Loading...
 
PDF Print

Cardiovascular imaging

8. Cardiovascular imaging

Author: György Balázs

Semmelweis University Heart Center

 

Chapter goal:

Cardiovascular diseases are among the leading causes of death all around the world and so the diagnosis and treatment of these diseases are an everyday challenge both in the out- and inpatient care. In the last decades, diagnostic imaging became an essential tool in patient care with the appearance of modern ultrasound machines, CT and MRI examinations which give a more precise and hemodynamic information in comparison to the tools available in the past (x-ray and angiography). This chapters describes in detail the basis of modern diagnostic cardiovascular imaging and their relations to interventional radiology and -cardiology.
It gives a basic overview of the pathomorphology and pathophysiology of cardiovascular diseases and the explains the rationality behind ordering examinations.

8.1. The heart

Diagnostic imaging of heart diseases became to a certain degree a part of cardiology specialty, echocardiography and angio-cardiography being performed mostly by cardiologists. In radiology, beside the conventional thoracic x-ray image, CT and MRI imaging got an important role to play.
In a conventional thoracic image besides the shadow of the hear we can asses the width of main mediastinal vessels and vascularization of the lungs which reflect the hemodynamic state of the patient. Although the heart itself can not be assessed on plain images, the borders are contoured well by the air-filled lungs: on a PA image the right atrium, and the left ventricle makes a contour on the left side of the apex, on a lateral image the right ventricle makes a contour in front and the left atrium towards the back. Dilation of the heart chambers are shown as a widening of the heart shadow in plain two directional thoracic x-ray. We can draw conclusion on the dilations of certain chambers based on the direction of the shadow enlargement. This is especially important for interpretation of x-ray images done for other indications, precise measurement can be done by echocardiography after raising suspicion on the plain image.

8.1.1. Developmental disorders

Echocardiography plays a decisive role in the imaging of the vast and widely complex field of congenital heart diseases. Its value is further increased by the fact that this harmless examination is safe to perform in the primarily involved age group: newborns and infants or optimally US can identify complex heart anomaly intraarterially. Invasive catherization cannot be replaced totally by non-invasive diagnostic modalities, giving essential hemodynamic information besides the anatomy. It also allows pressure measurement and therapeutic intervention.

Modern multidetector CT with ECG gating (which eliminates motion artifact) can give a precise image of the anatomy and has a high diagnostic value in respect of the lungs and the main mediastinal vessels but provides limited functional information.

Giving the short examination time CT is well applicable for the examination of unstable or post-operative patients, but it is limited (specially in young patients) due to its radiation effect.

One of the fundamental questions of the primary diagnostics and the postoperative control examinations is to assess cardiac chamber and valvular morphology. Their other main concern is to determine the cardiac functional status. It is essential to demonstrate precisely, for the success of reconstructive surgical procedures, which are at many times multi-step interventions, how the ventricular myocardial volume and functionality are, including the individual (split) functional parameters of the left and right ventricle. These sophisticated requirements can be best investigated with MRI. MRI is also able to quantify the blood volume flow in the great vessels, the shunt volumes between the circularity sides and the function of the cardiac valves. With complementary MRA examination, the accompanying abnormalities of thoracic vessels can also be revealed.

Simples congenital heart anomalies like atrial and ventricular septum defects, ductus arteriosus or pulmonary vein transposition lead to the formation of a left-to-right shunt. The shunt leads to a state where the right side of heart and the pulmonary circulation suffers a volume and pressure increase which can be suspected on chest radiographs. In these situations, the diagnosis is made by echocardiography. Complex anomalies (for ex. Fallot tetralogy, big vessel transpositions or univentricular heart) are investigated based on the particularities of the certain case. Thanks to modern reconstructive surgeries most infants born with congenital heart anomalies with pour prognosis in the past lives to be adult now, requiring repeated imaging control. This is the reason why basic knowledge of congenital heart disease are essential not just in pediatrics.

8.1.2. Primary cardiomyopathies

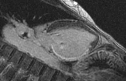
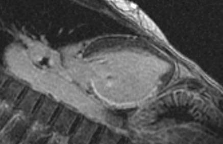
Hypertrophic cardiomyopathy most often involves the inter-ventricular septum of the heart. The involvement can be asymmetrical, more pronounced on the left side patients demonstrating an obstruction to the outflow of blood from the left ventricle. With US examination it is relatively easy to detect the uneven thickening of the subaortic septum and the consequent obstruction. Besides the detection of the left ventricular morphological and functional disorders, MRI examination can depict the degenerative processes occurring in the myocardium.

Fig.1., 2.: Hypertrophic obstructive cardiomyopathy: Longitudinal and short axis slices of delayed enhancement of contrast material in the heart: pathologic enhancement is visible in the myocardium in the asymmetrically thickened left ventricular wall, referring to a degenerative-fibrotic process.

In case of dilated cardiomyopathy, the enlargement occurs in the ventricles. The wall becomes thinner and the pump function becomes impaired, leading to the decrease of ejection fraction. Most commonly it is caused by coronary diseases, but metabolic diseases, inflammatory processes and toxic damage can also be a cause. The cardiac morphology and function are well assessable with echocardiography, while MRI can play a role in the differential diagnostics.
Arrhythmogenic right ventricular cardiomyopathy and non-compact cardiomyopathy can only be diagnosed with MRI examination. It is usually necessary to perform the MRI when patients present with recurring, equivocal arrhythmias. In cases of Tako-Tsubo cardiomyopathy the base of the left ventricle shows a circular hypertrophy, while the apex appears normal. In rare cases the disease presents in a reversed distribution. Echocardiography is considered the primary examination, while MRI is only complementary.

8.1.3. Myocarditis

Myocarditis is suspected when a patient presents with the clinical symptoms and lab results suggesting a myocardial infarct but the coronarography is normal.

In these cases, MRI examination is able to detect the direct signs of edematous-infiltrative changes in the myocardium. Moreover, after contrast administration with a delayed image acquisition, it can depict irregular and increased contrast enhancement and differentiate it from ischemic damage, which shows a subendocardial distribution.

8.1.4. Ischemic heart disease

The role of diagnostic imaging of ischemic heart disease is to demonstrate the obstructive and congenital anatomic abnormalities of the coronary system. Furthermore, it must assess myocardial damage and its consequent functional impairment. It also has to provide information about the complications of myocardial infarction and assist in the planning of surgical or interventional (therapeutic) procedures and it needs to be able to evaluate the efficacy of these treatments.

