotopes capable to directly identify inflammatory processes. These are combined Gallium- and bone scintigraphy exams or the combined exams of labeled white blood cell and bone marrow scintigraphy.
In cases of subacute or chronic osteomyelitis on the one hand the radiologic picture should be indicative. On the other hand, an activity increase is notable mostly in the late phase of scintigraphy. In infectious diseases of the spine, scintigraphy is more sensitive for discitis and vertebral osteomyelitis than X-ray examination. However, in osteomyelitis scintigraphy of the long, tubular or flat bones only becomes indicative later, usually after symptoms persisting for more than a week. Complementary SPECT examination is able to detect lesions in case of negative scintigraphy or equivocal planar imaging.
Although scintigraphy is usually unnecessary for the diagnostics of inflammatory joint diseases it might be used for non-diagnosed cases. When clinical symptoms are suggesting joint inflammation, scintigraphy could also be used for ruling out accompanying bone involvement. In the three phase bone scan articular and periarticular soft-tissues show early phase activity, while in bones a diffuse, late phase activity increase can be observed. Still, the exam can end with negative results, especially in transient synovitis. A well-defined spot of increased uptake in the bone might be indicative of other bone processes, especially osteomyelitis. (Figure 7.)

7. Right sided subacute coxitis. Three phase bone scintigraphy. Anterior (a) and posterior (b) whole body scans. Summation of the perfusion phase acquisitions (c), early blood pool phase (d), late phase (e), anterior view. Increased blood content and osteoblast activity in the right hip.

If degenerative arthritic joint lesions are in an active phase, they might also show elevated activity, but usually only in the later metabolic phase and – only in greater joints – only at certain parts of the articles.

The loosening of joint prosthetics can be diagnosed sensitively with scintigraphy. If there is a suspicion for septic loosening, an exam searching for inflammation should also be carried out.

Three phase scan shows intensive tracer accumulation in myositis ossificans. The exam can give positive results at an early stage, when other imaging methods cannot detect any signs of calcification. Scintigraphy is also suitable for determining the optimal time for surgery. Surgical resection should be performed when the activity of the process has ceased, so in the early phase increased activity cannot be detected anymore, and in the late phase the radiotraceer accumulation has also become less intensive. Timing is essential because too early resection is associated with greater recurrence rate.

21.2.5. Trauma

Bone scintigraphy is very sensitive and traumatic bone lesions can be detected after a few hours of injury. It is very helpful in the diagnosis of radiologically occult fractures, i.e. stress fracture, trauma of the scapula, fractures of the hand and feet and injuries of the sacrum have to be considered. It is especially useful for the detection of fractures related to child abuse.

21.2.6. Aseptic necrosis

Bone scintigraphy is usually performed after radiologic exams are negative and in cases of uncertain symptom localization. Scintigraphy is able to detect lesions, even 6 weeks before they would become apparent with X-ray imaging. Scintigraphy, just like MRI has its sensitivity over 90%. Avascular necrosis most commonly presents at predilection sites, in Perthes disease at the proximal epiphysis of the femur, as a lack of tracer accumulation. However, it is preferential to take magnified pictures (with the use of a pinhole collimator) for determining this. On these images in the surrounding growth zone an activity increase can be noted compared to the other side. In the follow-up of the disease, as sign of revascularization, a gradually increasing activity uptake is noticeable. It either starts from the lateral side or from the epiphyseal base, of which, the first one indicates better prognosis.

21.3. Neuropsychiatry

21.3.1. Introduction

Functional brain imaging provides information based on biochemical, metabolic signs and changes in other processes of both the normal and the pathologic activity of the human brain. Functional imaging methods – besides MR spectroscopy and functional MRI – are SPECT and PET exams that employ radioisotopic tracer methods. PET compared to SPECT has a greater functional sensitivity and currently a better spatial resolution.

21.3.2. Functional brain mapping

During functional brain mapping regional cerebral blood flow (rcbf) or glucose metabolism indicates neuronal activity. In rcbf SPECT measurements, the so called diffusible radiotracers are used. These pass through the blood-brain barrier. (They are either 99mTc labeled hexamethylpropyleneamine oxime, HMPAO or ethyl cysteinate dimer, ECD.) The radiotracers accumulate in the brain tissue proportional to the blood flow, through an entrapment mechanism. The sole energy source of the brain is glucose. Its metabolism can be depicted with FDG-PET examinations. Because of the entrapment mechanism, FDG accumulation is going to be proportional to the local glucose metabolism and it will be indicative of the local brain activity. Since functional neuronal activity, regional cerebral blood flow and glucose metabolism are parallel changing events, these examinations are capable to visualize vascular lesions or to map brain functions. (Figure 8.)

8. Regional cerebral blood flow SPECT exam, normal findings. Transversal, sagittal and coronal planes.

One advantage of rcbf SPECT examination is that the radiotracer distribution occurs right after the intravenous injection and is not followed by significant redistribution. Therefore, at the time of the injection, the functional pattern of brain activity can be visualized as a “snap-shot” although imaging can take place later. It is especially useful if sedation is necessary before imaging; the “frozen” image can still be recalled even a few hours later, in late phases. Thanks to this, beside normal resting examinations, psychomotor or pharmacological stress examinations can also be carried out. Ictal examinations can be performed to preoperatively detect focal epileptic lesions. For the imaging of regional involvement and for the organization of specific brain functions, the so called activation methods are available. This way a signal induced activity pattern can be revealed. SPECT imaging can be used in preoperative brain mapping even in patients who are otherwise unsuitable for functional MRI examination. Therefore, the localization of important brain areas (e.g.: speech center) is possible. Vasodilatation induction examinations with acetazolamide or CO2 show the reserve capacity of brain arteries. These are used in the preoperative mapping of blood supply disorders (Moyamoya disease).

