Loading...
 
PDF Print

Musculoskeletal Radiology

17. Musculoskeletal Radiology

Author: Roman Fischbach

Asklepios Klinik Barmbek

 

Chapter goal:

This chapter helps students get familiar with to optimal imaging methods and -algorithm of the musculoskeletal system. It also helps understand basic phenomes related to the imaging of these structures and its importance.

17.1. Anatomic considerations

In skeletal x-ray imaging only calcium containing bone structures are delineated. The cortical bone (cortex) of long bones is seen as thick homogenous band in the diaphysis with a marked thinning in the metaphysis. The epiphysis is covered by a thin lining of dense bone, the corticalis. The medullary or spongy bone is composed of a regular three-dimensional mesh of trabecular bone. The bone is surrounded by the periosteum, which is not depicted radiographically. The epiphysis has a cartilage cover that is not seen in X-ray imaging rendering the radiographic joint space wider than the anatomic joint space. In children the radiographic joint space is wider than in adults since the epiphysis contains mostly radiolucent cartilage and only a small central ossification. At the end of the growth period the epiphysis including the physis (epiphysial growth plate) calcifies completely. The physis is sometimes delineated as a fine calcified linear structure.

17.1.1. Accessory bones

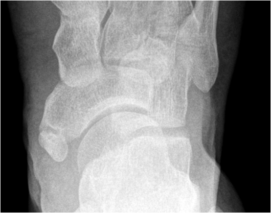
Accessory bones are normal variants. They result from persistent apoyphysis or additional bone kernels and have to be differentiated from avulsions or fragments. The knowledge of the typical morphology and location of these variants is important to avoid misinterpretations, especially when reading trauma films. Usually clinical symptoms, the typical position and round shape with sclerotic margins and the lack of sharp lines help to differentiate accessory bones from fragments.

Image
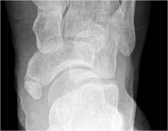
Fig. 1. Os tibiale externum a frequent accessory bone medial to the navicular bone in the foot.

 

17.2.Technical Modalities

17.2.1. Conventional radiography

By far the most frequent modality used in skeletal imaging is conventional x-ray imaging. Radiographs represent x-ray absorption in various shades of black and white. The more calcium present, the whiter (or denser) that part of the radiograph - the less calcium present, the blacker (or lucent) that part of the radiograph.

When looking at x-ray films of bone many aspects have to be assessed:

  • Anatomic shape, form and alignment
  • Position of articulating structures
  • Mineral density
  • Cortex and corticalis
  • Medullary bone structure
  • Joint surface and joint space
  • Soft tissue
  • Foreign bodies
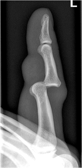
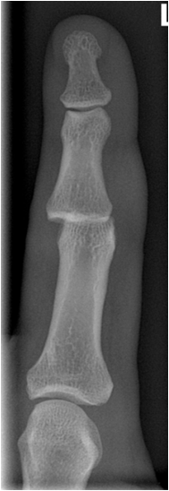
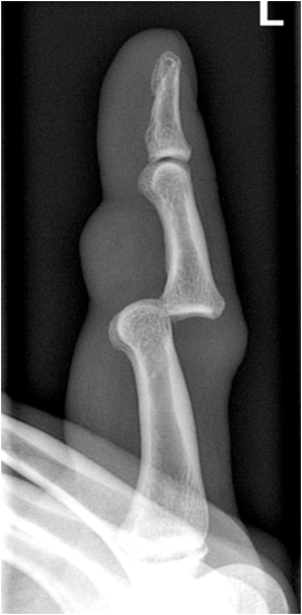
Fig. 2. Images showing a dislocation of the proximal interphalangeal joint. In the d.v.-projection only a slight sideways displacement of the middle phalanx and missing delineation of the joint space is noted. The lateral projection reveals the full extent of the dislocation showing dorsal displacement of the middle phalanx.

Since x-ray films are projection images of three-dimensional structure a second imaging plane, usually perpendicular to the initial exposure is mandatory to fully assess the three-dimensional structure. In complex anatomic regions additional oblique projections or function tests may be necessary (head of radius, shoulder, pelvis, spine).

Fig. 3. Split fracture of the radial head. The fracture is clearly seen on the oblique image (right image) whereas the fracture is almost invisible on the lateral view (left image). The displaced fat pad (white arrow) indicates joint effusion and is an indirect sign of significant trauma.

 

17.2.1.1. Stress films:

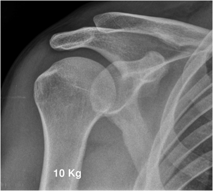
Joint relationships can frequently be evaluated better with the aid of stress films. Stress may be applied either by weight bearing (evaluation of the acromioclavicular joint) or by external stress applied to alter the at-rest relationship (evaluation of ankle ligaments). Stress films are used to test joint stability in suspected ligament injury. Images are taken under defined conditions with weight or pressure applied. Subluxation or joint space widening indicates partial or complete rupture of the ligaments tested. Before ordering stress images a set of conventional images in mandatory to exclude fracture.

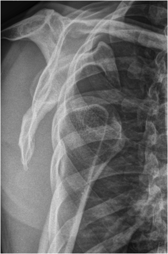
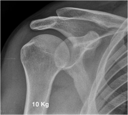
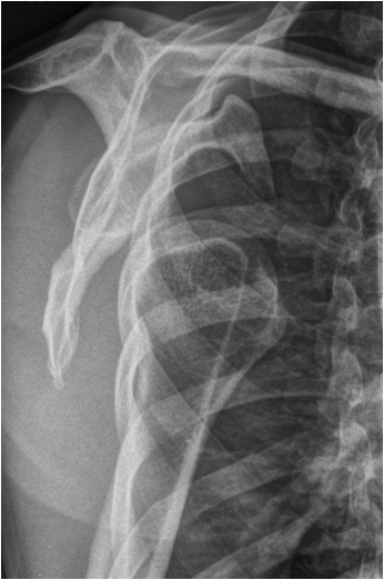
Fig. 4. Stress test of acromiclavicular joint instability. The patient is holding 10 kg weight in each hand. Note the step in the right acromiclavicular joint indicating injury to the ACG capsule and the coracoclavicular ligament.

