Loading...
 
PDF Print

Head and neck imaging

11. Head and neck imaging

Author: Péter Magyar

Semmelweis University Department of Radiology, Budapest

 

11.1. Aim

In this chapter an overview of head and neck imaging is presented to the medical students. It is important for a future doctor to be familiar with the different imaging modalities, their strengths, weaknesses and contraindications to adequately choose imaging study in a clinical problem.

11.2. Radio-anatomy of the head and neck

The diversity of pathology of the head and neck region is due to its very complex anatomy. The head and neck region encompasses tremendous spectrum of tissues in a compact space. Understanding both this special anatomic region with its normal tissue content and the scope of pathologic entities are the basis of the accurate assessment of a lesion in head and neck.

Head and neck section can be divided into clinically important subregions: 1) skull base; 2) orbit; 3) temporal bone; 4) paranasal sinuses; 5) facial bones; 6) floor of the mouth; 7) neck (supra- and infrahyoid) and 8) thoracic aperture.

The level of the hyoid bone is an important border in the neck section, that separates the suprahyoid neck compartment from the infrahyoid neck compartment.

Significance of the neck compartments: Recognition of the compartment in which a lesion exists is the basis of the adequate radiological evaluation of a lesion. This table summarizes both the suprahyoid and infrahyoid neck compartments. Those spaces that cross the entire length of the neck are in Italic.

Suprahyoid neck compartmentsInfrahyoid neck compartments
pharyngeal mucosal space (visceral space) anterior cervical space
parapharyngeal space (prestyloid compartment) posterior cervical space
parotid space visceral space
masticator space retropharyngeal space
sublingual space Danger-space
submandibular space perivertebral space
buccal space carotid space (poststyloid compartment)
retropharyngeal space
Danger-space
perivertebral space
carotid space (poststyloid compartment)

 
Orientation is further helped by the central localization of the parapharyngeal space, which is named as “compass of the suprahyoid neck compartment”. Danger space - found behind the retropharyngeal space - is bounded superiorly by the skull base, anteriorly by the alar fascia and posteriorly by the prevertebral fascia. It comes to an end at the level of the diaphragm. It gets its common name from the risk that an infection in this space can spread directly to the thorax.

Knowledge of the head and neck lymph node chains and the usual modes of spread of diseases is essential for accurate assessment of a head and neck malignancy or inflammatory process. Cervical lymph nodes are divided into six levels. Characteristics of the lymph nodes such as size (shorter diameter < 10 mm), shape (oval), and structure (cortical-hilar differentiation) have to be evaluated. In lymphadenitis (which is the most common cause of palpable neck mass in children), the lymph nodes become enlarged, but the echogenic fatty hilum and the thin hypoechoic cortex can be differentiated. However, in malignancy, the enlarged lymph nodes become hypoechoic, round, with loss of structure and cystic or necrotic degeneration in many cases.

11.3. Imaging modalities

11.3.1. Radiography (noncontrast and contrast)

Paranasal sinus radiography provides information about the air-content of the frontal and maxillary sinuses. Air-fluid level or decreased transparency in the paranasal sinuses suggests abnormality.
Facial bone radiography and orbit radiography can detect radiopaque foreign bodies and major fractures of the orbital walls; however, the part played by conventional radiography has decreased significantly with the widening availability of CT.
Conventional x-ray films (Stenvers and Schüller views) are capable of detecting ear disease with concomitant large bony destructions or deareation of the mastoid cells. However, for more subtle ear pathology CT or MRI is the modality of choice.
Lateral neck radiograph can evaluate thyroid enlargment by demonstrating tracheal narrowing or tracheal dislocation.
Dental panoramic radiograph of the teeth (Orthopantomogram) is used in everday practice, and its most common indication is to determine the status of wisdom teeth and trauma to the jaws. Radiopaque sialolith can be also discovered by this modality.
Swallow study is used to diagnose pathology in the pharynx and esophagus. It can be performed with barium in patients with dysphagia, pain on swallowing and mass lesions, or with iodine in perforation and in clinically suspected postoperative leakage.
Sialography – a radiographic examination of the salivary glands and associated ducts following the injection of a radiographic contrast media - is helpful in suspected cases of ductal stricture, calculi or sialectasia.