Multimodal imaging, image registration, image fusion techniques combine morphologic (CT, MRI) and functional (SPECT, PET) methods. Usually, when these techniques are combined, they allow us to gain complementary and more complex information on brain function. Even though the role of PET-CT devices, as hybrid imaging methods is indisputable in case of whole-body PET exams, registration with CT is far less useful in the central nervous system than exams carried out by functional MRI, combined registrations or fusions, or even subtractions (e.g. SPECT-MRI, SPECT-PET, PET-MRI, SPECT-SPECT).

In clinical practice, these methods are suitable for the examination of cerebrovascular diseases. One of their main indications is the differential diagnostics of dementia, including the early diagnosis of Alzheimer’s disease (possibly with FDG-PET). (Figure 9.)

9. Regional cerebral blood flow SPECT exam. Bilateral parieto-temporal perfusion decrease. Alzheimer dementia.

In Alzheimer’s disease the posterior parietotemporal areas show typically decreased uptake, while in frontotemporal dementia, the frontal and temporal areas are involved. In multi-infarct vascular dementia, a decrease in perfusion/metabolism can be shown at the corresponding areas of supplied brain regions. Pseudodementia in depression either demonstrates normal activity values or prefrontal hypoperfusion parameters.

Preoperative lesion localization with isotope scans can be helpful in cases of therapy resistant focal epilepsy. At the beginning of the seizure, increased activity can be revealed at the site of the epileptic source. In the interictal state, the epileptic source is represented as a region with decreased activity. These functional changes are best captured with the combined use of ictal and interictal rcbf SPECT scans. If only a single interictal examination is considered, FDG-PET is more sensitive than rcbf SPECT.

The above mentioned techniques are also useful for the diagnosis of brain death, but usually it is sufficient to perform a planar brain scintigraphy with 99mTc-DTPA (diethylene triamine pentaacetic acid), during which the intracranial arteries and venous sinuses fail to be visualized.

21.3.3. Neurotransmitter imaging, receptor scintigraphy

Neurotransmitter imaging or receptor scintigraphy is used for the investigation of specific radiotracer accumulation and binding. In the latter, neuropharmaceuticals show various parts of the neurotransmission: presynaptic, synaptic or postsynaptic functions. Neuropharmaceuticals can enter the synthesis of a neurotransmitter or they can show specific binding to enzymes, receptors, transporters and reuptake sites. SPECT and PET examinations can visualize dopaminergic, serotoninergic, cholinergic and GABA-ergic systems of the brain. They are mostly performed in an experimental setting, however for clinical imaging purposes, the investigation of the dopaminergic system is available and provides relevant information. Presynaptic dopamine transporter molecule (DAT) can bind certain radiotracers (such as 123I-FP-CIT); the decrease of its striatal accumulation is indicative of a nigrostriatal degenerative process. Thus, this method makes diagnosing Parkinson’s disease possible at an early stage, or it can be used to rule it out. It can also differentiate Parkinson’s disease from essential tremor. The differentiation of idiopathic Parkinson’s disease from atypical Parkinson’s syndrome is possible with the use of a postsynaptic D2 dopaminergic receptor binding radiotracer (123I-iodine-benzamid, IBZM). In atypical Parkinson's syndromes the postsynaptic sites show a pathologic injury, while in idiopathic Parkinson’s disease they do not.

21.3.4. Neurooncology

In neurooncology PET radiotracers that show increased uptake in tumors (metabolic and amino acid metabolite tracers) provide complementary information that is otherwise irreplaceable with other imaging modalities. FDG radiopharmaceuticals depict increased glucose metabolism and their uptake levels are proportional to the grade of malignancy. In case of heterogeneous tumors, FDG is even capable to show which regions of the tumor are more active, making targeting of the more malignant parts possible. However, physiologically high tracer uptake of the gray matter can represent differential diagnostic problems. False positive results can also be encountered due to occurrence of inflammatory processes after a treatment.
With FDG, low grade tumors appear hypo-metabolic (their activity uptake does not exceed the levels seen in the white matter). High grade tumors are hyper-metabolic their FDG uptake may surpass the levels of gray matter accumulation. Radiotracers that visualize increased amino acid transport in malignant neoplasms (11C-methionine, 18F-ethyl-tyrosin: FET) only show a minimal uptake in normal brain tissue. These are useful indicators of low grade tumors. They also enrich in inflammatory processes to a smaller extent, consequently they can be used to sensitively and precisely locate the extent of viable tumor tissue.
PET studies have various roles in the diagnostics of brain malignancies (determining the grade, guiding stereotaxic biopsy),
in estimating the prognosis ( the more intensive FDG uptake the worse the outcome),
in planning therapy (can determine the extent of the tumor),
in following-up the disease (the effectiveness of the therapy can be measured with the functional changes, low grade gliomas can transform anaplastically, which can be diagnosed non-invasively).
PET has an outstanding role in residual tumor detection or in the imaging of recurrence, after surgical and/or irradiation therapy. For instance, it can differentiate between postirradiation necrosis and tumor reappearance, while most imaging modalities in these cases are less reliable.

21.3.5. Liquor scintigraphy

During liquor scintigraphy radiopharmaceuticals are injected to the subarachnoid space (99mTc-DTPA). This is used to study various liquor circulation and absorption dysfunctions. It can also reassure suspected cases of traumatic liquor fistulae.

21.4. Nuclear medicine in oncologic diagnostics

21.4.1. Direct methods

Nuclear medicine methods that visualize tumors directly, have an outstanding role in cancer imaging. The applied radiotracers are taken up in malignant processes. The most important role and a unique ability of FDG-PET and PET-CT is to provide information about viable tumor tissue. This characteristic is unmatched by other non-invasive modalities.

