Loading...
 
PDF Print

Chest Radiology

9. Chest Radiology

Authors: Kinga Karlinger

Semmelweis University Department of Radiology, Budapest

 

Aim of this chapter

Giving an overview to the 4th year medical students about the principles of the chest diagnostic imaging, application of different imaging modalities, the diagnostic order and values of them, recognizing the normal and abnormal lung appearances and interpretation of each lesions. Further goal is to introduce the radiological appearance of the most important diffuse and nodular ( malignancies) lung diseases and to be familiar with the radiological features of certain pathologies of the lung hilum, the pleura, the mediastinum and the diaphragm.

9.1. The Lung

9.1.1. Imaging modalities

Chest radiograph (P-A, A-P, supine, Friehmann-Dahl view)
Pulmonary abnormalities appear as consolidations on the transparent lung areas, because of their different radiation transparencies.

Fluoroscopy shows the respiratory movement of the diaphragm and the mediastinal pendulum movement during inspiration and expiration. The pulsation of the hilus and the exact localization of the lesion on the projected chest or any visible pathologic pulmonary changes can be noted. For example, the Holczknecht-Jacobson sign indicates one of the main bronchus is obstructed, most frequently due to aspiration of a foreign body without consolidation on the radiograph. The hilus moves towards the obstructed lung during inspiration, while during expiration it moves in the other direction towards the entire lung, which crushes its air out. This can be precisely followed on the radiograph screen. The pulsation of the hilus and the exact localization of the lesion on the projected chest or any visible pathologic pulmonary changes can be noted.

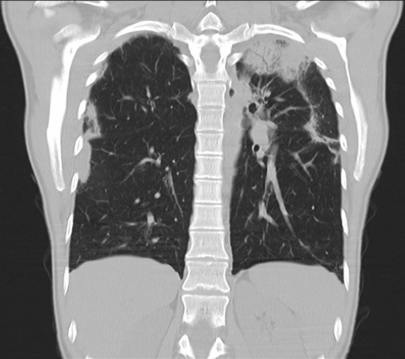
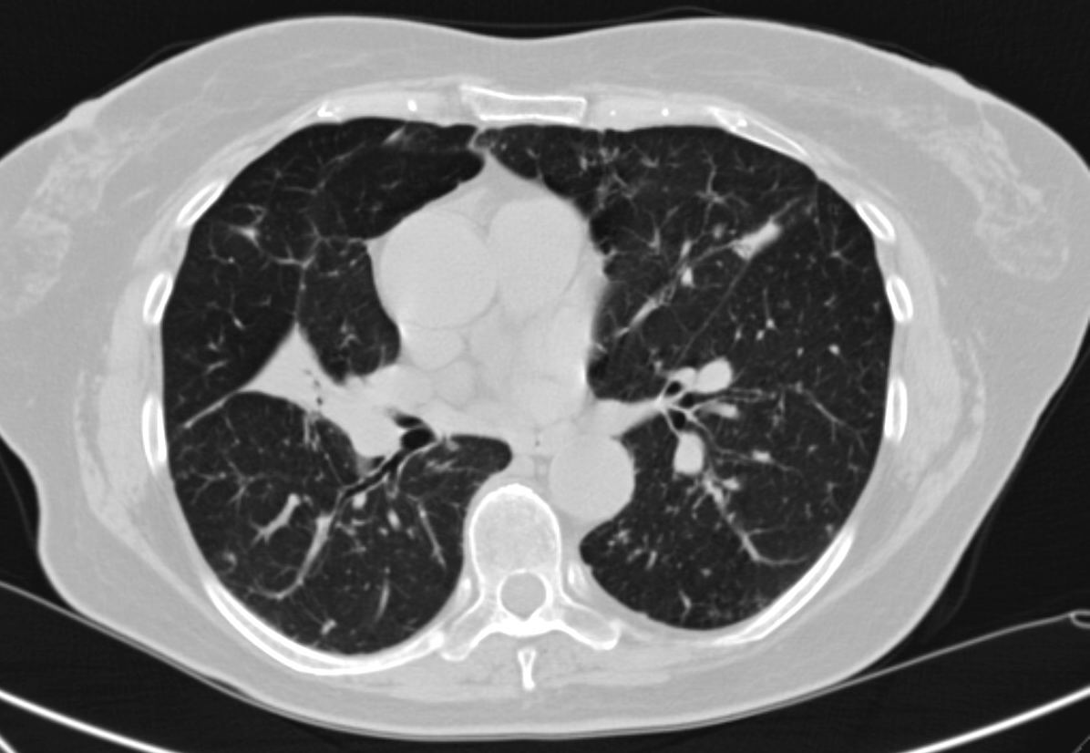
Computed tomography (CT) - spiral CT, multi slice CT (MSCT), high resolution CT (HRCT) – data are acquired by transverse slices, then volumetric data collection is processed, and non-contrast and contrast-enhanced slices can be obtained. Post-processing methods include: windowing, density measurement, magnification, size determination, etc. In addition, secondary reconstructions (multiplanar reconstruction MPR: sagittal, frontal, 3D) and programs (volumetric, angiographic evaluation opportunities) can contribute to the diagnosis. The most refined lung structure imaging can be achieved by HRCT using very thin slices, which is principally important in the diagnosis of interstitial lung diseases.

MRI is helpful in the examination of chest, mediastinum, heart, and vascular abnormalities.

Ultrasound can confirm the pleural effusion in the sinus. In case of emergency: congestion, pneumothorax, FAST (Focused Assesment with Sonography in Trauma, e-FAST (extended FAST to the lung), RUSH (Rapid Ultrasound in Shock and Hypotension).

9.1.2. Anatomy

The lung is surrounded by the skeletal chest wall (sternum, ribs, and vertebral column), which is lined by the parietal pleura. The lung has 3 lobes on the right side and 2 lobes on the left side. The visceral pleura invests the surface of the lung, while the interlobar pleura lines the fissures between the lobes. The horizontal fissure lines the border of the upper and middle lobes, whereas the oblique fissure is located between the lower and upper-middle lobes. The lobes of the lung can be further divided to smaller parts, these are the segments. The trachea divides into two main bronchi, which subdivide dichotomously into lobar then segmentalinic bronchi at the level of the hilum. The pulmonary trunk (main pulmonary artery) originates at the right ventricle and branches into right and left pulmonary arteries; from this point on the branch system of the pulmonary artery follows alongside the bronchial branches.
The idea of the secunder lobule is a relatively new concept, which have become widely known thanks to the high resolution CT ( HRCT) technic. The interstitial, the nodular pulmonary diseases and the state of pulmonary circulation can be also evaluated using this method. The (meso)anatomical and functional unit of the lung is the secunder pulmonary lobule, which is hexagonal-polyhedral formation with the diameter of 1.5-2 cm, that can be visualized by modern imaging methods (HRCT). It is made of acini (5-7), which individually consists of 400-500 alveoli. The terminal bronchioles run in its axis accompanied by arteriola. The interstitium provides the lung frame, which follows the bronchovascular bundle starting from the lung hilum. In the secondary pulmonary lobule, the space between the acini and alveoli is filled by a network of connective tissue with spider web-like fragility (intralobular interstitium). The interlobular connecting tissue locates between the secunder lobules with lymphatic drainage ( the veins also run here).

 

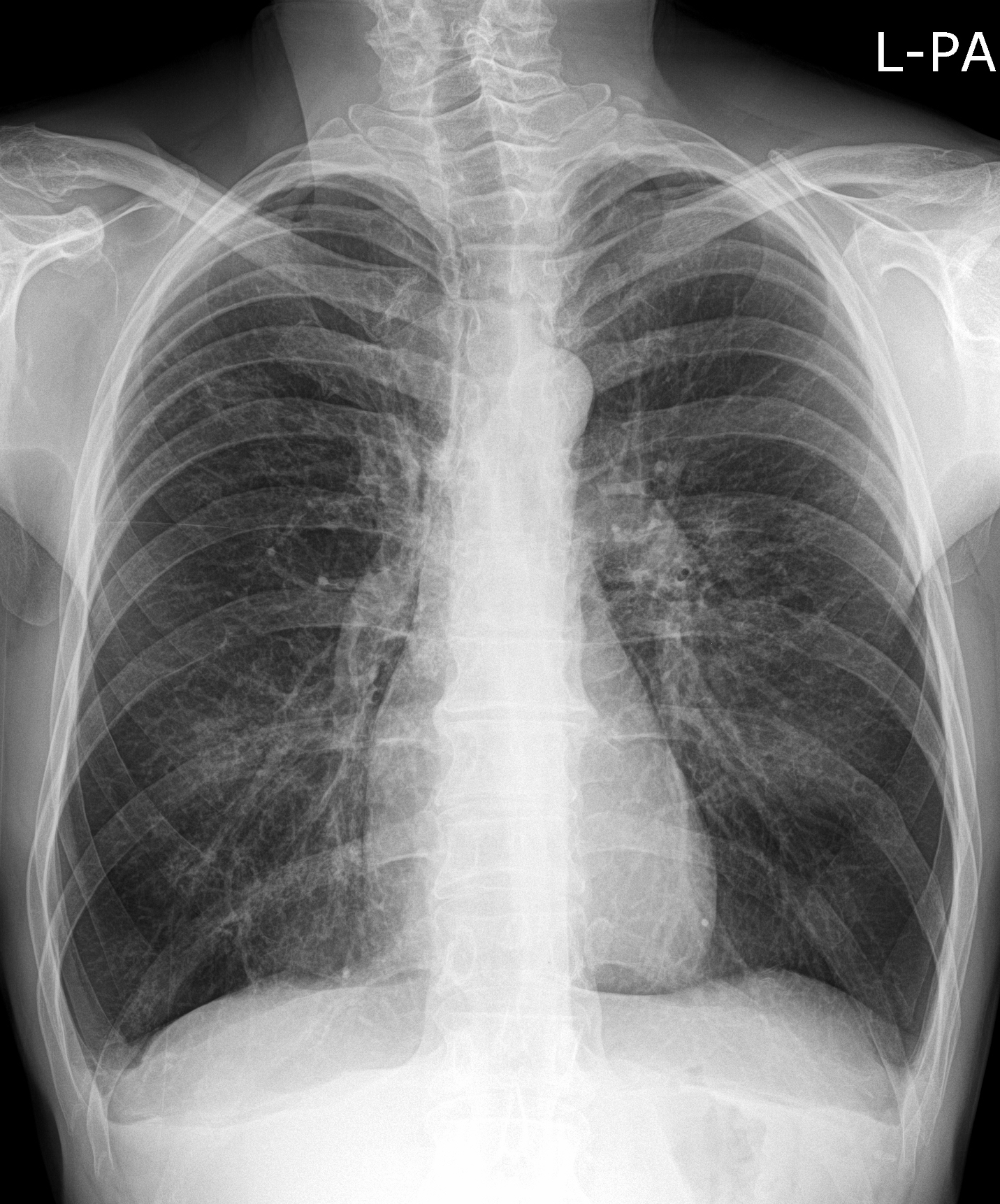
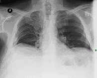
9.1.3. The normal chest radiograph

Negative chest radiograph
Unless a (multitudinous) screening examination is required, a bidirectional, posteroanterior (PA), latero-lateral radiograph is performed.
Hard beam technique (120-130 kV, 5 mAs) indicates a 2 m focus-film distance with radiograph taken at full inspiration.

The PA beam direction tempers the covering effect of the heart, which lies close to the film/detector. The heart should be “smaller”, similarly to its normal size, and its contours must be sharp (central projection). Exposition, inspiration, and rotation characteristics of a technically acceptable PA chest radiograph include:

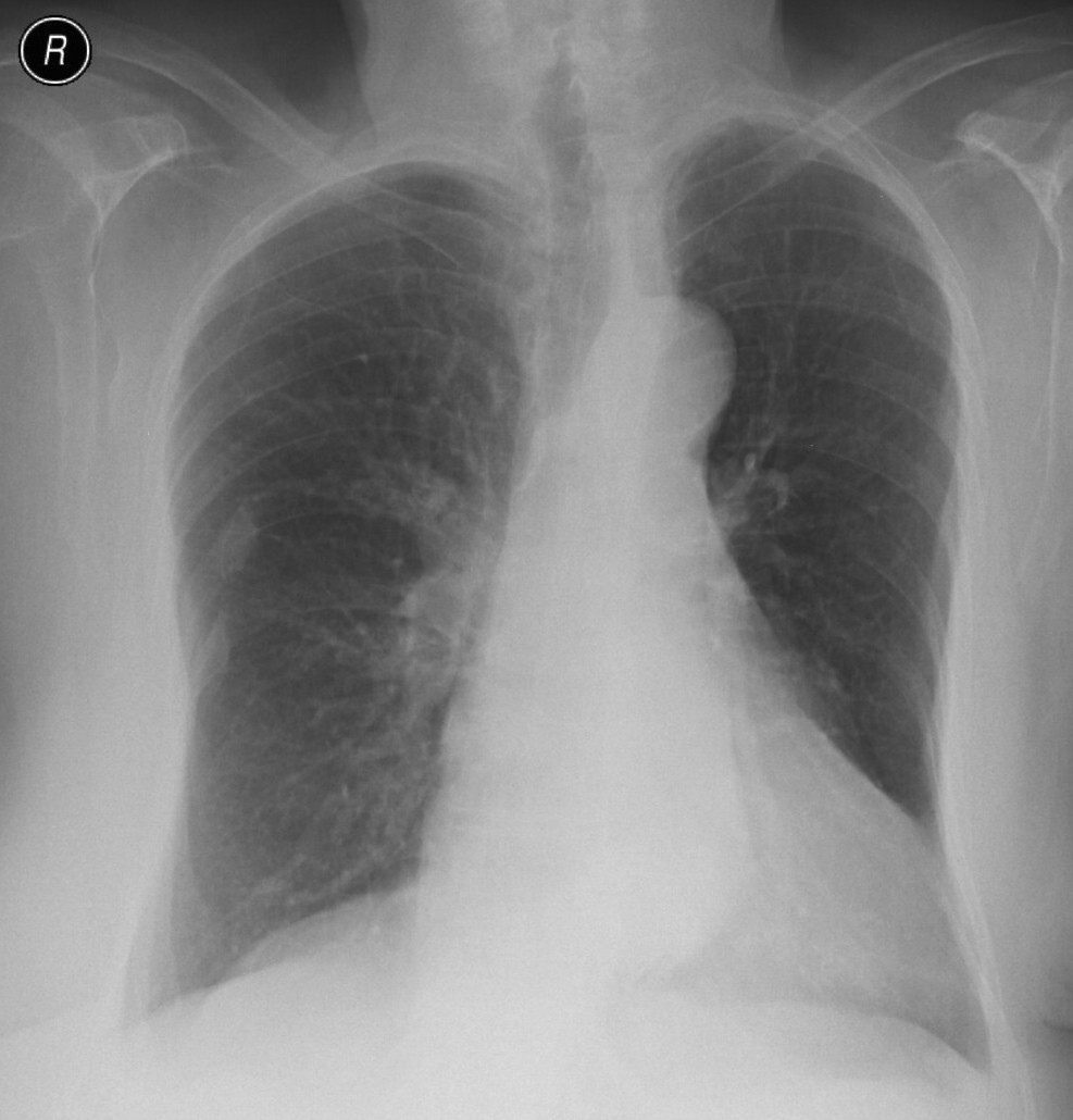
  • Exposition: the thoracic vertebral bodies should be just visible wanly in the upper part of the mediastinal consolidation
  • Inspiration: if the posterior arch of the 9th and 10th ribs at the level of the diaphragm is visible, then the patient has taken an adequate inspiration effort
  • Rotation: optimal when the sternoclavicular joints are equidistant from the midline
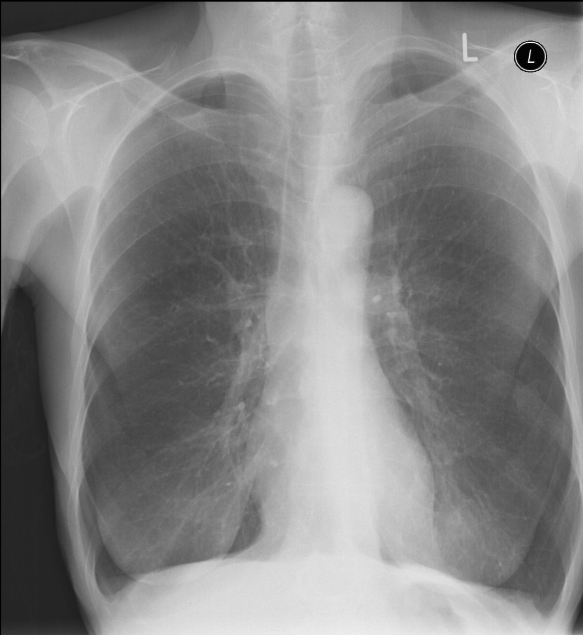
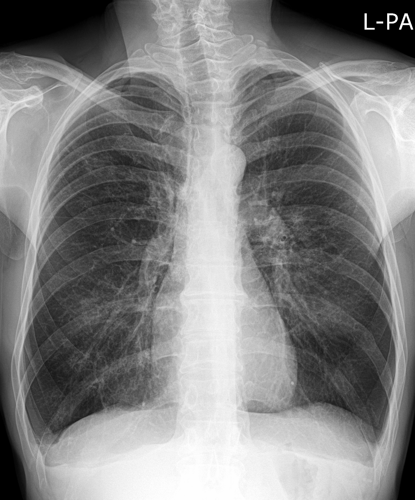
1a: Normal chest X-ray 1b: Chest HRCT examination

 

9.1.4. Basic radiograph abnormalities

9.1.4.1. Hyperlucencies (increased transparency)

Bilateral: emphysema (see chronic obstructive lung diseases)
Well-defined: bullous emphysema, lung cysts

Partial or total hyperlucency occurs if the air content of the lung partially or totally increases (diffuse or bullous emphysema), if there is accumulation of air within the pleural cavity (pneumothorax), or if air-containing cavities in the lung parenchyma also “light up” from the lung view.

