Loading...
 
PDF Print

Imaging of abdominal parenchymal organs

14. Imaging of abdominal parenchymal organs

(liver, biliary ducts, gallbladder, pancreas, spleen)

Authors: Attila Kollár, Kinga Karlinger

Semmelweis University Department of Radiology, Budapest

 

Aim of the chapter:

To get to know the examination methods for the diseases of the abdominal parenchymal organs, their normal values in the depiction of the parenchymal organs based on physics, and their place in the diagnostic algorithm. All of these are demonstrated through the most often/important diseases/abnormalities of each organ, to give a good practical guideline for the referring physician.

14.1. Liver

- Normal anatomy and variations
The liver is the biggest human abdominal parenchymal organ. It weights between 1500 and 1600 gramms in case of an adult of average built.
The liver is located in the right hypochondrium, under the diaphragm. The lateral margin of the left lobe reaches the inception of the small gastric curvature in a normal case. However in case of a variation, the liver can also extend under the left diaphragm contour superior or anterior to the spleen. The caudal margin of the right lobe extends to the margin of the middle and lower thirds of the right kidney in case of a normal liver size. This margin can change if developmental abnormality or locational variation is present.
A frequent shape variation occuring usually in women is called Riedel lobe, in which the lateral pole of the right lobe flags caudally. The isolated hypertrophy or the lessening of the left lobe can rarely occur, without any particular pathological background. Multiple fissures can develop mainly on the right diaphragmatic surface corresponding to a shape variation. Situs inversus is an extremely rare developmental variation, indicating a left-sided liver located under the diaphragmatic contour in the left hypochondrium.
Due to its special physiologic function and anatomical structure (dual blood supply: hepatic artery, portal vein) its complex imaging consists of various methods.
The knowledge of the liver segmental anatomy (segmental classification by Quinaud – figure 1) is necessary in the accurate marking and localisation of the intrahepatic lesions.
In addition, the accurate cognition of various arterial blood supply variations (hepatic artery system) is very important by the planning, performance and adaptation of both surgical and interventional oncoradiological (TAE, TACE) treatments.

Figure 1.: Schematic segmental anatomy of the liver

 

14.1.1. Imaging methods of the liver and the biliary ducts

14.1.1.1. Conventional radiograph

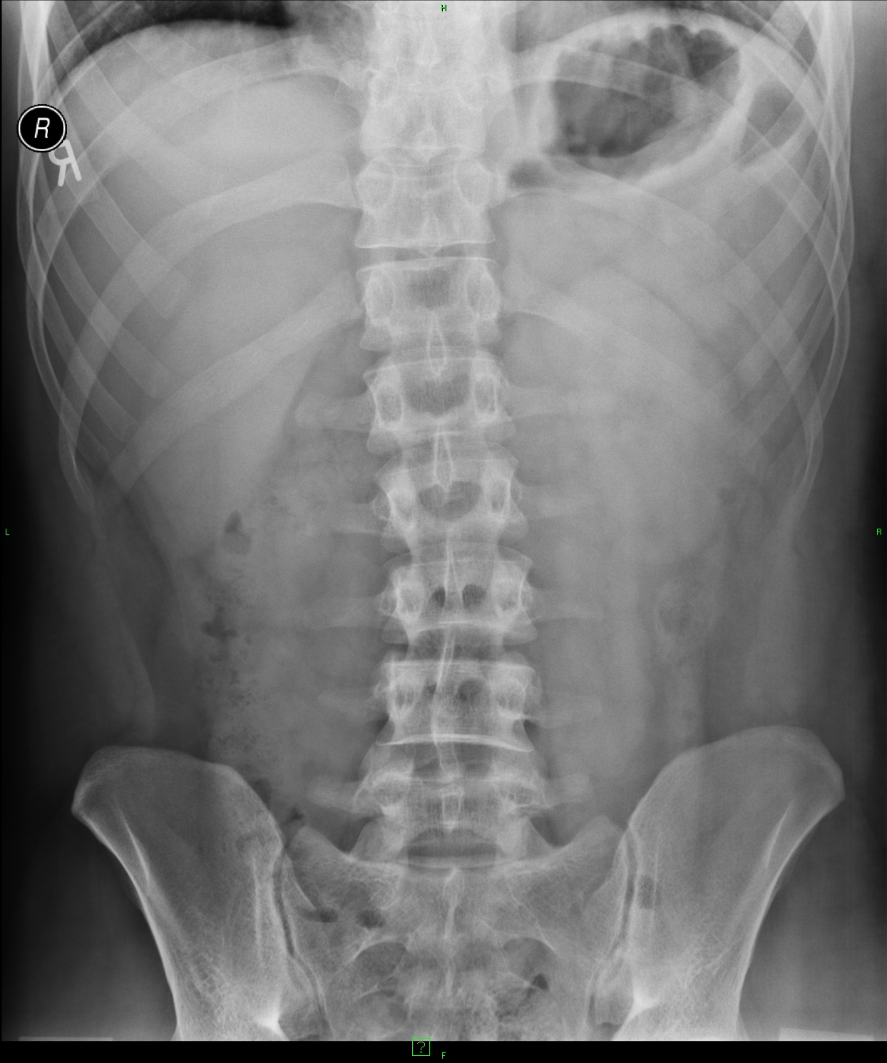
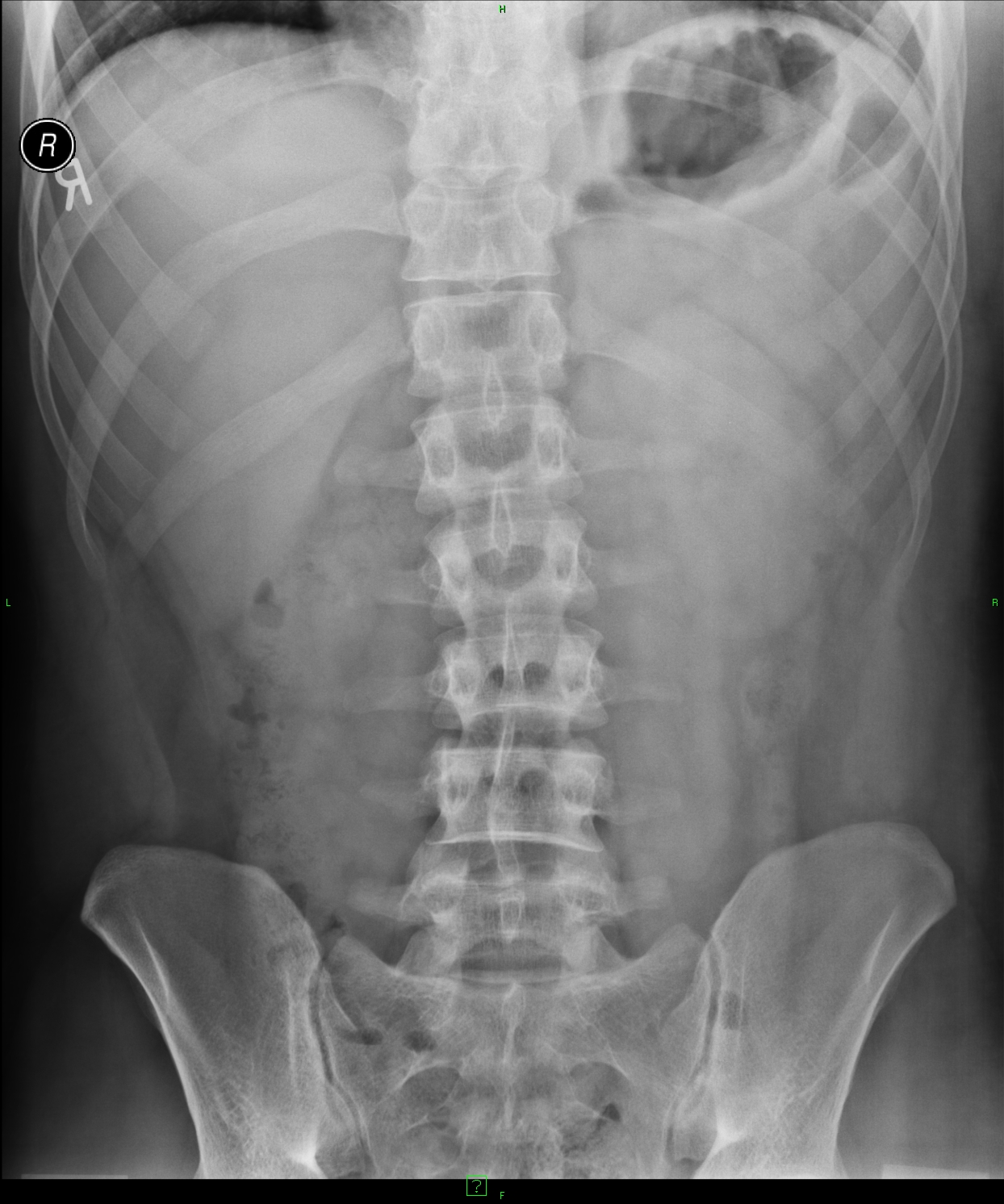
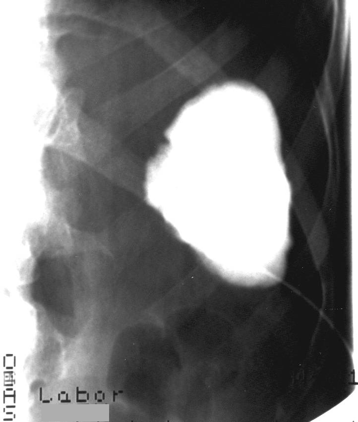
In a typical case, the liver shadow is located under the diaphragm on the right side on the conventional abdominal radiograph. (Figure 2) .

Figure 2.: Hepatomegaly, native abdominal X-ray

Since it is a parenchymal organ, a sort of circumscribed radiographic abnormality can be only seen on its projection, if the beam absorbance or the beam transmission of the abnormality is notably different. An Echinococcus cyst bearing with a calcified wall, a calcified gall stone, or possibly a porcelain gallbladder can appear as such a beam absorbing lesion. The beam transmitting gas bubbles can refer to gas inside the biliary ducts (normal postoperative situation or pathologic abnormality, eg. in case of gallstone ileus) and probably to gas bubbles inside a liver abscess due to their shapes, locations and amounts.

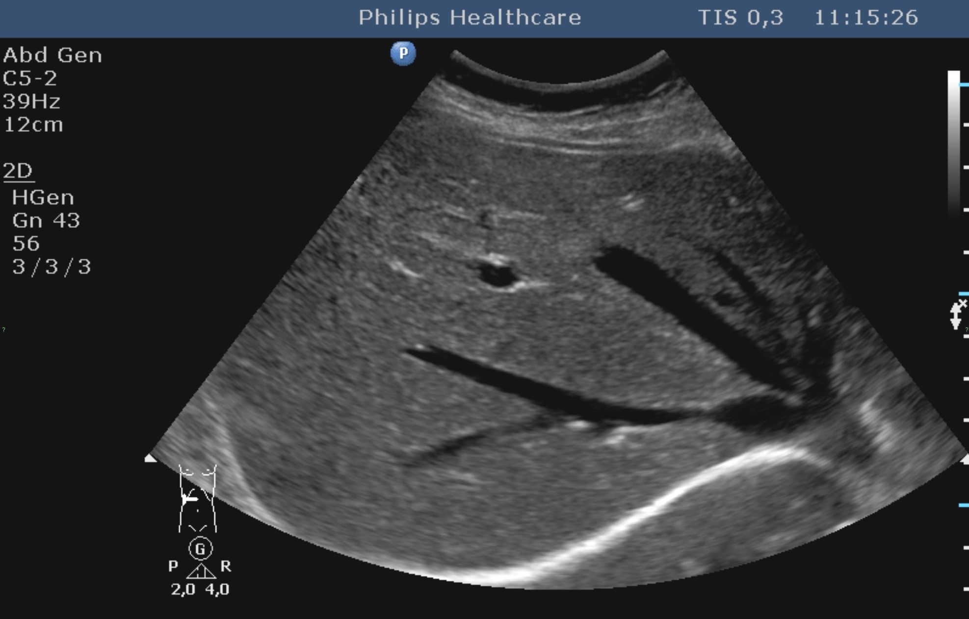
14.1.1.2. Ultrasound

Using an accurately set and good resolution ultrasound (US) device, it is considered as a very sensitive imaging method. However, it is a non-specific and – similarly to other US examinations – very operator-depending method.
The specificity of the contrast enhanced US examinations is relatively similar to that of CT and non hepatocyte-specific contrast enhanced MRI.

It is important to note that using a top category device, a better qualified radiologist, who has a better imaging experience, can gain significantly more additional information in case of a repeated US examination of a certain intrahepatic lesion (accordingly, CT is definitely not the next step…!). This special, unknown and unadopted way of the progressive patient care would be essential to consider.
The US examination is an indefinitely repeatable, easily accessible, relatively cheap method. The value of the standard examination (2D, real-time US) can be advanced notably by color duplex US. In case of nodal liver diseases and pathologic circulation circumstances, the specificity can be raised especially by contrast enhanced US examination. The flow direction (color) and intensity (doppler spectrum) can be determined accurately in certain diseases considering the intrahepatic arteries and veins.
In the report of a liver US, its size, shape, echo structure, shape variation, possible focal lesions and obviously, the adjacent lesions around the liver must be declared as well.
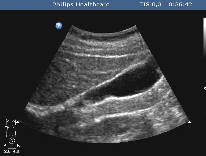
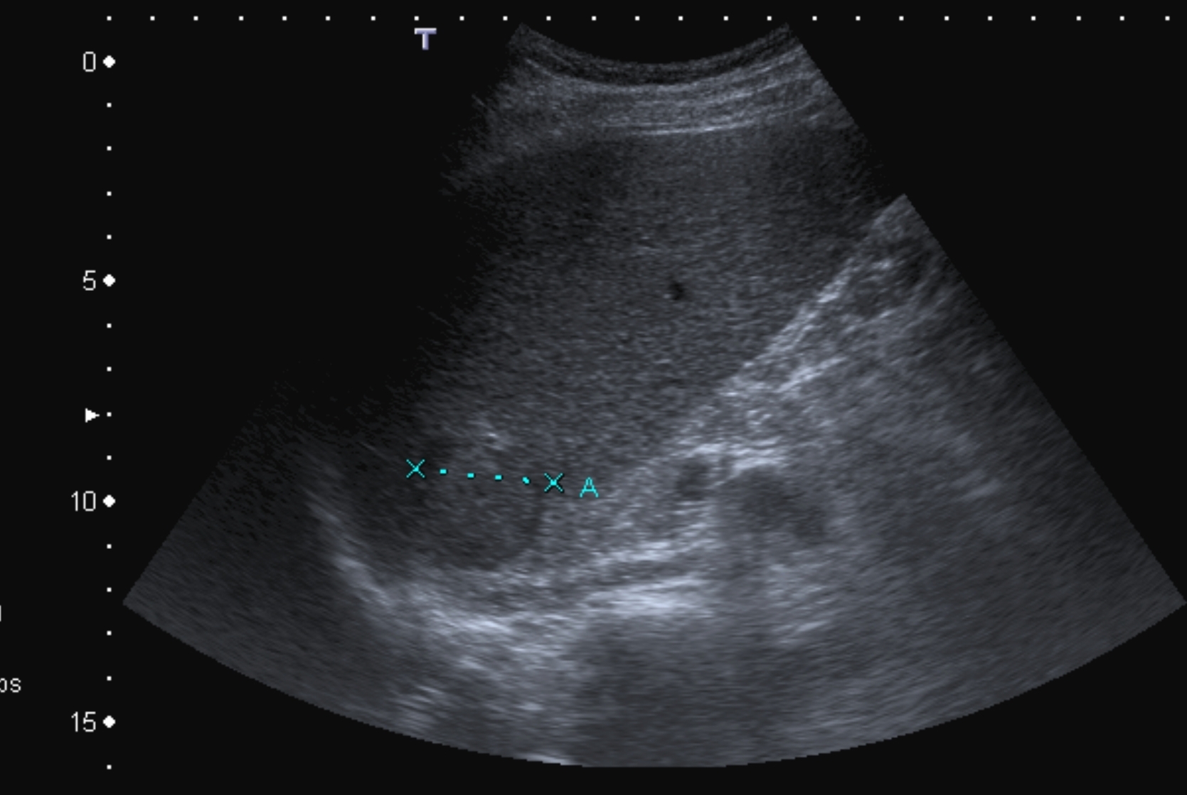
The echogenicity of the normal liver tissue is mildly hyperechoic (Figure 3) due to the intrahepatic connecting tissue structures, small veins, arteries and bile ducts (its echogenicity is principally comparable with the adjacent normal right kidney cortex, the liver has a bit hyperechoic structure than the right kidney, and its echogenecity is principally the same as the spleen's).

