Loading...
 
PDF Print

Diagnostic Breast Imaging

12. Diagnostic Breast Imaging

Author: Zsuzsanna Dömötöri, Zsuzsa Unger

Semmelweis University Department of Radiology, Budapest

 

The purpose of this chapter:

The goal of this chapter is to provide an introduction to the 4th year medical students at the University of General Medicine on up-to-date breast imaging methods and their basic principles. It is also important to mention the role of breast screening examinations and to outline what diagnostic gain are to be expected from the different examination methods and what sequence of protocols are to be used. A fundamental knowledge is necessary for future doctors to be able to investigate the breast diseases with proper algorithm and to understand mammography reports.

12.1. Introduction:

Today, mammography is one of the fastest evolving areas of diagnostic radiology. Many new technical applications have evolved in the recent decades that have improved image production and processing, as well as diagnostic tissue sampling. These advancements have modified the diagnostic algorithms in breast imaging. The reasons for the recent advancement have been partially influenced by the technical developments of new methods, and also by the pressing need for better imaging. All of this is accordance with the fact that the number of breast cancer patients is on the rise worldwide, including Hungary.

The cause of breast cancer is still unknown; consequently its primary prevention has not yet been made possible. However, it is a proven fact that early detection and the start of adequate therapy can significantly decrease the rate of mortality due to breast cancer. Improved imaging has helped the detection of small, neoplastic lesions at their early, clinically non-symptomatic phase.
Today, in breast imaging we differentiate screening mammography from clinical mammography.

1./Screening mammography: Regularly repeated examination of asymptomatic and complaint free women within the prevalent age-group within determined and controlled circumstances. It does not provide a definitive diagnosis.
The purpose of screening is to significantly decrease the mortality of breast carcinoma related deaths with increasing the diagnosis of small (under 14 mm size), asymptomatic agressive tumors. In Hungary the first organised nation-wide screening was esteblished in 1969, barely some years after in the developed countries, and since 1997 a decree has ruled the screening. At present women between the ages 40-65 are screened methodically, the service is repeated biannually with invitation.

2./Clinical (diagnostic) mammography: is the examination of women with complaints and clinical symptoms, independent from their age. The examination provides a definitive diagnosis.

12.2. Breast Imaging Modalities

12.2.1. The general role of diagnostic imaging:

  • screening
  • identification of pathologic lesions
  • determination of lesion dignity
  • biopsy guidance
  • staging
  • preoperative localization of non-palpable lesions
  • specimen mammography
  • therapeutic planning
  • remainder marking of a lesion
  • breast implant examination
  • control examination

 

12.2.2. Diagnostic Imaging Methods

  • Mammography: traditional (analogue), digital technique, and tomosynthesis
  • Breast Ultrasonography
  • MRI examination (Breast MRI)
  • CT examination: with the current technical circumstances its role in breast imaging is very limited.
  • Nuclear medicine examinations: breast scintigraphy, sentinel lymph node tagging, SPECT, PET/CT examinations
  • Interventions: imaging-guided interventions
    • Diagnostic: pneumocystography, ductography, biopsy, localizing methods
    • Therapeutic: percutaneous tumor ablation, radiofrequency ablation (RFA)
  • Molecular biological methods: under clinical trials

 

12.2.2.1. Mammography

It is a fundamental diagnostic method in both diagnostic and clinical mammography, during which plain pictures are taken.

Advantages:

  • high diagnostic accuracy
  • cheap, easily available
  • much the cheapest, the most easily available than the more sensible methods for example MRI
  • breast cancer can be diagnosed 2 years earlier than the clinical symptoms occur
  • microcalcifications are visualised reliably
  • guidance of stereotaxy sampling

Disadvantages:

  • radiation exposure
  • lower sensitivity in dens breast
  • the ratio of false negative cases is 10% in clinical mammography, 20% in screening mammography
  • compression can cause pain in case of mastodynia

 

12.2.2.1.1. Types of Mammography:

1. Traditional (Analogue) mammography: image production, appearance and storage all occur at the same place, the X-ray film. Technical requirements are low voltage (25-32Kv, = soft beam technique, high beam intensity, mAsec), special anode, double focus X-ray tube.
2. Digital mammography has displaced the analogue technic for today almost everywhere: (pictures 1,2,3) phosphorous plate or direct digital methods. For breast imaging the latter is the method of choice. Phases of image production separate. The image is produced on the detectors, but appears on the high resolution monitor and can be stored as a digital data set at various storage mediums (e.g.: CD, hard disk drives).