9.1.4.2. Hypolucencies (decreased transparency)

Unilateral: Volume expansion (fluid), Volume reduction (atelectasis), or No volume effect (pneumonia)

Hypolucencies (consolidations) may indicate fluid, atelectasis, pneumonia, alveolar diseases, or interstitial diseases. Hyperlucency occurs if there is less lung air content; if a transparent item occupies the space of the air-containing lung; or if the permeability of the pleura lines decreases. Accordingly, the hypolucency causing abnormalities appear as consolidations. Consolidation characteristics include:

  • Intensity: metal, calcific or soft tissue intensity, pale or veiled
  • Extension: variable. Smaller, well-defined consolidation is called solitary pulmonary nodule
  • Number: variable
  • Location: Apical, central (hilar) or peripherial. The location of a lesion can be characteristic for certain diseases. Location of nodules is marked with lobar and segmental accuracy
  • Contour: sharp or blurry
  • Homogenisity: homogeneous or inhomogeneous

 
The shape of smaller consolidations can be

  • bundle-shaped
  • streaking
  • rounded
  • patchy (if the small nodules are located in a dense, end-to-end superprojection and cannot be distinguished sharply).

In some diseases, certain consolidation assortments can be identical or similar.

Homogeneous consolidations
Homogenous consolidation covering the hemithorax can be caused by:

  • wide exudative pleuritis (mediastinal shift, the mediastinum is pressed to the opposite side);
  • large pleural fibrosis (draws the mediastinum to its own side);
  • atelectasis due to the obstruction of the main bronchi (the mediastinal pendulum movement during inspiration and expiration).

 
Atelectasis
Atelectasis is the decline or complete lack of air content within alveoli due to a lack of connection with the external airspace, the air dissolves from the alveoli and the otherwise normal lung collapses because of its elasticity.
Types and causes of atelectasis:

  • resorptive (obstructive) – bronchial obstruction
  • passive (compressive) – pneumothorax, hydrothorax
  • adhesive (subsegmental) – postoperative, viral pneumonia, postirradiation pneumonitis
  • fibrotic – diffuse interstitial fibrosis

 
Radiograph findings indicating atelectasis:
Homogeneous blurry consolidation in the air-containing lung is due to the lack of gas exchange. The anatomic borders are respected, the affected part of the lung lessens, the normal pattern of the fissures and the adjacent intact lung zones are dislocated, the Holczknecht-sign (in case of main bronchus obstruction) is positive. Hemidiaphragm elevation might occur on the same side.
Differential diagnosis: pneumonia

Infiltrative shadows
In the case of any inflammatory lung disease, an “infiltratory” blurry consolidation can be seen with indistinct and not sharply determinate margins, which are more dense in the middle and more lucent towards its margins.
Causes of infiltrative shadows include:

  • bronchopneumonia
  • abscess, mycosis
  • tuberculotic infiltrations
  • severe congestion
  • central lung cancer.

 
Bundle-shaped, striped shadows
Bundle-shaped, striped shadows are observed when the connective tissue accumulates and thickens around the lymphatic vessels along the bronchi. These shadows are seen most frequently in tuberculotic diseases, early and resolving phases of pneumonia, bundle-formed perivascular infiltration from coniosis, lymphangiosis carcinomatosa (bundle-formed, but a more reticular pattern), chronic bronchitis (less expressive and located mainly in the lower lobes), pulmonary congestion (strengthened lung pattern, reticular, but more dense and regular), interlobal pleural fibrosis (line-shaped, thin, sharp consolidation), and Fleischner-type atelectasis (a slightly wider strip or zone).

Round, homogeneous shadows
Round, homogeneous consolidations are caused by encased, pleural effusion or fibrosis. When the direction of the beam is changed, the shadow loses its shape; when the beam direction is horizontal it narrows becoming stripe-like. Ball-like objects are indicated by round consolidation, which are listed here in the order of their frequency: tuberculoma; benign tumors; cysts (congenital or Echinococcus); neoplasms (carcinoma, sarcoma, etc.); lung metastases; early phase tuberculotic infiltration; full caverna; mycotic nodules; peripheral lung cancer; adenoma; and a-v shunts.

Patchy, miliary shadows
Pinhead- or millet-sized, densely scattered nodules occuring most frequently in cases of: tuberculosis, coniosis, sarcoidosis, miliar carcinomatosis, etc.

Ringed shadows
Most frequently indicate tuberculotic caverna, and less frequently indicate abscess or fused tumor cavity, particularly if the cavity’s fluid content depletes and is replaced by air. Ringed shadows may also indicate sac-like cavities of bronchiectases, air-containing lung cysts, or emphysematous bullae.

Image
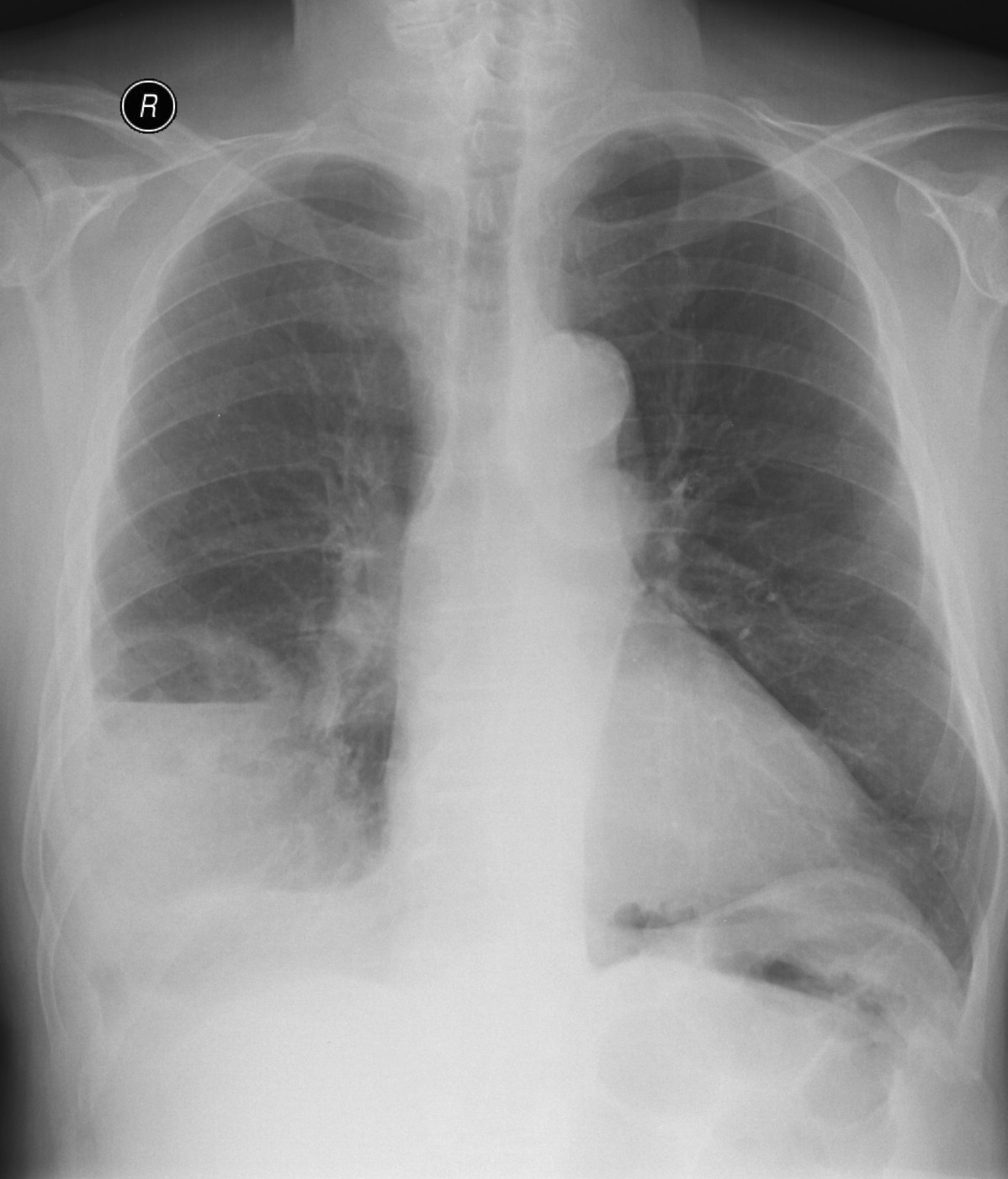
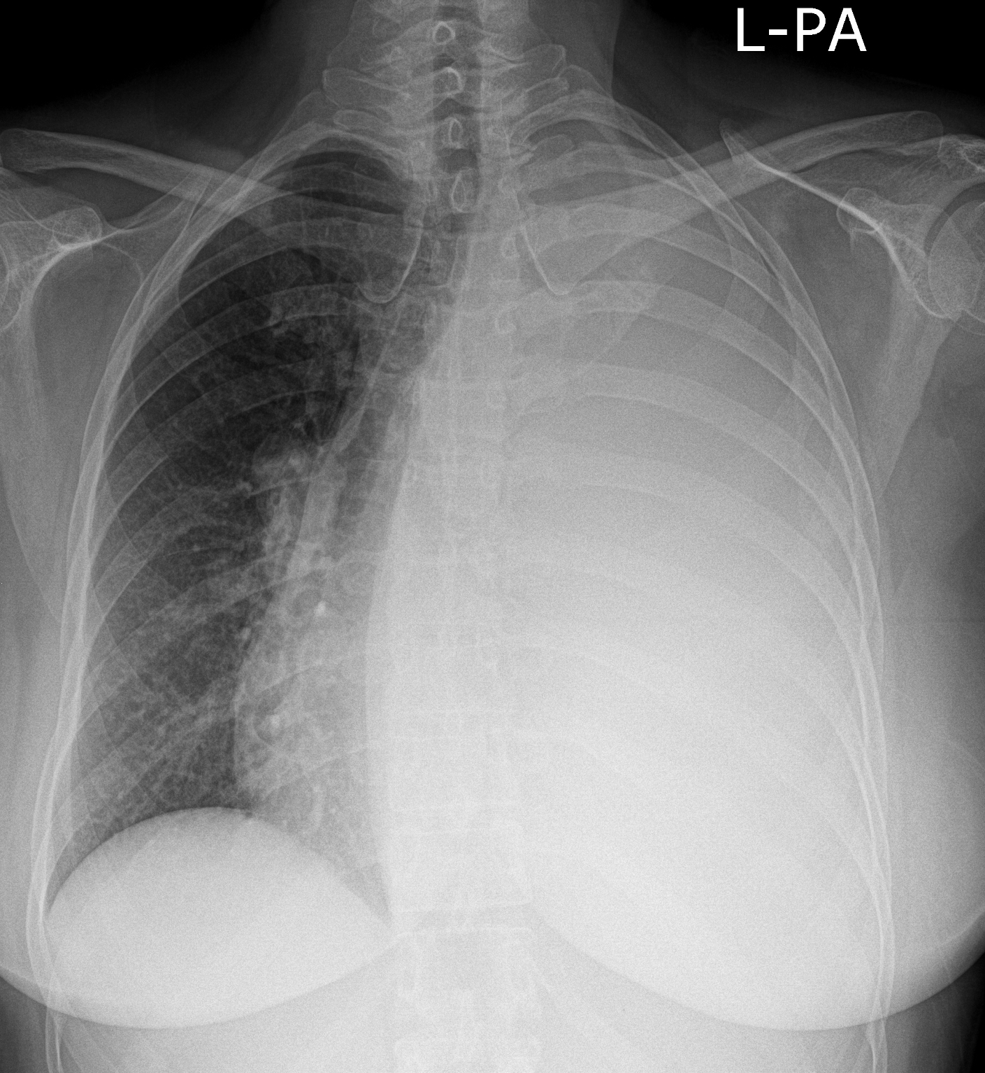
2a: Atelectasis, PA chest radiograph.Hx of esophagus exstirpation surgery. (by the contribution of Zsuzsanna Monostori, MD, PhD) Parahilar right side hypolucency. (small amount of pleural effusion in the right lateral sinus)
Image
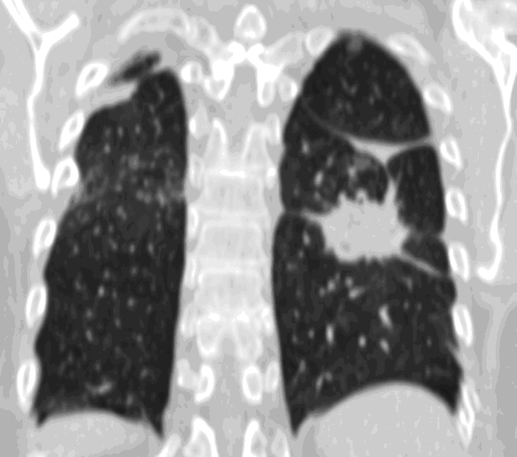
2b. Atelectasis, left upper lobe. CECT, coronal reconstr. (by the contribution of Zsuzsanna Monostori, MD, PhD)

 

Image
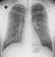
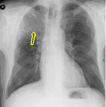
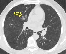
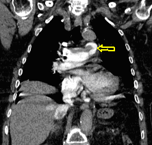
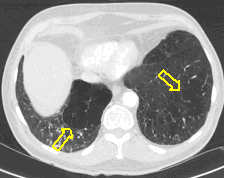
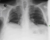
3a: Round shadow: multiple lung metastasis. Chest radiograph (PA)
Image
3b: Multiple lung metastasis, CT lung window (axial, coronal reformat)
Image
3c, coronal reformat