11.3.2. Angiography

Digital subtraction angiography (DSA) is a type of fluoroscopy technique - using ionizing radiation - to clearly visualize blood vessels of the neck in a bony or dense soft tissue environment. Advantage of the DSA – beside its excellent diagnostic value - that it allows therapeutic interventions. Intravenous iodine administration is contraindicated in contrast allergy and renal impairment. In neck, it excels in the diagnosis and treatment of carotid artery stenosis. Chemotherapy and embolization of tumors can be applied as well.

11.3.3. Ultrasonography

Most of the soft tissues in head and neck can be easily evaluated by ultrasonography. These examinations are performed with high-resolution 7-13 MHz linear array transducer, which have 3-5 cm penetration. The advanatages of US include good availability, multiplanar visualization, repeatable (no ionizing radiation), fast, and it provides real-time imaging. Postoperative sutures, tracheostoma and former irradiation of the neck make US examination more difficult.
Superficial soft tissues such as floor of the mouth, salivary glands, surrounding structures of the cervical visceral region, buccal, occipital and supraclavicular regions can be evaluated by B-mode ultrasonography. In the neck, thyroid gland, carotid and jugular vessels and lymph nodes can be examined by US. US can determine whether a mass is cystic or solid, and therefore able to differentiate between cellulitis and abscess. Superficial bony destruction of the mandible and facial bones can be evaluated by US. With Doppler function, direction and velocity of flow in neck vessels can be determined. Doppler-US also can provide information about the vascularisation of a neck mass.
Ultrasound-elastography is a newly developed imaging technique for the reconstruction of tissue stiffness by measuring the degree of tissue's deformation in response to the application of an external force. It provides information about solid and cystic masses, and can give help in biopsy planning by demonstrating the optimal site for puncture.
Contrast-enhanced US is not part of the diagnostic modalities used routinely; however, it is capable of demonstrating vascularity, enhancement pattern and cystic or necrotic areas of a mass.

11.3.4. Computed Tomography

CT has several advantages over traditional 2D medical imaging: provides cross-sectional imaging; eliminates the superimposition of images of structures outside the area of interest; provides good soft tissue resolution when intravenous contrast is administered; visualizes bony detail in complex fractures and bone destruction. Multidetector-row CT (MDCT) - with its submillimeter spatial resolution - is also capable of creating multiplanar reformatted imaging. Disadvantages of CT include high radiation-dose (which is approx. hundred times higher than that of conventional radiographs), and artifacts related to dental fillings.
Paranasal CT – nowdays - is performed in supine position, which constructs primarily axial images. Coronal view – which has similar appearance to sinus radiography - can be later digitally reconstructed. Earlier, CT was performed in a position to primarily get the coronal view; however, the quality of this technique was not satisfactory due to artifacts caused by metal-containing dental fillings. Noncontrast paranasal CT plays important role to assess more complicated, recurrent disorders, e.g. chronic sinusitis. Contrast-enhanced paranasal CT is a helpful imaging tool in soft tissue evaluation, e.g. in inflammation and tumours. However, in these cases, MRI provides an even better soft tissue resolution.
HRCT excels in the evaluation of air spaces and fine bone structures - including hearing ossicles - of the temporal bone. HRCT is primarily performed at submillimeter intervals, which allows reconstructions in all three planes.
Noncontrast orbit CT has an important role in the assessment of orbital bony injuries and localization of foreign bodies.
Contrast-enhanced orbit CT – if MRI is not available – can be indicated in inflammation and tumours.
Contrast-enhanced head and neck CT (from the skull base to the aortic arch) can evaluate acute inflammation and tumours. It can be used for tumour staging; however, for that MRI is the first-line modality by providing better soft tissue resolution. One of the disadvantages of head and neck CT – especially in children - is the relatively high radiation dose to which the eye lenses are sensitive.
CT angiography is performed to evaluate neck vessels. Carotid arteries can be examined from aortic arch to skull base by bolus technique in arterial phase.
It is important to mention an emerging new technique: the cone-beam CT (CBCT). A CBCT scanner utilizes a 2D flat panel detector, and it can acquire the image of the whole volume in a single rotation around the patient. The scanning software collects the data and reconstructs it by a mathematical algorithm, producing 3D images. This method uses ten times less ionizing radiation than conventional CT, while provides all the same information. Length that can be imaged by CBCT is approx. 5-16 cm; however, C-arm equipments used in interventional radiology are also based on the cone-beam principles. CBCT’s advantages are the lower cost and smaller size, which make this technique increasingly important. CBCT can be used to visualize anatomical detail of paranasal sinuses, in dental imaging and implantology.

