Loading...
 
PDF Print

Diagnostic imaging of the genitourinary tract

16. Diagnostic imaging of the genitourinary tract

Author: Pál Bata

Semmelweis University Department of Radiology, Budapest

 

Chapter goal:

Precise imaging and early detection of genitourinary tract (GU) diseases is a significant challenge for diagnostic radiologists. Advancements in modern radiographic modalities and in particular cross sectional imaging provide us with diagnostic prospects on a previously unimaginable scale. In addition to the technological aspects personal consultation with the clinician is an equally important part of proper patient management. A significant goal of the present chapter is to better prepare our current and future colleagues for the handling of these challenges. It is important that all involved physicians become familiar with basics of GU imaging as it is essential to achieve a common understanding. We would also like to help our interested readers to obtain deeper knowledge in the selected subspecialty fields.

16.1 Kidneys

16.1.1. Clinical and radiographic anatomy of the kidneys

The kidneys are bean shaped retro-peritoneal organs, located at the level of the twelfth thoracic and first lumbar vertebrae on both sides of the vertebral column. Due to the liver the right kidney is 2-3 cm more caudally situated. The surface of the kidneys is covered by a tightly adherent renal capsule, while outside they are surrounded by a fatty tissue layer (adipose capsule). The renal fascia encapsulates the perinephric fat with a fibrous envelope that is open inferiorly, and accommodates structures of the renal hilum.

The renal hilum contains the renal vasculature, the renal pelvis, which is often described as an irregular shaped sack with a muscular wall, and finally the ureter. The renal pelvis branches into three primary limbs these are the major renal calyces (calyces renales majores). Distally, the major calyces further divide into two to three minor branches, the minor calyces (calyces renales minores). Each renal calyx surrounds one or more renal papillae. The renal papillae constitute the apical portion of the medullar pyramids.

Image
Figure 1. Intravenous CT pyelogram, normal anatomy

The renal cortex extends down between the pyramids in a wedge shape and approximates the renal sinus. This columnar portion of the cortex (columna renalis) is often hypertrophied, and it could lead to a differential diagnostic challenge upon imaging.

The arterial and renal vasculature of the kidneys shows significant individual variations, and may cause pelvic or ureteral compression. In the most common variant the kidney is supplied by a single renal artery which runs posterior to the renal vein in the hilum. The renal arteries are end arteries. They give off arcuate arteries in the interlobular columns of Bertin and on the border of the medullar pyramids. The course of the renal veins is similar to the renal arteries.

16.1.2. Congenital renal anomalies

Among the congenital renal anomalies we first have to mention renal agenesis. Usually, it is asymptomatic and a relatively common finding. In 10% of the cases it is also accompanied by an ipsilateral adrenal agenesis.

Renal hypoplasia is another common congenital disorder, when the hypoplastic kidney is located at a normal anatomic level while the contra lateral kidney shows compensatory hyperplasia.

Malrotation of the kidneys can also occur. During the normal development the renal hilum first faces anteriorly then, it turns medially; if the rotation is incomplete the hilum stays in an anterior position.
In case of a horseshoe kidney the two kidneys fuse at their lower poles. It characteristically accompanied by abnormal arterial configuration and frequently by pelvic retention. It is also frequently associated with nephrolithiasis, and the patients are predisposed to pelvic dilatation.

Many forms of renal dystopias can be differentiated, based on the site these could be: lumbal, sacral, pelvic (thoracic). The dystopic kidney can be uni- or bilateral, as well as ipsi- or contra lateral.

16.2. Kidney tumors

They constitute 3% of all renal abnormalities in adults. Based on the site of origin and the tissue type we can distinguish between epithelial, mesenchymal and pelvic tumors.

16.2.1. Epithelial tumors

Adenocarcinoma
The most common type of renal cell carcinoma (RCC) arises from epithelial cells of the proximal convoluted segment of the renal tubules. It is alternatively called: hypernephroma, Grawitz’s tumor, clear cell carcinoma or malignant nephroma. It is twice more common in males than in females. Its incidence is highest in the sixth decade of life. Smokers are more frequently affected.
The classic clinical signs of RCC include the triad of lower back pain, palpable mass and hematuria, which is quite rarely seen. Early symptoms of the patients are often non-specific: weight loss, palor, gastrointestinal or neurologic complaints, fever.
Adenocarcinomas can produce a number of different hormones, which can also lead to miscellaneous symptoms.

The onset of hematuria, the most common sign detected in over 50% of the cases, indicates an advanced process.

Diagnostics:with advancement of the cross-sectional imaging techniques multi-phase contrast enhanced CT became the basic diagnostic modality if a renal neoplasia is suspected.
The parenchymal lesion is revealed by its characteristic inhomogeneous contrast enhancement pattern and in certain cases by the presence of focal calcifications. CT has much better sensitivity than intravenous pyelogram, which has been extensively used in earlier times.
A properly preformed CT scan can be also considered a staging examination as it could reveal distant metastases and vascular invasion. Additional advantages of CT imaging can be attributed to the various digital elements and post processing features. Multi-plane reconstructions are available and auxiliary 3D or virtual urographic images can also be generated anytime from the primary dataset.

