Loading...
 
PDF Print

Catheter angiography and vascular interventional radiology

20. Catheter angiography and vascular interventional radiology

Author: Viktor Bérczi

Semmelweis University Department of Radiology, Budapest

 

Aim of the Chapter:

  • Medical students should be able to list clinical conditions where minimal invasive (interventional radiological) procedures may be the best treatment option for the patient
  • Medical students should know the basic methodology used for these techniques

 

20.1. Introduction

Vascular interventional radiological techniques (synonyms: minimal invasive procedure, endovascular therapy) mean that patients undergo image-guided, minimal invasive therapeutic procedures. Medical students should be aware of these techniques and also the diseases, clinical situations, in which these are used; students should also know the basic methodology of such procedures.

The advantages of these minimal invasive techniques compared to surgery are: local anesthesia – no need of general anesthesia, thus its complications are avoided; lack of surgical dissection and surgical complications (e.g. inflammation, nerve injury, suture-insufficiency); negligible amount of blood loss; can be done in elderly, ill-conditioned patients with medical contraindication to anesthesia; can be repeated in numerous occasions; in case of technical failure, surgery is still possible. Disadvantages include that not all surgical procedures can be substituted by interventional radiology procedures; there are less data in the literature for interventional radiological procedures than for surgical procedures; interventional radiological procedures may also carry serious complications despite its minimal invasive nature, however, these are usually considerably lower than that of surgical procedures.

Tasks before the intervention
Patient history and physical examination – with a special emphasis of pulse palpation - should be performed. Relevant laboratory values, including renal function (GFR) to prevent contrast medium induced nephropathy; and hemostatic parameters (thrombocyte number and INR rate) to prevent arterial access complications should be checked. Consenting the patient - including risks, benefits, alternative therapies - should be done by the interventional radiologist, informed consent form should be signed and dated by the patient.

20.2. Catheter angiography

For many decades, catheter angiography has been the gold standard method. In recent years, CTA and MRA gradually replaces a large proportion of diagnostic angiography in more and more centers. US is used mostly to answer specific clinical questions, i.e. significant stenosis at a certain vascular territory, e.g. common femoral artery; existence of pseudoaneurysm at a puncture site; patency of a femoropopliteal graft. Catheter angiography is mostly used for final, precise planning and performing an interventional procedure. Assessment of crural arteries (anterior tibial artery, posterior tibial artery, peroneal artery) by catheter angiography is often more precise than CTA or MRA.

Seldinger technique is used for vascular access. Arterial puncture by a Seldinger needle (Fig 1, Upper row, left panel) is most often pulse-directed (by palpation), but can be accessed by ultrasound guidance. Most commonly used access sites are common femoral and brachial arteries, radial arteries are used mostly by cardiologists, popliteal artery can be rarely punctured in special cases (retrograde recanalisation of superficial femoral artery occlusion). A guidewire is inserted into the needle (Fig 1, Upper row, right panel), the needle is withdrawn (Lower row - left panel) (at this point the puncture site should be compressed to prevent bleeding); a few mm dissection may be done by a scalpel, the introducer sheath and then a catheter is fed onto the guidewire (Lower row - right panel); then the guidewire can be withdrawn and contrast medium can be inserted through the catheter. More information on contrast medium is available in chapter 7.

Figure 1.: Seldinger technique. Upper row – left panel: one-part Seldinger needle; Upper row – right panel: the femoral pulse was well palpable, the right common femoral artery was punctured using the Seldinger needle, then the guidewire was inserted into the needle. Lower row – left panel: the needle was withdrawn, manual compression was performed to prevent puncture site hematoma; Lower row - right panel: a 4F introducer sheath was inserted onto the guidewire. Contrast medium can be injected through the sheath.

Figure 2. Conventional (left panel) and digital subtraction (right panel) angiography.

Digital subtractive angiography (DSA) (Fig. 2) means that the computer subtracts the contrast-enhanced image from the pre-contrast image (mask), resulting in an image where the bones and other background structures are not visible, therefore less amount of contrast medium is necessary with a much higher image quality with lower radiation exposure.