11.3.5. Magnetic Resonance Imaging

MR provides outstanding sensitivity for the discrimination of soft tissues; therefore it excels in the evaluation of inflammatory and tumorous processes. MRI examinations take longer time than CT studies; however, it can provide direct multiplanar imaging. One of the advantages of MRI is the lack of ionizing radiation; therefore it is the modality of choice in pregnancy and paediatrics. In trauma emergency, metallic foreign bodies and life support appliances can be a problem. CT is superior to MRI in the assessment of air space anatomy and cortical bone structure in detail.
In orbit, facial and head and neck MRI, T1, T2, fat-saturated and contrast-enhanced T1 sequences are the most popular imaging sequences, which can be taken primarily in all three orientations (axial, sagittal, coronal), depending on the clinical problem.
Head and inner ear MRI is recommended to evaluate pontocerebellar soft tissue processes.
MR angiography is a group of techniques - based on flow effects (phase-contrast MRI) or on contrast (gadolinium-enhanced MRI) - to image blood vessels.

11.3.6. Nuclear Medicine

Thyroid scintigraphy – the most frequently used neclear medicine technique in head and neck – is performed by utilizing radioactive iodine, and it is capable of assessing the physiologic function of the gland. The functional status of a thyroid nodule may be categorized as hyperfunctioning (hot nodule) and hypofunctioning (cold nodule). Hot nodules (which are typically adenomas) are more often benign than cold lesions. Malignancies usually appear as cold nodules, while cysts typically present as cold nodules.
Parathyroid scintigraphy is performed to localize parathyroid abnormalities (e.g. ectopic parathyroid adenoma) in patients with hyperparathyroidism.
Functional status of the salivary glands can be evaluated by salivary gland scintigraphy.
PET is a functional imaging modality based upon the distribution of a glucose analogue radioisotope (18F-fluorodeoxyglucose, FDG). In combination with either CT or MR imaging - which modalities provide morphological information -, PET has greatly increased the sensitivity and specificity in the evaluation of primary as well as recurrent malignancies, in tumour staging, and plays an important role in inflammatory processes.

11.4. Radiology of the regions of head and neck

11.4.1. Skull Base

The skull base – which includes the sellar and parasellar region - can be subdivided into three regions: the anterior, middle, and posterior cranial fossae. For accurate radiologic assessment, the knowledge of skull base anatomy is crucial, since it contains many foramina through which both vessels and nerves pass.
Two-view skull x-ray films and projected petrous pyramid x-ray film can visualize major fractures, but they are not capable of detecting intracranial complacations, therefore their significance in clinical practice diminished.
As a general rule, bone deatil is best evaluated by CT, while MRI is the modality of choice for soft tissue visualization both in inflammation and malignancy. Noncontrast CT is the modality of choice in trauma to evaluate bone detail, and in malignancy to evaluate bony destruction. Skull base CT and MRI are always performed as part of either skull or head and neck examination. Contrast-enhanced MRI is required in inflammation and soft tissue propagation.
For hypophysis examination, - beside static CT and MRI - dynamic MRI can be performed, which allows excellent contrast between normal and abnormal intrasellar tissue, and also provides information about the hypophyseal perfusion in endocrinological disorders.
Scintigraphy and PET-CT are the modalities of choice in the detection of bone metastases.