Figure 3: Normal liver, 2D US image

The portal vein and its branches have hyperechoic walls which can be easily differenciated in the liver structure. The walls of the hepatic vein branches have remarkable less echogenecity. The normal diameter intrahepatic bile ducts and the smaller liver arteries cannot be imaged and observed. The wall of the hepatic ducts and the main biliary duct (ductus choledochus) is also moderately hyperechoic. The hepatic hilum consists of the „double barrel” configuration (main biliary duct – portal vein, inbetween the cross-sectional view of the hepatic artery trunk) in the typical anatomical location, using an appropriate longitudinal plane.
The complex abdominal US examination is performed by a 3-5 MHz convex ultrasound probe, usually starting with the US imaging of the liver from subcostal direction in deep inspiration. In case of anatomical variations, upward displacement of the diaphragm, unappropriate breathing cooperation and postoperatively (eg., upper abdominal drain), the intercostalis imaging can be very important.
The anatomical structural unit of liver, bile ducts and the gallbladder will be adjudged and reported afterwards.

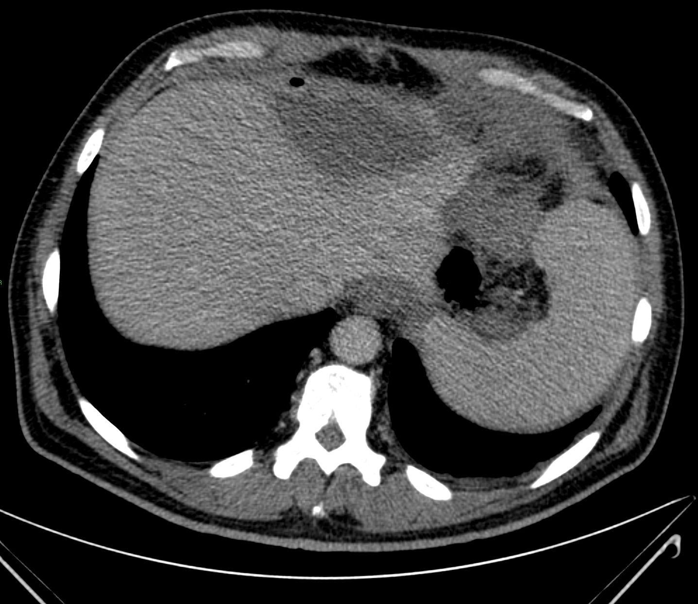
14.1.1.3. CT

Nowadays, CT is a basically important method amongst the modern diagnostic imaging services. (Figure 4) By the application of the multidetector CTs a chance is given to perform multiphase (without contrast, arterial, portal and late phase) CT scans, which provide important additional information because of the different hemodynamics of certain intrahepatic nodules. Multiplanar (sagittal, coronal, oblique) and 3D reconstructions can be adopted from the axial plane CT slices. Due to CT angiographic techniques, excellent spatial resolutional 3D reconstructional images can be performed both on the arterial (hepatic artery) and the venous sides (portal vein, hepatic veins, collateral veins in case of portal hypertension, CT control of transjugular portosystemic shunts)..

Figure 4. Liver, contrast enhanced CT, venous phase

 

14.1.1.4. MRI

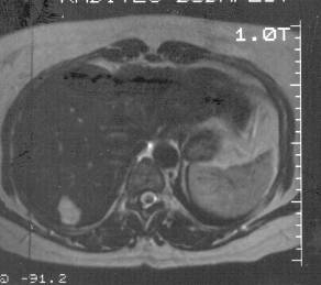
In multiple cases if the exact diagnosis could not be made by US and CT, MRI examination can be necessary. (Figure 5)

Figure 5: Liver, T2 weighted MRI

MRI can be applied especially in children and young adults – also in order to replace the CT scans due to its unneglectable radiation exposure. Following US examination, in case of a known contrast allergy, pregnancy or denial of intravenous contrast administration additional imaging information can be gained by MRI. However it is important to note that biopsy usually precedes (correctly) the MRI. Nowadays, MRI scans of the abdominal parenchymal organs are infrequently performed only in dedicated cases due to the above mentioned reasons in foreign large diagnostic centres (unless in case of scientific motivation).
Good news that MR cholangiopancreatography (MRCP – Figure 6) plays an increasingly more important role in the biliary duct imaging since MRCP provides nearly the same image quality as ERCP. In addition, it is extremely important to note that the non-invasive MRCP does not accompany with complications such as pancreatitis or cholangitis which occur in an unneglectible percentage during the ERCP.

Figure 6: MRCP (Magnetic resonance cholangiopancreatography)

 

14.1.1.5. Angiography

The CT-angiography and MR-angiography methods take nowadays over from the diagnostic selective catether hepatic angiographies. The catheter angiographies are performed in case of therapeutic (TAE – Figure 7, TACE, chemoperfusion) interventions and the traumatic liver injuries (selective embolisation) on these fields.

Figure 7: TAE (Transarterial Embolisation) of the liver with Lipiodol

 

14.1.1.6. Endoscopic retrograde cholangiography, cholangiopancreatography (ERC, ERCP)

This method implies the retrograde contrast filling of the biliary and pancreatic ducts from the papilla of Vater performed usually by gastroenterologists under a fluoroscopy guidance. (Figure 8)

Figure 8: ERCP (Endoscopic retrograde cholangiopancreatography)

It is very important to note that bacteria can ascend to the basically sterile biliary ducts from the duodenum during the retrograde contrast administration developing cholangitis, therefore, the intervention must be always performed with antibiotic protection. Following the contrast administration, specific radiographic images must be performed in different projections in order to image the possible filling excesses, filling defects or biliary duct stenoses properly. In 5-15% following the procedure, mild or severe pancreatitis can also develop. Thus, ERCP must be handled as studiously invasive intervention and it should be only performed in case of an established clinical decision. Directly following the diagnostic procedure, therapeutic interventions can be also performed through the working canal of the endoscopic device in necessary situations (papillotomy, stone extraction, mechanic stone comminution, biliary duct stent implantation).

14.1.1.7. Percutaneous transhepatic cholangiography (PTC)

The percutaneous contrast filling of the biliary ducts can be necessary if no reassuring diagnosis was made by US, CT or MRI scans, or the ERCP implementation was unsuccessful due to a technical obstacle (Billroth II. gastric resection, choledochojejunostomy), or the canulation of the papilla of Vater was technically failure. PTC can be only performed in case of appropriate bleeding or coagulation status. (Figure 9) .

Figure 9: PTC (Percutaneous transhepatic cholangiography)

Significant amount of free abdominal fluid is also a relative contraindication. In the course of PTC, the liver punction is usually performed in the 9th or 10th rib spaces under fluoroscopic guidance using a 22 G Chiba needle. The punction should be guided towards the liver hilum. US guidance is helpful in the easier puncture of dilated or even peripherially located biliary ducts. The entire biliary system can be filled through this puncture. Following the diagnostic biliary duct contrast administration – after a previous consultation – bridging of the detected biliary stenosis can be performed (PTC-PTD, biliary duct stenting). Moreover, percutaneous stone extraction can be carried out if necessary.

14.1.1.8. Nuclear medicine

The role of colloid liver scintigraphy (intravenously administrated 99mTc-marked radiocolloid) has been clearly dropped in the past 15-20 years because its spatial resolution can not reach the modern applicable resolution of US and multidetector CT devices.
The blood-pool scintrigraphy of 99mTc-marked red blood cells helps by planar detection in the non-invasive diagnostic imaging in case of larger and superficial located cavernous hemangiomas (6-9 cm). The 99mTc-marked red blood cell (RBC) SPECT (Figure 10) can also detect the smaller and deeplier located (2-3 cm large) hemangiomas as well.

Figure 10: SPECT of the liver

In case of the clinically suspicious liver or subphrenic abscess – if the US and CT findings are doubtful – leukocyte scintigraphy may be also helpful in the diagnosis.

14.1.1.9. Hybrid imaging modalities, PET/CT

If the Positron Emission Tomography and Multidetector CT images are performed exactly in the same set and will be superprojected, a quite accurate localisation of metabolically active, pathological liver lesions can be managed. The administrated PET radiopharmacon (fluorodeoxyglucose, FDG) gets stuck in the hypermetabolic (glucose uptaking) cells marking accurately these hypermetabolic areas. (Figure 11)

Figure 11: PET/CT of the liver, HCC

Concerning the liver in the oncologic field, PET/CT technique plays a very important role in the detection of metastases.

14.1.2. Diffuse liver diseases

The concept of diffuse liver disease is an ultrasound-morphologic appearence indicating a sort of disease. However, this is non specific, the sort of the illness can only be certified by biopsy. Diffuse liver disease alters the reflection, reduction, homogenicity and vessel structure of the parenchyma. In addition, it can modify the liver's size and shape.
The reflection change indicates the modification of the acoustic echo amplitudes in the liver parenchyma, usually the amplitude increases. The diffuse decrease of the reflectivity can also happen rarely (acute hepatitis, leukemia, lymphoma, toxic shock, acut right heart failure).
In case of increased beam absorption or distal acoustic weakening, the far liver areas can only be imaged minimally or not at all if the usual amplification is applied. This can be usually corrected partly by the adjustment of the depth amplification.
Shape abnormalities include the rounded liver margin, surface incongruences (cirrhosis) and the hypertrophy of the left lobe or caudate lobe as well.
Most frequent reasons of diffuse liver diseases:

  • fatty liver
  • cirrhosis
  • chronic hepatitis
  • circulation disturbances
  • metabolic and storage diseases
  • diffuse miliary metastasis
  • leukemia, lymphoma

 

14.1.2.1. Fatty liver (steatosis hepatis)

The triglicerides accumulate in the hepatocytes. The parenchyma reflectivity and the beam absorption increases (Figure 12). The increase of the reflectivity is usually homogeneous, rarely inhomogeneous.

Figure 12: Fatty liver, small HCC, distal attenuation

Possible forms of fatty liver: diffuse steatosis or focal steatosis (focal deposition)
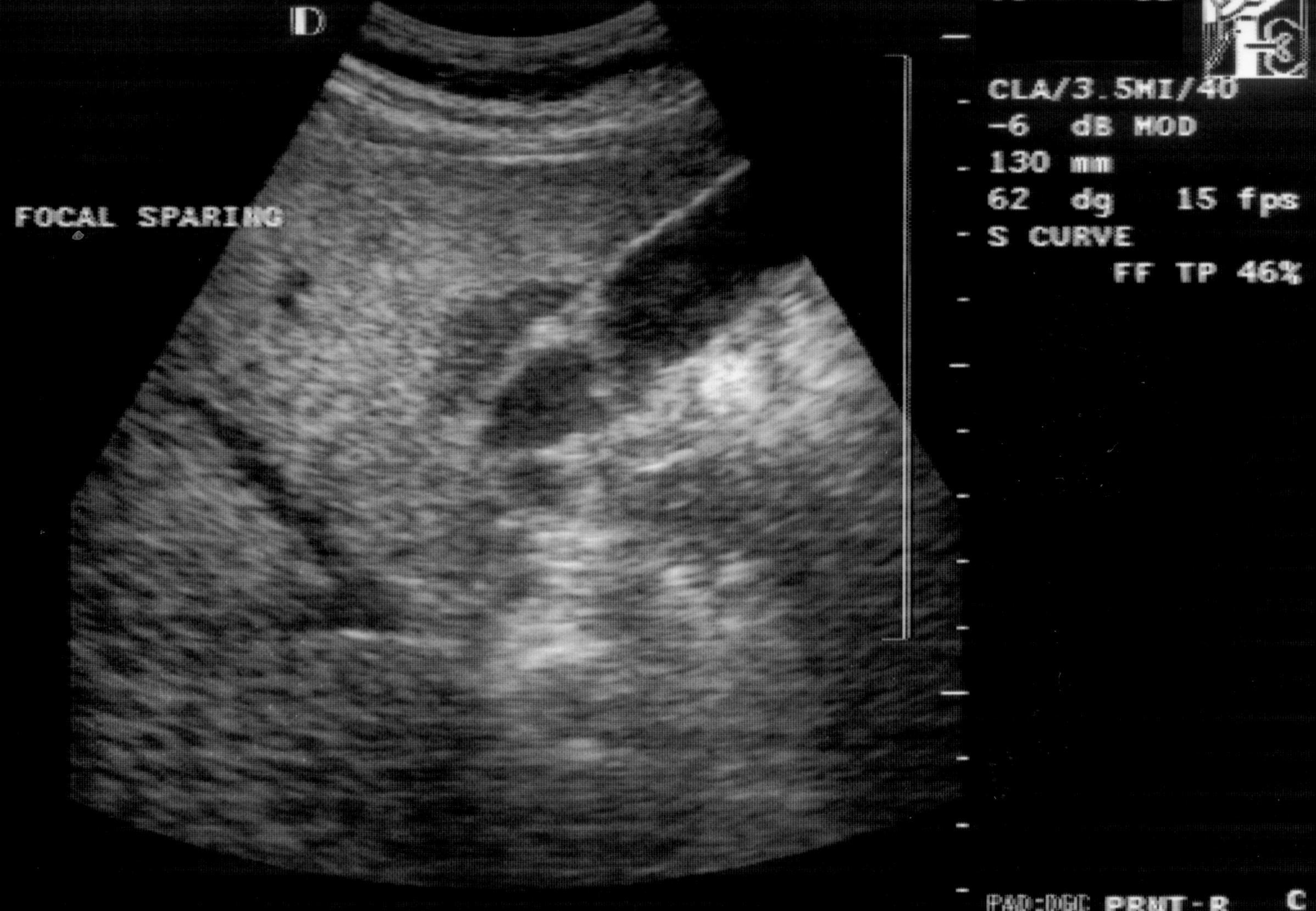
The focal forms develop due to the different perfusion statuses. It is characterized by no space occupying effect (no vessel displacement), and their appearence can change significantly during the check-up examinations. In the areas of decreased portal circulation (eg., ventral to the portal vein, next to the gallbladder) less fat is deposited, this area appears focally hypoechoic - focal sparing (Figure 13). In case of focal deposition, round, nodular or girland (chart-like) hyperechoic infiltration areas develop in the intact liver.

Figure 13: Focal sparing next to the gallbladder

MR is rarely performed as imaging the diffuse fatty liver. Preferably in case of an imaging of other reason can come to that the diffuse steatosis of the liver, which was shown to be fatty by conventional techniques, (higher T1 signal intensity, less T2 signal intensity as usual) will be imaged by fat suppression.
In addition, differentiation of focal deposits / focal sparings (next to the gallbladder bed, portal branches, lig.teres hepatis) is available, too. Essential to note that there is no mass effect.
(The exact extent of steatosis can be shown by proton spectroscopic imaging.)

14.1.2.2. Liver cirrhosis (cirrhosis hepatis)

No direct association among the extent of fibrosis, the degree of the dysfunction and the ultrasound morphology was detected, normal liver structure can be observed in case of an extended encephalopathy as well. The right lobe size can decrease, left lobe and caudate lobe hypertrophy develops. Lateral segment of the left lobe can increase besides the decrease of the medial segment's size. The fibrosis itself does not change the parenchyma reflectivity. Increased reflection can be observed if it accompanies with fat deposition as well. On the other hand, rough echostructure, inhomogenecity can be observed in the parenchyma due to the miliary (4-5 mm or smaller) regenerative nodules. Bigger nodules result extensive surface incongruences (Figure 14).

Figure 14: Liver chirrosis, nodular surface, ascites

The regenerative nodules can appear as moderately hypoechoic lesions, mimicing hepatocellular carcinoma which develops more frequently based on cirrhosis related to B and C viral hepatitis. The nature of the developing nodule can only be clarified by biopsy in some cases. Small amount of free abdominal fluid (ascites) can be imaged well by US. Signs of portal hypertension can be also recognised very well, however, the exact determination of the circulation statuses goes over the possibilities of the rutine US examination obviously. In this case, an accessory color duplex US examination using an appropriate top category device is necessary.

US features of portal hypertension:

  • portosystemic collaterals can be seen (umbilical vein recanalisation, caput Medusae, splenorenal shunts, gastric veins)
  • hepatofugal flow
  • pulsatile portal Doppler spectrum
  • dilation of the splenoportal veins
  • disappearence of caliber change of the splenic vein
  • compressed intrahepatic veins
  • pathologic Doppler curve of the hepatic vein
  • decreased portal flow speed
  • decreased portal flow blood volume
  • in postprandial situation, loss of portal flow increase
  • in postprandial situation, loss of RI increase during the examination of the hepatic artery

MR respects:
The fibrotic conversion weaves around the portal venous sinusoids in cirrhosis, leading to blood redistribution in the liver and in the abdomen by the incapacitation of the flow. The hepatic surface is often irregular, bumpy and characteristically the right lobe is more frequently affected as the left one and the caudate lobe, which ones respond by reactive hyperplasia to the reduction of the right lobar parenchyma.
Because of the fibrosis, the signal intensity is commonly moderately decreased on the T1-weighted images, but not on a constant way.
More importantly we can rely on the evaluation of the morphological lesions such as the nodular appearence of the liver parenchyma with the distorted vessels, enlarged caudate lobe and the secondary signs such as: dilatated collateral vessels (which can be imaged exquisitely by MR with signal void), splenomegaly and ascites.