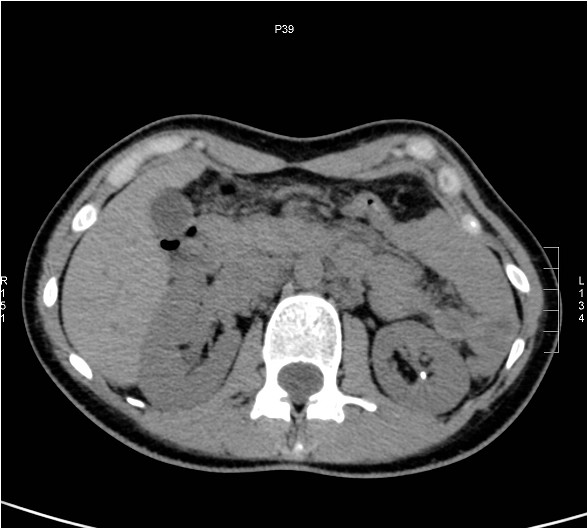
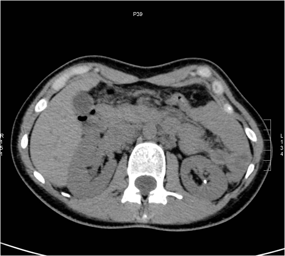
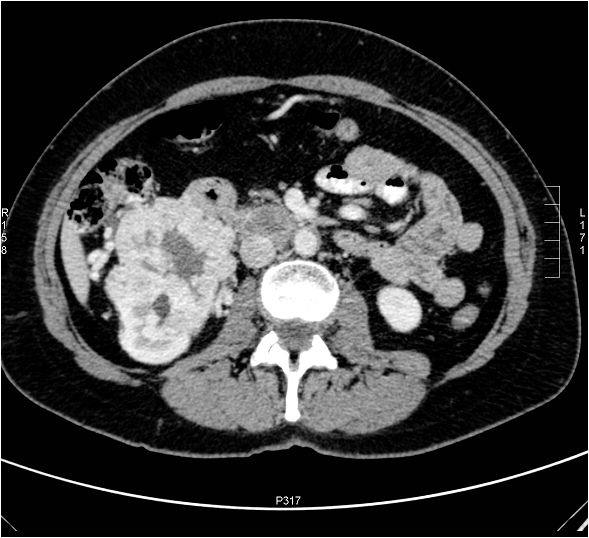
Image
Figure 2. Extensive right sided kidney tumor on CT

MR imaging can be used with similar diagnostic efficacy as CT. In addition to local availability, there are other advantages and disadvantages of this technique that also should be considered, these are discussed in detail in the general radiology section.
Ultrasonography (US), which is an extensively used and a widely available method, is often the first step in the diagnostic work up. During a regular abdominal US scan both kidneys are examined. Sensitivity of the US examination is significantly lower than of a CT scan, still important clinical questions can be answered with this technique. When a tumor is visualized, it is usually a hypoechoic, relatively well circumscribed mass.
Diagnostics of cystic lesions is based on the Bosniak classification system, which categorizes cystic lesions by their density, calcifications, wall thickness, contrast enhancement, surface lobulation and characteristics of the cyst contents.

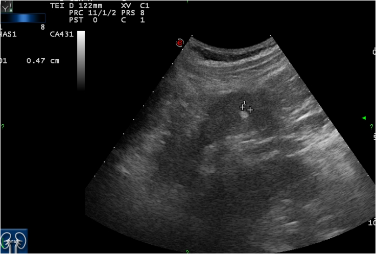
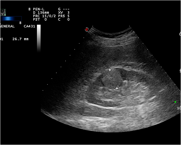
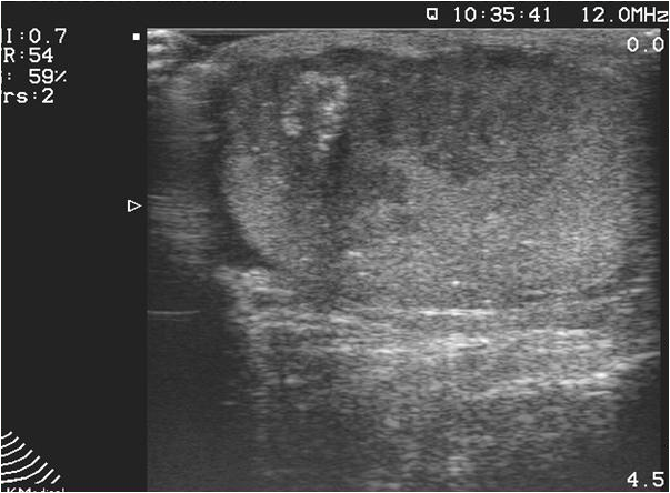
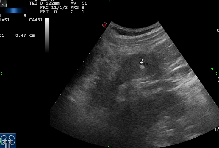
Image
Figure 3. Kidney tumor on US

Other epithelial tumors
Some other epithelial tumors show similar morphology to non-papillary adenocarcinomas, these include papillary adenocarcinomas, Bellini tumors arising from the collecting ducts, carcinosarcomas and medullar carcinomas. Other, rarely seen variants include Wilms tumor, rhabdoid sarcoma, nephrobalstomatosis and mesoblastic nephroma. These tumor types could not be differentiated based solely on the radiology findings. Only typical oncocytomas could be distinguished in this group by their unique morphology, as it shows a slightly enhancing central scar and a spoke wheel like contrast enhancement pattern, which is especially apparent on angiography.