 

17.2.1.2. X-ray tomography

Conventional x-ray tomography has been used in skeletal imaging to better assess fractures or infections especially in the tibial head, dens or spine. Today these indications are better covered by computed tomography and magnetic resonance imaging.

17.2.2. Computed Tomography

CT is a very important imaging modality in skeletal imaging especially in assessing trauma and complex bone lesions. CT offers excellent spatial resolution and allows detailed assessment of bone and surrounding soft tissue due to its good contrast resolution. CT is the standard technique to assess facial bones and skull base in trauma and is frequently used to image spine, pelvis, shoulder and feet in complex injuries.
With the use of submillimeter slice thickness and fast data acquisition high resolution two-dimensional and three-dimensional images reformations have become standard when assessing trauma cases.
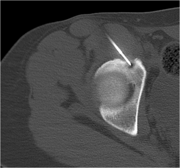
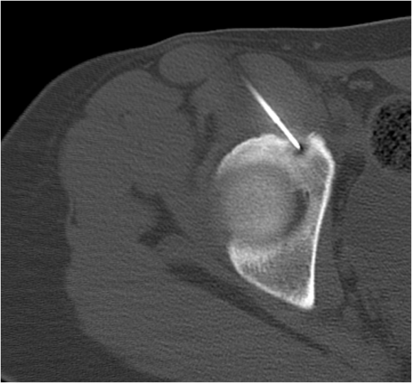
CT is also used to guide therapeutic interventions like bone biopsy, vertebroplasty or radiofrequency ablation of certain bone tumors.

Fig. 5. Osteiod osteoma of the acetabulum in a 14-year-old girl with persistent hip pain. A radiofrequency needle is positioned in the nidus of the osteoma. The patient was painfree immediately after successful thermoablation.

 

17.2.3. Magnetic resonance Imaging

MRI is the currently the most sensitive noninvasive imaging modality to visualize joints, cartilage and ligaments in inflammatory joint disease and trauma. MR imaging has a high soft tissue contrast and can be used to characterize lesions, describe the exact extend of a lesion and depict extraosseous involvement of bone tumors. Furthermore, MRI is able to detect subtle changes, e.g. in occult fractures or transitory osteoporosis, since signal intensity changes in MRI can be observed even if conventional films do not show any abnormality. The excellent soft tissue contrast allows to delineate articular and periarticular soft tissues, like tendons, menisci, and synovia.

17.2.4. Ultrasound

The role ultrasound sonography in musculoskeletal imaging is limited. Bone causes total reflection of ultrasound waves; therefore only the bone surface and not the bone structure can be assessed. Bone destruction, erosions and sometimes fractures can be depicted. In rib fractures and fractures of the sternum sonography is superior to conventional x-ray. The main role of ultrasound, however, is the visualization of ligaments, joint effusion, and periarticular soft tissues.

17.2.5. Nuclear medicine

A nuclear bone scan visualizes bone metabolism, not bone morphology, and is mainly used to detect bone metastases or infection. 99m Tc-MDP (99m Tc biphosphonate) is partly absorbed in bone and represents bone metabolism. In areas of increased bone turnover, an increased uptake is seen. Bone perfusion, thickness of bone and osteoblastic activity determine uptake levels. Bone scans are performed as single-phase scintigraphy (bone scan for exclusion of metastases) where imaging is performed 2 – 3 hours after nuclide injection, or as three-phase exam with images acquired during injection and in an early phase as well as the late phase (perfusion, blood pool, and bone phase). For more details refer to the chapter on nuclear medicine.

17.3. Trauma

By far the majority of bone films are exposed because of a history of trauma to rule out or document skeletal involvement. In evaluating these films a precise clinical history, including the location of point of tenderness is helpful if not mandatory to correctly interpret the image.

17.3.1 Soft tissue

In viewing the trauma film, soft tissue swelling, or foreign bodies have to be assessed. If foreign bodies are more dense than soft tissue (more radiopaque) they will be easily recognized (e.g. metal fragments or gravel). If they are less dense (e.g. gas) they will be seen only with close observation. Most exposures will require either a bright light or appropriate windowing on digital images to evaluate the soft tissues properly. If foreign bodies are not seen, they cannot be excluded as many types of glass, wood splinters or plastic have approximately soft tissue density.
Soft tissue swelling may be discerned not only by the apparent increase in the soft tissue but also by the interruption of normal fat planes. If subcutaneous fat or fat between muscle planes is infiltrated by edema (water density), the fat plane will no longer be visible since it loses its sharp contrast with water density structures like tendons or muscle.

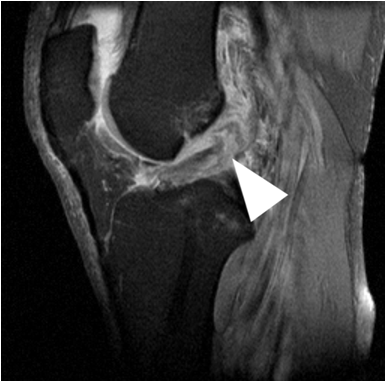
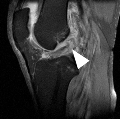
Fig. 6. Patient with knee trauma. Plain films reveal significant suprapatellar joint effusion (white arrows). A fracture is not seen. MR imaging reveals a torn anterior cruciate ligament (white arrow head).

 

17.3.2. Fractures

Fractures can be easily seen when displaced, distracted ore severely comminuted, but frequently fractures are missed when they are subtle and have not been carefully searched for. Evaluation of bone films means that every cortical margin has to be followed on every projection and searched for minute areas of irregularity to detect cortical discontinuity.
In assessing trauma two perpendicular plains are mandatory. In anatomic areas where this is not possible or helpful (pelvis, shoulder) additional oblique projections are produced. If initial films do not show a fracture despite strong clinical suspicion, the affected extremity should be immobilized, and a repeat study performed after 8 – 10 days. These delayed images will usually depict fracture lines better due to bone absorption during fracture healing. MR images can also be obtained to detect occult trauma early.