MR angiography images the collateral and portal vessels replacing the invasive DSA. MRI is also suitable for the control of the surgically prepared portocaval shunts. Extension and degree of the ascites can be clearly imaged by MRI (T2-weighted images).
As a complication of the long-standing portal hypertension or in case of a definitive liver tumor by the formation of a direct tumor thrombus in the portal vein, portal vein thrombosis can develop. Accordingly, further cumulative portal hypertension, ascites and varices of various extent evolves.
The thrombotic portal vein can be fairly demonstrated by MR.

14.1.2.3. Viral hepatites

In case of acute hepatitis, the diffuse decrease of reflectivity can be observed. Development of the necrosis results inhomogenicity, small liver indicates a bad outcome. In case of chronic hepatitis, importance of the ultrasound examination includes the recognition of cirrhosis and hepatocellular carcinoma.

14.1.2.4. Haemochromatosis, haemosiderosis

In case of primary haemochromatosis iron is deposited in the liver (in the hepatocytes) and in various organs, which often leads to cirrhosis and portal hypertension.
In the liver of patients suffering from thalassemia and polytransfusion iron is deposited in the hepatic macrophages, the Kuppfer cells.

The reason of the very significant MRI signal intensity decline rely on the paramagnetic attribution of the deposited iron which causes the decrease of the relaxion time both in T1 and mainly in T2 (in extreme case the entire liver appears black on T2-weighted images). This effect is independent of whether the iron deposition is hepatocellular or incorporated by the macrophages (the above mentioned phenomenon can be employed for the measurement of the stored iron amount, if the method is well set, otherwise it can be influenced by many other factors: the original status of the liver, fibrosis, steatosis, etc, which cannot be parametrizated). Hopefully the liver biopsy will be replaced by it.

14.1.2.5. Glycogen storage disease

The glycogen storage diseases are frequently accompanied by the fatty infiltration of the liver parenchyma (and often leading to malignization) resulting very various images on the MRI.

With diffuse liver disease can be associated the

14.1.2.6. Budd Chiari syndrome

It is resulted by the intrahepatic obstruction of the main branches of the hepatic vein due to thrombosis (polycytaemia, oral contraceptives) or tumorous invasion of the vessels (hepatocellular carcinoma, renal carcinoma „prefer” to involve vessels).
In case of obstruction of the smaller branches, regenerative lesions and transformations occur in the liver. Because of the venous supply of the caudate lobe it is less affected compared to the other lobes, therefore it responds by hypertrophy.
Thrombosed vessels appear as signal intensity increase in the thrombosed vessels on MRI, in comparison with the open vessels with normal flow with low signal intensity.
The consequences of portal vein thrombosis are
portal hypertension,
ascites and
development of varices.
MRI images both the thrombosed portal veins and varices.

14.1.3. Appearence of parasites in the liver and the biliary ducts

14.1.3.1. Echinococcosis:

Echinococcus granulosus – appearence in the liver as an unilocular cyst,
Echinococcus multilocularis – as a multilocular cyst and a bizarre space occupying lesion in the liver.
The plants and drinking water infected by the eggs in the defecation of the definitive and the intermediate hosts (mainly the dog and the sheep) can be consumpted by the people. Therefore, embrios will hatch from the eggs in the gastrointestinal tract and can reach the liver and the lung crossing the bowel wall through the portal vein.
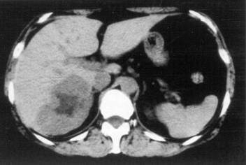
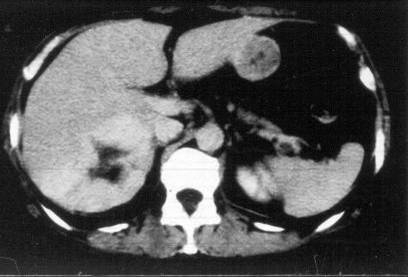
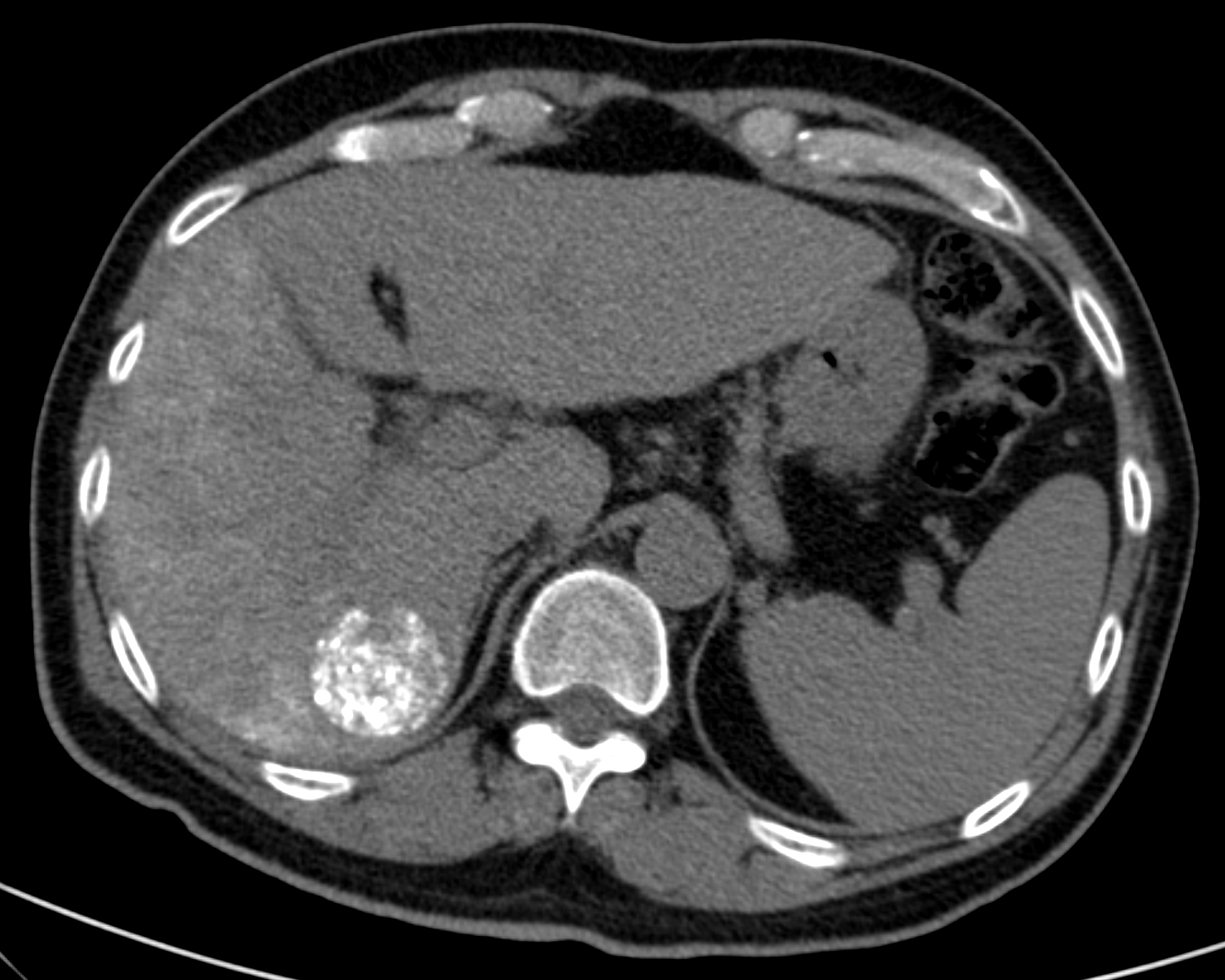
Very variable appearence forms can be observed by US and CT examinations from the early cyst in active phase to the cyst of the died parasite with a calcified wall (although the calcium appearing in the wall of the cyst does not mean that the parasite has unambiguously consumed) in case of an E. granulosus infection (Figure 15).

Figure 15: Echinococcus cyst in the liver, contrast enhanced CT

On the other hand, the liver parenchyma affected by E. multilocularis appears as areas with irregular contour and mixed echogenecity (US) or density (CT) including a hypoechoic (US) or hypodens (CT, this is already the necrotic area) necrotic center (multilocular cyst with inner matrix).

14.1.3.2. Schistosomiasis:

Depending on the severity of Schistosoma mansoni (endemic areas: Brasil, Venezuela) and S. japonicum (endemic areas: South China and Philippines) infection, periportal fibrosis and liver cirrhosis can develop. US shows portal vein branches with hyperechoic, thickened wall, CT images hypodens, ring-like periportal structures with extensive contrast enhancement.

14.1.3.3. Toxocariasis:

Toxocara canis spred by the dogs (rarely the T. cati spred by the cats) results an eosinophilic infiltration or granuloma in the liver and the lung. They perform a small movement in these organs (migrating visceral larvae). These liver lesions appear as multiple, oval lesions measuring 1-1,5 cm in diameter by CT and MRI. Best imaging by CT can be observed in the portal vein phase. Concerning its origin, no endemic areas are known, only sporadic cases are reported worldwide.

14.1.4. Focal liver diseases

The most commonly detected

14.1.4.1. Benign intrahepatic lesions:
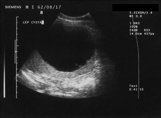
14.1.4.1.1. Cysta

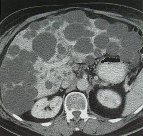
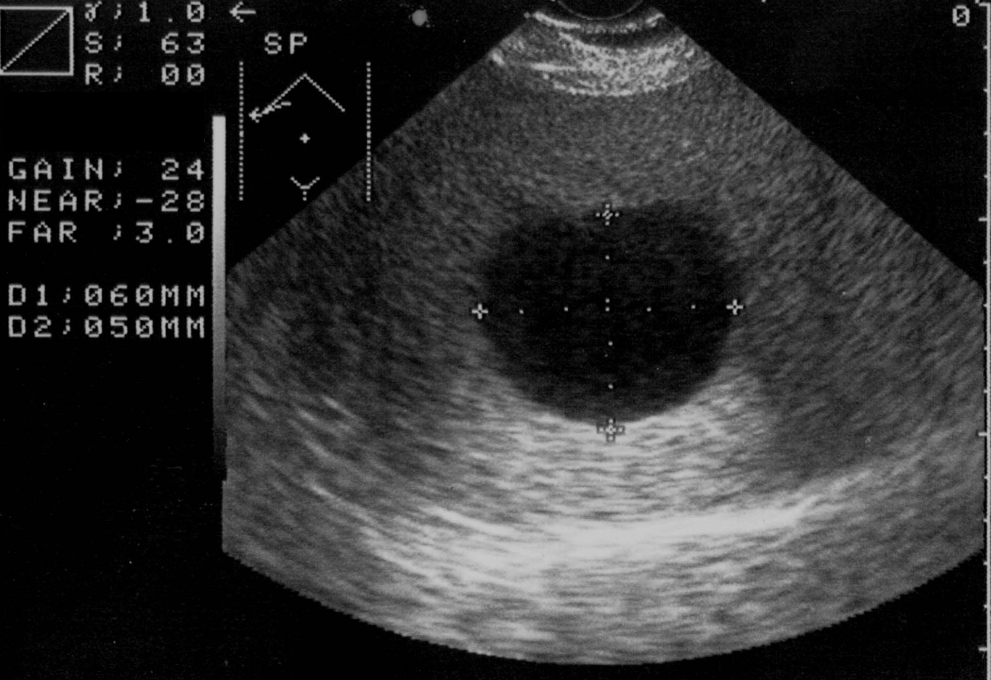
Typical appearence includes a well defined, anechogenic fluid-containing lesion with sharp margin. Usually thin septa can be included and wall calcification can be observed as well. Their size varies between 3 mm and 10-12 cm.
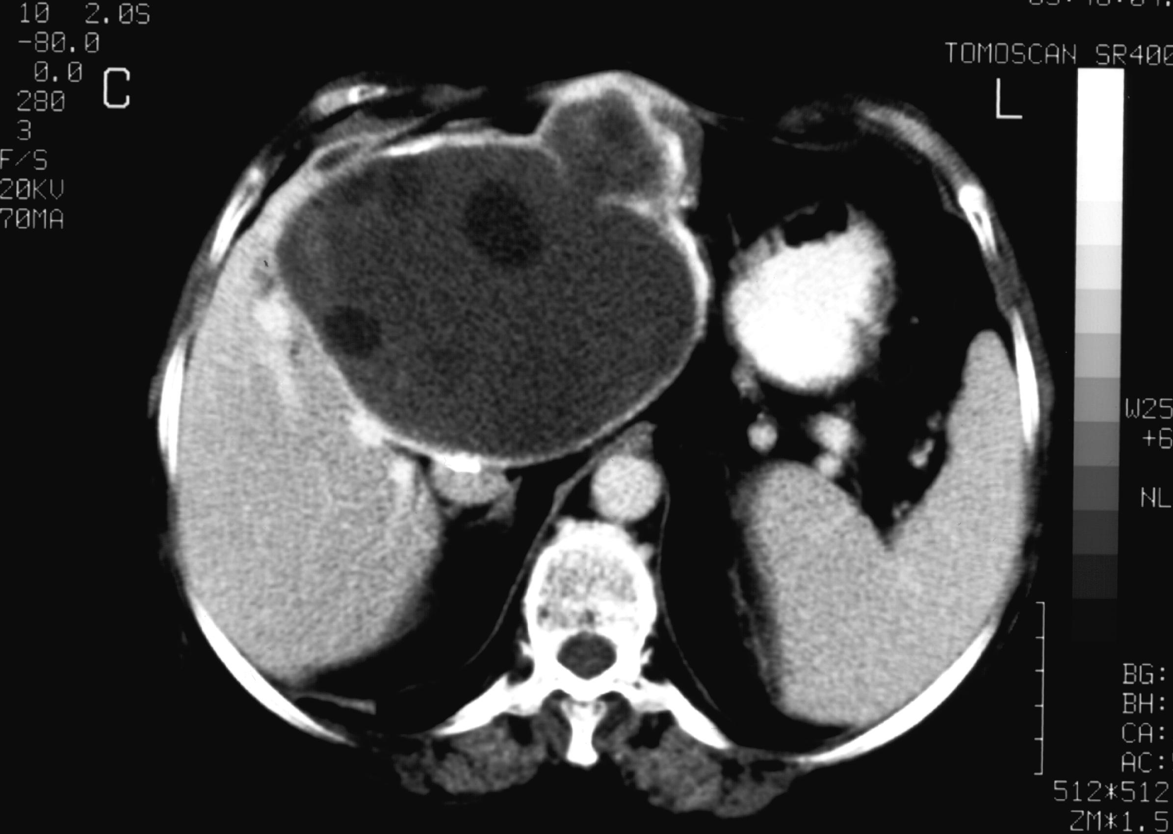
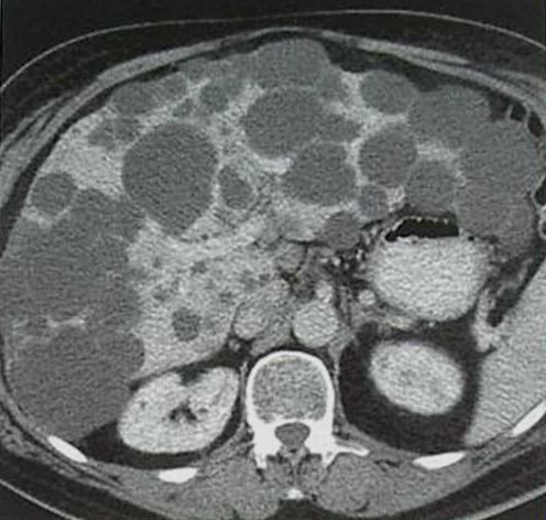
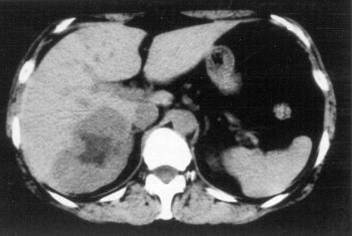
The simple cyst (Figure 16) indicates a difference from the multicystic liver only in the number of the cysts. Conversely, the polycystic liver (Figure 17) is an autosomal dominant inheritant disorder, in which the cystic conversion can be present in up to 70-80% of the liver parenchyma due to the large number of the cysts. It often accompanies with polycystic kidneys, whilst the entire polycystic syndrome – if also polycystic affection of the pancreas is also associated – occurs very rarely.

