Loading...
 
PDF Print

Emergency Radiology

15. Emergency Radiology

Authors: Péter Magyar, Balázs Krisztián Kovács

Semmelweis University Department of Radiology, Budapest

 

15.1. Aim

The aim of this chapter is to introduce imaging modalities used in clinical emergency. Well-defined diagnostic strategies are of primordial importance in order to ensure fast and optimal care of the acutely ill patients. In this chapter we discuss abnormalities grouped by symptoms and regions, similarly to real emergency situations, when the radiologist has only these pieces of information.

Definition of medical emergency
A medical emergency is an injury or illness that is acute and poses an immediate risk to a person's life or long term health. Emergency conditions can be classified into the following two major groups: trauma and non-trauma cases.

15.2. Emergencies in traumaacute

Traumatic injuries can be further classified into the following two major groups: less severe and life-threatening polytrauma injuries. After small traumas the patient is conscious, can talk and respond to questions adequately. In these cases targeted imaging of the injured region is sufficient, for example in fracture of the upper limb, two-view radiography is usually diagnostic. However, in polytrauma patients - especially if the patient is unconscious -, the choice of modality might be more ambiguous.

Treatment of trauma victims consists different levels, in which the acute level means the first hour. This is followed by the primary level, when life-threatening injuries are identified and treated. Secondary level means the treatment of non-life-threatening injuries, while tertiary level is the time for rehabilitation. Acute level has different phases, which are well-known in oxiology. In the first minute. patient’s general condition is evaluated and resuscitation is begun. In the first five minutes vital signs have to be normalized, and in the following hour head-to-toe evaluation of the trauma patient has to be executed for setting all diagnoses and to start adequate therapy. The question arises as to what role radiology has during this process.

In the first minutes – if resuscitation is not needed -, chest film and ultrasonography are useful tools. Chest film provides basic information about the cardio-pulmonary status, while ultrasonography can detect pleural, pericardial and abdominal fluid, and is able to visualize ruptured parenchamal organs. In polytrauma patients – who are unconscious and cannot respond to questions -, the first-line modality has to give answers to all clinical questions very fast. Therefore, in such patients CT plays an important role. Recent multislice spiral technique (MDCT/MSCT) is able to scan the whole body in some minutes. (We have to mention that evaluation of these studies takes more time than that.) Thus, nowdays CT equipment is part of the modern trauma suites.

1.Resuscitation room in Asklepios Klinik Altona, Hamburg

Many pathologies can be diagnosed and excluded by CT examination, however, it is important to remember of the high ionizing radiation it works with. MRI - the other tomographic modality - is used only in special emergency situations. Before an MRI examination all magnetic items have to be removed from the patient, which otherwise can be rapidly drawn into the magnet of the scanner – known as the missile effect. An important rule is to only bring MR-compatible equipment into the MRI suite. However, the trauma patient might have metallic implants in the body unknown by emergency staff, which contraindicate the study.

15.2.1. Conventional traumatology imaging

To discuss conventional traumatology imaging findings in detail is far beyond of scope of this paper. We mention here only some general rules:

  • In less severe cases targeted imaging of the injured region is mostly diagnostic.

 

2. Left panel: right femoral head fracture and sclerotic metastasis of the pubic bone. On previous CT no metastasis was found in the femoral bone. Right panel: Fracture of the left clavicle in a man after falling off the bike.
  • In soft tissue injury (e.g. muscle and tendon rupture) the first-line modality is ultrasonography. If US cannot visualize the given region, MRI is the modality of choice, e.g. in anterior cruciate ligament tear.
  • In skull trauma two-view radiographic film is no longer worthwhile. Intracranial injury can be diagnosed only by CT or MRI. In complex fractures, the localization of the bone fragments are necessary for surgery planning, and for this a CT study with 3D reconstructions is needed.

 
Choice of modality in conventional traumatology

X-ray
US
CT
MR
Bone fracture (at least two-view)Soft tissue
Articulation
Vessels
Bone fragments, fractures
+contrast agent (angiography)
Soft tissue
Tendon
  • In spinal truma CT is useful for localization of bone fragments, while MRI can visualize soft tissue structures within the spinal canal and discoligamentous injuries..
3.Back pain and decreased anal sphincter tone after motor accident. Left panel: Acute fracture of the 12th thoracic vertebra on CT. Right panel: Edema as a sign of acute fracture in the 12th thoracic vertebra on sagittal T2WI.

 
Choice of modality in spinal trauma

X-ray
US
CT
MR
Bone fracture (at least two-view)
soft tissue shadow
BUT: spinal cord injury might present with normal radiography
no indicationBone fragments, fractures
3D reconstructions
structures in the neighbourhood of the spine
assessment of spinal cord
discoligamentous injuries

 

15.2.2. In polytrauma

FAST / eFAST sonography
Frequently, the first imaging method for a severly injured patient is sonography. The “FAST” acronym stands for “Focused Assessment with Sonography in Trauma” which refers to the speed of the examination which should not exceed 2 minutes as stated by the protocol. During the examination, specific areas (epigastric area, right and left side, pelvic area) are examined to exclude pericardial, pleural and abdominal free fluid any of which may arise from injury to the vessels or parenchymal organs.

In the recent years this examination has been extended to the chest as well to exclude pneumothorax and thus the technique is called eFAST (extended FAST). The aim of this examination is to show the normal movement of the pleura during breathing which excludes the presence of a larger pneumothorax.

Whole-body CT
This is basically a gold standard for polytraumatized patients. It is performed in two steps. First, a native head CT is obtained to exclude intracranial hemorrhage. Second, the rest of the body is scanned after an injection of intravenous contrast media (depending on the injury, the lower extremities can be either included in or excluded from this scan). There are different protocols for the injection of contrast media: either one regular portal venous phase is obtained, or we obtain mixed phase where arterial and portal venous phase is obtained at the same time by giving the contrast media in two boluses with a small delay. Between the two steps of imaging, the emergency care of the patient can continue while the radiologist is already reading out the images obtained in the first step.

The readout of the whole-body CT usually starts with the exclusion of intracranial haemorrhage and then followed by a systematic review of the different organ systems. Of course we must not forget about the significant amount of radiation used for whole-body CT and we should use techniques to lower the dose of radiation, although this is not first priority in an emergency setting.

In polytrauma Ppatients it is crucial to realize and diagnose internal injuries, which are most commonly rupture of vessels and contusion of parenchymal or hollow organs. We introduce the most frequents injury types by regions, but it is important to remember that usually a polytrauma patient has more than one injured organ.

15.2.2.1. In spine trauma

Conventional X-ray exmination is still the primary imaging modality in cases of smaller traumas where clinical symptoms suggest that the damage is mostly affecting the paravertebral soft tissues. In the setting of polytrauma, checking for spinal injuries on the CT scan is part of the image evalutaion.

During evaluation the cervical spine needs to be examined the most urgently which allows us to decide whether the cervical collar is safe to be removed or if it is safe to intubate the patient using the regular method of hyperextension of the neck (e.g. when preparing for urgent surgery). We need to pay extra attention to the possible dissection of the vertebral arteries as they are running between bony structures!

When examining the spine, it is important to decide that the injury is stable or unstable. AO classification of fractures should be used avoid miscommunication. This includes the evaluation of the intervertebral discs and the ligaments which are better appreciated with an MR study and provide extra information for surgical planning. MR studies are also necessary in cases where the CT scan cannot explain acute neurological symptoms because the state of the myelon, traumatic disc herniation and intraspinal haematomas can be only detected with MR.

15.2.2.2. In skull trauma

The key question whether the patient ha intracranial hematoma, which causes mass effect and later leads to vasoconstriction. In the presence of open skull fracture signed by liquorrhea severe infection and herniation might occur. To exclude intracranial hemorrhage CT is the modality of choice.