21.4.1.1. PET

The most significant modality among direct methods is FDG PET or PET-CT that – by being able to visualize viable tumor tissue – provides such information that the other noninvasive modalities are unable to do.

The most common clinical use of FDG-PET is in the form of whole-body scan, with oncologic indications. The majority of malignant tumors operate with higher energy consumption and show an increased glucose metabolism, consequently an increased uptake of FDG. The grade of malignancy is usually proportional to the rate of uptake. This method is useful in oncologic diagnostics, since it is capable to differentiate benign lesions from malignant ones. Whole-body PET imaging is capable to detect the primary tumor with local nodal metastases as well as distant metastatic lesions (staging) in one examination. (Figure 10.)

Test iframe
a
Image
b

Image
c
Image
d

10. Ewing’s sarcoma in the right humerus. Staging FDG PET-CT. PET Maximum Intensity Projection (MIP) image (a), transversal (b,c) and coronal (d) plane fused PET-CT images. Multiplex metastatic process with nodal, lung and bone involvement.

In the staging of malignant diseases FDG-PET is extremely important, since it has a greater sensitivity and specificity than the morphologic imaging modalities.
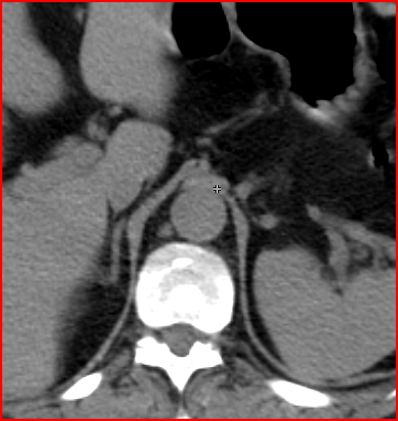
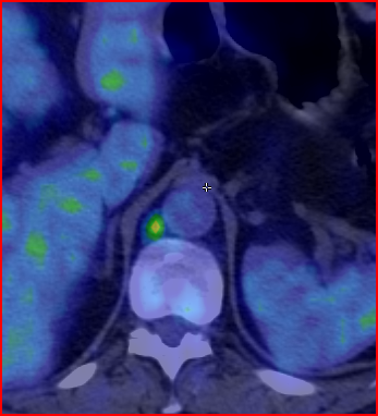
This is most certainly true in case of imaging metastatic lymph nodes. Morphological imaging methods utilize size as the only reliable criteria for the differentiation of a metastatic lymph node. FDG-PET detects metabolic changes in the metastatic lesions independently of their actual size. This way, normal sized metastatic lymph nodes can be identified, as well. Larger lymph nodes that are non-metastatic in nature, but for other reasons show abnormal enlargement can also be differentiated. (Figure 11.)

11. FDG PET-CT. Transversal plane fused (a) and CT (b) image. Small (normal sized) metastatic lymph node on the right side retrocrurally showing increased radiopharmaceutical uptake.

It is very helpful in determining lesions for biopsy, planning surgery or planning irradiation volumes. Oncologic PET examinations, based on a wide data of scientific literature, lead to a relevant modification of diagnosis - primarily disease staging - in approximately 30% of various oncologic diseases. Thus, the results of PET exams can significantly change the therapy planning of a patient.

This change in about 2/3rds of the cases leads to restaging the disease to a higher level (upstaging),
in 1/3rd of the cases PET results are able to restage the disease to a lower level (downstaging).
According to reliable international studies, the use of this method in many indicated cases has proven to be cost-effective. Upstaging could mean that any further, unnecessary and expensive treatment options could become avoidable. Downstaging can help in therapy decision making, particularly in making various other and possibly more expensive therapeutic options unnecessary.

In most cases it is hard or even impossible to calculate the real cost effectiveness of a single examination, since we are talking about health gains and quality of life improvement that are achieved by avoiding a dangerous intervention based on previously incorrect or inaccurate diagnosis, or by choosing the effective therapy based on the accurate diagnosis.

PET examination is suitable for patient follow-up and for the monitoring the effectiveness of oncotherapy. When compared to morphologic imaging modalities, the therapeutic effectivity can be better monitored and response evaluation can be made sooner after the initiation of a therapy. This is based on the fact that the examination measures functional changes of the tumor that tend to precede morphological/structural changes (size) of the tumor.

With the functional methods residual tumors or recurrence (restaging) can be diagnosed earlier or ruled out even when other modalities are uncertain. For example, it can be determined whether a post-therapeutic residual mass contains any viable tumor tissue or it is scar tissue.
In the early phases of oncologic treatment (so called interim phase) PET examinations seem to be able to differentiate patients that respond well to the therapy, from the ones that are resistant to it. (Figure 12.)

Image
a
Image
b

Image
c
Image
d
Image
e

Image
f

12. Diffuse large B-cell lymphoma. Neoadjuvant staging (a-c) and after 3 cycles of immuno-chemotherapy, interim (d-f) FDG PET-CT. Maximum Intensity Projection (MIP) PET images (a,d), transversal fusion images (b,e) and CT images (c,f). During staging extended supra- and infradiaphragmatic nodal involvement was found. At the interim examination complete metabolic remission can be seen indicating a good therapeutic response. At the left parailiac region an extensive residual soft tissue mass can still be noted. (e-f).

