Loading...
 
PDF Print

Imaging in Gastroenterology

13. Imaging in Gastroenterology

Author: Katalin Klára Kiss

Semmelweis University Department of Radiology, Budapest

 

13.1. Introduction

In this chapter we detail the radiologic techniques we use everyday, their indications and the right way to perform them. We present the cases where the clinical questions involving the gastrointestinal tract can be answered with classical radiologic methods.

13.2. Examination of the esophagus, stomach and intestinal tract

Contrast media:

Absorbable (water soluble) iodine based contrast media
Barium sulfate (water insoluble) based contrast media

Absorbable/water soluble contrast media contain iodine. These are not absorbed from the intestinal lumen, but in case of a peritoneal or mediastinal perforation they are taken up by the lymphatics causing no complications. The iodine is in an organic bond with a benzene ring. Currently, Peritrast and Gastrografin are available. Gastrografin has a strong laxative effect.

Barium based contrast media contain barium sulfate salt, which upon its use is made into slurry. (The suspended barium ions are insoluble and toxic.) Thus, it is incorrect to state that the barium sulfate powder is dissolved. It is better to say that a barium sulfate suspension is prepared from the insoluble stable salt. When barium sulfate leaks into the peritoneal cavity it is absorbed into the peritoneum and intestinal serosa, where it can cause paralysis of the intestinal wall, a serious complication with high mortality rate.

Methods:

  • single-contrast study
  • double-contrast study

 
Single-contrast studies give good depiction of the luminal relief of hollow organs, while motility and function of hollow organs can also be examined to some extent. Smaller intra-luminal lesions however, could not be visualized as they may be fully covered by the thick radiopaque contrast medium.

In double-contrast studies when barium and air are simultaneously administered to obtain positive and negative contrast of the luminal surface, even fine details of the mucosal relief could be depicted. Smaller irregularities of the wall contours however, may not be identified. The assessment of peristalsis and dynamic function is also limited, as the whole organ is distended during the examination. The use of barium based contrast agents is strictly contraindicated in a number of conditions listed below.

Use of barium is contraindicated:

  • suspected leak or perforation
  • postoperative states, presumptive suture dehiscence
  • retained foreign body
  • following instrumental procedures
  • presumptive aspiration
  • suspected broncho-esophageal fistula
  • fistulography
  • filling of bile ducts
  • definite intestinal obstruction
  • severe gastrointestinal bleeding

 
Types of GI contrast examinations:

  • upper GI series/barium swallow (video assisted swallow examination)
  • esophagram (single- and double-contrast)
  • collapsed view (hypotonic) esophagram
  • gastric fluoroscopy (single- and double-contrast)
  • gastrointestinal follow-through
  • collapsed view duodenography
  • double-contrast or selective enteroclysis (since the introduction of CT and MRI scans it is considered obsolete)
  • barium enema/colonography (when performed single-contrast it is called irrigosopy)

 

13.3. Examination of the oesophagus

13.3.1. Indications of upper GI swallow studies:

  • difficulty with swallowing / dysphagia
  • painful swallowing / odynophagia
  • heartburn / pyrosis
  • chest pain
  • esophageal foreign body
  • esophageal varices
  • following endoscopy to exclude perforation

 
Preparation:

The patient needs to be with empty stomach.

13.3.2. Method:

The selection whether to use water-soluble iodine based or barium based contrast media depends on the clinically indicated diagnosis.

The patient is asked to stand into the fluoroscopy equipment in an anterior oblique position; this is to make the esophagus project outside the spinal shadow. For a proper study the patient must be examined in both upright and recumbent positions, as sometimes perforations can only be detected from one direction. In order to identify potential alterations in the pharyngeal recesses the pharyngo-esophageal segment should also be examined in the frontal view.

Image
Fig.1.: Normal anatomy of the esophagus

 
In the double-contrast esophagram the negative contrast is generated by indigestion of CO2 producing crystals. Orientation of the mucosal folds is longitudinal. The luminal diameter is 2-3 cm.