20.3. Arterial interventional radiological procedures

20.3.1. Percutaneous transluminal angioplasty (PTA) and stent implantation

Theory of angioplasty: balloon angioplasty and/or stent implantation elicits a dramatic decrease in the rate of stenosis (e.g. from 70-95% to 0-20%); in case of occlusion, recanalisation is used to achieve normal lumen size. PTA causes a controlled injury at the site of angioplasty. This results in re-endothelialization of the ballooned segment of the artery, a process that takes place in 30-40 days. In case of overreaction of the re-endothelialization, restenosis may occur which is more frequent in smaller diameter arteries (e.g. crural arteries) than larger diameter arteries (e.g. iliac arteries). The 5-year patency rate is 60-70% for the larger arteries, and 30-50% in smaller arteries.

PTA can be done only if the targeted stenosis and/or occlusion can be negotiated with the guidewire. Therefore, manipulation with the guidewire is one of the most important and often difficult part of radiological interventions. Balloon-catheters have two channels, the inner, thicker channel for the guidewire, and the outer, thin channel for balloon inflation (using a mixture of saline and contrast medium on 6-20 atm pressure).

Figure 3. Ballooncatheter, deflated (upper left panel), inflated (lower left panel). Stent before implantation on the balloon-delivery device (upper right panel) and in opened position (lower right panel).

Stents are elastic metal meshes (Fig.3, upper right and lower right panel), which remains permanently in the artery. In terms of mounting and delivery, there are two major types: balloon-expandable and self-expanding. Studies indicate that stents decrease the rate of restenosis and also the risk of distal embolisation. Covered stent (or stent-graft) is a bare stent covered with prosthesis material, therefore it is a tube, rather than a mesh. Covered stents are used for minimal invasive treatment for aneurysms (e.g. thoracic or abdominal aortic or popliteal aneurysm), but arterial injury, rupture or pseudoaneurysm can also be treated using covered stents.

To prevent intimal hyperplasia, drug-eluting stents (DES) are used; due to the high cost, these instruments are not used in all arteries but predominantly in the coronary arteries and the superficial femoral arteries.

Potential complications of PTA and stent implantation include: thrombosis, dissection, peripheral embolisation at or distally from the PTA site; hematoma and pseadoaneurysm at the puncture site. Major complications – such as arterial rupture - are rare. Complications can often be managed by interventional radiological techniques, however, acute vascular surgery may be necessary to treat some of the complications.

20.3.1.1. Percutaneous transluminal angioplasty and stent implantation in lower limb arterial disease (peripheral arterial disease, PAD)

Atherosclerosis is a very common disease, therefore lower limb arterial angioplasty provides the largest fraction of workload for most interventional radiological laboratories. In case of lower limb symptoms, its vascular origin should be assessed. Differential diagnosis include musculoskeletal diseases and neuropathy in diabetes mellitus. Physical examination (pulse palpation) and measurement of ABPI (ankle-brachial pressure index; a quotient of lower limb and upper limb systolic pressure) is the first step. The anatomy of the lower limb arteries is expected to be known by the fourth year medical students. If the symptoms are of vascular origin, the next step is to decide whether or not the symptoms indicate operative treatment (either interventional radiological or surgical). Operative treatment, and therefore diagnostic angiography (CTA, MRA, DSA) is necessary only in Fontaine stage IIb (intermittent claudication <200 m), III (rest pain), and IV (gangrene or ulcer).

Figure 4. Primary stenting of an 80-90% stenosis on the distal portion of the left common iliac artery distal stenosis. Left and middle panel: stenosis is indicated by the arrow. Contrast medium was given from the aorta proximal to the stenosis (left panel) or the left common iliac artery distal from the stenosis.

Indication for operative treatment at mild clauducation (>200 m) should be considered only if the claudication distance is insufficient for the patient’s lifestyle. The patient, not the morphology, should be treated! Even significant stenoses should not be treated in asymptomatic limb (Fontaine stage I). Exceptions may include a significant stenosis on a femoropopliteal bypass graft (because occlusion of the graft elicits higher risk than the risk of endovascular therapy) and in the presence of popliteal artery aneurysm (for prevention of embolisation to the crural arteries). Knowledge of the anatomy of the lower limb arteries is expected from the 4th year medical students.