All three types of intracranial hematoma can occur as a result of head trauma:

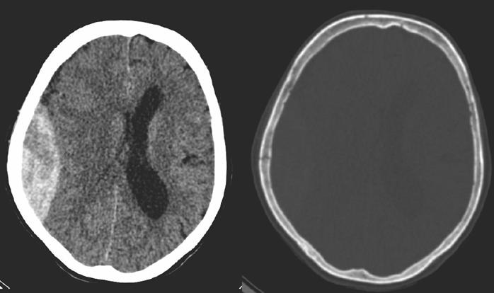
  • Rupture of the meningeal arteries may give rise to an epidural hematoma. At the site of the hematoma skull fracture can be observed.
4.Middle-aged man some days after direct head trauma. On noncontrast CT a lens-shaped, slightly inhomogenous epidural hematoma can be seen, that causes compression of the right lateral ventricle (left panel). In bone window skull fracture without dislocation can be found at the site of the hematoma (right panel).
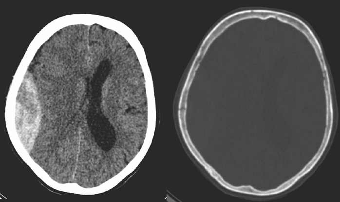
  • Subdural bleeding is caused by injured bridging veins (elongation, tears) e.g. when a sudden deceleration occurs. This type of injury generally is not associated with a fracture.
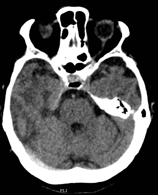
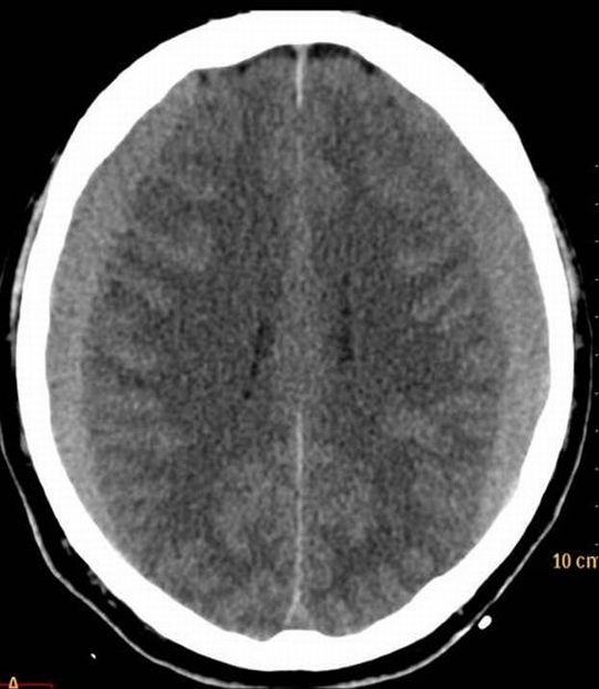
5. A middle aged chronic alcoholic male. On unenhanced CT a typical crescent shape subdural hemorrhage is seen on both sides. Because of its etiology it extends across suture lines.
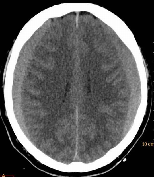
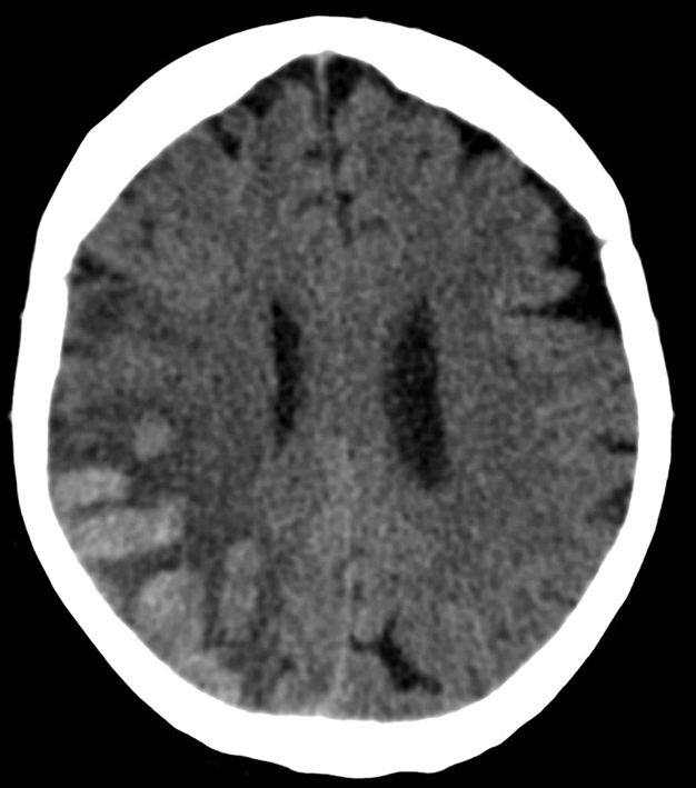
  • Subarachnoid hemorrhage develops after vascular injury or aneurysm rupture.
6. Middle aged female fell of a ladder. On the unenhanced CT scan the basal cisterns are filled corresponding to a subarachnoid hemorrhage.
  • Contusion hemorrhage occurs upon sudden deceleration (e.g. car accident - collision) when the brain parenchyma due to its inertness keeps moving and hits the cranial bone. Frequently, contusion develops on the opposite side as well, since on an abrupt stop the brain collides with the bone than bounces off and hits the opposite wall of the skull. (coup - contrecoup effect)
7. Elderly female was suffered a direct hit in the parietal region. Coronal reconstruction of a unenhanced CT scan: At the site of the impact on the right side parietally a typical lens shaped epidural hematome is formed. On the opposite side in the temporal lobe at the contrecoup contusion site parenchymal bleeding is seen
  • Fractures of the skull base deserve special attention. The classification is based on their close proximity to the intracranial fossae. The fracture can expose the dura, and if the subarachonid space brakes open cerebrospinal fluid can appear outside of the skull. In case of an anterior fossa injury cerebrospinal fluid leaks through the nasal cavity, in middle-posterior fossa fractures it sips through the external auditory canal. When a fracture is suspected special attention should be given to the evaluation of air containing cavities (ie. nasal sinuses, tympanic cavity) on the base of skull.
  • Among base of the skull fractures temporal bone, especially pyramidal fracture deserves specific mentioning. The reason for this the potential injury of the many important structures (organs of hearing, and balancing, the facial canal and segments of the internal jugular vein and carotid artery should be specifically mentioned) located in this bone. Due to the primarily bony structure CT is the mandatory method of choice (HRCT).

 

15.2.2.3. Traumas of the facial bones

They are emergencies as in part of the cases they, although, are not life threatening, can alter quality of life. Preservation of organs of vision, smell and taste sensation as well as
the integrity of facial features and mimics have an importance beyond question. The bony environment and reconstructive surgery techniques are necessitating that in this region MDCT is indicated. In the work up post-processing of the primary images can be relevant e.g. 3D reconstructions are prepared for surgical planning.

  • For routine diagnosis of nasal bone fractures a radiogram is taken only from a lateral projection (PA radiograms have no value due to superimposed shadows of the cranial bones).
8.A young woman was assaulted. She had nose bleeds and a laceration at root of the nose.
  • Fractures of the facial bones are classified (Le Fort I-III. types) into separate groups based on whether only the alveolar process (dentoalveolar) is interrupted, a pyramid shaped fracture of the maxillary bone below the inferior orbital rim is seen, or the entire viscerocranium is separated from the skull base.
  • The blunt hit of the orbit and the thin bony wall especially causes burst in the direction of the maxillary sinus it is called blow-out fracture. During this event part of the orbital contents protrudes into the sinus, risking entrapment between the bone layers. It can lead to eye movement dysfunction / altered vision. CT is the method of choice to diagnose fractures .(In case of a trauma we could not be certain that there is no ferromagnetic metallic object in the eye socket, that can act as a projectile during the MRI exam). Because of small, non-dislocating fractures x-ray of the orbita is not sufficient. The patient’s age and the radiation proctection of the lens should be also considered.
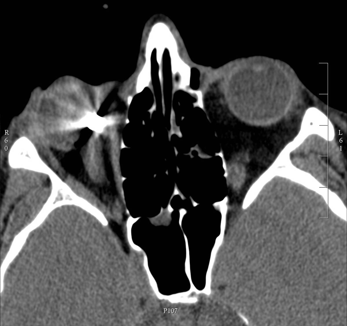
9. Young man in his home worked with a polisher in protection glasses. On the unenhanced CT scan in the medial portion of the right bulbus a metallic density object can be seen. The strong metallic artifact obstructs the image of the penetration of the posterior bulbus (double penetrating ocular injury).
  • Among the paranasal sinuses burst fracture of the maxillary sinus happens most frequently. A direct blow from the front or from the side hitting thezygomatic bone can lead to a tripod fracture. In this case the zygomatic bone protrudes into the maxillary sinus, and usually the zygomatic arch is also fractured, due to the instability. Typical finding that if the patient blows his nose an orbital and periorbital subcutaneous emphysema develops. It is well seen on the CT images and can be felt as a crepitation on physical exam.