16.2.2. Mesenchymal tumors

Tumors of mesenchymal origin include: angiomyolipoma, fibroma, fibrosarcoma-osteosarcoma, metaplasia, lipoma, leiomyoma, leiomyosarcoma, hemangioma and juxtaglomerular tumors. Among these angiomyolipomas are the only ones that have characteristic radiologic signs.
Angiomyolipoma is a hamartoma which is primarily composed of fat, vessels and smooth muscle. It is most common in females in their forties. Compared to other renal lesions the fat content is considered specific for this tumor, and it can be easily detected on imaging studies.
On US it characteristically shows up as a well circumscribed, hyperechoic mass in the renal parenchyma. Unfortunately, a small percent of malignant neoplasms has similar appearance, thus depending on the clinical findings frequent follow-ups, or further imaging studies are required.

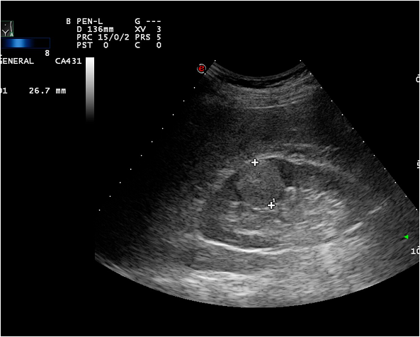
Image
Figure 4. Angiomyolipoma (well circumscribed hyperechoic mass) US image

On the CT scan the fat content is highlighted as a typically hypodense area, where negative HU values can be detected.

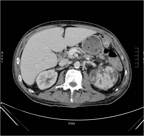
Image
Figure 5. Hypodense (fat containing) well circumscribed mass: CT morphology is consistent with angiomyolipoma.

On T1 weighted MRI sequences corresponding to the fat containing areas high signal intensity can be seen, while in other non-fatty kidney lesions the T1 signal intensity is low.

16.2.3 Pelvic tumors

Malignant pelvic tumors are more common than benign variants, among these the most common is transitional cell carcinoma (TCC). Rarely, squamous cell carcinoma, undifferentiated carcinoma and adenocarcinoma are also found.
Papilloma is the most common benign lesions.
In pelvic tumors hematuria is usually the first symptom. Due to the partial urinary retention lower back pain, dysuria and pyuria can occur however, these are less common symptoms.
TCCs in 80% of the cases have a polypoid appearance. The lesion causes filling defect on the intravenous pyelogram and on the excretory phase CT scans, when contrast media is being secreted to the renal pelvis.

Image
Figure 6. CT image of an extensive right pelvic tumor on excretory phase coronal CT scans.

 

16.2.4. Tumors of extra-renal origin

Non-renal tumors of the kidney include: lymphoma, leukemia, myeloma and metastases.
The kidney does not contain lymphoid tissue. Nevertheless, it can be infiltrated by lymphomas. Non-Hodgkin lymphomas more frequently involve the kidneys than Hodgkin disease.

On US examination a solitary, hypoechoic, homogenous mass is generally detected however; multiplex lesions can be also frequently seen. The secondary lesion on the CT scan usually appears as a hypodense, slightly contrast enhancing mass. MRI can verify the provisional diagnosis of myeloma if the lesion shows intermediate signal on T1 and high signal on T2 weighted sequences.

Invasion of the leukemia cells involves both kidneys thus, the renal parenchyma shows diffuse symmetrical thickening on both sides.

Myelomas can also present with bilateral kidney masses. In addition to the characteristic nephrocalcinosis moderate volume expansion may also be detected. Importantly, contrast administration should be avoided in myeloma patients because the risk of contrast medium induced nephropathy (CIN) is high.

According to autopsy series metastases frequently (20%) involve the kidneys. Their ratio to primary renal tumors is 4:1. However, the clinical picture is usually dominated by the primary tumor. Meanwhile, renal metastases result in occasional hematuria and peri-renal bleeding. Melanomas, colon, breast, and lung carcinomas are the most frequent to metastasize to the kidneys. Metastatic spread often leads to multiplex lesions.

On CT metastases are characteristically seen as small hypodense lesions. These usually show delayed contrast enhancement compared to primary neoplasms. On US solid, hypoechoic lesions can be detected. With MRI metastases show high signal intensity on T2 weighted sequences.