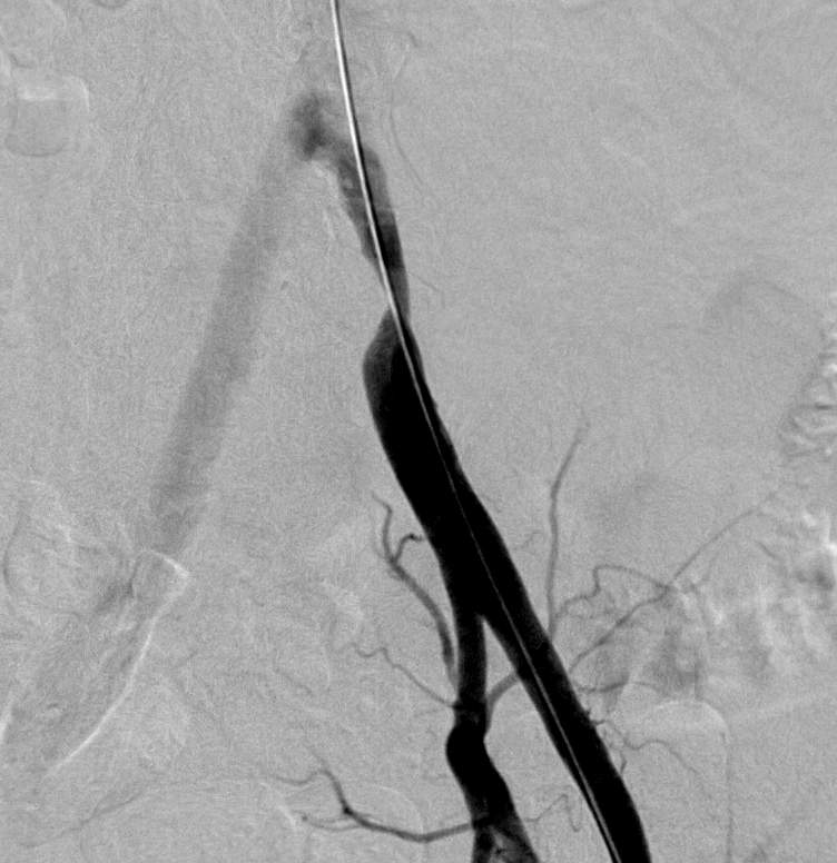
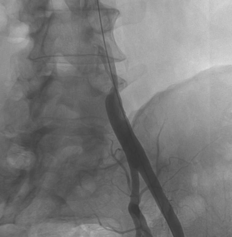
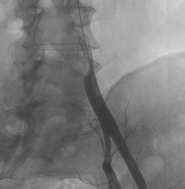
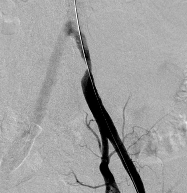
Due to technical reasons (antegrade or retrograde puncture, contralateral or ipsilateral puncture, femoral or brachial puncture), prognosis and risks, three types of levels are distinguished: iliac (Figure 4), femoro-popliteal (Figure 5) and crural (infragenual) (Figure 6) endovascular therapy. The latter two composes the infrainguinal group. PTA and stent placement are usually technically easier (with the exception of long occlusions), have a longer patency and carry lower risk in the iliac group compared to the other two groups. Patency following crural PTA is the worse and carries the highest risk, therefore, it is usually indicated only in Fontaine stages III and IV. The number of amputation per capita in Hungary is larger than that in most other European countries. In patients with gangrene and diabetes mellitus, crural PTA may save a large number of amputations. In case of successful PTA, limb salvage rate is considerably higher than crural patency rate, since perfusion needed for a healing ulcer or gangrene is considerably higher than for the basic functions (collateral arteries may be sufficient for such purpose). Subintimal PTA is performed more and more frequently: when luminal recanalisation is technically not possible, intentional dissection is done using the hydrophilic guidewire along the occluded segment; then, distally to the occlusion, the guidewire is directed back to the normal lumen and a new channel is formed along the normal lumen–dissected channel–normal lumen route (Figure 5).