 
Choice of modality in skull trauma

X-ray
US
CT
MR
Nowadays only used for diagnosis of nasal bone fractureNo indicationUnenhanced scan for exclusion of bleeding or stroke (a stroke might have been the cause of the accident)
+ contrast
Bony structures fractures exact localization
In cases where CT cannot explain neurologic symptoms (only after exculsion of contraindications)

 

15.2.2.4. In chest trauma

We discuss two conditions

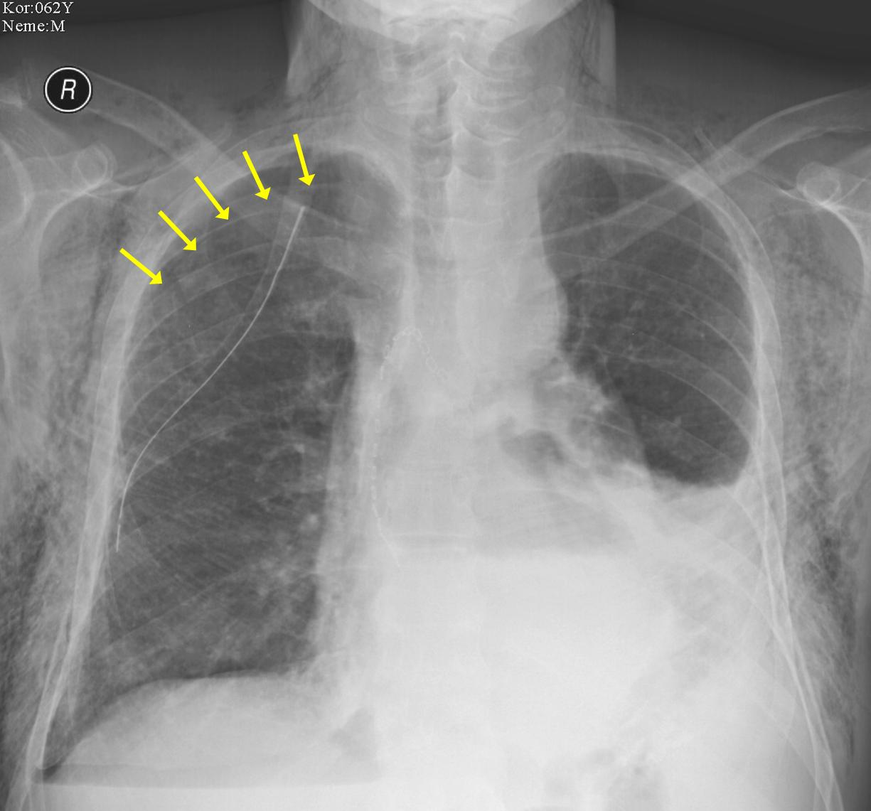
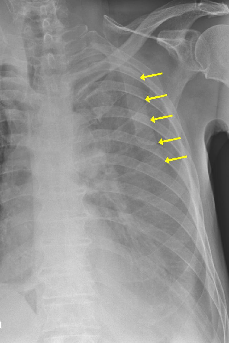
  • Pneumothorax or mediastinal free air means that there is free air in either in the pleural cavity or in the mediastinum. This condition is usually apparent on chest x-ray (In injuries there is also blood in the pleural cavity)
10.Pneumothorax on plain film and a skin fold
  • Aortic rupture occurs after rapid deceleration it is usually located at the transition of the aortic arch and the descending aorta, as the aortic arch more mobile than the descending aorta, it can be diagnosed with CT angiography.

Choice of modality in chest traumai

X-ray
US
CT
MR
Cardioplumonary survey
Pneumothorax
Pleural fluid
Mediastinal pathology
Diaphragmatic rupture
Contusion
Radiopaque foreign body
Bony structures
Pleural fluid
Pericardial fluid
Pneumothorax
Unenhanced scan pleural and pericardial fluid,
contusion, fracture, radiopaque foreign body
and their localization
IV contrast (angio)
No indication

 

15.2.2.5. Abdominal and pelvic traumas
  • Rupture and contusion of the parenchymal organs. The affected organ is usually already detected on US however, only CT can give definitive diagnosis, e.g. when the organs are covered by bowel gases. With US the liver the spleen the kidneys can be well examined, although the pancreas frequently could not be visualized, as it is covered by meteorism. Furthermore, US might not be able to detect injuries of parenchymal organs when the capsule of the organ is not ruptured. When evaluating the CT scan of the polytrauma patient the grade of severity is usually defined by the AAST (American Association for Surgery of Trauma) classification specified for each organ.
  • Similar to the limbs, neck or chest after a heavy impact abdominal vascular injuries could also develop. They could be detected by US however CT provides a more reliable diagnosis.
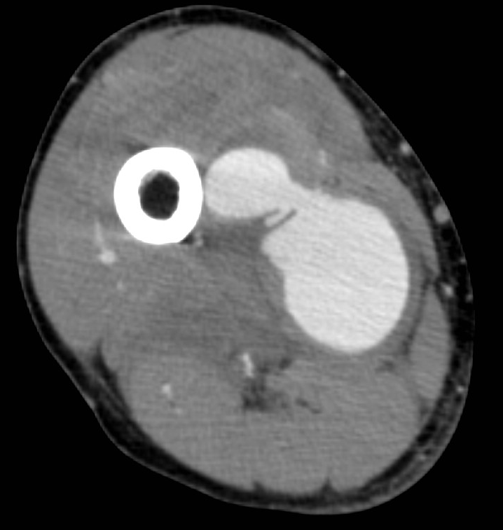
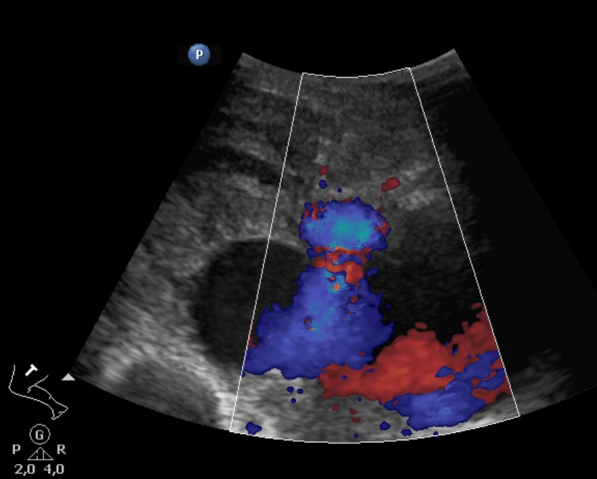
  • A knife falling from a kitchen table stuck into the right thigh of an 18 year old young man. Increased femoral circumference and pulsating mass were seen. In the upper image with femoral Duplex sonography pseudoaneurysm of the femoral artery is detected

In the middle with a CT angiography the pseudoaneurysm shows contrast enhancement.
In the lower image 3D reconstruction of the CTA

11. A knife falling from a kitchen table stuck into the right thigh of an 18 year old young man. Increased femoral circumference and pulsating mass are seen. In the upper image with femoral Duplex sonography pseudoaneurysm of the femoral artery is detected In the middle with a CT angiography the pseudoaneurysm shows contrast enhancement. In the lower image 3D reconstruction of the CTA

 

15.2.2.5. Foreign bodies

Foreign bodies could enter the human body in every possible way. The best way to detect them if we are familiar with the application fields of the imaging modalities.
With plain radiography radiopaque foreign objects could be identified. Let’s not forget that images always should be taken at least from two directions. Plain radiographs contain summation images of one projection in order to be able to localize the object orthogonal projections are necessary, fluoroscopy and CT can also be helpful in undetermined cases.

12 A young dancer was partying in the dressing room with his friends. He suddenly swallowed down an object which on the abdominal radiogram proved to be a cupboard key.

 
Non-radiopaque foreign bodies are more difficult to detect, superficially located objects (e.g. impacted sutures) could be identified by US, deeper located object can be looked up with MRI.

Choice of modality in abdominal traumas

X-ray
US
CT
MR
Free air
Irregular soft tissue shadow
Radiopaque foreign body
Bones
Contrast studies
Abdominal fluid collections
Rupture of parenchymal oragans
Vascular injuies
Free air?
Unenhanced scan free air, fluid collections, rupture,
bones, exact location of radiopaque foreign bodies
CE angiography ruptures (detailed view) injuies of the urinary collecting system
Bony structures farctures detailed view
For special questions (e.g. biliary duct injury) after primary diagnostics is done

 

15.3. Non trauma emergencies

In this chapter we discuss cases based on the presenting symptoms, The conscious or cooperating patient generally complains of pain thus differential diagnosis is based on character and localization of the pain, patient history and physical examination.
Discussing the findings with other clinicians involved in patient care is especially important. In abdominal emergencies there is no indication of an immediate abdominal CT scan. The examination has to be planned and performed differently in pyelon rupture than in acute pancreatitis. Thus, it is imperative to provide the radiologist with the potential differential diagnoses.