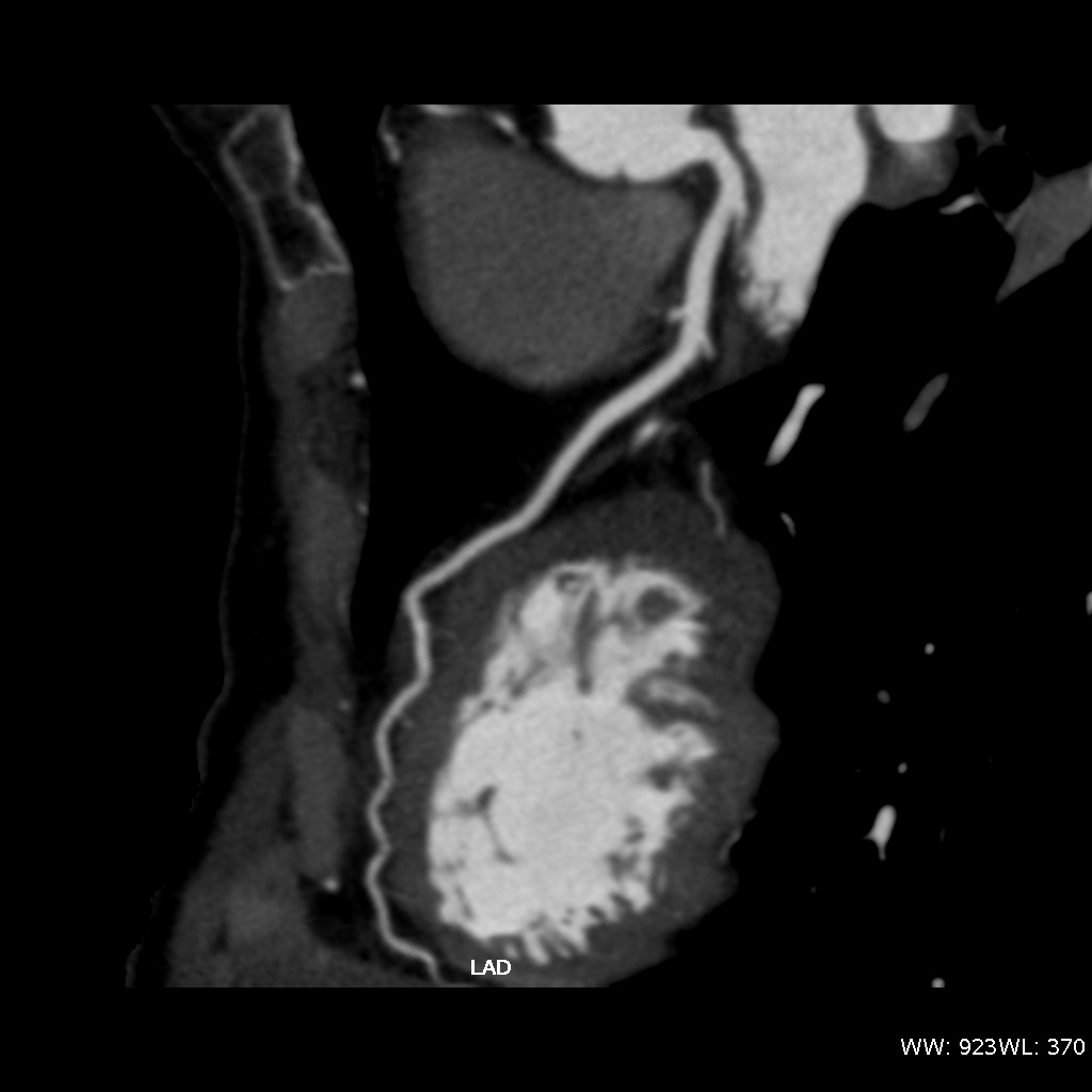
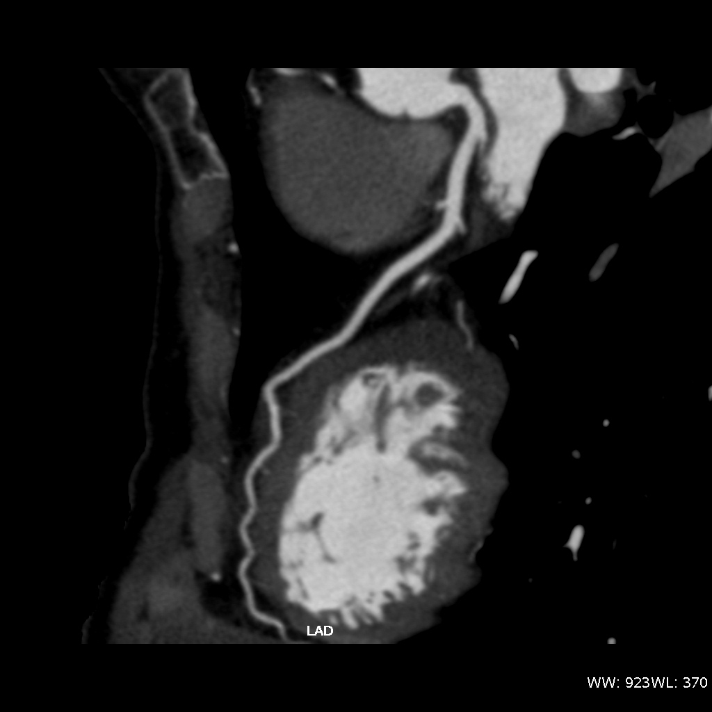
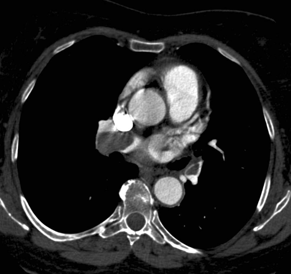
The conventional imaging modality of the coronary vessels is cardiac catheterization (coronarography) which is still an absolute indication in acute coronary syndrome. During the examination besides identification of the symptom causing stenosis or occlusion (culprit lesion), it is also possible to perform dilatation with a balloon catheter or stent implantation to restore flow. If either of these procedures is carried out within 6 hours of symptom onset, myocardial tissue dearth can be prevented or minimalized. Coronarography of patients with stable angina is only recommended if a high risk of coronary disease persists clinically. CT coronarography can replace cardiac catheterization in low and medium risk patient groups who present with angina-like chest pain. The examination has a very high sensitivity and negative predictive value for coronary disease; therefore, it is a sensitive screening tool for patients who present with chest pain as a symptom of coronary stenosis. It can also uncover alternative diagnoses for chest pain syndromes. CT examination is not only good in representing the vascular lumen, but it can also detect non-stenosing but vulnerable (lipid rich) plaques by showing a special morphologic appearance. These lesions might remain hidden during coronarography, producing false negative results with regard to an existing significant atherosclerotic involvement.

Fig. 3., 4., 5.: CT coronarography: Normal anatomy, volume rendered image and curved reformatted image Plaque causing stenosis on LAD coronary artery

Myocardial ischemia causes ventricular wall motion abnormalities, which in latent ischemia only appears with provocation tests. Ischemia induced cardiac hypokinesis and akinesis can be confidently detected with stress echocardiography or with MRI. Coronary stenosis related angina is caused by the decrease in myocardial perfusion. This can occur in resting state also but can be demonstrated more consistently with stress tests. Conventionally, perfusion evaluation is carried out with radionuclide examinations: either with 99mTc-sestamibi SPECT scan or with PET examination which can detect perfusion anomalies. MRI examination, carried out with complementary pharmacologically induced stress examination, can also prove to be highly sensitive with this regard.
If the diagnosis of coronary disease has already been proved, imaging is used to examine the viability of the myocardium. This is an important influencing factor, because revascularization techniques create a significant improvement in the ventricular function only if the recanalized myocardial territory shows viability in at least 50% of its wall thickness. Viability can be assessed with isotope examinations, CT or MRI. With MRI, on the delayed contrast enhanced images (5-10 minutes after iv. injection) the non-viable territories or scar tissue show characteristically increased enhancement; and they are easily distinguishable from viable myocardium. The wide-spread use of MRI in cardiac viability assessment is further justified by the fact that it does not necessitate the use of ionizing radiation. With only one diagnostic examination it still provides the best anatomic and functional analysis, demonstrates the functionality and the state of the myocardium and myocardial viability.