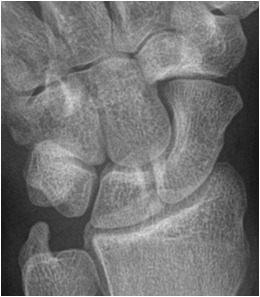
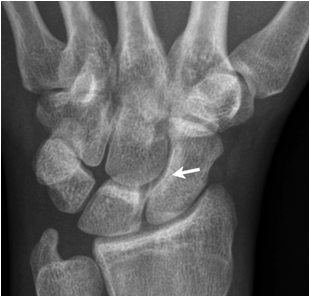
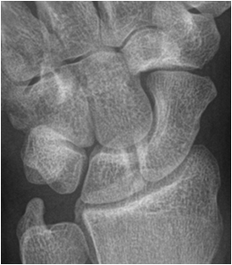
Fig. 7. Patent with suspected scaphoid fracture. The wrist film and the scapoid series did not show a definite fracture line. A faint line is seen in the proximal third of the scaphoid. MR imaging of the wrist reveals a bone marrow edema and fracture indicated by a low signal area on a T1 weighted image.

There are many ways of classifying fractures. The complex classification systems used by orthopedic surgeons will not be discussed in this text in favor of a simpler approach:
A linear fracture is a radiolucent fracture line traversing a bone. The fracture is described according to the orientation of the fracture line and the number of fragments (see figure 8). If the fracture line extends only partway through the bone, it is an incomplete fracture. If the fracture consists of a single line separating two fragments, it is a simple fracture. If there are more than two fragments at the fracture site, it is a comminuted fracture. In a simple fracture there is a proximal fragment (closest to the center of the body) and a distal fragment (farthest from the center of the body).

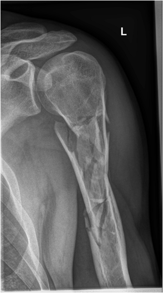
Fig. 8. Diagram showing different types of fractures: fissure or incomplete fracture, transverse simple fracture, oblique simple fracture, spiral fracture, simple and complex comminuted fracture. The x-ray example shows a severely comminuted fracture of the proximal humerus. Note that the angulation of the facture with 30-degree dorsal tilt of the distal fragment is fully seen only on the transscapular view (second plane).

Fractures may be described as displaced or in anatomical position. If they are displaced they are described in terms of position and alignment of the fragments. The distal fragment is seen in relation to the proximal fragment. In order to describe alignment the angulation or tilt of the distal fragment is assessed in relation (dorsally, volarly, inferiorly, medially, etc.) to the proximal fragment.
If the fragments are parallel the displacement is described in terms of shaft width or cortical width and direction of displacement. If the fragments are displaced distally they are distracted as opposed to a contracted (overriding) fracture.

Fig. 9. Diagram showing displaced fractures: 1 sideways displacement, 2 sideways with contraction, 3 angulated, 4 distracted with rotation.

Impacted fractures present with an area of increased density rather than a fracture line. This is because proximal and distal fragments have telescoped into each other and twice as much bone occupies the same space, which in turn results in an increased x-ray absorption.
Stress fractures may occur when a bone is stressed by physical activity well above the patient’s usual activity level. Initially, there may be no x-ray findings, but after a few weeks increased bone density or callus formation may be seen as healing progresses.
Chip fractures are minute pieces of bone, which may be chipped off a bone by trauma. Avulsion fractures are small pieces of bone, which may be pulled of a larger piece by the forceful pull of a muscle, tendon or ligament.
A pathologic fracture is a fracture through a preexisting bone lesion, frequently a tumor or sometimes an infection or area of aseptic necrosis. The pathologic fracture is characterized by a history of no trauma or minor trauma not anticipated to be sufficient to fracture the bone.
An articular fracture is a fracture through a joint surface. When a fracture line crosses a joint surface, that fact should be mentioned in the report.
Greenstick fractures are seen only in children. Rather than a fracture line there is buckle or bend in the bone. Another type of fractures seen in children is an epiphyseal separation. This is a fracture through the physis (epiphyseal growth plate). There may be only minimal widening of the plate or considerable displacement of the epiphysis from the metaphysis.

Table 1: Fractures involving the growth plate classified according to Salter-Harris or Aitken.
Salter-Harris
Aitken
Description
I
Transverse fracture though the physis
II
I
Fracture through the physis and metaphysis
III
II
Fracture through the physis and epiphysis
IV
III
Fracture through physis, metaphysis and epiphysis
V
Compression fracture of the physis
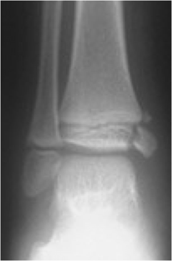
Fig. 10. Diagram showing the growth plate fracture types according to the classification by Salter and Harris (from Wikipedia).
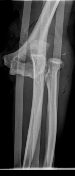
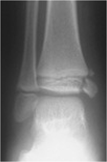
Fig. 11. Growth plate fracture with involvement of metaphysis and epiphyis (Salter-Harris type IV.

 

17.3.3. Dislocation and Subluxation

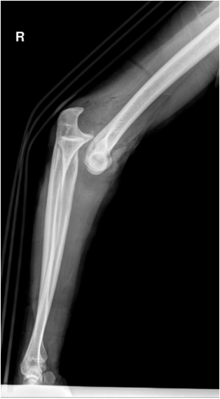
When the range of normal relationships for a particular joint is slightly exceeded, it is called a subluxation. When it is grossly exceeded, and the articulating structures are not in contact any more, it is called a dislocation. Joints most frequently affected by a luxation are shoulder, elbow, ankle, hip, and interphalangeal joints. Luxation will usually cause capsule and ligament disruption with soft tissue swelling and loss of fat planes. Associated avulsion fractures are frequently seen. As in fracture imaging exposure in two perpendicular planes are required to correctly visualize and describe a luxation or dislocated fracture.

