Neuroradiology
10. Neuroradiology
Author: Kinga Karlinger
The purpose of the chapter
The goal of this chapter is to provide an introduction of the fundamentals of neuroradiology to the 4th year medical students of the University of General Medicine. Special emphasis is put on the imaging algorithms used in case of syndromes with sudden onset of neurological deficit (stroke), inflammatory diseases, demyelization disorders of the central nervous system (CNS) and the imaging of neoplasms.
10.1. The skull and the brain
10.1.1.
We discuss the diagnostic of the skull / cerebrum and the spine (relevant onto marrow) from practical reasons apart. For the spine bones see chapter 17. For trauma see the emergency chapter.
10.1.2. Diagnostic Imaging methods for the brain and the skull:
10.1.2.1. X-ray radiography
It is only limited to the “bony frame” of the central nervous system. Nowadays it is primarily preserved for imaging the abnormalities of the spine. Radiographs should be acquired at least from 2 imaging planes and in certain cases it is necessary to produce images from additional, special planes (i.e. neurovascular foramen).
10.1.2.2. Ultrasonography:
is only used in certain (rather limited) cases, namely, if there is a presence of an acoustic window for proper imaging. The most common uses of US in neuroradiology are the cerebral imaging of infants through the fotanella or intraoperative US examinations. Trasncranial Doppler (TCD) is useful in imaging the cerebral blood flow and velocity, in these cases the temporal bone is used as an imaging window. (It can be used in the diagnosis of vascular stenosis, occlusion, in the examination of vasospasm of the cerebral vessels or in case of brain death.)
10.1.2.3. Computed Tomography (CT):_
It is an excellent and a widely available method for imaging the central nervous system.
It reliably depicts bony structures, calcifications and cerebrospinal fluid.
It is also capable to distinguish white matter from grey matter, as well as the CSF (0 HU) based on their density differences.
Fresh hemorrhage on CT appears hyperdense, therefore hemorrhagic stroke and subarachnoid bleeding can be promptly diagnosed with CT examinations.
CT angiography (CTA) produces high resolution images with the help of intravenous iodinated contrast material.
Dynamic contrast enhancement examinations are used to produce brain perfusion measurements.
Multiplanar and 3D reconstructions can be derived form the source images (the latter is used to visualize bony deformities of both the skull and the spine).
10.1.2.4. Magnetic Resonance Imaging (MRI):
It provides excellent tissue contrast, making MRI the distinguished imaging method of the central nervous system. However, availability is still limited (only a few number of 24 hour on-call centers) and patients often cannot schedule for a necessary MRI examination on time.
As opposed to the volumetric data acquisition of CT scanning, MRI has the advantage that its image production is not distracted by bony artefacts.
In cases of spinal trauma, when spinal chord injury is suspected, the patient must be immediately scheduled for an MRI examination.
White matter lesions, old hemorrhages (hemosiderin) can only be depicted with MRI.
MR angiography (MRA) is an excellent method to visualize brain vessels (arteries, veins, sinuses).
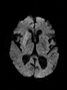
Diffusion weighted MRI (DWI) is the most sensitive method in the detection of early stroke. Diffusion weighted imaging is also able to take measurements of the movement of protons along the fiber tracts of the brain, thus enabling the visualization of cerebral white matter tracts.
MR spectroscopy (MRS) is used to investigate tissue components and therefore it is able to distinguish various pathologic tissues from one another (such as tumor and abscess).
Attention must be paid to the contraindications of MRI examinations when ordering emergency examinations!
10. 1. 2. 5. Catheter digital subtraction angiography (DSA)
Is an invasive method, therefore it not performed for diagnostic purposes.
MRA and CTA have completely replaced diagnostic angiography. (Both the sensitivity and the specificity of MRA is greater than 90% in the diagnostics of lesions in the carotid bifurcation.)
DSA is reserved for interventional procedures (embolisation, balloon angioplasty and stent implantation) for both extra- and intracranial arteries.
Therapeutic (palliative) X-ray/CT guided interventions are primarily performed on the spine; these include: the insertion of pain relief canulus, periganglionic injections, intradiscal injections (chemodiscolysis). Moreover, fractured vertebral bodies can also be expanded with image guided interventions.
10.1.2.6. Nuclear medicine
It has two diagnostic methods SPECT and PET (both can be combined with CT to form hybrid diagnostic machines.)
SPECT is usually used for the imaging of cerebral circulation, and it is performed at resting and (pharmacologically) stimulated states.
SPECT offers a way to investigate various neuropharmaceuticals. It is also possible to perform brain function analysis with neuroreceptor scintigraphy.
PET examinations are primarily used to detect tumors/metastases (FDG-PET fluoro-desoxy-glucose) and also in psychiatric investigations.
10.1.3. Pathological lesions of the central nervous system
10.1.3.1. Cerebrovascular diseases
10.1.3.1.1. Stroke
Acute neurologic deficit syndromes that result from brain parenchyma infarction have ischemic origin in 80% of the cases. These can occur as a result of embolisation or vessel occlusion.
Hemorrhagic infarcts make up 15% of strokes. The underlying cause is usually hypertension, but vascular malformation, aneurysm rupture, cerebral amyloid angiopathy, tumor bleeding and the hemorrhagic transformation of ischemic infarcts can all lead to cerebral hemorrhage. Moreover - as a rather common cause - patients with coagulopathies (mostly the ones receiving antithrombotic therapy) can also suffer hemorrhagic stroke.
The remaining (5%) of the patients can suffer spontaneous subarachnoid hemorrhage that most often results from brain aneurysm (on the branches of Circle of Willis) or from vascular malformations.
Etiological differentiation of ischemic infarcts:
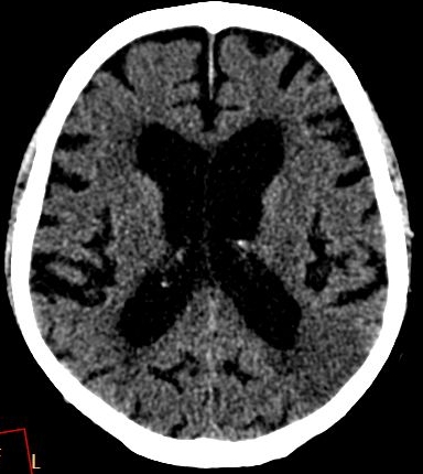
Infarcts of microangiopathic origin can be lacunar infarcts that develop due to the complete or the partial occlusion of the cerebral arterioles. They predominantly occur at the basal ganglia, thalamus, internal capsule and the pons.
Biswanger’s disease (subcortical arteriosclerotic encephalopathy) is also results from microangiopathy.
Infarcts due to hemodynamic changes can occur as a result of perfusion reduction at the end-arteries or at the border-zone (watershed) regions.
Thromboembolic infarcts show a territorial distribution restricted to the supplied areas of certain arteries.
