Loading...
 
PDF Print

Non-vascular interventions

19. Non-vascular interventions

Author: Attila Kollár

Semmelweis University Department of Radiology, Budapest

 

The aim of this chapter

The aim of this chapter is to introduce the possibilities and types of diagnostic and therapeutic non-vascular interventions to the student. Many times, these procedures are able to replace extensive or - depending on the condition of the patient - life threatening surgeries but they can also be life-saving, palliative or long lasting solutions.

19.1. Historical introduction

Out of the numerous and many times groundbreaking innovations of interventional radiology, the one probably with the outmost importance and impact is still considered the work published by Seldinger - a Swedish radiologist - in 1953 about a percutaneous catheter technique. This technique is not only successfully implementable in the field of vascular interventions but it is also useful in the field of non-vascular interventions. Besides its obvious vascular use, biliary tracts, urinary tracts, fluid collections, abscesses can also be successfully and safely reached with this technique.
With X-ray fluoroscopy interventions of the biliary tract have already been performed since the beginning of the 1960s and by then various types of biopsies have been performed already world-wide in growing numbers.
The development of the imaging methods during the 1970s and 1980s gave a tremendous push to the improvement of more delicate non-vascular interventional techniques (X-ray, US and CT guided interventions). With regard to biopsies, the more precise image guiding and the development of finer needles, automatic biopsy guns have all lead to the improvements in precision of tissue sampling as well as they have reduced complications significantly.

19.2. Image guided biopsies and drainage

These procedures are amongst the most widely performed non-vascular interventions, their understanding and their practical knowledge is fundamental for any healthcare professional.
The diameter of biopsy needles is given in Gauge (G) where 19,8 G = 1 mm (the smaller G value represents a wider needle, i.e.: 14G = 2,03 mm).
Biopsies in the majority of the cases should be performed with local (Lidocain 1%) anesthesia. Fine needle biopsy of more superficially located lesions can be performed without local anesthesia though. In case of known Lidocain sensitivity other local analgetics (i.e.: Marcain, Bucain) should be used.

19.2.1. Types of biopsies according to needle diameter

19.2.1.1. Fine Needle Aspiration Biopsy (FNAB)

With 20G or thinner needles one can obtain cytological samples, thus smaller groups of cells can be aspired from a certain area. (Figure 1.)

Image
A
Image
B
Figure 1. - Fine needle, core biopsy needle – pictures (A: 22G and 14 G biopsy needle, B: 22G fine needle with US transducer)

 
These needles with a diameter of less than 1 mm can even puncture intestines without the risk of causing perforation. Therefore retroperitoneal- and lesions behind the stomach can also be sampled.
After aspiration, the collected sample is squeezed on a glass plate and one quickly has to produce a smear and chemically fixate it.

19.2.1.2. Core biopsy

Most often we use 14-18 G needles for these tissue samplings. With the help of an automatic biopsy gun one (or more) tissue columns are acquired of the desired area. (Figure 2.) This sample already provides histological information.

Image
A
Image
B

Figure 2. – Core biopsy needle – pictures (A: 14G needle in the biopsy gun, B: 14G biopsy needle with UH transducer)

A special biopsy method; mammotome (8G needles!) can be used with smaller breast cancers which are able to completely remove the lesion (at certain cases multiple biopsies need to be performed).

19.2.2. Types of biopsies according to image guidance

19.2.2.1 US guiding

Nowadays it is the most commonly used method. Both superficial (figure 3.) and deep (figure 4.) lesions can be biopsied.

Image
Figure 3. – US guided, fine needle aspiration biopsy (breast cyst puncture)
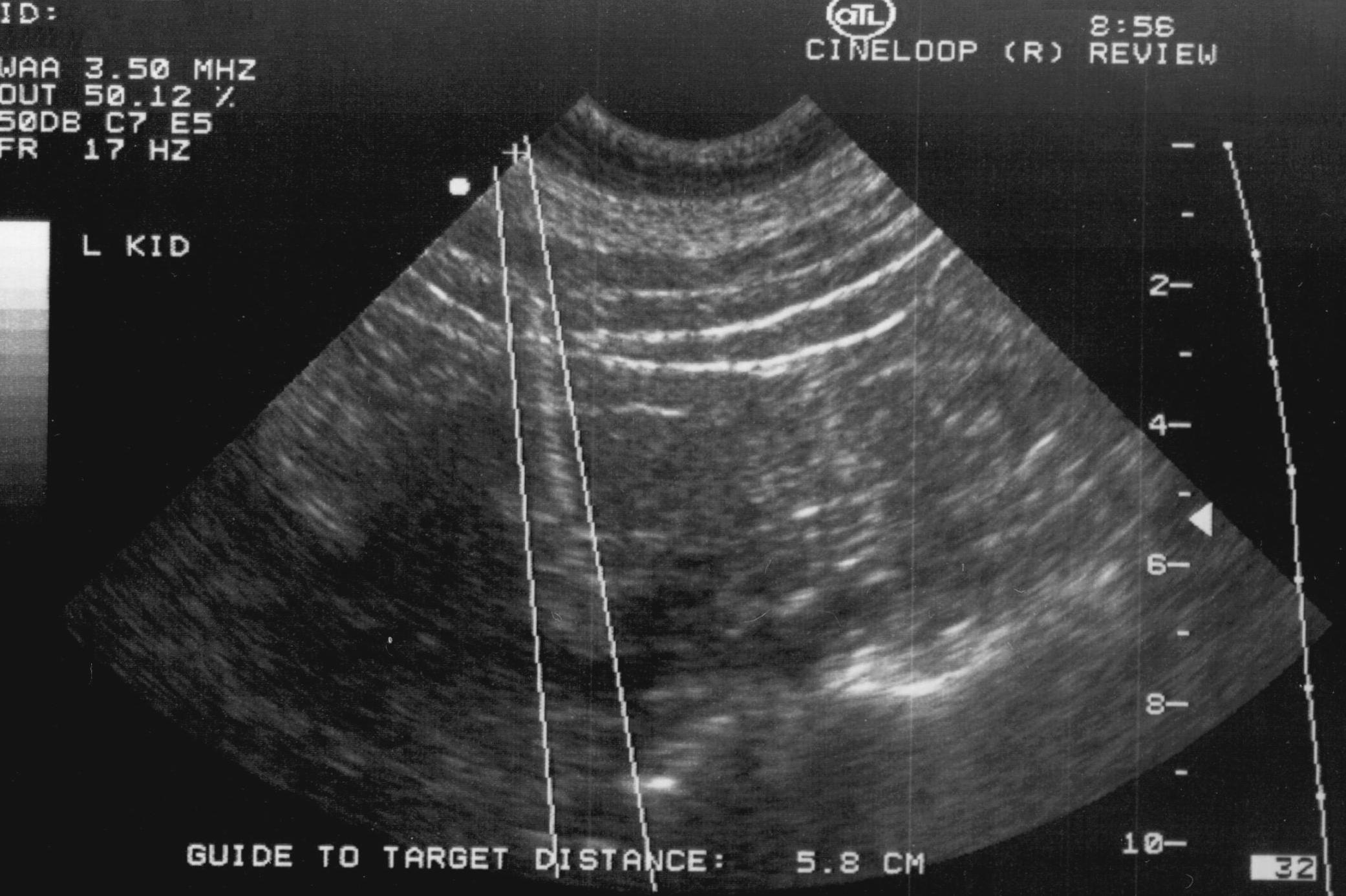
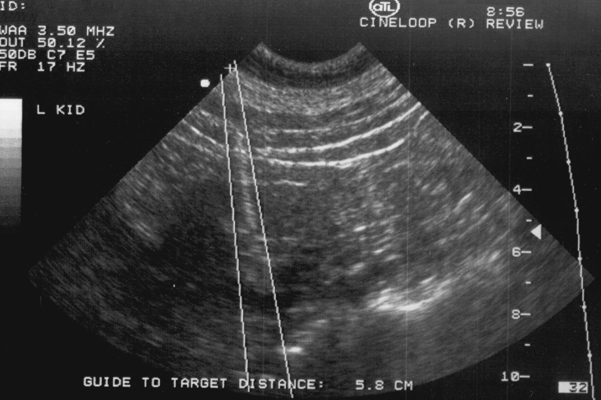
Image
Figure 4. – US guided core biopsy (kidney)