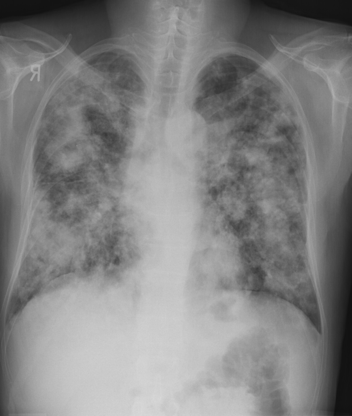
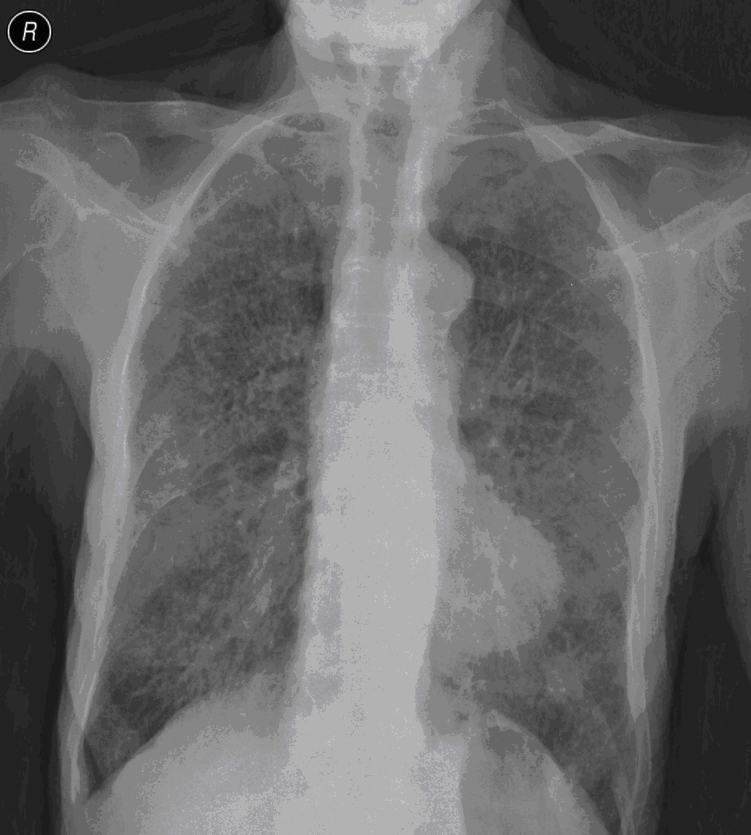
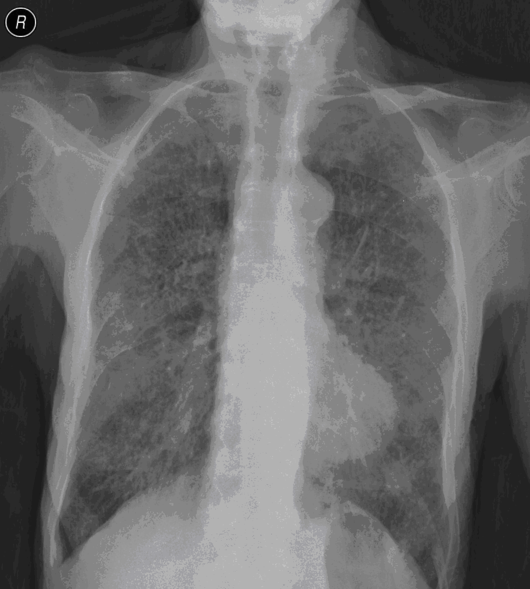
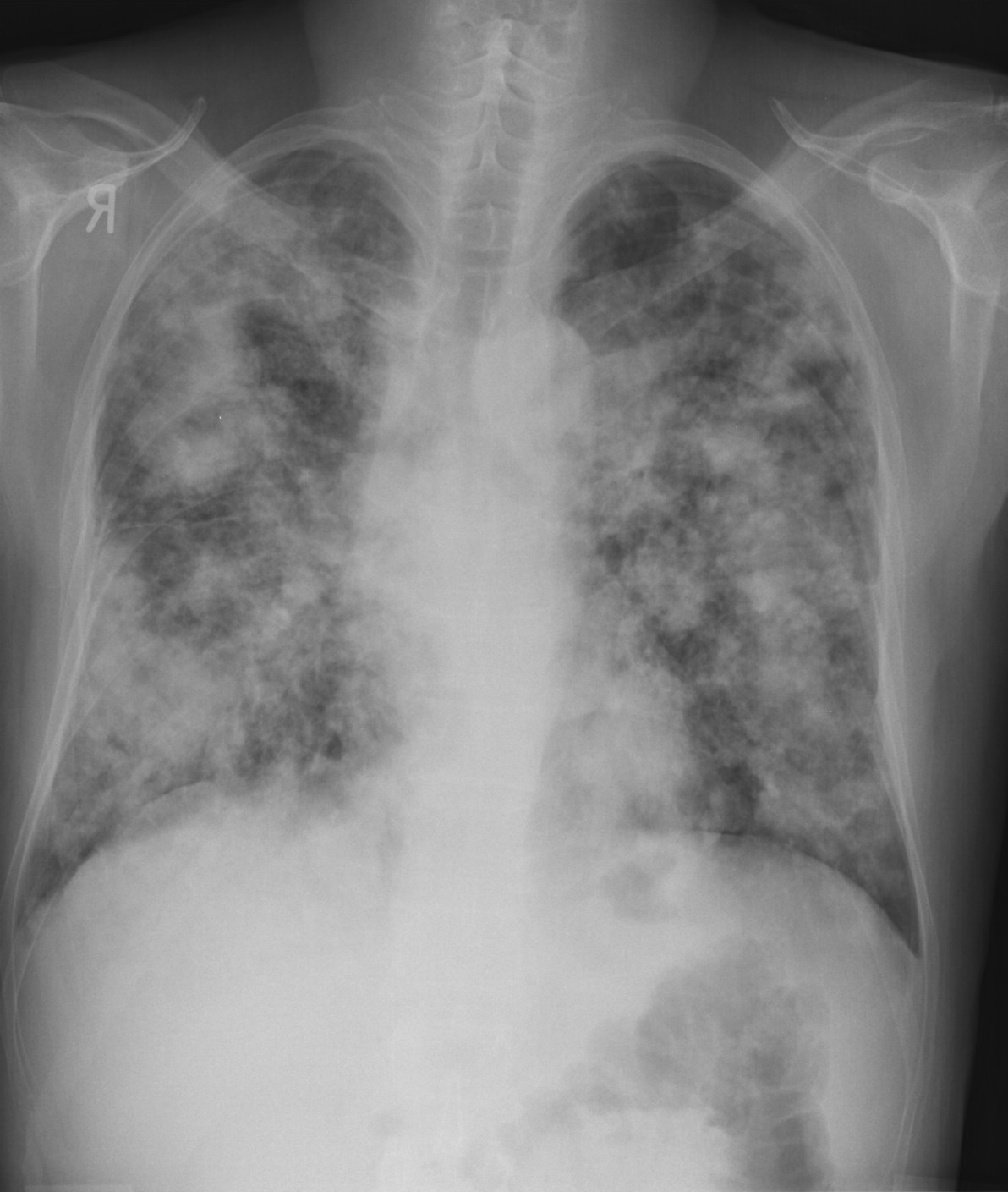
70 year old man, colon tumor.
Radiograph: Bilateral extensive, confluating patchy-nodular shadowing with diffuse reticular pattern. The diaphragm contour is partially blurry bilaterally: lymphangiosis carcinomatosa.
CT: Numerous 1-6 cm round and irregular, lobulated-spiculated contrast enhancing lesions in both lungs, everywhere sporadically.

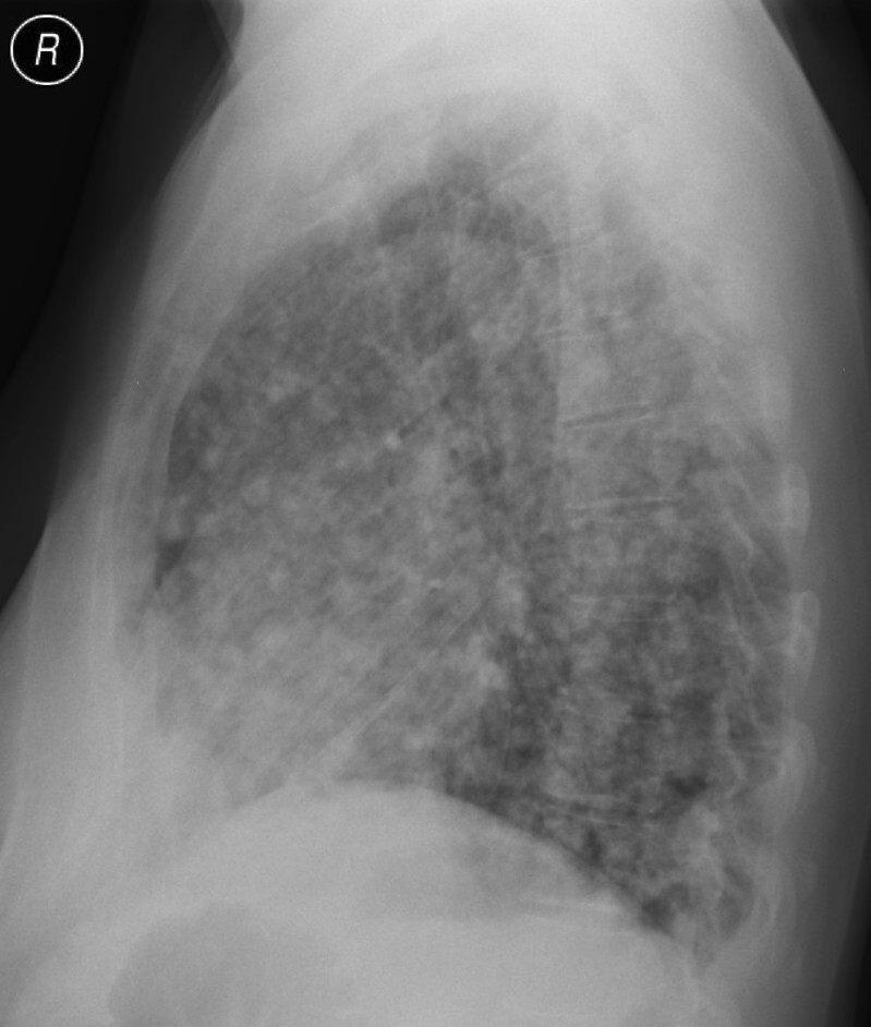
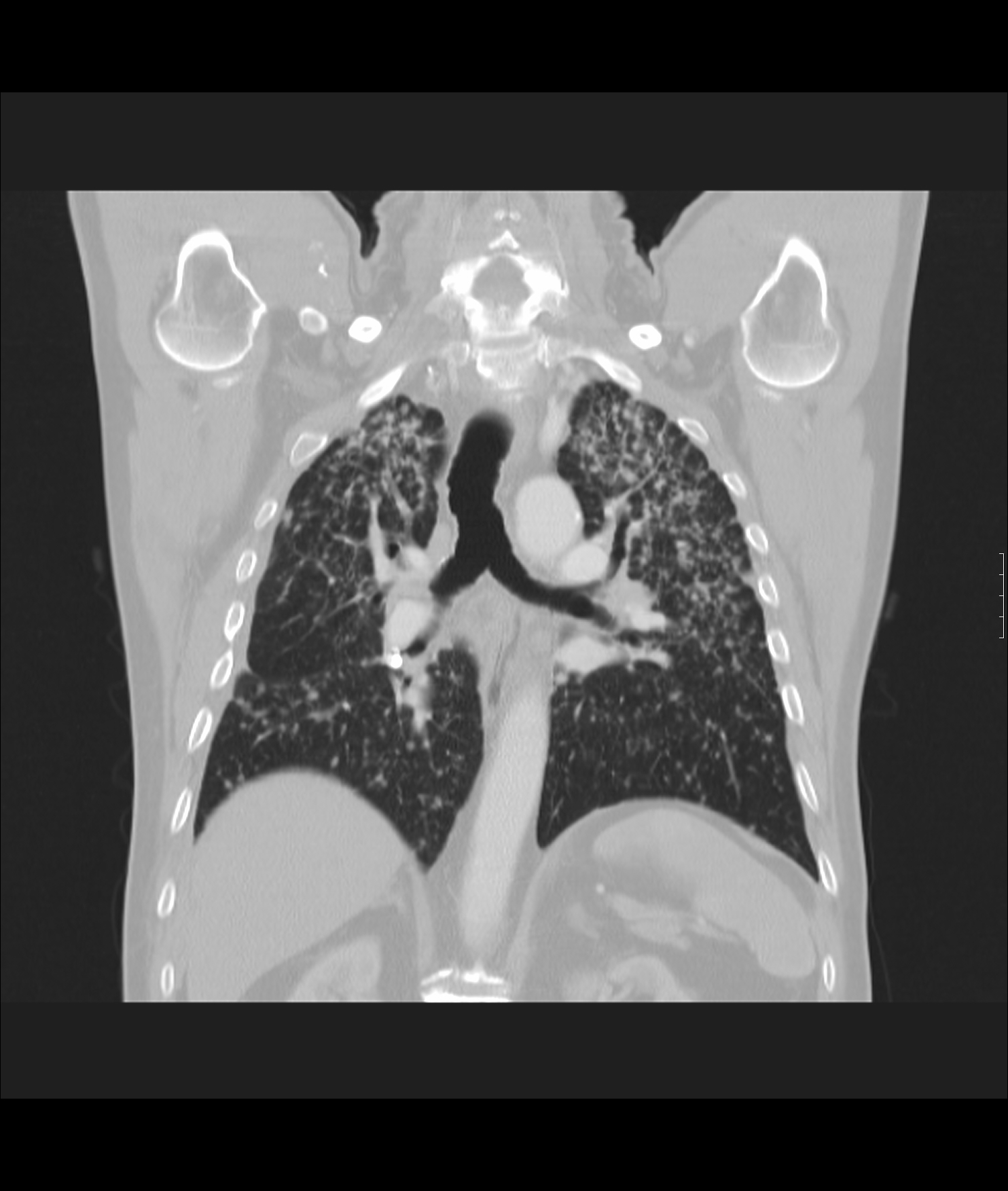
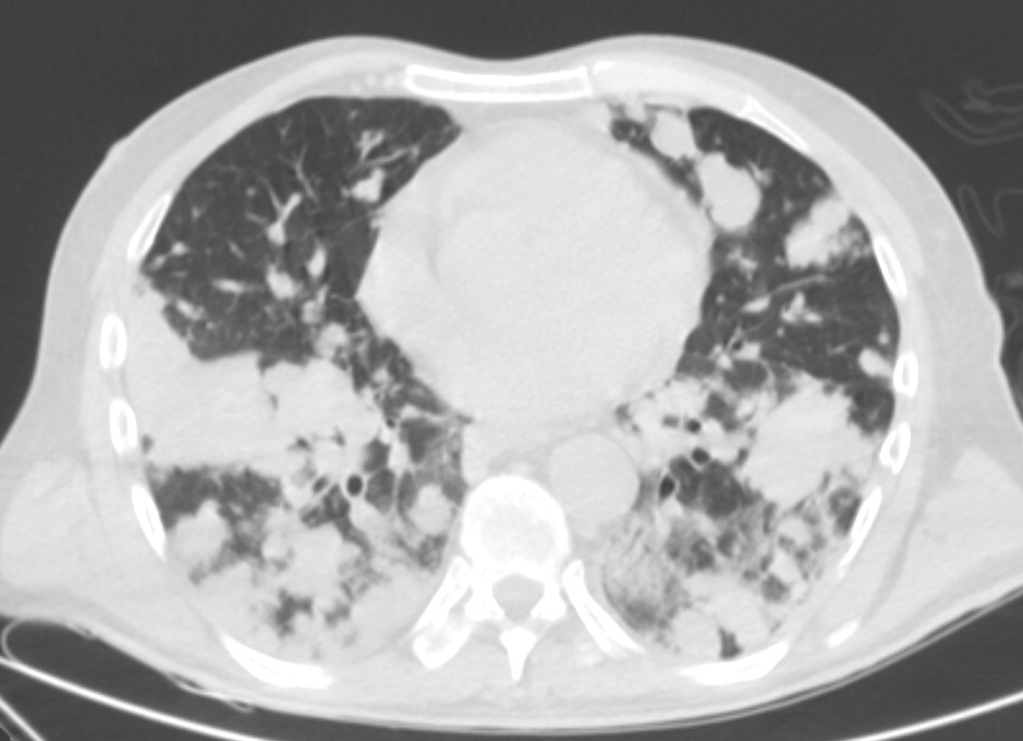
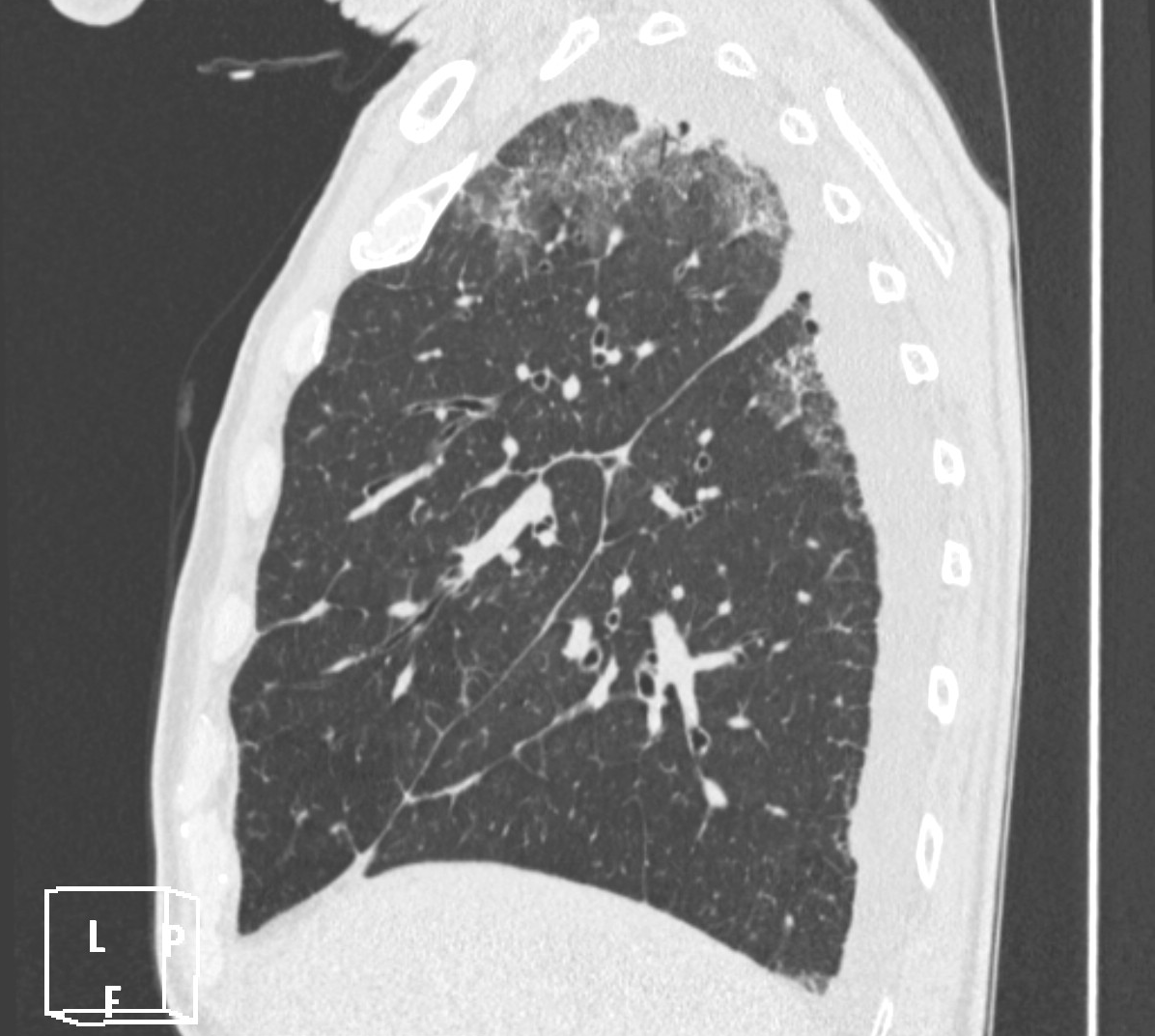
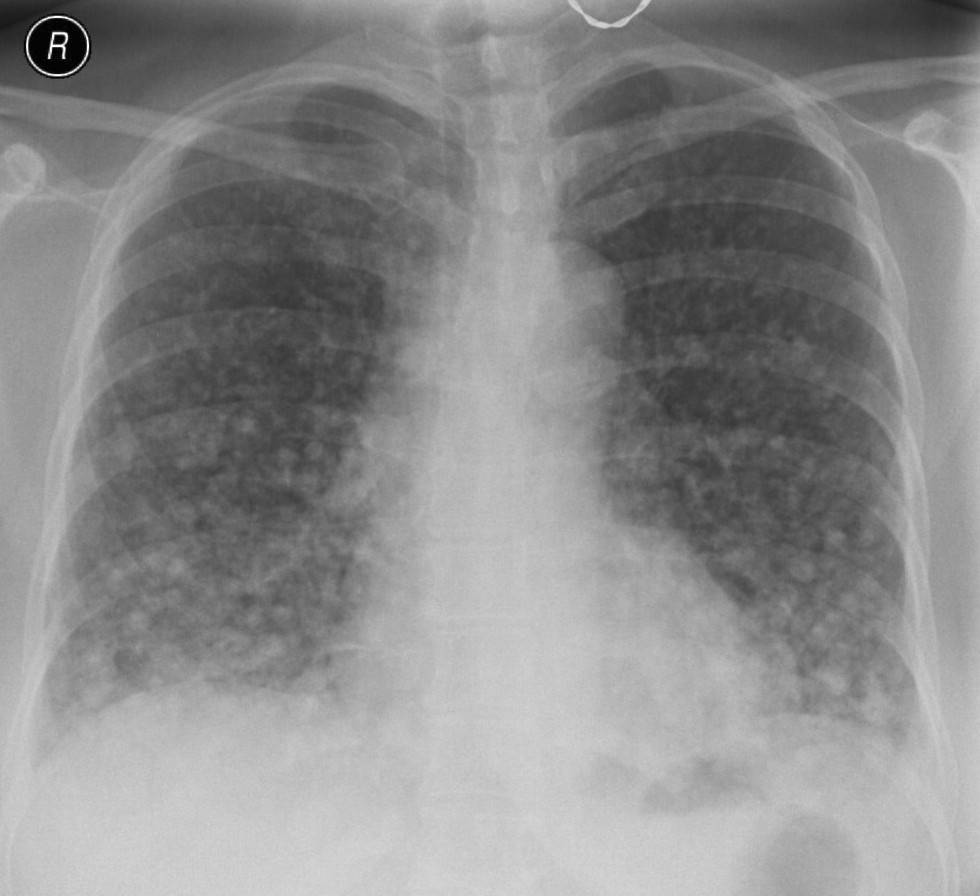
4: Miliary pattern: sarcoidosis, CT, lung window. Axial image and sagittal reformat.