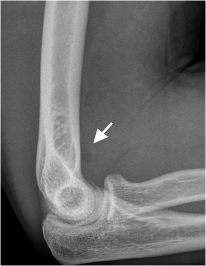
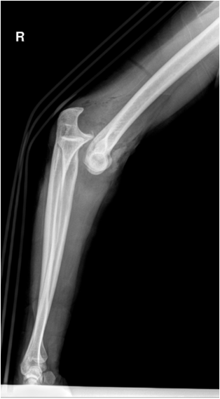
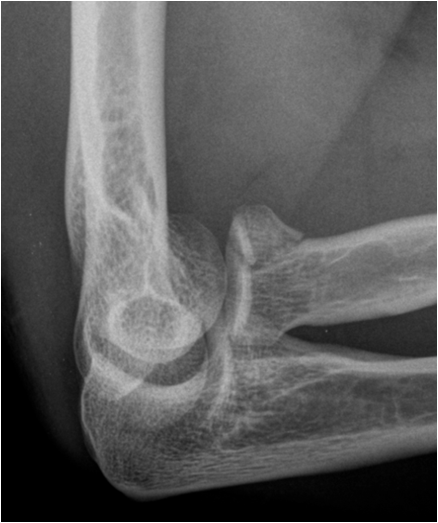
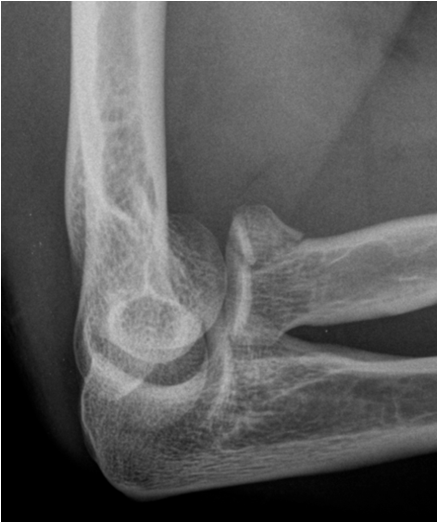
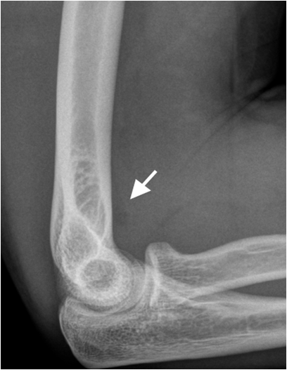
Fig. 12. A) Complete dislocation with contraction in the elbow joint. Ulna and radius are both dislocated and dorsally displaced. B.) Anterior and inferior dislocation of the humerus.

 

17.4. Degenerative Joint disease

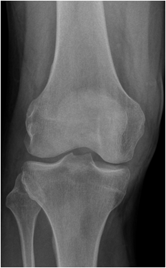
Primary osteoarthritis involves weight bearing joints such as the knee, where changes are seen especially in the medial compartment and the patellofemoral compartment. In the hip changes are seen superolaterally. The tibiotalar joint is rarely significantly involved, except for changes along the anterior margin of the distal articular surface of the tibia. These are most likely posttraumatic in origin.

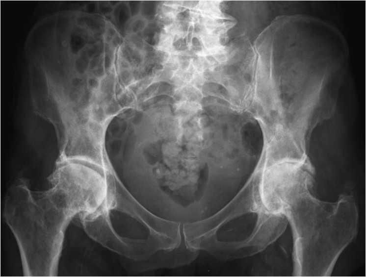
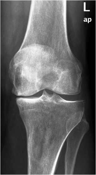
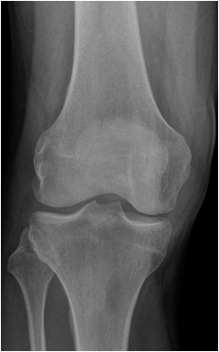
Fig. 13. A) Knee joint with degenerative changes. Note the sclerotic medial tibial plateau and joint space narrowing. A small osteophyte is seen on the medial femoral condyle. B.) Pelvis with marked degeneration of both hip joints. The right femoral head shows lateral osteophyte formation and is deformed. The joint space is narrow with increased subchondral sclerosis of the acetabular roof. The left hip has a marked joint space narrowing and lateral osteophyte formation. The femoral head shows increased density due to sclerotic areas and irregularity.

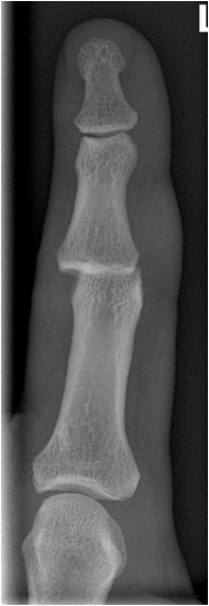
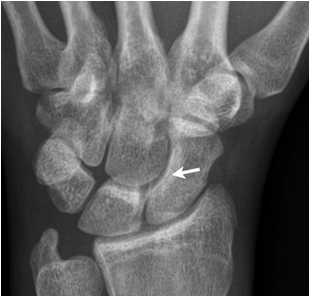
In the hand there is typically involvement of the trapezium-scaphoidal joint and the first carpal-metacarpal joint. In addition, there is involvement of the distal interphalangeal joints of the fingers with lesser changes at the proximal interphalangeal joints and the metacarpal-phalangeal joints.

Fig. 14. Typical degenerative changes in the hand: A) Joint space narrowing and subchondral sclerosis of the trapezoidum-scaphoidal joint and the first carpal-metacarpal joint. B.) Degenerative arthritis of the distal interphalangeal joint showing typical osteophyte formation, joint space narrowing and increased sclerosis.

In the foot there is often involvement of the first metatarsal-phalangeal joint. In addition to joint space narrowing and subchondral sclerosis there is subchondral degenerative cyst formation and osteophyte formation along joint margins. Osteophytes are the sine qua non of osteoarthritis. In degenerative joint disease new bone formation is seen as a response or repair reaction. In inflammatory arthritis there usually is a destruction of bone and osteophytes are not seen.
In the spine, changes are seen in the facet joints throughout and at the uncovertebral joints in the cervical region. Degenerative disc disease is also seen with associated osteophyte formation. The traction osteophytes of degenerative annular disease begin several millimeters from the edge of the vertebral body, and tend to be initially oriented horizontally at their attachment to the vertebral bodies. They then often curve slightly and may even form a complete bony bridge across the disc space.
Sacroiliac joint involvement is common. The sclerotic joint margins are sharply defined as opposed to changes seen in inflammatory arthritides.
Degenerative osteoarthritis may be secondary to previous infection or trauma. In these cases there is more degenerative change in the particular joint than may be found in corresponding regions elsewhere in the body. Osteophytes can be seen in both primary and secondary osteoarthritis. They can also be seen at various entheses, often due to altered or increased stress at the entheses (traction osteophytes).