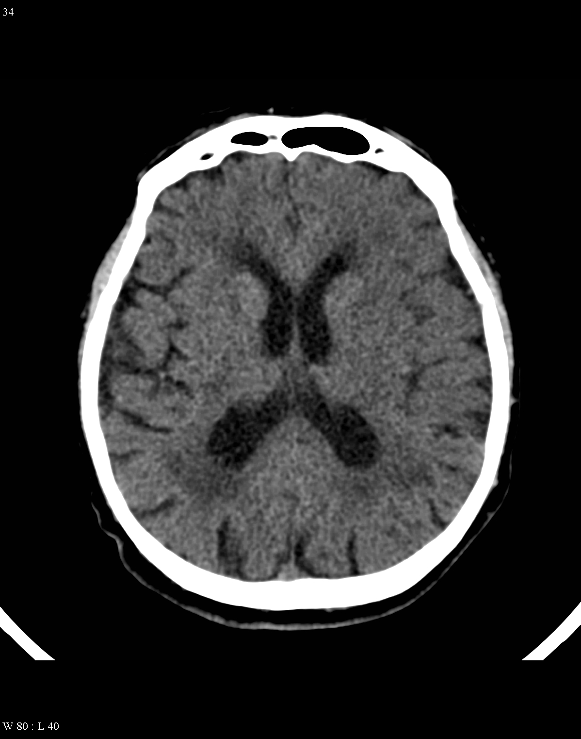
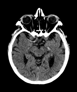
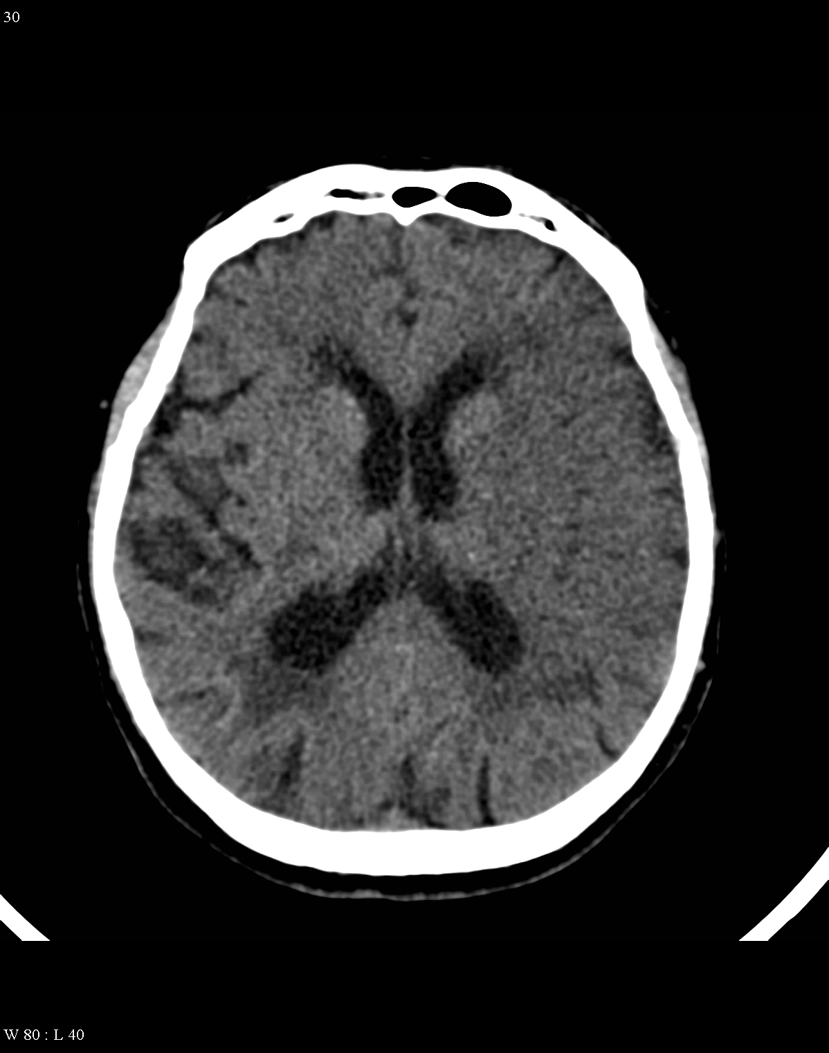
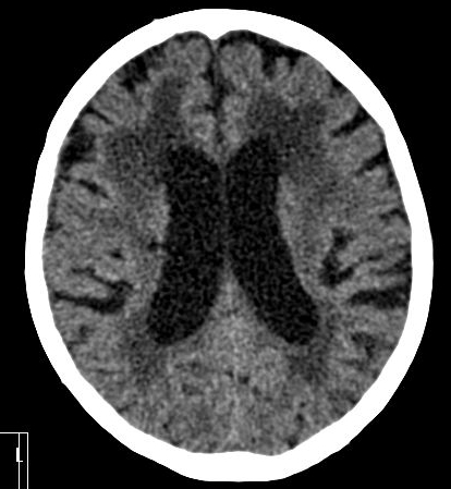
Cerebral infarcts (ischemic)
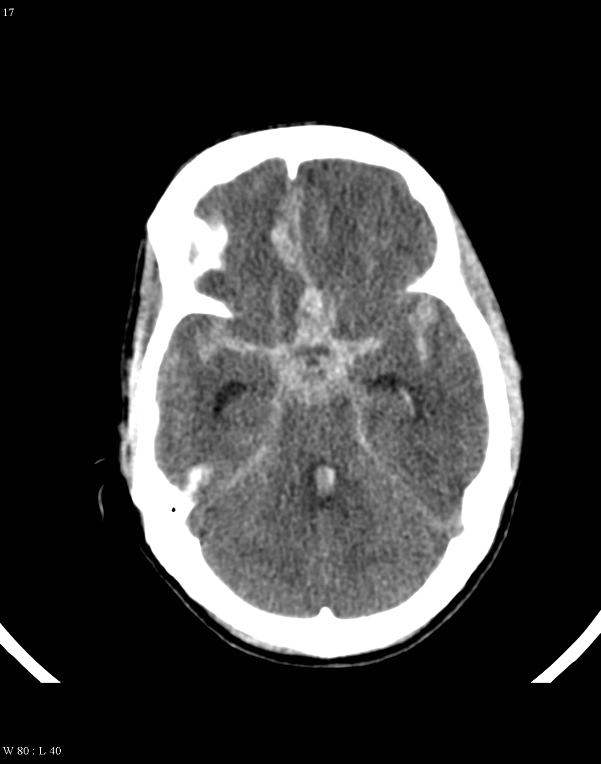
CT:The primary goal of the diagnostics is to rule out hemorrhage, for which CT is very sensitive. It is essential to differentiate ischemic stroke from hemorrhagic stroke because their therapeutic approaches and consequences are fundamentally different. When bleeding is excluded, based on the neurologic assessment of the patient (deficit, age of stroke etc.) thrombolytic therapy can be initiated by the neurologist either as a generalized (intravenous) or a local procedure (selective thrombolysis – perormed by a radiologist -).
In hyperacut infarctus(12 órán belül) . A CT kép normálisnak tűnhet ez esetek 50-60 %-ában. A hyperdens arteria jel (Gács jel), melyet az arteria lumenén belűli thrombus hyperdensitása okoz a folyó vérhez képest kb az esetek 25-50 % -ában látható az érben. Ez leggyakrabban az a. cerebri media főága, néha kisebb ágai is, de a. basilaris thrombosis esetén is látható lehet az érben a hyperdensitás. Igen korai jel lehet a nucleus lentiformis határainak elmosódása.
CT angiographiával jól ábrázolódik az érelzáródás okozta telődési hiány MRI vizsgálattal a diffusió súlyozás (DWI) igen korán mutatja az infarctus kiterjedését.
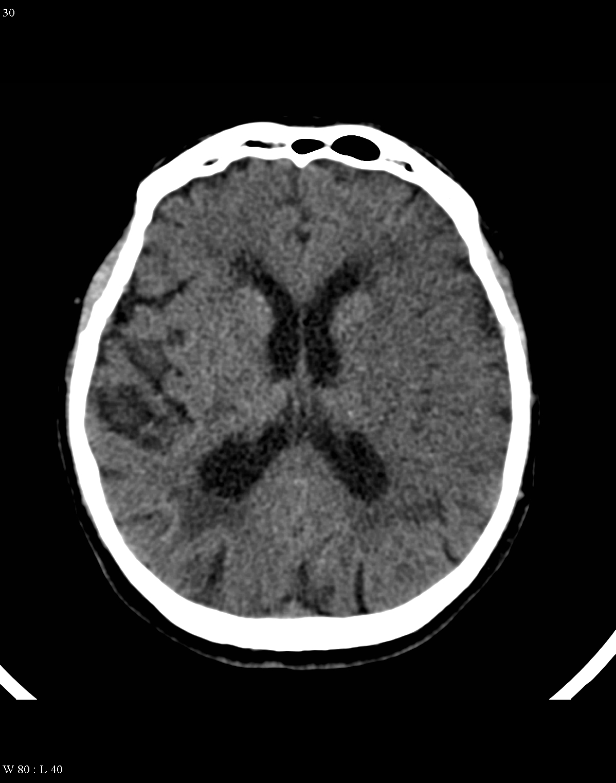
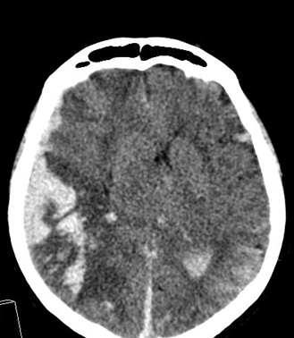
In acute phase (12-24 hours after the occlusion of the middle cerebral artery) on CT hypodense basal ganglia, the loss of cortical white-grey matter differentiation and sulcal effacement are the characteristic imaging findings.