A 67 year old female suffering from COPD. Bilateral rough branching interstitial widening and patchy, miliary nodules with perihilar dominance along the bronchovascular fibres and the fissures.

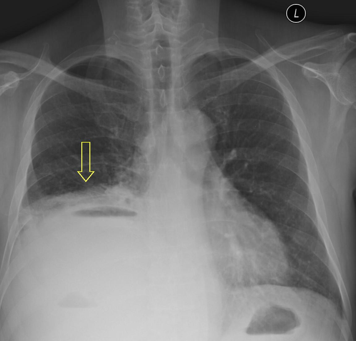
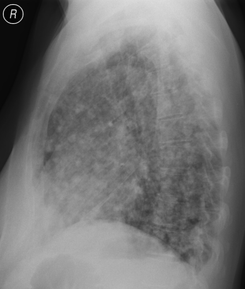
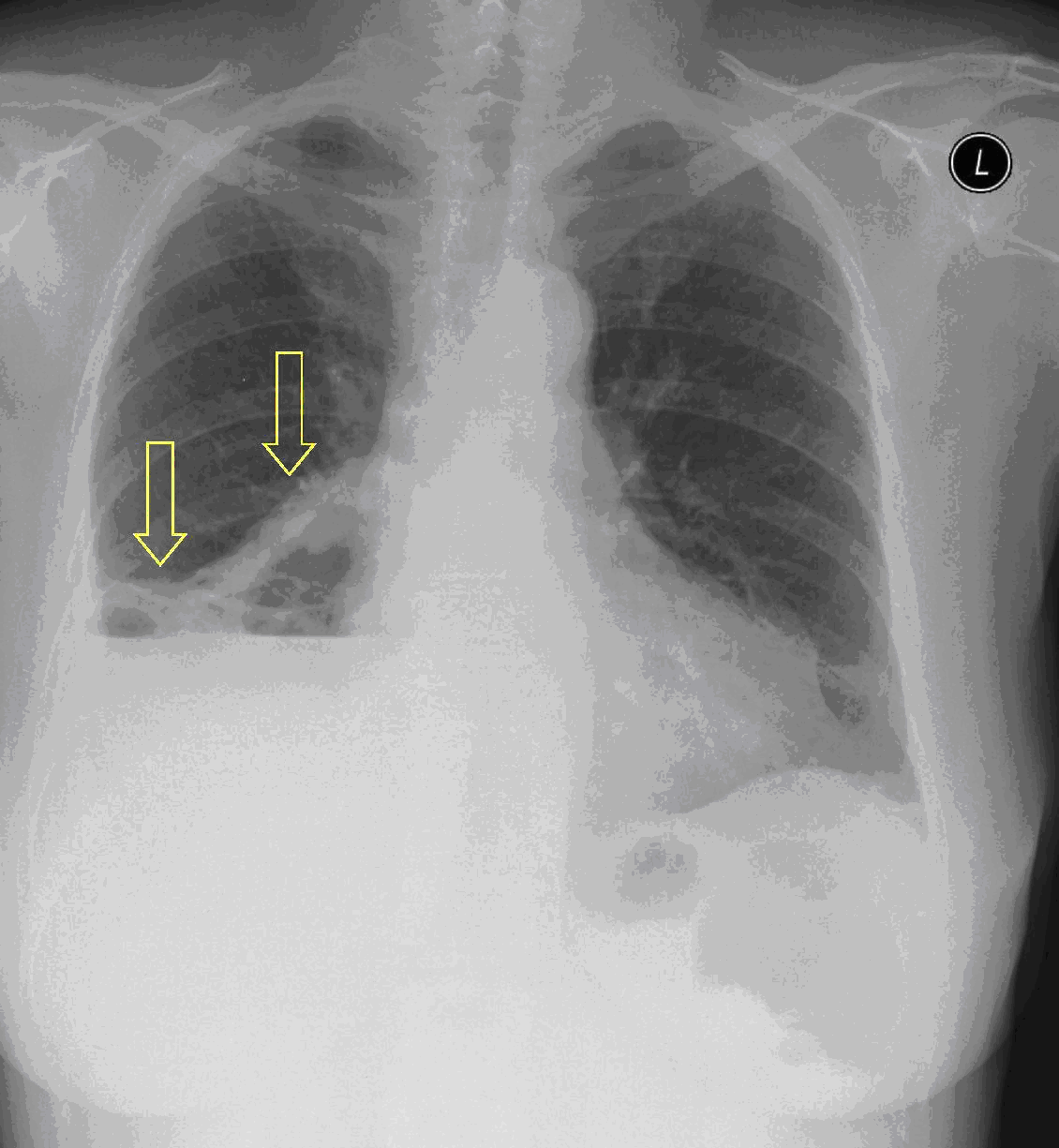
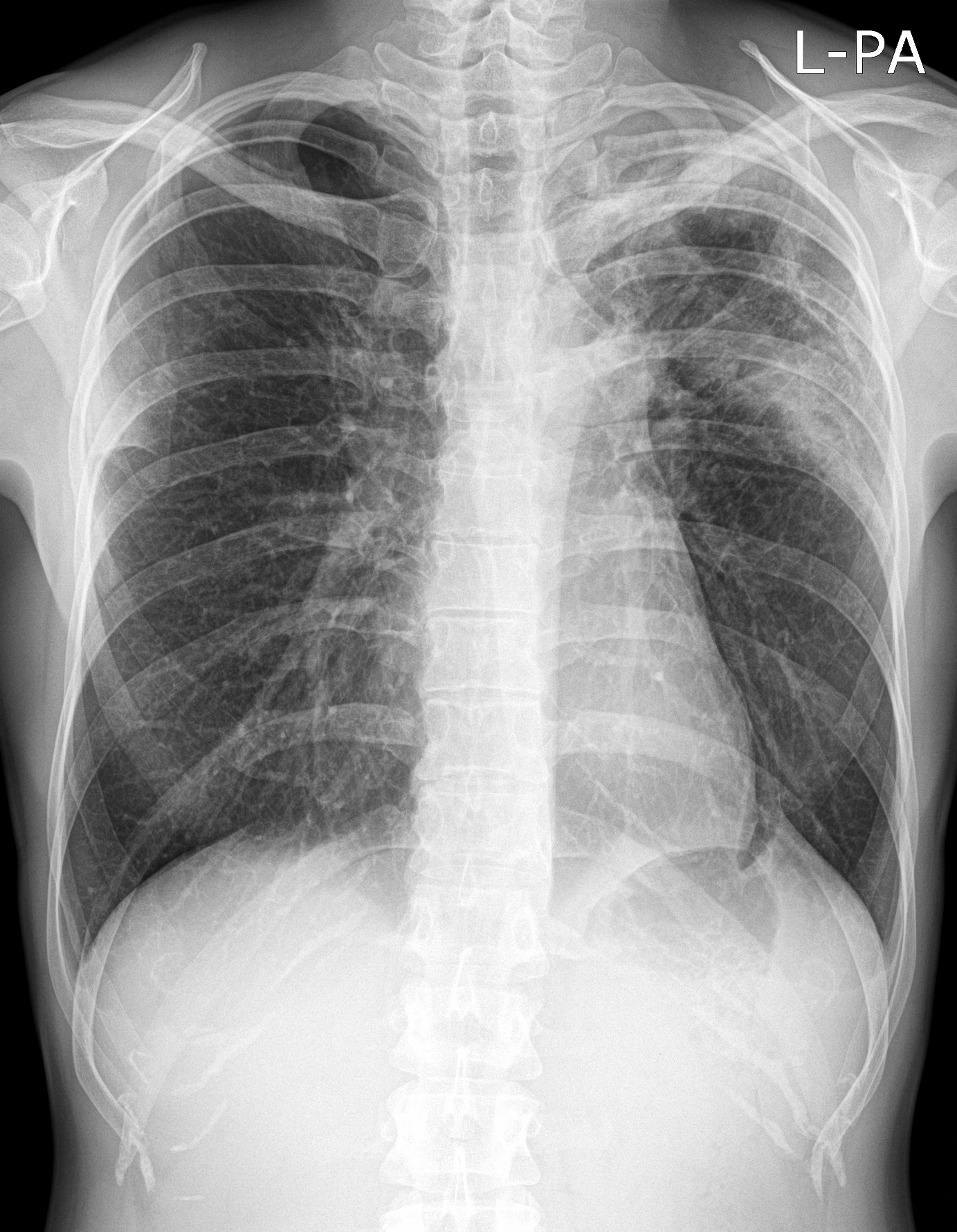
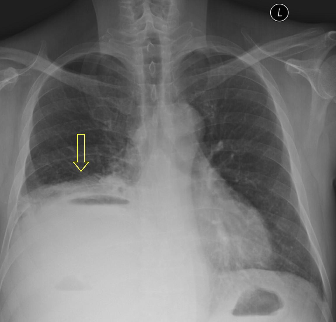
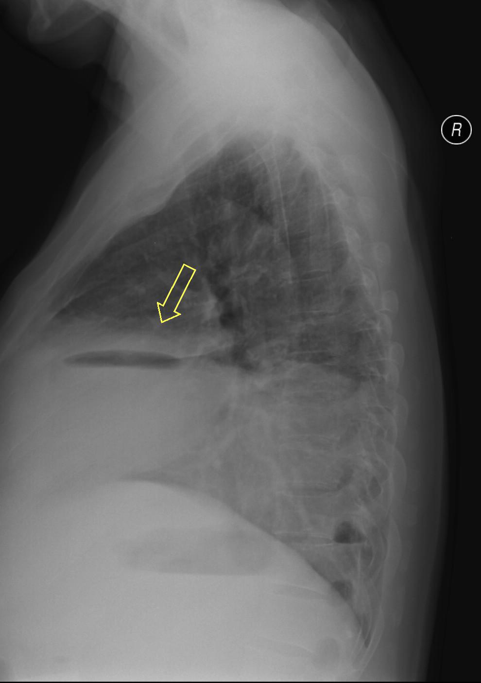
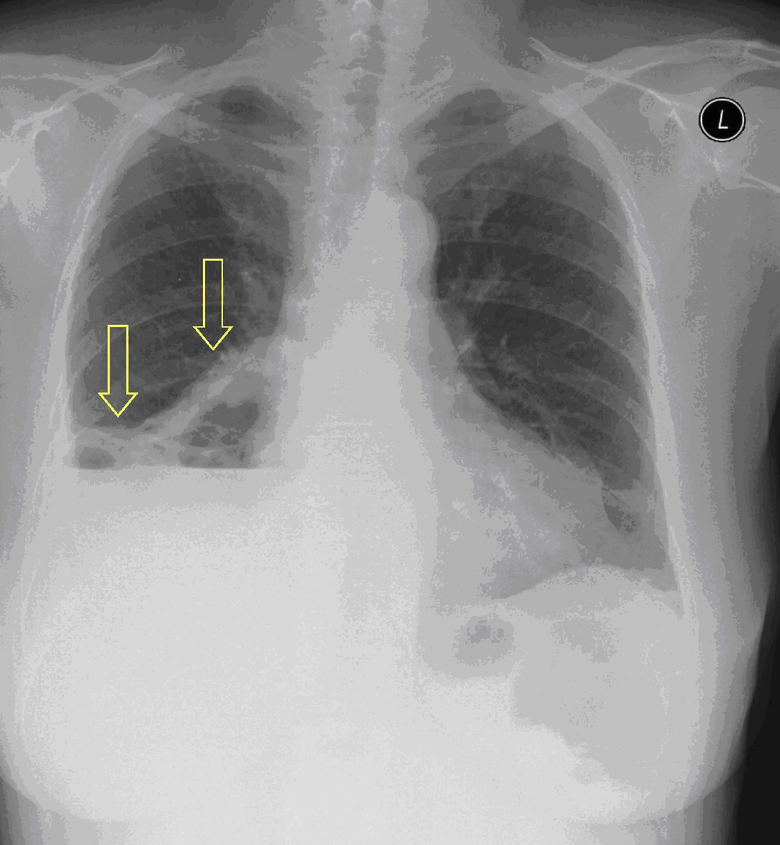
5a,b: Lung abscess. Chest radiograph, bidirectional (PA+lateral - right side near the film).

61 year old woman. Laparoscopic esophagus diverticulum resection 2 months ago. 7 cm air-fluid level with air space above: „basket sign” above the right diaphragm laterally measuring 2,5 cm in lateral diameter and 7 cm mediodorsally.

Image
6. c
Image
6. d

 
64 year old man. Infiltration and abscess development in the right lower lobe.
c.) CT lung window, coronal reformat, d.) axial, mediastinal window. Extensive area in the right 8-9th segments without air, including many associated lesions of fluid density, with tiny air bubbles, larger air spaces and air-fluid level. The lesion has almost a triangular shape, its dorsal and ventral contours are arched, its peak points towards the lower pole of the hilum.