16.3 Inflammatory kidney diseases

Ascending bacterial infections can propagate to the kidneys, in children this is usually caused by vesico-ureteral reflux, while in adults both acute or chornic pyelonephritis can occur in the absence of reflux.

In addition to occlusion due to various causes, pathogenetic factors of pyelonephritis also include bladder dysfunction and congenital malformations. Dilatation of the renal pelvis during pregnancy, due to physiologic compression of the ureters, is another important risk factor.

Gram negative bacteria such as E. coli, P. mirabilis, P. aeruginosa and certain Klebsiella strains are the primary cause of genitourinary infections. The main clinical symptoms are fever, lower back pain, chills, nausea and vomiting.

The primary goal of the radiologic examination is not verification of the diagnosis, rather to determine the extent of the inflammatory process. When an abscess has already been formed, opposed to the conservative treatment, an invasive therapeutic intervention is necessary.

Currently, CT is the preferred imaging method in acute pyelonephritis. However, the radiologic picture often does not fully correlate with the clinical symptoms.

Intravenous pyelogram and US examinations may give negative results in over two third of the cases.

On the multiphase CT scan the affected parenchymal segment shows delayed contrast enhancement compared to its surroundings, and in the excretory phase it demonstrates a hypodense striated structure.

When abscess formation is suspected a CT scan must be performed. On the CT solitary or multiplex, circumscribed, round defects with a contrast enhancing wall are seen. Corresponding to the secondary perinephric stranding and to the extensive inflammation, abscesses can extend into the perinephric space. In such cases, depending on the severity of clinical symptoms, CT or US guided puncture can be attempted as a therapeutic intervention.

Emphysematous pyelonephritis is a severe condition when in the renal parenchyma and in the perinephric space gas collections can be detected. These are most apparent on CT.

Xantogranulomatous pyelonephritis is a rare inflammatory disease, which develops in the proximity of staghorn type renal calculi. Renal excretion is characteristically decreased in the affected parenchyma.

Regardless of its etiology, in chronic pyelonephritis, due to the recurrent infective episodes, the renal parenchyma shows disseminated structural deformity. Invaginations of the renal contours, thinning and almost complete destruction of the parenchyma as well as distortion and dilatation of the renal calyces are seen.

Image
Figure 7. CT image of extensive pyelonephritis involving the left kidney.

 

16.4. Nephrocalcinosis and nephrolithiasis

Nephrocalcinosis is a condition characterized by diffuse calcium deposition in the kidneys involving both the cortex and the medulla. In the background of cortical nephrocalcinosis chronic glomerulonephritis, acute cortical necrosis or oxalosis can be detected. Meanwhile, causes of medullary nephrocalcinosis include renal tubular acidosis, hypercalcemic conditions and renal tubular ectasia, also known as medullary sponge kidney.

Nephrolithiasis is a rather common disease. In addition to various minerals calcium is present in almost 90% of the stones. Therefore, any condition associated with elevated blood calcium levels or with increased calcium excretion can precipitate stone formation.
Cystine and urate stones constitute approximately 10% of all cases of nephrolithiasis. In these, calcium could only be detected in traces. Therefore, contrary to calcium containing stones, these stones are especially difficult to detect on abdominal plain films or intravenous pyelograms.

When exceed a certain size all stones can be visualized with US, but the reproducibility of this technique heavily depends on the instrument’s specifications and on the examiner’s skills. Stones located in the renal pelvis can be well identified on CT, and with dual-source CT (DSCT) even chemical analysis of the composition is possible. On MRI stones show up as a signal loss on all sequences (occasionally large stones can be directly visualized).

Notably, in majority of the cases renal colic and urinary retention are caused by ureteral stones. The detection rate of these on abdominal plain films and on intravenous pyelogram depends on their size and composition. On US, only stones that are located juxtavesically, in the upper third of the ureter, or the ones that cause concomitant pelvic dilatation can be detected reliably. However, even these stones can be hidden by intestinal air.

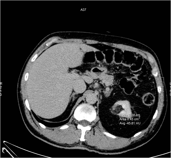
In summary, when an uretherolith is suspected a native CT scan should be performed. Considering the patient’s radiation exposure a low dose CT examination is recommended.

Image
Figure 8. The native CT scan shows a hyperdense kidney stone.

 

16.5 Diseases of the renal vasculature

Regarding the vascular supply of the kidneys it is important to note that in over 40% of the cases, in addition to the main renal artery an accessory or polar artery is also present.

Generally, the accessory artery branches off the aorta distal to the origin of the main renal artery. Horseshoe kidneys, or dystopic kidneys located outside the regular anatomic site almost always supplied by a polar artery, which may arise from the distal aorta or the iliac artery.

Importantly, at the renal pelvis the renal artery bifurcates into ventral and dorsal branches. The ventral branch supplies the ventral and upper part of the parenchyma while, the dorsal branch provides blood to the posterior lower part. At the border of the anterior and dorsal vascular territories a relatively avascular region (Brodel’s line) could be identified, this is the primary target site of percutaneous nephrostomies.