On MRI, diffusion restriction causes hyperintense signal on T2W images. The leptomeningeal border of the infract zone will show contrast enhancement.
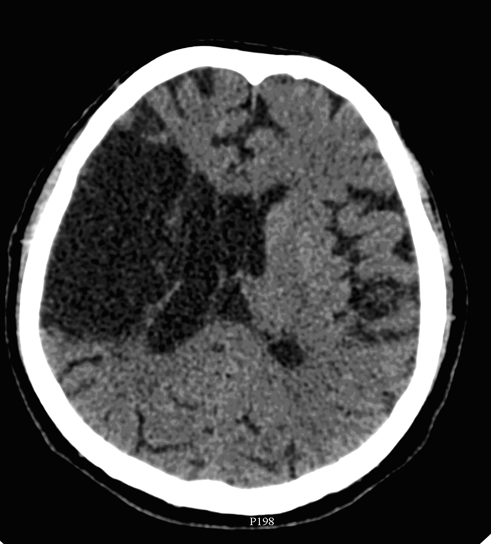
After 1-3 days the “mass-effect” of the infarct increases. It is more apparent in case of large territorial infarcts, the sulcal effacement completes, the loss of cortical white matter and grey matter differentiation is more pronounced (especially in the white matter) due to the increased hypodensity. Hemorrhagic transformation in the grey matter (cortex, basal ganglia) can also occur at this stage. It is worth to note, that for hemorrhagic transformation one should not always blame thrombolytic therapy; it rather occurs spontaneously in a great majority of the cases.
After 4-7 days the edema and the “mass-effect” persist, there is a marked hypodensity and even contrast enhanced CT can detect enhancement at the leptomeningeal border of the infarct zone.
Within 1-8 weeks contrast enhancement and mass-effect still persist. Later a slow regression in the mass-effect can be noted. In children (transient) calcification can also occur.
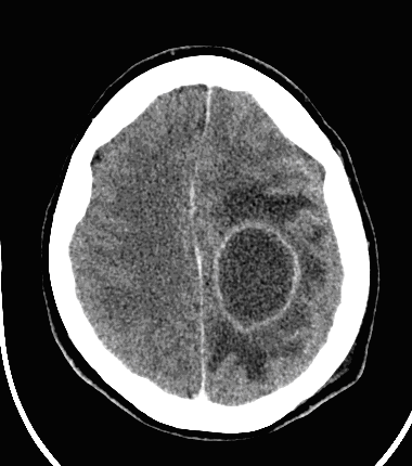
In the chronic phase of the infarct (months to years) the hypodensity of the lesion (CT) reaches the level of the cerebrospinal fluid. There is no more contrast enhancement, the lesion is well differentiated and it degenerates into a cyst secondary to encephalomalacia. The brain parenchyma experiences a volume decrease due to the degeneration (sometimes calcifications can occur at the marginal border of the infarct).
Diffuse arterial sclerosis and elevated hematocrit may increase the arterial density, both mimicking hyperdense media sing, and leading to differential diagnostic problems.
- For the record: acute and chronic stages of the ischemic infarct may differ in various educational centers.
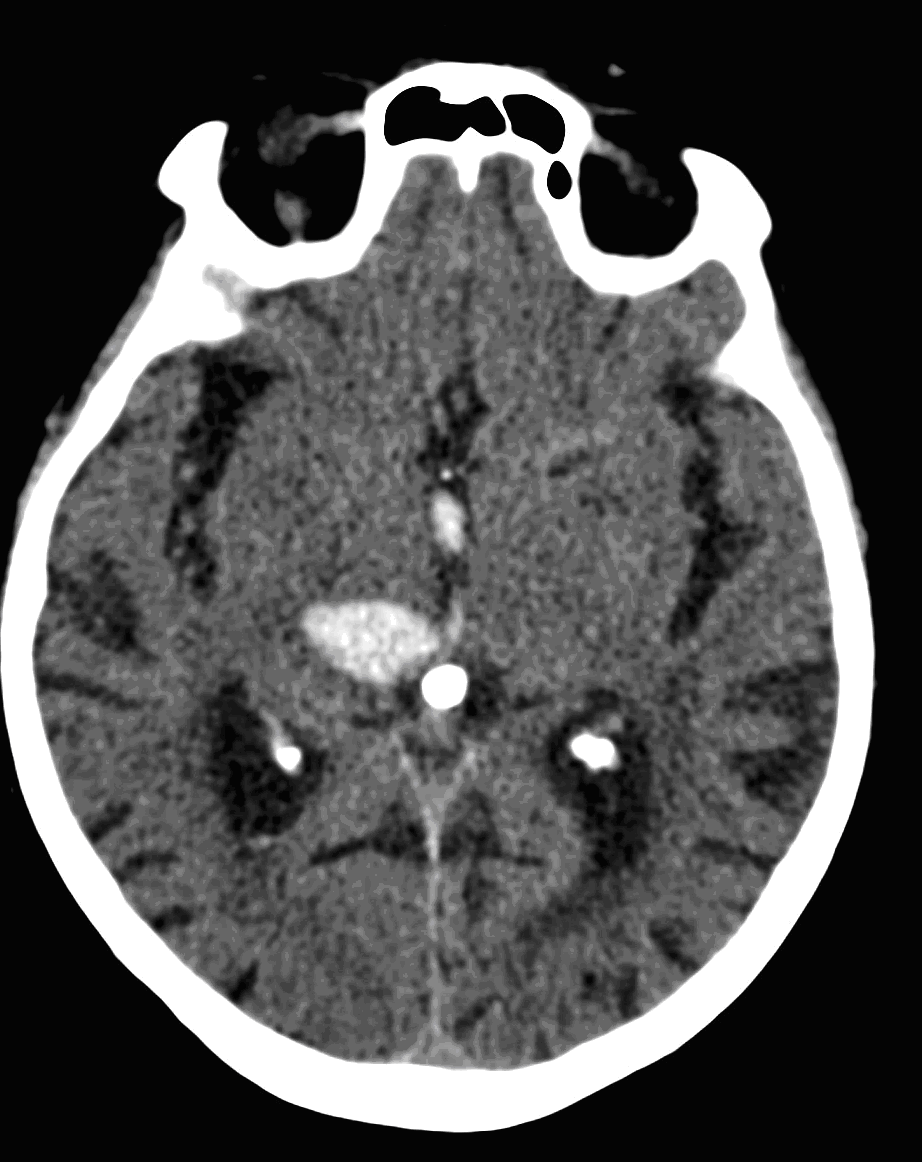
10.1.3.1.2. Cerebral venous sinus thrombosis:
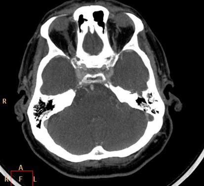
Usually, cerebral sinus thrombosis occurs secondary to the propagation of a local infection. Sinus thrombosis can be caused by mastoiditis or extradural cervical infections, but also it can occur as the complication of intradural infections (meningitis or abscess). Sometimes dehydration, coagulopathies and cerebrospinal trauma can be the cause of the thrombosis. In sinus thrombosis 2/3rds of the patients are female, in half of the recurring cases the use of oral contraceptives is reported and 1/3rd of the women have thrombophilia. The most common location for thrombosis is the superior sagittal sinus followed by the transversal sinus and the sigmoid sinus. The thrombosis of the carvernous sinus (usually infectious origin: thromboplebitic complication) is a very dangerous condition. Internal venous thrombosis usually results in the bilateral necrosis of the basal ganglia (+ thalamus, hypothalamus, or cerebellum can also be involved).
The CT appearance of a thrombotic vein/sinus, similarly to an occluded artery, is hyperdense. A very characteristic sign is the loss of enhancement in the thrombotic segment (“empty delta sign”), that can only be confirmed unequivocally if the slice is perpendicular to the sinus (MDCT reconstruction). The infarct edema shows a delayed appearance and it is a frequent complication of cerebral venous/sinus thrombosis. It shows a different localization/distribution than the ones seen in arterial territorial occlusion. Hemorrhages occurring adjacent to the sinus can also cause an obstruction in the blood flow of the sinus.