In resistant cases this would provide valuable information, and ineffective, but expensive and toxic treatments could be suspended or modified. In addition, the intensity of FDG uptake and the level of early therapy response can also be useful in assessing prognosis. PET imaging due to its high sensitivity may be able to detect tumors of unknown origin (occult tumors), and with specific limitations it could be used for cancer screening.
Considering the principles of evidence based medicine, the PET examinations which are proven to be cost-effective and able to provide information with relevant therapeutic consequences and - even if slight national differences exist between the countries – can routinely be indicated for a list of malignant diseases.
PET imaging has a proven effectiveness in the following cancer types:
the differential diagnostics of a solitary pulmonary nodule
it is valuable in staging and restaging of
lung cancer,
lymphomas,
colorectal cancer,
esophageal cancer,
head and neck cancers,
malignant melanoma,
breast cancer
and uterine cervical cancer.
In case of thyroid cancer restaging, it is valuable if the tumor is dedifferentiated, i.e. it does not accumulate the iodine isotope.
However, FDG-PET can lead to false negative results if the tumor is too small and/or its glucose metabolism has not or only slightly increased (for example: well differentiated neuroendocrine tumors, bronchoalveolar carcinoma, many types of renal or prostate cancer and hepatocellular carcinoma.)
Since FDG is not a tumor specific tracer, some false positive results have to be considered with its use. These usually occur in processes with elevated glucose metabolism or excretion. Certain inflammatory processes – early postoperative and postirradiation phenomena, activated brown fatty tissue, urine excretion in the kidneys and in the urinary tract, aspecific intestinal activity, bone marrow hyperplasia following chemotherapeutic treatment and -especially in younger patients- thymus hyperplasia can all give false positive results.

21.4.1.1.1. PET-CT

The rapid spread of clinically available PET-CT devices is continuous since the beginning of the third millennium. So much so, that nowadays standalone PET machines are not even sold by the manufacturers. Its usefulness is underlined by a wide range of data from the oncologic field. The results show that integrated PET-CT is more sensitive and specific than if its individual modality units are used separately. The most important effect of PET-CT compared to stand alone PET machine is that various lesions on PET are more precisely localized. With the rendering of morphologic data the differentiation of various benign and physiologic processes from malignant lesions makes this technique more reliable. These all lead to reduction in the number of uncertain or false negative results, while they are increasing specificity. Furthermore, the functional information from PET imaging also helps in the characterization of equivocal CT lesions (as in the case of lymph nodes). The increasing effect of PET, regarding the value of CT examination looks obvious, because the PET radiotracer can be considered as a new type of “contrast material” with a very high functional sensitivity and specificity. In some cases, like in disseminated pulmonary metastatic lesions, when the lesion size is too small to be detectable with PET examination alone, CT can increase the sensitivity of PET-CT. Therefore, it has become a widely accepted fact that in the field of tumor staging PET-CT is more sensitive than CT or PET alone (or even if the two modalities are analyzed side by side).

It is also an emerging trend that PET-CT examination, with its capability of whole-body imaging and with both functional and structural information on the organ systems, should be performed at the initial phase of the diagnostic process. An adequate diagnosis could be reached faster, the use of other modalities would become unnecessary, and examination costs could be decreased. It is also diagnostically beneficial, if intravenous dynamic contrast enhanced CT exam is performed as a part of PET-CT examination. This algorithm would decrease the radiation exposure that patients experience during each of these exams.
In oncologic PET diagnostics, beside FDG, other radiopharmaceuticals can also be used:
perfusion tracers;
labeled amino acids that depict amino-acid transport;
nucleotides that indicate tumor proliferation;
labeled choline that provides information of cell membrane synthesis;
DOPA or somatostatin analogues for the examination of neuroendocrine tumors;
and special tracers that can depict tumor oxygenation or hypoxia.

21.4.1.2. Iodine scintigraphy

Whole-body iodine scintigraphy is usually performed in cases of iodine uptaking, well differentiated thyroid cancer. It can detect recidive tumors or metastases.

21.4.1.3. Receptor scintigraphy

Receptor scintigraphy is also a direct technique with high specificity.

21.4.1.3.1. Adrenergic receptor scintigraphy

Neuroectodermal tumors that are rich in adrenergic receptors (neuroblastoma in children, pheochromocytoma in adults) can be targeted with radiotracers that are analogues of noradrenaline, and concentrate in the secretory granules of catecholamine producing cells (metaiodobenzylguanidine, MIBG). Radioactive labeling is performed with 123I isotope, and less frequently with 131I isotope. In cases of pheochromocytoma the method is useful in preoperative localization, which is usually necessary if the tumor is ectopic or multiplex (various MEN syndromes), or if it is malignant and has metastases. For neuroblastoma MIBG scintigraphy basically has a 100% specificity, while its sensitivity is smaller, since there are tumors that do not take up MIBG. The exam is useful for the detection of local recurrence and distant metastases, thus it is important in tumor staging and early detection. Moreover it is informative in determining the efficacy of the therapy.

21.4.1.3.2. Somatostatin receptor scintigraphy

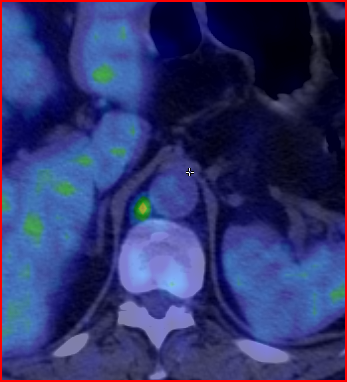
Many tumors express somatostatin receptors, especially the various types of neuroendocrine tumors (for example carcinoid, meningeoma, medulloblastoma and neuroblastoma). These can be investigated with somatostatin analogue peptides, most commonly with pentetreotide, an 111In isotope labeled peptide (OctreoScan). This examination is primarily significant in carcinoid and GEP (gastroenteropancreatic) tumor (gastrinoma, insulinoma, glucagonoma, VIPoma) diagnostics. Although GEP tumors present with a severe clinical picture, they are usually small and their detection with other imaging modalities is difficult. For this reason, somatostatin receptor scintigraphy is the recommended method of first choice. If the carcinoid is well differentiated, it is able to detect the lesion and possible metastases. Furthermore, it is useful in therapy monitoring and in cases of planned liver transplantation to rule out extrahepatic metastases. (Figure 13.)

