Loading...
 
PDF Print

Digital Imaging

6. Digital Imaging

Authors: János Norbert Gyebnár, Csaba Korom

Semmelweis University Department of Radiology, Budapest

 

6.1. Educational purpose

- recalling of the acquired knowledge in biophysics lectures about this topic.
Medical imaging is the transformation of spatial distribution of physical quantum to a visible image. This measured quantum can be the absorption of X-ray in different tissues, the ultrasound echoes from the tissue borders, or the distribution of radioisotopes in the body. For the use of diagnostic purposes this quantum distribution must be converted first into visible images with different transformations methods.

 

6.2. Image recording

In diagnostic imaging, the gathered information can be recorded by two methods: analogue and digital. With analogue technique, the physical signal, containing the information (the X-ray absorption, ultrasound echoes, radioactive isotope distribution), is transformed to visible light, or fixed with a chemical method on a surface (like a photograph) making it observable and easy to interpret . Analogue images are only used in radiography nowadays. They could be in the form of snapshots, developed on film, or dynamic examinations, when – in fluoroscopy – the x-rays are amplified with an image intensifier, and they are visualized on a dedicated display. With this technique, the process can beobservedin real time (for example the progress of the contrast material passing through the esophagus during swallow examination ).
With digital imaging, the signal is transformed into electric impulses, then recorded as digital codes in the computer’s memory

6.3. The digital image

 
The elementary unit of an image is the pixel. Pixels can be imagined as little squares arranged in a grid, which seem like points, because of their size.

Figure 1.: The same picture in the same size, but with different resolution (a) 128x128 pixel and (b) 512x512 pixel.

 
Every pixel is a sample from the original image. If more samples are taken, the larger the number and the lesser the size of the pixels are, resulting in a higher resolution and accuracy.
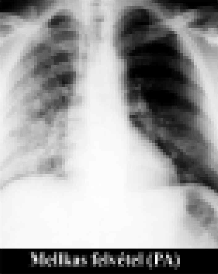
A pixel is defined by three elements. The first two are the coordinates: they define the location of the pixel in the grid. The third one contains the most important information, it determines the color, or on grayscale image, it represents the intensity of a pixel. One pixel can only represent one color at a time. The bitrate or color depth shows the maximum number of different colors, the pixel can display. Higher bitrate allows more colors, and more accurate images, but it increases the image files size. The color depth is measured in bits. The bit is the basic unit of information, and it represents a positional notation in binary numeral system. Its value can be 0 or 1 (two bits’ combinations are: 00, 01, 10, 11, i.e. 22 or 4 combination is possible.) The 1-bit color depth means two colors, black and white. The 8-bit color depth can express 256 (28), the 16-bit color depth can express 65536 (216) different colors. In radiology grayscale images are used most often. The color depth of these pictures represents the number of how many gray tones can be shown by a pixel.

Figure 2: The same picture with different color depths. a: 4 color – 2 bit, b: 256 color – 8 bit, c: 65536 color – 16 bit

 
The numeric data of coordinates and color define the image in whole. The images can be visualized on the computer’s display, and with the proper software, the findings can be interpreted, and image post processing can be applied subsequently.
These days in radiology, digital images are used in every modality. CT and MRI are unimaginable without digital technique, because in these modalities the images are generated with a large number of mathematical calculations, which cannot be processed without a computer.
Two different methods are known in digital imaging, direct and indirect recording. With direct method, the pictures are obtained directly. With the indirect method, the pictures are obtained in analogue mode first, then the analogue medium gets digitalized, like for example the photostimulable phosphor plate (PSP plate) technique, or the subsequent scanning of films.