Distally the major renal arteries further divide into segmental, interlobar and arcuate branches.

Configuration of the renal veins follows the arterial architecture. The left renal vein crosses dorsal to the aorta in 2-10% of the patients. A retrocaval ureter is seen in 0.1% of the cases.

Polyarteritis nodosa is a collagen vascular disease, which may affect the intrarenal arteries. It is associated with a pan-arteritis that extends to all layers of the arterial wall with characteristic focal media necrosis. The kidneys are involved in 90% of the patients.

Small aneurysms typically located at the branching of the intralobular arteries could only be detected on angiography.

Nephrosclerosis secondary to hypertension primarily affects the small arterioles. It does not have any specific radiologic signs. However, the diagnosis can be established based on the clinical history, presence of abrupt stenosis, angiography findings and in advanced cases the lack of contrast enhancement.

Renal hypertension can be the result of acute or chronic parenchymal disease that leads to activation of the renin-angiotensin axis. However, the most common etiology is renovascular disease. Noticeably, although renovascular disease constitutes only 1-4% of all hypertonia cases, it typically starts in patients under 20 or over 50 years of age, who are less commonly affected by other types of hypertonias. The pathogenic factor in these cases is ischemia induced renin release secondary to stenosis of the renal artery. The most common etiology of renal artery stenosis is atherosclerosis. Usually, the stenosis is located within 2 cm of the arterial origin.

Fibromuscular dysplasia is observed in approximately 30% of cases. There is pathologic collagen deposition in all layers of the vessel wall. Based on the distribution of the deposits in the intima, media or adventitia multiple forms of the disease can be differentiated.

Radiographic work up starts with a Doppler US, although it is less sensitive than MRI or CT angiography (CTA). A further disadvantage is that its performance is highly dependent on the patient’s body habitus and on the examiner’s skills.

In the detection of stenoses greater than 50%, the sensitivity of CTA is 90%, the specificity is 97%. CTA is considered a reliable method integrating all advantages of cross-sectional imaging. MRA is usually performed with gadolinium contrast enhancement; the previously used TOF technique has proved to be less reliable.

In earlier times, angiography used to be the gold standard examination of renal circulation. Nowadays, due to the technological advancements and widespread availability of cross-sectional imaging techniques this could not be universally asserted. Nevertheless, angiography still has an important role in the diagnosis of otherwise indeterminate cases. Its main indication is when it is performed as part of a therapeutic procedure (i.e. angioplasty). The most common therapeutic intervention in renal arterial stenosis is percutaneous transluminal angioplasty (PTA), which is always preceded by a diagnostic angiography.

Thrombosis of the renal vein is most frequent in left sided advanced renal carcinomas. Contrast enhanced CT with carefully timed venous phase examination is an excellent method to identify venous thrombosis. In renal vein thrombosis MRI achieves even higher sensitivity than CT. Color Doppler US is a useful method in cases when the full-length vein can be visualized.

16.6. Radiologic diagnostics of collecting system diseases, the ureters and the bladder

16.6.1. Ureter

The physiological stenoses of the ureters seen at the pyelourteral junction and at the juxtavesical segment are also clinically important as ureter stones are most commonly stuck at these sites. Considering their differential diagnostic and surgical significance it is essential that clinicians and radiologists alike familiarize themselves with these crossing sites.

The ureter crosses superficially to the bifurcation of the iliac arteries. Distal to this point it crosses posterior to the testicular artery in men and the ovarian artery in women. The ureter also passes dorsally to the uterine artery and the spermatic duct. Thus, ligation of these vessels may lead to ureteral injury and potential urinary tract obstruction.

Among the developmental disorders the bifid ureter has to be mentioned. In this case the two ureters originate from the duplicated renal pelvis and descend towards the bladder where they enter the lumen through separate orifices.
In ureter fissus the two ureters merge proximal to the bladder.

Megaloureter is a condition with extreme dilatation of the ureteral lumen due to innervation defect or chronic stricture.
Retrocaval ureter is by definition located on the right side. It may lead to urinary retention thus, its detection is clinically important.
Radiologic imaging methods utilize contrast filling of the ureters. In a conventional retrograde pyelogram anterograde or retrograde filling of the ureter is achieved by a catheter insertion. Meanwhile, with cross-sectional imaging techniques (CT, MRI) timed image acquisition is conducted during the excretory phase (approx. 8 min). Both of the above techniques provide good quality images to assess ureteral patency.

With virtual endoluminal reconstructions detailed depiction of the intraluminal lesions is also possible.

For the visualization of intra- or extraluminal ureteral strictures and masses the primary imaging modality is CT with multi-phase contrast enhancement. In addition to detecting nephrolithiasis it is highly sensitive to visualize other GU lesions, congenital and acquired malformations.

Due to its restricted use in meteorism and in heavy set patients, US has limited potential in the examination of the proximal collecting system.