 
There are two basic technical approaches:

  1. With the help of a special needle guider
  2. Free hand method

The free hand method requires more experience from the operator. The needle should not move out of the transducer’s field of view, not to lose sight of its tip. Lesions lying 10-12cm deep in the body, with a diameter equal to or less than 10mm should all be approached with needle guiders for biopsy.
Advantages:

  1. Real time control of the procedure during the whole examination.
  2. No ionizing radiation is used.
  3. Wide-spread, relatively cheap method.
  4. Easy to perform.
  5. Bed-side biopsy can also be performed on immobile, ICU patients.

Disadvantages:

  1. Operator-dependent, requires practical skills and experience.
  2. Significant obesity, bones, intestinal gas, postoperative drains can hinder or disable the possibility of biopsy due to low image quality.

 

19.2.2.2. CT guided biopsy

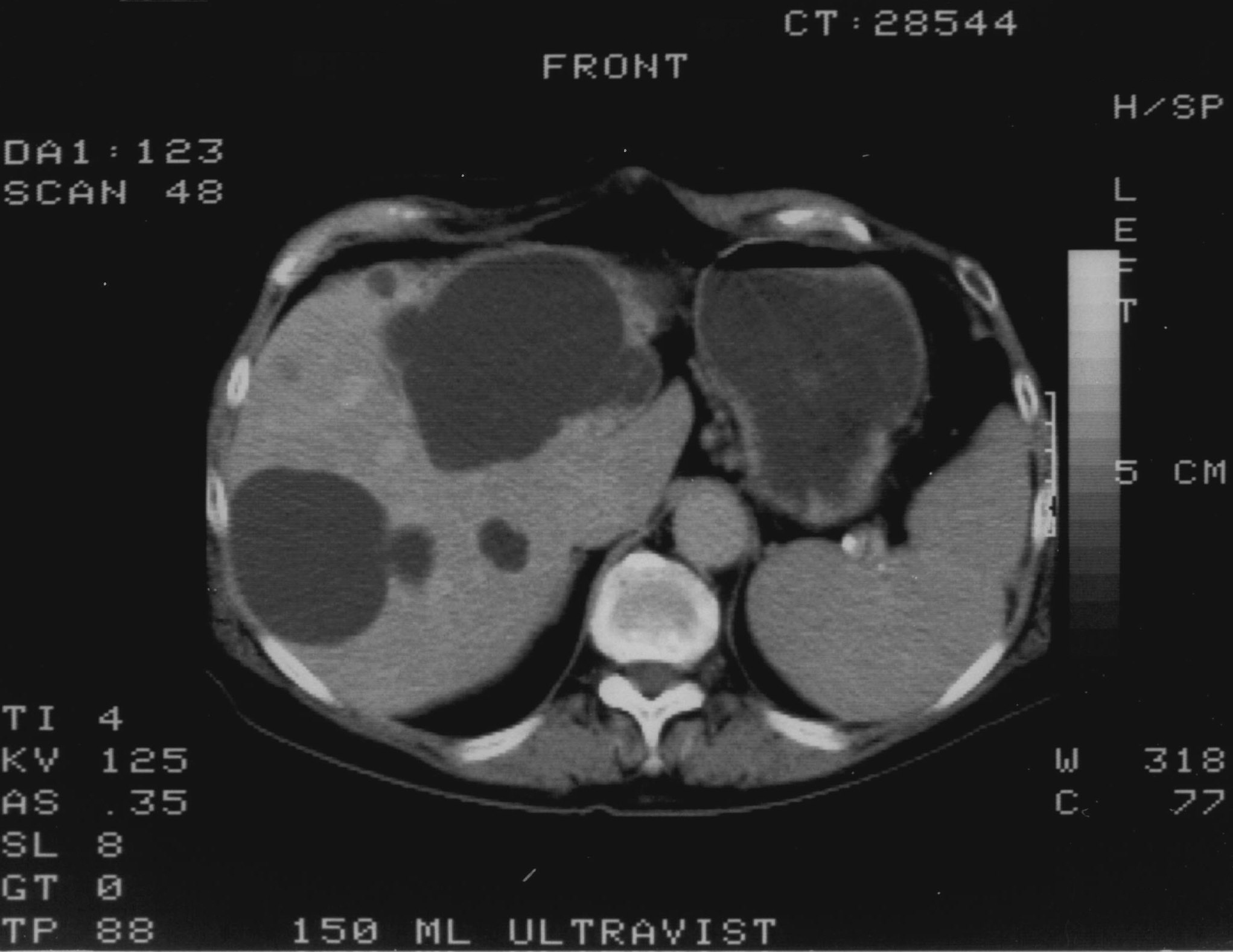
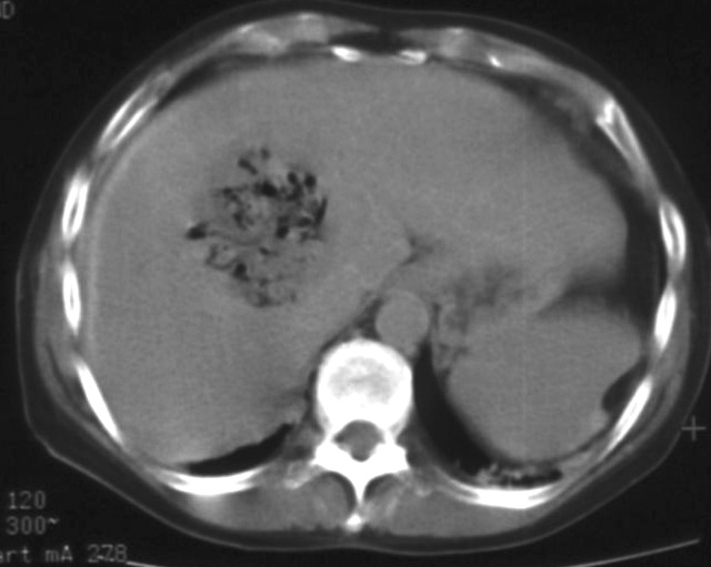
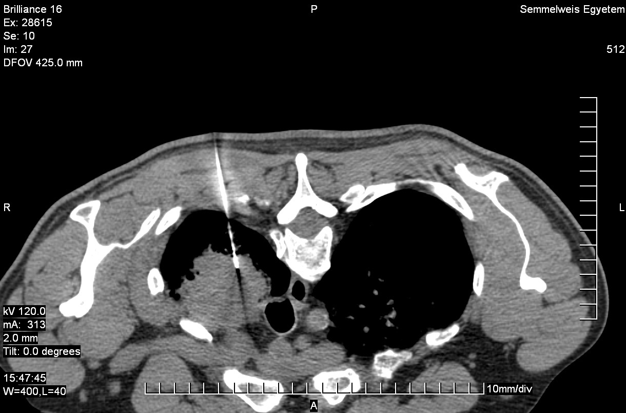
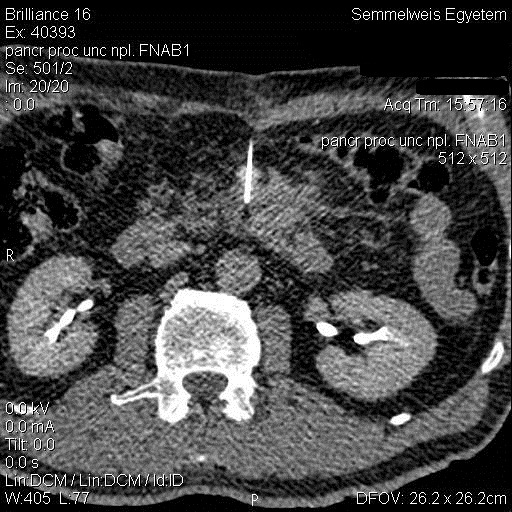
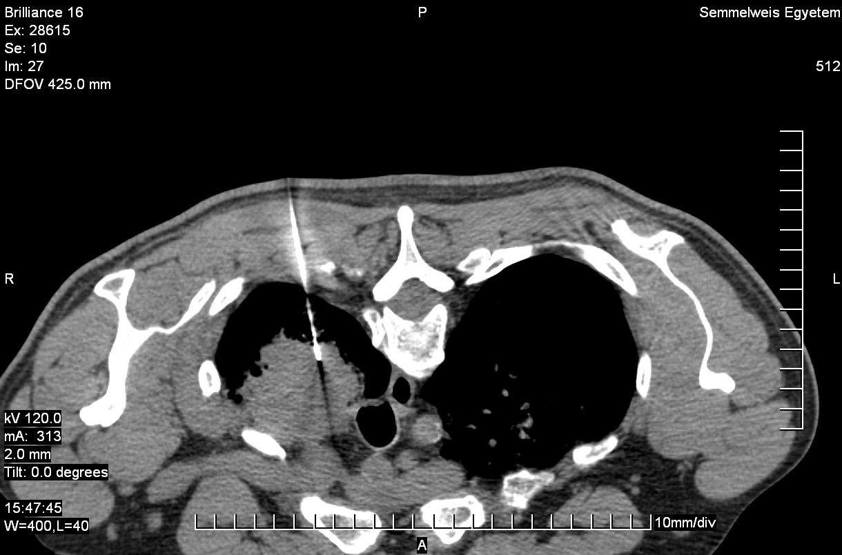