Image
a
Image
b

Image
c

13. Somatostatin receptor scintigraphy (Octreoscan). Planar anterior (a), transversal (b) and coronal (c) fusion SPECT-CT images. Multiplex liver metastases, the primary neuroendocrine tumor is in the head of the pancreas.

Pharmaceuticals that bind these receptors or their analogues can also be labeled with beta emitting radionuclides. Thus, even radioisotopic therapy can be performed. A diagnostic examination should always precede radioisotopic therapy, in order to determine whether the targeted lesion shows pharmaceutical uptake indicating that it is applicable for radiotherapy.

21.4.2. Indirect methods

Among the indirect methods (depicting normal function as well as their abnormalities) scintigraphy can be performed with pharmaceuticals, that for instance, compete with bilirubin extraction (HIDA, BrIDA) for hepato-biliary scintigraphy, or with colloids that are taken up by Kuppfer cells for static liver scintigraphy. These techniques are both able to determine the benign nature of focal liver lesions.
Bone scintigraphy is used in the imaging of bone metastases of malignant tumors. Bone marrow scintigraphy is a less significant method; however it can also be used in bone metastasis diagnostics.
A three phase blood-pool scintigraphy is available in the diagnostics of liver hemangiomas.

21.4.3. Radionuclid-guided surgery

Primarily occult, non palpable lesions that are to be surgically removed can be targeted with radioisotopes and, during surgery, located with a hand held gamma probe. Radiotracers are either enriched in the lesion (e.g. surgery of the parathyroid gland, sentinel lymph node localization) or injected directly to a lesion, e.g. non-palpable breast cancer can be located with the Radioguided Occult Lesion Localization (ROLL) method as an alternative to the radiologic wire guide technique.

21.5. Urogenital system

21.5.1. Introducion

Renal scintigraphy and urinary tract imaging have high significance because, for instance scintigraphy can express numerically (percentage) the split renal function which information is otherwise immeasurable with other methods.

21.5.2. Dynamic renal scintigraphy (camera renography)

During this examination technetium labeled radiopharmaceuticals are used that are excreted rapidly through the kidneys either by
glomerular filtration (DTPA= diethylenetnamine pentaacetic acid),
or by tubular secretion (MAG-3= mercaptoacetyltriglycine, EC= ethylenedicysteine).
Normally, because of the dorsal position of the kidneys, posterior measurements are taken. In case of a transplanted or ventrally localized kidney, images are obtained from an anterior direction. A series of images are acquired after the start of intravenous injection of the radiopharmaceutical. The imaging is performed at least up to 20 minutes, so that the excretory mechanism can be depicted. In these series the intensive excretion of the renal parenchyma can be well recognized, then in a transitory period the collecting system is visualized and after - parallel with the emptying of the kidneys - the filling up of the bladder can be seen. On these image series the so called ROI (region of interest) technique can be applied, in order to circumscribe the projections of the kidney and then to calculate time-activity curves (renograms). The renogram normally consists of three phases
the first one is a rapid elevation due to the blood flow;
in the second phase the elevation slows down, the parenchymal function dominates;
then in the third phase, the curve decreases exponentially following the washout from the pyelon.
With the help of the computed data sets, the relative renal contribution of each kidney can be determined in percentages to the total functional load. (Figure 14.)

Test iframe
a
Image
b

14. Dynamic renal scintigraphy, normal state. Posterior planar sequence (1 min/image) (a). Results of the semiquantitative evaluation (b).

Dynamic renal scintigraphy is useful in determining the nature of acute anuric states (prerenal, renal or postrenal).
In case of unilateral kidney diseases, it is important to see how much the relative functional share of the damaged kidney is. If surgery is planned, it is also valuable to know the functional state of the contralateral kidney.
Obstructive uropathies also make up a significant indication group for renal scintigraphy. The examination can define whether the uropathy has caused any nephropathy, i.e. if there is any secondary parenchyma lesion. Moreover it is possible to see whether there is any real obstruction or stenosis behind the dilatation of the collecting system requiring future intervention to prevent progression. In these cases, when parenchyma function is preserved, the activity excreted by the kidney is either retained, or its excretion is very prolonged.
Obstructive and non-obstructive dilatations are differentiated by giving the patient a diuretic (diuretic renography). If there is no obstruction, as an effect of the diuretics, the previously stagnating urine quickly washes out from the collecting system, while in real obstruction this effect is not seen. (Figure 15.)

Test iframe
a
Image
b

15. Diuresis renography. Iv. diuretics were given to the patient in the 15th minute of the exam. Case 1: Posterior planar sequence (1 min/image) (a). Case 2: Representative images, time-activity curves, ROIs (b). Left sided functional dysfunction of the urethral system in both cases at the pyelo-urethral junction.

The first case is regarded as a functional problem, the latter as an organic abnormality.
To determine the renovascular cause of hypertension (the existence of a renin mediated process), the captopril challenge test is required. In case of a persisting renal artery stenosis, the production of renin is enhanced that with the help of angiotensin convertase enzyme (ACE) will consequently lead to the elevation of the most potent vasoconstrictor, angiotensin II. In the glomeruli, Angiotensin II constricts the efferent vessels more than the afferent ones. Consequently, this effect increases glomerular pressure and compensates for the decreased GFR, caused by the stenosis of the renal artery. Captopril (ACE-inhibitor) ceases the previously described chain. Thus, the kidney with a stenotic artery will not show the effect and its function decreases.
For a transplanted kidney dynamic renal scintigraphy can be a valuable tool to detect various complications (blood supply abnormalities, rejection, urine excretion impairment, urine leakage) at an early stage. Scintigraphy is also helpful in the differentiation of tubular necrosis from rejection and in the follow-up of kidney function.