Figure 16: Simple liver cyst, US
Figure 17: Polycystic liver, contrast enhanced CT

Differentialdiagnostic difficulty is only given if the liver cysts show atypical appearence (its content becomes more hyperechogenic in US or more hyperdense in CT). In this situation, the differentiation from cystic tumor, metastasis or probably abscess is possible only if taking into account the clinical data and performing US or CT-guided punction.
MRI image shows a smooth contour characteristic to the cysts, which has low signal intensity on T1 and very high signal intensity on T2-weighted images. In case of a complicated cyst (fibrosis, condensation, hemorrhagia) various MRI signal intensities can be observed according to the complications.

Special determination is needed if the clinical features indicate the presence of Echinococcus cyst. In this case, serologic examinations have also an elemental importance. These disorders were discussed already in the parasitic liver diseases paragraph.

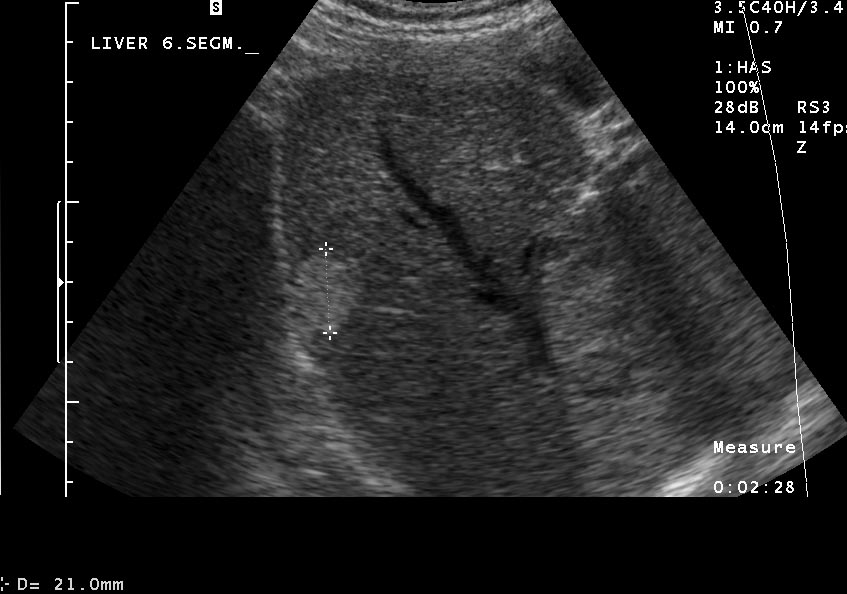
14.1.4.1.2. Hemangioma

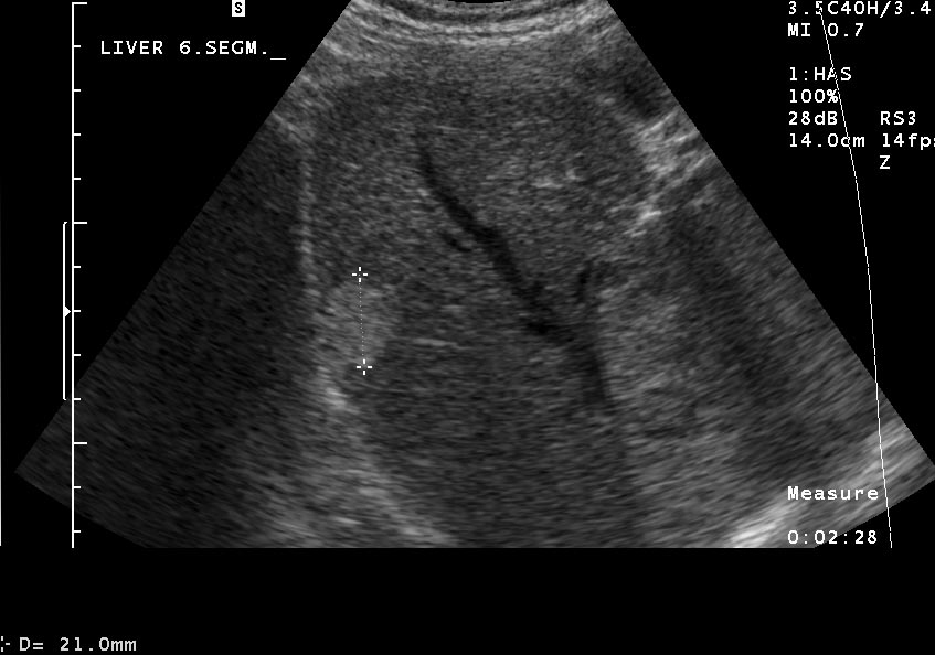
Typical apprearence includes a well defined, hyperechoic solide lesion measuring usually less than 2 cm in diameter (Figure 18).

Figure 18: Typical US image of a hemangioma in the sixth segment of the liver

In case of an atypical hemangioma (inhomogeous, mixed echostructure or hypoechoic appearence) additional imaging methods (multiphase MDCT, MRI) can be necessary, in addition in certain cases US guided biopsy can not be avoided in order to achieve the final diagnosis.
MRI is only needed in case of "atypical" hemangiomas, since ultrasound is the best imaging method for diagnosing the hemangioma. If the ultrasound finding is uncertain, dynamic CT (Figure 19, 20), afterwards nuclear imaging and biopsy are the appropriate choices.

Figure 19: Hemangioma in the liver, native CT
Figure 20: Hemangioma in the liver, contrast enhanced CT

Paraarterial or subcapsular localisation, central thrombosis or fibrosis may interfere with the safety of diagnostic evaluation. In this case, MRI can be performed which is very sensitive to hemangiomas (size under 0,5 cm is also indicated – figure 21).

Figure 21: Hemangioma in the liver, T2 weighted MRI

Hemangiomas appear as a bit lower signal intense lesions compared to the liver parenchyma on the T1-weighted images.
A very high signal intensity can be observed on T2-weighted images. T2 relaxation time fluctuation (the strength of signal intensity by T2) is affected mainly by the extent of thrombosis/fibrosis.
Dynamic contrast MR study can be also performed, which demonstrates the slowed flow dynamics of the hemangioma (similarly to CT): haemangiomas fill up from outside inward as an iris or wheelspoke form in case of typical appearence.

14.1.4.1.3. Focal Nodular Hyperplasia (FNH)

Significant female dominance can be experienced considering its prevalence (80:20%). FNH frequently occurs in young women who have been taking anticoncipients for a long time.
No typical US appearence can be mentioned, because it can be hyperechoic, hypoechoic and even isoechogenic compared to the intact liver tissue. If it is a bit hyperechoic than the adjacent intact liver parenchyma, it can be reliably detected by US and (not in each case) a hypoechoic central area (central scar) can be also observed. In a typical case, spoke wheel pattern can be shown in the tumor by color Doppler. These tumors are typically arterially hypervascularised and a dominant artery running towards the center of the lesion can be also observed. FNH cannot be differenciated often by US from the adjacent liver parenchyma; only the space occupying effect can be detected (moderate displacement, compression of veins, bile ducts). In these cases, a properly performed multiphase MDCT or MRI can have a diagnostic value (Figure 22). MRI shows on T1-weighted images that the signal intensity is isointense with the liver tissue, and only the vascular distorsion is the only sign which can draw attention to the present lesion.

Figure 22: FNH, contrast enhanced T1 weighted MRI, with intravenous gadolinium

On the T2-weighted sequence, the signal intensity may be slightly increased compared to the normal liver parenchyma. Because of the fibrotic attribute of the "central scar", low signal intensity can be observed on both weighting, but if colliquation necrosis is present inside (some attribute this to the dilated biliary ducts), high T2 signal intensity can be observed.

14.1.4.1.4. Adenoma

Also by these benign liver tumors, a female dominance can be observed concerning its prevalence, but not in as rate as by FNH (60:40 %).
Its on-time detection is very important, because they can bleed during their increase resulting serious consequences (parenchymal or intrabdominal bleeding).
No special morphology can be observed by US, however, a hypoechoic, avascular area with irregular contour inside the lesion can draw the attention to the bleeding.
In early arterial phase these lesions show an increased contrast enhancement as well, due to their hypervascularised feature from the direction of the hepatic artery, but there is no special sign (eg., central scar) as by FNH.
MRI shows usually a bit low signal intensity on the T1-weighted images. Pseudocapsule, if present, is hypointense on T1.
Adenomas have high signal intensity on T2-weighted images.
The signal intensity is inhomogeneous because of the contained fat tissue and necrosis. The hemorrhages inside the adenoma provide a very „colorful” image and their signal intensities depend on the age of the hemorrhages on T1 and T2-weighted series.
The following features distinguish the adenoma from FNH: inhomogeneity, fat content, hemorrhages and, if present, pseudocapsule.
The same features – except the fat content! - are not suitable to distinguish the adenoma from the hepatocellular carcinoma since the hepatocellular carcinoma can also bleed and pseudocapsule can be also sorround it.

14.1.4.1.5. Other benign liver tumors

Lipoma, pseudotumor, intrahepatic splenosis, and other benign liver tumor can be also observed intrahepaticaly, obviously less frequently compared to the previously mentioned lesions. Diagnostic difficulties may be resulted in these cases, and imaging method guided biopsy can be sometimes necessary in order to draw the conclusions considering the next therapeutic decisions.

The most frequent

14.1.4.2. Malignant intrahepatic lesions:
14.1.4.2.1. Metastasis

The most common malignant intrahepatic lesions are the metastases of various origin.
In the oncologic praxis especially in case of a patient with known colorectal, neuroendocrin or breast cancers, focused ultrasound examination of the liver has a special importance during the checkups.
US appearence and detectibility of the liver metastases can be very variable depending on the primary tumor. Sensitivity ranges between 53% and 84% according to various large studies.
- Characteristically hypoechoic liver metastases originate usually from:
Breast cancer (Figure 23), pancreatic cancer, testicular cancer, ovarial cancer, malignant lymphoma, carcinoid, gastrointestinal adenocarcinoma.

Figure 23: Metastases of breast cancer in the liver, contrast enhanced CT

- Characteristically hyperechoic liver metastases appear in case of the following primary tumors:
Colorectal adenocarcinoma, malignant melanoma, small cell bronchial carcinoma, teratoid carcinoma, gastric adenocarcinoma, certain part of breast cancers.
- Diffuse, infiltrative liver metastases can be observed:
In case of anaplastic carcinoma and purely differenciated tumors.
Besides these forms, metastases with mixed echostructure (containing both hyperechoic and hypoechoic areas) and cystic metastases with necrotic content can occur relatively often (Figure 24).

Figure 24: Metastases of a GIST tumour, US

The liver metastases of colorectal origin are usually characterised by a bit inhomogeneous hyperechoic structure sorrounded by a hypoechoic rim. (Figure 25)

Figure 25: Liver metastasis of rectal cancer, US

In the central area of bigger (4-6 cm in diameter) metastases necrosis can also develop as so called „target” form (or commonly called as bull’s eye sign).
In the oncological practise, the most often performed imaging modality is nowadays the CT which is appropriate for both searching of liver metastases and the follow-up of the treatment efficacy in case of known liver metastasis. The decreased or increased vascularisation of the metastases can be well documented by appropriately performed three-phase multidetector CT in case of the liver, even from the size of 4-5 mm in most of the cases.
Far before the era of multidetector CT, CT arterioportography (CTAP) was performed in special cases. The sensitivity and specificity of CTAP in the detection of liver metastases was far better as the conventional spiral CT. In the course of CTAP, a selective catheter was placed from the arterial side into the superior mesenteric artery or the splenic artery. Following 35-40 sec delay after 80-90 ml contrast administration (by injector) the spiral CT scan was performed in the portal phase.
The MRI is very sensitive to the detection of metastases, their surprising multiplicity can be detected by MRI even in case of negative CT and US examinations as well.
MRI signal intensity is dependent on their water content.
- T1-weighted signal intensity is usually lower
- T2-weighted signal intensity is higher compared to the liver parenchyma.
The image may be dotted with hemorrhages (according to their age) and calcifications (according to their extent). There are some tumors whose metastases bleed frequently (melanoma). Often, certain metastases can be recognized only after contrast administration.

14.1.4.2.2. Hepatocellular Carcinoma (HCC)

2500-3000 new HCC cases are recognised in the Hungarian population yearly. Its prevalence is more frequent in the Far Eastern population (China, Japan, Korea) and in the South European countries (Italy, Greece, Spain).
HCC is the most frequent primary liver tumor originating from the hepatocytes. Chronic viral hepatitis, liver cirrhosis (alcohol or other toxic origin) and other carcinogenous materials (drugs, aphlatoxin) can play a role.
The blood supply of HCC is received mainly from the hepatic artery, explaining the US, CT and MR image features.
Their US apperarences include mostly an inhomogeneous, hyperechoic or hypoechoic lesion, which is arterially hypervascularised, and several arterioportal shunts may develop. The demonstration of shunt related portal vein flow disturbance by doppler US has a prominent importance. The adjudication of the cirrhosis related HCC by ultrasound is often a particularly difficult task.
HCC appears mostly as low density on the native CT scan, with inhomogeneous structure and a sorrounding with a slightly increased density bearing capsule can be also detected. The completion of the three-phase CT scan (arterial, venous, late) is especially important in case of a suspicion of HCC. The appearance of the inhomogeneous lesion in the arterial phase, including sometimes non contrast enhancing necrotic areas inside, bears with a diagnostic value. The capsule can be detected best in the venous phase.
The primary hepatic cancers respect usually the liver borders. At the time of death, mainly regional lymph node metastasis is observed in almost half of the cases. Besides that, lung, bone and suprarenal metastasis can occur.
MRI findings:
- Lower signal intensity can be usually but not necessarily observed compared to the liver parenchyma on the T1-weighted images. The possible capsule appears as even lower ring-like signal intensity.
- On T2-weighted images, the hepatocellular carcinoma has a high signal intensity according to the necroses, but in case of no necrosis the tumor can be isointense!
Recent haemorrhages, hemosiderin, fat deposition influence the signal intensity characteristically.
The differenciation of the foci and the nodular regenerative hyperplasia is very difficult.

Concerning the HCC, the knowledge of history is very important for the decision and usually the oncoteams consider the performance of an imaging modality guided biopsy basically important for the further therapeutic decisions (because of the hystological validation rather core biopsy should be performed! (Figure 26, 27, 28).

Figure 26: HCC, verified with FNAB, US
Figure 27: HCC, TAE, agniography
Figure 28: HCC, native CT after TAE

 

14.1.4.2.3. Less frequent primary liver tumors:
  • Rhabdomyosarcoma
  • Liposarcoma
  • Hepatoblastoma
  • Fibrolamellar HCC

Other pathological liver lesions:

14.1.5. Inflammatory processes

There is no specific US sign in case of a hepatitis initially. In a serious case, already a completely inhomogeneous, hypoechoic liver structure can appear.
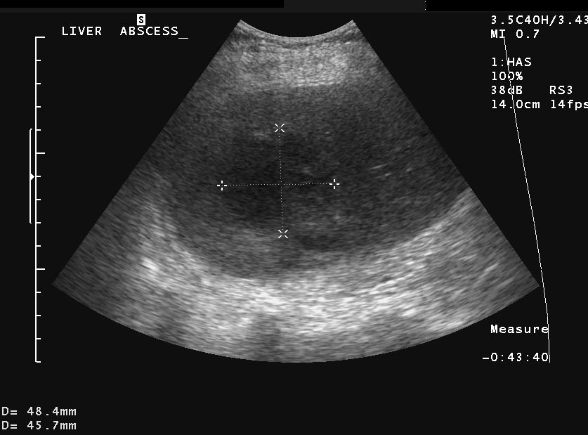
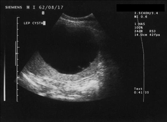
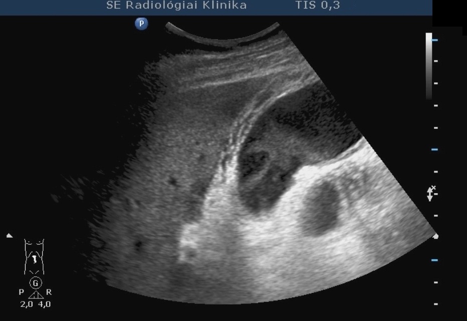
The bacteria may pile up in the biliary ducts due to the bile stasis (either by tumorous or inflammatory choledochus compression) and cholangitis can develop, associated with an abscess development later (Figure 29).