Non contrast enhanced MRI shows loss of signal void, while a loss of contrast enhancement can be noted in contrast enhanced examinations.
MRI-vel éppúgy jellemző a sinusban a telődési hiány, mint CT-nél.
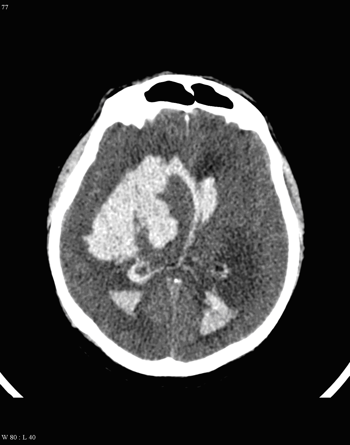
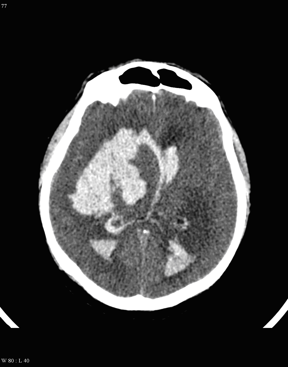
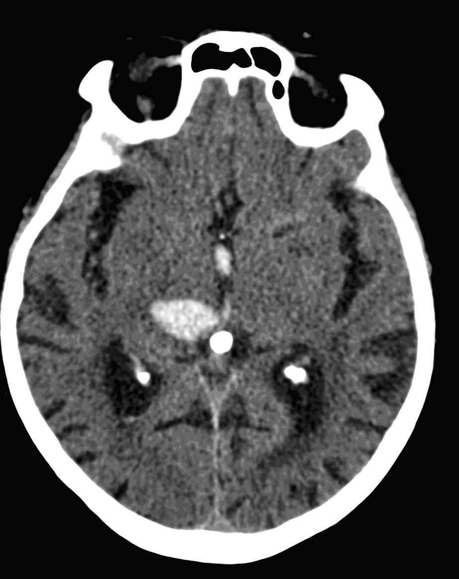
10.1.3.1.3. Hemorrhages
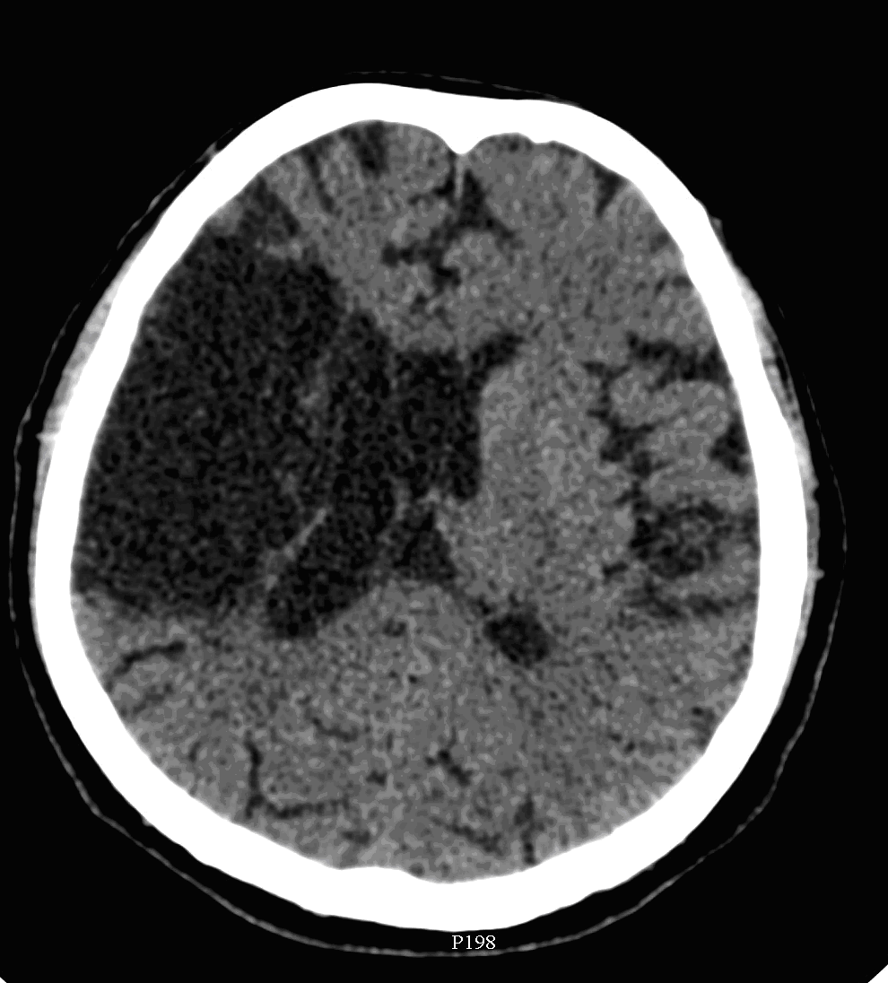
Parenchymal hemorrhage most often occurs in patients with hypertension, after malignant hypertensive states. The initial localization for its occurrence is at the basal ganglia (putaminal-claustral hemorrhage) that can extend into the ventricles or to the subarachnoid space. The mean age of these patients is usually younger than that of the ones with ischemic infarcts.
Bleeding usually originates from saccular “berry” aneurysms (on the branches of the Circle of Willis). Aneurysm rupture besides subarachnoid hemorrhage can also cause intraparenchymal bleeding when it breaks into the parenchyma.
The so called lobar hemorrhage is usually caused by tumor bleeding, hemorrhagic vascular malformations, rebleeding of ischemic infarcts. Bleeding secondary to cerebral amyloid angiopathy frequently occurs in the elderly without prevalent hypertension. It often presents as a sequential hemorrhage, each bleeding following one another, resulting in various ages of hemorrhages.
On CT images acute bleeding always presents as hyperdensity. (One has to keep it mind that hyperdensity of the blood is affected by the hematocrit levels, hence making the diagnosis more difficult.) Intraparenchymal blood is dominated by a destructive appearance (mass-effect) and it is surrounded by hypodensity as a sign of perifocal edema. It often breaks into the ventricles. In patients lying in a supine position they collect (sediment) at the occipital horn of the lateral ventricles, creating a hyperdense liquid-to-liquid levels. Later on, the density of blood decreases and shows a peripheral ring or rim-like contrast enhancement without mass-effect.
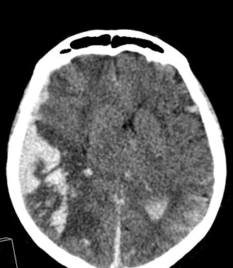
Although, subarachnoid hemorrhage (SAH) is most often caused by the rupture of a berry aneurysm, arteriovenous malformation (AVM) and trauma can also lead to it. SAH is typically located at the basal subarachnoid spaces, which then propagates along the lateral fissures or it fills up the interhemispheric fissure till the convexities. The main collection of the blood is usually indicative of the source of origin. In cases of parenchymal spread the mechanism, whether it broke in, or it broke out from the parenchyma could represent a differential diagnostic challenge. When accompanied by brain edema, the consequent herniation can result in parenchymal infarcts as well.
CT angiography examination is usually advisory in order to confirm the site of the bleeding. It is also effective when a hemorrhagic tumor is in the differentials, although complete differentiation might only be achieved by follow-up examinations. CTA is also essential in the diagnostics of multiple aneurysms (which are prevalent in 20-30% of the cases based on autopsy reports.) In case of a subarachnoid hemorrhage the consequently developing hydrocephalus and its degree might only be detected on follow-up CT examinations. It is very important to note that an initial brain aneurysm rupture might be followed by a second one within the first 7 – 10 days and the resulting vasospasm carries a much higher risk of mortality than the one at the time of the first SAH. This is why the scrutonius review of the acute diagnostic imaging is essential and it plays a fundamental role in patient treatment. Open brain surgery of the aneurysm (clipping) has been replaced by catheter angiography (DSA) nowadays. The aneurysm is either filled up with thrombogenic coils through its neck or recently bypassing stents are inserted to exclude the aneurysm from the cerebral circulation.