Image
Picture 1.
Image
Picture 2.
Image
Picture 3.

 
Advantages:

  • significantly decreases radiation
  • higher contrast and sharpness
  • stable image quality
  • depicts microcalcifications better than the analogue techniques
  • no need for picture development, dark room
  • eco friendly
  • larger capacity
  • image postprocessing possibilities (magnification, image inversion, contrast effects)
  • teleradiology, telereporting
  • supervisory function
  • easier patient follow up, unnecessary exam or biopsy repetitions can be avoided
  • simplified archiving
  • CAD computer assisted diagnostic (recognition)

The spatial resolution of the digital technique is not higher than that of the analogue one!

3. Tomosynthesis: mammography images are made in 15 ° angle range ( depending on the machine 15-50°, 13-25 images). The disturbing shadows on the summation image can be eliminated by the tomograpy technic so in this way the sensitivity can be increased.

Mammography exposition: all breast images have to be acquired at least in two directions!
Standard images: cranio-caudal (CC), half-oblique, medio-lateral oblique (MLO).
Additional images: lateral (medio-lateral, latero-medial) magnified images etc.

12.2.2.2. Breast Ultrasonography:

The examination is started with ultrasound under the age of 30. For women above 35 years of age it is the complimentary examination of mammography, while for women of 30-35 years we choose the first modality depending on the symptoms of the patient. In breasts of greater volume, mammography couldn’t be skipped.US is used as primary examination during pregnancy and lactation, as well as in patients with acute phase inflammatory processes.
Technical requirements: a high resolution linear head of 7.5 MHz, with a maximum length of 4-5 cm. A second supplementary head of 12-18 MHz is also recommended. The examination needs to be archived.
Diagnostic indications:

  • separation of solid and cystic lesions
  • examination of locoregional lymphnodes
  • examination of chest wall
  • detection of recidive tumour
  • controll of benign lesions
  • guidance of sampling

Therapeutic indications:

  • cyst puncture
  • abscess drainage

Doppler examinations: can only be used as auxiliary exams. It depicts higher vascularization in malignant tissues.
Elastrography: hard, not compressible lesions in the breast are suspicious for malignancy

12.2.2.3. Magnetic Resonance Imaging of the Breast (Breast MRI):

Requirements: At least 1.5T MRI machine, breast coil, proper softver for assessment, iv. contrast agent. For interventional procedures MR compatible biopsy equipment, marking wires are required. Background: malignant neoplasms show increased blood supply due to neo-angiogenesis.

The most important indications of breast MR:
• reliable detection of multifocality, bilaterality
• exact identification of the size of the lesion
• followig up of neoadjuvant therapy
• differentiation of scar, recidive tumour
• searching for occult, primary tumour in case of likely breast originated axillary metastasis
• screening in case of high risk factors ( for example BRCA1 and BRCA2 bearing)
• evaluation of implantation conditions

Dynamic Breast MRI:
Benign and malignant lesions in most cases show different contrast enhancement dynamics and morphology. However, its differentiation ability of benign from malignant is limited.
Disadvantages of breast MRI:
• high costs, low capacity
• microcalcification could not be detected
• can not be performed earlier than 6 months after surgery, 12-18 months after radiotherapy

  • can not be performed in case of general MRI contraindications (for example claustrophobia, pacemaker), take into consideration the absolute and relative contraindications
12.2.2.4. Nuclear medicine examinations:

1. Breast scintigraphy: has lost its significance in the recent years. Malignant tissues in the breast show enhanced Tc99 MIBI radiopharmacon uptake, due to increased cell activity, that can be registered by gamma cameras.
2. PET, PET/CT: It has the role of staging in the first place in case of breast cancer
3. SPECT-CT: identification of the sentinel lymphnode
4. ROLL-marking: (Radioguided occult lesion localisation) it is used for marking of non-palpable lesions before surgery

12.2.2.5. Interventions in breast imaging:
  • Pneumocystography: In certain cases (e.g.: dense cysts or cysts with septations) after cystic drainage the cystic cavity is inflated with air in order to rule out intracystic tumors.
  • Galacto- or Ductogrpahy: (Picture 4,5) is an examination that requires contrast material. It is indicated in breast bleeding or discharge, performed after mammography, ultrasound examination and cytological aspiration have all been carried out. The ducts are injected with contrast material which then either can reveal intraductal lesions causing sharp, margined filling defects, distortions or complete obstructions in the duct.
Image
Picture 4.
Image
Picture 5.
  • Targeted biopsies:

1. Cytologic aspirations: fine needle aspiration biopsy (FNAB)(Picture 6., 7., 8., 9.)
2. Histologic biopsy: core (tissue column) biopsy (CTB):
o Automatic gun biopsy sampling, guiding: US or X-ray
o Stereotaxic Vacuum Core biopsy: Mammotome (sVCB)
The majority of pathologic lesions are detectable with ultrasound, therefore US is a major guiding tool. In other cases (e.g.: in case of apparent microcalcifications only) X-ray guided stereotaxic (3D) or the so called compression hole plate (2D) guidance are available. In case of lesions only detectable with MRI of course MRI guided biopsy is the only method of choice.

Image
Picture 6.
Image
Picture 7.
Image
Picture 8.
Image
Picture 9.
  • Localization methods:
    • Preoperative localization: (Picture 10.)
    • Indication:
      • Small, non-palpable tumor localization might be necessary in order to ensure optimal tissue excision.
      • The localization can be made with:
        • usually with a steel wire (hook wire or guide wire) localization. Guidance: US or X-ray.
        • sometimes with an isotope (technetium-99m labeled nanocolloid). Detection with a scintigraphy probe during surgery (ROLL technique).
    • Sentinel lymph node biopsy: the goal is to remove and analyze the most likely site for lymph node metastasis and to avoid unnecessary ABD (axillary block dissection) and to avoid its complications.
      • Markers can be:
        • dye (methylen blue)
        • isotope labeled nanocolloid, detected by gamma probe
        • the combination of the above mentioned two methods (most precise)
    • Tumor and the sentinel lymph node can be marked together: with the administration of a small and large molecule isotope labeled colloid
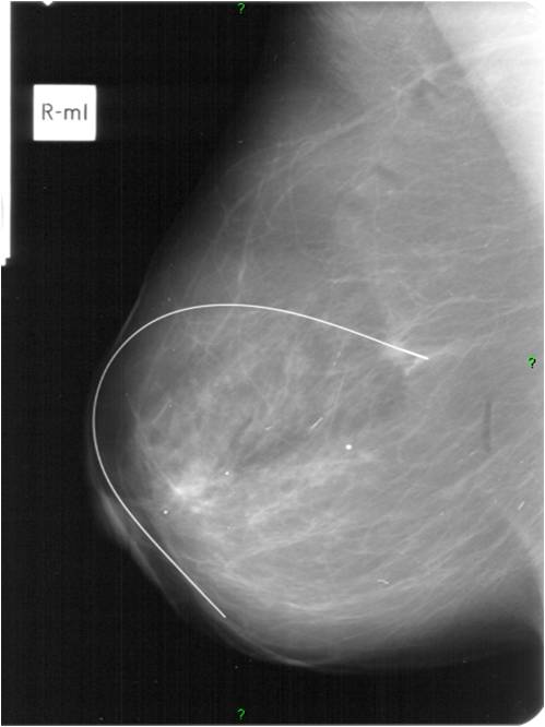
      • Localization confirmation can be performed with: specimen mammography (=mammogram taken of the removed breast part) (Picture11.)
Image
Picture 10.
Image
Picture 11.