Image
6. e
Image
6. f

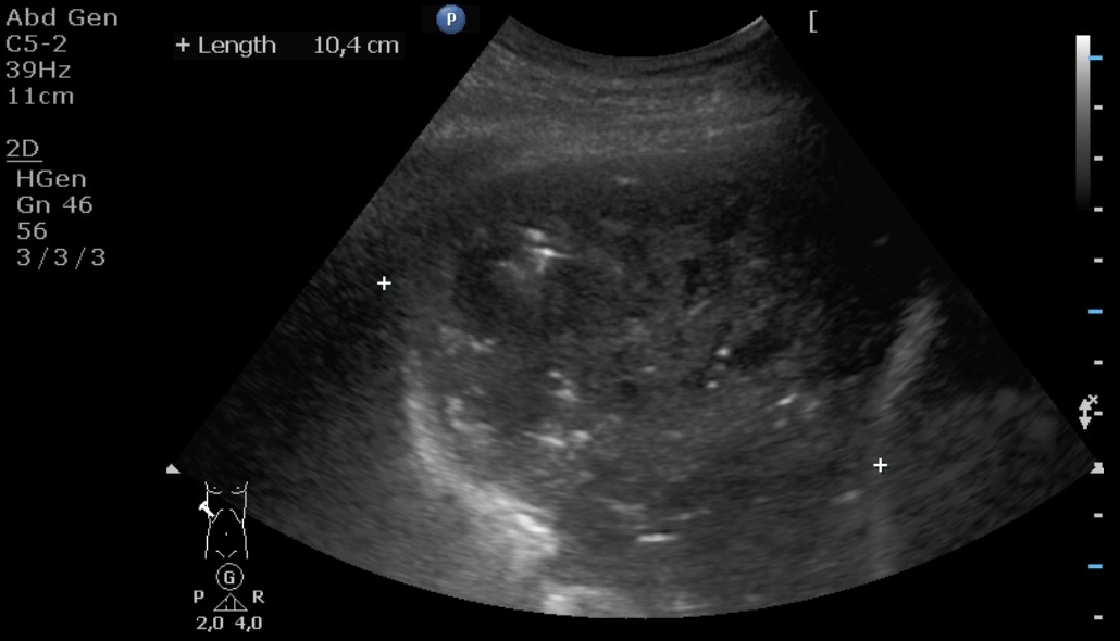
e, f.) Chest (PA and right lateral) radiograph: 10 cm large shadow in the RLL, the wall of the „basket sign” measures 0.5 cm + an other one measuring 7 cm possibly with one-two smaller air-fluid levels + small pleural effusion.

Image
6. g

g.). US: The lung parenchyma has an inhomogenous pattern on the right side above the diaphragm measuring 10 cm in wideness, without air content. It includes hypoechoic areas of irregular contours measuring 18-39 mm in diameter including tiny „bright” gas bubbles.

9.1.5. Diseases of the lung according to the affected structure or localisation

9.1.5.1. Alveoloacinar diseases

In alveoloacinar diseases, the alveolar air is replaced by:
Fluid: heart failure, lung edema, ARDS
Blood: contusion, vasculitis
Pus: bacterial pneumonia, TB
Protein-rich fluid: alveolar proteinosis
Cells: lepidic spreading adenocarcinoma (according to old terminology: bronchoalveolar carcinoma – BAC), lymphoma, eosinophilic cells

Radiological findings: amorphous, inhomogeneous shadows, without volume loss; air bronchogram has a diagnostic value.

Localised alveoloacinar diseases

  • Pneumonia
  • Atelectasis
  • Infarction or bleeding (PE – pulmonary embolism, if peripheral)
  • Lung contusion
  • Collagen vascular diseases or vasculitis
  • Drug or allergic reactions
  • Tumor
  • Roentgen radiation pneumonitis
  • Eosinophilic pneumonia (usually multinodular)
  • Amyloidosis
  • BOOP

 
Alveolar system diseases according to course
Acute: edema, pneumonia, bleeding, aspiration, shock lung
Chronic: TB, sarcoidosis, BAC (lepidic spreading adenocarcinoma), haemosiderosis, lymphoma

9.1.5.2. Interstitial lung diseases

Inflammatory: Viral, Mycoplasma, Haemophilus influenzae, Aspergillus pneumonia
Non-inflammatory: Pneumonitis, Pneumoconioses, Fibrosis, Lymphangiosis carcinomatosa

Radiological features: well-structured linear and nodular reticular pattern =
miliar, reticular, nodular, reticulonodular.

According to distribution in the lung
Upper lung field dominance: P A G E S
pneumoconioses, allergic alveolitis or ankylosing spondylitis, granulomae, eosinophilic granuloma, sarcoidosis
Lower lung field dominance: C I A
connective tissue diseases (scleroderma), idiopathic fibrosis (most frequent), asbestosis

Lung fibrosis
Inflammation of the lung interstitium by tumor, edema, or fibrosis, which manifests as an irregular, rougher-finer, linear reticular pattern (piled-up fibroreticular pattern) that not only covers the normal lung structure but also deforms it. In cases of a severe fibrosis, a honeycomb pattern develops.
Causes of diffuse pulmonary fibrosis include: TB, fibrotic alveolitis, pneumoconioses, chronic lung diseases, asbestosis, silicosis, chronic inflammations, sarcoidosis and idiopathiac.
We must know that exact pulmonary fibrotic diseases have faster lethal course and higher mortality rate than lung cancers.
The separation of UIP (usual interstitial pneumonitis) had an important role in the differential diagnosis of pulmonary fibrotic diseases, because the medication to delay or stop its lethal course or is already available.
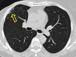
The most important morphological features of UIP (with HRCT):

  • peripherial, subpleural, dorsobasal honeycombing,
  • traction bronchiectasa following to the peripherial zones,
  • structural distorsion of the pulmonary parenchyma,
  • volumeloss of the (basal) lobes
  • GGO (groung glass opacity) is the sign of disease activity

 

9.1.5.3. The morphology of lung abnormalities

Nodular lung abnormalities
-Solitary lung nodules may indicate:
Tuberculoma, bronchial carcinoma, metastasis, hamartoma, abscess, aspergilloma, adenoma, round atelectasis, a-v shunt, bronchogenic cyst, sequestration, Echinococcus cyst, infarction

-Multiple lung nodules, based on sized, may indicate:
-Miliary: TB, sarcoidosis, histiocytosis, silicosis, metastases
-Middle (submiliary): Bronchogenic TB, metastases, peripheral Kaposi sarcoma
-Large round nodules: Metastases, Wegener’s disease, lymphoma

Annular (ring) shadows
Indicate that the lesion has a relatively sharp margin and a lucent center, with a well-defined (sometimes thick) wall. Lesions include: caverna, bulla (emphysematous), bronchiectasis, cyst, pneumatocele, abscess, aspergilloma, Echinococcus, or fusion (infarction pneumonia, tumor).

Calcifications
Nodular: Tuberculoma, granuloma, hamartoma, carcinoid, metastasis
Diffuse: TB, histoplasmosis, varicella pneumonia, chronic pulmonary congestion, broncholitis, silicosis, hypercalcaemia

Image
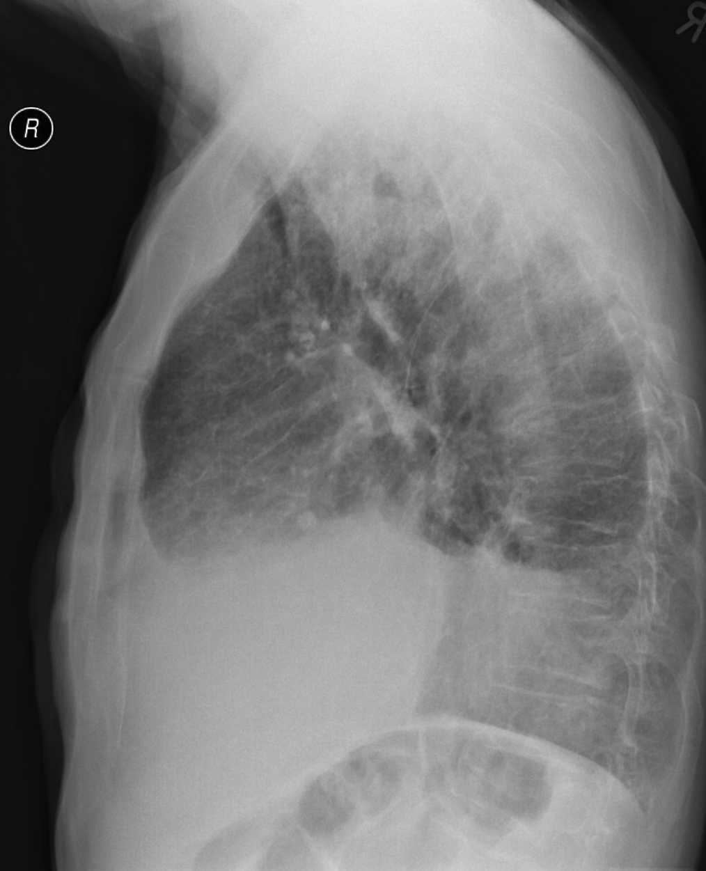
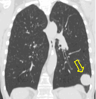
7. Lung tumor. CT, coronal reformat.

73 year old woman, right sided spiculated round shadow (op: planocellular carcinoma)

Image
8. Pulmonary fibrosis Chest radiograph, PA

86 year old man with DM without chest pain. Fibrosis + emphysema

Image
9. Postirradiation fibrosis. CT

66 year old woman, right-sided breast cancer recidiva resection + multiple irradiation therapies.
Radiation-induced fibrous bands under the chest wall on the right side.

9.1.5.4. Lung parenchymal diseases

Chronic obstructive lung diseases
Symptoms include: recurrent cough, shortness of breath during physical activity, and recurrent bronchitis.

Chronic bronchitis
Bronchus walls thicken due to inflammation, bronchoalveolar spaces congest with mucus, and there is superinfection, alveolar wall damage, and development of emphysema.

Emphysema
Pathology: abnormal permanent airway enlargement of distal air spaces (from the terminal bronchioli towards the periphery), enlarged air content, and elongated, damaged walls resulting in capillary and precapillary destruction and increased lung volume.

Pathophysiology: air is trapped during expiration, causing the residual air to accumulate and the volume of the affected lung zones increase.

Forms of emphysema
Diffuse: chronic bronchitis without obstruction (essential)
chronic bronchitis with obstruction

Partial: Bullous emphysema (progressive lung dystrophy)
Ventillation emphysema

Radiograph signs of diffuse emphysema
Barrel chest
Diaphragmatic depression, flattened or concave domes of the diaphragm
Shallow respiration
Increased lung volume (hyperinflation)
Tapering of pulmonary vessels (air/blood quotient shifts + capillary destruction)
Increased lucency of the lung
Dilatation of the central hilar pulmonary arteries developing in cases with pulmonary hypertension centroperipheral discrepancy
Small, vertically-oriented cardiac consolidation (due to diaphragmatic depression)

Emphysema types according to the localisation (often referring to the origin)
Centrilobular
Panlobular
Paraseptal
Bullous

Bullous emphysema (progressive lung dystrophy) has defined emphysematous bullae and, usually, diffuse emphysematic changes. Bullae have subtle walls and unstructured air-containing abnormalities that can be observed nearby in particular areas, often on the margins or near the fissures.

Image
10. Emphysema. Chest radiograph (PA): diaphragmatic depression with flat arches.

62 year old women suffering from COPD.

Image
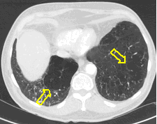
11: Centrilobular emphysema, CT image.

76 year old man, previous therapy because of metastatic rectum carcinoma. Bilateral extensive emphysematous bulla development, fibrotic shadows. (increased air content in the central part of the secunder lobules: the dilatation of respiratory bronchioles)

12. Bullous emphysema. CT axial image and coronal reformat.

59 year old man. RUL: 2-5 cm large subpleural bullae.

13: Emphysema, bilateral chest radiograph

90 year old woman, hx of breast cancer, secondary pulmonary disease, TB therapy.

Bronchiectasis
Causes: congenital (e.g. bronchus wall faintness)
secondary impairments (inflammations, bronchostenosis,traction caused by fibrosis)

Bronchiectasis causes and maintains a perifocal recurring pneumonia and lung fibrosis.
Primary symptom: listen for defined crackles not ending for cough
Forms: cystic, cylindrical, and varicose
Localisation: often lower lobe dominance

Radiograph signs of bronchiecstasis: Summation pattern constisting of small, ring-shaped consolidations

HRCT indications: A signet-ring sign indicating a small caliber arterial branch next to a broad bronchus

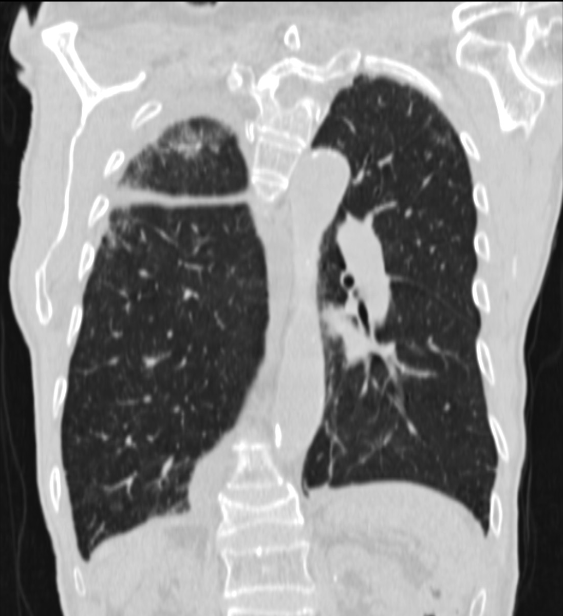
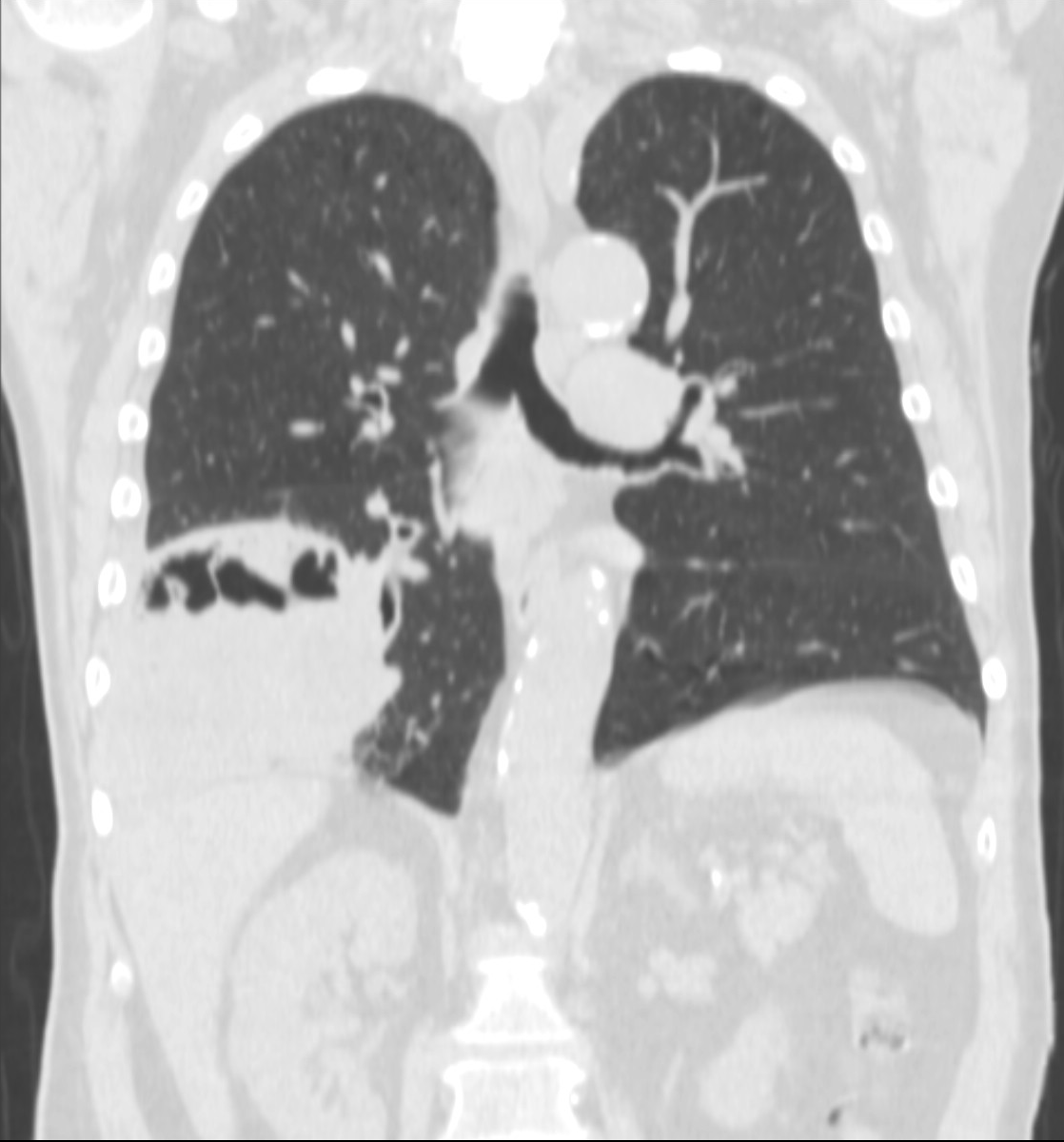
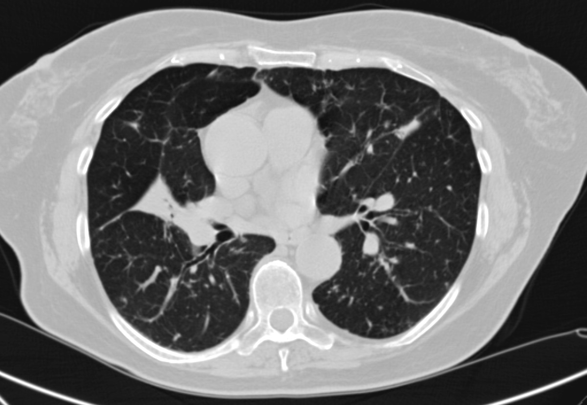
14. Bronchiectasis. CT (axial image and coronal reformat)

70 year old man, RML long cylindrical bronchial dilatations.