Fig.: 6., 7., 8.: MRI: Extended myocardial infarct of the inferior ventricular wall Late phase contrast enhancement in the thin inferior wall of the ventricle in cross sectional and longitudinal images, MRI

Echocardiography can be used for the detection and follow-up of complications of acute myocardial infarcts. Its great advantage, compared to other modalities, is that it can be performed as a bedside examination, at any time and repeated as often as it is necessary. It can assess the state, the function and the wall motion abnormalities of the left ventricle. Papillary muscle and septum ruptures are also detectable. Furthermore, echocardiography is highly sensitive for the detection of aneurysms, intramural thrombus or pericardial fluid collections. Chronic patients who are stable can usually be controlled by MRI, which in turn provides detailed information.

8.1.5. Valvular diseases

Indirect signs that indicate valvular abnormalities can be identified by conventional chest radiography examinations. In aortic insufficiency a pronounced expansion of the left ventricle can be seen, while the aortic arch appears widened and elongated. In mitral insufficiency both the left atrium and ventricle are enlarged, and pulmonary edema is frequently present as a result of left-sided cardiac failure. In mitral stenosis the left ventricle appears smaller while the left atrium and the auricle are both expanded. There is also an elevated pulmonary pressure and congestion. In more advanced cases of mitral stenosis, an increased arterial pressure and the expansion of the right ventricle can be seen. In pulmonary stenosis and in pulmonary insufficiency both the right ventricle and the pulmonary trunk gets enlarged.

Echocardiography enables real-time imaging of the valvular structures and their function. It can visualize anatomic distortions of the membranous valve structure and related valvular vegetations and identify stenotic lesions or septal closure abnormalities. Doppler examination can precisely measure the acceleration of blood flow, which can be used to estimate the pressure gradient of the stenosis, or in case of valve insufficiency, the grade of regurgitation. Echocardiography can be also used to reliably measure and follow-up the dilation of any cardiac chamber. Ultrasonography examination has a higher sensitivity for detecting left ventricle hypertrophy in aortic stenosis then radiography, since left ventricle enlargement on can remain unnoticed on plain images up until the heart failure is so advanced that the ventricle is already irreversibly damaged.

MRI or CT examinations are not routinely used for the assessment of the valves. However, for other indications (primarily in congenital heart diseases) these techniques can be used to asses valvular morphology and function. MRI has the advantage that it can measure flow rate, while CT is more sensitive in identifying valvular calcifications.

8.1.6. Imaging aspects of arrhythmias

Cardiomyopathies predispose for arrhythmias, amongst which the most common is arrhythmogenic right ventricular cardiomyopathy. MRI has the most important diagnostic role in this aspect, since it can describe the morphologic deviation of the right ventricle and the structural changes of the myocardium with an incomparable accuracy.

In atrial fibrillation due to the altered hemodynamic state, thrombus formation in the atrium is a frequent complication; it forms most often in the left auricle causing increased risk of systemic embolization. Echocardiography is routinely used in patients with atrial fibrillation to rule out the cardiac origin of the embolization. Intra-auricular thrombosis, which is the most frequent source of cardiac embolization, can be best evaluated with transesophageal echocardiography technique.

ECG-gated CT examination is also appropriate for detecting intra-auricular thrombosis, but because of the artifacts produced by mixing contrast material, a late phase series need to be done.
Catheter thermoablation can be performed to prevent atrial fibrillation. For the planning and the implementation of this procedure it is necessary to know the precise anatomic arrangement of the left ventricle and the pulmonary vein ostium. Both, MRA and CTA examinations can provide the necessary 3D information for these procedures.

8.1.7. Diseases of the Pericardium

Pericardial effusion appears as a mantle-like enlargement of the shadow of the heart on the chest X-ray image. However, echocardiography is the easiest technique for detecting pericardial effusion, giving also the opportunity to select an optimal loculation for a possible puncture site if needed. If ultrasonography cannot provide good assessment of the heart, especially in complex inflammatory states or cancerous conditions, then CT or MRI examinations is required. Inflammation of the pericardium results in thickening of it and sclerotic callus formations which all lead up to the development of constrictive functional disorders, which might require surgical interventions. Although echocardiography can depict sclerotic lesions, it cannot visualize the pericardial surfaces in their full extent. CT scanning has a high sensitivity for detecting sclerosis and when ECG gating is used it is capable of functional analysis as well. For general assessment MRI is still the best option although it has a lower sensitivity for detecting calcifications.

8.1.8. Cardiac tumors

The most common primary cardiac tumor is the myxoma which can originate from the endocardium or the valves. They typically appear as mobile, intra-cavital masses (on echocardiography, CT or MRI). The most common tumor originating from the myocardium is rhabdomyoma, often appearing multifocally. Secondary tumors of the heart can be metastases from true hematogenous spreading; the primary tumors in these cases are most often breast-, lung carcinomas or melanoma but tumors can also spread directly from nearby thoracic tissues, through direct propagation, most commonly from pulmonary tumors. Echocardiography can suspect tumorous infiltration of the cardiac wall or chamber; however, it is unable to show integrally the possible extra-cardiac tumor component and cannot differentiate securely tumorous lesions from the normal myocardium. Another fundamental question that need to be answered is how much of the actual intra-cavital pathologic lesion is made up of viable tumor tissue and how much of it is a thrombotic growth on its surface. This is best assessable with MRI examination. Tumors with extra-cardiac, mediastinal or pulmonary infiltration might require the use of CT examination in order to determine the full extent of the tumor components.

8.1.9. Injuries

Injuries penetrating the cardiac chambers cause pericardial hematoma for which – if they do not cause pericardial tamponade –echocardiography can be used to detect and to follow-up. Blunt force trauma causes myocardial contusion that can appear as a myocardial infarct both clinically and on the lab results. Edema and necrosis involving the myocardium can be demonstrated with MRI.

8.2. Vascular system

8.2.1. Diseases of the pulmonary circulation

8.2.1.1. Developmental disorders

Most of the developmental anomalies of the pulmonary arteries and veins, like are usually associated with congenital cardiac disorders. For example, the peripheral stenosis of the pulmonary arteries, which many times is multiplex and bilateral or the aneurysm of the pulmonary artery. Unilateral hypoplasia or the complete agenesis of a pulmonary artery leads to the hypoplasia of the ipsilateral lung as well as consequent thoracic asymmetry. Chest radiography demonstrates a scarce peripheral vascularization so that the normal arterial pattern is barely identifiable. CTA or MRA examinations are both well suited for depicting the thin trunk of the pulmonary artery or in some cases the complete absence of it.

The most common anomaly of the pulmonary veins is transposition. In these cases, partial or complete venous transposition can occur resulting in communication with the right side of the heart instead of the left atrium. Sometimes they communicate with the main systemic venous branches creating a functional left-to-right shunt. Both CTA and MRA are able to visualize the aberrantly running veins. The typical appearance can also be observed on chest radiographs in cases of isolated anomalous drainage of a lower pulmonary vein. This variant is called “scimitar” syndrome; as the vein’s shape resembles a scimitar running to the inferior vena cava-right atrial junction.