21.5.3. Static renal scintigraphy

With the use of 99mTc-DMSA (Technetium-99m-dimercaptosuccinic acid), a radiopharmaceutical that is excreted by the kidney (proximal tubules) and that persists within the tubules for a longer time, static renal imaging can be performed. Imaging is performed after a certain incorporation time of the radiopharmaceutical (3-4 hours after iv. injection) to depict the regional renal function in high detail static images.
This is primarily useful in the diagnostics of pyelonephritis. In uncertain cases it can verify acute inflammation. In chronic processes, static renal scintigraphy can identify scar lesions sensitively (chronic pyelonephritis, reflux nephropathy). The above mentioned lesions appear as decreased activity. Since the exam is not specific, the detailed morphology of the lesion is also necessary, and it is usually obtained with a complementary US examination. US exam helps the differentiation of pyelonephritis from lesions with a mass effect that also present as an activity defect on scintigraphy. (Figure 16.)

16. Static renal scintigraphy. Planar images, posterior and right oblique planes. Delineated parenchyma lesion in the right kidney, scarring.

With multiangular static imaging the abnormalities of kidney shape, size and position can be also depicted. Especially, in cases of renal disposition disorders, (e.g.: dystopia) the kidney’s relative involvement in the total renal function can be calculated more precisely than with dynamic examinations (the mean count rate measured in the anterior and posterior images are used for calculation).

21.5.4. Radionuclide cystography

Radionuclide cystography can be used in children for the diagnostics of vesicoureteral reflux (VUR) and also for the measurement of bladder retention.
In case of a direct cystography, just like in X-ray micturation cystography, the isotope is delivered through a catheter into the bladder. The use of the indirect method is more widespread and has the advantage of not requiring the placement of a urinary catheter. Using the indirect method, VUR can be observed in physiologic conditions; at the end of dynamic renal scintigraphy, when the kidneys are completely emptied, the patient is asked to micturate while a dynamic acquisition is obtained by the gamma camera. The process is recorded with high frame rate image series. If VUR exists, then during micturation activity can be detected again in the ureter and the renal collecting system. (Figure 17.) This method is useful for the follow-up of previously diagnosed cases of VUR.

Test iframe

17. Indirect radionuclide cystography. Dynamic examination (5 sec/image), posterior view. Left sided ureteral and urinary tract reflux at filled bladder and during micturation.

21.6. Gastroenterology

21.6.1. Examination of the liver and the biliary system

There are three imaging methods available for examining the liver.

21.6.1.1. Colloid liver-spleen scintigraphy (static liver scintigraphy)

During colloid liver-spleen scintigraphy a technetium labeled colloid is used, that is taken up by the elements of RES and the Kuppfer cells. At imaging, most solid lesions of the liver, except for focal nodular hyperplasia and the regenerative nodules in cirrhosis will appear as well-circumscribed activity defects.

21.6.1.2. Cholescintigraphy

Cholescintigraphy is a method to assess hepatocellular function, bile secretion and biliary drainage. The radiotracer is 99mTc labeled iminodiacetate (IDA) derivative, which similarly to bilirubin is secreted by hepatocytes. During cholescintigraphy dynamic series of images of the liver and the abdominal region are taken for an hour. This will show the excretion of the radiopharmaceutical in the liver, then its appearance in the biliary tree, gall bladder and finally its duodenal secretion. The examination is excellent for the assessment of gall bladder emptying. (Figure 18.)

18. a-e) Chole-scintigraphy. Planar anterior sequence. Normal conditions.

Gall bladder contraction is either provoked pharmacologically (iv. injection of cholecystokinin) or with the consumption of fatty meal.
For the identification of biliary obstruction, this is the most sensitive method. In case of obstruction, in the biliary tracts proximal to the obstructing lesion a retention of the radiopharmaceutical occurs. Duodenal-gastric reflux of the bile can only be detected with this examination in physiologic circumstances. It is also sensitive for the diagnosis of postoperative biliary fistulas.
If there is a preexisting parenchymal liver disease, the radiotracer excretion decreases and intrahepatic transport is prolonged.
Biliary atresia in infants can also be confirmed or ruled out by the complete absence or by the appearance of intestinal activity.

21.6.1.3. Focal nodular hyperplasia

Isotope examinations are also available for the detection of focal liver lesions, for instance focal nodular hyperplasia (FNH). In the majority of FNH, the Kuppfer cells are active, therefore in static liver scintigraphy (SPECT) the labeled colloid activity will be increased in the lesion, which is characteristic for the lesion. During cholescintigraphy a characteristic image is seen; a three phase examination is required with a perfusion scan of the liver included. During the perfusion phase a mass with arterial supply is visible, then the radiotracer is secreted in the FNH, but due to the lack of normal biliary tracts within the lesion, the activity appears to be trapped. (Figure 19.) However, well differentiated HCC and hepatoblastoma can both appear very similar to FNH on the scan.

a
Image
b
Image
c
Image
d
Image
e

19. Focal nodular hyperplasia (FNH). Three phase scintigraphy, anterior view (a-d), perfusion sequence (a), summation image of the arterial phase (b), early parenchymal phase (c) and late phase (d) static images. Static liver scintigraphy anterior plane (e). During chole-scintigraphy a well defined increased arterial inflow (a,b), hepatocellular excretion (c) and late activity retention (d). Static liver scintigraphy reveals preserved Kuppfer cell activity at the site of the lesion (e).