9.1.5.5. Inflammatory diseases: pneumonias (lobar, broncho-, interstitial pneumonia)

Localisation: lobe, segment

Pneumonia
Radiograph signs: Blurry consolidation (patchy opacities) in various forms and extensions. Note that the radiograph is “delayed”, meaning consolidation appearance and disappearance is later, as anticipated based on the clinical signs. In general, the radiograph is not specific to the causative organism, except in the case of Staphylococcus.
- Bronchopulmonar (spreading along the bronchioli): no air bronchogram
- Lobar (spreading from alveoli to alveoli): air bronchogram can be seen
- Atypical (interstitium): linear opacities

Differential diagnosis: Similar consolidation may originate from lung infarction, tumor, TB, or lung edema. Clinical features and dynamic observations help in the diagnosis.

Types of pneumonia:
Primary: develops in the basically healthy lung; causative organisms: bacteria, Mycoplasma, or virus

Secondary: develops in the previously diseased lung fibrosis, bronchiectasis, azygos lobe, lung sequestration, bronchial stenosis /occlusion (aspiration, foreign body, bronchial tumor), cardiovascular diseases (eg. pulmonary congestion)

Perifocal: develops around a lung infarction or tumor

Secondary pneumonias are characterized by long-lasting disease course, and a likelyhood of recurrence (“superior cause”). Aspiration pneumonia is patchy and multifocal, with right lower lobe dominance. In bronchial stenosis-associated forms, pneumonia may be complicated by atelectasis, as indicated by sharper margins with increasing extension during its course.

Staphylococcus pneumonia: has a pathognomonic appearance of multiple, round nodules that are liable to assimilate. Localisation can be anywhere, but is typically solitary, rarely multiple. Consolidation intensity depends only on the thickness in the beam direction. Consolidation structure is inhomogeneous-homogeneous-inhomogeneous, according to the phase of the disease course.

The edema fluid is closer to the lower border (gravitation); therefore the lobe border stands out (eg. the horizontal fissure in upper lobe pneumonia). The edema does not suddenly change its size nor does it change the volume of the concerned lobe. It does not result in hilar lymph node enlargement, but can be associated with slight pleural effusion.

15. Atypical interstitial lobar pneumonia a.) CT b.) radiograph

45 year old man. He had a chill, serious cough, yellow-green tracheal excretion.
Left-sided lymphadenopathy next to the aortic arch on the left. Irregular infiltrations (opacities) in the lung parenchyma in subpleural and LUL dominance. (by the contribution of Zsuzsanna Monostori, MD, PhD)

16. Right lobar pneumonia. a.) PA b.) lateral radiograph.

 
Mycoses
Increasing incidence since the adaptation of antibiotics and steroids.
Examples include actinomycosis, candidiasis, and aspergillosis.
Radiograph sign: pneumonia-like, small, blurry, multifocal or extent, homogeneous consolidation.

TB (tuberculosis)
(Only the radiological signs of lung TB forms are discussed here, not the disease itself)

The primary TB complex usually develops unilaterally in the periphery of the middle lung zone. This primary nodule is a solitary, small blurry infiltration that is associated with a hilar lymphadenitis or lymph node enlargement demonstrated by the widening of the same side hilum. A peribronchial lymphangitis-associated reticular pattern can be observed inbetween the primary nodule and the lymphadenomegaly. The primary complex is susceptible to calcification. As a result, there may be extensive affection or enlargement of the hilar lymph node. Lobar or segmental bronchial stenosis may be caused by these lymphadenopathies, and associated with ventil atelectasis or emphysema.

Hematogenously spreading (lung) TB causes symmetrical, miliary dissemination indicated by small 1-2 mm nodules. These small nodules can only be distinguised by CT, because the summation effect superposes their consolidations on the radiograph. The pellets cumulate in the upper lobes may have a tendency to conflate, resulting in pleural effusion. Hilar lymphadenopathy is not characteristic here. Hematogenous dissemination can be confined to certain lobes and these can calcify having a traction effect with focal scarring (sintering) causing local emphysema. Certain nodules, particularly Simon nodules in the lung apex, can progress and remain active. The Assmann-type early infiltration is located infraclavicularly.

The rapid course form of TB is Landouzy sepsis (sepsis tuberculosa acutissima) and is observed as various sizes of more or less slurred patches instead of nodules.

Lung phthisis can appear in very polymorphic and varied in images. The patterns are very unsteady, such that the radiographic picture can change from day-to-day. Images can be:

  • asymmetric with side-by-side localisation
  • cavernous (ring-shaped) with wall thickness depending on disease stage. May include air-fluid level and draining bronchus with thickened wall
  • cirrhotic/fibrotic parenchymal scarring, striated and blurry pattern, including traction emphysema, bronchiectasis, calcification
  • exsudative (blurry, confluating, blurred margin) or productive (sharp margin, fine or rough, blurry) nodular pathologies

 

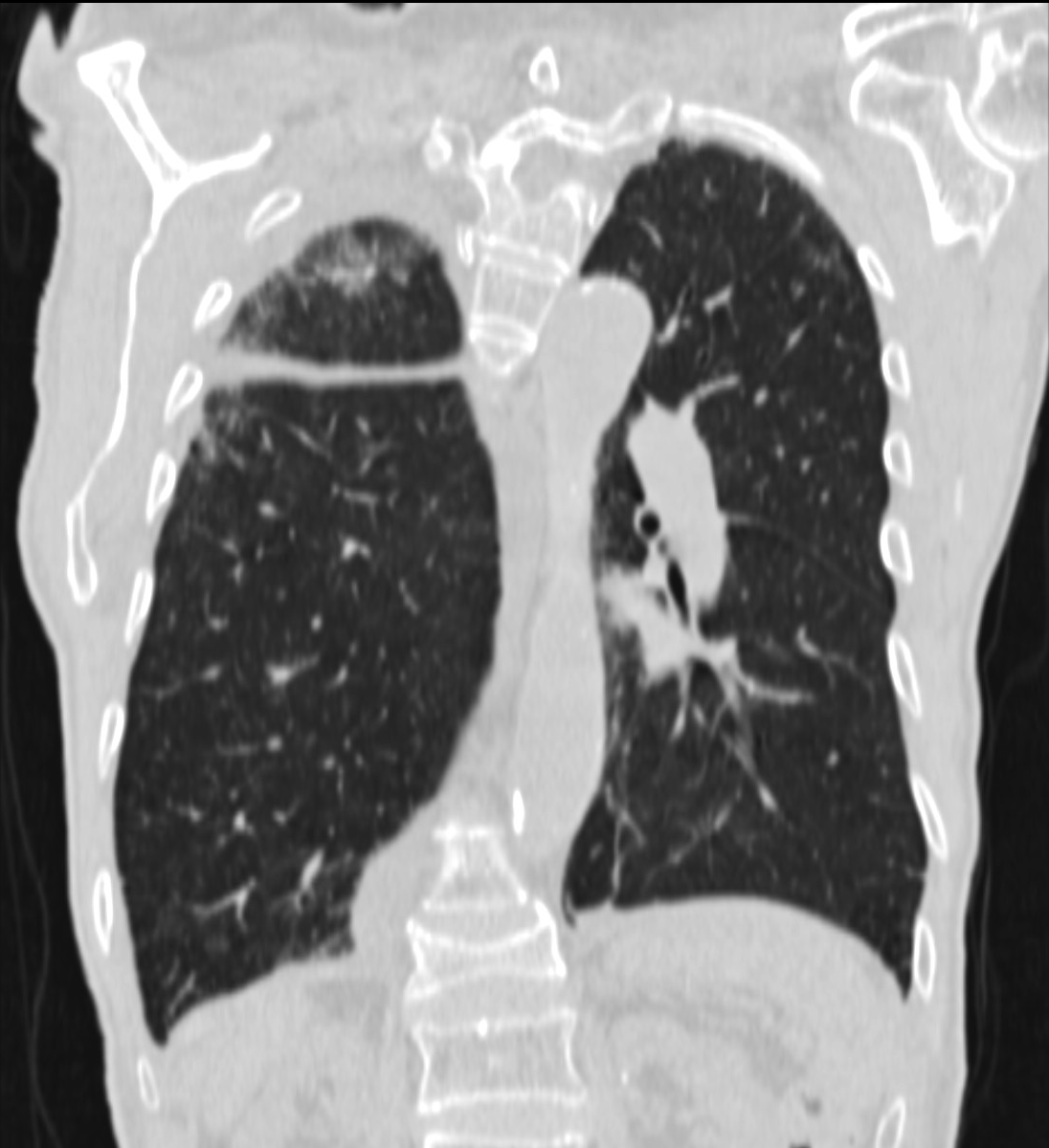
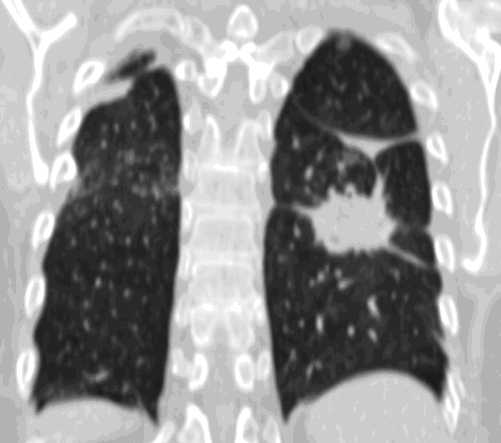
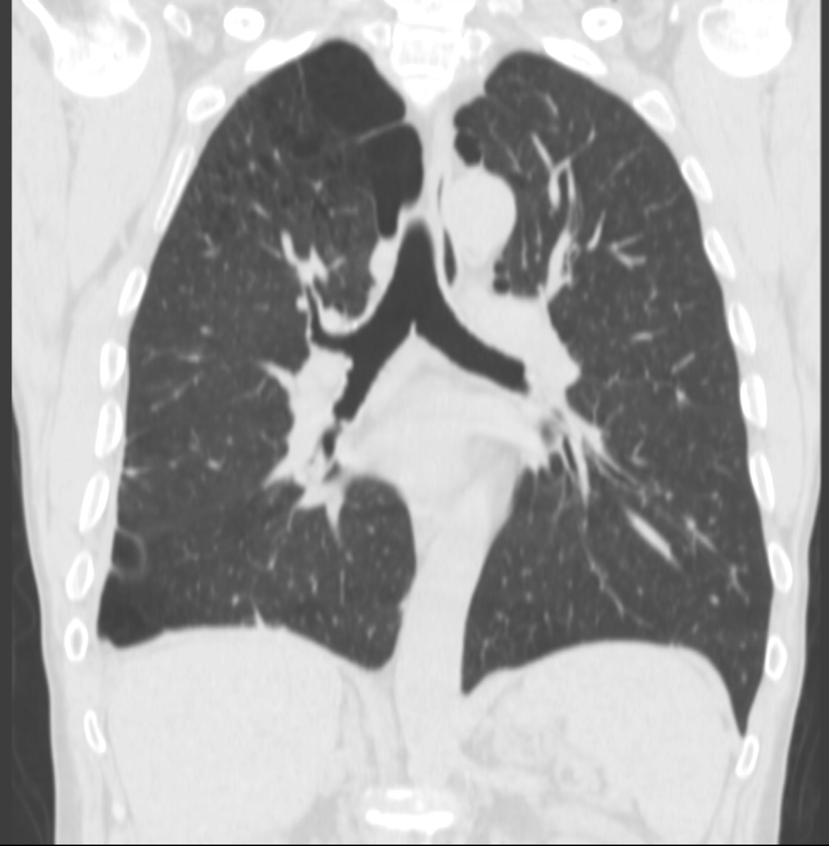
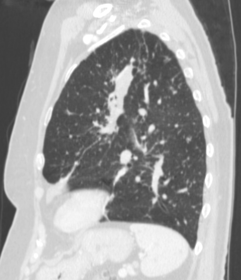
17a, b: Apical TB. HRCT, coronal reconstruction

Right apex, segment 1: reticular pattern and mosaic-like ground glass opacity (similarly mind changes in b. 6th segment, too). Extensive TB-specific lesions in apical dominance.

Image
18a
Image
18b
18. Tuberculosis a.) CT, b.) PA radiograph

45 year old man, pulmonary TB proven by microbiological culture.
LLL on CT: irregular, multicavitary nodular lesion: caverna.
(by the contribution of Zsuzsanna Monostori, MD, PhD)

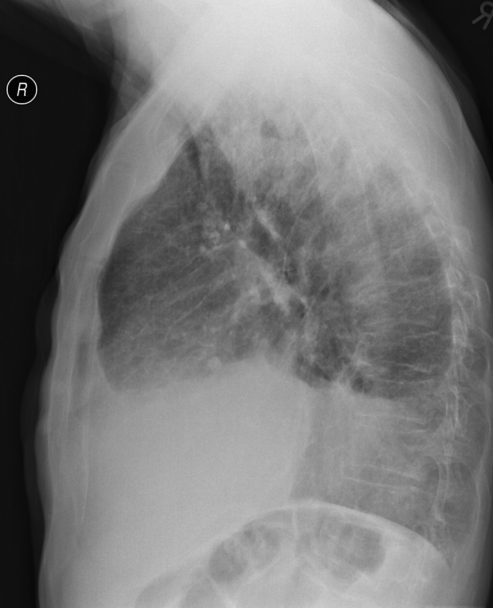
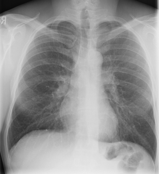
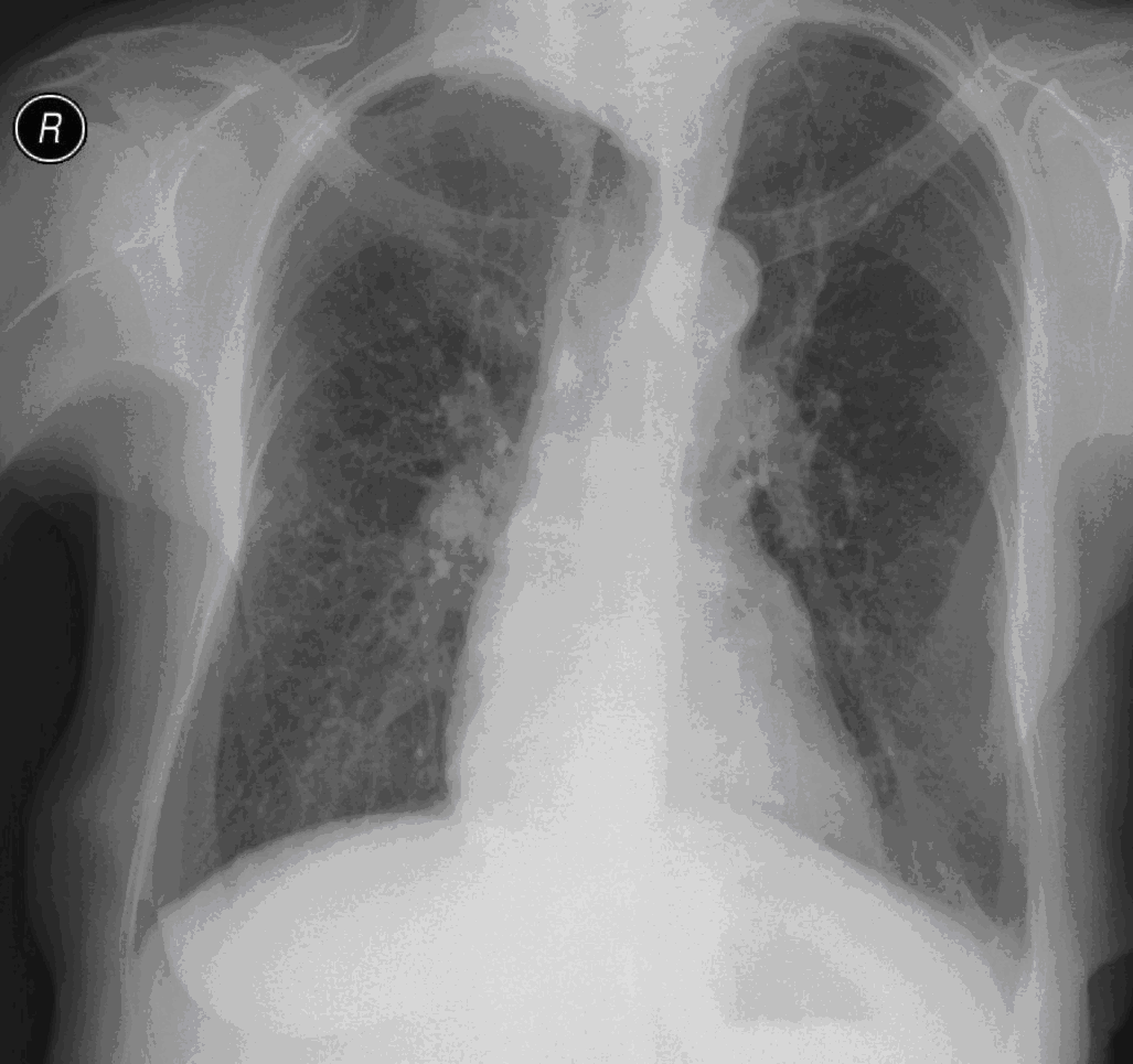
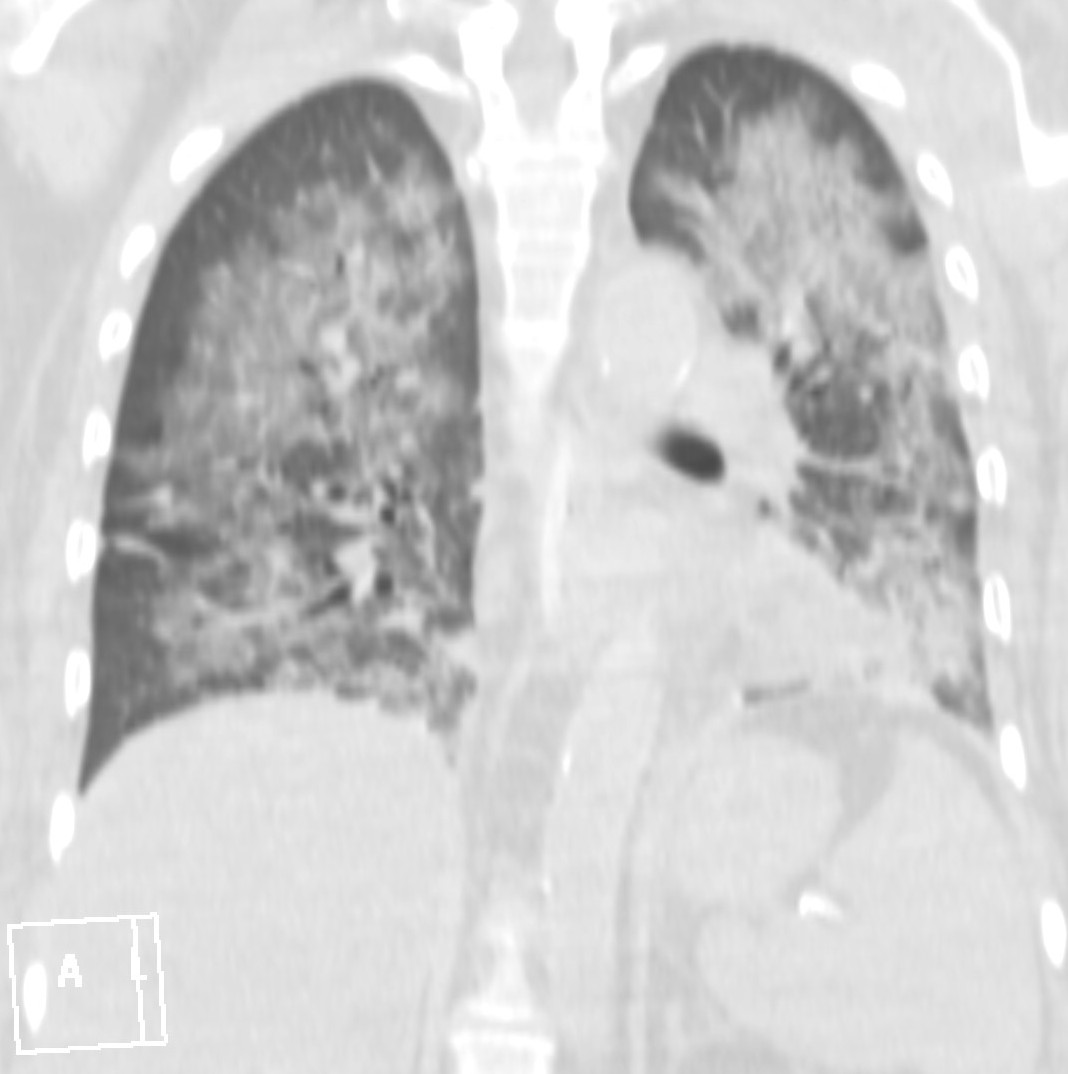
19. Tuberculosis, bidirectional chest radiographs and HRCT. (coronal reconstruction)