Pulmonary arteriovenous malformations (AVM) usually involve the peripheral pulmonary arteries and they appear most often in Osler’s disease. Radiologic imaging findings show the dilation of the afferent arterial and draining venous branches due to the increased blood flow, while at the nidus of the lesion various sizes of aneurysm-like dilatations can be seen. Since the surrounding normal pulmonary tissue highlights the malformation well, an unenhanced CT examination might be sufficient for a diagnosis. The most precise characterization of the lesion is provided by CTA that can detect even small lesions. Complete coverage of the whole thorax may be difficult with MRA examination, which is essential before surgical or radiologic interventional procedures (catheter embolization) are considered, because the therapeutic planning requires the full coverage of the lungs in order to identify AVM multiplicity.

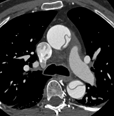
8.2.1.2. Pulmonary embolism (PE)

Conventional chest radiography might be normal in pulmonary embolism or it might just show slight alterations. This is because infarction pneumonia only occurs in the minority of the cases. In these cases, a subpleural, peripheral opacification appears in the lung parenchyma, which is called Hampton’s hump. In case of the occlusion of a larger vessel a hypovascularized area might appear, this is called a Westermark sign. There are many other unspecific signs as well on X-ray images like peripheral infiltration, small amounts of pleural effusion, linear atelectasis or the elevation of the diaphragm. Sonographic Duplex examination is primarily used to locate the embolic source by identifying deep vein thrombosis. If acute deep vein thrombosis is identified the risk of PE is higher.

In the past, pulmonary angiography was carried out by catheterization of the right atrium of the heart with the subsequent injection of dye into it. This method has limited differential diagnostic value and it is highly invasive; therefore, it is not considered the appropriate method. The main limitation of the technique is that the embolism can only be identified indirectly as a filling defect: partially occluded arterial branches appear with decreased opacity, while occluded vessels appear as amputated vessels with a decreased number, if any, distal branches.

Perfusion lung scintigraphy can be used to depict pulmonary areas which were cut-off from the blood circulation. Ventilation is typically preserved in pulmonary embolization; therefore, a combined perfusion-ventilation scintigraphy was the most important imaging modality for a long time in cases of suspicion of acute PE, because of its relative specificity. The main limitations of scintigraphy are indirect visualization and limited sensitivity.

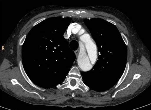
Contrast enhanced CT examination can depict both the pulmonary vessels and lung parenchyma in highly detailed images. The partially or completely occluding thromboembolic mass can be directly detected and it can be easily distinguished from the contrast filled lumen. CT angiography can show in detail the involvement of distal, subsegmental, 2-3 mm wide vessels (although a multislice CT scanner is a necessary). The main advantage of CT examinations is that even if no PE is present, it can also identify other pathological processes in relation to the thoracic symptoms (e.g.: pneumothorax, pneumonia …etc.) Therefore, in suspected pulmonary embolization CT angiography is considered the gold standard examination.

Image
Saddle embolus is blocking both branches of the pulmonary trunk
Image
Bilateral, multiplex emboli in the hilar branches
Fig. 9., 10.: CT angiography examination of acute pulmonary embolisation

In the diagnostics of acute chest pain, a 64-slice CT machine is capable to be preform the so called “triple-rule-out” evaluation. With this method pulmonary embolism, acute aortic syndrome and acute coronary syndrome can all be identified or ruled out in one examination. Dual source CT examinations, along with on the most advanced technological applications, are even capable to perform perfusion analysis.

MRI examination is usually considered as an alternative for CT examination in patients with iodine radiocontrast allergy. Contrast enhanced MR angiography provides a less precise visualization compared to CTA, but it is capable to prove the embolization of larger pulmonary arteries. The “steady state” sequences, which can play an outstanding role in an unenhanced cardiac MRI examination, can also visualize the lumen of the central branches of the pulmonary artery. This technique can help in detecting pulmonary embolism in pregnant women.

8.2.1.3. Pulmonary arterial hypertension

Chest radiographs reveal a characteristic enlargement of the central arteries while an abrupt caliber decrease is visible in the peripheral vessels. This is normally described as centroperipheral discrepancy. Radiography can also reveal certain advanced chronic lung conditions that may explain the development of chronic pulmonary heart disease (chronic cor pulmonale).

Echocardiography can identify sings of right heart-side strain, but it cannot distinguish primary from secondary conditions.

CT examination is required to rule out chronic pulmonary embolization, and in progressive cases, it is used as an assessment tool before lung transplantation.

8.2.1.4. Pulmonary venous hypertension

In case of left ventricular insufficiency, radiographs show the apical veins of the lung more expanded than the basal veins. which is called apicobasal caliber discrepancy. Meanwhile interstitial edema develops – initially at the base – that leads to the thickening of the basal interlobular septa, they are called Kerley B lines. Nowadays this has only limited importance, since echocardiography can monitor both the functional state of the left ventricle as well as the status of the patient better.
Idiopathic or iatrogenic pulmonary stenosis can also cause pulmonary venous hypertension which can be detected with CTA or MRA.

8.2.2. Diseases of the systemic circulation

8.2.2.1. Congenital anomalies of the large vessels
8.2.2.1.1. Aortic coarctation

Two main types:

  1. preductal – the narrowing (hypoplasia) of a longer segment of the aortic arch;
  2. postductal – usually located at the level of the isthmus, as a smaller segmental narrowing, originating distal to the left subclavian artery

It is discovered mostly in infancy due to its prevalent symptoms by catheter angiography. The injected dye can reveal the degree and length of the stenotic lesion as well as the associated collateral vascular system and other accompanying abnormalities. Its main advantage is that it allows a direct measurement of the arterial pressure (pressure gradient) which helps in the planning of therapeutic protocol. Furthermore, with catheter angiography subsequent angioplasty (dilatation) or stent implantation is also possible. After the primary surgical correction, follow-up examinations are necessary in order to assess any residual stenosis. Follow-up is also needed because there is an elevated risk for the development of pseudoaneurysms on or near the operated areas (usually a segmental dilation of the artery, that has none or just partial components of the normal blood vessel wall). The follow-up examinations should be carried out in a non-invasive manner and with techniques that do not utilize ionizing radiation.

In neonates the aortic arch can be directly visualized by echocardiography, which can help with the diagnosis. Later in life, it is useful for detecting signs of left ventricular strain or other frequently associated developmental disorders of the heart: the most commonly associated anomaly is the bicuspid aortic valve.

CTA provides a detailed image of the stenosis and postoperative complications. It is also performed more easily in infants, but because of its relative high dose of radiation, MRI is the preferred method. MRI is ideal in the age group of children who can already cooperate. It can be used to assess aortic morphology and associated cardiac anomalies. It is also capable for the quantitative evaluation of the collateral flow (flowmetry measurements).

Image
Contrast enhanced MR angiography
Image
CT angiography – volume rendering
Fig. 11., 12.: Coarctatio aortae

 

8.2.2.1.2. Aortic arch anomalies

The supraaortic artery roots can show a great deal of anatomic variations. These variations are not pathologic, but their knowledge is essential for navigation in catheter interventions.