11.4.2. Temporal bone

The temporal bone is the most complex bone in the human body. It consists of four parts: external ear, middle ear, inner ear and mastoid air cells. The temporal bone not only comprises the auditory and vestibular system, but also the place through which the internal carotid artery and the facial nerve pass. It is also tightly connected to the internal jugular vein, venous sinuses and nerve plexuses anatomically. The middle ear is linked to the epipharynx by the Eustachian tube, which allows propagation of pathological processes. Ear disease can spread to the intracranial space also (to the middle and posterior fossae). Both air-containing (middle ear, mastoid air cells) and fluid-containing (labyrinth, cochlea) areas can be found in the temporal bone, which makes imaging protocols even more difficult.
Conventional x-ray films (Stenvers and Schüller views) are able to detect ear disease with concomitant large bony destructions or deareation of the mastoid cells. However, for more subtle ear pathology CT or MRI is the modality of choice.
High-resolution CT (HRCT) is primarily performed at submillimeter intervals, and excels in the evaluation of bone and air space anatomy, and in disorders of the temporal bone, hearing ossicles and air cells. However, its role is limited in soft tissue pathology, mucosal thickening and fluid accumulation. In abnormalities of the middle ear HRCT is superior to MRI in most cases (except in tumours). HRCT is the modality of choice in conductive hearing loss, otoslerosis, and malignant otitis externa in diabetic patients and in surgery planning. One of the disadvantages of HRCT – especially in children - is the relatively high radiation dose to which the eye lenses are sensitive. Differentiation between hypodens structures filling the ear and air cells also might be problematic. HRCT’s role is also limited in the early detection of intracranial complications. Intravenous contrast administration in HRCT is not possible due to technical diffculties.
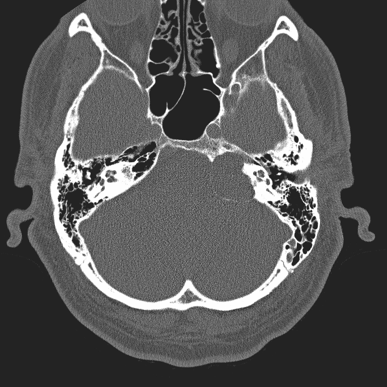
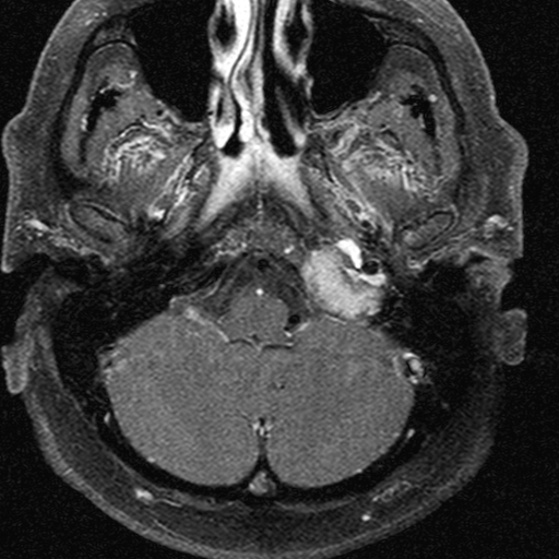
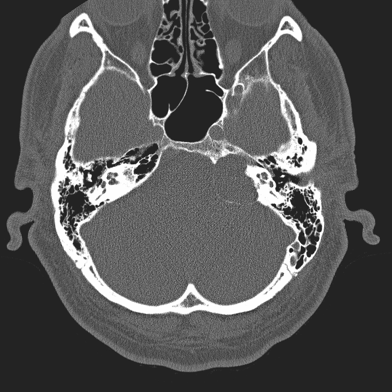
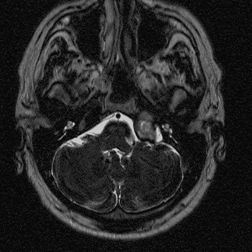
To evaluate soft tissue pathology, mucosal thickening and fluid accumulation, MRI is recommended, especially in the middle and inner ear. MRI plays an important role in inflammatory and tumorous processes, and in their intracranial and extracranial complications. MRI is the modality of choice to assess extracranial and intracranial complications of inflammatory ear disease, including most commonly epidural and cerebral abscesses and sinus thrombosis secondary to chronic otitis media. Examination of the pontocerebellar angle in sensorineural hearing loss is performed by a special thin-slice T2W MRI sequence and postcontrast T1W MRI, since these sequences are capable to detect acoustic neurinoma, while HRCT cannot visualize this abnormality. In some complex diagnostic cases both CT and MRI are needed for accurate diagnosis.