10.1.3.2. Brain tumors
10.1.3.2.1. The classification aspects:
Central nervous system tumors can be of various origins:
Neuroepithelial cell tumors: astrocyte, oligodendrocyte, ependyma, cells of the pineal gland, neurons and ill- differentiated, embryonic tissue cell tumors
Nerve sheath cell tumors: neurilemmoma, neurofibroma, neurosarcoma
Mesenchymal cell tumors: meningioma, meningiosarcoma, melanoma
Other tumors and tumor-like masses: primary lymphomas, vascular tumors, other neuroepithelial tumors (craniopharyngioma, dermoid, epidermoid), vascular malformations, adenohypophyseal tumors, regional tumors with local infiltration (glomus tumor, paraganglioma, chordoma).
Metastases
Primary tumors of the central nervous system make up 10% of all neoplasms of which one third will be glial, another third non-glial and the remaining third are metastatic in origin. (Brain is a common metastatic location for certain somatic malignancies).
CNS tumors just like any other types of tumors can be benign or malignant. However, the outcome of benign tumors and their classification is influenced by the fact that expansile lesions within an enclosed space (either intracranial or intra-spinal) can damage the surrounding parenchyma due to their mass effect even if they are not regarded as invasive, infiltrative or metastasizing.
Tumors originating from the building blocks of the nervous system (astrocytoma, oligodendroglioma) are intra-axial. Metastases of primary tumors (such as pulmonary-, breast cancer, melanoma, colon- or renal carcinoma) are usually also intra-axial. Extra-axial tumors are actually (strictly speaking) not brain tumors. They originate from outside the brain such as the meninges or other structures including pituitary-, parasellar tumors and craniopharyngiomas.
The primary goal of diagnostic imaging is to differentiate between the intra- or extra-axial origins, because this will determine treatment options as well as the outcome. This however is not always easy.
Other classification categories distinguish supratentorial or infratentorial localization, which can be very specific for certain tumor types.
Localization and the age of the patient can be indicative in narrowing down the differential diagnostics of a tumor. According to large statistical data, 80% of extra-axial tumors are meningeomas or schwannomas, while (in adults) intra-axial tumors will usually be metastases or astrocytomas (together accounting for 3/4ths of all cases).
The most common localizations of various CNS neoplasms
Hemisphere (multilocular) astrocytoma, glioblastoma
Frontal-temporoparietal meningioma, oligodendroglioma
Cerebellum spongio-, medulloblastoma
Sella adenoma, craniopharyngioma
Cerebellopontine angle neurinoma (schwannoma)
Any localization (multiplicity) metastases
Tumors according to their localization and origin can be the following:
Supratentorial:
Intra-axial: glial tumors such as astrocytoma, oligodendroglioma, glioblastomas, but also this is the most typical localization of metastases and CNS lymphomas.
Extra-axial: meningioma
Infratentorial:
Intra-axial:: the most common cerebellar tumors are astrocytomas, but medulloblastoma, hemangioblastoma and metastases also frequently occur in the cerebellum. Brain stem tumors are usually glioblastoma, astrocytoma.
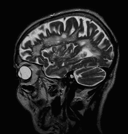
Extra-axial: most tumors are located in the cerebellopontine angle and they are regarded as one entity due to their resulting neurological symptoms. Acoustic neuroma is the most common form (vestibular Schwannoma if unilateral, or as part of neurofibromatosis if bilateral), meningioma and epidermoid are also frequent in this localization. Arachnoid cysts at this location can also produce similar symptoms. The jugular foramen is usually obstructed by glomus tumors, en plaque meningioma can descend to the foramen magnum and neurofibroma can also occur there. The typical tumors of the clivus are chordoma and chondroma (chordosarcoma).
Sellar (and parasellar) tumors: are naturally extra-axial.
The most common type is pituitary adenoma that can be either active (hormone producing) or inactive (usually already extensive at the time of diagnosis).
Craniopharyngiomas are also located here, they cause diabetes insidipus.
Meningiomas and aneurysms of this region cause differential diagnostic difficulties.
Rathke’s pouch cysts also behave like tumors due to their mass effect.
Pineal tumors are pinealoma, germinoma (usually bilocular)and glioma.
Tumors originating from the ventricles can be ependymoma, choroid plexus papilloma, epidermoid (and colloid) cysts. Their symptoms are always related to CSF obstruction. Typical findings in the ventricle are the choroid plexus papilloma and colloid cyst.
Skull base tumors:
Quite often it is needed to consider the possibility of a tumor spread (such as in cases of sinonasal tumors, or chondrosarcoma originating from an upper cervical vertebra).
Age distribution of tumors
Child and adolescent medulloblastoma, craniopharyngioma, ependymoma
Adulthood astrocytoma, oligodendroglioma, meningioma, pituitary adenoma, neurinoma
Elderly glioblastoma, metastases
10.1.3.2.2. CT and MRI characteristics of CNS tumors
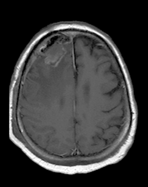
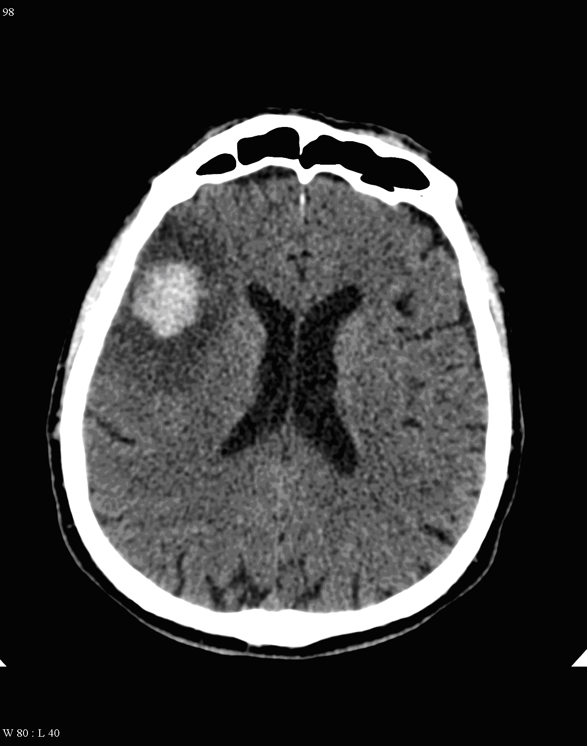
CT can usually lead to definitive diagnosis regarding brain tumors. A non-territorial localization (as opposed to arterial occlusion) of a usually “glove” shaped perifocal hypodense zone is highly suspicious for a tumor.
MRI provides even more definitive proof. On T1 weighed images they are usually hypointense, on T2 weighed images their signal is strong. Although these signs are very characteristic, normally they are still insufficient for exact differential diagnostic criteria.
Contrast enhancement of tumors, specific forms of enhancement:
Intravenous contrast agents (iodinated contrast media in CT, or chelated Gadolinium in MRI) normally do not pass over the blood-brain barrier. Contrast material cannot leave the blood vessels towards the parenchyma (secondary to its strong triple layer defense).
Therefore, where contrast enhancement is seen, the blood-brain barrier is damaged. This is only possible in intra-axial brain tumors, inflammatory states, certain types of demyelinating diseases (multiplex sclerosis) and at certain states in ischemic infarcts.
Low-grade astrocytomas typically do not enhance. A more pronounced enhancement is seen in a gliomas and it reflects their malignancy. This also means that if a low grade glioma during a follow-up study suddenly changes its enhancement pattern, the increase is regarded as a sign of malignant transformation.
Contrast material has to be administered in required volumes and enough time has to be given for the interstitial appearance as well (late phase).
Extra-axial tumors do not have a blood-brain barrier protection, therefore meningioma, schwannoma, pituitary adenoma, pineal and choroid plexus tumor enhance differently.
Cystic lesions naturally do not show any enhancement, these include dermoid, epidermoid and arachnoid cysts.
Radiological characteristics of certain neoplasms
MRI has the greatest sensitivity in the detection of neoplastic brain lesions. The relaxation time of tumor is usually longer than that of the surrounding normal tissues. Therefore on T1W images neoplasms have slightly weaker signal intensity, while on T2W images they are more hyperintense than normal parenchyma. This signal pattern can be very characteristic and has great diagnostic value. However, secondary neoplastic signs, such as mass-effect of the tumor cannot be neglect either. A space occupying lesion can cause:
- the dislocation of the midline structures,
- the impression or dislocation of the ventricle,
- hydrocephalus as a sign of liquor obstruction
Besides the morphological signs, contrast enhancing properties are also characteristic.