The involution of the appropriate segments of the fourth aortic arch pair leads to the development of the normal anatomy of the aortic arch. If this process takes place atypically it leads to the formation of anomalously running vessels, often referred to as a group as “vascular ring”. They are clinically significant because they can compress the airways or the esophagus, which manifests usually as stridor or dysphagia. One of the simplest and most benign anomaly, which is usually discovered only in adulthood as an incidental finding, is the aberrant subclavian artery (right subclavian artery extending behind the esophagus). The classical example of the complete vascular ring is the double aortic arch, which usually requires an early reconstructive surgery.

Radiography plays an important role in screening for the identification of the ring-spectra, possibly with techniques that makes the tracheal shadow also assessable. Contrast swallowing examination can visualize impressions on the esophagus, which typically appear laterally and dorsally.

Image
CTA imaging of a two months old infant, volume rendering
Fig. 13. Complete vascular ring caused by double aortic arch

CTA and MRA can show in detail the precise anatomic arrangement; it can identify which aortic segments are not obstructed, which ones are hypoplastic and which ones are missing completely and show any other anatomic variations that might appear. These findings are essential for the precise planning of any surgical procedure. When the lung and airways also needed to be assessed CT is always a better choice.

8.2.2.1.3. Anomalies of the large veins

The anatomic variations of the superior and inferior vena cava are in most cases discovered accidentally on imaging examinations and they do not predispose for any complications by themselves. Venous aberrations can only be partially described with ultrasound examination because intrathoracic segments, ones at the level of the diaphragm or in the retroperitoneum can only be partially visualized. If any atypically running vein is discovered, it has to be clarified whether this is an innate or an acquired condition. The conventional contrast injection techniques (phlebography) can only provide partial answer. The most precise diagnostic method is a venous phase contrast enhanced CT examination for this purpose.

8.2.2.2. Peripheral vascular malformations

This disease group is still referred to inadequately sometimes as hemangiomas. It can be divided in two category: high flow anomalies and low flow malformations.

High flow arteriovenous malformations (AVM) are typically characterized with shunt circulation: flow speed increases, afferent arteries and efferent veins expand due to the increased volume of blood flow. With Duplex US examination a very high flow velocity with a low resistance index can be registered or pulsatile flow in the veins at the nidus as a direct sign of shunt circulation. The conventionally used diagnostic tool is catheter angiography, which still provides the most detailed information about the feeding arterial branches of the shunt, and about its draining veins. It also provides information about the extent of the nidus and about the velocity of the flow. Another major advantage of the catheter method is the possibility for therapeutic intervention. The feeding arteries can be selectively or super-selectively localized and occluded through embolization. MRA can reveal the architecture of the abnormal vessels similarly to DSA. For the confirmation of an ACM multiphasic or 4D MRA technic should be used, which provides not only morphologic but hemodynamic information as well.

Low flow malformations can be formed of a mix of veins, capillaries and lymphatic vessels variably resembling tumor-like mass. They can also appear as a network of vessels traveling in different directions, with various calibers. Ultrasonography examination can identify the expanded venous plexus, or lymphatic vessel malformations which often contain cystic components. Radiography is usually used to assess the accompanying bone structure alterations and deformities. Traditional angiography can be completely normal, or it may only indicate filling defects (decreased opacity) in the venous stage. The most detailed illustration can be achieved with MRI: on T2 weighted images the slow flowing malformations typically appear as high signal intensity abnormalities, and they delineate clearly from the nearby healthy tissues.

8.2.2.3. Atherosclerosis

Regarding atherosclerosis imaging methods have two main purpose a) to prove the atherosclerotic process identifying plaques in the region in question b) and to quantify the degree of the consequent stenosis and its hemodynamic significance. The diagnostic strategy should make use of the imaging method that provides enough information about the region in question to plan therapeutic intervention, which is least invasive for the patient and the most cost effective (it must be taken in to count the fact that atherosclerosis is an endemic disease, therefore an established diagnostic protocol, meaning from a few thousand, up to tens of thousands of examinations, can put a huge financial burden on the healthcare system).

8.2.2.3.1. Stroke – cerebrovascular diseases

In the majority of the cases, stroke is causes by the atherosclerotic lesion of the supplying arterial system of the brain. Ultrasound examination can reliably depict a long segment of the four main extracranial large vessels supplying the brain. Fortunately, most atherosclerotic lesions that causes cerebrovascular symptoms are to be found in the carotid bifurcation and therefore they can be well diagnosed on carotid US examinations. Besides depicting plaques, US can measure their size and assess their composition. Lipid-rich plaques that are covered with a thin, easily rupturing fibrotic cap are considered instable, but inhomogeneous structure and irregular surface are also a poor prognostic factor. Exulceration, a consequently appearing excavation on the surface of the plaque carries the highest risk for embolization. Color Doppler examination can help precisely define the contours of plaques. It can clearly depict the residual lumen of the narrowed arterial segment and it is able to confidently differentiate between complete obstruction from high grade stenosis. Contrast enhanced ultrasound examination can show the angiogenesis at the basal part of instable plaques as well as MRI examination. One of the main diagnostic goals of cerebrovascular imaging is to determine the grade of stenosis of the internal carotid artery, since the risk of stroke grows parallel with the grade of the stenosis, which can be avoided with reconstructive surgery or with stent implantation. A 50% diameter decrease is considered the limit at which point a stenosis counts as hemodynamically significant. Below this the grade of stenosis can be well estimated with 2D planimetric measurements. Above this level stenotic lesions are quantified by their hemodynamic effect, based on the measurements of flow velocity increase. If a significant stenosis is discovered, the patient must be closely followed. At a stenosis of about 70% surgical or interventional procedure should already be considered. In these cases, or when diagnosis is equivocal, it is important that the duplex sonography is followed by an imaging method that can visualize the cerebrovascular system in full.

Image
Duplex ultrasonography with targeted Doppler measurement
Image
Contrast enhanced MR-angiography
Fig. 14., 15.: Arteria carotis interna stenosis

 
The conventional catheter angiography is still considered the gold standard imaging method due to its high detail anatomic representation and its ability to show the hemodynamics of the vascularization. The complete assessment of the arterial cerebrovascular system can be achieved with CTA and MRA techniques that give a map-like visualization of the cerebrovascular arterial branches. The aim at both methods is to depict the arterial system from the aortic arch to the Circle of Willis with a high image quality. The main advantage of MRI is that it combines brain imaging with angiography, therefore certain lesions that would change or modify the therapy (e.g.: acute ischemic lesion) can be diagnosed in the most precise manner.

Image
Original axial slice of the CTA
Image
' "Curving" secondary reformatted image following the way of the artery'
Fig. 16., 17. Atherosclerotic plaques in the carotid bifurcation, causing significant stenosis

 
CTA (if done by multislice - above 64- CT) has the main advantage of showing in detail even highly irregular contoured, unevenly calcified plaques, and the residual lumen so the grade of the stenosis can be measured with more confidence. That is why, nowadays, if there are no contraindications, duplex US is always followed by a CTA, in special cases MRA as an alternative.

Reversed blood flow in the vertebral artery, which can be detected with US, is indicative of a steal syndrome: a high-grade stenosis or an occlusion at the proximal segment (proximal to the origin of the vertebral artery) of the ipsilateral subclavian artery. The lesion it self can be visualized by CTA and MRI as well.