 

12.3. The anatomy of the breast:

The breast is made up of skin, glandular tissue, fat, connective tissue and blood vessels. The composition ratio of these elements change over the age.
The glandular tissue is made up of 15-20 lobes, each of them opening with a proper duct at the nipple.
The smallest unit is terminal ductal lobular unit (TDLU = extra- and intralobular ductal parts – acini) (Picture 12.)
Many types of normal breast variants exist on mammography. The 5 most common types have been described by Tabár by his classification system:
I. Young, Fibro-glandular,
II. ICompletely involuted,
III. Transient type between I. and II.,
IV. Adenotic
V. Fibrotic.

Image
Picture 12.

 

12.4. Radiologic appearance of pathologic lesions of the breast

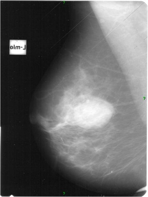
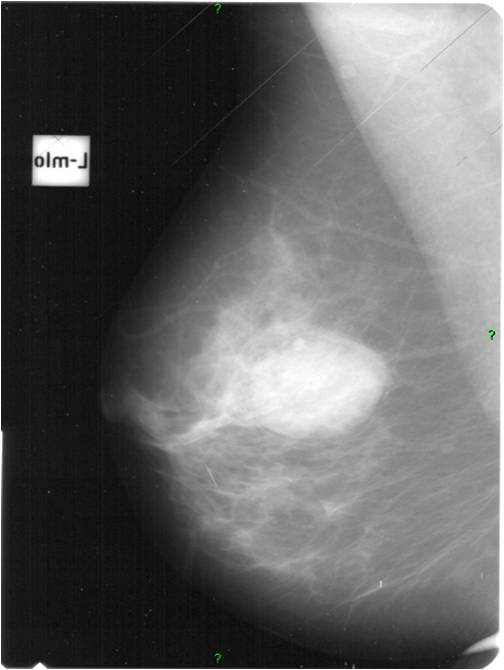
Pathologic lesions in the breast appear as various shapes and densities of soft tissues or calcificications or as the combinations of these two on mammography (Picture 16.). At many times only a few scattered, ill-defined, pleiomorphic microcalcifications indicate the presence of a pathologic lesion.
The soft-tissue lesions can appear as well-defined, rounded or oval shaped (Pictures 13.,14.) or as ill-defined, star-shaped masses (Picture 15.). Rounded or oval lesions are in most cases benign and their malignant proliferation is rare, they do not require surgical removal. These lesions are usually cysts and fibroadenomas, at other times hamartomas, lipomas and at very few times malignant tumors.
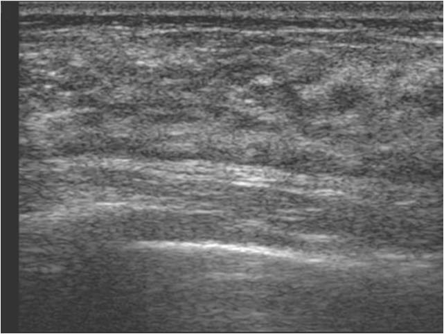
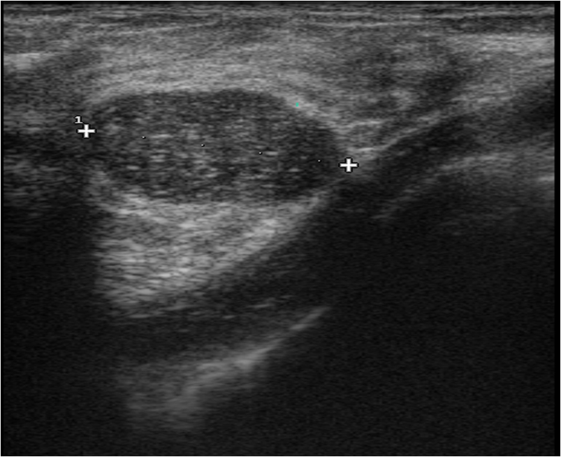
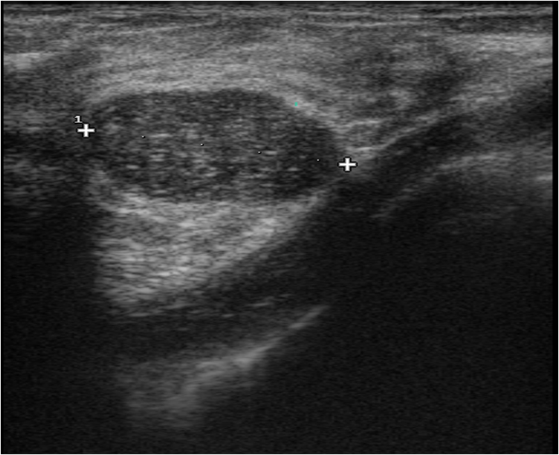
Ultrasonography can help in their differentiation; can depict anechoic cystic lesions (Picture17.) or solid masses (Picture 18.). These lesions usually each have a smooth, sharp edge and echo-enhancement can appear behind them. Rarely, cysts contain tumors. (Picture19.).
Ill-defined margins, with uneven contours and blurred edges are usually characteristic of malignant lesions. During ultrasound examination echo-attenuation occurs frequently behind these inhomogeneous hypo-echogenic masses (Picture 20).
Star-shaped lesions are very typical of malignant tumors.
o “White star”: describes the tumor body with dense spiculations of various lengths appearing around the core = carcinoma
o “Black star”: there is no tumor body, the central part is transparent. The spiculations are arched, long and thin. These usually do not indicate the entity of the lesion; they can either be benign or malignant. Examples are lobular carcinoma, post-radiation scar tissue, fatty necrosis or postoperative scar tissue (patient history is indicative!).