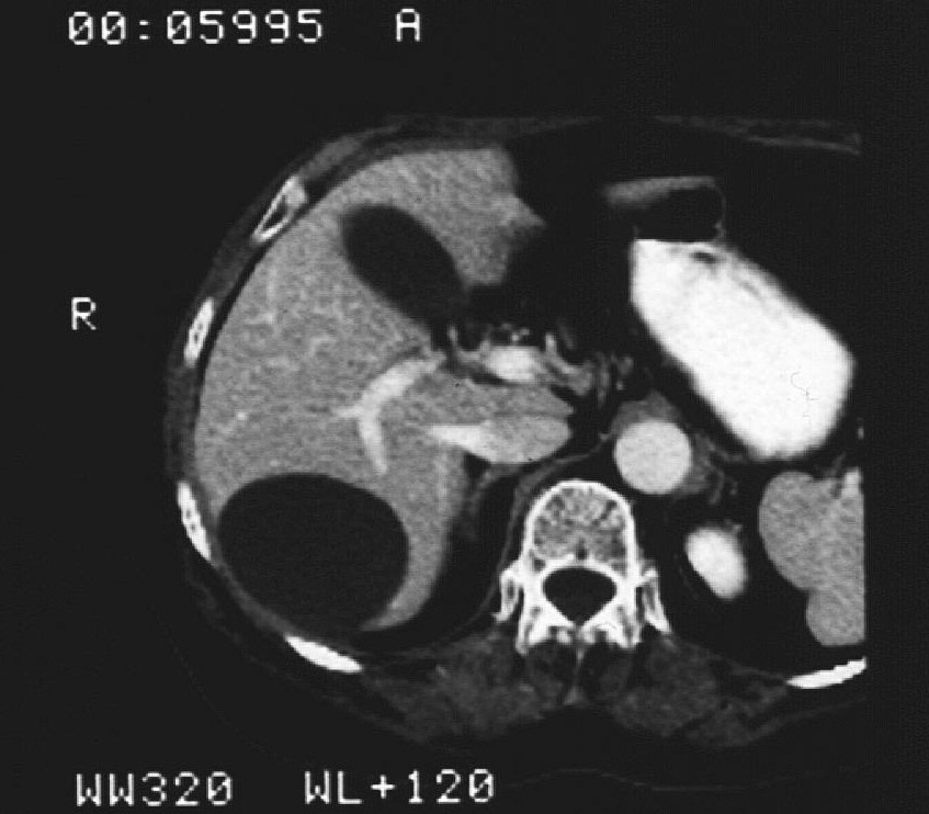
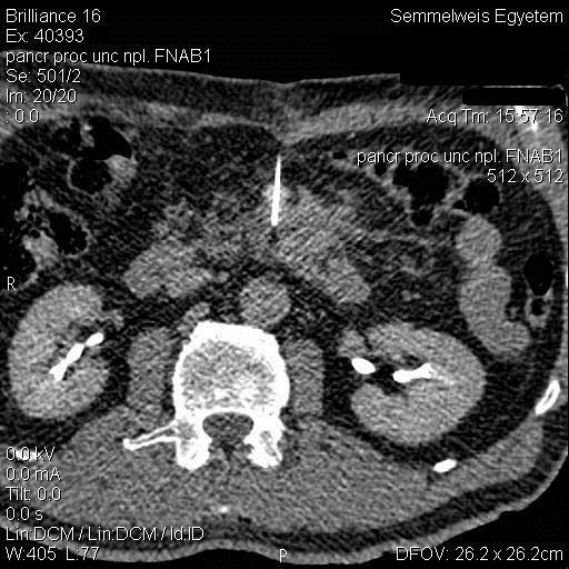
Ideal method if the lesion is located either in the chest (figure 5.), mediastinum, retroperitoneum (figure 6.) or the pelvis.

Image
Figure 5. – CT guided thoracic biopsy
Image
Figure 6. – CT guided pancreatic biopsy
Image
Figure 7. – CT guided sacrum biopsy

 
Advantages:

  1. Excellent spatial resolution.
  2. Bone and intestinal gas do not hinder sampling.
  3. Less operator dependent than US guided biopsy.

Disadvantages:

  1. Uses ionizing radiation.
  2. No real time control.
  3. Less available, relatively more expensive.
  4. Can only be performed in the CT lab.
  5. More time consuming.

 

19.2.2.3. X-ray guiding

Decades ago renal core biopsies used to be performed after iv. urography with fluoroscopic guidance. These procedures nowadays are performed with US guiding. A special mammographic stereotaxic biopsy method is still preserved for some cases of breast cancer, which are not (or only poorly visible) with US. However, this method can only be performed in some specialized centers.