Figure 5. Subintimal percutaneous transluminal angioplasty (PTA). Panel A: Superficial femoral artery has been occluded from its origin with a stump (upper arrow). Refilling occurs at the distal SFA (lower arrow), total length of the occlusion is approximately 18 cm. Panel B: The white background („roadmap”) shows the profunda femoral artery. The guidewire (in black on the white background; arrow) is at the beginning of the occluded segment. Panel C: the guidewire forms a loop (arrow), and gradually proceeds into the subintimal space. Panel D: the tip of the guidewire reached the normal popliteal artery lumen, there is no loop formation any longer. Panel E: Following balloon dilation of the whole segment, SFA shows quick flow in its entire length.

The efficiency of interventional radiology can be improved by multidisciplinary consultations (vascular surgeon, angiologist, interventional radiologist) in order to find priorities, the best indication, and the best medical and operative treatment.

Figure 6. Crural PTA. Left panel: the only crural vessel filling is the peroneal artery; the posterior tibial artery is filled only in the proximal segment; the plantar arch in its continuation is also filled. Middle panel: successful recanalisation of the posterior tibial artery was performed using the guidewire (dashed arrow). Right panel: following balloon dilation, posterior tibial artery is well filled (arrows).

20.3.1.2. Percutaneous transluminal angioplasty and stent implantation in upper limb arterial diseases

In the upper limb arterial system, the most frequent site of atherosclerotic stenosis or occlusion is by far the proximal part of the subclavian artery (proximal to the origin of the vertebral artery). It occurs on the left side four times more freqeuntly than on the right side. This entity can be diagnosed by duplex sonography: the stenosis/occlusion may be directly visualised, but mostly, indirect signs (retrograde flow in the ipsilateral vertebral artery; poststenotic, monophasic flow distal to the stenosis, i.e. distal subclavian artery, brachial artery) are identified. Physical examination reveals weak or no ipsilateral radial pulse, therefore, it is recommended to palpate at the beginning of the ultrasound examination. Blood pressure is typically 20-30 mmHg lower compared to the normal, contralateral pressure. In asymptomatic patients, subclavian artery stenosis or occlusion may be unidentified, however, it is of crucial importance, that for assessing blood pressure of the body, measurements should be performed on the contralateral (non-stenotic) upper limb.

Asymptomatic subclavian artery stenosis/occlusion needs conservative (medical) treatment. In case of upper limb symptoms or vertigo, endovascular treatment (PTA/stent) is the primary option. Vascular surgery may be performed if endovascular therapy failed.

20.3.1.3. Carotid stent implantation

Significant stenosis in the extracranial part of the carotid arteries occurs most frequently at the level of the carotid bifurcation. Carotid duplex scan is one of the most frequent vascular ultrasound examination; its clinical relevance and therapeutic consequence should be well known by the investigator. In the presence of atherosclerotic plaque, internists may prescribe acetylsalicylic acid for stroke-prevention. In case of 50-69% stenosis, more frequent (3-6 months) control duplex should be recommended or CTA or MRA may be considered to verify the exact degree of the stenosis. If the stenosis is >70%, depending whether or not it is symptomatic, operative treatment (surgical, e.g. eversion endarterectomy or endovascular, primary stenting) may be considered. During carotid duplex scan, the degree of stenosis is determined mainly on the basis of flow velocity values. To distinguish internal and external carotid artery, anatomic location, type of flow velocity curve (ICA flattened curve, ECA curve with spikes), and the presence of side branch (side branch is only present in ECA, but not in ICA for the extracranial part) is of help.

Figure 7. Carotid stenting: DSA angiography image before and after stenting (courtesy of prof. K. Hüttl, Semmelweis University).

The major goal of primary carotid stenting is stroke prevention (not symptom relief, this is quite a different mechanism and goal described for the upper and lower limb PTA and stenting). The Willis circle normally provides sufficient circulation in the carotid territory even in case of 80-90% stenosis, very often, even carotid occlusion can be totally symptomfree. The cause of ischemic stroke is very often distal embolisation of small debris from the carotid plaques. At the stented region, a controlled injury elicits the formation of a new endothelial layer in 30-40 days, after which the risk of distal embolisation is considerably smaller. Therefore, studies assessing risk and effectiveness of carotid stenting always cite not only the perioperative but also the 30-day stroke/mortality ratio.