6.4. Post processing

After a digital image is created, it is possible to change the images’ parameters. The most important and most basic parameters are the brightness and the contrast. In an image the contrast is the difference between two adjacent pixels’ intensity. The larger the difference between these intensities, the more the more easily they can be separated.
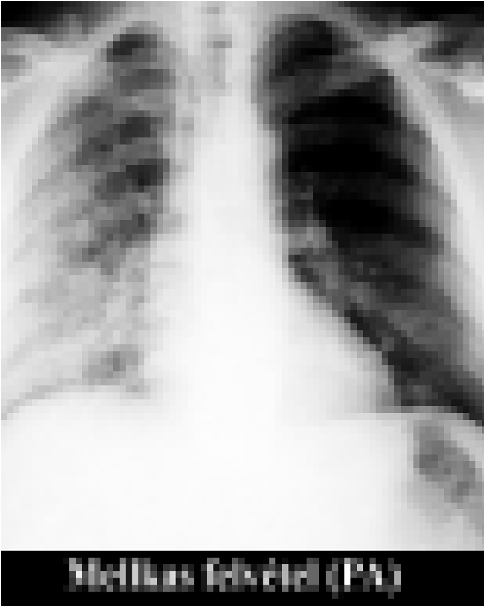
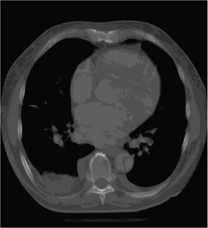
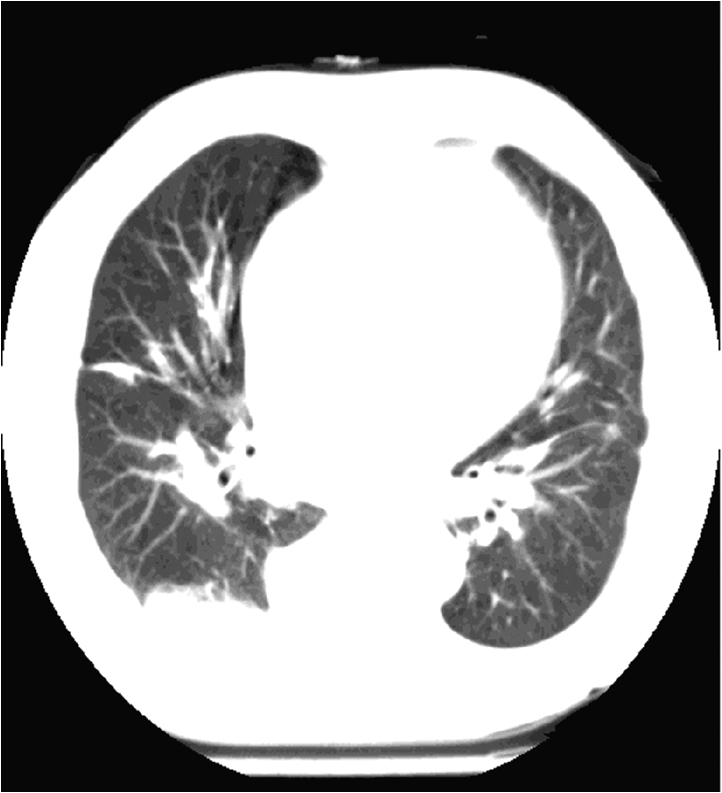
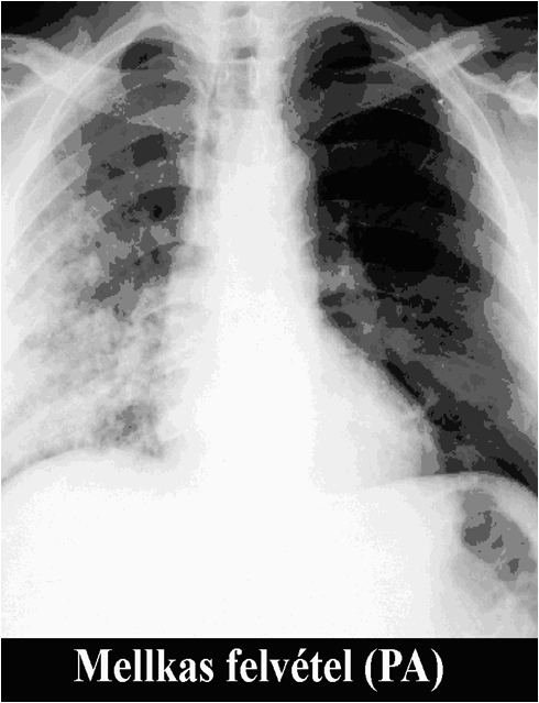
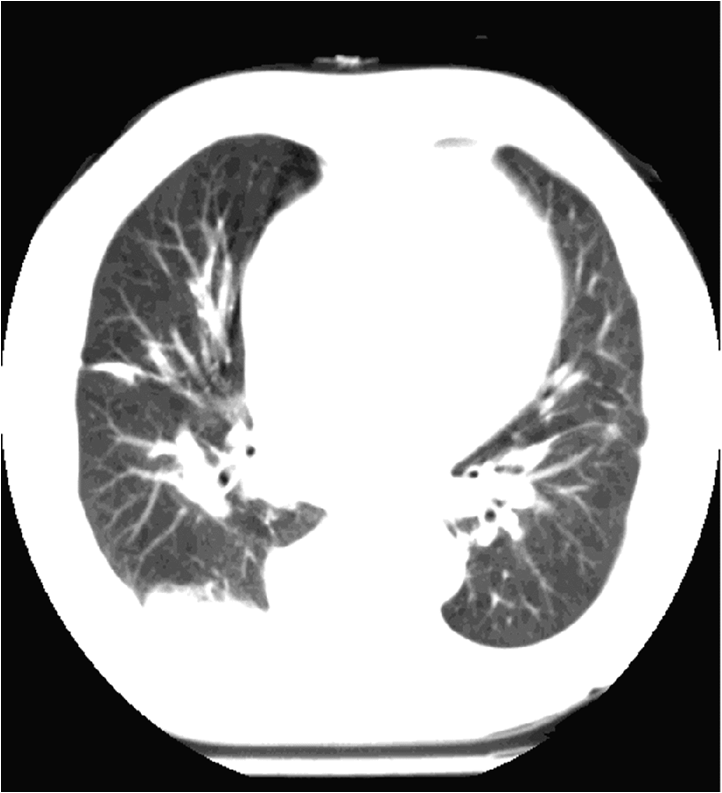
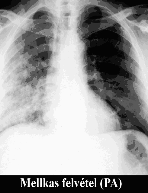
The brightness of the picture can also be altered, making too dark or too light parts of the picture assessable. The windowing allows changing of the brightness and contrast at the same time. If we change them accordingly tissues with different absorption can be highlighted. For example, low brightness and low contrast settings allows good visualization of the bone structures, but other tissues appear moderately pale. High brightness and contrast settings results in a good visualization of the lung tissue while other tissues appear bright and pale.