On the other hand, although MRI is very sensitive for brain tumors, its specificity cannot be overestimated, otherwise this will eventually lead to diagnostic errors.
In order to appropriately suggest a diagnosis, besides the consideration of the clinical picture, there are other factors that need to be though of:
- the localization of the tumor
- the characteristic age group
- signal intensities (measured relaxation times)
- contrast enhancement, distribution
Tumors frequently presenting with hemorrhage are: choriocarcinoma, melanoma, metastases of renal cell carcinoma and bronchial carcinoma, pituitary adenoma, glioblastoma multiforme and medulloblastoma.
Even with these considerations the diagnosis can only be a most likely estimation. Clinicians and radiologists alike should keep in mind that pathologic diagnosis is only provided by the histologic examination of the tumor!
Astrocytoma:
It is essential to note that in cases of low grade astrocytomas the differentiating ability of MRI is considerably higher than that of CT examination!
Contrast enhancement in astrocytomas increases with the malignancy of the tumor.
In higher grade astrocytomas there is a very typical, extensive perifocal swelling (finger-in-glove white-matter edema).
Contrast enhancement is usually round or it resembles a garland shape.
Oligodendroglioma:
These neoplasms show an infiltrative growth and their contrast enhancement is poor.
Ependymoma:
It characteristically manifests in children and in adolescents.
There is no perifocal edema present. Due to its intra-ventricular growth this tumor can quickly lead to occlusive hydrocephalus because of the obstruction of CSF flow.
Medulloblastoma:
Clinical symptoms:
It is the most common pediatric CNS malignancy (between 5-15 years, it takes up 2-6% of all brain neoplasms).
On CT images it is mostly hyperdense.
On MRI (as opposed to CT images) the tumor can be depicted without any disturbances caused by the bony wall of the posterior fossa.
PNET:
Primitive Neuroectodermal tumor primary presents in children but it also appears in adulthood.
The tumor contains cystic and necrotic parts, at many times it is multi-centric and it shows an intense contrast enhancement.
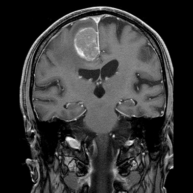
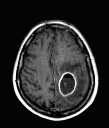
Meningioma
Most often its symptoms present poorly and disease progression is long. It is the most common intracranial tumor, but it is typically benign. Its complications are determined by the localization and the size of the tumor.
Meningiomas are often (but not always) surrounded by sharp edged swelling and perifocal edema. They might appear isodense compared to brain parenchyma on CT. They often contain sclerotic parts and usually they show an increased enhancement of iodinated contrast media.
MRI: Meningiomas show a good Gadolinium enhancement with a characteristic “dural tail” sign (a thickening in the neighboring dura).
Tumors of the myelin sheath:
These tumors most commpnly derive from the sheath of the vestibular part of the VIII cranial nerve (vestibulocochlear nerve).
MRI shows a substantial contrast enhancement. (MRI is preffered, since - as opposed to CT – it is able to depict the internal auditory canal and its surroundings without any artefacts.)
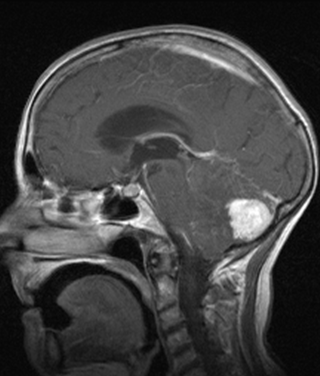
Hemangioblastoma:
It is typically a cerebellar neoplasm.
Intravenous contrast material differentiates its markedly enhancing nidus, from the cysts that of course do not enhance at all.
Arachnoid cysts
They show liquor density on CT, they do not enhance contrast material.
Lipomas:
On CT they show a pronounced hypodensity (-100 HU) and therefore cannot be confused with anything.
On MRI they are also very characteristic, on T1W images they are markedly hyperintense.
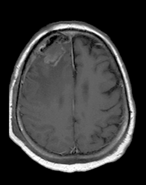
Metastases:
The most common primary tumors that metastasize to the brain are: bronchus carcinoma, breast cancer and renal cancer. A so called early metastasis is especially typical for bronchus carcinoma, when the primary broncus carcinoma is still unknown.
Small metastases can produce very extensive edemas. Multiplicity is common. Due to the consequential blood-brain barrier disorders their contrast enhancement is very intense.
Angiomas – vascular malformations
At many times the collecting term, angioma is used for these lesions: capillary teleangiectasias, cavernosus angiomas, arteriovenosus malformations.
Vascular anomalies can be depicted reliably with MRI, even without the use of contrast medium.
Pituitary gland
Method of choice: MRI
The analysis of the sellar floor can be done with CT, if possible in the coronal plane.
==The appearance of the normal pituitary gland on MRI:===
On non contrast enhanced T1 weighted images the anterior lobe of the pituitary gland has average signal intensity, similar to brain parenchyma.
The dorsal/posterior lobe of the pituitary gland however, shows hyperintense signal.
In the anterior lobe of the gland adenomas derive from the glandular structure. They can be grouped according to their hormone producing status:
hormonally active
hormonally inactive
According to their size they can be:
microadenomas (< 1 cm)
macroadenomas (> 1 cm)
The indications for sellar examinations can be the following:
- Endocrine: due to the clinical picture or the biochemical (lab) reports.
- Ophthalmologic: large parasellar lesions can cause quadrant anopia secondary to the pressuring of the optic chiasm.
- Radiologic: a parasellar bone anomaly can be noted on radiographs
The types of pituitary gland adenomas
Prolactin producing adenoma
GH (growth hormone) producing adenoma: Acromegaly
ACTH producing: Cushing’s disease
Hormonally inactive,or tumors that only produce hormonal fragments do not cause clinical signs, therefore they are diagnosed due to their space occupying effect, and their symptoms are only detected in advanced states. Since patients only get to examination at this late stage the tumors can reach a large size. Expansive symptoms include bitemporal hemianopia, constantly increasing visual defects and headaches secondary to CSF obstruction.
Signal change on MRI in pituitary adenomas:
Microadenomas on T1WIs appear with much lower signal intensity compared to white matter, while compared to the grey matter they are only less intense.
On T2 weighted images they show great variability. They can be bright, isointense and hypointense as well.
Macroadenomas can show necrobiotic phenomena, thus due to hemorrhage and cystic degeneration their signal is inhomogeneous, especially on T2 weighted sequences. However homogenous macroadenomas can also be seen.
The effect of contrast agent in pituitary adenomas
The natural signal intensity difference on MRI, between the frontal and dorsal lobes of the pituitary gland ceases to exist when Gadolinium is administered (T1 weighted imaging) because of the enhancement in the frontal lobe.
Contrast enhancement is immediate in the frontal lobe because of the lack of the blood-brain barrier. In adenomas the contrast enhancement is slow.
Other pituitary tumors and tumors in the neighboring tissues
Craniopharyngioma:
Originates from the remains of the epithelial cells of Rathke’s pouch.
CT can reliably differentiate its three components (calcification can already appear on conventional X-ray images, but it is certainly detectable with CT). MRI can also differentiate its 2 or 3 components based on their characteristic signals.
Metastatic tumors:
The pituitary gland is a frequent location for metastatic lesions, especially the pituitary stalk. Their primary cancer is breast carcinoma, lung cancer and also lymphoma.
The leading clinical symptom is diabetes insipidus and panhypopituitarism.
CT & MRI:
The contrast enhancement of metastases is greater than that of adenomas.
Empty sella
The sellar diaphragm at the insertion of the pituitary stalk can remodel the upper portion of the gland due to the pulsation of the surrounding CSF, until the pituitary gland is pushed and compressed to the bottom of the sella. The contents of the suprasellar cistern then protrude to the sella.
Empty sella can be symptom free, but typically observed in obese women, whom present with frequent headaches around menopause, sometimes they have hypertension and slight hyperprolactinemia.
""Balloon sella" is the extreme form of empty sella, which develops due to the prolonged, increased intracranial pressure (usually in cases of the obstruction of aquaeductus cerebri Sylvii).