Distal embolisation of the smallest particle during carotid stenting or carotid surgery may cause stroke, the risk is 1-3%. For prevention, dual platelet aggregation inhibitor therapy and often the use of filters during stenting is used. The patient should be clearly informed about the potential benefit (decreased risk of stroke) and risk (appr. 1-3% stroke within 30 days of the operative treatment) when indication is decided and informed consent is gained.

20.3.1.4. Renal angioplasty

Stenoses in renal arteries are mostly of atherosclerotic origin, however, fibromuscular dysplasia may also be causal factor. Most important indications include severe hypertension despite best medical therapy, deteriorating renal function, flush pulmonary oedema, acute renal insufficiency in the presence of normal kidney size, severe stenosis on the renal artery following contralateral nephrectomy.

20.3.1.5. Mesenteric stent placement

Among the mesenteric arteries, atherosclerotic lesion usually occurs at the origin of the superior mesenteric artery; PTA or stent placement may be indicated in symptomatic cases (e.g. abdominal angina or postprandial abdominal pain).

20.3.1.6. Dialysis fistula PTA

Stenoses on arterio-venous dialysis fistulas (either at the site of the fistula or in case of central venous stenosis) can easily be treated by PTA. Consequently, the number of surgical operations on these fistulas will decrease, which provides a longer patency time for a particular fistula.

20.3.1.7. Stent-grafts, covered stents

Covered stents are tubes, rather than meshes, since the bare stents are covered with a graft material. It is widely used to exclude thoracic or abdominal aortic aneurysm from the circulation to prevent rupture; in the abdominal aorta (normal diameter appr. 2 cm), the size for indicating operative treatment (open surgery or stent-graft) is 5.0-5.5 cm. Popliteal aneurysms are one of the rare exceptions when lower limb arterial disease may be treated operatively in aymptomatic patients also, covered stent placement prevents distal embolisation to the crural arteries.
Covered stents are used in cases of arterial rupture (trauma, post-PTA rupture), or in patients with pseaudoaneurysm, e.g. on the lienal artery caused by chronic pancreatitis.

 
Covered stents are used in cases of arterial rupture (trauma, post-PTA rupture), or in patients with pseaudoaneurysm, e.g. on the lienal artery caused by chronic pancreatitis.

20.3.2. Thrombolysis, thrombus aspiration

In acute thromboembolic diseases, vascular surgery is the most common treatment. In case of relative or absolute contraindications of vascular surgery, selective arterial lysis is an option. Most commonly, tissue plasminogen activator (tPA) is given in a bolus and then in an arterial infusion for 4-24 hours. To prevent further clot formation, heparin is also administered intraarterially. Control angiogramms during the lysis usually shows the underlying stenosis responsible for the occlusion, which can be treated by PTA or stenting in the same session.

Thrombolysis may have severe, life-threatening complications, e.g. gastrointestinal or intracerebral hemorrhage. Thrombolysis is contraindicated if patient history includes intracranial or gastrointestinal hemorrhage, or there was any kind of operation within 6 weeks. Relative contraindications include coagulopathy, gastric or duodenal ulcer, liver diseases, portal hypertension, severe arterial hypertension, gravidity, incompliance of the patient.

Due to the above mentioned potential serious complications, whenever possible, thrombus aspiration or mechanical thrombectomy devices are used. Thrombus aspiration can be used in case of distal embolisation of thromboembolic material as a complication of PTA and stenting, typically occurring in SFA or popliteal PTA. Mechanical thrombectomy devices are of extremely high cost, in Hungary these are seldomly used.

20.3.3. Embolisation

Embolisation provides intentional temporary or permanent closure of arterial branches by using occlusive materials. These include gelfoam (temporary effect); or metal coils, beads made of synthetic materials (e.g. PVA – polyvinylalcohol) (permanent effect), lipiodol and absolute alcohol (scleroembolic material); other special devices, e.g. Amplatzer occluder, may also be used, for example, as cardiac septal occluder. Embolisation can be used in any type of arterial bleeding (e.g. trauma, gastrointestinal, malignant tumor), vascular malformations, aneurysms, and malignant or benign tumors for curative, palliative or preoperative purpose. Potential complications of embolisations include non-target embolisation (embolic material reaches an arterial bed different from the one intended to be treated) which may result in negligible clinical consequences only but may also cause severe ischemia, infarction, necrosis, pain, paraplegia and a number of other serious complications. Therefore, complete and thorough planning of embolisation procedures are very important. Severe complications are fortunately rare.