17.5. Arthritis

17.5.1. Rheumatoid arthritis

Rheumatoid arthritis may involve any synovial joint. The sacroiliac joints are involved only infrequently. The greatest involvement is in the small joints of the hands, wrists and feet with sparing of the distal interphalangeal joints. In early stages there may be only soft tissue swelling and juxta-articular osteoporosis. Next joint space narrowing and early erosive changes are seen.
In general, the presence of erosions bespeaks some type of inflammatory disease, whether the erosions are due to synovial hypertrophy, crystalline deposits, or infection. In rheumatoid arthritis, the erosions follow the development of an inflammatory proliferation of the synovium, called pannus. As this pannus increases in amount, it begins to cause erosions of the chondral surface. As the pannus increases further in amount, one begins to see erosions at the periarticular "bare" areas. These "bare" areas refer to bone within the synovial space which is not covered by articular cartilage. The articular cartilage tends to protect the bone that it covers. The marginal "bare" areas are not covered by cartilage, and the earliest erosions of rheumatoid arthritis are seen here.

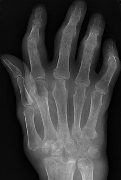
Fig. 15. Rheumatoid arthritis. A) Early erosive changes are seen at the bare areas of the second and thirs metacarpal-pahalangeal joint. B.) In a patient with long standing rheumatoid arthritis marked destruction of carpal bones and styloid process has occurred. Note luxation of the first MCP joint, erosions at the other MCP joints and generalized osteoporosis.

Rheumatoid arthritis also involves the cervical spine, with apophyseal joint erosion and malalignment, intervertebral disc space narrowing with endplate sclerosis and without osteophytes, and with multiple subluxations, especially at the atlanto-axial junction. Abnormalities of the thoracolumbar spine and sacroiliac joints are infrequent and less prominent than those of ankylosing spondylitis.

17.5.2. Ankylosing Spondylitis

Ankylosing spondylitis affects synovial and cartilaginous joints as well as sites of tendon and ligament attachment to bone (entheses). An overwhelming predilection exists for involvement of the axial skeleton, especially the sacroiliac, apophyseal, discovertebral, and costovertebral articulations. Early in ankylosing spondylitis there is sacroiliac joint involvement with blurring of the joint margins and some reactive sclerosis. Then changes appear at the thoracolumbar and lumbosacral junctions.
Therefore, sacroiliitis is the hallmark of ankylosing spondylitis. Although an asymmetric or unilateral distribution can be evident on initial radiographic examination, roentgenographic changes at later stages of the disease are almost invariably bilateral and symmetric in distribution. This symmetric pattern is an important diagnostic clue in this disease and may permit it differentiation from other disorders that affect the sacroiliac articulation, such as RA, psoriasis, Reiter's syndrome, and infection. Changes in the SI joint occur in both the synovial and ligamentous (superior) portions, and predominate on the iliac side.
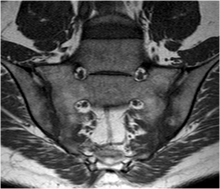
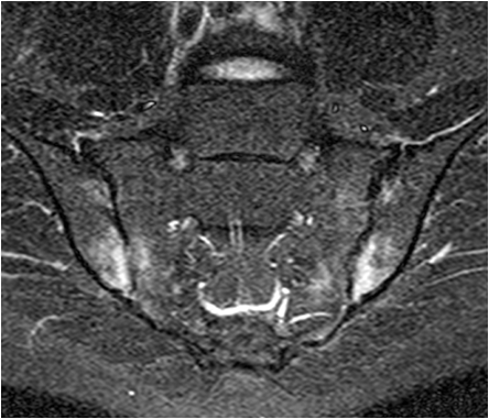
Inflammatory synovial changes and subchondral edema are well seen on MRI. MRI is more sensitive and is being used with increased frequency to detect and stage inflammatory nvolvement of the sacroiliac joint in patients with ankylosing spondylitis.

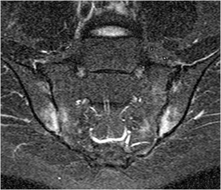
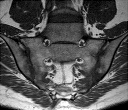
Fig. 16. T1 weighted and STIR images of the sacroiliac joints in a young patient with low back pain. Low signal areas on T1 correspond with edema seen on STIR. Note the joint space narrowing and the more pronounced subchondral changes in the iliac bone as compared to the sacrum.

There is squaring of the vertebral bodies and syndesmophyte formation. Osteoporosis is generally prominent. Syndesmophytes are generally seen only in the seronegative spondyloarthropathies. These are due to inflammation and ossification of the outer fibers of the annulus fibrosus, known as the Sharpey's fibers. This is classically seen in ankylosing spondylitis. In the other seronegative spondyloarthropathies, one usually sees paravertebral ossification, which forms in the paravertebral connective tissue at some distance from the spine.

17.5.3. Psoriatic arthritis

While many of the changes are similar to those seen in rheumatoid arthritis, the changes in psoriatic arthritis are not always symmetrical. There is greater involvement of the distal interphalangeal joints and joint fusion occurs with higher frequency. About 30 to 50 % of patients with psoriatic arthritis develop sacroiliac joint changes. Sacroiliac joint involvement may be bilateral or unilateral. Radiographic sacroiliac joint changes include erosions and sclerosis, predominantly on the iliac side, and widening of the articular space. Although significant joint space diminution and bony ankylosis can occur, the incidence of these findings, particularly ankylosis, is less than that of classic ankylosing spondylitis or the spondylitis associated with inflammatory bowel disease.

17.5.4. Reiter's syndrome

Reiter's syndrome is associated with an asymmetric arthritis of the lower extremity, sacroiliitis, and, less commonly, spondylitis. Although its general features resemble those of ankylosing spondylitis and psoriatic arthritis, Reiter's syndrome has a greater tendency to affect the feet and lower extremity with relative sparing of the upper extremities. A history of urethral and eye complaints helps with the diagnosis.