 
75 year old man: hx of hypertension, smoking. Symptoms: dyspnea, productive cough. Moist rales of auscultatory findings above the LLL, tension irritability in the level of lower dorsal spine.
a.) Chest radiograph, bilateral: Mild increased vascular markings. Extensive patchy lobar infiltration in the RUL Previous TB specific lesions in the left apex. The diaphragm contour is blurry on the right side (appr. 4 finger-wide pleural effusion). Cardiomegaly. Medium large dilated sclerotic aorta.
b.) HRCT: Reticular pattern of 10x10x5 cm area in the right apex (1st segment), (septal thickenings), mosaic-like ground glass opacity in the righ apex. Subpleural total atelectasis (mainly 1st segment): irregular mainly nodular soft tissue streak associated with the pleura (max. appr. 1 cm thickness). Some tiny subpleural emphysematous bullae in the right apex.

9.1.6. Tumors

9.1.6.1. Primer tumors

Benign or semimalignant (adenoma, hamartoma, carcinoid)
Benign tumors (hamartoma, chondroma, lipoma) are rare. Bronchial adenoma is a semimalignant tumor that is benign histologically, but can metastasize.

Radiograph sign: round or lobulated nodule with well defined border
may include calcification
Clinical importance means that it may mimic a malignant tumor

On CT scans, small hilar lymphadenopathy can indicate the possibility of metastasis.

Malignant bronchial carcinoma
Malignant lung cancers originate mainly from the bronchi.
Radiological approach: according to its position, central and peripheral bronchial carcinoma can be distinguished.

Central bronchial carcinoma originates from a bronchus at the level of the hilum, initially causing an undefined hilar widening. The carcinoma includes its surroundings and metastasizes to the adjacent lymph nodes. This type of tumor releases broom-like spurs into the lung parenchyma. The tumor narrows and increasingly obstructs the lumen of the bronchus, indicating a consequent atelectasis. Superinfection develops in this lung area with characteristically bad ventillation, and recidivating pneumonias will occur. CT examination can certify the presence of a bronchial carcinoma.

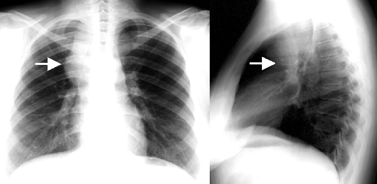
Peripheral bronchial carcinoma is located in the lung parenchyma or along the chest wall. The radiograph sign characteristic of this carcinoma is a solid nodular consolidation with a plain, lobulated, or spurred border. A peripheral bronchial carcinoma with a particular location is the Pancoast tumor. This tumor appears in the lung apex (upper sulcus tumor) and spreads through the chest wall transpleurally, infiltrating the cervical sympathic ganglia. This infiltration causes neurological symptoms including Horner’s syndrome or oculosympathic palsy with miosis, ptosis, and enophthalmos. MDCT or MRI examination can accurately verify the chest wall infiltration.

The appearance of BAC (bronchoalveolar carcinoma) is highly variable and bewildering. The BAC tumor spreads in the alveoli, indicated by a multinodular, infiltrative consolidation in the lung periphery, but it may appear as round consolidation as well.

9.1.6.2. Metastases (intrapulmonary, pleural, lymphangitis carcinomatosa)

Tumors that metastasize by hematogenous spread include: breast, prostate, kidney, thyroid, cervical, testicular, bone, melanoma, gastrointestinal, and pancreatic tumors.
Radiograph sign: multiple small nodules of various number and size

Tumors that metastasize by lymphatic spread include: breast cancer and bronchial carcinoma. These cancers often result in lymphangitis carcinomatosa.
Radiograph sign: radially expanded reticulolinear markings

20. Miliary lung metastases. HRCT, coronal reconstruction:

Jobb tüdő adenocarcinoma miatti lobectomia, (agyi metastasis). (dr. Monostori Zsuzsanna anyagából)
60 year old man, secondary pulmonary lesions due to kidney tumor, underwent target therapy.
Lobulated nodule in the left lung, associated with the pleura dorsobasally.

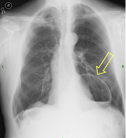
Lobectomy because of right lung adenocarcinoma, (brain metastasis). (by the contribution of Zsuzsanna Monostori, MD, PhD)

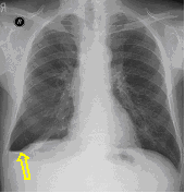
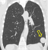
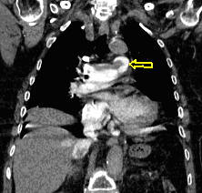
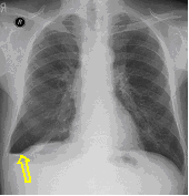
21. Left sided peripheral lung tumor

 

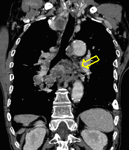
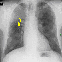
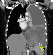
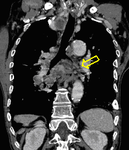
22. Central lung tumor with mediastinal lymphadenopathy. CT coronal and sagittal reconstructions.

70 year old man, COPD, hoarse. Right hilar mass, bronchoscopy was negative.
The larynx is rotated to the right, no motion of the right side of the larynx can be observed, swollen left plica ventricularis area.
CT: 13x11 mm large nodular mass in the left 10th segment. Bilateral hilar lymphadenomegaly with central hypodensity. A 34x21 mm large lymph node conglomeration can be observed in subcarinal location (peripheral contrast enhancement). Lymphadenopathy in the aortopulmonary window (15 mm large), and a 26 mm large lymph node can be observed in paraaortic location above the trachea bifurcation which has an esophagus-compressing effect. In the superior chest aperture there is a 38x28 large fused lymph node conglomerate which causes the left shift of the esophagus and trachea.

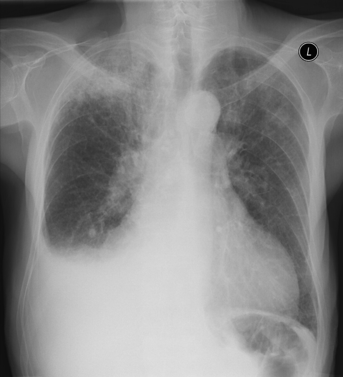
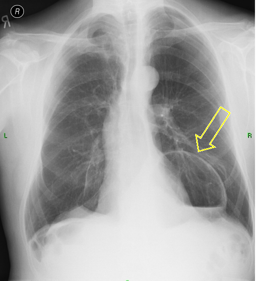
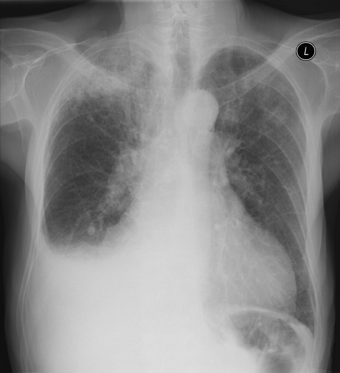
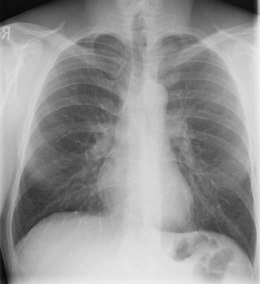
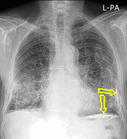
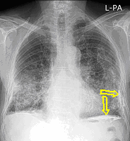
23. Pulmonary metastases, bidirectional (PA and right lateral) plain chest radiograph.
51 year old woman, endometrial carcinoma. Numerous ring shadows bilaterally in basal dominance (max. appr. 12 mm). Left pleural effusion of one finger wide.

9.1.7. Diseases of the pulmonary circulation

Pulmonary hypertension
Causes of pulmonary hypertension include: increased arterial side blood pressure (left-right shunt), an secondary lung diseases (emphysema, chronic bronchitis, chronic pulmonary embolisation, fibrosis).

Radiograph sign: centroperipheral caliber discrepancy, with central hilar artery dilatation followed by abruptly marked stenosis. The peripheral vessel structure is unremarkable.

Postcapillary Pulmonary Hypertension
Postcapillary pulmonary hypertension is caused by raised pulmonary venous hypertension.

Radiograph sign: apicobasal caliber discrepancy, with upper-zone redistribution of blood flow (“twiddled moustache sign”), followed by the development of parahilar airspace consolidation. Accumulated fluid in the lung parenchyma causes a patchy consolidation. If the congestion abruptly worsens, lung edema develops.

24. Mild pulmonary congestion. PA chest radiograph

Pulmonary congestion/edema
Pulmonary congestion is a buildup of fluid transudation from the capillaries into the interstitium that cannot be transported by the lymphatic vessels. Causes of the extravascular fluid increase are: higher hydrostatic pressure, increased capillary permeability, overflow, pulmonary vein occlusion, pulmonary emboli, decreased osmotic pressure, transfusional reaction, decreased plasma protein level, and adult respiratory disease syndrome (ARDS).

Pulmonary congestion and edema develops in two stages.

  • Stage 1: Interstitial edema (fluid congestion in the interalveolar septa) and visible Kerley B lines (thin, horizontal, 3-6 mm long lines basal or along the lateral chest wall).
  • Stage 2: Combination of alveolar (overflow) and interstitial consolidations.

 
Radiograph signs: Kerley A and B lines (interlobular-interalveolar septa in both hila or basal along the lateral chest wall); apicobasal caliber discrepancy (upper-zone redistribution of blood flow); confluent symmetrical, bibasal airspace shadows without air-bronchogram; principally the hilar regions are concerned (perihilar bat’s wing pattern); usually cardiomegally occurs.

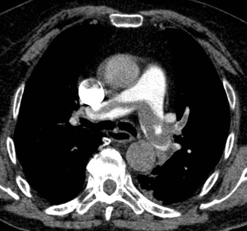
Pulmonary embolisation
A pulmonary artery thrombus originating from the peripheral veins results in pulmonary artery occlusion. The radiograph has a poor diagnostic value for pulmonary emolisation. Instead, the practical examination is CT pulmonary angiography, in which the thrombus appears as an intraluminal filling defect. This is an emergency situation and the CT must be performed on the critcal patient immediately, even in the middle of the night! The source of the emboli must be sought (ultrasound), and lower extremity deep vein thrombosis must be excluded. A D-dimer assay is an important diagnostic parameter, because a negative test makes the presence of thrombosis unlikely (positivity has no diagnostic value).

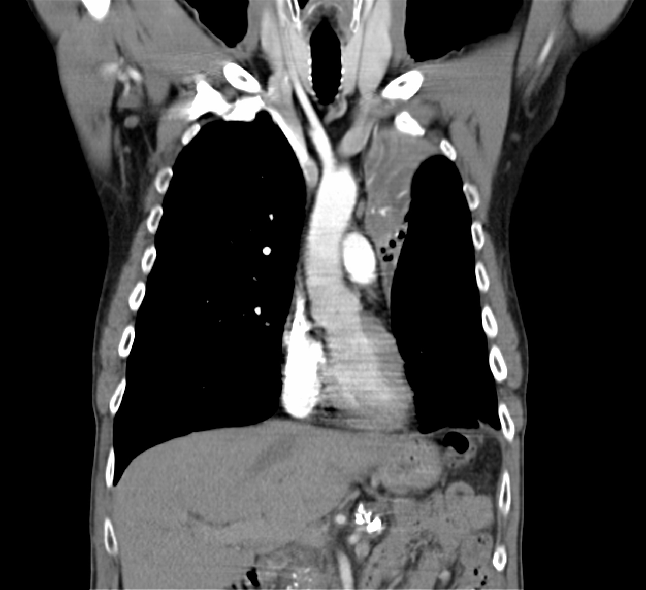
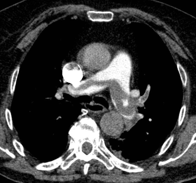
25. Massive pulmonary embolism. CT angiography (axial image and coronal reconstruction)
84 year old woman: dyspnea, elevated D-dimer.
Pulmonary embolism, riding embolus in the pulmonary trunk and in both pulmonary arteries + in smaller branches bilaterally as well. Contrast filling defects are seen according to the emboli.

ARDS (adult respiratory distress syndrome)
interstitial infiltrations
Causes of ARDS: toxin (fume) inhalation or oxygen therapy, sepsis, aspiration, grave operation, acute pancreatitis, disseminated intravascular coagulation (DIC), trauma, transfusion, hemodynamic shock, and fat embolism.

Radiograph sign:

26. ARDS, CT, coronary reconstruction
52 year old woman, dyspnea, septic shock.
Bilateral opacity according to rough, diffuse interstitial edema, irregular atelectasis and bronchogram in the basal segments

27. Cardiomegaly, bidirectional chest radiograph (PA, left lateral). 70 year old woman, hx of hypertension. Enlarged heart shadow, elongated aorta, moderate congestion pattern (skoliosis)

Imaging modalities: chest radiograph, CT.

9.2. The Hilum of lung

Imaging modalities
Chest radiograph posteroanterior and lateral views
CT axial series and reconstruction algorithms

Anatomy
The hilum of lung consists of the primary branches of the main bronchi and the pulmonary artery. Tracheobronchial lymph nodes are situated along the bronchovascular bundle.
In a healthy case, the pulmonary vessels create the hilar shadow mainly on the chest radiograph.