16.6.2.Urinary bladder

The bladder can be anatomically divided into a vertex, corpus and fundus. The position of the later one is fixed by the underlying pelvic fascia. In men the prostate is located right below the fundus, thus prostatic lesions such as prostatic hyperplasia often protrude into the bladder fundus. The ureters enter the bladder through the posterior-caudal part of the fundus. The area bordered by the internal ureteral orifices and origin of the urethra is called the vesical trigone.

Diverticula are the most common congenital malformations of the bladder. These are more frequent in men and tend to occur around the ureteral meatus as the trigone has a different embryologic origin than the rest of the bladder. In addition to dysuria, diverticula, due to prolonged urinary retention, may also lead to pyuria. Large diverticula can compress the ureteral meatus and cause urinary retention.

Ureterocele is the dilatation of the intramuscular ureter segment, which may pose a differential diagnostic problem as it often protrudes into the vesical lumen.

When the examination is performed with a right technique, and the lumen is fully distended lesions of the bladder wall can be well detected with US. In addition to the diffuse wall thickening seen in cystitis (the normal wall thickness is 3 mm) laboratory tests and the patient’s complaints (abdominal pain, dysuria, urinary frequency and occasional hematuria) may also guide the diagnosis. Detection of dense urine, which contains hyperechoic particles can also help the examiner.

CT and MRI scans also show diffuse wall thickening without any circumscribed lesions. However, in most of the cases this is an accidental finding as these examinations are not indicated in cystitis, except when an emphysematous cystitis is suspected.

Bladder cancer is the second most common genitourinary neoplasm after prostate cancer. The male to female ratio is 3:1, and 90% develops in patients over 50 years of age.

Etiological factors include smoking, certain occupations, exposure to chemicals used in rubber and plastic manufacturing, irradiation, prior cyclophosphamide use as well as chronic infections.

The primary clinical symptoms are hematuria, urinary frequency and occasional obstructive complications.

Definitive diagnosis can be established with cystoscopy and biopsy. Nevertheless, radiographic imaging plays an essential role in early detection and staging of the disease.

When the patient is well prepared and the bladder is full even the very early papillary lesions can be recognized on US. The papillary form is more common than the muscle invasive type. However, papillary lesions can progress into an invasive type by time.

CT and MRI scans provide information on the extent of the parietal and perivesical propagation while, regional and distant lymph node metastases can be also simultaneously identified. When conventional cystoscopy could not be completed due to urethral narrowing or prostate hyperplasia, upon clinical request, similar to other parts of the GU tract, virtual endoluminal images can be reconstructed from the excretory phase series.

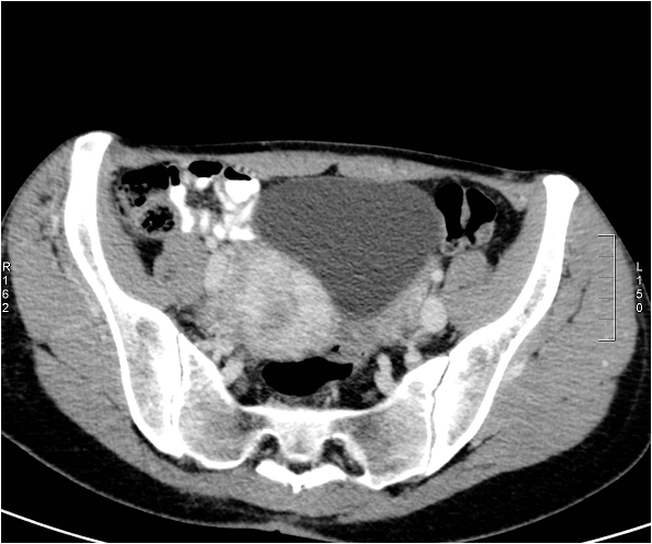
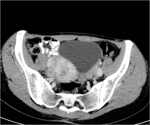
Image
Figure 9. Axial CT images show an extensive tumor in the bladder fundus.

 

16.7. Imaging of prostatic diseases

Familiarity with the “zonal” classification of the prostate (proposed by MacNeal) is essential for the understanding of basic clinical and radiological concepts of prostate diseases. According to MacNeal the glandular prostate can be divided into peripheral, preprostatic and central zones.

The preprostatic zone also includes the zones of transitional and periurethral glands. Meanwhile, the upper fibromuscular stroma shows a non-glandular structure.

The peripheral zone constitutes 70% of the normal gland; it owes its significance to the fact that 70% of prostate cancers arise in this zone.

The transitional zone is a frequent site of benign prostatic hyperplasia. While, the periurethral zone although, only contains 1% of the entire gland, is also important as middle lobe enlargement develops here.

Only 5-10% of prostate cancers originate in the central zone. Importantly, this is the entry point of the ejaculatory duct and the seminal vesicles while, the capsule is absent in this area. Therefore, it is a predilection point where prostate cancer could spread into the periprostatic space.

Prostate cancer is the most common malignant disease in men over 50. Therefore, prostate imaging is an important screening tool. Among the various imaging modalities transrectal US and MRI have a crucial role in primary diagnosis of prostate cancer. CT is used for accurate detection of pelvic and distant metastases.