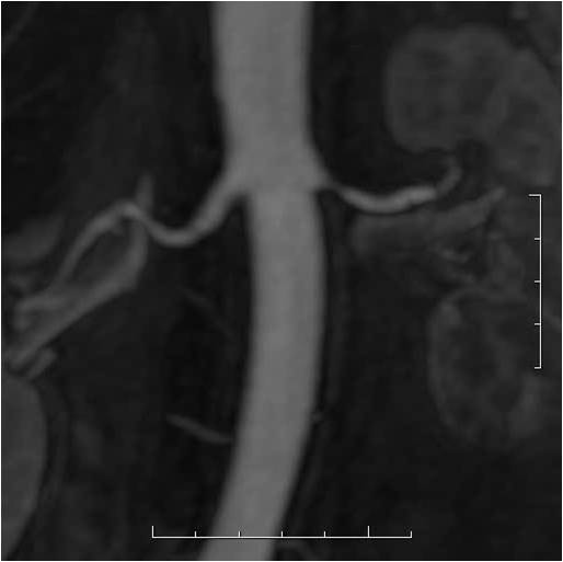
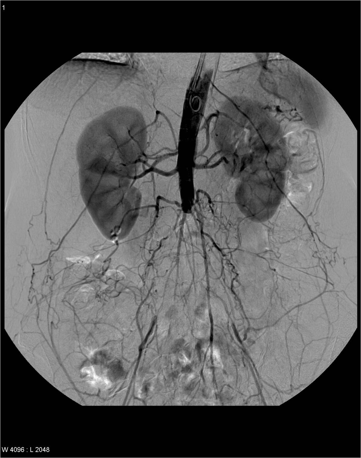
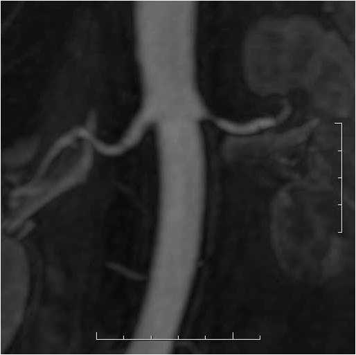
8.2.2.3.2. Renovascular hypertension

The stenosis of the renal artery causes therapy resistant hypertension. If clinical suspicion is raised a radiological examination or scintigraphy is indicated for the diagnosis. If the stenosis is discovered on time, then surgical reconstruction or catheter dilatation of the vessel can be used to treat hypertension and stop hypoperfusion of the kidney which would otherwise lead to renal failure.
With Doppler examination, if the renal arteries can be directly visualized, a high velocity flow and a post-stenotic turbulence can be seen.

From a dorso-lateral angle the flow of intrarenal segmental arteries can be analyzed: if the proximal arterial segments have any stenosis, then the registered Doppler curves show a post-stenotic appearance. However, this technique requires a great deal of experience which makes it highly operator-dependent, thus it is not performed on a regular basis.

Perfusion scintigraphy is able to identify significant arterial stenosis by comparing the different perfusion rates between the two kidneys. The method can be made more sensitive by giving the patient an ACE inhibitor, which in turn, further decreases the activity of the involved kidney. After the wear off of the ACE inhibition, if the repeated renal scan shows an improving perfusion that indicates arterial stenosis. The identification of bilateral lesions with this method is rather difficult, since the use of ACE inhibitors is contraindicated when both kidneys are affected.

CTA and MRA are both capable of diagnosing renal artery stenosis. Both methods can identify anatomic variations, atherosclerotic lesions at the origin of the vessels or at distal segments on the artery. These techniques not only show the contour irregularities and the narrowed lumen, but they are also able to reveal the secondary parenchymal lesion of the kidney. However, in patients with decreased renal function, both types of contrast materials should be avoided or applied only with care.

Image
Contrast enhanced MR angiography
Image
Control CT angiography after stent implantation to correct a bilateral arterial stenosis
Fig. 18., 19.: Renal artery stenosis

 

8.2.2.3.3. Mesenteric ischemia

Stenotic lesion or occlusion of the unpaired splanchnic branches of the aorta cause chronic mesenteric ischemia, which presents as abdominal angina. Acute occlusion is usually caused by mesenteric embolism, and it presents as an acute abdominal condition; with a high mortality rate. In all cases CTA provides the most precise diagnostic information and it is also able to depict the state of the abdominal organs.

8.2.2.3.4. Peripheral arterial disease (PAD)

The obliterative diseases of the lower extremity arteries can occur from the subrenal part of the aorta to the distal, end-arteries of the limbs. It can affect any segment in any combination; depending on its severity and the dynamics of its formation it can cause variable arterial pressure changes and consequent complaints. The gradually forming atherosclerotic stenosis/occlusion presents as intermittent claudication. The acute presentation of critical limb ischemia is usually related to arterial embolism and requires urgent surgery. If revascularization is not considered due to the clinical actual state imaging examination is not even necessary.

Usual imaging diagnostic approach is by catheter angiography, DSA technique if possible. This is carried out by repeated injections of smaller quantities of dye, which eventually can demonstrate the whole arterial system and the arterial outflow (on the late phase) even at territories with decreased flow speed vascularization.

The advantage of DSA is that smaller branches and collaterals can also be visualized well; it provides hemodynamic information and gives the opportunity for balloon catheter dilatation or stent implantation if needed. If the femoral arteries are not suitable for catheterization, the brachial artery can also be used as an alternative. Stenotic lesions can be semi-quantitatively categorized: below 50% - mild, 50-75% - moderate and above 75% - pronounced stenosis is determined.

Image
Proximal aortic occlusion – Leriche’s syndrome
Image
Bilateral multiplex femoral artery stenosis
Fig. 20., 21.: DSA examination in lower extremity obliterative arterial disease

 

Image
Contrast enhanced MR angiography"
Fig. 22. Left sided segmental occlusion at the iliofemoral segment
Image
CT angiography
Fig. 23. Bilateral superficial femoral artery occlusion with collateral filling

Multi-slice CT is able to perform CT angiography scans that map the body from the diaphragm to the ankles depicting the complete arterial tree with adequate intensity and with appropriate spatial resolution. In most cases this has a sufficing diagnostic value and it is especially advantageous for the rapid assessment of patients in poor condition. For the MRA of this wide region a special table toggling technique is required. This method applies prolonged injection of intravenous bolus contrast medium, and in three table-toggling steps it can visualize the arterial system of the abdominal aorta and the peripheral arteries up to the ankle with an acceptable spatial resolution. MRA examinations has the best diagnostic value for lesions presenting at the aortoiliac and femoropopliteal regions in cases with a relatively limited extension and a reasonable severity. CTA examination (with specific contrast injection protocol) provides better spatial resolution tough even in this region starting to replace angiography as a first choice of examination in the diagnostics of acute coronary syndromes.