13.3.3. Diseases of the esophagus

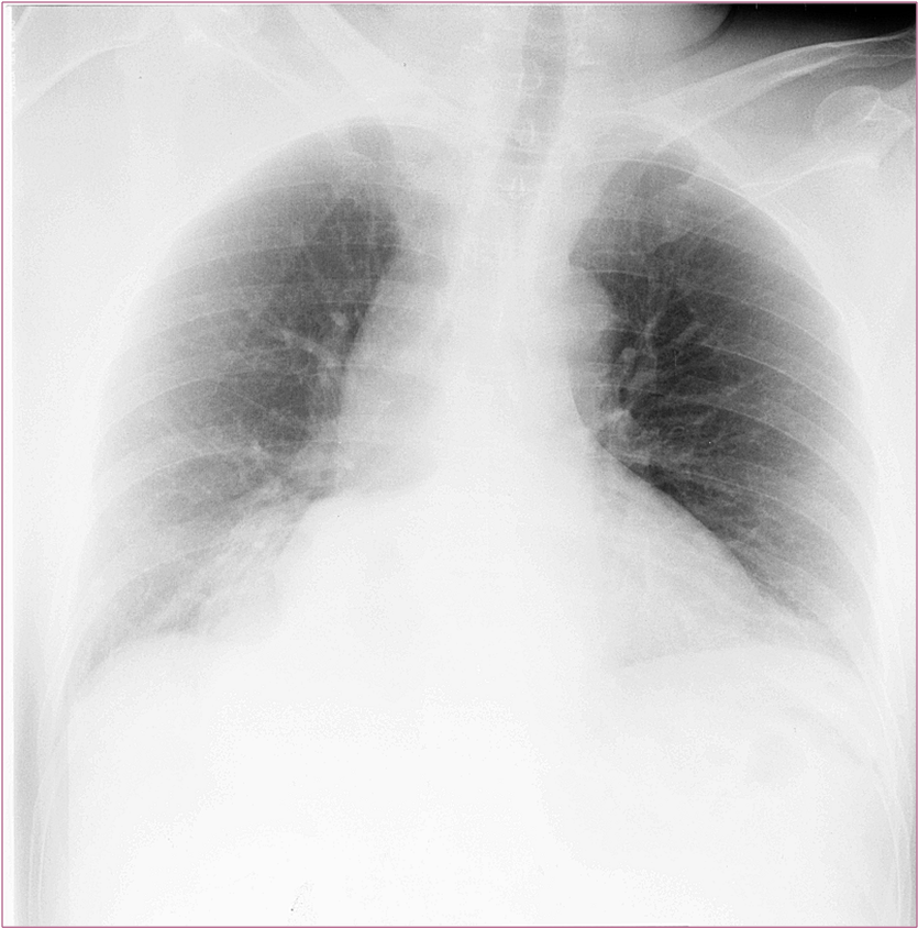
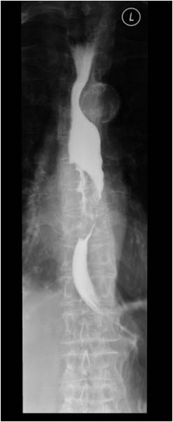
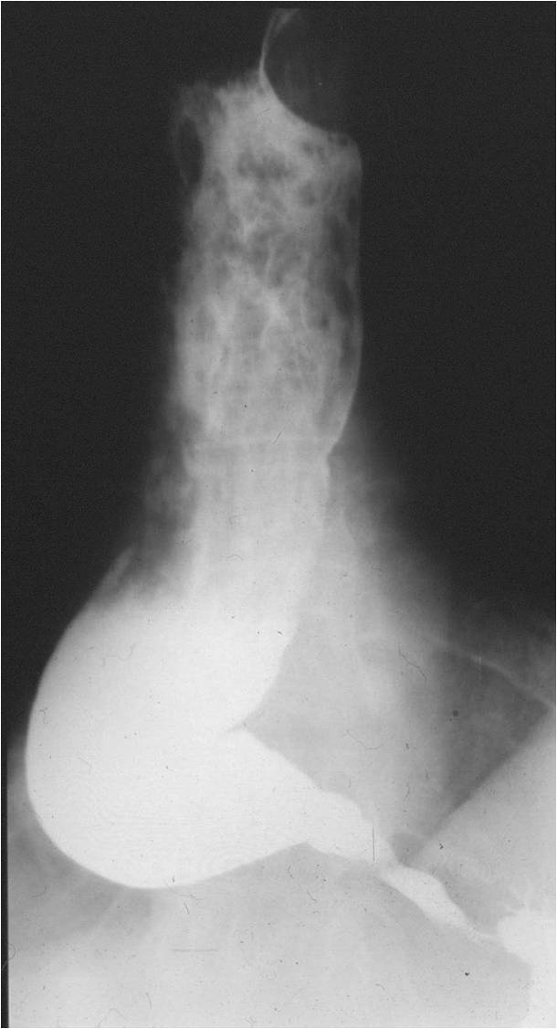
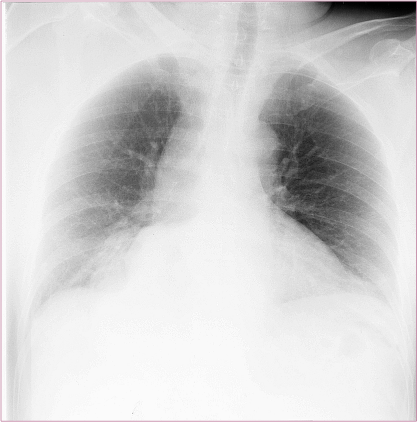
Achalasia