15.3.1. Headache

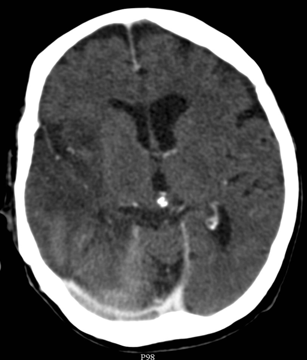
  • Selection of adequate imaging modality should be based on whether an intracranial or extracranial localization is suspected. Intracranial diseases are discussed in the neurology chapter. In emergency cases CT (both unenhanced and contrast enhanced) is the primary imaging modality, occasionally MRI is also used to evaluate lesions of the brain.
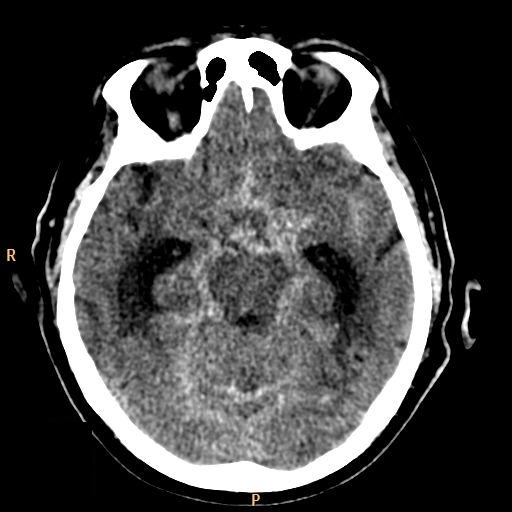
  • In the stoke focal neurological signs might be helpful to establish a diagnosis while headache is less frequently seen. The diagnostic work-up of ischemic stroke is described in more detail in the neurology chapter. Headache, sudden non ceasing pain may indicate hemorrhagic stroke (e.g. subarachnoideal bleeding, SAH). An unenchanced CT can be diagnostic, it is widely available and fast, even compared to the most advanced MRI sequences. In SAH to guide the therapy site of bleeding has to identified therefore an MR or CT angiography is usually included in the work-up protocol.
  • Sinus thrombosis can occur in any of the intracranial sinuses. However, only cavernous sinus thrombosis constitutes a medical emergency. Facial, orbital, intracranial infections may be associated with sinus thrombosis. If available MRI is the method of choice to diagnose a suspected sinus thrombosis, or similar to other vascular diseases a contrast enhanced CT should be performed (MR and CT venography). Otogenic processes (e.g. mastoiditis) are frequently complicated with thrombosis of the sigmoid sinus.
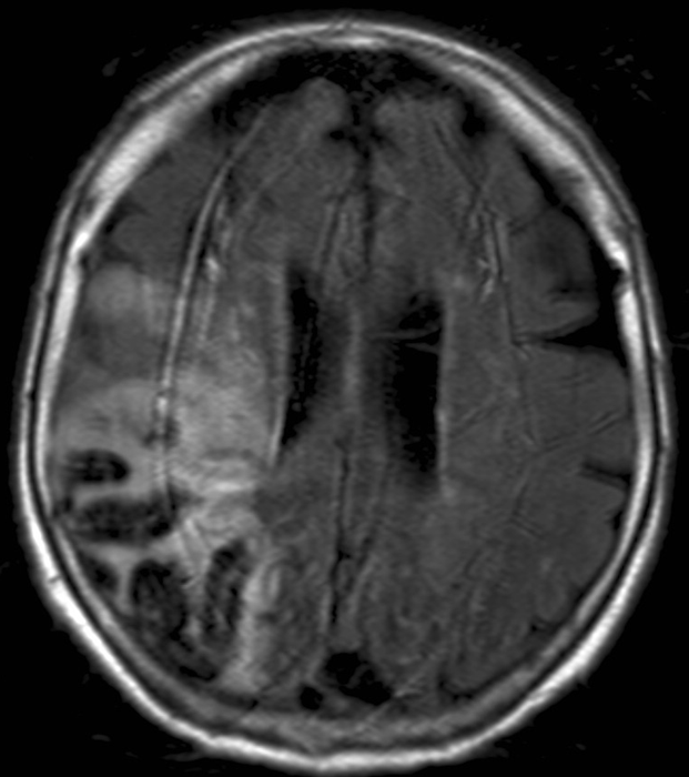
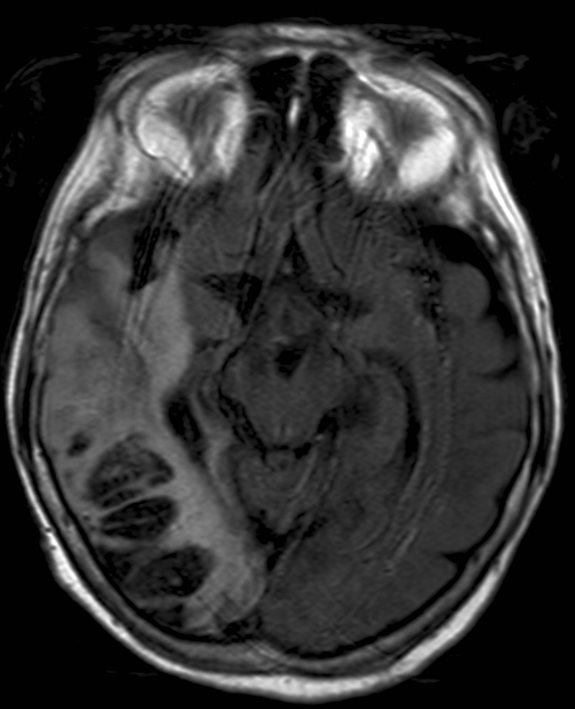
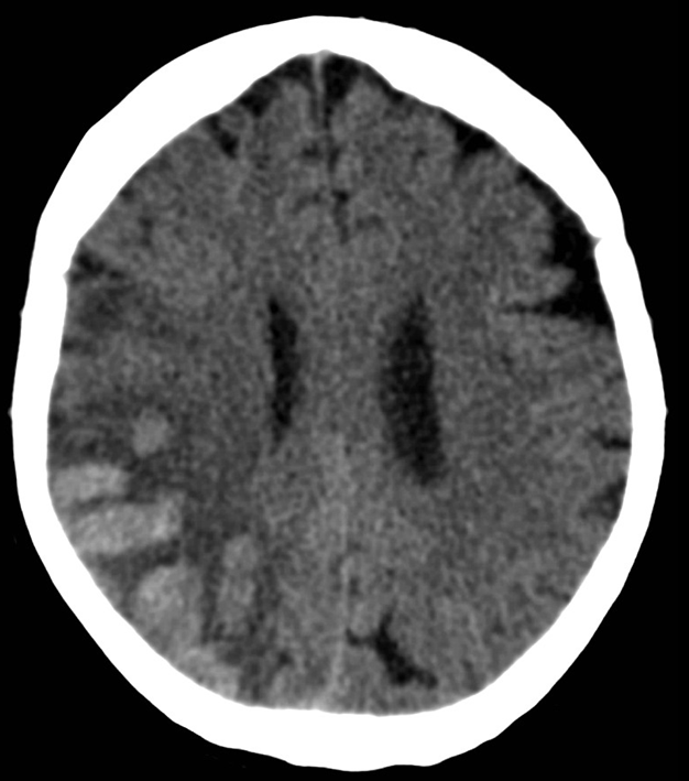
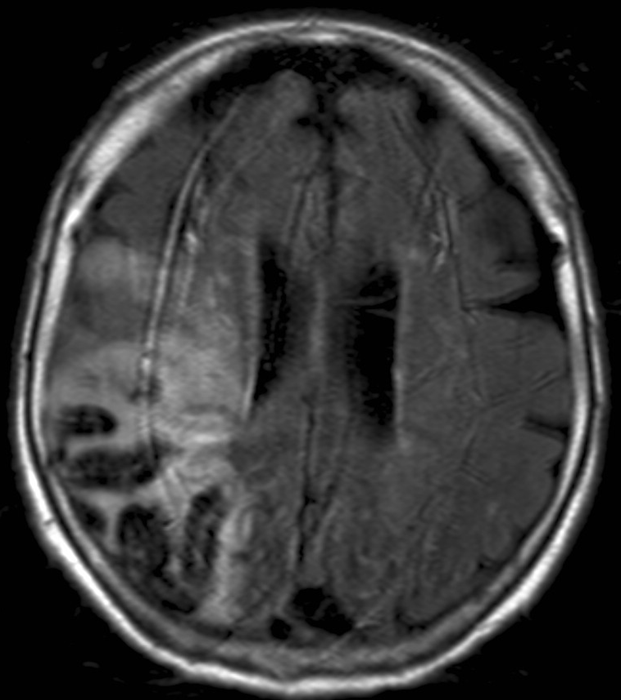
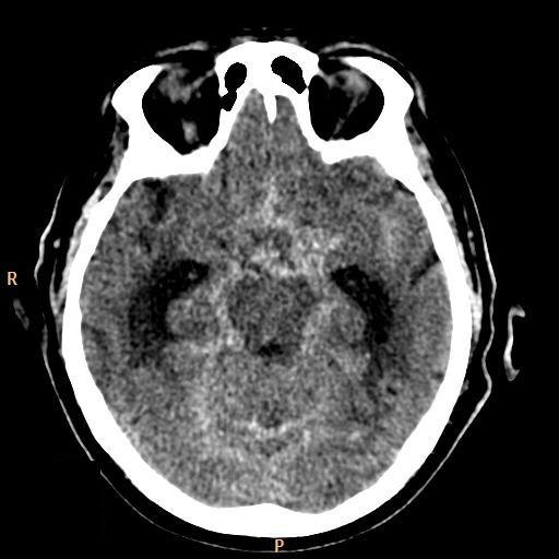
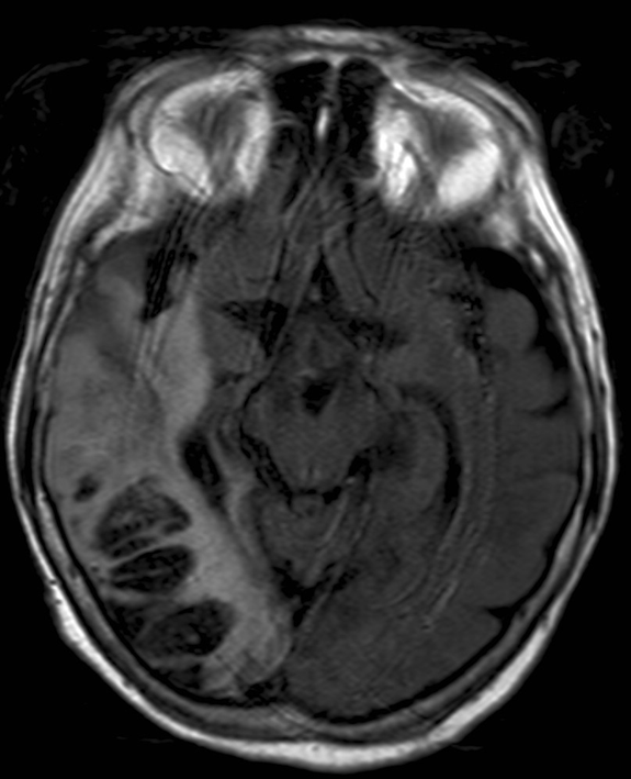
13. Old woman with headache and altered mental status. Unenhanced and contrast enhanced CT scans show a hypodense lesion with gyral hyperdensity The location does not correspond to any arterial territories. On MRI it proved to be a bleeding. Lack of enhancement in the right transverse sinus indicates thrombosis.
  • Intracranial infections include meningitis, encephalitis and brain abscess. MRI is superior to CT in diagnosing intracranial infections. If clinical picture is indicative of an infectious lesion CT, although it can exclude an acute bleeding, often can be false negative.
  • Hydrocephalus is diagnosed by the radiologist, the site of the obstruction and signs of progression should also be reported. Unenhanced CT is the basic imaging modality in hydrocephalus, nevertheless MRI provides more detailed information on CNS lesions.
  • Sinusitis can affect all paranasal sinuses. Detailed description of the diagnostic steps is included in the head and neck chapter. In acute sinusitis the clinical picture is diagnostic thus no immediate imaging is needed. (Usually it associated with lower risk than other emergency conditions). Radiology has a role in differential diagnosis. Sinus view is still widely used in routine clinical practice. It is used to assess air content or presence of exudate in the frontal and maxillary sinuses. Fort he evaluation of the sphenoid sinus and the ethmoid cells CT or CBCT is recommended. If a soft tissue lesion is suspected MRI should be performed.
  • Headache can caused by otological diseases as well, such as acute or chronic middle ear infection or inflammation of the mastoid cells. Imaging is necessary in recurrent or in acute fulminant diseases. Conventional x-ray studies (Schuller, Stenvers, Mayer view) are obsolete. Bony structures and air content should be evaluated with CT (high-resolution HRCT). MRI is performed in case of intracranial propagation and to detect complications.
  • In acute neck pain, jaw-lock, difficulty with breathing can be caused by a complicated dental or pharyngeal infection. The role of imaging to detect the cause of dyspnea, and potential mediastinal or spinal spread of the inflammation. US of the neck is flexible and fast but only can penetrate superficial tissues, and has to be used in combination with other modalities. Its primarily used to detect fluid collections, solid nodules, or to guide image guided interventions such as aspiration or abscess drainage. In the infrahyoid region CT and MRI can be used with similar efficiency as both have certain disadvantages. CT is faster, and less sensitive for motion and metallic artefacts. (Meanwhile, in the suprahyoid region MRI provides better soft tissue contrast.)