19.2.2.4. MR guiding

In special cases the use of MR guidance can be considered. Its disadvantage is its expensive price and its availability is lot less than that of CT. Moreover it requires special, non-magnetizable equipment. Today it is used to biopsy intracranial tumors.

19.2.2.5. Hybrid imaging methods

With recent developments, nowadays it is possible to fuse MR/CT examinations of a patient with US images in real time, when the proper imaging region and plane are set. This method is useful in the biopsy of lesions that are otherwise hard to visualize with US alone.

19.2.3. Drainage techniques

These methods are helpful for the percutaneous treatment or drainage of fluid collections and abscesses (figure 8.).

Image
Figure 8. – UH guided drainage, abdominal wall seroma (drainage of 400 ml)

 
The diameter of drainage catheters is given in French (F), 1F = 1/3 mm.
These interventions can be basically performed in two ways.:

19.2.3.1. Seldinger technique drainage

As a first step US or CT guided puncture of the lesion is performed with a correct needle size. (Figure 9.)

Image
Figure 9. – Hepatic cyst CT guided puncture (guide wire in the cyst)

 
After, a guide wire of 0,035” diameter is placed through the needle to the lesion, and the needle is removed. The guide wire is used to assist the insertion of a carefully selected, correct sized (6-14F) drainage catheter.

19.2.3.2. Trocar method drainage

During the trocar method both the puncture cannula and the trocar sheath (drain) are inserted together to the lesion with the proper image guidance. After the desired positioning of the trocar the cannula is removed and the sheath stays in the lesion to drain the fluid collection or the abscess. (Figure 10.) The drain is uausally attached to the skin a stitch.
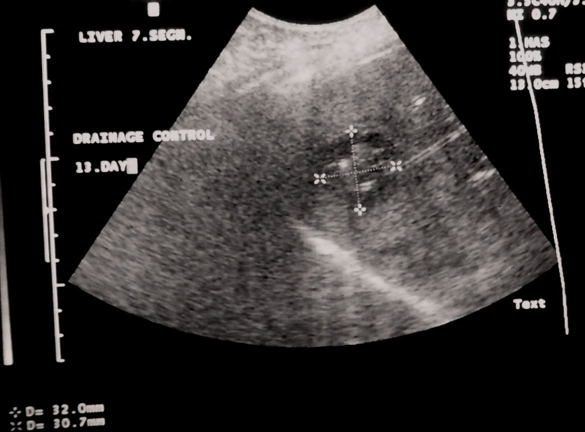
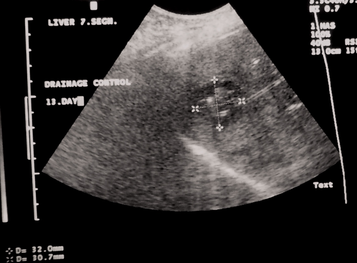
Abscess healing can be accelerated by repeated drainage and lavage of the contents of the abscess. (Figure 11.)

Image
Figure 10. – Hepatic cyst before alcoholic sclerotization, cyst is filled with diluted contrast material.
Image
Figure 11. – US guided hepatic abscess drainage control (day 13, after several rounds of lavage and cleaning of the abscess)

 
The length of the percutaneous drainage is influenced by the washout of the contents and the reduction of its size.

19.2.4. Contraindications of biopsies and drainage

Biopsy and drainage are contraindicated:
- if no proper blood clotting parameters are met (it can be temporarily corrected for the time of the puncture with fresh frozen plasma (FFP),
- if there is an unavoidable blood vessel (aorta, IVC) in the way to the lesion,
- if there is a lack of sufficient cooperation from the patient (anesthesia might be necessary).

19.2.5. Complications of biopsy and drainage

There are various complications of each procedure:
- Hemorrhage (subcapsular (figure 12.), parenchymal, intraabdominal (figure 13.), intrathoracic, pseudoaneurysm),
- Ptx (thoracic (figure 14.), mediastinal, infraclavicular, in case of subdiaphragmatic intervention),
- Perforation (it is FORBIDDEN to use core biopsy needle for lesions lying behind intestines),
- Tumor spread in the cutaneous biopsy canal (the same risk factor applies in case of all guiding modalities.)

Image
Figure 12. – US guided renal biopsy, subcapsular hemorrhage (5 minute control)
Image
Figure 13. – US guided renal biopsy, serious retroperitoneal and intraabdominal hemorrhage, with active bleeding (20 hour control)

 

Image
A
Image
B
Figure 14. – PTX after lung biopsy (A: immediately after biopsy is only a small PTX, B: 5 minutes CT control)

 

19.3. Complex interventional radiological treatment of hepatic tumors

 
The gold standard of malignant hepatic tumors is still considered surgical resection. However, in some cases when the tumor is inoperable or the surgical procedure is with too much risk for the patient, interventional radiological methods can be considered. These methods can also be performed if the patient rejects surgery.
There are various types of interventional methods in the treatment of primary and secondary liver tumors, which can either be applied as a stand alone procedure or in combination with each other.

19.3.1. Percutaneous tumor destruction

It is necessary to note that various materials (hot physiologic saline solution, acetic acid) have also been used for the percutaneous destruction of hepatic tumors in the 1980s. However, stable long term results could only be achieved with ethanol.
The following therapeutic methods can only be considered successful if the surrounding –few millimeter wide tumor free margin (safety zone) – is also affected by the therapy.

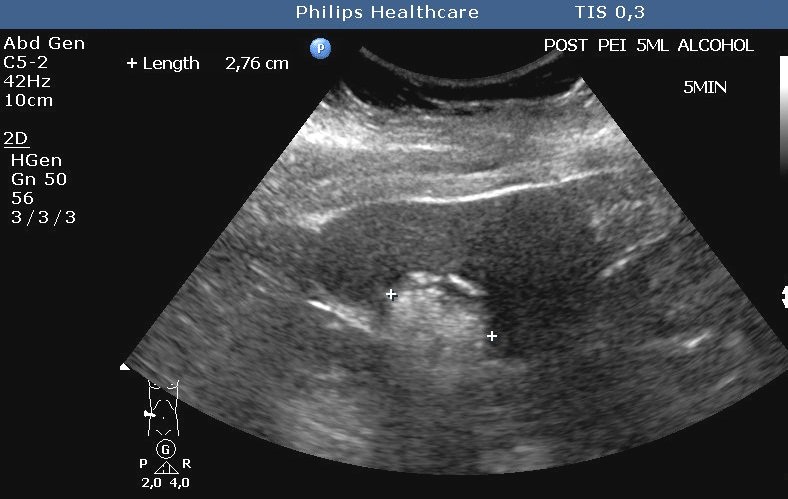
19.3.1.1. PEIT (Percutaneous Ethanol Injection Therapy)

It is the most commonly used and cheapest percutaneous method for the treatment of primary hepatic cancer (HCC). Sterile, 95%, absolute alcohol is injected with US guidance to the tumor.
Ethanol causes dehydration and coagulation necrosis of the tumor cells, followed by fibrotic degeneration. After alcohol injection, a typical “snow storm like”, hyperechogenic area can be seen in the treated area (figure 15.).

Image
Figure 15. – PEIT (Percutaneous Ethanol Injection Therapy), confirmed HCC with biopsy

 
The special (end and side pins) biopsy needle, the syringe and ethanol together cost about 40-50USD.