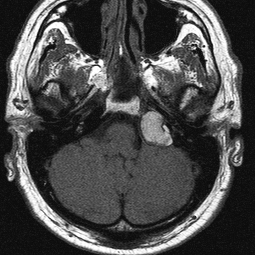
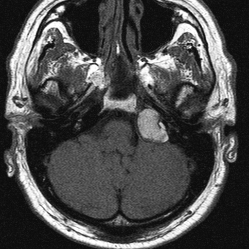
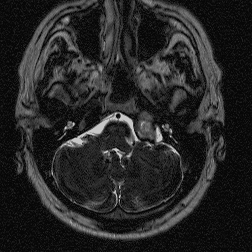
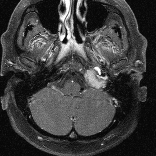
1. image: Patient with sensorineural hearing loss and tinnitus. MR-study (T2, precontrast T1 and postcontrast T1) reveal a mass in the left pontocerebellar angle without significant contrast enhancement. HRCT proves that the mass arises from the petrous pyramid, suggesting cholesterol granuloma. (Asklepios Klinik Altona, Hamburg)

 

11.4.3. Facial bones (orbit and paranasal sinuses)

11.4.3.1. Orbit

Orbit is a bony socket, which contains the globe, the muscle cone, and the extraconal and intraconal spaces. The orbit communicates with the intracranial space and the paranasal sinuses through fissures and foramens. The early diagnosis of any orbital pathological process is crucial to prevent intracranial involvement, visual loss or cavernous sinus thrombosis.
Orbit radiography can detect radiopaque foreign bodies and major fractures of the orbital walls, however, the part played by conventional radiography has decreased significantly with the widening availability of CT.
Eye and orbit ultrasonography is mainly used by ophtalmologists. It is a very useful modality to evaluate ocular disease, however it has a limited role in peribulbar and retrobulbar disorders.
CT has an important role in the assessment of orbital bony injuries and localization of foreign bodies. In trauma the advantages of CT are its ability to visualize any region without summation, to provide tomographic image and to detect tiny bony fractures without dislocation. Radioopaque foreign bodies can be localized easily by CT; however, the localization of radiolucent foreign bodies can be assessed only by indirect signs, especially in perforating bulbar injury. Bony destructions can be assessed by CT in either primary or secondary orbital tumours.