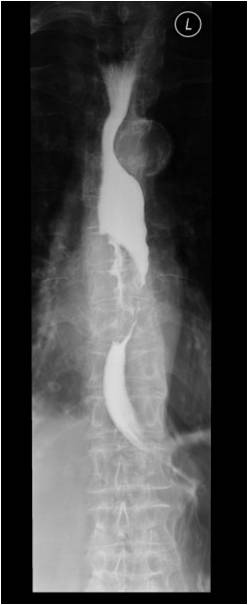
Clinical presentation: difficulty with swallowing. In severe cases inability to swallow. Upon cold water indigestion the gastric cardia suddenly opens up. Based on this diagnostic test achalasia could be differentiated from esophageal neoplasms. The disease follows a protracted course, symptoms may persist for decades. Clinical symptoms are more reliable in the assessment of disease status. Weight gain signals improvement.

Image
Fig.2.: Achalasia

 
Radiographic findings: marked dilatation of the esophageal lumen. Luminal diameter can be seriously widened. In advanced cases the tortuous gullet constitutes the mediastinal interface. The cardia shows conical narrowing. The esophageal lumen is filled with undigested food. Opening of the cardia is delayed, emptying is intermittent. The stomach is shrunken. The result is a so called microgaster as the esophagus takes over the stomach’s reservoir function.

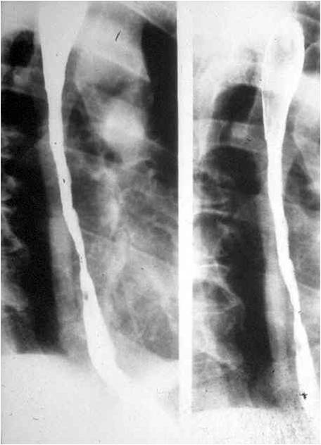
Pseudo-diverticulosis, also Bársony-Tessendorf syndrome:

Clinical presentation: difficulty with swallowing, dysphagia. Swallowing may be painful. It presumably has a psychosomatic origin as symptoms worsen during periods of mental stress.

Image
Fig.3.: Pseudo-diverticulosis

 
Radiographic findings: rosary-bead like outpouchings of the esophagus. Static peristaltic waves are seen. These are ineffective in passing forward the esophageal contents.

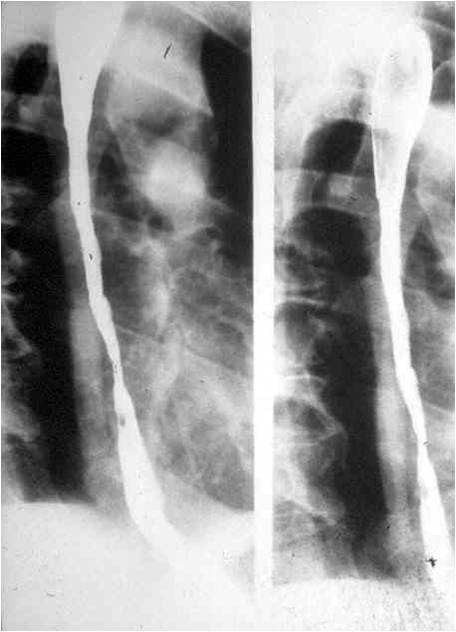
Esophageal stenosis:
Frequently, it is a complication of esophageal inflammation, which causes narrowing of the esophageal lumen. The degree of narrowing can be so severe that the lumen almost completely obliterated by scarring. It may also occur due to corrosive effect of acid or alkali indigestion as well as in reflux disease or precipitated by long term duodenal tube placement. Irritation of the esophageal mucosa causes inflammation. Alkali indigestion usually results in more severe injury as it causes colliquative necrosis in the deep wall layers, while after acid indigestion the mucosal surface is covered with a fibrotic crust which prevents deeper penetration of the corrosive agent. In addition to the stricture inflammatory diseases are also complicated by esophageal shortening, thus part of the fornix is pulled up into the mediastinum. Frequently, in patients with reflux esophagitis the stricture only involves the cardia sparing the esophagus; still a shortened esophagus could be detected.