21.6.1.4. Three phase blood pool scintigraphy

The three phase blood pool scintigraphy is a specific examination for visualizing cavernous hemangiomas. In case of blood pool scintigraphy, the red blood cells are labeled in vivo (within the blood vessels) or in vitro in two steps. First, the red blood cells are sensitized by an inactive component, and then the sensitized red blood cells are labeled with 99mTc-pertechnetate.
In the first, perfusion phase decreased activity can be noted at the site of the cavernous hemangioma due to its decreased blood supply. This decrease persists in the early blood content phase, since the labeled blood can only gradually fill up the cavernous spaces of the hemangioma and blending with unlabeled blood takes some time. Nevertheless, in the late phase scans (at about 2 hours after the start of the exam) the lesion appears with higher blood content compared to the surrounding parenchyma. (Figure 20.)

Image
a
Image
b
Image
c

20. Cavernous hemangioma in the liver. Three phase blood pool scintigraphy in posterior view. Summation image of the perfusion phase (a), early (5 min.) phase (b) and late (2 hours) phase (c) static images. There is a steadily growing blood pool activity increase in the dorsal lesion of the right lobe of the liver.

21.6.2. Gastrointestinal bleeding

Blood pool scintigraphy is also used for the localization of gastrointestinal bleeding. In case of an active bleeding, the labeled red blood cells enter the intestinal lumen. In typical cases the hemorrhage appears as a circumscribed activity pool, which by following the intestinal peristalsis, will appear at different locations over time, while its extension grows. The exam is only sensitive if the rate of bleeding is equal to or greater than 0.1-0.4 ml/min.

21.6.2.1. Meckel’s diverticule

In infants GI bleeding can also occur from the ectopic gastric mucosa in Meckel’s diverticulum. The diverticulum’s gastric mucosal membrane can be identified with 99mTc-pertechnetate scintigraphy. The isotope is accumulated in both normal and ectopic gastric mucosal membrane and the ectopic mucosa will appear as a circumscribed activity increase outside the stomach’s area. (Figure 21.)

21. Meckel-diverticulum with ectopic gastric mucosa. Anterior image was taken of the abdomen after 60 minutes of iv. injection of 99mTc-pertechnetate. In the right lower quadrant of the abdomen there is a pathological activity increase, while at the projection of the stomach the activity uptake is normal. (Urine activity is seen in the bladder.)

21.6.3. Inflammatory bowel diseases

Inflammatory bowel diseases can also be assessed with scintigraphy for their extent and their state of activity. In IBD isotope labeled white blood cells are used. The advantage of scintigraphy is, that as opposed to other techniques, it its completely non-invasive.

21.6.4. Gastrointestinal motility

The motility examinations of the GI tract, esophagus, stomach, small and large bowels are carried out with functional isotope examinations. The radioactive isotope labeled liquid, semi-solid and solid food is ingested orally. Their most important advantage is sensitivity and their physiologic nature, which means that these results can be quantified. Gastro-esophageal reflux is well assessable with these orally ingested foods. Scintigraphy due to its non-invasive manner and low radiation burden is especially useful in examining infants and small children.

21.7. Endocrinology

 

21.7.1. Thyroid scintigraphy

Thyroid scintigraphy is usually carried out with 99mTc-pertechnetate. The examination can assess regional thyroid activity. The pharmaceutical is transferred into thyroid cells by the iodine pumps. Pertechnetate as opposed to iodine does not participate in the consequent steps of hormone production and quickly leaves the thyroid gland. (Figure 22.)

22. Thyroid gland scintigraphy (planar anterior image). Normal thyroid gland scintigram.

The exam is able to depict the shape, size and location of the thyroid gland, the activity intensity levels and distribution of the lobes and it can visualize ectopic thyroid tissue. The thyroid nodules are usually identified by palpation or US examination while their activity is assessed by scintigraphy scans. When the level of activity in a nodule is low or there is no activity at all it is regarded as a “cold” nodule. In cases when activity levels are equal to the normal thyroid tissue they are called “warm” nodules, and in case of increased activity “hot” nodules are differentiated. The carcinomas of the thyroid gland appear as cold nodules, however the examination is aspecific. Other lesions can also appear as cold nodules, such as colloid nodules, focal thyroiditis or hemorrhage. (Figure 23.)

23. Thyroid gland scintigraphy (planar anterior image). Cold nodule in the lower pole of the left lobe of the thyroid gland.

(Note that cold nodules smaller than 1 cm routinely do not appear on the scan due to limited spatial resolution.) Scintigraphy is very valuable in the differential diagnosis of hyperthyroidism. Autonomic adenomas can be identified appearing as hot spots, meanwhile the normal thyroid tissue is suppressed and it shows decreased radiopharmaceutical uptake. (Figure 24.)

Image
a
Image
b

24. Thyroid gland scintigraphy (planar anterior image) in hyperthyroidism. Hot nodule in the lower pole of the right lobe. Other parts of the thyroid gland show a suppressed activity uptake, autonomic adenoma (a). Enlarged thyroid gland showing a homogeneous activity uptake, diffuse struma, Basedow-disease (b).

Differentiated –iodine uptaking – recurrent tumors and metastases of thyroid cancer (papillary and follicular carcinoma) can be detected with a whole body iodine scintigraphy using 131I-NaI.

21.7.2. Parathyroid scintigraphy

Primary hyperparathyroidism confirmed by lab results is typically caused by parathyroid adenoma. Parathyroid scintigraphy can preoperatively localize the over-producing lesion, and it is gaining significance with the spreading of minimally invasive (endoscopic) surgical methods. There is no specific radiopharmaceutical that is able to show the increased and overproducing parathyroid gland. Due to increased cellular density and increased metabolism, adenomas can usually be identified by so called perfusion radiotracers such as 201Tl-chloride or 99mTc-sestamibi (commonly used in myocardial perfusion studies; see the related chapter). Parathyroid adenomas are either located on the neck or in 6-10% of the cases in the upper mediastinum as ectopic adenomas.
It is slightly problematic that the hypercellular thyroid gland also accumulates the radiotracers. However, sestamibi washes out rather quickly from here. The differentiation of adenomas from the thyroid gland is done with a two phase (wash-out) sestamibi scan. In early pictures both the adenoma and thyroid glands show increased activity, while in the late phase thyroid activity decreases compared to the adenoma. (Figure 25.)