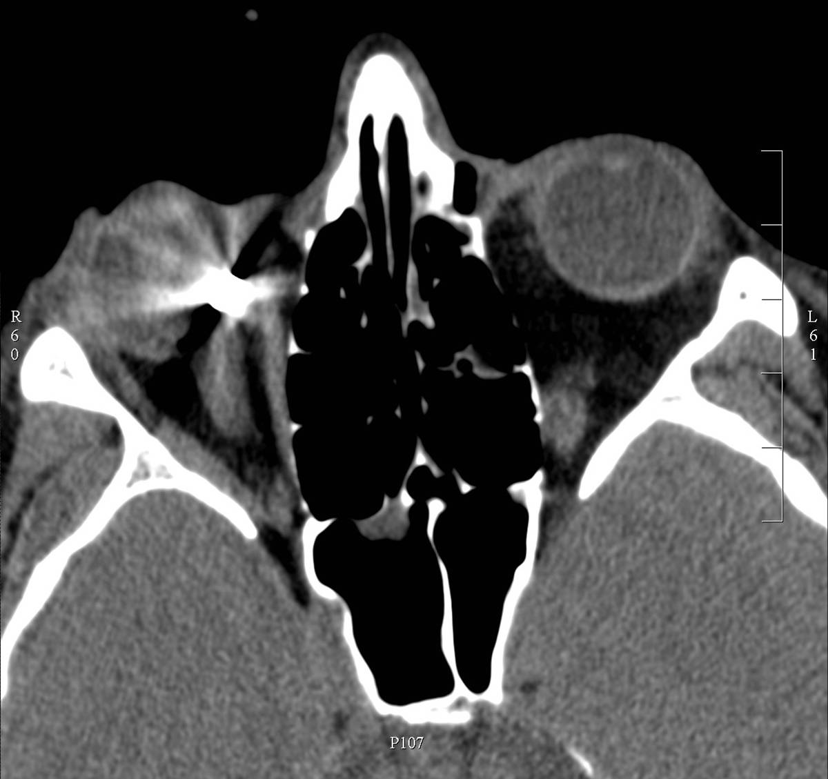
2. image: Axial view of the orbits in noncontrast CT. Metallic foreign body (indication for CT) in the medial part of the right orbit.

MRI with its excellent soft tissue resolution - performed with special orbital coils -, plays an important role in soft tissue imaging, both in inflammation (e.g. retrobulbar optic neuritis) and in tumours (e.g. optic nerve glioma and meningioma).
Ocular masses can be assessed with ultrasonography and – with the use of high-resolution coil - MRI. Once a mass lesion has been found in the orbit, its accurate anatomical localization – ocular vs. non-ocular, intraconal vs. extraconal - may aid the differential diagnosis. It is also important to diagnose possible cavernous sinus thrombosis, a potentially life-threatening condition. In most non-traumatic orbital imaging studies contrast administration is necessary, therefore contraindications has to be evaluated before the examination.

11.4.3.2. Paranasal sinuses

Paranasal sinuses - a group of four paired air-filled spaces, namely the maxillary sinuses, the ethmoid sinuses, the frontal sinuses and the sphenoid sinuses - form anatomical-functional unit. In everyday routine, air-content of the sinuses, factors that modify ventilation (septal deviation) and anatomical details have to be assessed by the radiologist. The ostiomeatal complex (OMC) is a collective term encompassing the ethmoidal infundibulum, the bulla ethmoidalis, the uncinate process and the middle nasal concha. OMC has many anatomic variations, which influence maxillary, ethmoid and frontal sinus ventilation.
Paranasal sinus radiography is a good first-line modality to evaluate the air-content of sinuses, especially in the case of the maxillary and frontal sinuses. In acute sinusitis it is rarely used: clinical information is sufficient to set the diagnosis in most cases. In recurrent sinusitis and nasal congestion paransal sinus radiography is helpful to decide whether any further imaging study is needed. In trauma paranasal sinus radiography can detect only major fractures. Radiopaque foreign bodies, elongated styloid process and the upper cervical vertebras can be evaluated by it as well. For further evaluation, CT is the modality of choice.
Paranasal sinus CT plays important role to assess more complicated, recurrent disorders. By noncontrast series, thin cortical bones, bony destruction and air-fluid levels, opacification of the sinuses can be determined. CT is of great value for determining anatomic landmarks and OMC variants. This information is of vital importance to the ENT-surgeon. Noncontrast CT allows rapid and detailed evaluation of facial bones including paranasal sinuses. Contrast administration is mandatory in soft tissue evaluation.
Contrast MRI is superior to contrast CT in tumorous processes; and lack of ionizing radiation makes it an even more important technique. The lens of the eye is sensitive to radiation, and children undergoing CT scanning of the head are vulnerable to this complication. MRI is extremely helpful in complicated sinonasal disease, is also the study of choice for detecting intracranial extension of sinonasal disease.

3. image: Paranasal sinus examination, coronal reconstructions (right panel: cone-beam CT; left panel: MDCT). Concha bullosa(asterisk) with ethmoidal infundibulum narrowing (arrow). Cone-beam CT and MDCT information correlates almost 100 %.