Pathological hilar shadows
Hilar shadow widening can be caused by dilated vessels, lymphadenopathy, or tumor. Bilateral, ill-defined tubular shadows indicate dilated pulmonary vessels (pulmonary hypertension, chronic embolisation). Lobulated shadows suggest lymphadenopathy (structures without branching). Bilateral lymphadenopathy can be caused by sarcoidosis and lymphoma.
Causes of unilateral lymphadenopathy include: lung tumor metastasis, malignant lymphoma, and infections (TB, histoplasmosis).

9.3. The Pleura

9.3.1. Imaging modalities

In a healthy case, normal pleura thickness does not appear on the radiograph. The pleura consists of two right layers, the horizontal and oblique fissures, and one layer on the left side, because there is no middle lobe. The layers appear only in tangent to the X-ray beam (orthoroentgenograd direction), and only through the horizontal fissure on the posteroanterior radiograph.

CT shows the “fissure-making” visceral pleura layers in transverse plain, which can be recognised even in a healthy subject. The sagittal and coronal reconstruction algorithms provide further enhancements.
In certain cases, ultrasound can be very useful in the imaging of the fluid in the costopulmonary sinus and its ultrasound guided punction. However, as it is known, ultrasound is suitable for only the peripherial part of the adult lung, since it is not able to “see deeper”.

MRI can be an appropriate imaging method for the pleural pathologies, because of its multiplanar algorithm, eg. frontal (coronal) or sagittal planes.

9.3.2. Diseases of the pleura

 

9.3.2.1. Pleural effusion

Causes of transudates include: heart failure, chronic renal failure, hypoproteinaemia, and overfill.
Causes of exudates include: TB and other infections, subphrenic abscess, lung cancer, systemic lupus erythematosus (SLE), and rheumatoid arthritis (RA).
Hemothorax can be seen after chest trauma, or in haematological patients.
Bloody pleural effusion is an indication of pulmonary embolisation, or lung cancer.
Chylothorax is often caused by thoracic duct injury.
Causes of empyema are: pneumonia, superinfection of trauma, or breakthrough of a liver abscess.

Pleural effusion cannot be differentiated radiologically except in special cases, nor can be differentiated by CT or MRI, for example the transudate vs. exudate (punction).

The quantity of effusions varies, ranging from sinus shadowing to consolidation of the minor-major part of the lung. A large quantity of fluid can cause mediastinal shift away from the effusion. In addition, subpulmonic localisation might occur. (Importance of Frimann–Dahl type radiograph)

In cases of pleural fibrosis, encased effusions can develop. Moreover, encased effusion in the horizontal fissure can mimic pneumonia on the chest radiograph.

Pleural thickenings (fibrosis) can occur due to various reasons: pleuritis, as a consequence of an infection, encased effusion, complication of haemorrhage, and in association with pulmonary fibrosis in the apices (TB). Extensive fibrosis can result shallow respiration and chest deformity. Calcification of fibrosis occurs in certain cases (TB, asbestosis). Beyond the radiograph and fluoroscopy, CT can be conclusive for fibrosis.

9.3.2.2. Pneumothorax (ptx)

When ptx is suspected, an expiratory radiograph must be performed! In the varying extents of lung collapse, pulmonary vascular markings are absent lateral to the hairline pleural shadow between the chest wall (parietal pleura) and visceral pleura. It is important to remember that, for a slim patient, a skin fold can mimic ptx on the supine radiograph. In cases of tension ptx, an associated mediastinal shift to the opposide side is seen and requires immediate therapy! In cases of hydro-ptx, the air-fluid level is a pathognomic sign, which can be heard by listening for a splashing noise while shaking the patient- with fluoroscopy wawing can be seen, with ultrasound: “lungpoint”)..

9.3.2.3. Pleural tumors

Primary pleura neoplasms and metastases result in pleural effusion, therefore malignant disease must be assumed in cases of chest effusion of unknown origin. Variations caused by the pleura malignancy appear flat (along the chest wall or interlobar) or nodular.

Benign pleura tumors include fibromas and lipomas, as well as benign mesothelioma.

The primary pleural malignancy, the asbestos inhalation-related mesothelioma, is rare.
CT is the appropriate imaging method for pleural tumors, because the effusion and soft tissue can be differentiated, calcification can be detected.

Confirmation of the pleural metastases diagnosis is simple only in cases, for example, when rib destruction is caused. If the pleura metastasis is large enough, enhancement can be observed by CT. Often, only biopsy can confirm the diagnosis.

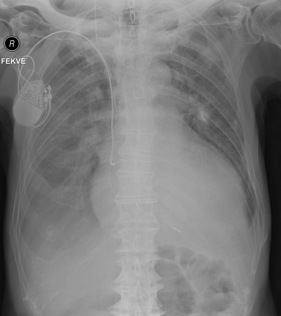
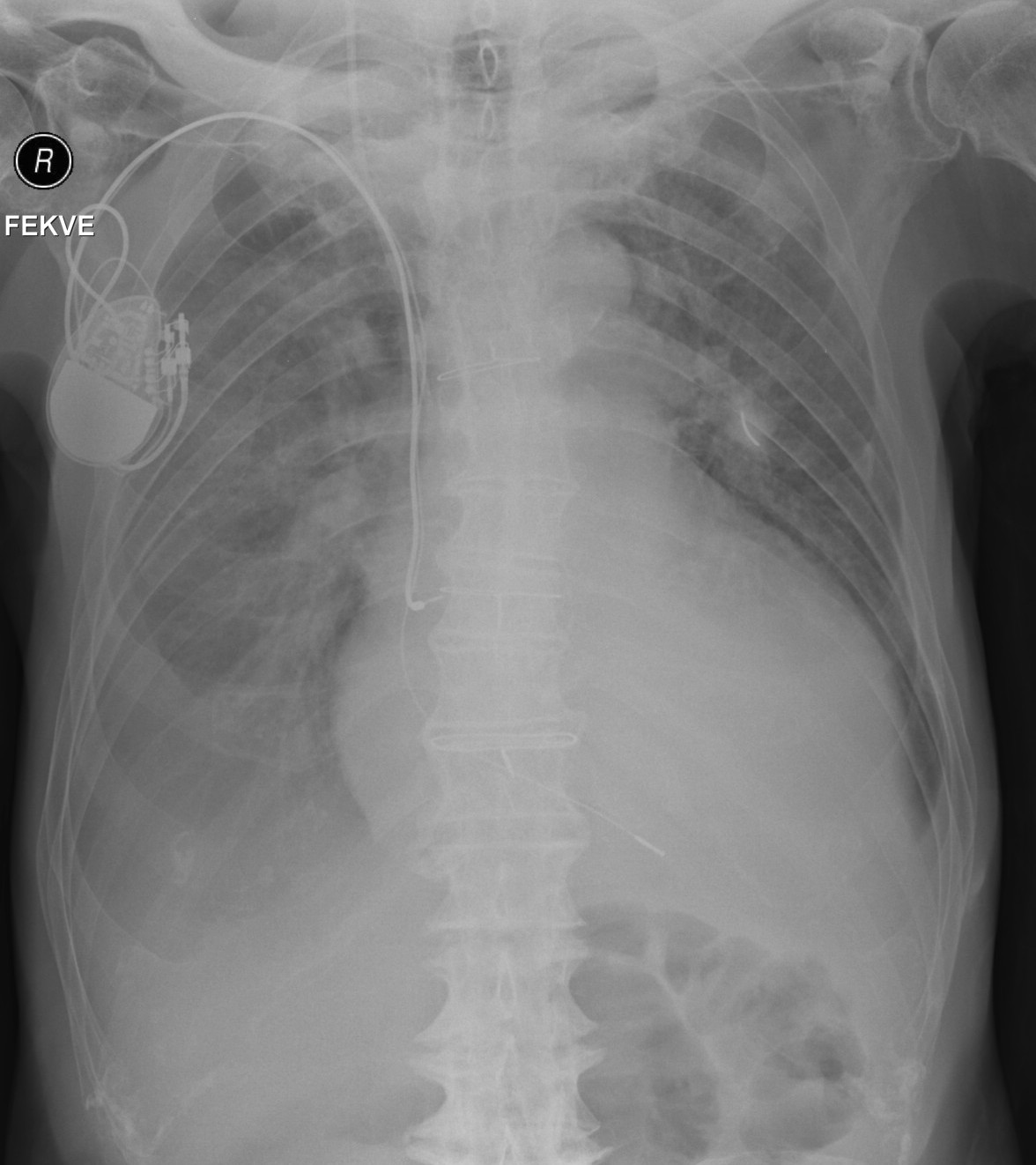
28. Pleural effusion (+ foreign body), AP chest radiograph, supine.
85 year old man. No differenciation of diaphragm is possible on both sides. Basal lung areas: hypolucency. Along the right lateral chest wall, mild hypolucent streak can be observed extending to the apex (fluid).
Remarkable left cardiomegaly, almost reaching the lateral chest wall.
Pacemaker + its electrodes on the right side. The end of the right internal jugular vein catheter ends at the projection of the superior vena cava. At the projection of the anterior arch of the left 3rd rib a 1.5 cm large arched shadow can be seen in metal intensity in the medioclavicular line (6-7 cm long, thin, linear metal foreign body)

29. Lung fibrosis and pleural fibrosis: Asbestosis, P-A chest radiograph
78 year old man. Fibrotic peribronchial fibres can be seen in bilateral lungs in basal dominance from the hilum towards the pleura. Roughly calcified, concentric armor-like pleural fibrosis (callus) is on the pleura extending from the apex to the diaphragm.

30. Hydro-pneumothorax, right side, cloak-form, adhesive, chest radiograph, P-A.
68 year old man. St.p. oesophago-gastrostomiam. Right sided pneumothorax measures 3.5 cm in the apex, 1.7 cm in the basis and 1 cm along the lateral chest wall.

9.4. The Mediastinum

9.4.1. Anatomy

The mediastinum includes the middle part of the chest and lies between the two lungs. It is bounded superiorly by the soft tissues of the thoracic inlet, inferiorly by the diaphragm, anteriorly by the sternum, and posteriorly by the vertebral column. Its three parts are (other division is also known):
1. Anterior mediastinum: thymus, large vessels
2. Middle mediastinum: heart, trachea, main bronchi, phrenic nerves, lymph nodes
3. Posterior mediastinum: esophagus, descending aorta, vagus nerve, symphatic chain, thoracic duct, azygos vein, haemiazygos vein.
Mediastinal lymph nodes are located in all the three regions. Lymph nodes can be classified according to their position: paratracheal, tracheobronchial, carinal, and bronchopulmonary (hilar).

9.4.2. Imaging modalities

When using radiography to image the mediastinum, the following criteria must be taken into account: width, contours, location, and size and passage of the trachea. Focused trachea examination on the radiograph (passage, width, contour distortion, wall contours) can be also informative. Upper gastrointestinal contrast swallow during radiography provides information on possible paraesophageal malignancies by the location, passage, and outside contour of the esophagus. In addition, fluoroscopy using Müller and Valsalva maneuvers provides information about substernal goiters.

CT, particularly contrast-enhanced MDCT, allows precise images beyond the large vessels of mediastinal tumors, lymph nodes, and calcifications. An advantage of MRI over CT is that there is no radiation exposure, which is especially important for children. In addition, the vessels can be easily differentiated from the soft tissues and tumors due to the absence of signal.

9.4.3. Mediastineal diseases

9.4.3.1. Pneumomediastinum

Causes
Pneumomediastinum can have traumatic causes, such as trachea rupture or perforation, or iatrogenic causes, such as esophageal suture failure, complications of pressurized mechanical ventilation, and esophageal rupture or perforation. Radiograph signs are gas bubbles and linear collections of air between the tissues that appear as a hairline shadow running parallel to mediastinal structures, tracing out the aorta and the mediastinal pleura.

9.4.3.2. Infection

Mediastinitis
Mediastinitis is a life threatening infection caused by esophageal perforation by a foreign body, or as an iatrogenic consequence of endoscopy or expansion, possibly postemeticly (Boerhaave syndrome). The most frequent cause of chronic mediastinis is radiation, with prevailing fibrosis. Radiograph signs are mediastinal widening, which can be accompanied by pleural effusion. CT images show an immediate increase of fat tissue density due to inflammatic edema in acute mediastinitis. MRI indicates a signal increase on the T2 weighted images (the fat suppression images). The most frequent cause of chronic mediastinitis is the radiotherapy- in this case fibrosis dominates.

9.4.3.3. Tumors (benign, malignant)

Mediastinal tumors

Distribution according to the origin:
Most mediastinal tumors are of neurogenic (20%), thymoma (20%), lymphoma (13%), or germ cell origin (20%).

Tumors and cysts according to the localisation:
1. Anterior mediastinum (54%):
Thymoma, germ cell tumor, lymphoma, haemangioma, parathyroid adenoma, thymus cyst, lipoma, aberrant thyroid tissue, lymphangioma, lipomatosis.
2. Middle mediastinum (20%):
Enterogenic cyst, mesothelial cyst, lymphoma, thoracic duct cyst, granuloma, foreign body (aspiration, trauma, iatrogen).
3. Posterior mediastinum (26%):
Neurogenic tumors, neurenteric cyst, lymphoma, esophageal tumor.

Clinical features
Clinical features of mediastinal tumors are chest pain, cough, and dyspnoea. However, 2/3 of patients have no symptoms, which increases the chance of a benign lesion. 20-40% of mediastinal tumors are malignant. Characteristic symptoms include chest pain, cough, and fever. Mechanical compression or the infiltration of the mediastinal structures is indicative of malignancy.

Imaging diagnosis
Chest radiograph shows tumor localisation, with or without calcification. CT, particularly MDCT with or without contrast, shows chest wall infiltration, multifocal structures, and vertebral column infiltration. MRI is more sensitive for vascular infiltration and for intracardiac pathology (substernal goiter, thymoma).

Malignant lymphomas
Malignant lymphomas have symmetric mediastinal enlargement (hilar lymph node enlargement). In malignant lymphomas, wide range of lung manifestations occurs. In fact, 30-40% of Hodgkin’s lymphomas are associated with lung manifestation.

Leukemias
Leukemias show a similar appearance such that beyond the mediastinal lymphadenomegaly, interstitial and alveolar (reticular and nodular) shadows can be observed.

Report: enlarged lymph nodes can be observed in the level of the superior mediastinum forming a conglomerate.

31. Hodgkin disease, bidirectional chest radiograph (PA, lateral)
45 year old male, investigated for cervical lymph node enlargement, enlarged lymph nodes are at the right side of middle mediastinum, close to the hilum.

 

32. Mediastinal sarcoma. Chest radiograph and CE CT (cor. rec.)
54 year old woman. CT: round soft tissue mass in the 6th segment and the middle lobe in the left lung parenchyma. Large left pleural effusion causing the compression atelectasis of the lung parenchyma. Appr. 14x12 cm large inhomogeneous soft tissue mass in the LLL dislocates the diaphragm downwards. (by the contribution of Zsuzsanna Monostori, MD, PhD)

 
Sarcoidosis
Sarcoidosis is a diffuse, non-encasing granulomatosis of unknown origin. Radiograph signs are mediastinal and hilar lymph node enlargement with blurry parenchymal nodules, which are initially 1-3 mm and can later develop to be 1-3 cm.

33. Thoracic empyema. Chest radiograph P-A and lateral.
43 year old man. Chronic alcoholism. Abdominal tightness and dyspnea. Right pleural effusion reaching the level of the hilum, including a wider and narrower air-fluid level (empyema). The right diaphragm can not be differenciated. Slight left shift of the heart.

9.5. The Diaphragm

9.5.1. Imaging modalities

Static and dynamic imaging methods are necessary/possible, including: radiography and fluoroscopy, MDCT volumetric data acquisition and MPR, MRI, and ultrasound.

 
34. Normal (a) and elevated (b) diaphragm. The reason of the diaphragm elevation was alcoholic liver fibrosis. Chest radiograph, P-A

9.5.2. Evaluation of diaphragm:

Reasons for diaphragm elevation:
Insufficient inspiration
Obesity
Pregnancy
Ascites
Meteorism
Large abdominal tumor
Hepatosplenomegaly
Subphrenic abscess
Volume loss of the basal lung zones

Reasons for unilateral diaphragm elevation:
Scoliosis associated thoracic deformity
Volume loss of the lung
Pulmonary embolisation or atelectasis
Phrenic nerve palsy
Subphrenic abscess
Subphrenic tumor

9.5.3. The most important diaphragm alterations:

Diaphragmatic hernias
Hiatus hernia: the partial prolapse of the stomach into the chest through the esophageal hiatus (fixed, paraesophageal, upside down)
Anterior hernia: Morgagni’s hernia -rare
Posterior hernia: Bochdalek hernia- congenital, left-sided

35. Hiatus hernia P-A

 

Take home message

As a lesson we can take home the message that chest imaging, beyond the part of daily routine, needs more complex interpretation than usual. Beyond the diagnostic possibilities offered by the conventional radiographs, the advantage of HRCT is already unquestionable in the diagnosing of the small nodular and diffuse lung parenchymal diseases.

Translated by Dávid László Tárnoki, Kinga Kecskés


Site Language: English

Log in as…