Transabdominal US is only capable to determine the prostate size or extent of the secondary urinary retention and collective system dilatation. Meanwhile, transrectral US can also be used to guide biopsies from the suspicious hypoechoic areas, which is a significant advancement compared to the blindly performed (sextant) biopsies.

MRI is helpful for the assessment of local invasion and identification of atypical lesions. A highly sensitive MRI technique is spectroscopy, which measures the tissue concentration of metabolites. In prostate carcinomas choline and citrate levels are evaluated. Cancer cells are distinguished by the very low citrate and high choline levels.

Diagnosis of inflammatory diseases of the prostate is fundamentally based on clinical methods. If necessary a transrectal US can be performed, this shows loosened, edematous glandular structure, extracapsular microabscesses and increased flow in the periprostatic veins. Chronic prostatitis is characterized by intraprostatic calcifications although; these can be seen in other conditions as well.

16.8. Imaging of testicular diseases

Disturbances of testicular descent lead to ectopic testes and cryptorchidism. The ectopic testis is found outside the scrotum and the normal migration route. In cryptorchidism descent of the testis begins normally but stops uncompleted. Approximately 10% of the testes do not complete descent until the end of the first year. Cryptorchidism is associated with increased risk of sterility (fibrosing testicular atrophy) and malignant transformation, which still remains elevated if the descent is delayed or following surgical orchidopexy. Risk of malignant transformation in these testes is 30-40 times higher than in the normal population.

In general, testicular imaging consists of US and MRI examinations. For US it is important to use high frequency transducers with color Doppler imaging. MRI is particularly important for visualizing defects of testicular descent. In neoplastic diseases, staging for the detection of enlarged pelvic and abdominal lymph nodes and distant metastases can be equally completed with either MRI or CT.

Acute inflammation of the testis or epididymis is most commonly affects the head or the tail of the epididymis.

US scanning is highly significant in atypical and therapy resistant cases. In addition to abscess formation, epididymeal enlargement can compress vascular supply of the testis.

Chronic inflammations are essentially hydroceles and secondary thickening of the tunica vaginalis testis. In a hydrocele fluid is accumulated between the sheets of the tunica vaginalis. When a hydrocele is detected it is important to exclude potential testicular tumors as well.

Testicular cancer is the most common tumor in men aged between 25-34 years, constituting 1-2% of all malignancies. Positive family history, Caucasian descent and cryptorchidism are additional risk factors.

Germ cell tumors comprise 95% of all testicular cancers, among which the portion of seminomas is 60%. Non-seminomas form 40% germ cells tumors, these include embryonic cell tumors, teratomas, choriocarcinomas and yolk sac tumors.

Non-germ-cell stromal tumors are divided into Leydig cell and Sertoli cell variants.

Metastases, lymphomas and leukemias involve the testicles much less frequently than primary tumors.

Seminomas typically occur in 30-40 years of age. They are characteristically hypoechoic, 25% of them have already given metastases at the time of diagnosis, which primarily involve the lungs. The serum alpha-fetoprotein levels are usually normal while, beta human chorionic gonadotropin (beta-hCG) is increased. Seminomas are sensitive for chemo- and radiotherapy. The 10-year survival rate is 75-85%.

Image
Figure 10. US image of a seminoma.

Non-seminomas on US have variable echogenicity due to the frequent bleedings, fibrosis and calcifications. Embryonic cell carcinomas arise between 20-30 years as well as below the age of 2 years; these are very aggressive, with fast spread and distant metastases. Meanwhile, teratomas seen in young boys are benign lesions, which in the adulthood could undergo a malignant transformation. Choriocarcinomas are most common between 20-30 years of age. They are typically associated with early metastases to the lungs while, the primary tumor is

Image
Figure 11. Choriocarcinoma on US.

In adults testicular metastases most frequently originate from the prostate, lung, kidney, gastrointestinal tract, bladder, thyroid carcinomas and melanomas. In children neuroblastomas give most commonly testicular metastases. These metastases often show multiplex, bilateral distribution, which are frequently hypoechoic on US.

Hematologic malignancies affect the testicles in 7% of all testicular neoplasia. These are most frequently diagnosed in patients under 50, and they are bilateral in 40% of the cases.
Diffuse or focal hypoechoic areas could also be detected. In leukemias the whole testis may be involved.

16.9. Imaging of ovarian diseases

The basic imaging method used for the examination of the female pelvis and the ovaries is transvaginal US. In malignancies CT is essential to detect local invasion as well as distant metastases. MRI is the preferred method in young or pregnant women as it has similar application spectrum and efficacy to CT; it also has a specific advantage in differential diagnosis of ovarian lesions. Furthermore, it has a great importance in the detection of endometriosis and peritoneal implants.

In addition to clinical and laboratory tests the diagnosis of ovarian inflammatory processes based on US examination.