Image
Picture 13.
Image
Picture 14.
Image
Picture 15.
Image
Picture 16.
Image
Picture 17.
Image
Picture 18
Image
Picture 19
Image
Picture 20.

 
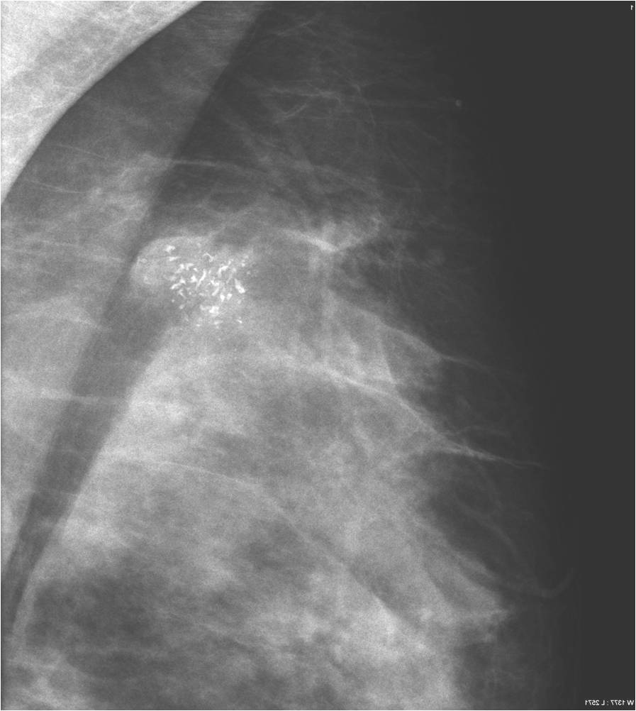
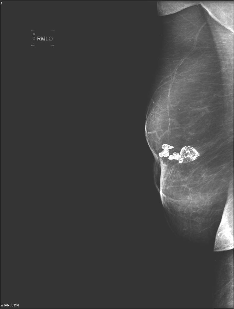
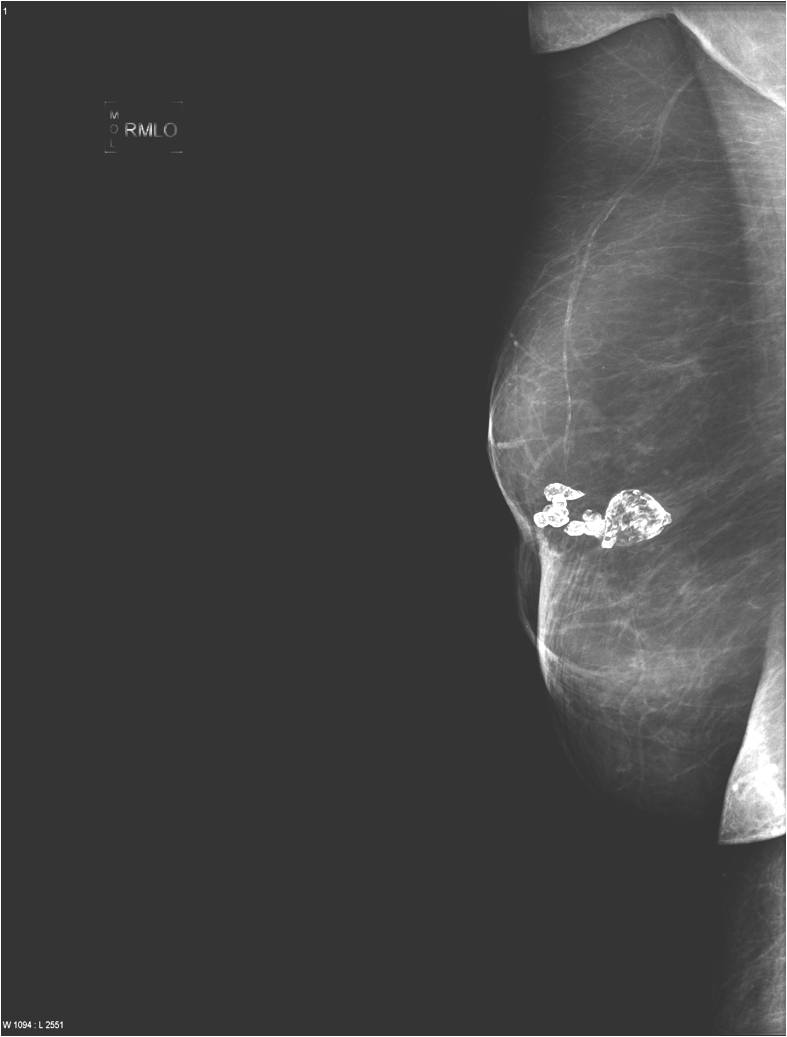
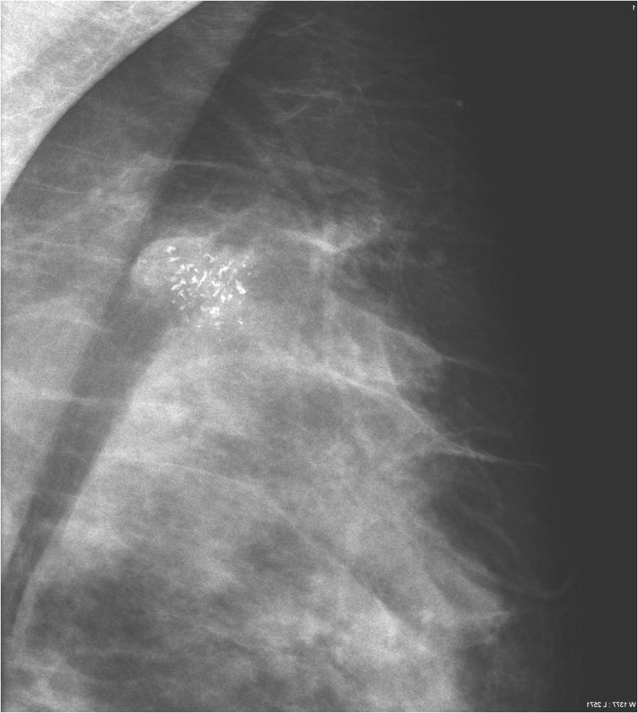
Calcifications appearing in the breast:
Calcifications usually occur in the secretions or in the necrotic parts of the lesions, but they can also be found within the arterial walls or old hematomas as well as scar tissues. (Picture 22.)
Calcifications are encountered in the breast quite often. Most of them accompany benign process (Picture 21.) and only a smaller percentage actually indicates malignancy. These malignant signs are basically always micro-calcifications. They are ill-shaped, with various pleomorphism (Pictures 23.,24.) and they are usually show a clustered arrangement. Their number is irrelevant to the grade of malignancy. Their analysis with mammography is often hard, but targeted and magnified images can help in it. In most the cases these lesion can’t be identified with ultrasound, so stereotaxy core biopsy is needed.