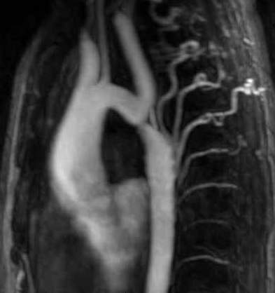
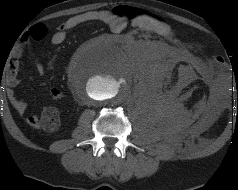
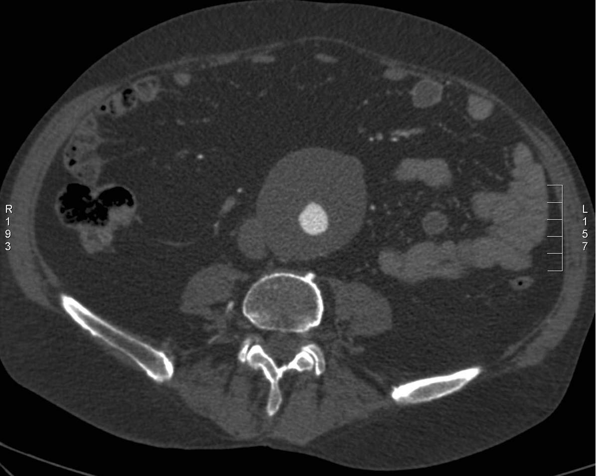
8.2.2.4. Aneurysm disease

Aneurysms are defined as dilatations of the vessels that are 50% wider than the normal arterial diameter. In a true aneurysm, the dilated segment’s wall contains all the layers of the normal arterial wall, in contrary to false- or pseudoaneurysms, which are also segmental dilatations of the arterial lumen, but their wall contains only in part all the layers of a normal arterial vessel; they are caused by a certain local effect (e.g.: trauma, iatrogenic injury, etc.).

Large vessel dilatations can cause signs of compression, depending on its localization. The circulation slows down within the expanded vessel and a consequent thrombogenic process occurs along the luminal wall, often reaching such a high grade that the permeable lumen barely shows any dilatation. The thrombus can act as a source of distal embolization and can cause acute ischemic signs when reaching certain arterial territories. Finally, the most important complication of the progressively expanding aneurysm is rupture, which causes circulatory insufficiency and presents as a high mortality condition, leading to patient death within a few hours without an interventional procedure. The risk of rupture increases exponentially with the size of the diameter.

The role of imaging aneurysms, on one hand, is to provide precise measurements about its size, especially about its greatest diameter, on the other hand, to follow-up the patients. An aortic aneurysm with a diameter above 6 cm is considered at a high risk for a rupture and requires interventional procedure. Dilatations over 5 cm require a close monitoring to be able to detect any further increase in size in time. Aneurysms of a size smaller than 5 cm require imaging follow-up at every 6 months or once a year if their size does not change. Beside the precise measurements, the role of imaging is also to characterize the appearance of the lesion in order to select ones that require surgical reconstruction and ones that are suitable for endovascular intervention. The anatomic characteristics that should be assessed at each imaging examination are: the location of the proximal and distal neck of the aneurysm, the relation of the origin of the side branches, wall thickness, the thickness of the mural thrombus and finally to detect signs in the perivascular tissues that are suggestive of an impending rupture.

Ultrasound examination is a reliable screening tool and is also useful for patient follow-up. However, the reproducibility of the diameter measurements of an irregularly shaped vessel is considered limited. Contrast enhanced US can increase the diagnostic sensitivity for such hardly depictable lesions. CT and MRI are able to assess well aneurysms regardless of their location and size. They provide the highest visibility for primary diagnostics and planning of surgical interventions. Intrathoracic and intracranial aneurysms can only be followed up with these techniques since US examination has limited ability in these regions. In case of scheduled examinations MRI is the preferred method, if available, since it does not come with harmful radiation which would accumulate in a constantly controlled patient. In cases when rupture is suspected CT is the method of choice due to its higher availability in emergency and shorter examination time

Image
A non-ruptured (stable) aneurysm with an extended mural thrombus
Image
Ruptured aneurysm with retroperitoneal hematoma
Fig. 24., 25.: Abdominal aorta aneurysm, CT angiography

 

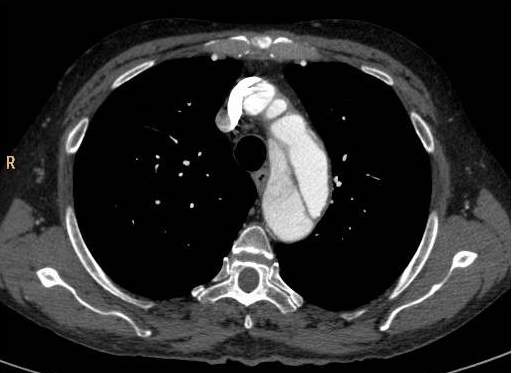
8.2.2.5. Aorta dissection

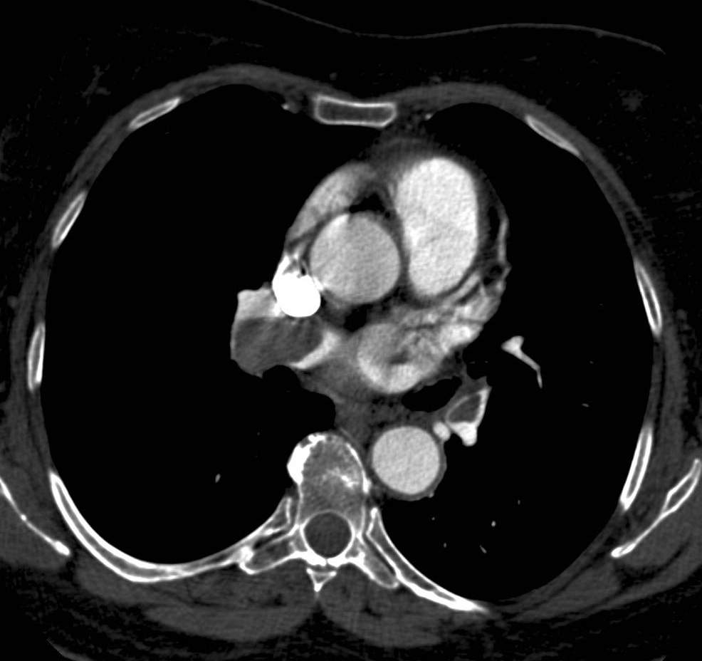
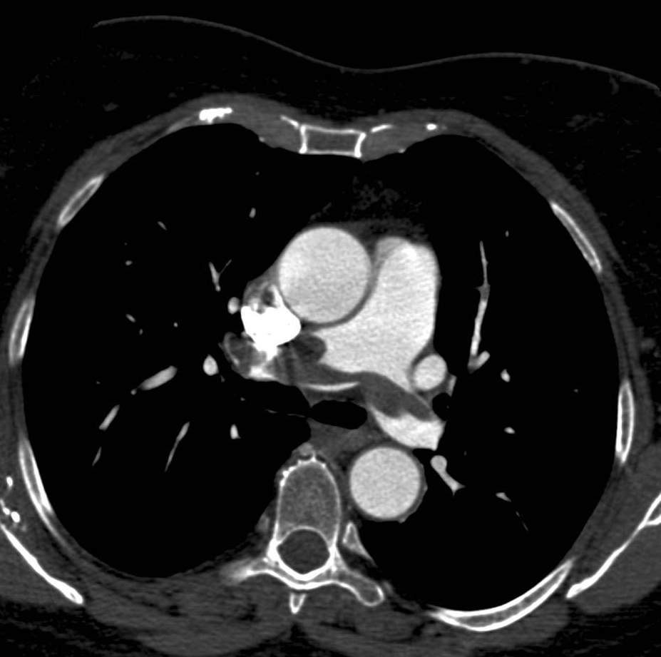
There are two main types of aorta dissection according to the Stanford classification: type “A” when the ascending aorta is involved, and type “B” when the dissection occurs distal to the origin of the left subclavian artery and it does not propagate to the level of ascending aorta or the aortic arch. The two types are distinguished because of their acute complications: type “A” dissection can cause the obstruction of the coronary trunks or, in case of a pericardial rupture, it can cause consequent pericardial tamponade and sudden death. Hence these cases require immediate surgical intervention with a cardiac surgical background. In contrary type “B” dissection can cause the acute obstruction of the abdominal aortic branches and can lead to life threatening conditions only in a subacute manner (intestinal ischemia, renal insufficiency). These conditions can also require surgical intervention (vascular surgery) but they rarely need immediate surgery. Both dissection types have the late stage complication of the development of aneurysm that occurs due to the weakened and constantly expanding vessel wall, which constitutes a growing risk for aortic rupture.