 
Choice of modality in headache

X-ray
US
CT
MR
Bones
Soft tissue shadows
Air shadows
Air-fluid levels
Two-view
No indicationUnenhanced CT to exclude
intracranial bleeding, herniations
+CE
Detailed view of bone structures, fracture lines
Stroke
Infections
Tumors

15.3.2. Chest pain

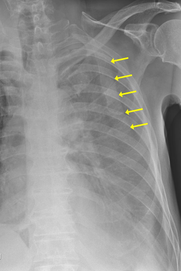
  • Pneumothorax usually occurs following thoracic trauma, but it can also happen spontaneously. The same also applies for the appearance of mediastinal air. The most severe form of ptx is tension- pneumothorax that inflates the pleural cavity with each breath, as the air remains trapped due to the valve mechanism of the injury. Conventional chest radiography is sufficient for the diagnosis.
  • Hydrothorax occurs as a consequence of certain pathologic states as the pleural cavity fills with fluids and causes compression of the lung and ventilation deficit. At most cases it can already be revealed with chest radiography. Sonographic examination can also be diagnostic, moreover it is able to give further information about the fluid’s characteristics and detect septations. The latter is valuable information for the clinician if drainage is considered.
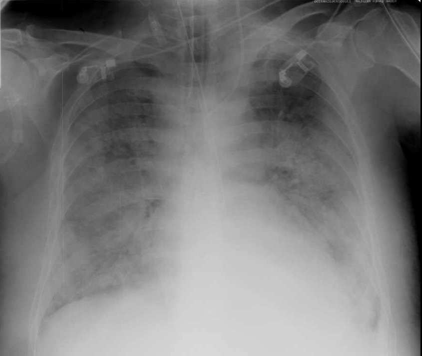
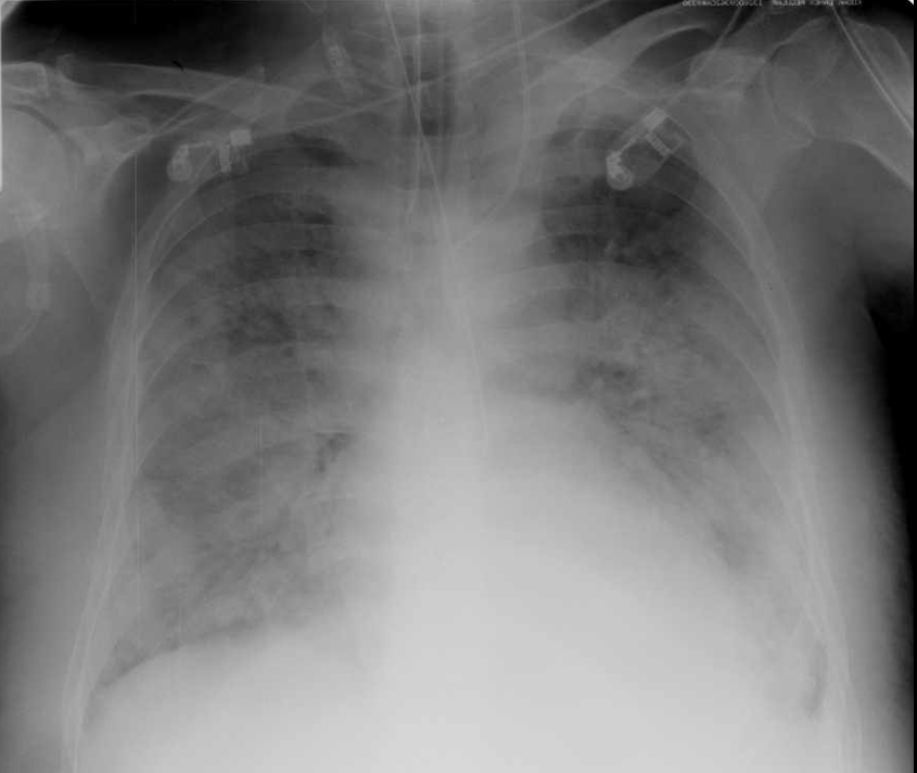
  • ARDS: adult/ (acute) respiratory distress syndrome is a complication of the severely ill, usually ICU patients. It results in the severe loss of lung capacity. Diffuse alveolar injury leads to fluid leakage into the alveolar spaces that first appear as distinct alveolar consolidations. Later, they evolve to confluent patches of opacity (snow storm appearance).
14. Typical appearance of ARDS on chest X-ray: massive, bilateral consolidations with aerobronchograms.
  • Pneumonia can also be detected with radiography. However, one must consider that on unidirectional chest radiographs, lung areas behind the heart and the diaphragm are obscured and infiltrates can remain hidden. To overcome this, a lateral radiograph should also be taken. However, as a first step clinicians should indicate the side on which the infiltrate is suspected, since this affects the radiologist’s decision making about which side of the chest should be set closer to the detector for better visualization and diagnosis.
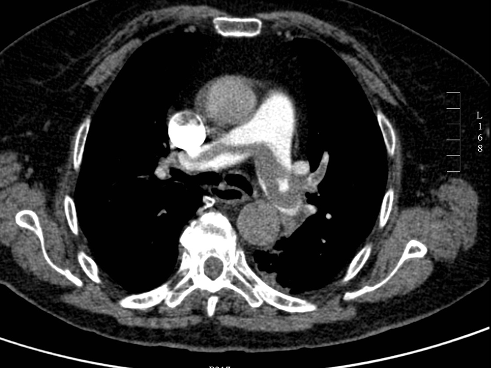
  • Pulmonary embolisation should be investigated with pulmonary CT angiography examination. Conventional chest radiography is negative in the majority of the acute cases. Indirect signs, such as pleural effusion, ipsilateral elevated diaphragm, atelectases or infarct pneumonia only appear after a longer period of time. As opposed to this, CTA provides a swift and precise diagnosis.
15. Elderly female with dyspnea. ECG shows abnormalities suggestive of pulmonary embolisation. CTA with bolus-tracking technique reveals a „saddle embolus” causing massive filling defect within the pulmonary trunk.
  • Aorta aneurysm rupture – aorta dissection