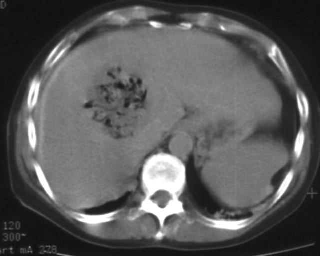
19.3.1.2. Radiofrequency tumor ablation (RFA)

During RF ablation an electrode is positioned in the tumor. The end of the electrode will produce extensive heat as ionizing current is generated at 460 kHz frequency, with alternating polarities. In a given (50-200 Watt) energy range it is possible to produce 50- 90C degree heat under set circumstances. (Figure 16.)

Image
Figure 16. – Liver RF Ablation

 
With the use of a special RF equipment and electrode (Berthold or Radionics equipment) the internal cooling of the needle is possible with physiologic saline solution, therefore carbonization is avoidable.
The complete RF ablation in the vicinity of large venous branches (hepatic vein, portal vein, IVC) is difficult to achieve, since the flowing blood of the veins cools the nearby tumor tissues. Another difficulty is presented with lesions lying too close to the choledochal duct or the hepatic duct, since they poise the possibility of a serious biliary injury. The treatment of subcapsular tumors can lead to persisting pain, therefore in these cases combined methods are usually preferred (RF + chemoembolization, RF + PEI).
Considering the above mentioned anomalies, the most ideal scenario for RF ablation of liver tumors are the following:

  1. There are 4 or less lesions,
  2. lesions are equal to or less than 3cm,
  3. they are each located at least 1cm below the hepatic capsule and
  4. any larger vein is located at minimum 2cm of a distance from them.

Therapeutic success can only be hoped to achieve with a tumor of maximum 5cm diameter, however at this size multiple interventions are needed. With the help of hybrid guiding methods, larger lesions might be successfully treated in one session. Superficial lesions might be intraoperatively performed to avoid damage to the surrounding organs (diaphragm, gall bladder, large and small bowel).
Percutaneous RF ablation should only be performed with strong analgesia or in anesthesia. After treatment a 24 h clinical observation is necessary.
The average time for the ablation of a lesion of 3cm is 8-10 minutes long. In case of 3-4 lesions the procedure can last up to 40-50 minutes.
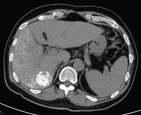
The effectiveness of the RF ablation is usually controlled by PET-CT examination, properly adjusted MR/CT protocols or with contrast enhanced US examination (figure 17.)

Image
Figure 17. – Control CT after liver RF ablation

 
The price of the RF machine is between 12 000 - 30 000 USD, while the single use electrodes are worth 500-1000 USD.

19.3.1.4. Microwave tumor ablation

Microwaves at a wavelength at 2450 MHz- create a very fast rotation in the water molecules of the targeted lesion. This leads to the heating up of the tissues and the coagulation necrosis in a volume with elliptic crossection.
The technique is performed with a 25cm long, 18G electrode (14G cannule).
The microwave machine is 45 000 USD, while each electrode is 500 USD.

19.3.1.5. Laser tumor ablation

After the development of laser ablation technique, it became possible to create reproducible tissue destruction with Nd YAG (Neodymium yttrium aluminum garnet) laser. After the first published results in 1993, Lees and colleagues published their own results about comparing the effectiveness of percutaneous colorectal liver tumors interventions with ILP (interstitial laser photocoagulation) and with PAI (Percutaneous Alcohol Injection).
The newly developed portable laser equipment can use up to 30W of energy and with a 10m long optical cable (possible MR application) the destructive Nd YAG laser can be directed even to specially cooled territories.
The portable system is 20 000 - 50 000 USD and the laser cable for about 50 patients is 2000 USD.

19.3.1.6. Cryoablation

Cryoablation methods in larger series could only be used in the 1990s in oncologic interventions. Cold under -20, -30 C degrees produces irreversible tissue destruction. The criteria for the treatment are basically the same as for RF ablation.
In the vast majority of the cases cryoablation is performed during open surgery, and less than 10% are performed with laparoscopy.
The cryoablation machine is 130 000 – 160 000 USD, while needles are around 1200 USD.