Figure 29: Abscess in the liver, US

In order to prevent it – by either endoscopically or percutaneously – the primary goal is to ensure the bile flow again, obviously completed with broad-spectrum antibiotics.
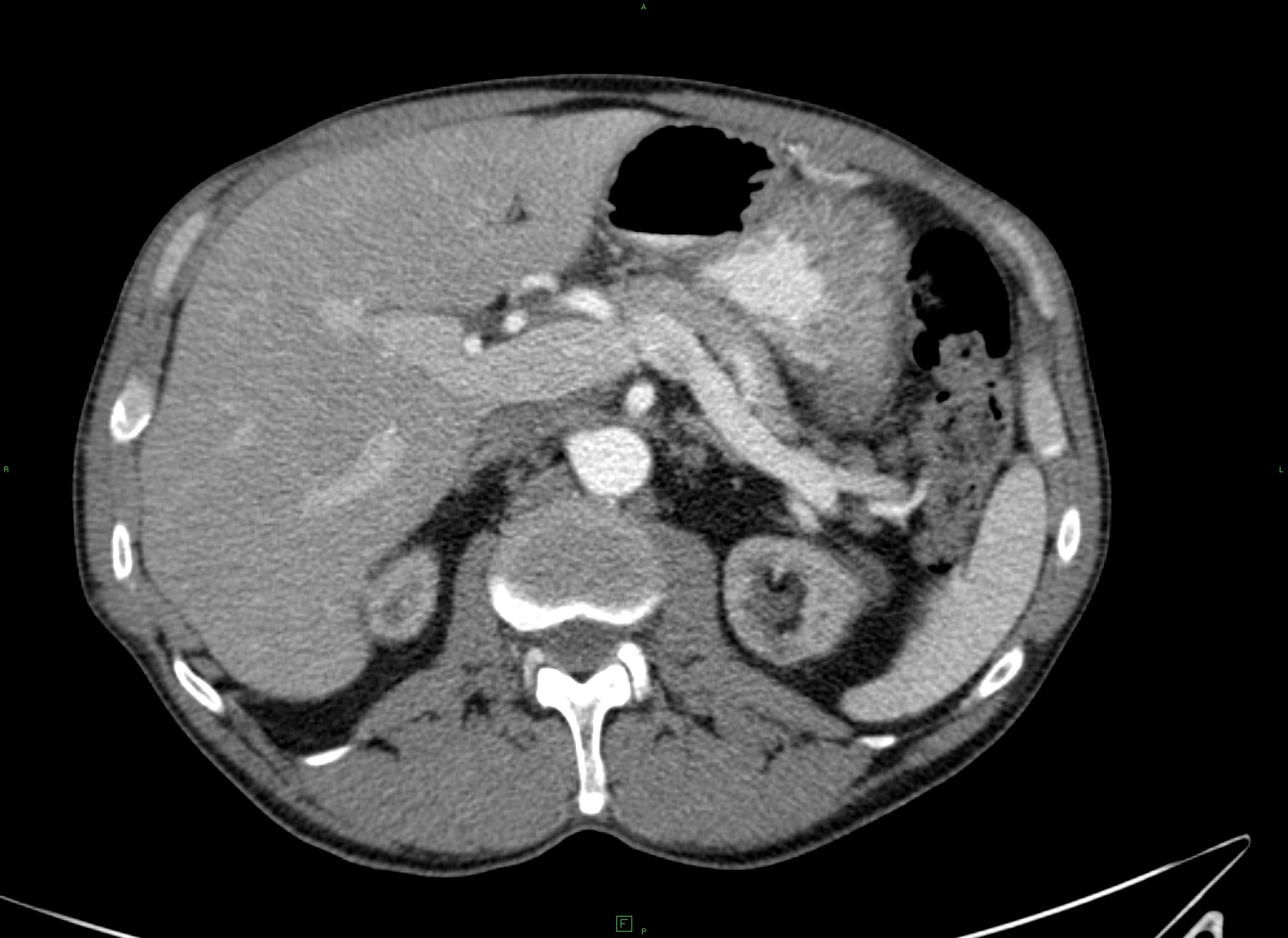
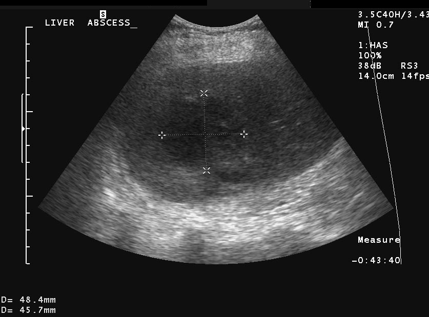
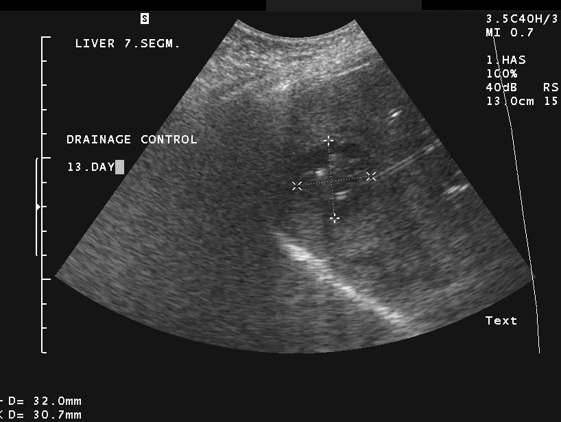
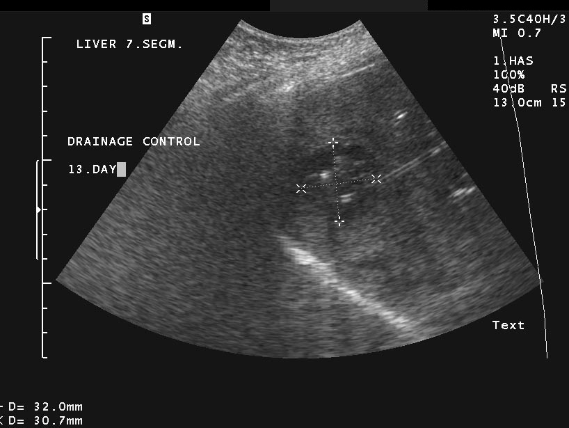
Liver abscess can develop either following the severe inflammation of the biliary ducts and the gallbladder or following a tumorous necrosis or by the spread of an external inflammation to the liver. By the help of the US, a cystic lesion can be seen with multiple internal echos containing gas bubble frequently as well. In order to determinate the further therapy, contrast enhanced CT examination can be needed, if the US imaging of the entire liver was not possible. An avascular intrahepatic lesion can be seen well on the CT with a contrast enhancing wall (sometimes multifocal as well) (Figure 30). An US or CT guided percutaneous drainage can provide a therapeutic result depending on the lesion's size and location (Figure 31).

Figure 30: Abscess in the liver, native CT
Figure 31: Abscess in the liver, US control after US guided drainage

 

14.1.6. Liver injuries

In case of blunt abdominal injuries, polytrauma and stab abdominal injuries, detection of the probable injury of the parenchymal (liver, spleen, pancreas, kidneys) and cavernous organs or the injury of the abdominal large vessels has a crucial importance.
In numerous cases the emergency abdominal US performed in the shock room can orientate us about possible abdominal injuries already as „first line” in the traumatology care. If possible, the tiny parenchymal injuries can be detected very sensitively by contrast enhanced US.
In numerous traumatological centres (mostly in case of a polytraumatic patient) a quick whole body MDCT examination is performed in order to achieve a quick diagnosis, ensuring complex information in a short time: intracranial, chest, abdominal and extremital injuries can be identified.
More and more acentuated role is given to the contrast enhanced US examinations in several traumatological centres in the detection of a possible liver and spleen rupture. This technique is especially important in children in order to perform a scan with no ionizing radiation exposure as far as possible.
In case of an uncertain clinical case of a suspicious liver injury detected by US (suspicion of intraparenchymal or subcapsular hemorrhage) depending on the patient's clinical status, a control US several hours later and a contrast enhanced US examination may be helpful to achieve the more appropriate diagnosis. In a portion of the cases, avoiding the multiphase MDCT examination is unpossible of course.

14.2. Gallbladder

14.2.1. Normal anatomy, variations

The normal fullness gallbladder measures 6-8 mm in length, 3-4 cm in diameter, has a thin wall and about a pear shape.
According to the gallbladder's physiological function its role is to store the almost 1 liter bile periodically which is produced every day, hereby is the normal fullness, fluid-containing, superficially located object ideal for the US examination even in case of the moderately obese patients as well.
The arterial circulation of the gallbladder is provided by the cystic artery arising from the right hepatic artery in a normal anatomic situation. The rarely occuring variation of the arterial circulation has extraordinary importance in case of cholecystectomy and selective catheter intervetions.
Radiograph:
Nowadays the oral cholecystography is no more performed in the radiological practice since the comprehensive spread of the US in the 80's years. Thanks to it, a dangerous examination method often accompanying with serious complications got into the museum of the imaging methods.
The porcelain gallbladder with calcificated wall can be observed very rarely on the native abdominal plain film.
US examination:
In typical cases, if the gallbladder is located in the region anteriorly to the liver hilum and along the liver margin, fundus, body, neck and cystic duct should be equally circumspectly examinated in various planes, possibly both in supine and left lateral positions.
As anatomic variation, double gallbladder is a very rare anomaly. The gallbladder agenesis is extremely rare.
One of the main goal of the essential preparation prior to an abdominal US (six-hour-long starvation) is the ability of gallbladder imaging in its uncontracted, normally full status.
If the gallbladder is contracted, it cannot be objectively adjudicated. In this case, neither the wall thickness nor the incidental findings (smaller stone, sludge) in the gallbladder lumen should be reported. Therefore, a focused gallbladder US control examination must be performed following 6 hours of starvation at a determinated date.

14.2.2. Gallbladder wall lesions:

The contraction of the gallbladder (following a fatty meal or chocolate consumption) happens in several minutes in a normal physiological case.
The normal gallbladder is 1-2 mm thick and has a wall without stratification (Figure 32).

Figure 32: Gallbladder, US

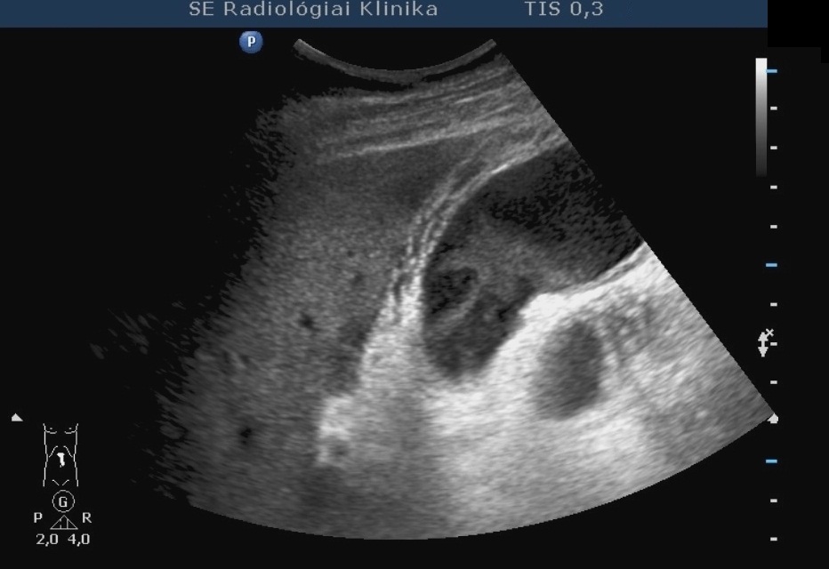
Adenomyomatosis of the gallbladder: Small hyperechoic particulates can be composed by the solidifacted (dense) bile being deposited in the so-called Aschoff-Rokitansky sinuses in the gallbladder wall, behind them a typical „V”-shape artefact appears.
Cholesterol polyp: In some cases small, hyperechoic (usually 2-4 mm in diameter) lesions can be observed fixed to the thin gallbladder wall (Figure 33), which originate from the excessive accumulation of dense bile essentially, stone development from them is rare.

Figure 33: Cholesterol polyps with a little stone in the gallbladder

Confusing them with the actual polyps are not recommended, which do have circulation as well (role of contrast enhanced US examination can be helpful!) and may accompany by a prominent oncologic importance, if they have a growing tendency during the 3 month US follow-up.

14.2.3. Gallstones:

In the backgroud of epigastric, gallbladder region pains cholelithiasis can turn out, but it can be often detected as incidental finding in asymptomatic cases.
In the gallbladder lumen, a freely motionable lesion bearing with an acoustic shadow behind in a typical case (Figure 34), which can measure already a 3-4 cm in diameter in the time of its detection.

Figure 34: Gallstone with typical acoustic shadow

The in the gallbladder neck lodged stone which cannot move out from it can hinder the gallbladder¨s motion and cholecystitis can develop later by the piled up bacteria in the stagnant gallbladder content.
In an asymptomatic stage detected, smaller (4-8 mm) gallstones expose a potential danger, because they can stick into the main biliary duct by floating down from the gallbladder and besides the development of icterus cholangitis and pancreatitis can be resulted (biliary pancreatitis).
In certain cases it can be difficult to identify the gallbladder itself, because only a large hyperechoic lesion can be seen measuring many centimeters in diameter. In this case the fluent bile can be completely missing from the gallbladder.

14.2.4. Cholecystitis:

Acute cholecystitis
The inflammation is caused by the gallstone-resulted drainage disturbance and the bile stasis in a typical case, which results a compression sensitive, a bit thicker gallbladder which has an edematous wall and it is fuller as the average, after short-time epigastric symptoms lasting for several hours. During the progression of the process, a typical multilayer, „onionleaf-like” wall thickening can develop, increased vascularisation can be detected in its wall by color doppler (Figure 35).

Figure 35: Acute cholecystitis with thickened, stratified wall

Acute acalculous cholecystitis
During a long-time intensive therapy care rarely or in case of immunodeficiency diseases this type of inflammation can develop, which has a very bad prognosis very often unfortunatelly.
Chronic cholecystitis
Following a passed off cholecystitis the gallbladder wall usually remains thicker (3-4 mm), referring to the postinflammatory status.
Chronic calculous cholecystitis
This definition is described as a status after gallstone-resulted inflammation(s). According to the literature malignant gallbladder neoplasm can also develop from the cholelithiasis known for many decades in only a small percentage of the cases.
Gallstone ileus:
From the inflammatory onto the duodenum or the small intestines „calcined” gallbladder the gallstone can get into the certain bowel lumen following a wall necrosis. Afterwards gallstone ileus can be developed by its migration.

14.2.5. Malignant gallbladder tumor

At its discovery the tumor is already inoperable in more than 50% of the cases.
It is characterised by a very agressive growing tendency, which can extend to the liver and the adjacent organs (duodenum, colon) as well. In case of a liver involving tumor, already the identification of the gallbladder can be difficult in many times. Naturally the staging provided by the fast multiphase CT examination (CT examination must be accompanied after the US as quickly as possible) is crucial in these cases in order to decide the operability.
CT imaging:
Due to the gallbladders location and structure, CT imaging turns into an important method only by a gallbladder of a position variation or with a pathologically irregular thickened wall, and a liver-involving gallbladder tumor. In the remarkable part of the cases US examination provides enough information. Concerning the gallstones” judgement the US has also a primary role.

14.3. Biliary Ducts

14.3.1. Normal anatomy, variations

Intrahepatic and extrahepatic biliary ducts
In the left and right lobes collecting biliary ducts form the right and the left hepatic ducts at first, then the main biliary duct (ductus choleductus) develops from their confluences.
In a normal case the intrahepatic biliary ducts cannot be imaged and the diameter of the main biliary duct cannot exceed the 7 mm.
Diverticulum can be also observed on the main biliary duct, which can result symptoms and biliary duct passage distrubance depending on its localisation.
In a case of a postcholecystectomic status the diameter of the main biliary duct can be also 8-10 mm, this is not a pathologic aberration itself.

The significance of biliary MRI:
Investigation of the extrahepatic biliary ducts is an old tradition in radiology, but the intrahepatic biliary ducts can be investigated by ultrasound only approximately.
The invasive procedure of ERC (endoscopic retrograde cholangiography) is well known, however, it is slowly forced back to the right place where it fits: to the interventional radiology.
Helical CT cholangiography is a more effective way of CT imaging instead of the previously applied cholangiography using iodinated contrast agents. The disadventage is that the CT cholangiography can be performed only in case of good liver function: in case of icterus there is no excretion and therefore no biliary duct imaging can be performed. In addition, no pancreatic duct(s) can be imaged. However, because of the dependence on the hepatocyte function it is (would be) precisely very beneficial to image the functioning liver areas map-likely. Unfortunatelly, the production of the contrast agent was discontinued (it was toxic, prudence was required).