If the patient is stable, immediate CT angiography is the diagnostic choice. In case of suspected dissection CTA should be performed with ECG gating.

  • Esophageal rupture/perforation

In perforation, the esophageal content leaks through the perforation opening into the mediastinum. The consequent inflammation can rapidly result in a life-threatening state. Mediastinal free air is an indirect sing, which is even detectable on chest radiographs if a larger quantity of air is present. Swallow examination can help to reveal the perforation opening in some cases as the contrast material leaks from the lumen. However, it should be noted, that swallow examination in these cases should only be carried out with absorbable contrast materials. The use of non-absorbent Barium contrast is contraindicated since it causes sterile inflammation with necrosis.

Utility guide of the imaging modalities – chest pain

X-ray
US
CT
MR
Cardiopulmonary state
PTX
Free fluid
Pneumomediastinum
Contrast examinations
Pleural , pericardial effusionThe same as X-ray, but with precise localization
+iv. contrast (angiography)
Bone structure, fracture – precise imaging
No emergency indication

 

15.3.3. Abdominal and pelvic pain

In practice, one can divide the abdominal pain-syndromes according to the affected region a) localized (four quadrants), b) diffuse (whole abdomen) c) periumbilical and d) epigastric area. Therefore, in abdominal pain-syndromes organs/organ group pathologies are investigated.

The clinician – based on a preliminary diagnosis and with regard to the capabilities and limitations of the imaging examination while also taking into account the consultation with the radiologist– should be able to choose the most optimal imaging modality. Considering that almost all the abdominal organs share soft tissue characteristics, basically all the imaging methods could be included, least likely MRI examination though. Depending upon the state and compliance of the patient plain abdominal radiography, per os contrast examinations, ultrasonography, non-contrast and contrast enhanced or even dynamic CT examinations (angiography, parenchymal and excretory phase) can be used in the diagnostic assessment. In the following a few general considerations and the specific, quadrant aimed imaging features will be discussed of the most common pathologic processes.
At first, one shall consider a few general scenarios that can determine the process of diagnostic imaging.

16. Abdominal regions (right/left upper quadrant, right/left lower quadrant, epigastric, periumbilical region).
  • Abdominal distention, the presence of free abdominal fluid or air can be indicative of the generalization of a previously existing problem. Plain abdominal radiography – if possible – should be carried out in an erect position. For those who are unable to stand, a lateral-prone position should be arranged, the so called Friemann-Dahl position. This way abdominal X-ray could inform about the presence of a minimal, 2-3 ml of free air, about the general gas content of the gastrointestinal tract and furthermore about the existence of intra- or extraluminal air-fluid levels. Moreover, the position of radiopaque structures (sclerotic, metallic or other foreign bodies) can also be evaluated. Initial fluoroscopic ingestions with per os contrast material and at later stages, regularly taken abdominal radiographs can reveal the passage function of the whole GI tract.
  • US scanning can be used to depict free fluid, abscesses, stone reflections and the general state of the organs. It can also reveal the extent of distention caused by intestinal gas. US Doppler examination is used for the assessment of vascularization; it is capable to differentiate stenosis, obstruction, thrombosis and embolisation. If necessary, US guided interventions can be performed such as puncture, drainage or aspiration.
  • CT examination provides detailed, summation free images. With contrast administration image detail and tissue characteristics can be further improved.
  • MRI examination is useful for pregnant patients and for children in some cases.
  • Routine imaging algorithm is determined by the preliminary diagnosis based on the main clinical picture and the complaints of the patient. Usually, the first leg of the examination protocol consists of X-ray and US exams, although marked bowel distention can diminish the indication and diagnostic value of sonography. As a third imaging step GI passage examination and CT examination can take place.

 
Below, an overview is provided of the most important emergency states according to the quadrant- based approach together with their appropriate diagnostic imaging methods.