19.3.2. Chemoembolization

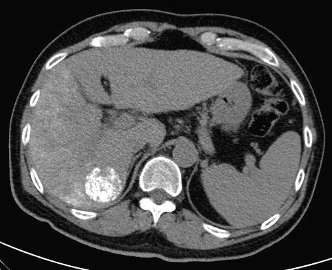
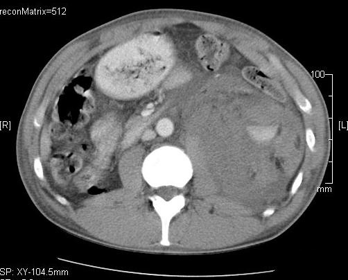
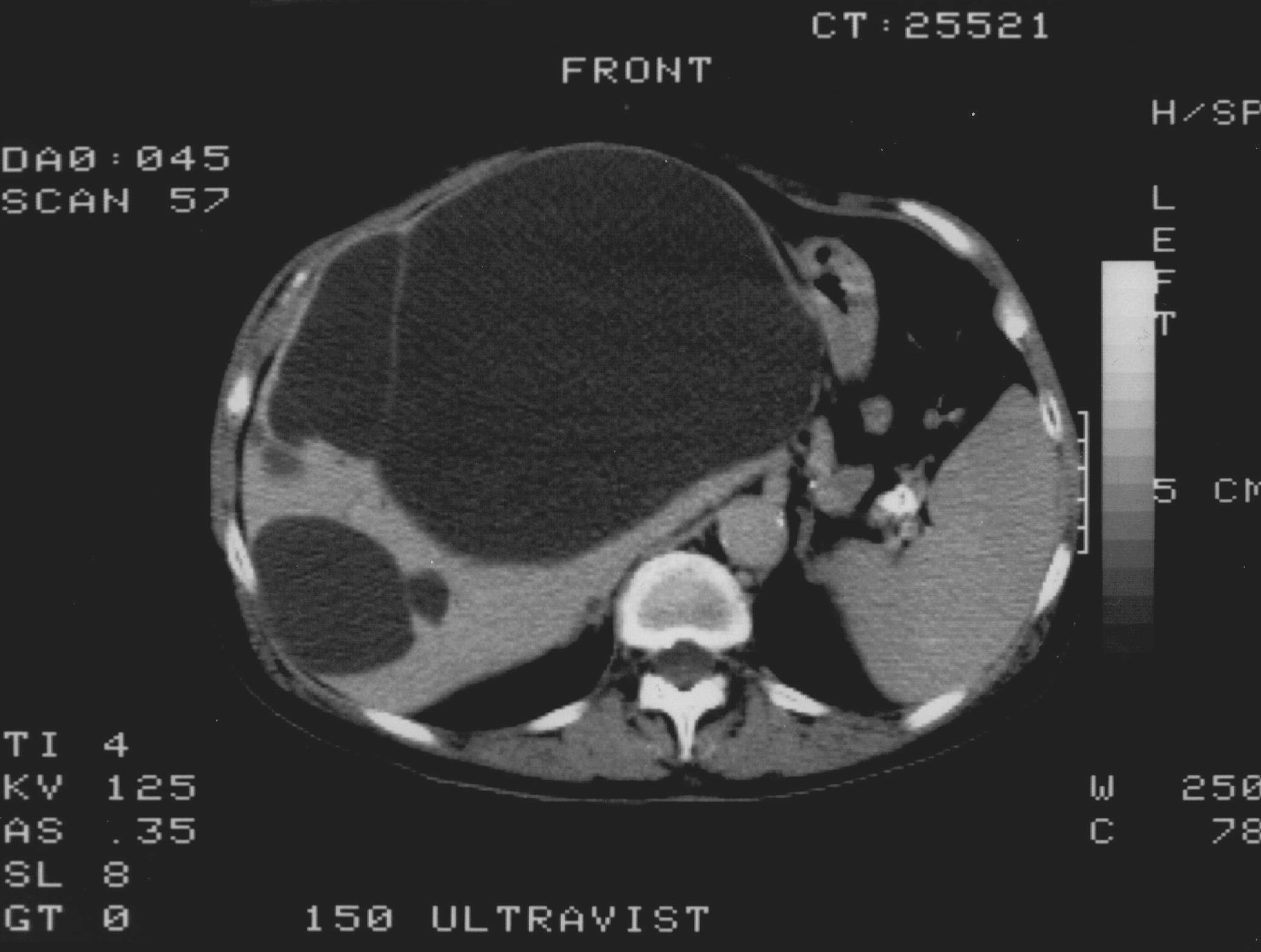
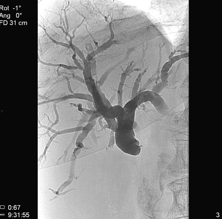
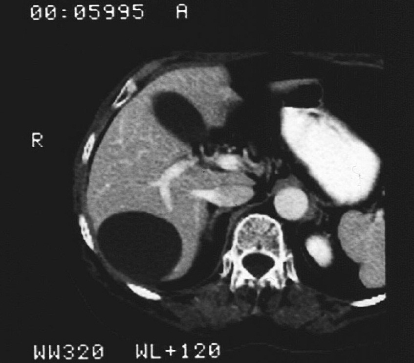
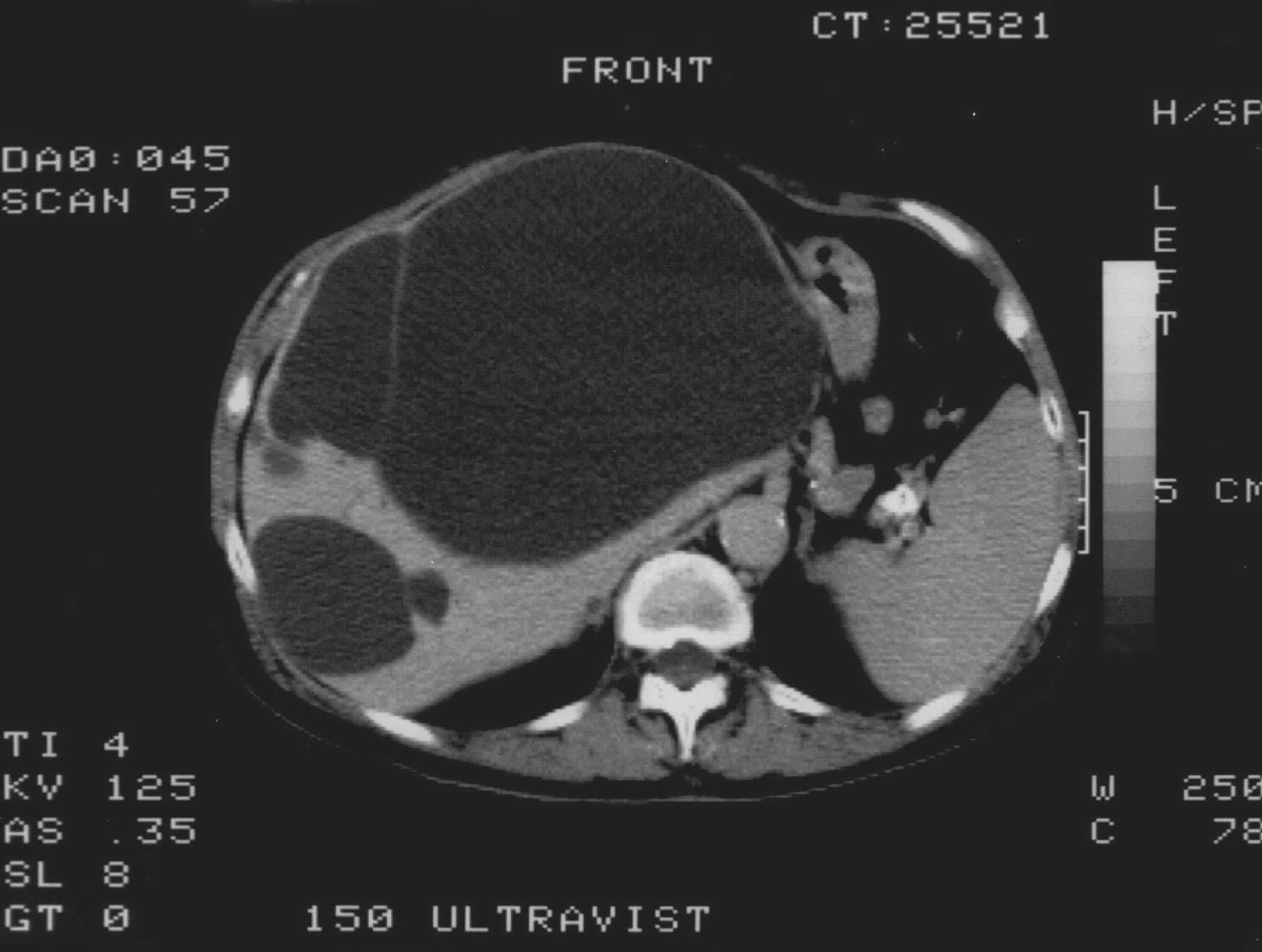
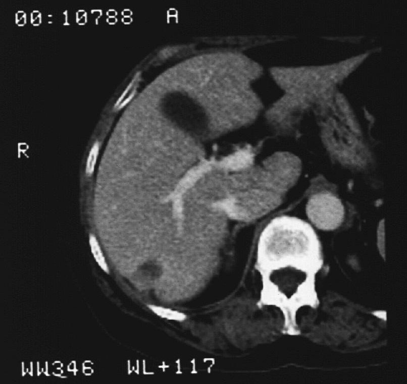
TAE (Transcatheter Arterial Embolization) and TACE (Transcatheter Arterial ChemoEmbolization) are methods with which the supplying artery/arteries of the tumor are selectively approached through the branches of the hepatic artery. When the catheter is in position the tumor branches are injected with a special, oily contrast material, Lipiodol (TAE). The injected material is used as an embolization material (figure 18.), other chemotherapeutical drugs (5-Fluoro-Uracil, Epirubicin, Cisplatin, Mytomicin-C) can also be used (TACE) (figure 19.).