MR cholangiopancreatography (MRCP) is only the liquid content of the bile inside the biliary ducts, its imaging is possible because of its no flow. However, the biliary duct is gracile – so in many cases the imaging of the normally dilated biliary ducts is doubtful, but even the slightly dilated intrahepatic (and extrahepatic) biliary ducts and the pancreatic duct(s) can be also exquisitely visualized. The fluid-filled gallbladder is also always visualized. The empty stomach and duodenum is helpful in technical point of view, because the extrapolation of especially the duodenum can be difficult from the imaging of the biliary duct by the rotation of the three-dimensional image. Extent ascites may thwart the examination. Less ascites behaves itself as a "curtain", and you can look behind it only by applying „tricks”. Other fluid-filled cavities do not cause confusion, but the liquor content of the vertebral canal can be deceiving at first glance.
Based on the above mentioned facts, MRCP can be applied in case of biliary duct tumors (malignancy in the liver hilum, Klatskin tumor), intrahepatic or extrahepatic biliary duct strictures or dilatations, investigation of intrahepatic or extrahepatic outflow disorders of unclear origin by other imaging methods, localisation of pancreas head and papilla area processes.
Above all, important to note and apply: MRCP, which is much less threatening to the patient, must be always the first choise before (in most cases pancreatic enzyme failure causing) ERCP (not a foregone intervention)!

14.3.2. Cholangitis

It does not accompany with a really specific US sign, but the biliary ducts” wall can be a bit more hyperechoic on the inflammatoric intrahepatic sections in case of a long-term clinical existence.

14.3.3. Choledocholithiasis

As mentioned above, the existing smaller stones can migrate down to the main biliary duct and choledocholithiasis can be developed if they stick in there (Figure 36).

Figure 36: Choledocholithiasis, US

The direct US imaging of the main biliary duct stone may need more experience, the proper rotation of the patient and the competent diversion of the duodenal bowel gas can help in the US imaging of the distal segment of the main biliary duct.
In order to solve the choledocholithiasis, endoscopically acute ERCP following by a stone extraction by dormia basket can be performed. If the stone obstructed high in the main biliary duct and it cannot be extracted endoscopically, a percutaneous intervention can be tried. It is important to note, that ERCP is an insecure procedure, very serious pancreatitis can develop as complication, so the indication of the certain procedure must be taken very circumspectly.

14.3.4. Malignant tumor of the biliary duct, cholangiocellular carcinoma (CCC)

Intrahepatic, extrahepatic (perihilar) and distal extrahepatic forms can be distinguished.
The perihilar form of the malignant tumor originating from the biliary ducts is called Klatskin tumor.
This type of malignant tumor is detected in the background of an ictreus of unknown origin unfortunatelly even more frequently. In certain cases ERCP is useful in the cytologic sampling, but sometimes an imaging method guided biopsy is needed for the histological verification. According to the localisation, the following types are known (Bismuth-classification):
Type 1 – localised to the main biliary duct (cystic duct can be also affected),
Type 2 – localised to the upper portion of the main biliary duct and the distal portion of the two hepatic ducts with itself,
Type 3./a – type 2 + localised to the right sided segmental branches,
Type 3./b – type 2 + localised to the left sided segmental branches,
Type 4 – forms 3./a + /b together, furthermore the distal portion of the main biliary duct can be also affected segmentally with itself.
In case of an inoperable tumor or a high hilar localisated Klatskin tumor (Figure 37), the bridging of the certain stenosis can be tryed by percutaneous intervention from the direction of both lobes (left and right sided double hepatic duct drainage and stent implant).

Figure 37: Klatskin tumor, PTC, punction from left biliary duct of the liver

Additional relevant details can be found in the nonvascular intervention chapter.

14.4. Pancreas

14.4.1. Normal anatomy, variations

The pancreas is a retroperitoneally located, endocrine and exocrine gland.
In the anatomical respect, head, body and tail regions can be distinguished.
Important evolutionary variations:
Pancreas divisum (abscense of the fusion of the anterior and posterior pancreatic ducts). – This is a very important variation, since it exists in almost 25% of the patients suffering from recurrent, idiopathic pancreatitis.
Accessoric pancreatic duct (Santorini).
Annular pancreas.
Agenesis.
Hypoplasia.
Ectopic pancreas.

Almost twenty-sort of enzyme is producted in the course of the exocrine gland function, which are drained by the pancreatic (Wirsungianus) duct and flow into the duodenum with the bile coming from the main biliary duct. Normally it measures 3 mm in diameter by young adults (measured at the body), whileas 5 mm in the elderly population.
The endocrine gland function consists of the so-called Langerhans islands, which product multifarious hormons and they play a very important role in the glucose metabolism by producing insulin.
Radiograph imaging:
The pancreas can be only observed on the traditional radiograph if multiple bigger calcifications are located in the gland parenchyma (in case of chronic calcific pancreatitis) or a big space occupying lesion in the pancreas head (tumor or pseudocyst) shifts away the bowel gas-containing duodenal horseshoe.
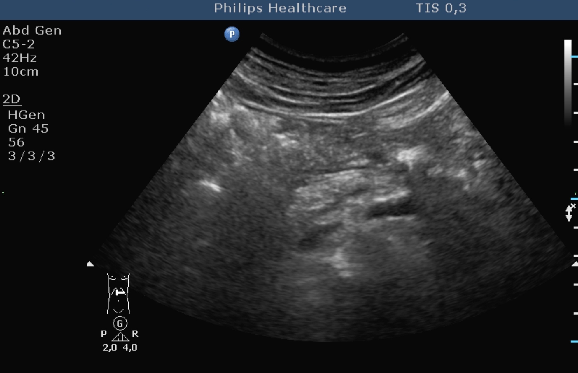
Arising from its location, it is not an ideal organ for an US examination. Its visualisation can be influenced by the gas content of the stomach and the bowels remarkably (Figure 38).

Figure 38: US of the pancreas, disturbing intestinal gas in the body-tail region

Its US examination needs a bigger experience and attention as the average, moreover an effective physical requisition as well (the epigastrically located, disturbing bowel gases can be eliminated only by a compression involving an adequate effort in many cases)!
Because of all these CT and MRI have a primary role as additional imaging methods in the pancreas imaging.
Due to the adaptation of multidetector CT scanners, the adjudication of the pancreas became increasingly more accurate. The sensitivity and specificity has been improved with the three-phase (arterial, venous, late venous) scans.
Favorably, the signal-free MR vessels create better orientation conditions compared to CT scan.
The posterior contour of the pancreas is provided by the splenic vein draining to the portal vein. Anterior to the pancreas, two vessels run in the small bay created by the uncinate process and the body: medially the superior mesenteric vein (in the longitudinal axis of the body), to the left of the superior mesenteric vein the superior mesenteric artery can be identified with smaller caliber. (The artery is always separated by a small fat rim from the parenchyma which is not present by the vein. It is good to know in case of the adjudication of the tumorous infiltration.)
The juvenile pancreas has a glandular solid structure. By aging, the organ becomes adipous because of the fat deposition among the lobules.
The variatious shape of the pancreas can be often identified: pancreas divisum (developmental variation) and the shape and size of uncinate porcess can be also very altering. It is important to notice it in order to distinguish from the space occupying processes.
The excretory ducts of the pancreatic gland (Wirsung duct, Santorini duct) are frequently variatious. If its size (1-3 mm) is appropriate, the excretory ducts can not be visualized, but 3D technique is able to image them in order to replace ERCP.

MR imaging of pancreatic diseases:
The most frequent aim of the examination is to clarify the resecability before surgery: the relationship of pancreatic carcinoma (usually previously clarified by imaging methods) and vascular structures. T1-weighted images are suitable for this purpose.
The T2-weighted images detect the intratumorous necrosis mainly, in addition the relationship of the tumor and the fluid-filled duodenum (the fluid-filled duodenum has a high signal intensity).
If these examinations are performed by fast techniques, the duration of the examination can be significantly shortened.
MRI with T1-weighted and fat suppression sequences is very suitable for the differenciation of chronic pancreatitis and tumor: the gland parenchyma of the chronic pancreatitis has a low signal intensity, therefore it can be visualized according to its decreased water content. In case of a carcinoma, the normal parenchyma has a high signal intensity according to its water content. (In those cases, however, if chronic pancreatitis preceded the formation of the pancreas carcimoma, the pancreas parenchyma has, of course, a low signal intensity.)
MRI has an important role in the detection of endocrine carcinomas.
The conventional T1-weighted sequences with complementary fat suppression and T2 sequences with dynamic contrast agent administration allow the characterisation of the contrast dynamics of these usually hypervascularized tumors.
The signal intensity of the insulinomas are usually low on T1-weighted and fat suppression images, while the insulinomas have a high and also high contrast enhancing signal intensity on the T2 sequence.

14.4.2. Pancreatitis

14.4.2.1. Acute pancreatitis

Definition of acute pancreatitis:
Acute inflammatory process of the pancreas with the various affection of the peripancreatic tissues, and the far organs, systems.
- Based on the clinical situtation and them morphologic criteria (Multidisciplinary International Symposium - Atlanta classification – 11-13 September 1992)
Etiology
- Toxic-metabolic (alcohol, hyperlipidemia, hypercalcemia)
Mechanic (choledocholithiasis, microlithiasis, periampullary obstruction, Oddi sphincter dysfunction, pancreas divisum….)
Vascular (polyarteritis nodosa, embolia of atherosclerotic origin, postoperative status after abdominal vascular and heart operation)
Infectious (viruses – Mumps, Coxcackie, hepatitis B, varicella zooster, AIDS…)
Drug-related (Salicylate, sulfonamide, furosemide, tetracycline…..)

CT is the most important imaging method in case of pancreatitis.
Because of the exact diagnosis and the staging CT has a crucial importance.
CT classification of the pancreatitis according to Balthazar:
Stage A (0) - normal pancreas
Stage B (1) - focal or diffuse pancreas enlargement (Figure 39)
Stage C (2) - gland structure swelling with peripancreatic inflammatory signs
Stage D (3) - pancreatogeneous fluid content in one localisation (Figure 40)
Stage E (4) - two or more fluid content and/or gas content in the pancreas or in the adjacent area (Figure 41)

Figure 39: Acute pancreatitis, native CT, diffuse early enlargement
Figure 40: Acute pancreatitis, contrast enhanced CT, fluid in front of the body and the tail
Figure 41: Subacute pancreatitis, contrast enhanced CT, coronal reconstruction, extensive formation of pseudocysts in the body-tail region

In case of an acute pancreatitis, the early flare (swelling) of the gland structure and fluid content formation in various extent can be observed, furthermore the determination of extent of the tissue necrosis is crucial.
In case of acute pancreatitis, additional US, CT, DSA examinations can be performed in order to determinate the complications.
Interventional treatment options:
Percutaneous drainage of the pancreas fluid content (Figure 42)
Pancreas abscess drainage (US, CT guidance)

Figure 42:Pseudocyst of the pancreas, after CT guided drainage

Principally the transcateter embolisation is recommended for the treatment of the pseudoaneurysm developed by the vessel erosion caused by the disengaged pancreas excretion.
CT indications:

  • In case of uncertain diagnosis, suspicion of early pancreatitis.
  • In case of serious pancreatitis in order to adjudge the potential serious complications.

 
CT indications during the course and treatment of a known pancreatitis:

  • By sudden, quick progression
  • On the 7-10th day of a current pancreatitis
  • For the accurate documentation of the result of a surgical or interventional procedure.
  • Before the patient”s discharge in order to exclude the possible late complications (pseudocyst, pseudoaneurysm).

 

14.4.2.2. Chronic calcific pancreatitis:

Following the course and recovery of an acute pancreatitis minor-maior atrophy can be observed in the gland structure with calcifications of various extent, moreover quite rough calcifications can be seen sometimes along the pancreas gland structure. (Figure 43)

Figure 43: Chronic pancreatitis, rough calcifications on the head, contrast enhanced CT

Because of the calcification-related inhomogeneous structure and compression on the one hand Wirsung dilation, on the other hand tumor-suspicious areas can be observed. In case of clinical tumor suspicion and increased tumor marker PET-CT imaging can be necessary for the exact determination.

14.4.3. Pancreatic tumors

14.4.3.1. Pancreatic adenocarcinoma

95 % of the pancreas tumors and has a very bad outcome (average one-year survival around 8%).
According to its localisation, around 65 % of them are localised in the pancreas head.
The most informative imaging method is the threephase MDCT, however the very small, less then 1 cm large tumors can be often observed better by US.
The endoscopic US examinations are considered to be the most sensitive method in the investigation of the pancreas head tumors, however they are performed only in few centres.
The pancreas head tumors often result a Wirsung and main biliary duct dilatation, however it is caused only by a larger size in case of the tumors arising from the uncinate process.
The determination of the tumor’s extension to the sorrounding areas (stomach, small intestine, coeliac trunk, superior mesenteric artery - figure 44) is basically important in the judgement of the operability.

Figure 44: Adenocarcinoma in the body of the pancreas, contrast enhanced CT

Because of the more difficult US approach, CT-guided fine needle biopsy can be needed in certain cases for the exact judgement of the tumor suspicious pancreas lesions.

14.4.3.2. Cystic pancreatic tumors

According to the literature these tumors mean only the 15% of all pancreas tumors, however the knowledge of cystic pancreatic tumors have a very important differentialdiagnostic role.

14.4.3.2.1. Mucinous cystic tumor – Potentially malignant

The mucinous cystadenomas are the most frequent cystic pancreatic neoplasms, accounting for up to 50 % of all cystic pancreatic tumors. 80% of these cystic pancreatic neoplasms occurs in women and in young age group (average age is 54 years). Without treatment these neoplasms malignizate in most of the cases, therefore, their treatment bottoms on surgical resection, unambiguously.

14.4.3.2.2. Serous microcystic adenoma – Benign

The second most frequent cystic pancreatic neoplasm which is characterized by honeymoon-like tiny cysts on CT scan.
Periodic follow-up is recommended, even if considered as a clinically benign tumor.

14.4.3.2.3. Intraductal papillary mucinous neoplasm (IPMT, IPMN)

It is the concluding definition of the mucin producing proliferation of the epithelium.
IPMN provokes the progressive dilatation of the Wirsung duct and the cystic dilation of the side braches.
It is symptomatic in up to 1/3 of the cases. Most of them is benign.
However, the sign of malignancy is the large, intraductally developing wall nodule.
Endoscopic US and MRCP has a basic importance in its imaging.
According to the literature, temporary control of the branching ductal-type IPMT is recommended because of the basically benign behavior of the tumor.

14.4.3.3. Solid and papillary epithelial tumor

It is a rare, very low malignant tumor, usually among females between 20-30 years of age. At the time of their detection it measures usually already at least 7-8 cm in diameter (Figure 45).

Figure 45: Solid and papillary epithelial pancreas tumor, contrast enhanced CT

US, CT and MR scans indicate a well-defined, moderately vascularised tumor. If the preoperative adjudication is necessary, US guided biopsy can be also performed relatively easily depending on its size.
Following its surgical resection, no recurrence has been ever published in the literature.

14.4.3.4. Endocrin type pancreas tumors

Insulinoma: this benign lesion can be certified clearly in the background of a part of the hypoglicemias clinically, which can be detected due to its remarkable hypervascularity by color doppler, CT angiography even if it is 5-6 mm large, however sometimes it occurs that only superselective DSA examination can image it in some cases.
Other forms of island cell tumors are the APUDomas (amino precursor uptake and decarboxylation system).
85 % of them is functional, 15 % of them is nonfunctional type. Their clinical adjudgments happen according to their functionalities, undependently of the effective cytologic appearence.
The endoscopic US is the most effective modality here as well (sensitivity is around 80%), according to the localisation naturally (lesions in the tail region are difficultly adjudged).
By the help of the intraoperative US 3-4 mm large tumors can be also filtered out.