Secondary empty sella usually is a result of a postoperative state. However, it can also be a possible effect of bromocriptine treatment of a (micro)adenoma or it can be the consequence of adenoma apoplexy.
10.1.3.3. Inflammatory diseases of the central nervous system
Causes of inflammation:
Bacterial;
Viral;
Prion;
Parasitic;
Fungal;
Unknown etiology (autoimmune?)
Bacterial: e.g.:
- Meningitis
- Parenchymal, circumscribed (abscess, disseminated septic)
- Tuberculosis
Viral: e.g.:
- Herpex simplex
- Enteroviruses
- Poliomyelitis
- Varicella- zoster
- Epstein-Barr virus
- HIV encephalitis
Meningitis:
Clinical symptoms: the bacterial infection can be due hematogenous dissemination, due to the continuous spread of an infection or secondary to trauma.
An aseptic form is also differentiated (lymphocytic, viral).
In tuberculosis meningitis can turn to a chronic infection (tuberculous basal meningitis)
Localization: can occur at the vicinity of an external infection, entry point, it can also spread in the basal cisterns, it can spread along the subarachnoid space and penetrate inside the sulci.
Meningitis has to be based on the clinical data: liquor pressure, cytology, meningeal signs.
Diagnostic imaging is mostly restricted to detect its complications.
Radiology: Negative scans are not uncommon, the ventricles can appear expanded at an early stage.
Contrast agent enhancement can be noted in the meninges / along the dura mater not just at the dural base (TB) but also in the sulci (bacterial - frontoparietal) on both CT and MRI.
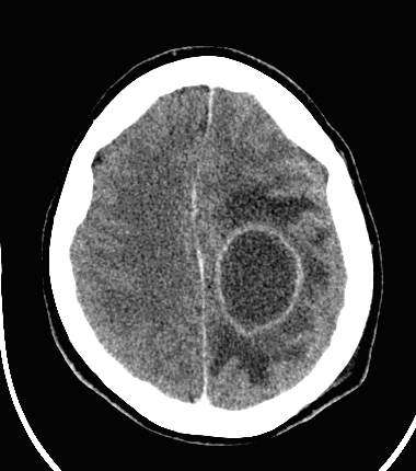
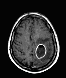
Abscess:
Clinical symptoms: It can be secondary to the invasion of an inflammatory disease (otitis, mastoiditis, sinusitis), thus abscess localization is determined by the site of the original infection. Traumatic origin is rare, postoperative complications are a lot more common. Abscesses that develop from a hematogenous dissemination (endocarditis, pneumonia) are usually multiplex.
In case of uncontrolled states mulilocular states can develop and produce complications such as meningitis, ependymitis or in cases of ventricular breach, ventriculitis.
Localization: according to its infectious source (see above)
Radiology:
CT:
In the early stages (cerebritis) the imaging results can be normal,
perifocal edema might be apparent or mass effect might be visible. In some cases, gas production can occur (its localization is influenced by the supine position of the patient).
In more advanced stages of abscess development (“mature” abscess, early capsule phase) the central hypodensity deepens further, the rim of enhancement becomes better defined and thin. The multilocular appearance is also possible. A slight vasogenic edema is seen outside the enhancing rim of the abscess.
In the late capsule phase – during the healing process – the central necrotic lesion starts shrinking while the capsule (granulation tissue) begins to thicken. The mass effect and the edema begins to moderate.
Tuberculosis:
Clinical sings: it is usually a complication of the secondary stage of TB infection. There are three forms of TB differentiated in the CNS, each of them having a different predilection sites:
- Leptomeningeal TB (tuberculous basal meningitis) + extracerebral tuberculosis
- Pachymeningeal TB
- Intraparenchymal TB
Radiologically the density, or the signal intensity of meningeal TB is not different from any abscess. It also shows a pronounced contrast enhancement.
Tuberculoma (intraparenchymal form) needs to be differentiated from other space occupying lesions of the brain.
One of the goals of radiologic examination is to monitor their most common complication, hydrocephalus that is present in 3/4ths of the cases. Other tasks are to identify possible cerebral infarcts (in more than 1/3rds of the cases) as well as radiology needs to inform/follow up meningeal – ependymal sclerosis.
Viral inflammations (encephalitis):
- Herpex simplex
- Enterovirus
- Poliomyelitis
- Varicella- zoster
- Epstein-Barr
- HIV encephalitis
The cause of encephalitis is usually a viral infection of the central nervous system. The most common form is herpes encephalitis, that is neither epidemic nor sporadic and cannot be connected to any seasonal occurrence. Acute and chronic encephalitis are differentiated.
MRI is the method of choice for examination.
Localization might be typical of certain types of encephalitis.
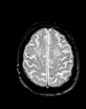
Demyelinating diseases:
The method of choice is MRI
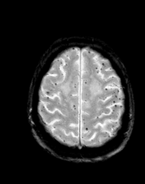
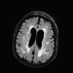
It is a very important field of MR diagnostics, since none of the other imaging methods can compete with the sensitivity of MRI in relation with demyelinating diseases. Today, the suspicion of multiple sclerosis is the primary indication for a cerebral MRI examination. In about 90% of the cases a certain diagnosis can be reached with its help. However, it is not just multiple sclerosis, but other demyelinating diseases (leukoencephalopathies, leukodystrophies) that can also be identified only with MRI.
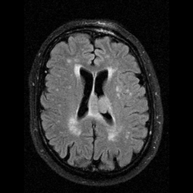
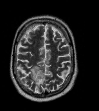
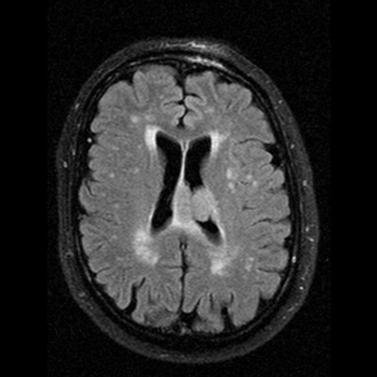
Multiple Sclerosis:
Multiple sclerosis typically appears with lesions presenting in the hemispheric white matter with a periventricular predilection. Other less usual locations for MS lesions include the cerebellum and the pons.
In the later stages the periventricular lesions can become confluent.
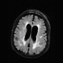
The method of choice for the imaging of multiple sclerosis is MRI. MS lesions secondary to their increased water content appear as increased signal intensity lesions on (T2 weighted), PD images and on FLAIR sequence.
10.1.3.4. Developmental disorders of the central nervous system:
Developmental disorders are characterized by the complete lack or the partial development of the normal anatomic structures. MDCT with coronal and sagittal reconstructions is able to provide a detailed anatomic image that is capable to show developmental anomalies (except for migration disorders).
MRI examination with its multiplanar imaging ability is capable to produce an excellent anatomic image with T1 weighed sequences.
Arnold – Chiari malformation
Type I. the cerebellar tonsil appears pointy and extends below the level of the foramen magnum, but it does not exceed 5 mm.
In Type II. the caudal part of the cerebellum also extends below the foramen magnum while the medulla oblongata and IV. ventricle sink to the widened segment of the spinal canal. It is accompanied by neural tube closing disorders.
Type III is the combination of type II. with occipital cephalocele.
Radiologically they are the best depicted in sagittal (+ coronal) imaging planes.
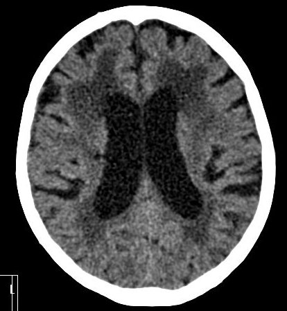
Corpus callosum
Developmental disorders: Grades of developmental anomalies can be found from partial development (dorso-rostal appearance according to its developmental process) to the complete agenesis of corpus callosum.
Radiology: due to its lack, the sulci can extend down to the level of the 3rd ventricle.
CT: coronal plane (tall 3rd ventricle) and sagittal reconstructions are needed.
MRI: In adults the lack of the hyperintense white matter components of the corpus callosum is easily distinguishable from grey matter on T1 weighed images. No cingulate gyrus is apparent either.