Image
Figure 18. – Lipiodol uptake in HCC, selective catherarization, injection of 10 ml Lipiodol (DSA)
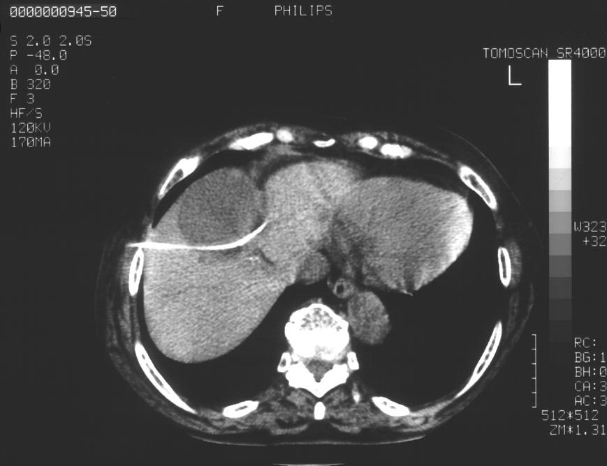
Image
Figure 19. – TACE, CT control (2 weeks after treatment)

 
Compared to systemic chemotherapy, with these methods 10 or even 100 times greater drug concentrations can be delivered to the tumor tissue. Moreover, due to the effects of Lipiodol, the drug effects persist longer, while normal liver parenchyma will wash out the chemicals faster leaving little or no harm.
This can be successfully combined with the other percutaneous methods, especially during the treatment of multiplex primary and secondary tumors.
An important factor is the cost-benefit question with regard to these tumors.
The given prices are from the literature and they intend to reflect how each therapeutic method compares to another (i.e.: the cryoablation equipment is 4-5 times more expensive than the RF equipment). Ethanol injection costs only a fraction compared to the other methods and can be considered relative cheap.
RF ablation is considered a method a with well determinable tumor destruction effect, for a “competitive” expense.

19.4. RF ablation in other organs (lung, renal and bone tumors)

 

19.4.1. Lung

Many teams have published remarkable results in cases of the RF treatment of inoperable pulmonary tumors. Well accessible, peripherally localized tumors that otherwise would carry significant surgical risk can be successfully treated with this alternative method. In the vicinity of larger blood vessels (branches of the pulmonary artery, SVC) the cooling effect of the flowing blood decreases the effectiveness of the RF procedure.

19.4.2. Kidney

In cases of malignant renal cancer RF ablation can be applied in the following scenarios:

  1. Elderly patient, with relatively large surgical risks.
  2. Unilateral, solitaire RCC.
  3. Palliative treatment in case of a centrally located tumor.
  4. Patient denies surgery.
  5. According to the latest recommendations tumors up to 5cm in diameter can be treated successfully with RF.

 

19.4.3. Bone

The RF treatment of primary bone tumors and bone metastases have been the topic of several large scale studies from various centers.
RF ablation is especially useful technique and has a good outcome in the direct treatment of osteoid osteomas (figure 20.) The invasiveness of the method is several folds smaller than orthopedic surgery.

Image
A
Image
B
Figure 20. – RFA treatment of osteoid osteoma in the right tibia (A: CT exam before the treatment, B: RFA)

Patients treated with RFA only require 1-2 days of hospitalization as opposed to the ones undergoing open surgery, who need to stay in the hospital for 7-10 days.

19.5. Percutaneous (biliary) choledochal, cholecystic interventions (PTC, PTD, stent implant, choledochal stone removal, cholecystostomy)

Percutaneous interventions are usually necessary in case of malignant, inoperable pancreatic head tumors, if enlarged lymph nodes in the hepaic hilum compress the choledochal duct, or in case of the various types of cholangiocellular tumors (Klatskin tumor).
Amongst the benign lesions, primarily biliary strictures, inflammatory stenoses, and sclerotizing cholangitis cause indication for intervention.
In case of the failure of endoscopic biliary interventions or if there is a persisting Billroth II resection, percutaneous biliary intervention needs to be considered.
It is important to note that due to the congestion of bile – which might serve as fertile ground for bacteria – one needs to provide prophylactic antibiotic therapy before the intervention.

19.5.1. Percutaneous transhepatic cholangiogrpahy (PTC)

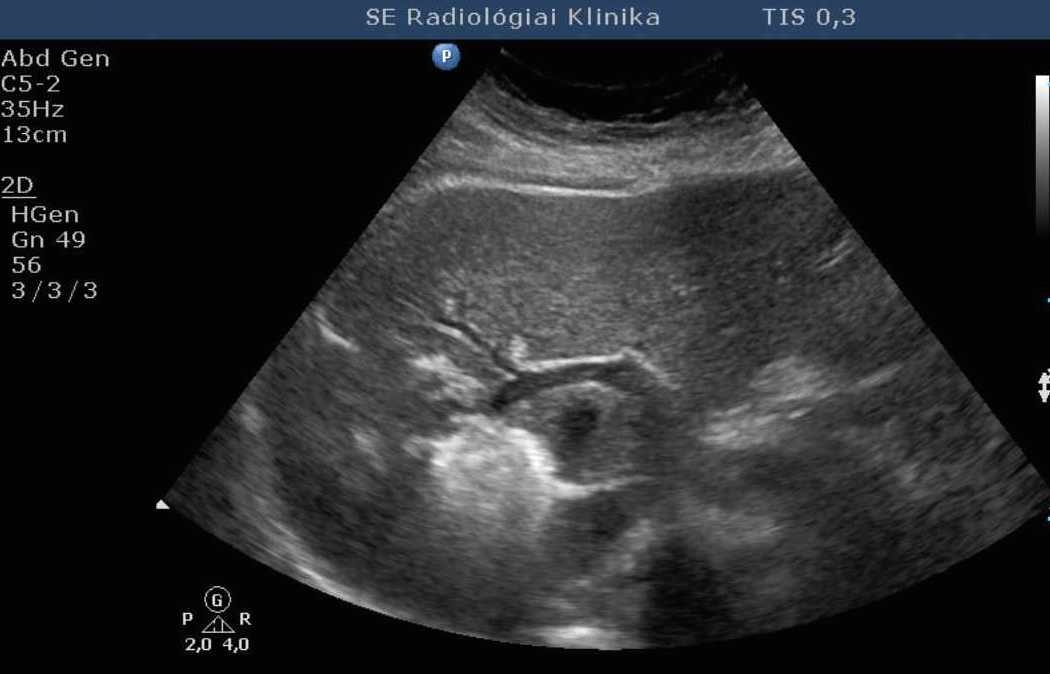
During this procedure X-ray or US is used to guide the insertion of a 22G (Chiba needle) from a right IX. or X. intercostals position into a dilated intrahepatic biliary branch. After the Chiba needle is well positioned the intra and extrahepatic biliary tree is filled with contrast material. (Figure 21.)
Under special circumstances – when the left side of the biliary branches is affected primarily - PTC can be performed from an epigastric entry towards the left lobe of the liver. (Figure 22.)

Image
Figure 21. – PTC (Percutaneous transhepatic cholangiography)
Image
Figure 22. – PTC the puncture of the biliary branches of the left lobe

 

19.5.2. Percutaneous transhepatic drainage (PTD)

After a diagnostic PTC is successfully performed and a guide wire is positioned over the stenotic or occluded segment of the choledochal duct an external-internal drain (PTD) can be installed. (Figure 23.) If desired, a self expanding metallic stent could be used to override the stricture (Figure 24.)

Image
Figure 23. – PTD (Percutaneous transhepatic external-internal drainage)
Image
Figure 24. – Choledochal stent, palliative procedure do pancreatic head tumor

 
If one cannot pass the biliary stenosis in the initial attempts, the placement of a temporary external drainage is advisory to control the biliary congestion and cholangitis. Later during a second session the insertion of an external-internal drain will be possible.
In special cases separate catheter insertion and stenting of both the left and right hepatic ducts might be necessary. This depends on the extent of the pathologic lesion (tumor or inflammation).
In case of a malignant stenosis the use of covered stents can prolong the passage in the tumor bound segment of the choledochal duct.