Image
Fig.4.: Esophageal stenosis

 
Radiographic findings: A long segment, sharp contoured esophageal stricture is detected. Due to stiffness of the fibrotic wall no peristaltic activity can be seen. Differentiation from tumors can be difficult, thus patient history is important. Tumors cause slowly progressing dysphagia, but generally involve shorter segments.

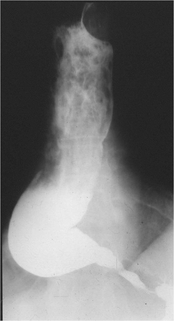
Esophageal diverticula
Esophageal diverticula are classified according to their pathogenesis and anatomic location.

Anatomic site:

  • pharyngo-esophageal junction
  • epibronchial
  • epiphrenic
  • epicardial

 
Based on pathomechanism:

  • traction diverticula
  • pulsion diverticula

 
Pulsion diverticula are caused by high esophageal pressure due to the increased tone of the lower esophageal sphincter.

Traction diverticula are the result of inflammatory processes adjacent to the esophagus. The inflammation leads to fibrosis and adhesions, and the contracting scar tissue exerts a pulling force on the esophageal wall.
Generally, traction diverticula have a wide opening, and stay asymptomatic. Retained food particles can easily enter and exit the diverticulum. They are often discovered accidentally. As their size increases pulsion diverticula can lead to dysphagia.

Clinical presentation: Presentation depends on the anatomic location. Diverticula located at the pharyngo-esophageal junction, are also called Zenker’s diverticula. In addition to causing dysphagia they can block swallowing completely. The patients complain of food regurgitation when they lean forward. However, they deny feeling sick when they are asked directly. Regurgitation without nausea is a characteristic symptom of Zenker’s diverticulum. All patients have to be asked about this sign, as it could divert the usual gastric disease centered work up towards an upper GI series which can promptly localize the Zenker’s diverticulum.

Image
Fig.5.: Epiphrenic diveticulum

 
Radiographic findings: Pulsion type epiphrenic diverticula manifest as rounded contrast retaining objects, with sharp contours. Pulsion diverticula characteristically have a narrow orifice.

Malignant processes in the esophagus are mostly esophageal carcinomas.

Clinical presentation: Carcinomas have a slow and insidious onset. Patients can stay symptom free for months, thus the lesion is rarely detected in an early phase. Most patients fail to contact their physician even after developing the first symptoms. The disease primarily affects alcoholic men who smoke and who are often in a deteriorated physical condition. The earliest symptom is dysphagia, which gets worse by time. Frequently, the diagnosis is delayed till the patient can consume only liquids. By this time the disease is usually in an advanced stage and curative surgical resection is not possible.

Image
Fig.6.: Esophageal tumor.

 
Radiographic findings: Relatively short segment esophageal stenosis with markedly irregular contours. The esophageal wall is stiffened at the tumor site.

Image
Fig.7.: The CT scan shows prominent wall thickening in the narrowed esophageal segment.

 

13.4. X-ray examination of the stomach

13.4.1. Preparation:

The patient has to take a fast. The examination is performed in the morning hours when the amount of the fasting gastric secretion is the smallest.

Materials and methods

  • functional
  • double-contrast

 

13.4.2. Functional studies

Functional studies examine peristaltic activity of the stomach. Physiologically, peristaltic contractions are travelling down in parallel on both the smaller and greater curvatures, with folding of the gastric wall and axial propagation of the peristaltic waves. The signs of abnormality are stationary waves, sluggish contractions, and parietal stiffness. Motility studies are often performed to detect disorders of gastric emptying. A single-contrast technique is used. Depending of the indication either water-soluble iodine based, or barium based contrast medium is selected.

In postoperative states when the danger of early complications is high water-soluble contrast media must be used for the examination.