Image
Picture 21.
Image
Picture 22.
Image
Picture 23.
Image
Picture 24

 

12.5. The operated breast:

Operated breast most commonly is a result of a therapeutic solution of a malignant lesion (e.g.: mastectomy, breast conserving operations, or after reconstructive surgery). At other times cosmetic reasons (plastic surgery) lead to the state of operated breast. Operated breasts are always to be examined, controlled by the radiologist and the imaging modality is always to be adjusted to the current situation with determined protocols.

12.6. Male breast examinations:

A quite common breast alteration at childhood or adolescence is gynecomastia (Pictures 22.,23.), when the retro-mammillary region shows more or less increase in the glandular tissue.
Breast cancer ratio is relatively rare in males compared to females, about 1:100. The morphologic appearance is similar to that of the female breast and the imaging process is the same as well. Physical examination due to the smaller size of breast is usually more indicative in males.
Imaging methods: in puberty breast ultrasound alone is enough to be performed. Mammography together with ultrasonography is performed above 30 years of age. In certain cases breast biopsy can be indicated. Surgery is only necessary in cases of malignancy and for cosmetic reasons.

Image
Picture 25.
Image
Picture 26.

 

12.7. Take home message

The recent developments in breast imaging methods, the appearance of new technologies and the wide-spread availability of breast cancer screening have led to the emergence of “increasingly invasive breast diagnostics”. Nowadays, it is essential to organize and centralize these different diagnostic methods. Breast imaging has become a team-work, which requires tight co-operation of all its participants (radiologists, possibly expert of breast imaging, cyto-histopathologists, surgeons, oncologists, surgeon and radiotherapists.) All of these factors together provide the chance to significantly decrease the mortality of breast cancer., developed by the American College of Radiology (ACR). This is the so called BI-RADS code and is an

Appendix

In order to provide a more organized workflow of the subspecialties and a more comparable reporting system, each method of the complex clinical breast imaging diagnostics currently use the same coding terminology. One of them is used in Hungary, this is the so called RKU coding, where K means the clinical physical examination, R means X-ray, U means ultrasound examination.
BI-RADS ( Beast imaging-reporting and data system) code is an organized and internationally recognized, and more accepted system that appears in all radiological reports and is in very close relation to the pathology reports.
BI-RADS terminology:

  • BIRADS 0(external link): Incomplete examination (additional imaging is needed)
  • BIRADS I(external link): Negative examination
  • BIRADS II(external link): Benign lesion
  • BIRADS III(external link): Probably benign: short term, (6 moths) follow up or biopsy is needed (chance for malignancy 2%)
  • BIRADS IV(external link): ( 4a, 4b, 4c) Suspicious for malignancy: biopsy is necessary (chance for malignancy 2-94%)
  • BIRADS V(external link): Highly suggestive of malignancy (95%>) according to the imaging technics: requires adequate therapy
  • BIRADS VI(external link): malignancy proved by biopsy

"*" Breast Imaging-Reporting and Data System

12.8. References:

 
László Tabár: Teaching Course of Mammography
Diagnosis and in-depth differential diagnosis of breast diseases
G. Forrai: The radiologic and therapeutic novelties of breast cancer in 2008-2009. – Onco Update 2010 Magyar Radiológia 2010;84(1): 8-21
Z. Péntek, K.Ormándi: Mammography breast screening, the clinical diagnostic results of patients positive on screening. A quality assurance and quality management protocol. http://www.socrad.hu(external link)

Translated by Balázs Futácsi, Kinga Kecskés


Site Language: English

Log in as…