17.6. Osteomyelitis

Osteomyelitis may occur anywhere, as direct extension of a soft tissue infection or from an open fracture. Hematogenous osteomyelitis usually begins in the metaphyseal region of long bones because of their blood supply. The infectious process may spread through the subperiosteal region, through the marrow cavity, or both. Osteomyelitis most frequently affects children due to their specific vascular supply of the metaphyseal region and in immune deficient adults.
In early osteomyelitis the x-ray may be completely normal or just show slight soft tissue swelling. A nuclear bone scan or MRI exam will allow much earlier detection of osteomyelitis. Faint demineralization of the area bone involvement may be seen after two weeks progressing to changes of intensified demineralization. Other signs are periosteal new bone formation and loss of sharpness of cortical margins. The more aggressive the infection the more bone destruction and radiolucency will be seen. Periosteal new bone formation and sclerotic changes relate to the tissues attempt to reconstruct normal bone.
If an osteomyelitis becomes chronic there will be an altered architecture with multiple areas of lucency surrounded by areas of sclerosis and areas of irregular cortical thickening.

17.7. Metabolic bone diseases

Metabolic bone disease is one of the most fascinating and complex subjects in radiology. There are many subtle interactions occurring among diverse mechanisms, some of which are not well understood. To stay in the scope of this text only a few entities will be mentioned.
One of the most common findings in skeletal radiology is increased radiolucency of bone, most properly termed osteopenia. This term is preferred over "demineralization", since the exact mineral status of the patient's bone cannot be determined from the radiograph alone. The most common cause of osteopenia is osteoporosis. However, there are many disease entities that can cause osteopenia, so the mere finding of radiolucent bone does not make this an automatic diagnosis.

17.7.1. Osteoporosis

Osteoporosis results from a loss of bone. On conventional film a 30 – 50 % loss of bone mass is required before osteoporosis can be recognized.
Senile osteoporosis refers to the gradual loss of skeletal mass that is seen with advancing age. Postmenopausal osteoporosis refers to the increased bone loss seen in women following menopause. Both of these processes are very common, and both commonly occur in the same individuals. The pathogenesis of both of these states is not clear, but probably involves a combination of decreased bone production and increased resorption. In general, the gradual loss of skeletal mass begins in women in the fourth decade and in the fifth or sixth decade of life for men. This bone loss accelerates in women following the menopause.
Clinically, the loss of spongy bone in osteoporosis causes a predisposition to fractures, especially compression fractures of the vertebral bodies, fractures of the distal radius and fractures of the femoral neck and trochanteric regions. In addition of anterior wedging of vertebral bodies there is increased concavity of the vertebral endplates.
Inadequate dietary calcium intake may lead to osteoporosis. Patients receiving large doses (> 15,000 units/day) of heparin may develop a reversible osteoporosis. Alcoholic patients may also develop reduced bone mass and increased bone fragility, for reasons that are not well understood.
The osteoporosis occurring during Cushing's syndrome or following exogenous steroid administration is well known. Histologic studies of this process reveal a combination of decreased bone production as well as increased bone resorption.
Hyperthyroidism, acromegaly, pregnancy, idiopathic juvenile osteoporosis and osteogenesis imperfecta are other entities that present with osteoporosis during their course. These are fairly rare causes of osteoporosis, but should be kept in mind when one is faced with unexplained osteoporosis, particularly in younger patients.

17.7.1.1. Disuse osteoporosis

Generally, disuse osteoporosis presents as a diffuse osteopenia seen throughout the disused body part. Lucent bands of osteopenia may be seen just proximal to the physeal line. Following an extremity injury and immobilization, the injured extremity experiences a lack of normal stresses to the bone which can result in a pronounced osteoporosis distal to and including the area of injury.

17.7.2. Reflex sympathetic dystrophy syndrome

Reflex sympathetic dystrophy syndrome (RSDS, Sudeck atrophy) is a disorder of unclear etiology. It is characterized clinically by pain, vasomotor disturbances (vasospasm or vasodilatation) and trophic skin changes (skin atrophy, pigmentation abnormalities, hypertrichosis, hyperhidrosis and nail changes) and radiographically by regional osteoporosis in the affected area. The diagnosis of RSDS relies on the recognition of the classical clinical findings. The main radiographic findings are soft tissue swelling and regional osteoporosis.

17.7.3. Osteomalacia

Ostemalacia is the term used to describe inadequate mineralization of the osteoid, which is present. In children this presents as rickets, and in adults as osteomalacia. The two important differential diagnosis include disturbances of vitamin D metabolism and renal tubular phosphate loss. The classic findings of osteomalacia include decreased bone density, coarsening of the trabecular pattern and cortical striations, followed by cortical thinning as the disease progresses. In some cases of osteomalacia, collections of osteoid may build up to the point that these "seams" of osteoid may be seen on plain radiographs as linear lucencies oriented perpendicular to the cortical margin. If large enough, these "Looser's zones" or pseudofractures may help lead one to the diagnosis of osteomalacia.

17.7.4. Hyperparathyroidism

The primary form is due to a hyperfunctioning parathyroid gland, usually an adenoma. However, since the advent of hemodialysis, a far more common cause for hyperparathyroidism is the secondary form, due to chronic kidney disease, especially glomerular disease. The skeletal disease seen in these patients is usually referred to as renal osteodystrophy.
Once enough bone has been resorbed from the skeleton due to elevated parathormone levels, one may see diffuse skeletal osteopenia. This finding is extremely nonspecific. A far more specific finding is the presence of subperiosteal resorption, which is practically pathognomonic for hyperparathyroidism.