Disorders of gastric emptying:

  • mechanical
  • paralytic

 
Mechanical emptying disorders are caused by:

  • tumors of the pancreatic head
  • post-operative states, stenosis following pylorus preserving pancreatico-duodenectomy (PPPD)
  • incarcerated hiatus hernia

 


Image Image

Fig.8., 9.:Incarcerated hiatus hernia

 
A middle aged female with eight day history of abdominal pain was emergently admitted to the surgery department. The chest and abdominal radiographs showed no alteration, thus the patient was released home. Four days later she was readmitted to a different hospital where the upper GI series revealed an incarcerated hiatus hernia. Surgical exploration confirmed perforation of the ulcerated wall in the incarcerated gastric segment. Second review of the initial chest x-ray a found a right lower mediastinal soft tissue mass that had already been present at the time.

Upper GI series must be always performed in these patients!

Paralytic gastric emptying disorders could be precipitated by multiple factors, and can advance into gastroplegia.

  • peritonitis
  • in the first 24-48 hours post operatively
  • poisoning
  • bulimia related over-distension
  • severe diabetes
  • side effect of medication

 

Image
Fig.10. Gastroplegia

 
An 18 years old bulimic female patient was admitted after eating a pot of lentil stew. She was immediately transferred to the operating room, but she died during the surgery. On the plain film the overtly distended stomach almost completely fills the abdominal cavity.

Selection of contrast media for the gastric emptying studies should be based on the anamnestic data (ie. if a gastroscopy was performed) and on the clinical question. While with a double-contrast study the luminal relief is examined, with a single-contrast technique we can evaluate gastric wall motility and the coordination of peristaltic contractions. The opening of the pylorus and the speed of gastric emptying should also be checked. If sings of abnormal gastric emptying are detected, the patient has to be further examined. Control examinations may be necessary at one, two, and four if necessary even at 24 hours after the initial study. Radiographs in the series are labeled with “hpc”. (ie. 1 hpc, 2 hpc). “Hpc” is acronym of the latin expression “hora post coenam”, which stands for hours after contrast indigestion.

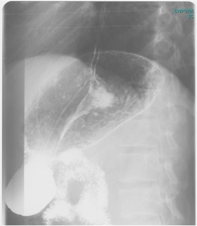
13.4.3. Double-contrast examination of the stomach

A double-contrast study is performed whenever morphology of the stomach has to be evaluated. We primarily look for fine lesions of the gastric mucosa. For example, presence of a gastric polyp signals a precancerous condition. Mucosal folds of the stomach (columnae rugarum), surface pattern of the mucosal glands (area gastricea) have to be visualized as well. Barium coating helps to better examine gastric wall contours and recognize excess collections. Luminal distribution of barium can be controlled by turning the patient to his side.

Image
Fig.11.: Anatomical sections of the stomach
Image
Fig.12.: Double-contrast gastrography

 

13.4.4. Diseases of the stomach

In general, diseases of the stomach, irrespective of the etiology, most frequently affect the gastric antrum, or they are originating from the antrum. As it is also often said in the stomach the antrum is the “locus minoris resistentiae”.

Gastric ulcer
Clinical presentation: Epigastric pain that typically occurs after meals.

Characteristically, ulcers cause tissue defects in the stomach wall, therefore on radiography they present as excess contrast collections in profile views. When pictured “en face” an adhesive spot is seen, as the contrast media fills out the tissue defect. Ulcers can reach a large size when they are called giant ulcers. In postoperative states, in burns and in trauma patients the gastric mucosal defects evolve rapidly forming stress ulcers.

Typically, gastric ulcers follow a relapsing remitting disease pattern and could spontaneously heal by time. However, as soon as a recurrent inflammation is seen at the same site the diagnosis is changed for chronic ulceration. The clinical symptoms worsen as the recurring cycles of inflammation and fibrosis lead to scar tissue formation. Scarring can be constrictive. It is visible on the radiographs that due to the fibrosis the gastric folds are radially arranged around the ulcer rim leading to a characteristic stellate appearance.

Image
Fig.13.: Gastric ulcer

 
Ulcers located on the greater curvature show greater tendency of malignant transformation; sometimes they begin with an ulcerated carcinoma. In contrast to benign lesions malignant ulcers typically do not form round contrast collections, and due to infiltration of the stomach wall no peristaltic activity can be detected around them, rather parietal rigidity is seen.