Image
a
Image
b
Image
c

25. Two phase parathyroid gland scintigraphy with 99mTc-sestamibi. Early (a) and late (b) planar anterior images, SPECT examination in the early phase (c). Behind the lower pole of the right lobe of the thyroid gland there is increased activity uptake of the radiopharmaceutical with decreased wash-out phase. Parathyroid adenoma.

Another method used, is the subtraction method, in which functional thyroid gland is depicted with 99mTc-pertechnetate (just like in the thyroid scans) then this image is subtracted from the scan taken with the perfusion radiotracer. SPECT, and especially SPECT-CT imaging facilitates precise localization.

21.7.3. Adrenal cortical scintigraphy

Cholesterol derivatives labeled with radioisotope are used for the imaging of the functioning adrenal cortex. The method is used in the differential diagnostics of hormone overproducing syndromes and in the characterization of incidentalomas.

21.7.4. Adrenal medullar scintigraphy

Pheochromocytoma originating from the adrenal medulla and hormone producing neuroendocrine tumors (carcinoid, GEP tumors) are investigated by adrenergic and somatostatin receptor scintigraphy methods discussed previously in the oncologic section. (see there).

21.8. Isotope diagnostics of inflammatory processes

Gallium scintigraphy, white blood cell scintigraphy and FDG-PET examinations are the most commonly used techniques for the characterization of inflammatory diseases. Gallium (67Ga-citrate) enrichment is the result of a complex process in the inflamed tissue. (Increased activity can also be detected in certain tumors such as lymphomas, in which it used to have a high diagnostic value before the FDG-PET era.) White blood cell labeling can be performed in vitro. A leukocyte suspension separated from the patient’s blood is labeled in laboratory conditions with 99mTc-HMPAO (hexamethylpropyleneamine oxime), and sometimes with 111In-oxin. These leukocytes are eventually reinjected into the patient. During in vivo labeling, technetium labeled monoclonal antigranulocyte antibodies, or its fragments are injected (immune-scintigraphy). The labeling of the granulocytes happens within the blood vessels. (Figure 26.)

Image
a
Image
b

26. Hepatic abscess in a polycystic liver. SPECT examination with in vivo antigranulocyte antibody labeled white blood cells. Maximum Intensity Projection (MIP) image, anterior view (a), transversal and coronal planes (b). Increased enrichment in the subdiaphragmatic, large cystic lesion’s wall in the enlarged liver. (Normal spleen and bone marrow can be seen.)

(The antigen used for the labeling process is expressed on all elements of the granulocyte chain, starting from promyelocytes, thus the bone marrow is also well visualized, and moreover this method can be used for a good quality bone marrow scintigraphy, as well.) Thus the in vivo technique can also be used to visualize the bone marrow.) Considering that activated leukocytes and macrophages accumulate FDG; FDG-PET is also capable to sensitively depict inflammatory processes.
White blood cell scintigraphy is also popularly used for acute and subacute states of inflammatory processes that are usually caused by bacterial infections. In chronic and non-bacterial inflammations – especially chest, pulmonary – processes, the preferred examination technique is Gallium scintigraphy. FDG-PET is preferred in cases of fever of unknown origin (FUO) syndromes, and it is also important for the detection of vertebral osteomyelitis, and for the identification of inflammatory processes of vascular prosthetics as well as large vessel arteritis examinations. (Figure 27.)

Test iframe
a
Image
b
Image
c

Image
d

27. Vasculitis, FDG PET-CT. PET Maximum Intensity Projection (MIP) sequence (a), fusion sagittal (b) and transversal (c,d) plane images. Increased FDG uptake in the aortic and the large vessel arterial wall.

FDG-PET is also able to detect Hodgkin and aggressive non-Hodgkin lymphomas, colorectal cancer and sarcomas as the cause of tumor related fever. FDG-PET can potentially replace other imaging methods in cases of FUO syndromes, because compared to white blood cell scintigraphy it is able to assess a wider range of diseases.

21.9. Isotope therapy

Nuclear medicine includes therapeutic procedures carried out with unsealed radioactive isotopes. The main principle is that after local injection or after systemic (iv. or per os) administration, the beta emitting isotope labeled pharmaceuticals create a selective radiotherapeutic effect. They are enriched in the targeted lesions and due to the locally acting radiation the damage on the normal surrounding tissues is minimized. Their advantage is that they barely have any side effects, and their effect is long lasting. The most commonly used isotopes are 131I, 90Y, 153Sm, 89Sr and 186Re.
Clinically, the most widely available methods are the following:

  • radioiodine therapy of benign and malignant thyroid diseases;
  • palliative, pain relief therapies of bone metastases with bone affine pharmaceuticals;
  • radiation synovectomy with the injection of metallic colloids to the articular space in chronic joint inflammations;
  • palliative therapy of neuroectodermal and neuroendocrine tumors with 131I-MIBG or other isotope labeled somatostatin analogues;
  • radioimmunotherapy (labeled monoclonal antibody) primarily of B-cell lymphomas.

 

Message:

Radioactive tracing forms the basis of nuclear medicine techniques. Most of the diagnostic methods are imaging modalities involving the administration of radiopharmaceuticals to patients and detecting the radiation of the tracer isotope by using the appropriate imaging equipment (gamma camera, PET and hybrid imaging devices).
Isotope examinations provide functional information that in many cases can be used solitarily, but often the acquired information complements the findings of morphological imaging systems.

Translated by Balázs Futácsi


Site Language: English

Log in as…