Volume of the inflamed ovary is expanded, vascularity is increased, around the ovaries and in the pelvis, ascites can be detected. In case of a tubo-ovarian abscess, a thick-walled circumscribed fluid collection could be identified in the surroundings. With US, thick fluid layering and gas formation can be observed inside the lesion. In undetermined cases an MRI scan must be performed.

Ovarian tumors often have an insidious onset with no complaints in the early stage of the disease. Hormone producing tumors can present with irregular bleedings or weight loss, later increased abdominal circumference and ascites could be pathogenic signs. The diagnosis is primarily based on US examination, for the staging additional CT and MRI scans are needed. Epithelial lesions constitute around 75% of all ovarian tumors.

16.9.1. Epithelial tumors

"a." Benign tumors: serous cystadenoma, mucinous cystadenoma, Brenner tumor.

Serous cystadenoma is usually a simplex cyst, luminal growths do not show contrast enhancement.

In mucinous cystadenoma the multiplex spaces, which may show differing densities, are separated by vascularized septae. The cystic spaces in the tumor do not enhance contrast, and no luminal growths could be detected.

Brenner tumor is a solid lesion which usually contains calcifications, and does not show contrast enhancement on CT and MRI scans.

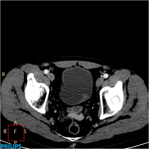
"b." Malignant epithelial tumors, which are often bilateral, represent 95% of all ovarian malignancies. Most of the time these present as cystic or solid masses, the later usually show increased echogenicity. Typically, a thick wall, solid luminal contents and internal growths are seen on the US examination. On MR a characteristic contrast enhancement pattern is detected.

The three most frequent metastatic sites are the Douglas pouch, the grater omentum and the right subphrenic space. From the lymphatic regions the inguinal, the internal iliac and paraaortic lymph nodes are commonly affected.

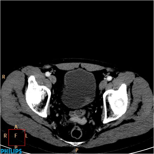
Image
Figure 12. Extensive right ovarian tumor.

 

16.9.2. Germ cell tumors

Germ cell tumors constitute 15% of all ovarian tumors. In 95% of the cases germinal tumors present as a dermoid cyst, which also alternatively called mature cystic teratoma. Torsion of the teratoma can lead to acute abdominal symptoms.

16.9.3. Sex cord-stromal tumors

Among the sex-cord stromal tumors fibromas frequently show cystic degeneration, while typically no contrast enhancement is seen.

16.9.4. Endocrine tumors

Endocrine tumors are multilocular lesions with pronounced contrast enhancement and with occasional septation.

In endometriosis endometrial tissue islands could be found outside the uterine cavity. The two most frequently involved sites are the ovaries and the peritoneum. Around the endometrial lesions inflammatory reaction could be detected. The most sensitive method to identify endometriosis is MRI. Inside the cyst hemorrhagic contents (the MRI signal is consistent with hemoglobin degradation products), thickened cystic wall and irregular internal wall contours could be identified.

16.10. Imaging of diseases of the uterus

In addition to US, MRI is the best imaging modality for visualizing disorders of uterus and female pelvis. Beyond all the advantages of cross-sectional imaging radiation free examination technique has a special importance in young and pregnant patients. Considering the excellent contrast and spatial resolution it is the preferred examination method even in older patients, when US does not provide an unequivocal diagnosis.

16.10.1. Benign disorders

Based on their location benign disorders of the uterus can be divided into myometral, endometrial and cervical lesions.

"a." Myometrial lesions include uterine fibroids, myomas and leiomyomas. On transvaginal US the different types of fibromas show highly variable echogenicity, they are often hypoechoic but may be isoechoic or hyperechoic as well. The echogenicity pattern can be either homogenous or heterogeneous. Calcifications are very common. Based on their location fibroids can be subserosal, intraluminal or submucosal, the later ones can also have a polypoid shape.

"b." Pathologic lesions of the endometrium include mucosal atrophy, mucosal hyperplasia as well as endometrial polyps formed by circumscribed mucosal thickenings. These all are well noticeable and sizable on both US and MRI scans. MRI is especially important for the identification of uterine wall endometriosis, also known as adenomyosis.

16.10.2. Malignancies

Endometrial carcinoma is the most common gynecologic malignancy. It generally begins in postmenopausal women with dysmenorrhea. The usually polyoid tumor remains superficial for a long period. Myometral infiltration is only seen in a later stage, thus 80% of the lesions are detected in an early form. Diagnosis based on gynecologic examination and biopsy. The role of MRI examination is to assess local and regional invasion.

MRI has an important role in the post therapeutic follow-up of uterine tumors. Cervical carcinoma similar to endometrial carcinoma is diagnosed primarily by clinical means. MRI has a role in tumor staging. MRI can assess myometral and vaginal invasion as well as vesical and rectal spread. With MRI we can also obtain an accurate picture on the involvement of the pelvic wall and the lymphoid system.

16.11. Summary

In summary we have learned the optimal diagnostic use and possibilities of imaging for the genitourinary system in both man and women, corelating pathological knowledge as well.

Translated by Pál Kaposi Novák


Site Language: English

Log in as…