Benign gastric ulcers are seen as round collections on the GI series. At the neck of the ulcer a collar formed by the edematous mucosal ring is called the Hampton line, which appears as a thin, sharp translucent line on the radiograph. Opposite to the ulcer the gastric wall shows a permanent finger like invagination corresponding to a stationary peristaltic wave.

Image
Fig.14.: Radiographic image: typical gastric ulcer
Image
Fig.15.: Ulcerated carcinoma occurs typically on the grater curvature with irregular filling defect and infiltration of the surrounding wall

 
Gastric polyps
Clinical presentation: asymptomatic, can be an accidental finding.

Identification of gastric polyps is a highly important role of the upper GI series. Polyps in the 5 mm range are already well detectable. It is considered a precancerous condition and generally presents as a round mass with a luminal protrusion. If pictured “en face” in the sagittal plane they can be seen as round, sharp contoured lesions.

Image
Fig.16.: Radiographic image: in the gastric body multiple, 5 mm long and smaller ring-like lesion can be identified.

 
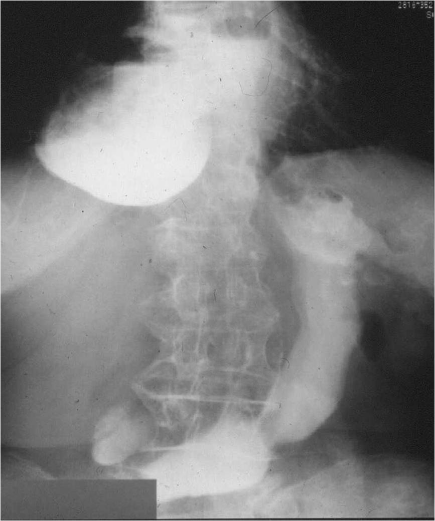
Hiatus hernia
Clinical presentation: axial hernia is typically associated with complaints of gastroesophageal reflux; patients can also experience tightness around the chest. Larger hernias can lead to a gastric emptying disorder.

Axial and paracardial hiatus hernias can be distinguished. The clinical signs are important to differentiate between the two entities as they may require a different therapeutic approach. In axial type hernias the gastric cardia and part of the stomach is displaced into the thoracic cavity. This condition is always accompanied by gastroesophageal reflux as the cardia loses its function and it does not prevent regurgitation. The patient complains of heartburn. In paracardial hiatus hernias the cardia is located below the diaphragm, while the herniated segment of the stomach may compress the cardia. The patients usually remain symptom free, thus paracardial hernias are often diagnosed accidentally.

In the everyday practice we also often see sliding hernias. In these, the hernia could only be detected in certain body positions or by applying provoking maneuvers. Wile in upright position the hernia reduced back into the abdominal cavity, and a normal anatomical configuration is seen. In extreme cases the whole stomach can be herniated into the mediastinum and rotates 180 degrees alongside the esophagus, which is also called the upside-down stomach sign.

Image
Fig.17.: Radiographic image: Axial hiatus hernia. No gastric air bubble could be found in the regular subdiaphragmatic position. The gastric fundus and the cardia can be localized above the diaphragm. High grade reflux is detected in supine position.

 
Gastric neoplasm
Classification of gastric tumors:

  • benign (polyp, adenoma, leiomyoma, fibroma, neurofibroma)
  • semimalignant (villous polyps, papillary adenoma)
  • malignant (gastric carcinoma)

 
Classification of malignant gastric tumors according to their gross appearance (Bormann classification):

  • I. Polyp like: sharply demarcated polyp like carcinoma (cauliflower like filling defect)
  • II. Superficial: sharply demarcated ulcerating carcinoma, polyp like, with intraluminal contrast collection due to necrosis (favorable prognosis, usually in the antrum, the center can be digested and disappear forming a bowl shaped lesion with a 5-8 mm wide collar)
  • III. Excavated: poorly circumscribed ulcerating carcinoma (invasion front on the circumference, could not be sharply demarcated from its surroundings)
  • IV. Infiltrating: diffusely infiltrating carcinoma (in an extensive disease it can completely infiltrate the gastric wall – linitis plastica (carcinomatous shrinking of the stomach) aka. scirrhus

 
Clinical presentation: In an early stage symptoms are vague including abdominal discomfort and fullness. Loss of appetite, later disgust from meat is experienced. Weight loss, nausea, occasionally bloody emesis are also seen.