14.4.4. Pancreatic trauma

The spectrum of the injuries range between the obscure abdominal injury caused pancreatic trauma and those injuries which can penetrate in the gland parenchyma in various extent.
Principally CT imaging is the most accurate method in the determination of the extent of the certain pancreas injury.
Degrees of gravity:

  • Small hematoma
  • Peripancreatic fluid content of various extent
  • Total break of the gland parenchyma with pancreas fistula formation
  • Pseudoaneurysm formation
  • Pseudocyst formation

 

14.5. Spleen

14.5.1. Anatomy

An intraperitoneal organ located under the left diaphragm contour.
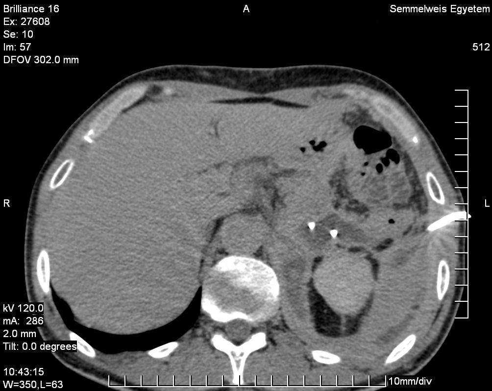
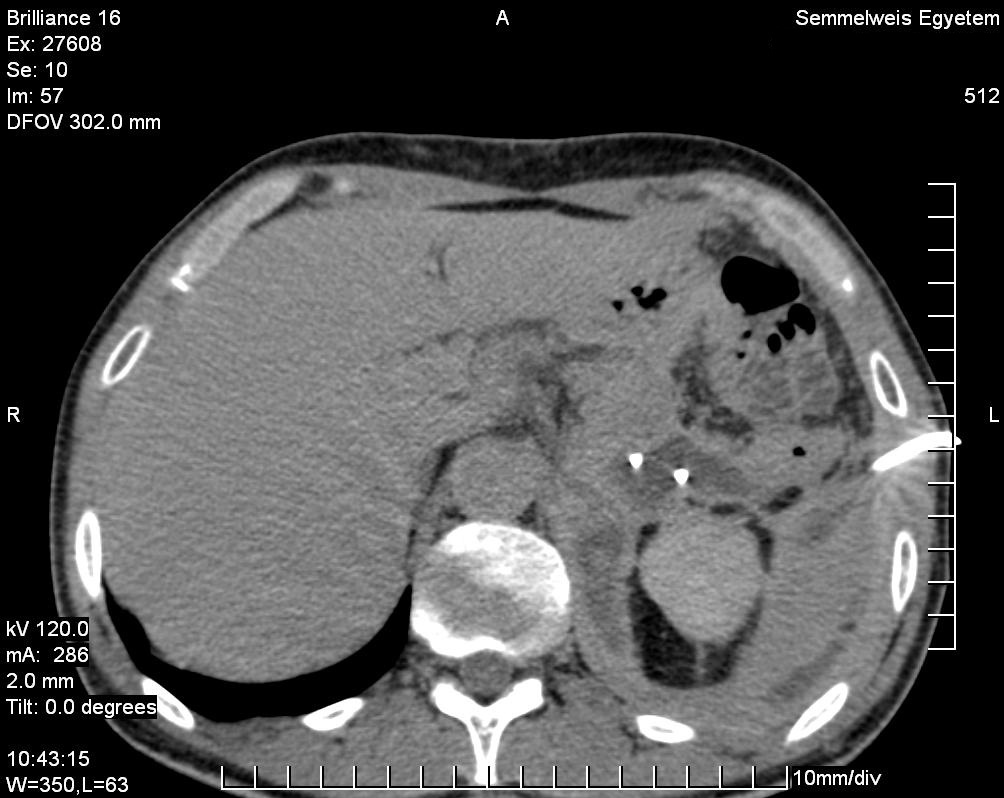
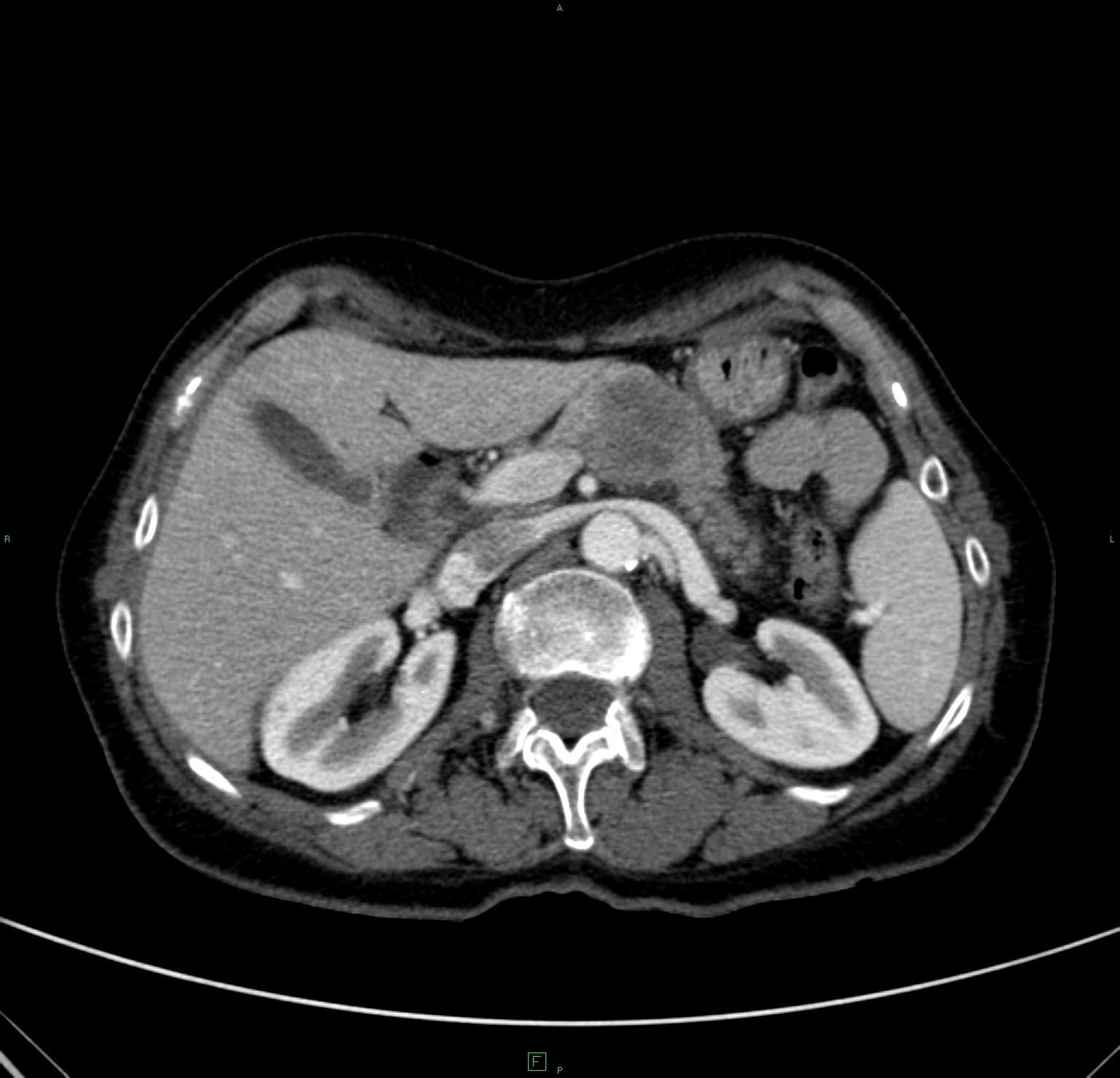
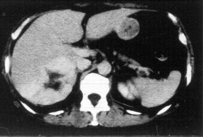
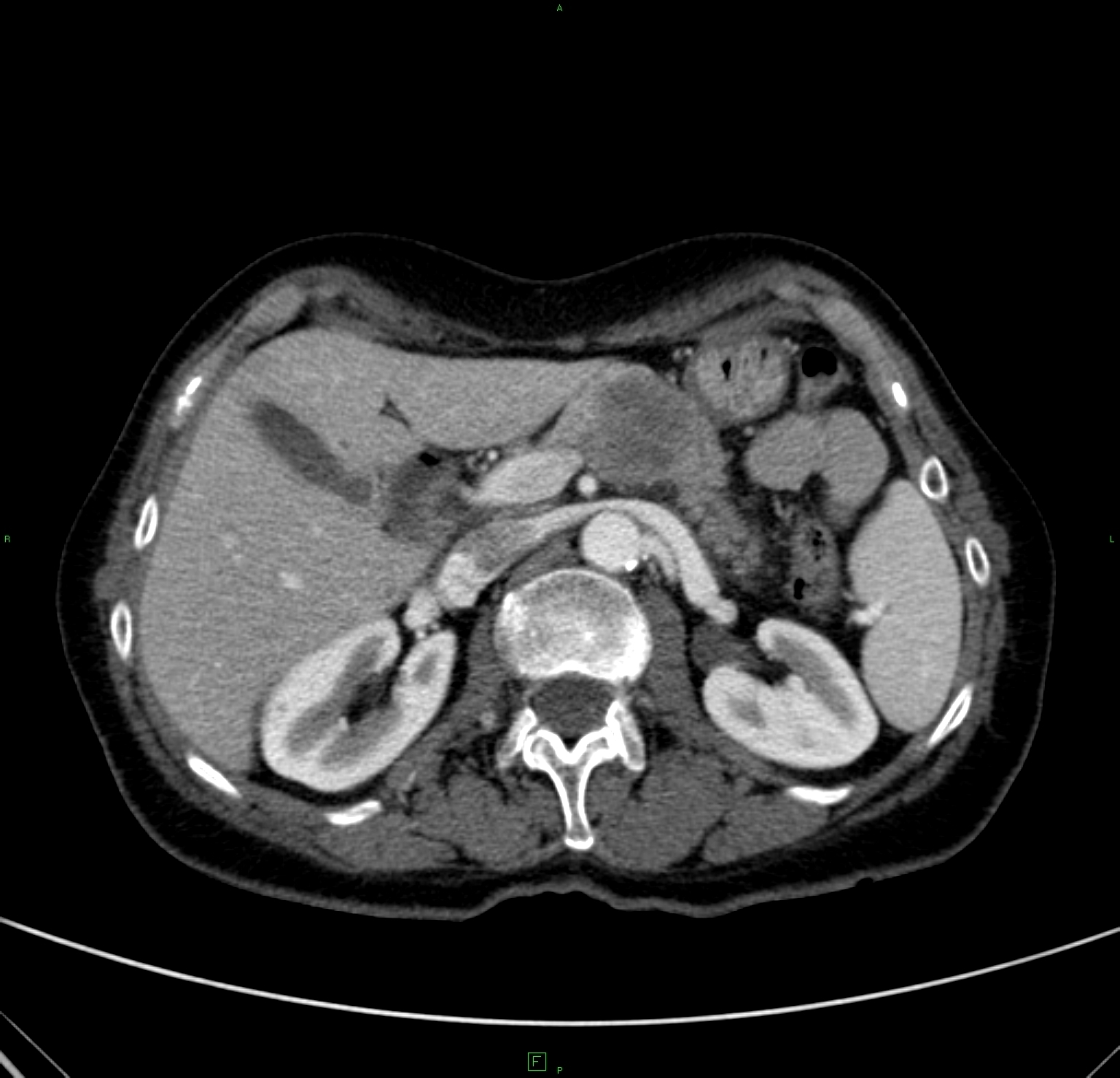
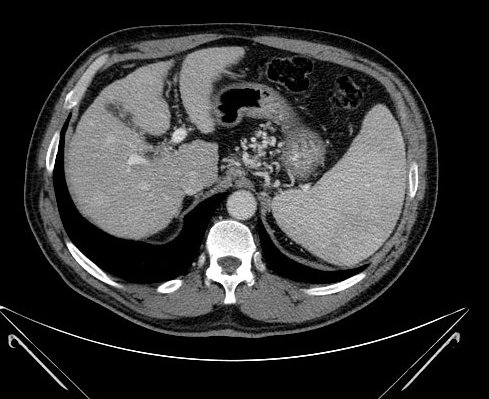
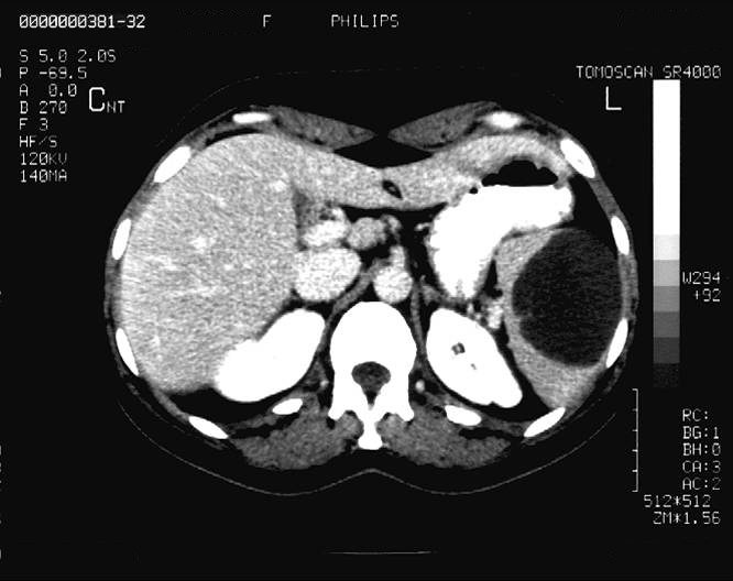
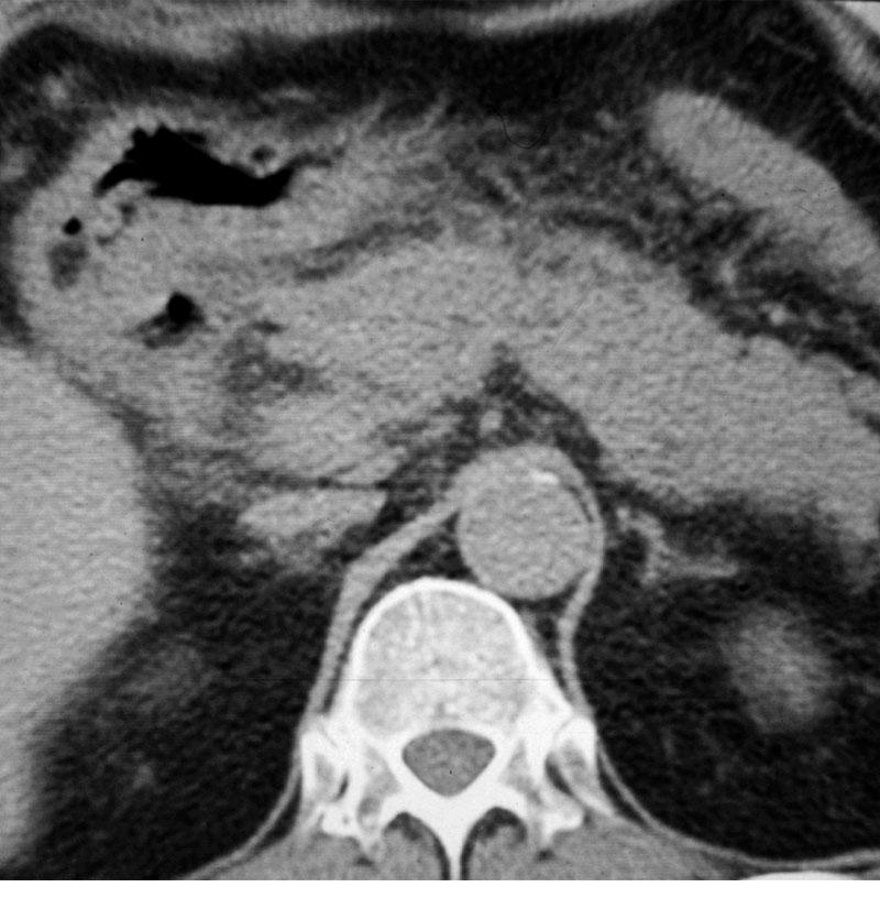
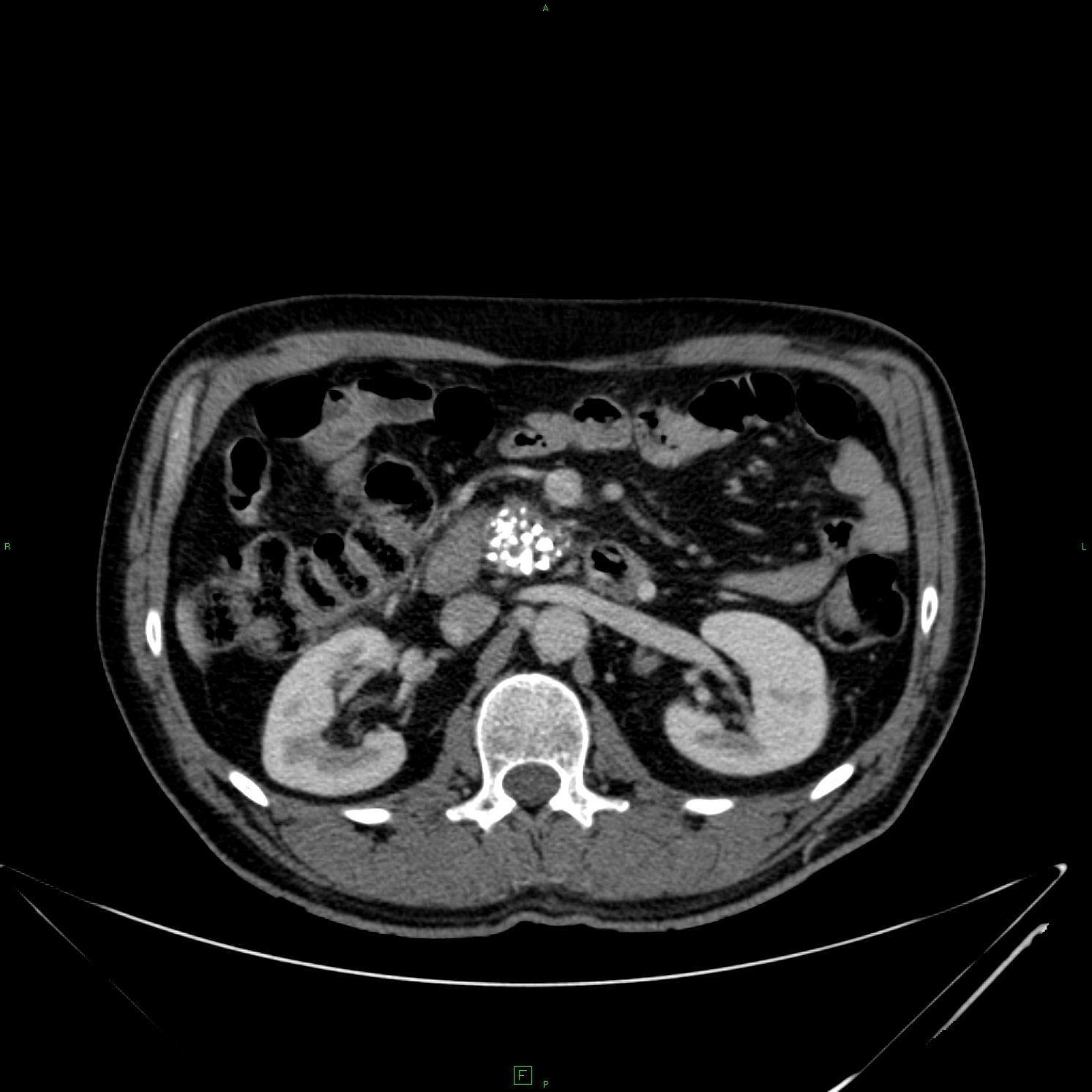
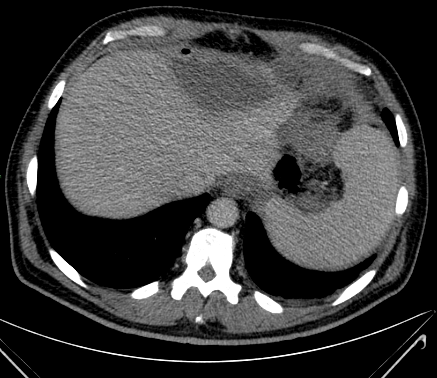
Its diameter measured in the spleen hilum is normal until 45 mm, in case of larger diameter minor, moderate or extensive splenomegaly can be noted (Figure 46).