  • Right upper quadrant pain usually indicates abnormality of the liver, the biliary tract or the gall bladder. Moreover, right kidney stones, urinary tract dilatation, renal parenchymal damage and the pathologic processes in the perirenal compartment of the retroperitoneum can also localize here. Furthermore, one might also have to consider atypically located appendicitis or duodenal ulcer in the area.
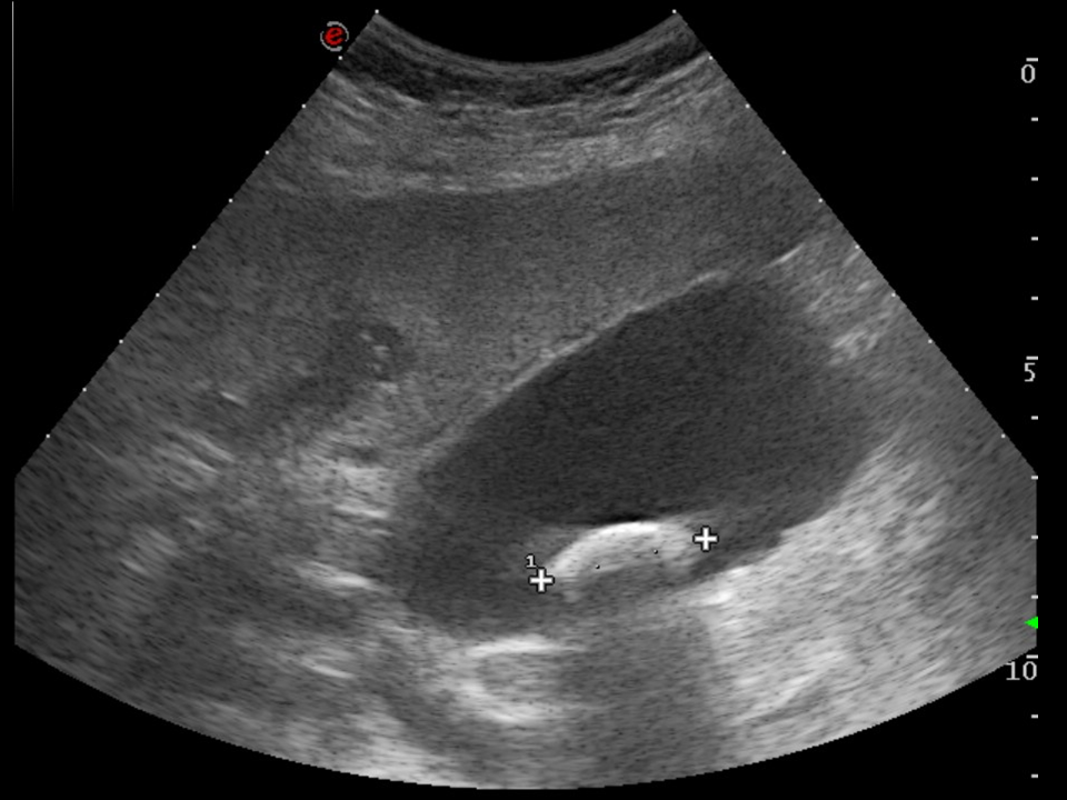
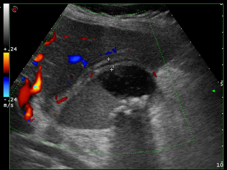
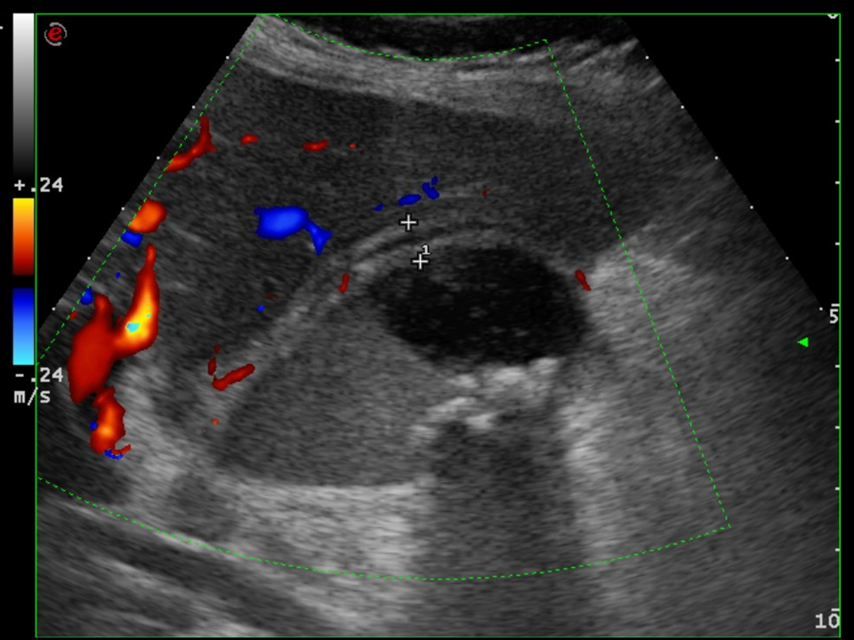
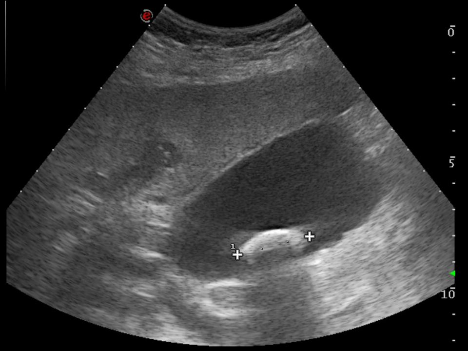
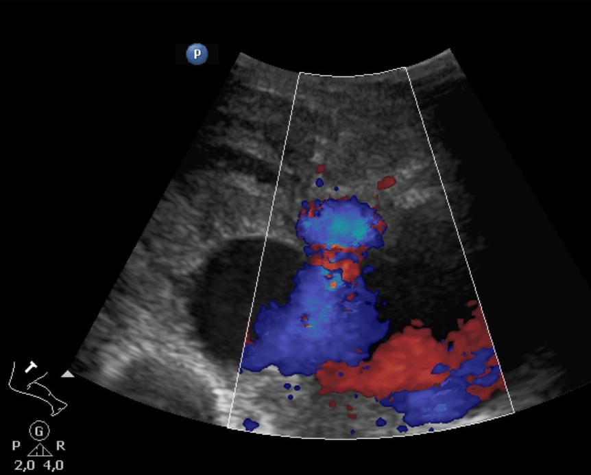
    • Sometimes, the presence of a right subcostal radiopaque stone on a plain abdominal radiograph can confirm the suspicion of cholelithiasis, cholecystitis. The method of choice however, is ultrasonography. US examination can depict stones located either in the gall bladder or in the biliary tract. They are shown as hyperreflective structures with acoustic shadowing. As a sing of inflammation the bladder wall thickens, becomes multilayered and edematous. Doppler examination can reveal the consequent hypervascularization of the inflammation. When US is unable to examine the extrahepatic biliary ducts, CT will not provide additional information because the choleliths might not be radiopaque. In these cases MRCP might be indicated.
17. Typical right subcostal colic pain. Ultrasound examination. On the right is a typical picture of a cholelith with acoustic shadowing. The left image shows cholecystitis with multilayered, edematous and hypervascularized gall bladder wall. Note the intraluminal dense sludge and the presence of multiple, small gallstones.
    • o Because of their similar physical characteristics nephroliths (ureteroliths) can be examined the same way as gall stones. The so called renal radiography is a more direct X-ray examination of the kidney. The use of sonography can be limited by gas filled bowels. At times, only indirect signs such as pyelectasis or the segmental dilation of the ureter can be seen. In some other cases, kidney stones do not cause any urinary dilatation or congestion. “Mobile” stones are missed by the radiologists a lot more frequently – or cannot even be assessed – especially if they are in the middle segment of the ureter where they are more likely to be covered by bowel gas shadows. Juxtavesical nephroliths (if the urinary bladder is well expanded with urine) are often visible due to their acoustic shadowing. In case of uncertainty, after the initial imaging methods (or even as a primary examination) abdominal non contrast enhanced CT,a so called low dose CT examination can be performed. There are further advantages to CT or low dose CT examinations compared to other modalities. They are more objective, imaging is faster with less artefacts. Moreover, other extraurinary structures are more readily assessable (even if the lack of iv. contrast in non contrast enhanced examination has only limited value for tissue characteristics). CT can help to detect other acute processes of the differential diagnostic group.
    • Duodenal ulcer- or typical prepyloric gastric perforation might result in the appearance of free abdominal air. In the majority of the cases this can be detected with (erect) plain abdominal radiograph. The typical picture of free abdominal air is a thin, crescent-like radiolucent band under the diaphragm. Per os administered contrast media can leak to the abdominal cavity through the perforation opening with a characteristic pattern. In case of atypically located free air, or if there is clinical suspicion but no radiographic evidence, a further CT examination is indicative. In fact, CT can detect much smaller amounts free- or even “hidden” collections of abdominal air.
    • Finally, although it is not considered a part of the routine examination protocol, even ultrasonography can suggest the possibility of free air. In highly suspected cases, when the patient is in prone position, typically abdominal air is found between the liver and the right crus of the diaphragm appearing as a hyperreflective streak.
  • In the left upper quadrant (two stage) splenic rupture, gastric perforation, aorta aneurysm, perforated colon and the various lesions of the left kidney need to be considered.
    • Gastric perforation might appear secondary to peptic ulcers. The diagnostic approach is the same as already mentioned earlier.
  • Right lower quadrant pain might indicate appendicitis, oophoritis, salpingitis, tubo-ovarial abscess, extra-uterine gravidity, pyelo-urethral stone, strangulated hernia, mesenteric adnexitis, Meckel-diverticulitis, Crohn’s disease, perforation of the cecum or psoas abscess.
    • In appendicitis periappendeceal abscess is the most common imaging finding, however – since RLQ is the most common site of abdominal pain – other pathologies are ought to be ruled out. Plain abdominal X-ray might show discrete air-fluid levels in the bowels at the region, which could indicate local peritoneal irritation. Direct visualization of the appendix is possible with ultrasonography, unless hyperreflectivity of the intestinal gas prevents assessment. In practice, the inflamed appendix is easier to detect than the normal one, thus elevating the sensitivity of the method. The typical image of the inflamed appendix is a tubular, non-compressible structure. Doppler exam might be able to detect hypervascularization. At times, a luminal hyperreflective mass is indicative of fecolith. Periappendeceal and ileocecal abscess have a hypoechogenic, inhomogeneous appearance with irregular internal echoes. Pelvic, retrocecal or atypical positions of the appendix might prevent the radiologist from the visualization or the localization with these methods. Equivocal cases can be decided with CT examination, which offers sensitivity over 90%.
    • Strangulated hernias can be abdominal or inguinal in location. The hernia might contain omentum, mesentery or bowel loops. They can either occur in a preformed, natural canal or after abdominal surgery in the scar of the abdominal incision. Plain abdominal X-ray might show intraluminal air-fluid levels at the site. If the strangulation causes bowel obstruction passage examination might be diagnostic. However, passage follow-up is a time consuming and strenuous examination for gravely ill patients. Hernia can be directly detected by ultrasonography. The herniated bowel in the abdominal wall or the inguinal canal is visualized as a thick, distended intestinal loop, often presenting with perifocal fluid collections.
18. Plain abdominal radiograph shows an inverted U shaped, slightly distended small bowel loop, with thin air-fluid levels. Ultrasonography reveals a herniated intestinal loop with a thick wall, surrounded by a small band of fluid collection. Note the narrow hernia orifice.
  • In the left lower quadrant sigmoid diverticulitis, obstetric diseases (similarly to the RLQ) and ulcerative colitis can occur.
    • In average size patients, diverticulitis can be revealed by applying pressure with the ultrasound transducer directly above the painful area. Characteristically, diverticulitis presents as a hypoechogenic area connected to the intestinal wall. In its surroundings hypervascularization can be noted with Doppler US. The edematous inflammation is revealed by increased hyperreflectivity in the widened mesenteric fat, which also causes the apparent separation of the bowel loops. In cases where the bowels are lying too deep or when it is necessary to rule out pericolic abscess or progression towards the pelvis, it is more reliable to use CT after the initial US examination has been carried out. CT can also help in the differentiation of the lesion (abscess, tumor), and requires the administration of iv. contrast material. Unfortunately, it can happen that after the inflammation subsides colonoscopy is still necessary for tissue sampling in order to confirm or rule out the malignant nature of the lesion. As a complication of diverticulitis, perforation can also occur, which is indicated by the appearance of extraluminal abdominal air (discussed above).
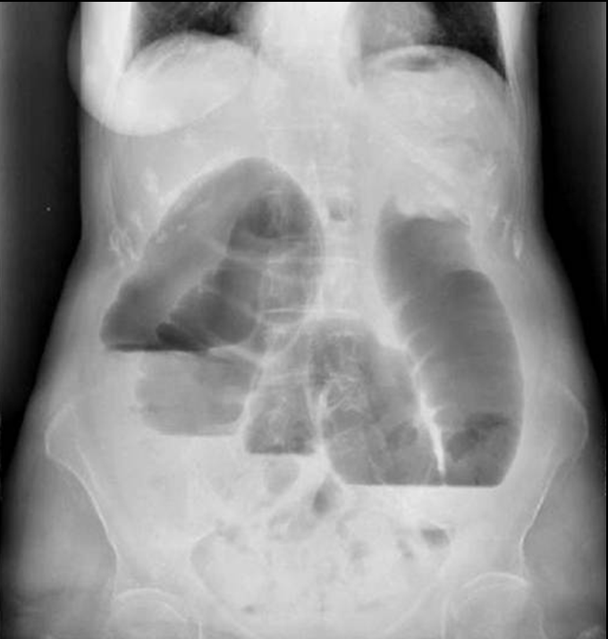
  • In the periumbilical region bowel obstruction, acute pancreatitis, early appendicitis, mesenteric thrombosis/embolisation, aorta-aneurysm or diverticulitis can present with pain.
    • The diagnosis of acute pancreatitis has to be based on the complex assessment of the patient. The results of all three: clinical picture, blood results (amylase value, inflammatory parameters) and imaging finding have to be considered. The positivity of at least two examinations can confirm pancreatitis. The role of diagnostic imaging therefore, is to differentiate other processes involving the periumbilical region or to assess the complications of pancreatitis. Peritoneal irritation caused by pancreatitis can create small bowel paralysis and air-fluid levels.
19. Plain abdominal X-ray, sentinel loop.