Primary diagnostic imaging is usually performed as an emergency examination, patients are often unstable, or gravely ill and in poor condition. Therefore, CTA is a most advantageous method; it can provide a diagnostic quality imaging even on a non-cooperative patient with. It is crucial to determine the type of dissection (A or B-), the involvement of the supraaortic and abdominal branches, the origin of the side branches, and the anatomy of the false and the real lumen and their permeability. A highly pulsating aortic root can cause diagnostic problems because of the vessel movement. The artifact caused by the moving arterial wall can mimic an intimal-flap, especially at the root of the ascending aorta. However, this can be avoided with ECG gated examination; hence patients with symptoms of acute coronary syndrome should be directed to a centum where ECG gated imaging is available.

Image
The lumen is divided by the detached intimal layer that can be followed from the origin of the left subclavian artery to the descending aorta.
Image
The real lumen shows a fast filling and a more intense contrast enhancement,
Image
while the false lumen shows a less intense contrast enhancement due to its decreased flow.
Fig. 26., 27., 28.: Type B aortic dissection CT angiography
Image
On axial slices, an intima flap can be seen in the ascending aorta
Image
The dissection spreads also into the lumen of supraaortic arteries
Fig. 29., 30.: Type A aortic dissection, ECG-gated CTA examination
:

For a scheduled control examination MRI is the preferred modality, because contrast enhanced dynamic MRA with ECG gated technique can very well visualize the motion of the intimal flap as well.

8.2.2.6. Inflammatory diseases of the blood vessels

The inflammation of large arteries (Takayasu’s arteritis), or less commonly the peripheral arteries (temporal arteritis), cause abnormalities of the vessel wall that can be clearly identified with US, CT or MRI examinations. In the active phase of the inflammation cuff-like thickening of the media-adventitia layers of the arterial wall can be seen. In the parenchymal phase an increased contrast enhancement and the inhomogeneity of the perivascular tissues can be observed. On MRI images the affected vascular segment is edematous and shows restricted diffusion. Typically the process progresses to stenosis of the arteries which eventually leads up to occlusion. In Takayasu’s disease the vasculitis occurs at the proximal segments of the branches of the aortic arch at first, but it can appear at the abdominal arteries and in rare cases the pulmonary circulation can also be involved. Sometimes the vasculitis can cause the development of aneurysms. Surgical correction, however, needs to be considered soundly, because if the anastomoses of the bypass graft meet with the inflamed segments, the chance for restenois or inflammation is increased. Patients are often of a younger age, therefore the use of US and MRI examination should be favored. If disease progression is suspected MRI is necessary in all cases, or CTA if MRI is unavailable.

Kawasaki’s disease is a form of vasculitis that affects mostly children and it can also lead to the development of aneurysms (most often on the coronary arteries, less frequently on other peripheral arteries). Ultrasound examination should be used at all times for the diagnosis and follow-up of these aneurysms.

8.2.2.7. Venous thromboembolism

Deep vein thrombosis of the limb has chronic venous insufficiency, as a local complication and pulmonary embolism as a systemic complication. Without adequate therapy the thrombosis can spread along the venous wall in both ways leading to an increased segmental involvement that can further increase clinical symptoms. That is the reason why, in case of suspicion of a deep vein thrombosis, an imaging examination should be carried out, in order to prove the existence of thrombosis and to describe its extension. Thromboses affecting the limb and the pelvis, as well as the ones found on the upper extremities or on the neck, can all be effectively detected with US examination: the involved vascular branch will show an increased diameter, the lumen is filled with a hypoechoic mass that cannot be compressed with the transducer. The thrombosed segment does not show a Color Doppler signal or a Doppler pulse curve. In all cases, comparison with the healthy, contra lateral side can help with the evaluation, as long as one side is unaffected.

Image
The complete occlusion of the superficial femoral vein...
Image
…the partial occlusion of the popltieal vein
Fig. 31., 32.: Lower extremety cdeep vein thrombosis – color Doppler examination

For the precise imaging of the main, thoracic and abdominal venous branches CT or MRI examination is necessary. In this cases a conventional CTA examination, which aims to depict arteries trough “first pass” effect with relatively small amount of contrast materiel, is not adequate. For the proper assessment of veins a greater amount of contrast material is needed (2-2, 5 ml/kg), and the timing should be adjusted accordingly (90-120 sec) so that even segment with a lower flow speed can be assessed clearly.

The occlusions of the portal-splenic or mesenteric veins constitutes a special case, that can appear as a complication of several disorders, such as cirrhosis or other cases of portal hypertension, hypercoagulability, cancer and septic states. A very precise description of the vessels state is essential for the planning of palliative TIPS (transjugular intrahepatic porto-systemic shunt) or a surgical procedure. Moreover, the examination is also crucial in the evaluation for liver transplant.

8.2.2.8. Vascular injuries

Penetrating vessel injures mostly require immediate surgical intervention so imaging methods are seldom used. On the other hand blunt force trauma can cause hemorrhage into the luminal organs, or interstitial bleeding where the source is not always evident, thus the adequate therapy planning requires diagnostic imaging. CTA is the most useful examination for any traumatic assessment, since it provides an overall, rapid visualization of the vascular branches, parenchymal organs and the skeletal system. In case of an incomplete rupture, a partial fissure can cause a traumatic dissection or pseudoaneurysm. Blunt force trauma of the neck can cause dissection of the carotid artery or thrombosis of the jugular veins; therefore in these cases a routine US examination is indicated.

8.2.2.9. Tumors

Genuine tumors that originate from the blood vessels are rare; in contrary the tumor-like vascular malformations are improperly called “angiomas”. The hypervascular abnormalities can be identified with Doppler ultrasound examination. MRI with complementary MR angiography is able to provide a full scale assessment.
In adulthood secondary involvement of the large arteries (e.g.: glomus tumor of the carotid bifurcation) occur more often, which also requires a precise vascular depiction in the planning of complex oncologic surgeries (penetrating renal tumor to vena cava). All these are best represented with CTA examination.

8.3. In summary

In modern cardiovascular imaging non- invasive methods are preferred, invasive techniques are more likely used with therapeutic intentions.
Conventional X-ray imaging provides only limited information, but the bedside use of it still has an important role.
US imaging is the primarily used imaging method both for screening and for the assessment of cardiovascular system.
Certain more complex cases may require CT or MRI examination (depending on the circumstances like age, indication and availability). The main benefit of CT is its speed, which is highly beneficial in emergency care. MRI examination provides a more complex, molecular and function information in a single session which is increasingly indispensable in the assessment of the heart.

 
Translated by Balázs Futácsi and Hunor Sükösd


Site Language: English

Log in as…