The radiographic picture is quite variable. Often a concomitant gastric wall deformity is detected. Frequently, the tumor arises in the antrum. Lesions protruding into the lumen appear as shadows of lost luminal filling. In advanced cases the whole stomach is deformed, with luminal narrowing. The gastric wall is stiffened progressing into a gastric emptying disorder by time.

A distinct form of gastric cancer is linitis plastica or scirrhus. The clinical symptoms are identical with those are seen in other types of gastric carcinomas. However, it is associated with characteristic radiographic and microscopic features.

Image
Fig.18.: Scirrhus

 
Radiographic findings: Generally, the lesion starts in the antrum. In the beginning it does not produce any overt symptoms other then parietal stiffness, until the infiltrative tumor spread remains confined to the gastric wall and does not involve the mucosa. Endoscopy can suggest altered wall motility. This can be verified on the upper GI series. The affected wall segment does not show peristaltic activity. The relief of the lesser curvature has a serrated appearance, and wall stiffness could expand to the entire stomach. The stomach morphology transforms into a tube like configuration, while the gastric size is shrunken.

13.5. Examination and diseases of the duodenum

Materials and methods:

Upper GI series are performed. (In addition to the stomach the duodenum must always be examined as well.)

The most common alteration is duodenal ulcer.

Clinical presentation: Characteristically, it almost never shows malignant transformation, but recurs frequently. The patients complain of epigastric pain which is usually precipitated by fasting and the symptoms are relived after meals. Duodenal ulcers can also bleed causing anemia. Ulcers can occur in the pylorus as well. Frequently, recurring ulcers heal with scarring and contraction of the bowel wall which leads to deformity and narrowing of the duodenal bulb. Pyloric ulcers may cause pyloric stenosis.

Image
Fig.19.: Duodenal ulcer.

 
Radiographic findings: They form a prick like collection in the wall of the duodenal bulb. If the ulcer is small it could be only seen when external pressure is applied on the region. The instrument that is used for compressing the abdomen during the examination is called the distinctor.

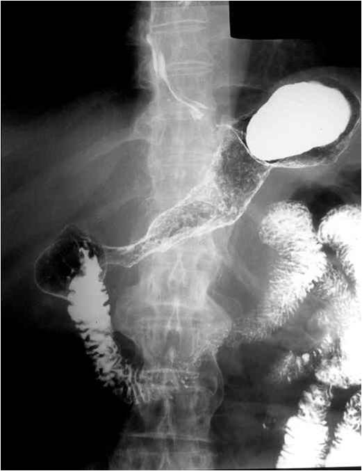
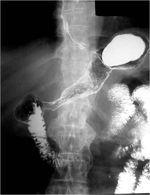
Diverticula can also be located in the duodenal curve. It is more common however, that diseases of the pancreatic head propagate to the duodenum. As the pancreatic lesion grows the duodenal lumen can be mechanically obstructed thus blocking the gastric emptying. In diseases of the pancreatic head the duodenal curve could be distended the common bile duct is occluded eventually, leading to jaundice.

Clinical presentation: nausea, vomiting, abdominal pain, jaundice, feeling of gastric fullness.

Radiographic findings: In space occupying lesions of the pancreatic head the duodenal curve is distended. Due to the compression, the Kerckring folds are blunted and show a semi-opaque filling pattern. Initially the lumen is narrowed, later it can be completely obstructed.

13.6. Examination and diseases of the small bowel

Contrary to the upper GI tract and the colon the small bowel could not be visualized with endoscopy. Thus its radiographic examination requires a different approach.

Material and methods:
Studies can be either morphological or functional. For assessment of the morphology selective enterography is the most suitable method. Functional studies are called follow through or passage examinations.

Examination technique:
Nowadays, selective enterocylsis is performed with CT or MRI scanning. With the more detailed imaging technique not only the parietal morphology of the small intestine, but lesions in the surrounding abdominal structures can be simultaneously detected.

Capsule endoscopy is a novel method, when the patient swallows a plastic capsule equipped with a miniature camera, which takes serial pictures of the intestinal wall as it moves forward. It exits the anus by the natural bowel movements, thus pictures taken by the capsule can be analyzed.

Follow through studies are performed when there is clinical suspicion of a mechanical bowel obstruction, also called as ileus. After an initial plain abdominal film has been taken the patient consumes water soluble contrast which passes through the intestinal tract. Meanwhile, additional abdominal radiographs are taken with one hour intervals. These are the so called “hpc” radiographs. If a mechanical obstruction is suspected the examination is continued until the contrast agent gets to the rectum. The follow through study can differentiate whether the patient has ileus or partial block of the intestinal transit, also called subileus.