Figure 3.: The same CT image with soft tissue window (a) and lung window (b)

 
Digital images can be rotated and zoomed easily on the display. distance or relative density can be measured, allowing the identification of the tissue type with ease. Reconstructions in oblique planes (MPR- Multi Plane Reconstruction) or 3D reconstruction can also be obtained from the axial CT and MR images. These reconstructions allow a more accurate characterization of lesions. For example with 3D reconstructions of the digestive system, the inner lumen of the bowels can be visualized , much like an endoscopic examination, without the invasiveness of an actual endoscopy.

Figure 4.: 3D reconstruction of the skull.
Figure 5.: Virtual colonoscopy.

 

6.5. Advantages of digital imaging

Digital images can be viewed instantly, not needing any photographic processing. The sensors have a wider dynamic range than the analogue film, which enables correction of the exposure. Under- or over-exposed images do not have to be repeated, so patient’s radiation is reduced.
Post processing methods, like the magnifying, measuring, windowing, or the 3D reconstruction is easily applied on the images viewed with dedicated software on the computer. The images can be stored digitally and can be viewed from other computers simultaneously, they can be forwarded over the internet or over the hospital’s network to other departments, resulting in easier consultations.
Infinite copies can be made without the loss of quality.
The obtaining and the storage of the images are significantly cheaper this way, and the retrieval of archived pictures are easier, they become available almost instantly.
The processing of producing plain films are very polluting, fortunately they can be replaced in digital radiology departments.

6.6. Disadvantages of digital imaging

Installing digital imaging equipment, workstations, displays, servers, networks is very expensive, so establishing a new department is a large investment, but profitable in a long-term period.
Different errors can occur from analogue technique coming from the informatic technology like: virus protection, power failure, network overload.
The image post- processing requires a great experience, because not properly processed images can mimic pathological processes.

6.7. Digital image transmission, hospital networks

The purpose of digital imaging and storage is to grant access to the images on any graphical workstations connected to the network and to be able to retrieve all pictures and information of every digital modality from the archives. A unified format is required for the transmission and storage in order for the images, made with different machines, to be accessible on every computer, and to be comparable. Therefore, the radiology associations and the medical companies developed the DICOM (Digital Image Communication in Medicine) format for standards. This format is handling the images from all modalities unified. Nowadays, this format is used in every radiology department in the world. The technical conditions required for the handling and storing of the digital images, are provided by the PACS (Picture Archives and Communication System).
The RIS (Radiological Information System) is planning, organizing and controlling all the radiological services. The RIS assigns the patient data (findings, examination parameters, and contrast material) with the images stored on the PACS, so all imaging data are stored on the RIS.
The HIS (Hospital Information System) integrates the patient data and the administrative, the economic, and the financial aspects of the clinical activity providing all informatics task. With the HIS, the data on the RIS can be assign to the patient’s other data (medical chart, specialist examination, laboratory findings).
These informatic systems (PACS-RIS-HIS) require a suitable network and unified communication between the different databases.

6.8. Take home message

In modern radiology, digital imaging is replacing analogue techniques. The easy handling, the better image quality of images, and the wide variety of post processing methods helps the radiologist in everyday tasks. The possibility of accessing the radiological images and the clinical data on the HIS is also very helpful to all clinicians, ultimately resulting in a more effective medical practice.

Translated by János Hunor Sükösd


Site Language: English

Log in as…