 

11.4.4. Neck

11.4.4.1. Suprahyoid (SH) neck compartments

The most complex region in the head and neck is the suprahyoid neck. Precise clinical questions and good cooperation between the referring doctor and the radiologist are required to plan adequte imaging study.
Facial bone x-ray is rarely indicated in SH abnormality: only radiopaque foreign body, elongated styloid process and the upper cervical vertebras can be evaluated by this technique. For further evaluation, CT is the modality of choice.
Superficial regions such as floor of mouth, submandibular, buccal, occipital and facial regions can be easily evaluated by ultrasonography. However, for deep structures such as parapharyngeal compartment, masticator space behind the ramus of the mandible, retropharyngeal space and deep portion of parotid space, cross-sectional imaging modalities (CT and MRI) are necessary. US – an ideal tool for the examination of neck lumps and masses – practically has no contraindications. It is usually the first-line modality for evaluation of lymph nodes, and to differentiate cystic from solid lesion. US with Doppler function is capable of depicting stenoses and thrombosis of vessels. Submandibular, sublingual salivary glands and superficial part of the parotid gland can be examined by US: size, structure, stones and duct dilatation all can be assessed. For the evaluation of the deep portion of the parotid gland, cross-sectional imaging modalities are necessary.
MRI can be considered as a first imaging choice to evaluate the suprahyoid neck; however, CT also can be performed. Both noncontrast and contrast series are needed. CT is indicated in infection and trauma. In tumours, CT has lower sensitivity in comparison to MRI. 90% of primary suprahyoid neck malignancies are squamous cell carcinomas. Other common tumours are adenocarcinomas of the salivary glands. Warthin tumour of the salivary glands and glomus tumour that arises from the carotid space can occur in suprahyoid neck also.
Salivary gland scintigraphy is used in Sjögren’s syndrome and parotitis.

11.4.4.2. Infrahyoid (IH) neck compartments

The infrahyoid neck is the region of the neck extending from the hyoid bone to the thoracic inlet.
Two-view cervical x-ray film can visualize bony alterations of the cervical spine. It is indicated in headache, vertigo and minor trauma. A special oblique view of the cervical spine can be important in patients with pain and/or altered sensation in their upper limbs, which can show the intervertebral foramina narrowed by degenerative bone dosirders or cervical rib.
Lateral neck x-ray, which is a useful tool to visualize dislocation or compression of the trachea, can be indicated in thyroid enlargement, stridor and upper airway compression. Erosion and irregularity of the mucosal lining and narrowing of the lumen can be signs of pharyngeal mass.
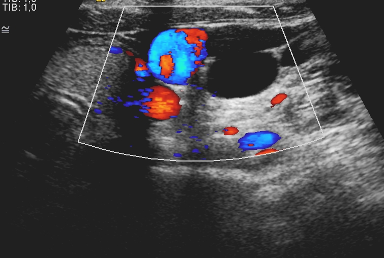
US – an ideal tool for the examination of neck soft tissue - can be first-line modality in case of palpable neck mass, thyroid enlargement, dysphagia and persistent hoarseness. US is widely available and capable of multiplanar, real-time visualization. US can determine whether a mass is cystic or solid and therefore able to differentiate between adenitis, cellulitis and abscess. One of the most frequent cystic neck mass is the branchial cleft cyst , which arises on the lateral part of the neck from a failure of obliteration of the second branchial cleft in embryonic development. Most common palpable neck mass in adults is related to metastatic lymphadenopathy, which is the early sign of pharyngeal or laryngeal carcinoma in many cases. A round, enlarged (> 10 mm) lymph node with loss of internal structure suggests malignancy. Enlarged lymph nodes in children are caused by lymphadenitis most frequently; however, in this case the central hilus remains echogenic and the internal structure is normal.