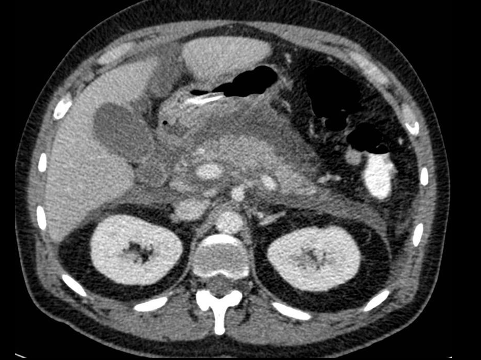
This paralytic, periumbilical bowel loop is also called sentinel-loop. If present, it can lead to the disruption of the ultrasound examination. Any gas filled intestine over the pancreatic region will cause the hyperreflection of the sound waves, thus leaving the middle portion of the retroperitoneum obscured to sonography. If the pancreatic region is still visible with ultrasonography, the pancreas appears widened; its structure shows edematous infiltration. Free fluid is usually detectable in the peripancreatic region, the omental bursa or in other cases there is a diffuse appearance of free fluid in the whole abdomen. CT examination can identify the early phase of acute pancreatitis. In the early, edematous phase the pancreas is widened and the peripancreatic fat appears hyperdense due to the edematous infiltration. Still, the main role of CT scanning remains the assessment of the early and late complications of pancreatitis. Edema, hemorrhage and necrosis each show typical features with CT, which help in the differential diagnostics.

20. Acute pancreatitis. CT examination reveals peripancreatic fluid collection in the anterior pararenal space. The pancreas is edematous.
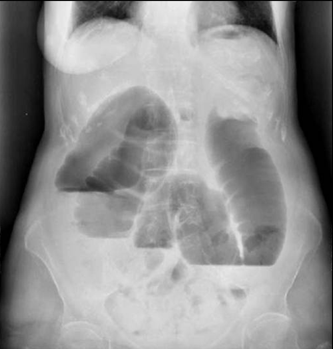
    • Plain abdominal radiographs are usually sufficient to raise suspicion for bowel obstruction. In most cases, the radiologic appearance is indicative of the level of the blockage (stomach, small or large bowel). Mechanical obstruction can be incomplete but also it can become complete as the passage function wears off in the strain. Clinical data and patient history (previous abdominal surgery, medication, cancerous state etc.) are all important details in order to help to differentiate the types of obstruction from one another.
21. Right image: plain abdominal X-ray showing distended bowel loops, with wide air-fluid levels. Left image: plain abdominal radiograph showing distended colon until the sigmoid segment, with wide air-fluid levels. The obstruction is most likely to be at the level of the sigmoid or the rectum.
    • Abdominal aorta aneurysm or thoracic aorta aneurysm that extends abdominally can both be impending or already completed ruptures. If the patient is stable and is able to cooperate – unless immediately taken to the operation room – has to be assessed with CT angiography. CTA can reveal probable contrast leakage and retroperitoneal hematoma in a matter of a few minutes. In these cases time consuming and non-informative investigations, such as abdominal radiography or ultrasonography can prove to be fatal. Moreover, the pressure is applied with the transducer during sonography, is feared to induce or increase the probability of rupture or bleeding. On average, however when aneurysm or rupture are not considered as the primary diagnoses, routine abdominal US can also be used. Ultrasonography might depict inhomogeneous periaortic hematoma as a hypoechogenic retroperitoneal mass. In these cases one should not hesitate to perform CTA examination, since is the gold standard of abdominal aneurysm.
    • Mesenteric thrombosis/ embolism present as continuously increasing, intensive colic-like abdominal pain (mesenteric angina). Plain abdominal radiography can show paralytic obstruction, which in turn, due to the gas filled bowels, can seriously limit the diagnostic use of US. Hence the Sonographic assessment of the retroperitoneum or the Doppler examination of the mesenteric blood vessels cannot be performed. If the there is clinical suspicion of mesenteric thrombosis abdominal CT examination is the method of choice.
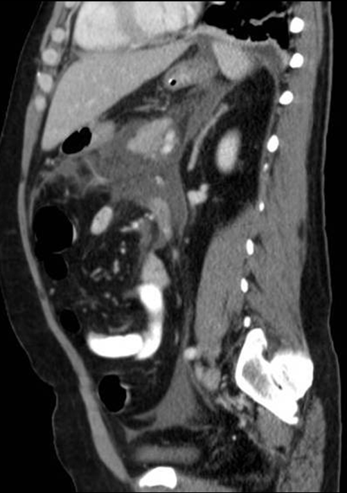
22. Colic-like periumbilical pain presents in an elderly patient with generalized atherosclerosis. On the right, CTA examination reveals the occlusion of the superior mesenteric artery about 8 cm from its origin. On the left, 3D reconstruction of CTA examination. Note the extensive aortic sclerosis.

 
-Epigastric pain can result not only from abdominal, but also from thoracic pathologies. Myocardial infarct, esophageal perforation, hiatus hernia, gastric ulcer should also all be included in the differential diagnostics. On routine chest radiographs only indirect signs might be encountered, but free subdiaphragmatic abdominal air is often detectable as a sing of perforation.

-Any abdominal quadrant pain can begin as upper abdominal or periganglionic (celiac) pain.

-In case of lower abdominal pain, the presence of pelvic fluid collections, cystic or solid pelvic mass all refer to pelvic origin rather than abdominal propagation.

Utility guide of the imaging modalities – abdominal and pelvic pain

X-ray
US
CT
MR
Free air
Pathologic distention
Air-fluid levels
Pathologic gas shadow –excess
Pathologic sclerotic shadow
Silhouette sign
Radiopaque foreign body
Contrast leakage
Solid – cystic mass
Free fluid and abscess
Air reflection in air-fluid levels
(Gas reflection, free air)
Color Doppler: lack of signal – (thrombo-embolisation)
or abnormal vascularization
NON CONTRAST ENHANCED
All of the pervious (except for vascular information)
Sensitivity ↑
+ precise anatomic localization
„Adipose inflammatorily sings”
For pregnant patients and children in not life threatening conditions

 

15.4. Take-home message

During the presentation of various emergency states a regional and symptomatological classification and their primary imaging methods have been discussed. With this knowledge the general practitioner is ought to gain an overview about how to order and obtain the necessary diagnostic imaging information in these acute states. Regarding the narrow time frame provided by many of these emergency situations (acute life threatening states or conditions threatening with permanent damage), clinicians are expected to understand how they can gain the fastest and most relevant information, so that they can initiate adequate therapy within the shortest period of time.

Translated by Pál Kaposi Novák, Balázs Futácsi
Changes translated by: Dániel Tamás Kovács


Site Language: English

Log in as…