Figure 46: Splenomegaly, contrast enhanced CT

Variations
Smaller fissures, incongruences near the diaphragmal surface can result diagnostic difficulties in certain appearence forms (eg., by the adjudication of an traumatic spleen rupture US can provide a delusive image in this case, contrast enhanced CT scan can be necessary for the exact determination).
Radiograph:
The spleen turns to be visualized on the radiograph only in cases of possible calcified lesions inside the splenic parenchyma (echinococcus cyst, banal calcifications) and notable calcification of the splenic artery. Above all, the increased splenic shadow can be illustrated in the left hypochondrium in case of remarkable splenomegaly, sometimes displacing the kidney caudally.
US examination:
The normal splenic parenchyma has the same echogeneicity as the liver parenchyma as mildly hyperechoic. Its vascularisation is expressely increased compared to the liver. Accessory spleen tissue can be often visualized as round lesion of 10-15 mm in diameter adjacent to the splenic hilum and the inferior splenic pole. Its increased importance is related to the examination of patients with positive oncological history, since the accessory spleen must be differenciated from lymphadenopathy. In case of portal hypertension, dilated collateral veins can be observed between the splenic hilum and the left kidney (splenorenal shunt).
CT imaging:
By the performance of native and contrast-enhanced CT, the determination of possible circumscribed splenic parenchymal lesions is relevant besides those lesions described above by the radiograph and US examinations (calcifications, accessory spleen). The adjudication of splenic dimensions can be more accurate by CT compared to US.
An important artefact concerning the spleen after contrast administration is the so-called „tiger” spleen, which is not a real pathologic finding but a very inhomogeneous bizarre contrast uptaking splenic parenchyma in the arterial phase.
MR imaging
Intrasplenic various lesions (infarct, metastasis) usually do not have a high contrast difference with the splenic parenchyma itself.
Dynamic sequences taken following contrast bolus administration do not create enough contrast between the lesions and the parenchyma, because the splenic parenchyma shows an inmogeneous enhancement following the dynamic examination of the contrast bolus in the early arterial phase normally as well.
By the help of the in RES cumulating superparamagnetic contrast agents the RES-free regions can be detected within the spleen. (It can refer for example to foreign tissue deposit - tumor metastasis.)

14.5.2. Accessory spleen

A very frequent incidental finding during the US and CT imaging. Its exact adjudgement and its mentioning in the report can be very important during the oncologic staging and control examination.
Splenosis is a special variation, on its course, minor-maior (even several cm large) splenic islands develop because of a past splenic injury in the abdomen around the spleen, moreover in the chest in the lung parenchyma and in the pleura in case of an injury breaking through the diaphragm.

14.5.3. Splenic infarction

Etiologic factors include the dispersion of the endocarditis associated thrombus originating from the left side of the heart. Referring to its morphological appearence, an approximately triangle shaped, a towards the hilum apex-bearing, hypoechoic area is detected, which retracts the splenic surface a bit. The abscense of certain area’s circulation can be imaged by color doppler appropriately. On the course of its recovery, the area becomes inhomogeneous and callused, but an abscess can also develop inside the necrotic area in case of a larger infarction.

14.5.4. Inflammatory intrasplenic lesions

Inhomogeneous areas can be observed with mixed echostructure and irregular contours, which can progress to the development of a circumscribed, avascular, cystic area (abscess) henceforward. In case of a circumscribed abscess percutaneous US or CT-guided drainage can be performed.

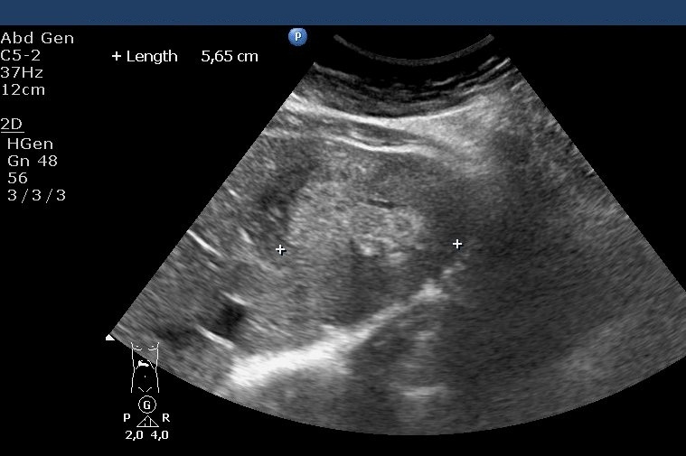
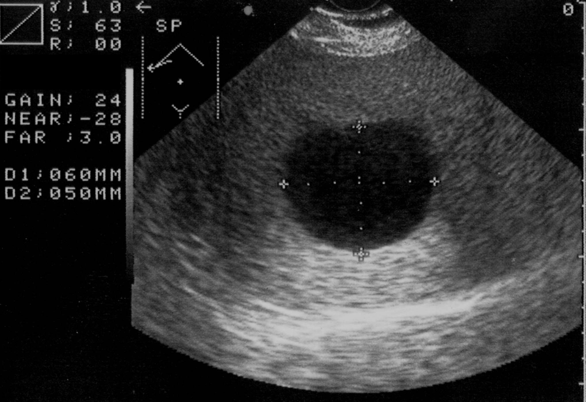
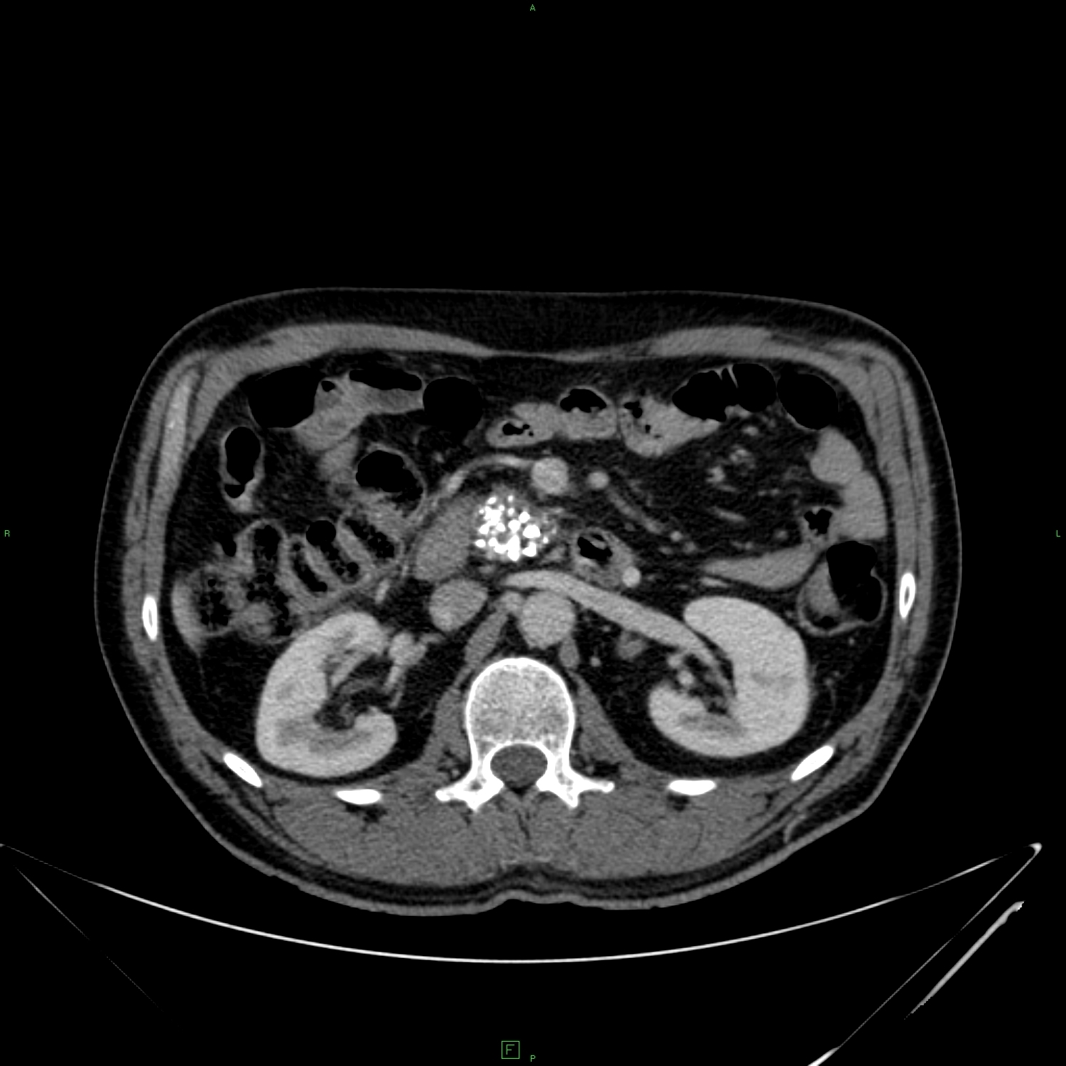
14.5.5. Cysts

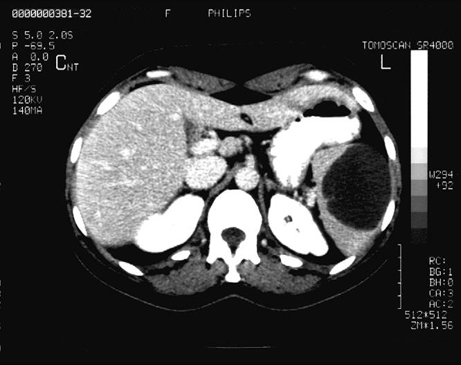
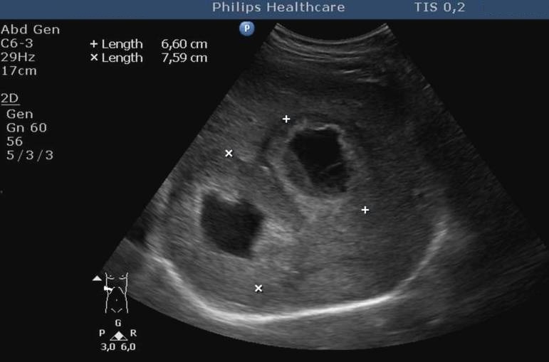
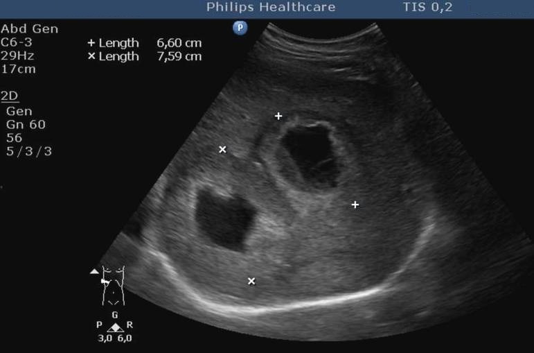
The spleen cysts occur less frequently then the liver cysts, their morphological appearence is similar to that of the liver cysts (homogeneous, cystic content, sharp contour, thin wall, sometimes some thin septa). Most of them is detected only accidentally. It has a therapeutic consequence if its size increases resulting symptoms for the patient by the compression of the sorrounding tissues (Figure 47, 48).

Figure 47: Spleen cyst, US
Figure 48: Spleen cyst, contrast enhanced CT

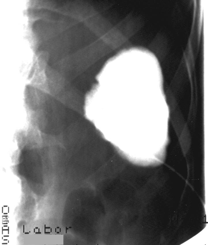
A májcysták alkoholos sclerotisatiojához hasonlóan ezek a panaszt okozó lépcysták is kezelhetők (49. ábra), de nagyobb körültekintést igényelnek, mert a jelentősen vascularisaltabb lépparenchyma miatt a bevérzés esélye jóval nagyobb.

49. ábra Lépcysta rtg. felvétel, alkoholos sclerotisatio előtti kontrasztfeltöltés

Similarly to the alcoholic sclerotisation of the liver cysts, these symptomatic splenic cysts can be also treated (Figure 49), but more circumspection is needed, since the chance of hemorrhage is higher because of the notably vascularisated splenic parenchyma.

14.5.6. Splenic cancers

14.5.6.1. Benign splenic tumors

As accidental finding, hemangiomas (well defined, hyperechoic, solide lesions) can be detected in the spleen during the abdominal US examination.

14.5.6.1. Malignant tumors of the spleen

Related to the spleen, lymphoma, angiosarcoma, fibrosarcoma, metastases of various origin are the most frequent malignant tumors.
US imaging can be enough in certain cases, however, CT scan must be also performed in case of an existent metastasis in order to search for a primary tumor. Furthermore, US guided biopsy can be also necessary.

14.5.7. Splenic injuries

(splenic rupture, intraparenchymal hematoma, biphasic splenic rupture)
Following an abdominal trauma especially direct injury under the left diaphragm, an especial attention must be payed to the spleen by imaging methods. Because of the increased circulation of the splenic parenchyma a life-threatening, very serious bleeding can develop from an undetected subcapsular splenic injury. An immediate multiphase CT scan provides enough information on the exact adjudgment of the spleen. In case of clinical worsening, the CT scan provides the quickest, most informative control examination.
Following a traumatic splenic rupture, a pricked or shot splenic injury also penetrating through the diaphragm, minor-maior splenic islands adhere in the abdominal cavity or in the chest, which develops as a form of splenosis in case of growth.
The appropriate knowledge of traumatic history can avoid several expensive imaging modalities even the US or CT guided biopsy in these patients!

Take home message

We learned which examination method gives us the appropriate information to diagnose the different types of abnormalities of each organ. We should preferably use the simplest, easiest available method, which is effective enough (US). If we don’t get definitive information and should move on to another method, we should dare to „jump” between modalities (e.g. to MRI) or also to summarize data we got from different imaging modalities (e.g. nuclear medicine).

Translated by Ádám Domonkos Tárnoki, Dávid László Tárnoki, Emese Krostóf


Site Language: English

Log in as…