Transarterial chemoembolisation (TACE) combines intraarterial chemotherapy and embolisation for treating malignant tumors. Using this technique, the concentration of the chemotherapeutic agent in significantly higher in the tumor and lower in the systemic circulation, thus fewer side effects are expected. These techniques may be used separately also (TAC – transarterial chemotherapy, TAE – transarterial embolisation). Typical postembolisation syndrome consists of pain, subfebrility/fever, nausea, vomiting, leucocytosis. Antiinflammatory drugs, antiemetics and prophylactic antibiotics usually solves these problems.

TACE is most often performed in the liver. The liver has dual arterial system, namely the hepatic arteries and the portal system. Normal liver tissue gains its arterial supply predominantly from the portal system, however, arterial supply for hepatocellular carcinoma (HCC) cells are mainly from the hepatic artery, which makes arterial TACE more effective. In order to prevent liver insufficiency, portal vein should be patent when TACE is indicated. Most frequent indication of TACE include irresecable liver tumor (HCC, colorectal carcinoma or other metastasis). The interventional radiological treatment is mostly palliative, increased survival time has been proved in case of HCC. Embolisation may be performed on any hypervascularised metastasis (e.g. neuroendocrine tumor, renal carcinoma metastasis).

Image
A panel
Image
B panel
Image
C panel

Figure 8. A 55-year old male patient had resection of a 2,5 cm tumor from the left kidney. Macroscopic hematuria developed, which was repeatedly present. In the lower third of the left kidney, at the site of the former operation, contrast enhancement shows severe intraparenchymal bleeding (Panel A: catheter in the proximal position, Panel B: catheter in more distal position). The small arterial branches responsible for the bleeding were occluded using two metallic coils (Vortx-35, 3x7x67 mm, Boston Scientific) (Panel C). Urine was clear of blood within a few days, other treatment was not necessary. The only other altervative treatment would have been nephrectomy.

Embolisation may be required in benign hepatic tumors also (e.g. ruptured adenoma, huge hemangioma) for volume reduction and decreased risk of hemorrhage. Renal tumor embolisation is also performed both in benign (e.g. angiomyolipoma) and in malignant tumors (for preoperative or palliative care). Embolisation of benign bone tumors (e.g. aneurysmal bone cyst) may also reduce symptoms considerably, operative care may be postponed for years. Malignant bone tumors and bone metastasis are also occasionally treated by embolisation for palliative or preoperative care. Embolisation 1-2 days before an extent bone operation may decrease blood loss during the operation. Severe hemorrhage may occur at any part of the body due to malignant tumors; rapid intraarterial angiography and embolisation may serve as a life-saving measure in these cases.

Image
A panel

Figure 9. Uterine artery embolisation due to symptomatic fibroid. Panel A and B: angiography before (A) and after (B) embolisation; arrows point to the catheter. Panel C and D: T1 weighted, contrast enhanced axial MR image before (C, myometrium and fibroid are both enhancing) and 5 months after embolisation (D, myometrium is enhancing, fibroid is no longer enhancing contrast medium; fibroid is considerably smaller in size).

Uterus fibroids are among the most frequent benign tumors, it occurs upto 30% among the 35-55 year old females. However, it causes symptoms only in every 5th patient. Embolisation is indicated in symptomatic fibroids or symptomatic adenomyosis. Bilateral uterine artery embolisation elicits significant symptom reduction in 80-90% of the patients while the size of the fibroid is decreased by 20-25% in diameter and by 50-60% in volume at 6 months. Due to the embolisation, hysterectomy is not necessary in the vast majority of the patients.

20.4. Interventional radiological procedures in the venous system

Access for venous interventions are usually the common femoral vein, or the internal jugular vein. US guided puncture is recommended to reduce the number of complications. PTA or stenting in the venous system is most frequently done in the brachiocephalic veins or superior vena cava for treating stenosis caused by external compression of lung tumor or for central stenosis in patients with dialysis fistula.