19.5.3. Percutaneous choledochal stone removal

After an unsuccessful endoscopic attempt, stones can be removed percutaneously if they are centrally localized (at the junction of the hepatic ducts) or in some rare instances, if they are located even more peripherally in a hepatic duct. Depending on the size of the stone, it can be percutaneoulsy removed with the help of a special stone removing set (dormia basket). If the percutaneous removal is not possible, then one can try to push the stone to a more distal position “rendezvous technique” for endoscopic removal.

19.5.4. Percutaneous cholecystostomy

Usually in case of elderly patients and in case of certain types of acalculous cholecytitis US guided percutaneous drainage of the gall bladder proves to be a very effective technique. (Figure 25.)

Image
Figure 25. – Percutaneous cholecystostomy (85 years old, female patient in poor general condition. Percutaneous intervention due to acute cholecystitis.)

 
During the procedure one needs to carry out the puncture or the insertion of the drain from the parenchymal side of the cholecyst. Puncture on the free side of the cholecyst can lead to serious complications, intraabdominal bile leakage, bile peritonitis.

19.6. Gastrointestinal interventions, endoluminal stent implantations

19.6.1. Balloon expansion of benign enteral strictures

Benign esophageal strictures can be expanded with an inflatable balloon with fluoroscopic guidance or endoscopically.
Indications for the balloon expansion are achalasia, postoperative scarring, stenosis, scarring after irradiation.
The results of the expansion are controlled by swallowing examination or with endoscopy.

19.6.2. Interventional radiological methods of malignant gastrointestinal stenosis

In case of inoperable esophageal, gastric or duodenal cancer, large (15-20mm wide) endoluminal stents can be applied. Moreover, obstructive tumors on the descending colon or on the sigma can also be treated with these endoluminal stents. The length of the stent has to be chosen so that its proximal and distal ends reach beyond the stenosis by about 2-3cm.
There are five indications when distal colon tumors can be treated with stents:
A/ acute, large bowel obstruction can be temporarily decompressed with a stent, and used as a “bridge” until the elective surgery.
B/ palliative care of inoperable colon cancer.
C/ decompression of the colon due to post-surgical fibrosis or radiation caused benign stenosis.
D/ to overcome the obstruction caused by diverticulitis and inflammation, so that until surgery the colon can be kept clean and empty.
E/ palliative care of coloenteric or colovesical fistulas.
Stent positioning can be performed with fluoroscopic control or with colonoscopic support.

19.6.3. Percutaneous gastrostomy

In case of swallowing impairment (usually as a result of neurological cause: severe stroke, brain damage, amyotrophic lateral sclerosis) percutaneous gastrostomy is used to temporality decompress the esophagus segment, to alleviate gastric emptying disorder or to cease intestinal obstruction.
Usually with mild sedation and local anesthesia PEG is inserted with endoscopic assistance with the use of a special catheter set.

19.7. Percutaneous ethanol cyst treatments

19.7.1. Percutaneous ethanol cyst sclerotization (liver, spleen, kidney)

During US and CT examinations simplex cystic lesions are often accidentally encountered that do not cause any pain for the patient. Cysts of the liver, spleen or the kidneys cause discomfort or pain for the patients need to be therapeutically addressed.
Compared to the surgical methods of past, nowadays these cystic lesions can be successfully treated percutaneously with alcoholic cyst sclerotization. (Figures 26., 27.).

Image
Figure 26. – Percutaneous ethanol cyst sclerotization ( filling up of the cyst before the sclerotization)

 

Image
A
Image
B
Figure 27. – US and CT examinations before percutaneous ethanol sclerotization (A: US examination, B: CT examination)

 
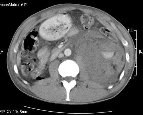
The puncture of the cyst is usually guided with US (rarely with CT). The puncturing needs to take place from the parenchymal side of the cyst. When its contents are removed the empty cavity is filled up with diluted contrast material to ensure that there is no contrast leakage to the surroundings. The 96% ethanol is only injected after the contrast material has been removed and no leakage was found. (The volume of the alcohol should not exceed 50-60% of the cyst or 100 ml.)
The injected ethanol is left in the cyst for 20 minutes. Following this, the alcohol is drained as well. Cystic regression is then regularly controlled with US or CT examinations. (Figures 28., 29.) Patient complaints usually cease within 4-6 weeks after the treatment.

Image
Figure 28. – Control CT examination after percutaneous ethanol liver cyst sclerotization (9 months later) – significant regression

 

Image
A
Image
B
Figure 29. – Percutaneous ethanol hepatic cyst sclerotization, CT examinations (A: before treatment, B: 6 months after treatment ) – pronounced regression

 

19.7.2. Percutaneous interventional treatment of Echinococcus cyst

The treatment of larger Echinococcus cysts in the liver is possible with percutaneous interventional methods. The method is described best by its acronym PAIR (Puncture, Aspiration, Injection, Reaspiration). Hyperosmogenic saline solution (15%) and/or absolute alcohol can be both successfully applied to treat the Echinnococus cysts. Therapeutic efficacy can also be controlled with US or CT exams.

19.8. Urinary tract interventions

The most commonly performed intervention is US guided percutaneous nephrostomy. In special cases (obesity, visualization difficulties with US) CT guidance can also be chosen to create percutaneous nephrostomy. (Figure 30.)

Image
Figure 30. – Percutaneous nephrostomy contrast X-ray examination (CT guided catheter insertion)

 
In case the insertion of the catheter is not possible through the bladder in a retrograde manner, then the benign or malignant stenosis can be both overcome by inserting a hydrophilic – so called double J catheter – percutaneously.
In selected cases biodegradable stents can also be applied to treat certain benign strictures or stenoses of the ureter.

19.9. Percutaneous interventional methods of the muscoluskeletal system

19.9.1. Vertebroplasty

Elderly patients, especially women frequently suffer osteoporotic vertebral collapse.
In malignant states imminent or definite vertebral collapse can also occur due to osteolytic vertebral bone metastases at various locations.
In both etiologies the goal is to stabilize the vertebral column and to prevent further destruction or collapse.
Vertebroplasty is a CT guided procedure (CT-fluoroscopy method) where a special, 10G thick needle is applied. It is inserted transpedicularly in case of the lumbar vertebra, while in case of thoracic vertebrae insertion is through the intercostal space. During the procedure the injection of bone cement is continuously controlled with CT-fluoroscopy and a final control CT examination is performed to stage the status of the patient.

19.9.2. Interventional treatment option for lytic bone metastases (extravertebral localizations)

The main goal of these interventions is to provide palliative care, besides the other, non-operative treatment options (pain killers, radiotherapy, hormone therapy, chemotherapy):

  1. Pain relief caused by the bone metastasis.
  2. Preventing pathological fractures.
  3. The correction of the function of the affected limb or joint to an optimal level. Thus improving the standard of living.

 

Take-home message

We have learnt about the indications and ways to perform drainages, the possibilities to replace open surgeries with RF ablation (liver, lung, kidney, bone) and solutions to biliary duct diseases using non-vascular interventions (PTD, PTC, shunt). We discussed gastrointestinal interventions, placement of stents, sclerotisations using ethanol and urinary interventions.

Translated by Ádám Domonkos Tárnoki, Dávid László Tárnoki
Changes translated by Dániel Tamás Kovács

 


Site Language: English

Log in as…