Dandy-Walker spectra
The imaging spectra can constitute of cases of simple hypoplasia of the cerebellar vermis; at other times, the 4th ventricle can show various grades of expansion together with the elevation of the tentorium (the confluence of sinuses is elevated). The gravest form of these states is the consequential development of hydrocephalus.
The common characteristics of Dandy-Walker syndrome include expanded posterior fossa with a large liquor cyst, the lack of the 4th ventricle, elevated tentorium, bulked occipital bone with thin internal lamina (scalloping).
Its mildest form is mega cisterna magna that does not cause any compression nor does it create any hypoplasia of the vermis and even the 4th ventricle is preserved.
Developmental abnormalities of the cortex, migration disorders
Microlissencephaly: is represented by a small skull and decreased gyrification.
Hemimegalencephaly: is the enlargement of a cerebral hemisphere or the enlargement of one isolated part of the brain.
Disorders of the neuronal migration: the neurons in their migration – in a nodular or fusiform manner – are hindered or they lose their track. Heterotopy, lissencephaly (agyria, pachygyria)
Cortical organization disorders include polymicrogyria and schizencephaly (opened – communicates with the CSF, closed – does not communicate with CSF)
MRI is the imaging method of the cortical migration and organization disorders (strong T1 weighted imaging).
10.2. Spine
10.2.1. Imaging methods:
10.2.1.1. X-ray:
Radiographs are especially useful to detect
degenerative bone diseases (spondylo/phytes);
structural abnormalities of the bones (e.g.: primary – hemangioma, secondary – metastatic bone destruction or osteoplastic lesions);
developmental disorders and instability (dynamic /functional),
and is also capable to depict traumatic bone lesions (fractures).
Myelography:
Conventional myelography due to its invasive nature is not used for diagnostic purposes any more. MRI myelography provides an equal diagnostic gain and can readily replace its conventional predecessor.
CT myelography is still applied in exceptional cases during which intrathecal contrast material is necessary to be injected. It is still recommended if the communication of the cerebrovascular fluid spaces (e.g.: CSF leakage) is needed to be determined, for which MRI is not completely informative.
10.2.1.2. CT:
It can depict bone abnormalities. Reconstructions in the transversal plane are able to represent complex fractures or depict the spinal architecture. 3D HRCT reconstructions provide detailed spatial representations. In cases when MRI examination is contraindicated CT is able to provide some information on herniated intervertebral discs. However, CT is not able to depict the intraspinal status. The use of X-ray exposition on young and fertile female patients for lumbar spine imaging has to be avoided; the method of choice is MRI.
10.2.1.3. MRI:
As opposed to CT examination MRI, thanks to its superior soft-tissue contrast, is excellent for the representation of intraspinal structures. Depending on the magnetic field strength / resolution ability it is a unique imaging method of the spinal chord.
10.2.2. Developmental abnormalities:__
Spinal chord and meninges:
Arnold-Chiari malformation:
This malformation is characterized by the abnormality of the posterior fossa (cerebellum), medulla oblongata and the cervical spinal chord. The craniocervical spinal chord shows a cone-like expansion, the cerebellar tonsils extend behind the medulla oblongata and according to the degree of the structural changes CSF obstruction or consequential hydrocephalus can be seen.
Its imaging method is MRI which can clearly demarcate the lesion based on the signal intensity differences between the neural structures and the spinal chord.
The various degrees of the spine clefts:
Meningocele, meningomyelocele, myelocele.
Imaging methods: US, MRI
Tethered cord:
The term stands for the phenomenon that the spinal chord is “anchored”.
MRI examination can reveal the deep, fixated position of the medullary cone, which can even show a deformed shape.
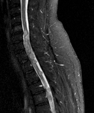
Syringomyelia:
According to its development it can be
primary (innate) and
secondary (due to traumatic injuries, inflammations and tumors).
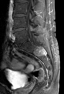
Syrinx describes the condition when cerebrospinal fluid enters the interior of the spinal cord and forms a cavity in its center in a tube or a flute- like manner. It can even be a few segments long.
MRI: only MRI can provide a definitive diagnosis by depicting the expanded region within the axis of the spinal chord as an expansile lesion showing liquor intensity on all sequences (weak T1 signal and strong on T2 weighted imaging).
10.2.3. Myelopathies:
A defined myelopathy can result of trauma, inflammation, ischemia, irradiation and compression (venous congestion).
MRI: segmental high T2 signal intensity lesion, which later turns into a well defined atrophy.
Central pontine myelinolysis:
It is a demyelinating disease that has various names.
Its cause:
iatrogenic in most cases. The sudden correction of Sodium /Potassium imbalance (hyponatremia) or other osmotic stress can all case it (such as azotemia, hyperglycemia, vomiting or starvation).
MRI is the method of choice. Most commonly the signal alteration occurs in the centum of the pons, almost symmetrically, while the periphery is circularly preserved.
In acute cases on T1 weighed sequences it cannot be differentiated, or it is slightly hypointense, while on T2W images or with FLAIR it is hyperintense.
Arachnoiditis:
It can occur as a consequence of trauma or after surgical procedures. Sometimes it is the result of chemical irritation, such as a myelography, epidural injection or infection.
As the result of the inflammation scar tissue and adhesions occur and the nerve roots attach: adhesive arachnoiditis.
MRI: thickened nerve roots, tangled arrangement, fixated cauda equina can be seen. Contrast media does not increase the diagnostic precision – lesions vary from strongly enhancing to barely enhancing ones.
Spinal arteriovenosus malformations (AVM): a rare disease, usually manifesting in early childhood. They can be intradural, extradural and dural in localization – often combined with fistulas.
On MRI its characteristic loss of signal is accompanied by edema in the spinal chord (strong T2W signal).
Spinal hemorrhages:
Epidural, subdural, subarachnoid and intramedullar hematomas.
Fresh bleeding can be detected with CT but a more precise localization and diagnosis can be reached with MRI.
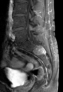
10.2.4. Intraspinal masses:
Intraspinal masses can be abscess, tumors /metastases. If the narrowing of the spinal canal is caused – independently from their cause – the first step of their assessment is to describe its relation to the dura / spinal chord.
10.2.4.1. Extradural (epidural):
Neurofibroma, vertebral metastases, inflammations (spondylitis, spondylodiscitis, psoas abscesses), vertebral collapses: (traumatic / osteoporotic bony propulsions), hematomas.
MRI: An epidural hemorrhage shows the signal intensity pattern characteristic of blood break down materials, abscess on MRI shows a peripheral contrast enhancement.
10.2.4.2. Intradural- extramedullar:
Meningiomas
MRI: T1 and T2 weighted images it shows a signal intensity similar to the spinal chord. Usually its contrast enhancement is intense.
CT: it better depicts sclerosis in the lesions.
Neurinomas and neurofibromas. They follow the path of the nerves (neuroforaminal expansion is even visible with X-ray = hourglass tumor). Multiple: Neurofibromatosis I (phacomatosis)
MRI: On T1 weighted images it is usually isointense with the spinal chord + enhancement, on T2W images it is hyperintense.
Metastatic tumors:
medulloblastoma, ependymoma, choroid plexus papilloma and PNET („drop” metastases), pinealoma.
MRI signal intensities are similar to the primary tumor and in most cases they show intense contrast enhancement
10.2.4.3. Intramedullar:
Astrocytomas appear both in childhood and adulthood (cervical segments of the spinal chord)
MRI: On T1W images they are isointense with the spinal chord. On T2 weighted images they have a high signal intensity and appear as a mass expanding the spinal chord.
Contrast enhancement is strong, it can be inhomogeneous.
Ependymomas rather occur in adulthood (they can also be the metastases of primary cerebral ependymomas) thoracic spinal chord, medullary cone, filum terminale.
MRI: On T1 withed images it shows isointense with the spinal chord, while on T2W images it is hyperintense.
Contrast enhancement is strong, it can be inhomogeneous.
The appearance of intramedullar metastases is rare.
10.3. The message of the chapter:
It is essential to know the radio-morphologic appearance of cerebral ictal events and to be able to differentiate ischemic infarcts from hemorrhagic infarcts.
The rapid differentiation between subdural and epidural bleedings is mandatory based on their radiological characteristics.
The use of ionizing radiation has to be avoided in young and fertile female (lumbar) spine examinations; the method of choice is MRI.
Translated by Balázs Futácsi and Miklós Krepuska