The original meaning of the term “ileus”: A word of Greek origin, it was initially used to describe only intestinal twisting or volvulus. Nowadays, it is used in a more general sense to all kinds of mechanical or functional blockage of the intestinal contents.

Image
Fig.20.: Follow-through examination

 
On the abdominal radiograph distension of the small bowel loops and air-fluid levels can be identified. It is important to describe forwarding of the contrast media by time or if mechanical obstruction is seen. Morphology of the intestinal loops could not be assessed with this method. This study is specifically conducted to examine the transit function only.

Image
Fig.21.: Radiograph of selective enterocylsis

 
Chron’s disease
Clinical presentation: diarrhea, weight loss.

Image
Fig.22. Crohn’s disease

 
Radiographic findings: Most frequently luminal narrowing of the terminal ileum is detected. The wall is thickened, intramural and inter-intestinal fistulas may develop. The abdominal plain film is not suitable for identification of abdominal abscesses.

Diverticula can form in the small bowel, but with a very low frequency. In addition to regular diverticula rarely a Meckel diverticulum is seen.

13.7. Examination and diseases of the colon

13.7.1. Radiographic examination of the colon, material and methods:

  • single-contrast (irrigoscopy)
  • double-contrast (colonography, barium enema)
  • virtual colonoscopy

 
The barium sulfate suspension forms positive contrast while air is the negative contrast.

Irrigoscopy is a method to examine the large bowel which requires a careful preparation. Only the fully cleansed colon can be imagined properly:

Preparation:
On the night before the examination the large bowel should be cleared. Nowadays, we try to avoid enema preparations. For endoscopy preparation a clear-liquid diet is recommended which is best achieved by consuming mixed electrolyte rich fluids. Some preparations are specifically formulated for this purpose such as the X-prep.

Single-contrast acute irrigoscopy examination with water-soluble contrast medium:

Indication:

  • large bowel ileus
  • suspected perforation
  • suspected enteral fistula

 

13.7.2.: Diseases of the colon

Colon diverticulosis:

One of the most common disorder of the large intestine, its frequency increases by age.

Clinical presentations: Patients can be symptom fee. If complicated with diverticulitis it can cause abdominal pain in the region corresponding to the affected bowel segment. Bleeding, perforation can occur.

Radiographic findings: multiplex round collections are seen on the sigmoid and descending colon.
Double-contrast irrigoscopy.

Image
Fig.23.: Radiographic image: multiple, round filling defects are seen on the sigma and on the descending colon.
Image
Fig.24.: Double-contrast irrigoscopy

 
Colorectal polyp
Clinical presentation: Usually colon polyps are asymptomatic and constitute an accidental finding. They can bleed, thus a positive fecal blood test can draw attention to their existence. They are also considered precancerous lesions. Polyps larger than 2 cm are potentially malignant.

Image
Fig.25.: Radiographic findings: A round lesion with sharp edges protrudes into the intestinal lumen.

 
Morphologic types:

  • sessile poly
  • polyp like with stalk
  • villous adenomas

 
Colorectal tumors
Most commonly they are detected on the sigmoid colon however; all segments of the colon can be affected with variable frequency. Tumors in the right half of the colon bleed more frequently while, tumors in the left half show grater tendency for stenosis.

Clinical presentation:
Abdominal fullness, constipation, and with time diarrhea is characteristic, with complete obstruction of the lumen no stool is passed and ultimately colonic ileus ensues.

Image
Fig.26.: Napkin ring sign (or apple core sign), is a typical presentation of colon tumors.
Image
Fig.27. Rectal cancer arising from a villous adenoma causes a rugged contour and an extensive filling defect.

 

13.8. Concluding message

The purpose of this chapter is to aid the preparation of medical students. The author’s primary intention was to specifically emphasize and to help the students to master the proper radiographic terminology. Thus, when reading a radiology report they can associate the findings with a radiographic image, and can understand the types of alterations described by the radiologist. The consultation between the clinician and the radiologist could only reach completeness, and can benefit the patient the most, if they are mutually familiar with the terminology of the each other’s fields of specialty.

Translated by Pál Kaposi Novák
Changes translated by Dániel Tamás Kovács


Site Language: English

Log in as…