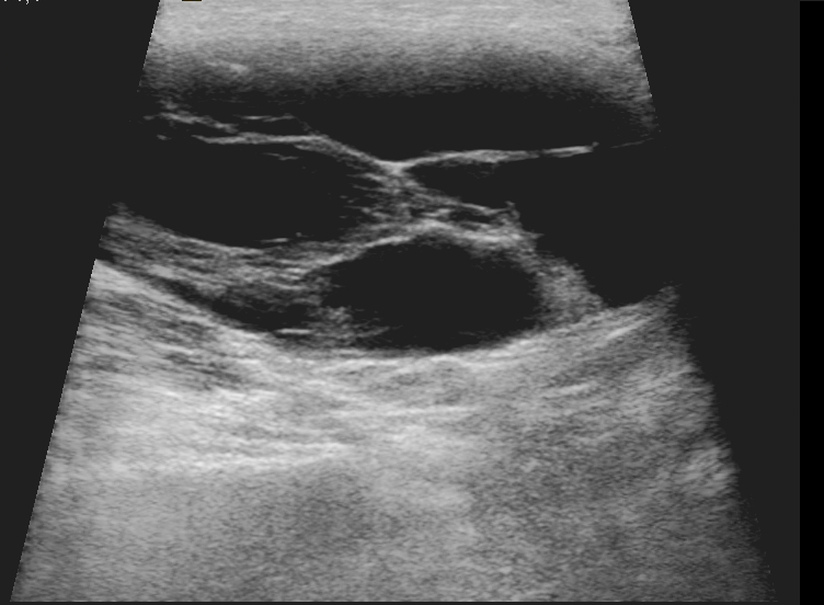
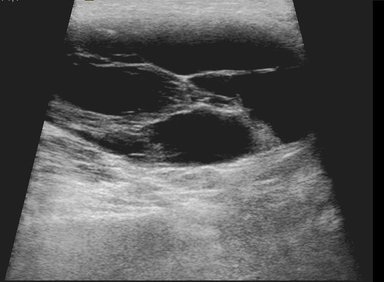
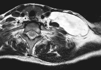
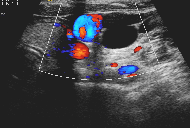
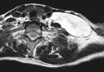
4. image: Young male patient with a left supraclavicular lump. Upper panel: complex cystic mass with sepatations; normal flow in the neighbouring vessels. Lower panel: T2W, postcontrast T1W, fat-saturation T1W MRI suggest cystic lymphangioma (Asklepios Klinik Altona, Hamburg)

In regard to the superficial position of the thyroid gland, ultrasonography is the first-line imaging modality after physical examination and blood test. Size of the thyroid lobes and isthmus, its homogeneity and possible masses all can be evaluated by ultrasound. Ultrasound-guided FNAB provides cytological information about the mass.
Thyroid scintigraphy provides a visual display of functional thyroid tissue. Hot nodule suggests benign adenoma, while in the case of a cold nodule, cyst or malignancy are the most common diagnoses. Goiter extending into the retrosternal space can be visualized by thyroid scintigraphy as well.
Parathyroid scintigraphy is a helpful tool in the localization of parathyroid adenoma, especially if they are ectopic.
CT and MRI are fairly comparable techniques for soft tissue evaluation in the infrahyoid neck. Advantages of CT include the fast scanning and minimal motion artifacts of the larynx and pharynx. Disadvantages of CT are the use of ionizing radiation and the artifacts related to the high concentration of iodine-based contrast in the proximal neck vessels. For this reason, MRI is the modality of choice for soft tissue disorders at the level of thoracic inlet. MRI is distinguished in its superior capacity to resolve soft tissue details; however, muscle artifacts from swallowing can be a problem. MRI is a useful tool for TNM staging of laryngeal and pharyngeal tumors, especially to determine the extent of local invasion.

11.5. Summary, take home message

Accurate assessment of head and neck region can be accomplished by deep understanding of its compartmental anatomy and scope of pathologies entities that may occur. Knowledge of strengths, weaknesses and contraindications of the imaging modalities significantly helps the referring doctor to choose adequate modality to the patient.

Translated by Zsuzsanna Lénárt


Site Language: English

Log in as…