In case of portal hypertension and consequent esophageal varicosity, an artificial connection between the portal vein and the hepatic veins can be created, i.e. transjugular intrahepatic portosystemic shunt (TIPS) can be performed; access is from the internal jugular vein, the catheter is directed to the hepatic vein branches, the portal brach is reached through a liver parenchyma puncture. A stent is placed within the liver parenchyma between the portal vein branch and the hepatic vein branch.

Selective venous catheter-directed thrombolysis can be performed in upper or lower limb deep vein thrombosis resulting in quicker therapeutic effect than in systemic thrombolysis. Chronic deep venous thrombosis may result in venous valve dysfunction, selective catheter-directed thrombolysis may prevent the development of valve dysfunction.

Variocele embolisation is a procedure where the internal spermatic vein is occluded using coils and sclerotic agents (instead of surgical operation); in Hungary, there are very few centers providing such a procedure.

Placement of chronic venous lines and ports in Hungary are usually done by anethesiologists, whereas in many countries in Europe and in a few centers in Hungary it is performed by interventional radiologists; image-guidance (US-guided puncture, fluoroscopy guided placement of the catheter tip) reduces the risk of complications. Chronic venous access is necessary when chemotherapy, antibiotic therapy or total parenteral nutrition is needed for a number of weeks or months. The advantage of port is that it is placed into a subcutaneous pouch (as opposed to the Hickman line, which has a large portion of the catheters outside the skin) thus the quality of life of the patient is much better. The port is (almost) invisible, regular lifestyle including showers and swimming is possible, it can be used for many months or even 1-2 years, and it can be punctuted more than 1000 times; the catheter is tunneled from this pouch to the internal jugular vein or the subclavian vein; the tip of this catheter is in the distal portion of the superior vena cava (Figure 10). Most important immediate complications at these procedures include PTX, inadvertent arterial puncture, venous wall perforation, air-embolism, catheter malposition; delayed complications include infection, venous stenosis, formation of thrombus or fibrin sheath.

Image
A panel

Figure 10. Port implantation. The port chamber is indicated by the solid arrow. The plastic catheter from the port chamber is directed through a subcutaneous tunnel into the internal jugular vein and the superior vena cava (dashed arrows). Internal jugular vein was punctured using ultrasound guidance.

From lower limb or pelvic deep venous thrombosis, smaller or larger clots may escape and cause pulmonary embolism that may be even fatal. Primary treatment is anticoagulation; if it is contraindicated, or despite of adequate anticoagulation, repeated thromboembolic complications occur; anticoagulation therapy caused serious adverse event; or the patient is not compliant for anticoagulation therapy, then IVC filter placement may be indicated. Filter is placed normally from the common femoral vein access and is placed distal to the renal veins. The filter itself may cause complications in the long term (1-2 years) (e.g. increased risk of deep venous thrombosis, inferior vena cava thrombosis, caval perforation of filter struts), therefore retrievable filters (retrieved few weeks or few months following placement) are more and more often indicated (few years ago, only permanent filters were available).

Foreign body retrieval (e.g. a few cm long piece of chronic venous catheter or pacemaker wire broken and stuck into the brachiocephalic vein or superior vena cava) is also possible using snares.

Take-home messages

  • Vacular interventional radiological procedures are image-guided, minimal invasive, therapeutic procedures, in most cases as an altenative for surgery.
  • Percutaneous transluminal angioplasty (PTA) and stent implantation is used for dilation of stenotic and/or recanalised occluded arterial segments
  • Embolisation is a therapeutic procedure where coils or mechanical particles are used to occlude bleeding (e.g. bleeding due to trauma, malignant tumor, gastrointestinal, etc) arterial branches, vascular malformations, cerebral aneurysms, or tumors (palliative or preoperative care).
  • Venous interventional radiological procedures include venous PTA and/or stent placement, new channel may be created between the cava and portal system (transjugular intrahepatic portosystemic shunt *TIPS), selective lysis in deep venous thrombosis; inferior vena cava filter may be placed to prevent pulmonary embolism; foreign body retrieval is also possible using snares.

 
Translated by the author


Site Language: English

Log in as…