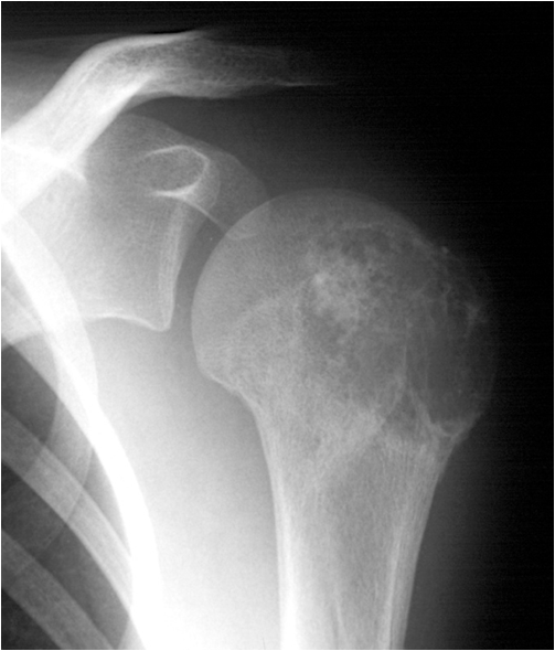
17.8. Bone tumors

The most important thing to determine about a primary bone tumor is whether it is benign or malignant. Benign tumors do not have an aggressive appearance. They are slow growing lesions with a definite geographic appearance, well defined sclerotic margin or no sclerosis at the margin but clear-cut definition of the interface between the lesion and the normal bone. Benign lesions tend to respect the normal bone architecture. Nonaggressive lesions may expand and thin the cortical bone but usually stay confined to the host bone.
In more aggressive lesions the margins become poorly defined, lesions may show a moth-eaten pattern or even a permeative, diffuse bone destruction and lesions will take a more spherical shape and will not respect bone architecture. Some tumor will permeate through the cortex and periosteum and will have a large soft tissue component.
Metastatic lesions are often multiple and present in a patient with an already known malignancy elsewhere. Nevertheless, when a solitary aggressive lesion with ill-defined margins and permeative appearance is seen in a middle age or older individual is seen, metastatic malignancy must be considered more likely than a primary bone tumor. Most metastatic tumors are osteolytic; however, adenocarcinoma of the prostate most frequently manifests as osteoblastic. Breast cancer metastasis will sometimes present as blastic lesions as will some lymphomas, particularly Hodgkin’s disease. An initially osteolytic lesion may convert to osteoblastic under the influence of radiation or chemotherapy.
A nuclear medicine bone scan is the method of choice in evaluating for the presence of bone metastasis in a patient with a known primary such as bronchogenic or breast carcinoma. A bone scan has a greater sensitivity and areas which are “hot” on the nuclear study can then be evaluated with conventional x-ray examinations.

Differential Diagnosis of Solitary Lucent Bone Lesions

  • Metastasis / Myeloma
  • Eosinophilic Granuloma / Enchondroma
  • Solitary Bone Cyst


  • Aneurysmal Bone Cyst
  • Giant Cell Tumor
  • Non-ossifying Fibroma
  • Fibrous Dysplasia
  • Osteoblastoma
  • Chondroblastoma / Chondromyxoid Fibroma
  • Hyperparathyroidism (brown tumors) / Hemangioma
  • Infection

 
Patient age is important to narrow the potential differential diagnosis of a bone tumor. The table gives a rough scheme relating bone tumors with patient age.
Table: Typical bone tumors and age groups.

Age
Tumor
1 – 10 év
Ewing’s sarcoma
10 – 30 év
Osteo sarcoma, Ewing’s sarcoma
30 – 40 év
Fibrosarcoma, parosteal osteosarcoma, malignant giant cell tumor, lymphoma
> 40 év
metastatic carcinoma, multiple myeloma, chondrosarcoma

If a lesion is growing slowly then the bone will retreat from the lesion but new bone around the margins of the lesion will be created producing a sclerotic and usually distinct margin around the lesion. If the process grows more rapidly surrounding bone may only have time to retreat without building this sclerotic rim. Solitary lucent lesions in bone with a distinct margin are generally called "geographic" lesions, whether or not they have a sclerotic rim.
If the process grows more rapidly the boundary between normal and abnormal bone may be lost with only a very ill-defined pattern of lucency, caused by small, irregular holes in the bone. This indicates an extremely aggressive growth pattern, also called a "permeative" pattern. The most common malignancies that display a permeative pattern are metastases, myeloma, primary histiocytic lymphoma, and Ewing's sarcoma.

Fig. 17. Lodwick classification for description of solitary lucent bone lesions.
IA - slowly growing tumor - sharp lesion with sclerotic margin, usually benign.
IB – slowly growing tumor – geographic lesion without sclerotic margin, thinning of cortex possible.
IC – faster growing tumor – ill-defined but geographic lesion, cortex destruction possible.
II – fast growing lesion – no geographic pattern but rather a moth-eaten appearance with infiltrative pattern, malignant tumor.
III – very fast expanding tumor – tumor does not respect bone structure or margins, the infiltration has an aggressive “permeative” pattern.

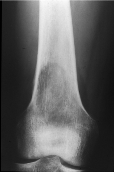
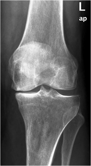
Fig. 18. An osteosarcoma is seen as an ill-defined lesion with a permeative pattern of bone destruction with cortex involvement in the distal metaphysis of the femur.

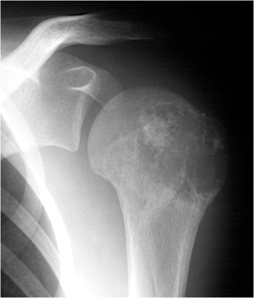
Most expansile, lucent lesions are located in the medullary space of the bone. A good way to further describe a lesion is noting its relationship to the physis. Many lesions have predisposition in specific parts of the bone, which reflects their “original tissue”. For example, a chondroblastoma will arise in the epiphysis whereas an osteosarcoma usually originates from the metaphysis. Round cell lesions like Ewing’s sarcoma are typically seen in the diaphysis.
Another way to further characterize bone tumors is to search is looking at tumor associated matrix. Matrix is produced by osteoblasts and chondroblasts and usually is the basis for new bone or cartilage formation. Matrix produced by tumors is usually quite abnormal and does not ossify properly. The matrix produced by bone tumors may help to classify a lesion as cartilage producing tumor (enchondroma, chondrosarcoma, chondromyxoid fibroma, etc.) or bone-producing tumor (osteoma, osteoblastoma, osteosarcoma, etc.). Chondroid matrix tends to produce small punctate or swirled areas of calcification. Osseous matrix is dense and confluent. Some lesions show little or no calcification in their matrix (fibrous dysplasia, fibrosarcoma, malignant fibrous histiocytoma, solitary bone cyst, etc.).

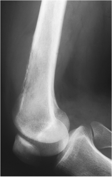
Fig. 19. Chondrobastoma: An expansile lesion involving theepiphysis, physis and metaphysis of the humerus is depicted. The lucent lesion shows cortex destruction and spotty matrix calcifications.

As opposed to lucent lesions with we must consider sclerotic lesions.
A lesion is called sclerotic if it is more dense or radiopaque than surrounding bone. These lesions generally indicate a slow-growing process. Bone reacts to its environment in two ways — either by removing some of itself (usually in rapidly progression lesions) or by creating more bone (bone has time to form a sclerotic area around the lesion).

Differential Diagnosis of Sclerotic Bone Lesions

  • hemangiomas
  • infarct
  • stress fracture
  • chronic osteomyelitis
  • osteoma
  • osteosarcoma
  • prostate cancer
  • breast cancer
  • Vitamin D toxicity
  • Fluoride toxicity
  • hyperparathyroidism
  • osteopoikilosis
  • osteopetrosis
  • Paget's disease

 

17.8.1. Plasmacytoma

Plasmacytoma is a malignant plasma cell tumor predominantly growing from the red bone marrow. Plasmacytoma is he most frequent malignant bone tumor. The primary solitary plasmacytoma is less frequent than the multilocular disseminated form (multiple myeloma). Most frequent locations involved by multiple myeloma reflect the distribution of red blood cells: spine, pelvis, skull, ribs and proximal long bones. The diagnosis is made by immunoglobulin electrophoresis and bone marrow biopsy. Bone involvement is searched for by imaging the axial skeleton, skull and proximal long bones. This can be done by conventional x-ray films, however, low dose CT has replaced conventional radiography in the initial staging of plasmacytoma in recent years due to its better performance. Especially the detection and characterization lesions in spine and pelvis is much more reliable when it is based on cross sectional imaging.
Nuclear bone scan will usually not show an increased uptake. If a lucent bone is seen on conventional x-ray with uptake in bone scintigraphy then plasmacytoma will be the most likely diagnosis. MR imaging is quite sensitive in detecting bone marrow involvement on T1 weighted and STIR sequences.

17.8.2. Fibrous dysplasia

This idiopathic disorder is due to excessive proliferation of the spindle cell fibrous tissues in bones. Although this process may occur rarely in the cortical bone, most cases originate in the medullary space. Therefore, most cases present as bony enlargement with the process seeming to arise from an expanded medullary space.
The main clinical significance of this entity depends upon exactly which bones are affected. These bones will exhibit deformity, enlargement, and pain. Occasionally, pathological fractures will develop, and malignant transformation to osteosarcoma is seen rarely (< 0.5 %).
Two forms of fibrous dysplasia are seen in general radiologic practice: the conventional form (Jaffe-Lichtenstein syndrome) which may be monostotic or polyostotic, and a polyostotic form associated with precocious puberty and café au lait spots (McCune-Albright syndrome).

17.9. Vascular disorders

17.9.1. Osteonecrosis

Osteonecrosis represent non-vital bone. Synonyms include aseptic necrosis, avascular necrosis, bone infarction and ischemic necrosis. The terms "aseptic" or "avascular" necrosis is used when juxtaarticular areas are involved or entire bone necrosis is discovered. The term bone infarct is usually applied to metaphyseal or diaphyseal involvement.
Osteonecrosis is multifactorial in etiology and can involve different areas and bones. Some predelictions do exist.
Osteonecrosis needs to be present for some time before it can be detected on plain radiographs. Early in development an ill-defined mottling of the trabecular pattern is seen. The late findings of osteonecrosis depend upon its location within the bone. If the lesion occurs in the medullary space well away from the joint, one eventually may see the classic pattern of dense, serpiginous calcification. However, if the necrosis occurs in the subchondral bone, a different pattern usually emerges. Once the osteonecrosis has been present for months, microfractures will accumulate in the dead bone to the point that one may see developing subchondral fractures. This may lead to a discontinuity in the subchondral line, or in some cases, to the "crescent sign", which represents a fracture between the subchondral line and adjacent necrotic bone. As living bone reacts to the presence of adjacent dead bone, a thick sclerotic zone may develop along the "no-man's land" between the living and necrotic bone.

17.10. Developmental disorders

17.10.1. Achondroplasia

Classic achondroplasia is an autosomal dominant disorder, and is compatible with a long life span. Most cases of achondroplasia are due to mew mutations, rather than inheritance from a parent.
Achondroplasia is a disproportionate type of dwarfism characterized by shortened extremities and rather unaffected spine and skull. The primary problem is a generalized defect in enchondral bone formation resulting in significantly impaired growth in length. The characteristic shape of the skull and face in achondroplasia reflects this fact. The calvarium is modelled on membranous bone, and its size is a reflection of brain size. These people have brains of normal size, so their calvaria are likewise of normal size. The face and skull base, on the other hand, come from enchondral bone and end up relatively small, in comparison to the skull. The foramina of the skull base and spine and the spinal canal are often small, which may lead to prominent neurological problems and spinal stenosis. The metapysis of long bones are broadened and diaphysis is shortened and deformed.

17.10.2. Osteogenesis imperfecta

This inherited, generalized disorder of connective tissue is characterized by abnormal maturation of collagen. It affects the skeleton, ligaments, skin, sclera, and teeth. Clinical signs are blue sclera and odontogenesis imperfecta. Furthermore, impaired periosteal and endosteal new bone formation results in generalized osteoporosis with skeletal fragility. Growth retardation occurs in most cases. The patient’s short stature, however, does not only reflect impaired bone growth but also deformities secondary to multiple fractures in the fragile bones. Excess callus formation and pseudarthroses may also be seen.
Despite increasing numbers of patients with renal failure, the incidence of renal dystrophy is decreasing due to better understanding of the underlying metabolic process and preventive treatment.

In summary

These were to most important aspect of musculoskeletal imaging concerning traumas, degenerative-, inflammatory diseases and tumors. The role of radiologists (among other physicians) is crucial in the early diagnosis of osteoporosis which is an endemic, but also in the diagnostics of tumors.


Site Language: English

Log in as…